Единственная персистирующая левая верхняя полая вена, выявленная при имплантации подкожной порт-системы у пациентки со злокачественным новообразованием

Автор: Куликов Е.П., Белоусов И.К., Хашумов Р.М., Гапоняко Ю.С., Пронин Н.А., Елисеева В.Г., Шанаев И.Н., Аббасов А.Э.

Журнал: Вестник Национального медико-хирургического центра им. Н.И. Пирогова @vestnik-pirogov-center

Рубрика: Клинические наблюдения

Статья в выпуске: 1 т.21, 2026 года.

Бесплатный доступ

Персистирующая левая верхняя полая вена - важная врождённая аномалия внутригрудных вен, возникающая, когда левая верхняя кардинальная вена не облитерируется. Чаще всего она наблюдается одновременно с правой верхней полой веной, изолированно встречается редко. Подавляющее большинство случаев выявляется у пациентов с нарушение ритма сердца. Наличие персистирующей левой полой вены может вызвать технические трудности и ятрогенные повреждения у пациентов при проведении хирургического лечения. Предоперационная эхокардиография и компьютерно-томографическая флебография позволяют выявить данную аномалию.

Персистирующая левая верхняя полая вена, порт-система, злокачественное новообразование

Короткий адрес: https://sciup.org/140314198

IDR: 140314198   |   DOI: 10.25881/20728255_2026_21_1_160

Persistent left superior vena cava discovered during implantation of a subcutaneous port catheter in a patient with a malignant neoplasm

A persistent left superior vena cava is a significant congenital anomaly of the intrathoracic veins that occurs when the left superior cardinal vein fails to obliterate. Most commonly, it is observed in conjunction with a right superior vena cava, while isolated cases are rare. The overwhelming majority of cases are identified in patients with cardiac arrhythmias. The presence of a persistent left superior vena cava may cause technical difficulties and iatrogenic injuries during surgical interventions. Preoperative echocardiography and computed tomographic phlebography enable the detection of this anomaly.

Текст научной статьи Единственная персистирующая левая верхняя полая вена, выявленная при имплантации подкожной порт-системы у пациентки со злокачественным новообразованием

Порт–система – медицинское устройство, предназначающееся для длительного доступа к центральным венам при проведении многократных инфузий. В онкологии наиболее часто она используется для проведения системной химиотерапии и затруднённого доступа к периферическим венам. Установка порт–системы предусматривает катетеризацию одной из центральных вен: внутреннюю ярёмную или подключичную, при этом преимущество отдаётся венам, располагающимся на правой стороне, из-за особенностей анатомического строения [1]. При этом важно отметить, что анатомия вен системы верхней полой вены достаточна постоянно и аномалии строения редки, но именно они могут создать сложно- сти при имплантации венозной порт– системы.

Женщина 50 лет с диагнозом злокачественное новообразование левой молочной железы была направлена для установки подкожной венозной порт– системы. В анамнезе у пациентки сердечно-сосудистых заболеваний не было, при опросе жалоб со стороны сердечно – сосудистой системы не предъявляла.

Протокол операции. Под местной анестезией и ультразвуковым контролем была пунктирована правая внутренняя ярёмная, через пункционную иглу был проведен диагностический проводник. После рентген контроля было выявлено, что проводник располагается левее трахеи и левого бронха. Была несколько раз проведена попытка переустановить проводник, однако его положение не менялось (Рис. 1).

Решено было установить интродью-сер и провести катетер от порт–системы. Без технических сложностей был спозиционирован проксимальный кончик катетера на уровне пересечения с левым бронхом, проведен пробный забор крови (Рис. 2). Далее был сформирован подкожный «карман» для порт– системы в области дельтовидно-пекторальной бороздке справа, порт–система подсоединена к катетеру и имплантирована.

После операции пациентка была направлена на дополнительное обследование в объеме ультразвукового исследования сердца компьютерно-томографической флебографии.

Куликов Е.П., Белоусов И.К., Хашумов Р.М. и др.

ЕДИНСТВЕННАЯ ПЕРСИСТИРУЮЩАЯ ЛЕВАЯ ВЕРХНЯЯ ПОЛАЯ ВЕНА, ВЫЯВЛЕННАЯ ПРИ ИМПЛАНТАЦИИ ПОДКОЖНОЙ ПОРТ-СИСТЕМЫ У ПАЦИЕНТКИ СО ЗЛОКАЧЕСТВЕННЫМ НОВООБРАЗОВАНИЕМ

Рис. 1. Рентгенограмма проведения диагностического проводника.

Рис. 2. Рентгенограмма установленной подкожной венозной порт-системы.

По данным ультразвукового исследования сердца: устье верхней полой вены в типичном месте не лоцируется; коронарный синус расширен до 18 мм. Ультразвуковые признаки персистирующей левой верхней полой вены (возможно единственной) (Рис. 3).

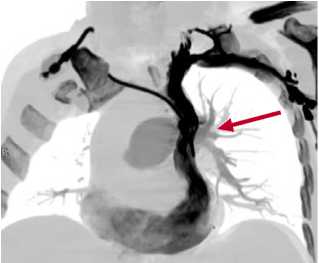
По данным КТ флебографии верхняя полая вена расположена по левому краю средостения, впадает в коронарный синус, далее в области основания сердца в правое предсердие (Рис. 4).

Обсуждение

Постоянная левая верхняя полая вена — наиболее распространённая врождённая аномалия системы верхней полой вены. Эмбриональная венозная система состоит из двух верхних кардинальных вен, которые возвращают кровь от краниальной части эмбриона, и нижней

Рис. 3. Ультразвуковая сканограмма сердца. Стрелочкой показан расширенный коронарный синус.

й

Рис. 4. КТ флебограмма. Стрелочкой показана персистирующая левая верхняя полая вена.

кардинальной вены, которая возвращает кровь от каудальной части. Обе пары вен соединяются, образуя правую и левую общие кардинальные вены. Левая общая кардинальная вена сохраняется и образует коронарный синус и косую вену левого предсердия. На 8-й неделе беременности между правой и левой верхними кардинальными венами образуется анастомоз, в результате чего формируется брахиоцефальная вена [6]. Головная часть верхних кардинальных вен образует внутренние яремные вены. Каудальная часть правой верхней вены образует нормальную правую верхнюю полую вену, в то время как часть левой верхней кардинальной вены, расположенная каудально от брахиоцефальной вены, облитерируется и превращается в связку Маршалла. Если регрессия левой верхней кардинальной вены не происходит, образуется персистирующая левая верхняя полая вена, впадающая в коронарный синус [7].

Выделяют два варианта персистирующей левой верхней полой вены: наличие единственной персистирующей левой верхней полой вены и наличие сразу двух полых вен. Наиболее распространённым вариантом является наличие как левой, так и правой верхней полой вены [7]. В 65% случаев таких пациентов наблюдается отсутствие брахиоцефальной вены [8]. Реже происходит регресс каудальной правой верхней кардинальной вены, что приводит к наличию единственной персистирующей левой верхней полой вены. В этом случае через неё идёт венозный возврат из краниальной части тела.

Наиболее неблагоприятным вариантом является впадения персистирующей левой верхней полой вены в левое предсердие, что приводит к право-левому шунтированию. Однако наиболее часто она впадает в правое предсердие через коронарный синус, что клинически никак не проявляется и выявляется совершенно случайно [9].

Персистирующая левая верхняя полая вена очень часто сопровождается нарушениями ритма сердца, что связано с эмбриональным происхождением пейс-мекерных клеток, образующихся вблизи корня верхней полой вены. В процессе миграции левой задней кардинальной вены в сторону коронарного синуса, если она не облитерируется, появляется возможность генерации различного вида аритмий, требующих хирургического лечения [10]. Поэтому подавляющее количество сообщений о персистирующей левой верхней полой вене в литературе приходится именно на кардиологических пациентов, которым устанавливался электрокардиостимулятор [5; 7; 11].

В нашей работы мы описали достаточно редкую сосудистую аномалию системы верхней полой вены – отсутствие правой верхней полой вены при сохранении левой верхней полой вены у пациентки с онкологическим заболеванием во время установки подкожной венозной порт - системы. При подготовке литературного обзора на данную тему мы не встретили похожих сообщений. Трудностями, с которыми мы столкнулись во время проведения данной операции являлись – правильная интерпретация варианта строения внутригрудных вен во время проведения диагностического проводника и правильное позиционирование проксимального уровня катетера. Если предоперационное УЗИ сердца с выявленным расширением коронарного синуса и КТ флебография могли бы помочь с определением варианта анатомии, то о позиционировании проксимального уровня катетера информации в литературе нет. Как в случаях с нормальной анатомией внутригрудных вен,

Куликов Е.П., Белоусов И.К., Хашумов Р.М. и др.

ЕДИНСТВЕННАЯ ПЕРСИСТИРУЮЩАЯ ЛЕВАЯ ВЕРХНЯЯ ПОЛАЯ ВЕНА, ВЫЯВЛЕННАЯ ПРИ ИМПЛАНТАЦИИ ПОДКОЖНОЙ ПОРТ-СИСТЕМЫ У ПАЦИЕНТКИ СО ЗЛОКАЧЕСТВЕННЫМ НОВООБРАЗОВАНИЕМ мы ориентировались на уровень пересечения с главным бронхом с поправкой на сторону. Проведённая послеоперационная компьютерная флебография показала, что выбранный уровень можно считать правильным из-за удалённости от коронарного синуса. Имеющиеся в литературе данные сообщают о возможности развития стенокардии, аритмий, гипотензии и перфорации сердца во время установки центрального венозного катетера у пациентов со схожей анатомией.

Заключение

Персистирующая левая верхняя полая вена – достаточно редкая клиническая находка среди онкологических пациентов. Врачи практического здравоохранения должны знать об этой сосудистой аномалии, требующей тщательной диагностики, чтобы избежать ятрогенных повреждений во время инвазивных процедур.