Эффективность эндоскопической вентрикулоцистерностомии III желудочка в лечении окклюзионной гидроцефалии у детей

Автор: Омуркул уулу А., Кадыров Р.М., Кадырова Б.Б.

Журнал: Бюллетень науки и практики @bulletennauki

Рубрика: Медицинские науки

Статья в выпуске: 3 т.12, 2026 года.

Бесплатный доступ

Окклюзионная гидроцефалия у детей остаётся одной из актуальных проблем детской нейрохирургии. Традиционное лечение с применением ликворошунтирующих операций сопровождается высоким риском осложнений и формированием пожизненной шунтозависимости. В последние годы эндоскопическая вентрикулоцистерностомия III желудочка (ЭВЦС) рассматривается как патогенетически обоснованная альтернатива шунтирующим вмешательствам, однако данные о её применении в Кыргызской Республике ранее отсутствовали. В настоящем исследовании представлен анализ результатов лечения 26 детей с окклюзионной гидроцефалией в возрасте от 1 месяца до 17 лет, находившихся на лечении в период с июля 2020 по декабрь 2024 года. Эндоскопическая вентрикулоцистерностомия была выполнена у 25 пациентов. Предоперационное обследование включало магнитно-резонансную томографию головного мозга с использованием фазово-контрастных ликвородинамических последовательностей. Период клинического наблюдения составил от 4 до 31 месяца. Первичный клинический эффект после ЭВЦС был достигнут у 76% пациентов, в 8% случаев потребовалось повторное выполнение вмешательства в связи с закрытием стомы. Общая эффективность метода составила 84%. В 16% случаев положительный эффект отсутствовал, что потребовало выполнения вентрикулоперитонеального шунтирования. Наиболее низкая эффективность ЭВЦС отмечена при постгеморрагической окклюзионной гидроцефалии. Послеоперационных внутричерепных кровоизлияний, инфекционных осложнений и летальных исходов не зарегистрировано. Полученные результаты свидетельствуют о высокой клинической эффективности и безопасности эндоскопической вентрикулоцистерностомии III желудочка при правильном отборе пациентов и подтверждают целесообразность её широкого внедрения в практику лечения окклюзионной гидроцефалии у детей.

Еще

Окклюзионная гидроцефалия; детская нейрохирургия; эндоскопическая вентрикулоцистерностомия; нейроэндоскопия; ликвородинамика; стеноз Сильвиева водопровода

Короткий адрес: https://sciup.org/14134714

IDR: 14134714   |   УДК: 616.831.38-008.811.1-089-072   |   DOI: 10.33619/2414-2948/124/32

Effucuency of Endoscopic Ventriculocisternostomy of the Third Ventricle in the Treatment of Occlusive Hydrocephalus in Children

Occlusive hydrocephalus in children remains a pressing problem in pediatric neurosurgery. Traditional treatment using cerebrospinal fluid shunting (CSF shunting) is associated with a high risk of complications and lifelong shunt dependence. In recent years, endoscopic third ventriculocisternostomy (ETV) has been considered a pathogenetically justified alternative to shunting interventions; however, data on its use in the Kyrgyz Republic were previously lacking. This study presents an analysis of the treatment outcomes of 26 children with occlusive hydrocephalus, aged 1 month to 17 years, treated from February 2020 to September 2022. Endoscopic ventriculocisternostomy was performed in 25 patients. Preoperative examination included magnetic resonance imaging of the brain using phase-contrast CSF flow sequences. The clinical follow-up period ranged from 4 to 31 months. The primary clinical effect after EVCS was achieved in 76% of patients, in 8% of cases a repeat procedure was required due to stoma closure. The overall effectiveness of the method was 84%. In 16% of cases, there was no positive effect, which required ventriculoperitoneal shunting. The lowest effectiveness of EVCS was noted in posthemorrhagic occlusive hydrocephalus. Postoperative intracranial hemorrhages, infectious complications and fatal outcomes were not registered. The obtained results indicate high clinical efficacy and safety of endoscopic ventriculocisternostomy of the third ventricle with proper patient selection and confirm the feasibility of its widespread implementation in the practice of treating occlusive hydrocephalus in children.

Еще

Текст научной статьи Эффективность эндоскопической вентрикулоцистерностомии III желудочка в лечении окклюзионной гидроцефалии у детей

Бюллетень науки и практики / Bulletin of Science and Practice

УДК 616.831.38-008.811.1-089-072                

Гидроцефалия представляет собой хроническое заболевание центральной нервной системы, развивающееся вследствие нарушения баланса между продукцией, циркуляцией и резорбцией спинномозговой жидкости, что приводит к её избыточному накоплению в желудочковой системе и субарахноидальных пространствах головного мозга, расширению желудочков и повышению внутричерепного давления [1].

Заболевание является одной из наиболее частых причин нейрохирургических вмешательств в детском возрасте. Согласно данным международных эпидемиологических исследований, распространённость врождённой и ранней детской гидроцефалии в развитых странах составляет в среднем 1–3 случая на 1000 новорождённых [2].

В странах с ограниченными ресурсами данный показатель может быть выше, однако достоверные эпидемиологические данные зачастую отсутствуют. Для Кыргызской Республики систематизированные сведения о распространённости детской гидроцефалии, её этиологической структуре и результатах хирургического лечения в доступной литературе не представлены, что подчёркивает необходимость проведения клинических исследований в данной области.

Обструктивная (окклюзионная) гидроцефалия развивается вследствие механического блока ликворных путей на различных уровнях — чаще всего на уровне Сильвиева водопровода, отверстий Монро или выходных отверстий IV желудочка. Прогрессирующее расширение желудочковой системы сопровождается формированием гипертензионно- гидроцефального синдрома и является абсолютным показанием к хирургическому лечению [3].

На протяжении многих лет основным методом хирургического лечения окклюзионной гидроцефалии у детей являлись экстракраниальные ликворошунтирующие операции, которые до недавнего времени фактически составляли основную долю нейрохирургических вмешательств у данной категории пациентов в Кыргызской Республике. Несмотря на их эффективность, данные вмешательства ассоциированы с высокой частотой осложнений, включая окклюзию, дисконнекцию, дисфункцию шунта, инфицирование, миграцию дренажной системы, формирование псевдокист и развитие пожизненной шунтозависимости [4].

По данным международных исследований, до 40% шунтирующих систем выходят из строя в течение первого года, а осложнения различной степени тяжести регистрируются у 18– 80% пациентов [5].

В последние десятилетия эндоскопическая вентрикулоцистерностомия дна III желудочка (ЭВЦС) рассматривается как патогенетически обоснованная альтернатива шунтирующим операциям при окклюзионной гидроцефалии. Метод направлен на восстановление физиологического пассажа ликвора путём создания сообщения между желудочковой системой и базальными цистернами. По данным зарубежных авторов, эффективность ЭВЦС у детей варьирует от 65 до 90% и зависит от этиологии гидроцефалии, возраста пациента и состояния субарахноидальных ликворных пространств [6].

Отсутствие данных о применении ЭВЦС у детей в Кыргызской Республике обусловило актуальность настоящего исследования.

Цель исследования — оценить клиническую эффективность и безопасность эндоскопической вентрикулоцистерностомии III желудочка в лечении окклюзионной гидроцефалии у детей.

Материалы и методы исслдедования

Исследование носило ретроспективный одноцентровый описательно-аналитический характер. В анализ включены 26 детей с окклюзионной гидроцефалией, находившихся на лечении в период с июля 2020 по декабрь 2024 года. В исследуемую группу вошли 16 мальчиков и 10 девочек в возрасте от 1 месяца до 17 лет. Дети в возрасте до 1 года составили 61,5% (n = 16), пациенты в возрасте от 4 до 17 лет — 38,5% (n = 10).

Критерии включения: клинически и нейровизуализационно подтверждённая окклюзионная гидроцефалия; прогрессирование гипертензионно-гидроцефального синдрома; наличие механического блока ликворных путей по данным МРТ (магнитно-резонансная томография).

Критерии исключения: выраженные многоуровневые кистозные трансформации желудочковой системы; отсутствие сообщения базальных цистерн с субарахноидальными ликворными пространствами.

У всех пациентов и их законных представителей было получено информированное добровольное согласие на хирургическое вмешательство и использование клинических данных в научных целях.

Для верификации уровня окклюзии ликворных путей выполнялось МРТ головного мозга с использованием фазово-контрастных последовательностей CSF_QF и прицельных тонкосрезовых сагиттальных сканов CSF DRIVE. На МР-изображениях определялся уровень блока ликворных путей, преимущественно на уровне Сильвиева водопровода (Рисунок 1).

Рисунок 1. МРТ головного мозга в режиме фазово-контрастной последовательности CSF_QF и тонкосрезовых сагиттальных сканов CSF DRIVE: A — аксиальный срез; B — сагиттальный срез. Красной стрелкой указана обструкция Сильвиева водопровода

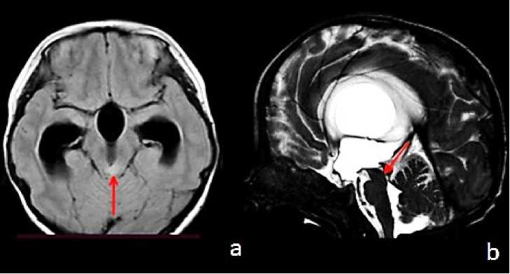
Оценка ликвородинамики проводилась с применением фазово-контрастной МРТ в режиме CSF_PCA, что позволяло объективно оценить наличие или отсутствие антеградного и ретроградного ликворотока (Рисунок 2).

Рисунок 2. Оценка ликвородинамики по данным фазово-контрастной МРТ (CSF_PCA): A — кривая ликворотока с отсутствием нисходящего потока; B — скоростные характеристики ликвора; C, D — проекция Сильвиева водопровода для оценки пассажа ликвора

ЭВЦС была выполнена у 25 пациентов. В одном случае выполнение вмешательства оказалось невозможным вследствие выраженных многоочаговых кистозных трансформаций желудочковой системы.

Период послеоперационного наблюдения составил от 4 до 31 месяца. Все операции проводились на базе хирургического неврологического центра «Кортекс» (г. Бишкек, Кыргызстан).

Хирургическая техника

Все эндоскопические вентрикулоцистерностомии дна III желудочка выполнялись с использованием нейроэндоскопического оборудования фирмы Karl Storz (Германия). В ходе операций применялся стандартный нейроэндоскопический набор LOTTA, а также миниатюрный игольчатый нейроэндоскоп (шунтоскоп), вентрикулостомические щипцы диаметром 1 мм, баллонные катетеры Fogarty диаметром 5 и 9 мм и силовая система Primado 2 (Япония).

Все вмешательства проводились под общей эндотрахеальной анестезией в положении пациента на спине. В 4 случаях голова пациента фиксировалась в скобе Мейфелда; у остальных пациентов, преимущественно младшего возраста, фиксация головы осуществлялась с использованием силиконового С-образного подголовника с целью минимизации травматизации и обеспечения стабильного положения головы во время вмешательства.

В зависимости от возраста пациента и состояния большого родничка применялись два варианта хирургического доступа: трансродничковый доступ — у 18 пациентов (69,2%) при открытом большом родничке; доступ через трефинационное отверстие в точке Кохера — у 8 пациентов (30,8%) при закрытом большом родничке.

При использовании эндоскопической системы LOTTA твёрдая мозговая оболочка рассекалась крестообразно, после чего кортикотомия и пункция бокового желудочка выполнялись с помощью обтуратора. При применении шунтоскопа выполнялся линейный разрез твёрдой мозговой оболочки длиной 3–4 мм, а кортикотомия и пункция желудочка осуществлялись непосредственно эндоскопом, что позволяло минимизировать травму коры головного мозга.

После введения эндоскопа проводилась поэтапная визуализация анатомических ориентиров бокового желудочка. В случаях затруднённой ориентации, обусловленной ранее перенесёнными хирургическими вмешательствами, постгеморрагическими или воспалительными изменениями анатомии желудочковой системы, использовалась нейронавигационная станция Brainlab (Германия). Доступ к III желудочку осуществлялся через отверстие Монро, размер которого во всех наблюдениях превышал 5 мм, что обеспечивало безопасное проведение эндоскопических манипуляций.

После входа в полость III желудочка выполнялась обязательная верификация его анатомических структур с целью выбора оптимальной зоны для формирования вентрикулостомы. Точкой перфорации дна III желудочка являлась центральная часть треугольника, ограниченного спереди стеблем гипофиза, а сзади — сосцевидными телами. В одном клиническом наблюдении вследствие высокого расположения базилярной артерии точка перфорации была смещена латерально для повышения безопасности вмешательства.

При работе с системой LOTTA эндоскопическая оптика фиксировалась с использованием жёсткого фиксатора. При манипуляциях шунтоскопом эндоскоп удерживался одной рукой в фиксированном положении по технике «free hand», что обеспечивало большую свободу движений и точность манипуляций в ограниченном операционном поле.

Перфорация дна III желудочка выполнялась вентрикулостомическими щипцами диаметром 1 мм. Окончательная дилатация сформированной стомы осуществлялась баллонным катетером Fogarty диаметром 5 или 9 мм с учётом анатомических особенностей. После этого проводилась перфорация диэнцефального листка мембраны Лилийеквиста для обеспечения полноценного сообщения между полостью III желудочка и базальными цистернами. Следует отметить, что использование миниатюрного игольчатого нейроэндоскопа позволяло свободно проходить через сформированную стому в межножковую и препонтинную цистерны, что соответствовало методике, описанной А. А. Суфиановым [7], и обеспечивало визуальный контроль адекватности созданного ликворного сообщения.

Рисунок 3. Варианты хирургического доступа при выполнении эндоскопической вентрикулоцистерностомии III желудочка: 1 — трансродничковый доступ; 2 — линия кожного разреза в проекции точки Кохера; 3 — трефинация в точке Кохера

Рисунок 4. Эндоскопические этапы выполнения вентрикулоцистерностомии дна III желудочка и основные анатомические ориентиры. Эндоскопическая визуализация структур бокового и III желудочков и базальных цистерн: FM — отверстие Монро (foramen Monro); MB — сосцевидные тела (mammillary bodies); TSV — таламо-стриарная вена (thalamostriate vein); ASV — передняя септальная вена (anterior septal vein); CP — сосудистое сплетение (choroid plexus); T — таламус (thalamus); Bas.A — базилярная артерия (basilar artery); N.Opt — перекрёст зрительных нервов (optic chiasm, атипичное расположение); Mem.L — мембрана Лилийеквиста (membrane of Liliequist); Cl — скат (clivus); f — баллонный катетер Фогарти; st — сформированная стома дна III желудочка. Красной стрелкой обозначены вентрикулостомические щипцы.

Результаты и обсуждение

Из 26 пациентов с окклюзионной гидроцефалией эндоскопическая вентрикулоцистерностомия III желудочка была успешно выполнена у 25 (96,2%). В одном случае выполнение вмешательства оказалось невозможным вследствие выраженных многоочаговых кистозных трансформаций желудочковой системы. Этиологическая структура заболевания включала врождённый стеноз водопровода мозга у 14 пациентов (53,8%), постгеморрагическую гидроцефалию — у 8 (30,8%) и постинфекционную — у 4 пациентов (15,4%).

Первичный клинический эффект после эндоскопической вентрикулоцистерностомии был достигнут у 19 пациентов (76%). В 2 случаях (8%) в послеоперационном периоде было отмечено закрытие сформированной стомы, что потребовало повторного выполнения эндоскопической вентрикулоцистерностомии, после чего был достигнут устойчивый клинический результат. Таким образом, суммарная эффективность метода составила 84%.

В 4 случаях (16%) положительный эффект от ЭВЦС отсутствовал, сохранялся гидроцефально-гипертензионный синдром, в связи с чем пациентам было выполнено вентрикулоперитонеальное шунтирование. Анализ результатов в зависимости от этиологии показал, что наименьшая эффективность эндоскопической вентрикулоцистерностомии отмечена при постгеморрагической окклюзионной гидроцефалии и составила около 50%, что согласуется с данными международных исследований и объясняется нарушением резорбции ликвора и наличием многоуровневых арахноидальных перегородок [7].

Контрольное магнитно-резонансное исследование головного мозга с ликвородинамической пробой выполнялось через 1, 3 и 6 месяцев после оперативного вмешательства. Примеры контрольных МРТ-исследований после эндоскопической вентрикулоцистерностомии представлены на рис. 5. В ходе обследования оценивались размеры желудочковой системы и наличие ликворотока через сформированную вентрикулостому на дне III желудочка. Клиническая оценка включала анализ выраженности признаков гипертензионно-гидроцефального синдрома. Всем пациентам проводился осмотр офтальмолога с оценкой состояния глазного дна и дисков зрительных нервов.

Рисунок 5. Контрольное МРТ-исследование головного мозга после эндоскопической вентрикулоцистерностомии III желудочка. Красным цветом обозначены сформированные стомы дна третьего желудочка

Прогрессирование гидроцефалии в послеоперационном периоде отмечено у 6 детей (23%) через 3 месяца после операции. При этом у 2 пациентов на контрольном МРТ-исследовании ликвороток через вентрикулостому не визуализировался. При повторной вентрикулоскопии у данных пациентов выявлено закрытие стомы, в связи с чем была выполнена повторная эндоскопическая вентрикулоцистерностомия.

В 4 (15,3%) случаях в раннем послеоперационном периоде наблюдалось временное клиническое улучшение (в среднем в течение 2–2,5 месяцев), проявлявшееся регрессом симптомов внутричерепной гипертензии, включая нивелирование симптома «заходящего солнца» и восстановление уровня сознания до 15 баллов по шкале комы Глазго. Однако при контрольном осмотре через 3 месяца после операции у данных пациентов вновь отмечалось нарастание гипертензионно-гидроцефального синдрома.

При фазово-контрастном МРТ-исследовании у этих пациентов ликвороток через стому сохранялся. Дополнительно у 2 пациентов были выявлены многоуровневые арахноидальные перегородки на уровне средней и нижней трети моста, создающие препятствие для пассажа ликвора в субарахноидальные пространства. В связи с этим данной группе пациентов было выполнено вентрикулоперитонеальное шунтирование под эндоскопической ассистенцией; в одном случае дополнительно произведена перфорация арахноидальных мембран мостовых цистерн. Обобщённые результаты эндоскопической вентрикулоцистерностомии III желудочка в зависимости от этиологии окклюзионной гидроцефалии представлены в Таблице.

Таблица

РЕЗУЛЬТАТЫ ЭНДОСКОПИЧЕСКОЙ ВЕНТРИКУЛОЦИСТЕРНОСТОМИИ

В ЗАВИСИМОСТИ ОТ ЭТИОЛОГИИ ОККЛЮЗИОННОЙ ГИДРОЦЕФАЛИИ, абс. число (%)

Этиология стеноза водопровода мозга

Общее количество больных

ЭВЦС

Эффективно

Повторный ЭВЦС

Нет эффекта

Врожденный стеноз водопровода

14 (56)

12 (48)

1 (4)

1 (4)

Постгеморрагический

8 (32)

4 (16)

1 (4)

3 (12)

Постинфекционный

3 (12)

3 (12)

Итого

25 (100)

19 (76)

2 (8)

4 (16)

Представленные данные подчёркивают, что временный клинический эффект после ЭВЦС не всегда коррелирует с восстановлением адекватного ликворного пассажа на уровне базальных цистерн. Послеоперационных осложнений в виде внутричерепных кровоизлияний и инфекционно-воспалительных процессов в исследуемой группе не зарегистрировано. В одном случае отмечено подкожное скопление ликвора в области послеоперационной раны, которое было успешно устранено путём герметизации твёрдой мозговой оболочки с применением гемостатического материала и наложения повторных кожных швов. Данный эпизод не оказал влияния на исход лечения. Летальных исходов не отмечено.

Вывод

Эндоскопическая вентрикулоцистерностомия III желудочка является безопасным и эффективным методом лечения окклюзионной гидроцефалии у детей. Эффективность вмешательства в значительной степени определяется этиологией заболевания и тщательным предоперационным отбором пациентов с обязательной оценкой ликвородинамики. Применение нейроэндоскопических технологий позволяет снизить частоту повторных хирургических вмешательств, минимизировать риск шунтозависимости и улучшить клинические исходы. Полученные результаты подтверждают целесообразность широкого внедрения ЭВЦС в клиническую практику и формируют основу для дальнейших исследований с расширением выборки пациентов.