Эффективность выполнения литолитической терапии у пациентки с крупными уратными конкрементами верхних мочевыводящих путей
Автор: Ханалиев Б.В., Барсегян А.Г.
Журнал: Вестник Национального медико-хирургического центра им. Н.И. Пирогова @vestnik-pirogov-center
Рубрика: Клинические наблюдения
Статья в выпуске: 1 т.21, 2026 года.
Бесплатный доступ
Представлено клиническое наблюдение консервативного лечения пациентки с крупным камнями правой почки, лоханочно-мочеточникового сегмента справа и обтекаемого конкремента нижней трети правого мочеточника. К особенностям проведения литолитической терапии у данной категории пациентов можно отнести высокую частоту низкой комплаентности, нарушение диеты, наличие нарушений эндокринной системы и высокую частоту рецидивов мочекаменной болезни, высокий риск развития приступов почечной колики.
Мочекаменная болезнь, уратный нефролитиаз, камень мочеточника, камень лоханочно-мочеточникового сегмента, пероральный хемолиз, литолиз
Короткий адрес: https://sciup.org/140314200
IDR: 140314200 | DOI: 10.25881/20728255_2026_21_1_166
Efficiency of performing litholytic therapy in a patient with large upper urinary tract stones
The article presents a clinical observation of patient with a large stone in the right ureteropelvic segment and a calculus in the lower third of the right ureter. The specific features of litholytic therapy in patients of this category include low compliance, diet violation, the patology of endocrine system and initial causes of recurrent urolithiasis, and a high risk of developing renal colic attacks.
Текст научной статьи Эффективность выполнения литолитической терапии у пациентки с крупными уратными конкрементами верхних мочевыводящих путей
Мочекаменная болезнь (МКБ)–хро-ническое системное заболевание, являющееся следствием метаболических нарушений или влияния факторов внешней среды и проявляющееся образованием камней в верхних мочевых путях [1]. Заболеваемость и распространенность данного заболевания до сих пор увеличивается по всему миру. Заболеваемость уролитиазом в мире колеблется от 1,5 до 21% [2; 3]. При этом полиэтиологическая природа данного заболевания объясняет различия в составе образующихся конкрементов. Мочевая кислота является конечным продуктом распада пурина у людей и далматинских собак. У других млекопитающих мочевая кислота далее расщепляется на аллантоин ферментом уриказой (уратоксидазой). Аллантоин в 10–100 раз более растворим по сравнению с мочевой кислотой, поэтому потеря активности уриказы у людей и далматинских собак объясняет образование кислых мочевых камней только у этих млекопитающих. Камни мочевой кислоты (уратный нефролитиаз) составляют значительную долю мочевых камней, хотя существует значительное географическое и расовое разнообразие. В Европе частота образования камней мочевой кислоты несколько ниже, чем в Соединенных Штатах, особенно в северных странах, таких как Швеция, где средний показатель составляет около 4% [4]. Однако в средиземноморских районах процент уратного нефролитиаза выше общей распространенности камней и встречается чаще, чем в других странах [5; 6]. Эти наблюдения подчеркивают связь между климатом и образованием камней мочевой кислоты. Несколько эпидемиологических исследований показали взаимосвязь между метаболическими факторами и уратным нефролитиазом [7; 8]. Ekeruo WO и соавт. установили, что более 50% пациентов с МКБ и ожирением страдают уратным нефролитиазом [9]. Кроме того, была продемонстрирована связь между частотой образования камней из мочевой кислоты и сахарным диабетом 2 типа. В крупном исследовании Pak CYC и соавт. установлен биохимический профиль конкрементов почек у пациентов с сахарным диабетом 2 типа, при этом уратный нефролитиаз выявлен у 28% пациентов с диабетом по сравнению с 13% у пациентов без диабета [10]. Меньшее потребление жидкости, и, как следствие, сниженный диурез является еще одним фактором, способствующим образованию камней из мочевой кислоты: за счет увеличения относительного насыщения камнеобразующих компонентов диурез менее 2 л/сутки способствует развитию всех видов камней в почках. Хотя гипе-рурикурия рассматривалась в качестве механизма образования камней из мочевой кислоты при первичной подагре, несколько исследований продемонстрировали, что выделение мочевой кислоты с мочой не повышено у пациентов с подагрой [11; 12]. Мочевая кислота менее растворима, чем ее основание, урат, так что в моче с pH 5,35 только 90 мг/л мочевой кислоты остается в растворе. При таком pH моча становится перенасыщенной недиссоциированной мочевой кислотой, которая впоследствии выпадает в осадок, образуя камни мочевой кислоты. При pH 5,0 в моче растворимость свободной мочевой кислоты составляет приблизительно 15 мг/100 мл, если же pH мочи увеличивается до 7,0, предел растворимости повышается до 200 мг/100 мл. Аналогичные результаты получаются при определении растворимости мочевой кислоты в образцах воды, а не в моче. При pH 5,0 предел растворимости мочевой кислоты в воде составляет 8 мг/100 мл, тогда как при pH 7,0 растворимость мочевой кислоты составляет 158 мг/100 мл. С повышением pH мочи больше мочевой кислоты превращается в ураты, а тенденция к кристаллизации мочевой кислоты уменьшается. В отличие от конкрементов другого химического состава, при уратных камнях можно проводить литолитическую терапию цитратными смесями.
Клиническое наблюдение
Пациентка Г., 54 лет с алиментарноконституциональным морбидным ожирением III ст. (ИМТ–40). В марте 2023 г. консультирована урологом НМХЦ им. Н.И. Пирогова с жалобами на периодические тянущие боли в поясничной области справа. При обследовании по данным УЗИ почек выявлен конкремент лоханочно-мочеточникового сегмента (ЛМС) справа диаметром до 9 мм, без нарушения уродинамики. Учитывая данные биохимических показателей крови: мочевина
Ханалиев Б.В., Барсегян А.Г.
ЭФФЕКТИВНОСТЬ ВЫПОЛНЕНИЯ ЛИТОЛИТИЧЕСКОЙ ТЕРАПИИ У ПАЦИЕНТКИ С КРУПНЫМИ УРАТНЫМИ КОНКРЕМЕНТАМИ ВЕРХНИХ МОЧЕВЫВОДЯЩИХ ПУТЕЙ
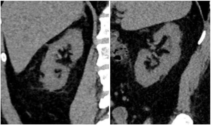
Рис. 1. МСКТ в нативном режиме, сделанная в марте 2023 г. Стрелками указаны конкремент ЛМС справа (с наличием расширения ЧЛС) и ЛМС слева.
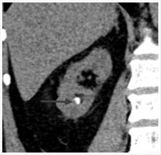
Рис. 2. МСКТ в нативном режиме, сделанная в марте 2023 г. Стрелкой указаны конкременты нижней группы чашечек правой почки.
Рис. 3. МСКТ в нативном режиме, сделанная в июне 2023 г. Отмечен полный литолиз крупного камня ЛМС справа.
10,9 ммоль/л, креатинин 124 мкмоль/л, мочевая кислота 445 мкмоль/л, пациентке рекомендовано выполнение анализа суточной мочи и низкодозная КТ органов мочевыделительной системы в нативном режиме. Диагностирована выраженная гиперурикурия до 870 мг, по данным КТ выявлено: Чашечно-лоханочная система (ЧЛС) справа расширена: чашечки до 17 мм, лоханка до 44 x 16 мм, в нижней группе чашечек правой почки определяются три конкремента, размерами до 4 мм, плотностью до 420 HU, в лоханке правой почки определяется крупный конкремент, размерами до 15 x 9,5 мм плотностью до 550 HU, мочеточник справа при нативном исследовании без значимого расширения, конкрементов в нем достоверно определяется. Вместе с тем, отмечается уплотнение клетчатки на уровне ЛМС справа, а также по ходу верхней трети мочеточника, где визуализируются лимфатические узлы, расположенные парааортально, максимальными размерами до 19 x 7 мм. ЧАС левой почки не расширена. Однако, отмечается наличие мелкого конкремента в области лоханочно-мочеточникового перехода, размерами до 4,8 x 3,5 мм, плотностью до 351 HU (Рис. 1, 2). Предложена госпитализация для проведения оперативного вмешательства по срочным показаниям с целью дренирования правой почки, от чего пациентка отказалась. Учитывая данные суточного анализа мочи, наличие конкрементов верхних мочевых путей (ВМП) относительно низкой плотности, заподозрен мочекислый (уратный) нефролитиаз. От проведения литолитической терапии в амбулаторных условиях пациентка также отказалась.
В июне 2023 г. пациентка стала отмечать усиление болевого синдрома, два эпизода почечной колики (купированы медикаментозно применением НПВС).
Повторно обратилась за медицинской помощью, консультирована урологом НМХЦ им. Н.И. Пирогова, повторно предложено проведение оперативного вмешательства, от которого пациентка вновь решила воздержаться. Пациентке начата литолитическая терапия с целью возможного растворения камней ВМП путем коррекции кислотно-щелочного баланса мочи. Учитывая низкую ком-плаентность, крайне важно объяснить значимость непрерывного приема препаратов по чётко расписанной схеме лечения и постоянного динамического контроля показателей суточного анализа мочи с целью оценки pH мочи и степени урикемии. Литолитическая терапия проводилась с помощью цитрантых смеси. В течение последующего месяца пациентка стала отмечать постепенное купирование болевого синдрома, при контрольной КТ органов мочевыделительной системы, выполненной в августе 2023 г. (на 2-й месяц проводимой терапии) отмечено: ЧЛС обеих почек не расширена (ранее каликопиелоуретероэктазия справа). В нижней группе чашечек правой почки определяются два конкремента, размерами 2,3 x 1,8 мм и 2,4 x 2,6 мм, плотностью до +268 HU (ранее визуализировались не менее 3х конкрементов до 4 мм). В лоханке правой почки конкременты не выявлены (ранее конкремент размерами до 15 x 9,5 мм.) Мочеточник справа при нативном исследовании без значимого расширения, конкрементов в нем достоверно определяется. Выявляемые ранее уплотнение клетчатки на уровне лоханочно-мочеточникового перехода справа и увеличенный парааортальный лимфоузел справа–при настоящем исследовании не определяются. Конкременты левой почки не выявлены. Выявляемый ранее конкремент в области лоханочно-мочеточникового перехода
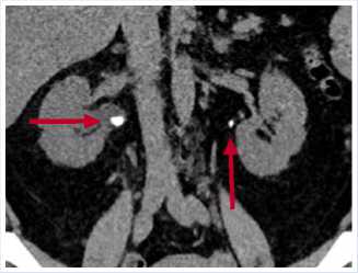
Рис. 4. МСКТ в нативном режиме, сделанная в июне 2023 г. Отмечено уменьшение камней нижней группы чашечек правой почки.
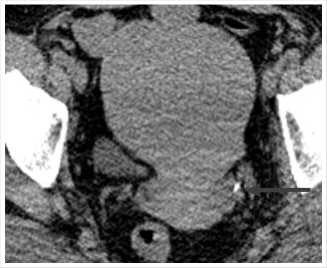
Рис. 5. МСКТ в нативном режиме, сделанная в июне 2023 г. Стрелкой указан конкремент нижней трети левого мочеточника, мигрировавший из области ЛМС.
слева, размерами до 4,8 x 3,5 мм, плотностью до +452 HU–при исследовании выявлен в нижней трети левого мочеточника. Левый мочеточник не расширен (Рис. 3–5).
Рис. 7. МСКТ в нативном режиме, сделанная в марте 2024 г. (саггитальный срез), отмечается отрицательная динамика. Отмечается появление нового конкремента в средней группе чашечек (указано стрелкой).
Рис. 6. МСКТ в нативном режиме, сделанная в марте 2024 г., отмечается отрицательная динамика. Стрелкой указаны увеличенные конкременты нижней группы чашечек правой почки.
Рис. 8. МСКТ в нативном режиме, сделанная в июле 2024 г., отмечается полный литолиз конкрементов.
Учитывая выраженную положительную динамику от проводимого лечения, курс литолитичекой терапии пролонгирован еще на 30 суток. Уже через 8 суток после контрольной КТ, пациентка отметила самостоятельное отхождение конкремента (вероятнее всего из левого мочеточника). После окончания курса литолитической терапии цитратными смесями пациентка перестала соблюдать дальнейшую диету, контролировать уровень мочевины и мочевой кислоты, степень гиперурикемии. Учитывая вышеописанные особенности, в марте 2024 г. при плановом обследовании по данным контрольного КТ мочевыделительной системы отмечается увеличение размеров выявляемых ранее конкрементов правой почки и появление нового конкремента: в нижней группе чашечек правой почки сохраняются два конкремента, в настоящий момент отмечается их частичное объединение в один более крупный, размерами 7х4,3х7,5 мм (плотность 371 HU), а также отмечается появление нового конкремента в средней группе чашечек размером 5х2,7 мм (плотностью 254 HU) (Рис. 6, 7).
Учитывая проведение успешной литолитичекой терапии в анамнезе, пациентке повторно проводилась терапия цитратными смесями и вспомогательными препаратами курсом до 3 месяцев. При контрольной КТ мочевой системы, выполненной в июле 2024 г. отмечена полная элиминация конкрементов правой почки (рентгеноконтрастных конкрементов в почках, мочеточниках, мочевом пузыре не выявлено) (Рис. 8).
В дальнейшем пациентке рекомендовано соблюдение низкопуриновой диеты с целью исключения экзогенных пуринов и предотвращения гиперурикемии. Пациентка наблюдалась эндокринологом и нефрологом, проводилась терапия ингибиторами ксантиноксидазы и другими противоподагрическими средствами, при этом отмечено уменьшение ИМТ до 35, снижение уровня мочевины до 7,9 ммоль/л, креатинина до 87 мкмоль/л и мочевой кислоты до 410 мкмоль/л. Также выполнен анализ суточной мочи, при которой отмечено снижение степени гиперу-рикурии до 470 мг. В марте 2025 г. выполнена контрольная КТ мочевой системы в нативном режиме, при которой наличия конкрементов мочевыделительной системы не выявлено. В настоящее время пациентка довольна результатом проведенного лечения, жалоб не предъявляет.
Представленный клинический случай подтверждает высокую эффективность литолитической терапии цитратными смесями при лечении крупных уратных камней верхних мочевых путей, включая конкременты ЛМС и ЧЛС. Несмотря на изначально низкую комплаент-ность пациентки, отказ от оперативного вмешательства и наличие сопутствующих факторов риска (морбидное ожирение, гиперурикурия, нарушения эндокринного статуса), пероральный хемолиз позволил добиться полного растворения крупного камня (до 15 мм) в правой почке уже через 2 месяца терапии, уменьшения размеров и числа мелких конкрементов, купирования болевого синдрома и эпизодов почечной колики, восстановления нормальной уродинамики (регресс каликопиелоуретероэктазии). Однако прекращение терапии и несоблюдение диеты привели к рецидиву мочекаменной болезни уже через год – с увеличением существующих и появлением новых камней. Это подчеркивает ключевую роль длительной поддерживающей терапии, включающей в себя при необходимости периодический приём цитратных смесей с контролем рН мочи, соблюдение низкопуриновой диеты, коррекцию метаболических нарушений (в т.ч. применение ингибиторов ксантиноксидазы), мультидисциплинарное наблюдение и лечение (уролог, нефролог, эндокринолог). Повторный курс литолиза привёл к полной элиминации камней, а при дальнейшем соблюдении рекомендаций – к устойчивой ремиссии на фоне улучшения метаболических показателей (снижение ИМТ, уровня мочевой кислоты, креатинина и степени гиперурикурии). Таким
Ханалиев Б.В., Барсегян А.Г.
ЭФФЕКТИВНОСТЬ ВЫПОЛНЕНИЯ ЛИТОЛИТИЧЕСКОЙ ТЕРАПИИ У ПАЦИЕНТКИ С КРУПНЫМИ УРАТНЫМИ КОНКРЕМЕНТАМИ ВЕРХНИХ МОЧЕВЫВОДЯЩИХ ПУТЕЙ образом, литолитическая терапия цитратными смесями является эффективным, безопасным и органосохраняющим методом лечения уратного нефролитиаза даже при крупных конкрементах, но требует строгой приверженности пациента и комплексного подхода к профилактике рецидивов.