Клинический случай успешного лечения пациента с острым мезентериальным тромбозом с применением ангиохирургического метода

Автор: Лонская С.К., Саутиев Д.О., Григорьев К.И., Саутиева К.И., Ножкин И.Ю., Смолькина А.В.

Журнал: Ульяновский медико-биологический журнал @medbio-ulsu

Статья в выпуске: 4, 2025 года.

Бесплатный доступ

Хирургическое лечение острого мезентериального тромбоза по-прежнему является одной из актуальных проблем медицины. Удельный вес пациентов с данным заболеванием растет, что обусловливает все больший интерес к нему как со стороны общих и сосудистых хирургов, так и со стороны рентген-хирургов. В работе представлен клинический случай успешного лечения пациента с острым мезентериальным тромбозом. Пациент П., 79 лет, поступил 01.07.2023 в 17.35 в хирургическое отделение ГУЗ Ульяновская областная клиническая больница в экстренном порядке с жалобами на жгучие боли в эпигастрии и мезогастрии. На компьютерной томографии органов брюшной полости и забрюшинного пространства с внутривенным болюсным контрастированием обнаружено, что на расстоянии 34 мм от устья отмечается дефект наполнения верхней брыжеечной артерии на протяжении 55 мм. Дистальные ветви контрастированы своевременно. В условиях отделения рентген-хирургических манипуляций выполнено оперативное вмешательство: крупные тромбы в основном стволе подвздошнокишечной артерии фрагментированы посредством баллонной ангиопластики и на активной аспирации удалены. На контрольной ангиографии верхней брыжеечной артерии выявлено, что антеградный кровоток по основным ветвям восстановлен, местами имеются пристеночные тромбы, не влияющие на скорость кровотока. За время оперативного вмешательства пациент получил 10 000 ЕД гепарина. Послеоперационный период осложнился образованием острой язвы передней стенки желудка, которая была пролечена консервативно. Несовершенство традиционного хирургического лечения указывает на необходимость ангиографической реваскуляции путем эмболэктомиии или проведения шунтирующей операции. Постепенно в клиническую практику внедряются методы рентген-эндоваскулярной хирургии, меняющие парадигму взглядов на лечение острого мезентериального тромбоза. Антикоагулянтная терапия является методом выбора. Однако при ее неэффективности в ряде случаев предпочтительнее проведение ангиохирургических вмешательств, которые могут значительно повысить выживаемость и качество жизни больных с мезентериальным тромбозом.

Еще

Мезентериальный тромбоз, ангиохирургия при тромбозе кишечника, тромбэктомия

Короткий адрес: https://sciup.org/14134215

IDR: 14134215   |   УДК: [616-72+616.34-073.75]616.136.46   |   DOI: 10.34014/2227-1848-2025-4-98-105

Angiosurgical method for successful treatment of acute mesenteric thrombosis: A case study

Surgical treatment for acute mesenteric thrombosis remains a pressing medical issue. The prevalence of this condition is growing, leading to increasing interest among general and vascular surgeons, and radiologists. This paper presents a clinical case of successful treatment for acute mesenteric thrombosis. Patient P. (79 years old) was admitted to the surgical department of the Ulyanovsk Regional Clinical Hospital on July 1, 2023, at 5:35 PM., as an emergency with complaints of burning epigastric and mesogastric pain. A computed tomography scan of the abdominal cavity and retroperitoneum with intravenous bolus contrast revealed a filling 55 mm-defect of the superior mesenteric artery 34 mm from the ostium. The distal branches were contrasted promptly. Surgery was performed in the X-ray surgical department. Large thrombi in the main trunk of the iliac artery were fragmented using balloon angioplasty and removed using active aspiration. The control angiogram of the superior mesenteric artery revealed that antegrade blood flow along the main branches was restored. Mural thrombi were locally present but they did not affect blood flow velocity. The patient received 10,000 units of heparin during the surgical procedure. The postoperative period was complicated by the formation of an acute ulcer of the anterior gastric wall, which was treated conservatively. The limitations of traditional surgical treatment indicate the need for angiographic revascularization by means of embolectomy or bypass surgery. Endovascular surgical techniques are gradually being introduced into clinical practice, changing the paradigm of treating acute mesenteric thrombosis. Anticoagulant therapy is the gold standard. However, in cases of its ineffectiveness, angiosurgical interventions are sometimes preferable, as they can significantly improve the survival rate and quality of life for patients with mesenteric thrombosis.

Еще

Текст научной статьи Клинический случай успешного лечения пациента с острым мезентериальным тромбозом с применением ангиохирургического метода

Введение. Хирургическое лечение острого мезентериального тромбоза по-прежнему является одной из актуальных проблем медицины [1, 2]. Стремительное старение населения развитых стран распространилось и на Россию. Это сказалось на структуре острой хирургической патологии. Удельный вес пациентов с острым мезентенриальным тромбозом растет, что обусловливает все больший интерес к нему как со стороны общих и сосудистых хирургов, так и со стороны рентген-хирургов [3, 4].

Недостаточность доказательных данных о методах лабораторного выявления этой патологии и широкий спектр используемых методов инструментальных исследований, таких как КТ-ангиография, ультразвуковое дуплексное ангиосканирование, рентгеноконтрастная ангиография, обусловливают отсутствие универсального диагностического теста [5, 6]. Несовершенство традиционного хирургического лечения указывает на необходимость реваску-ляции путем эмболэктомии или проведения шунтирующей операции, которая в свою очередь требует наличия соответствующего оборудования и подготовленных специалистов [2, 7, 8].

Постепенно в клиническую практику внедряются методы рентген-эндоваскулярной хирургии, меняющие парадигму взглядов на лечение острого мезентериального тромбоза [9–12]. Антикоагулянтная терапия является методом выбора [13, 14]. Однако при ее неэффективности в ряде случаев предпочтительнее проведение ангиохирургических вмешательств, которые могут значительно повысить выживаемость и качество жизни больных с мезентериальным тромбозом [15, 16]. Правильная организация диагностики и лечения и профилактика данной патологии позволяет добиться концептуального улучшения сложившийся в экстренной хирургии ситуации [8, 17].

Приводим клинический случай успешного лечения острого мезентериального тромбоза с применением ангиохирургического метода.

Описание клинического случая. Пациент П., 79 лет, поступил 01.07.2023 в 17.35 в хирургическое отделение ГУЗ Ульяновская областная клиническая больница в экстренном порядке с жалобами на жгучие боли в эпигастрии и мезогастрии.

Анамнез заболевания. Со слов пациента заболел остро около 16.00. На фоне полного благополучия после еды появились жгучая боль в животе. Вызвана скорая помощь. Больной доставлен в стационар с диагнозом «острый живот».

Анамнез жизни. Операции и профессиональные вредности больной отрицает. В анамнезе имеется ишемическая болезнь сердца, стенокардия напряжения 2-го функционального класса, хроническая форма фибрилляций предсердий, тахисистолия и нормо-систолия, нарушение проводимости в виде блокады правой ветви левой ножки пучка Гисса, гипертоническая болезнь III степени, риска 4, хроническая сердечная недостаточность I степени, сахарный диабет II типа, подагра. В 2021 г. перенес острое нарушение мозгового кровообращения.

Объективный статус. Общее состояние пациента тяжелое, заторможен. Кожные покровы и слизистые бледные чистые. Частота сердечных сокращений – 80 уд./мин, артериальное давление – 175/100 мм рт. ст. При аускультации выслушивается везикулярное дыхание, хрипов нет. Частота дыхательных движений – 18 в мин. SpO2 – 97 %. Тоны сердца аритмичные. Диурез сохранен, мочеиспускание свободное. Язык сухой, умеренно обложен белым налетом. Живот не вздут, участвует в акте дыхания, умеренно болезненный при пальпации в эпигастрии и мезога-стрии. Печень и селезенка не пальпируются. Синдромы раздражения брюшины отрицательные. Перистальтические шумы сохранены. Газы отходят. Стул был накануне, оформленный, без патологических примесей. При осмотре per rectum на перчатке следы кала обычного цвета.

Инструментальное обследование. На компьютерной томографии органов брюшной полости и забрюшинного пространства с внутривенным болюсным контрастированием обнаружено, что на расстоянии 34 мм от устья отмечается дефект наполнения верхней брыжеечной артерии на протяжении 55 мм. Дистальные ветви контрастированы своевременно.

Диагноз при поступлении – «острый мезентериальный тромбоз верхней брыжеечной артерии» (ВБА).

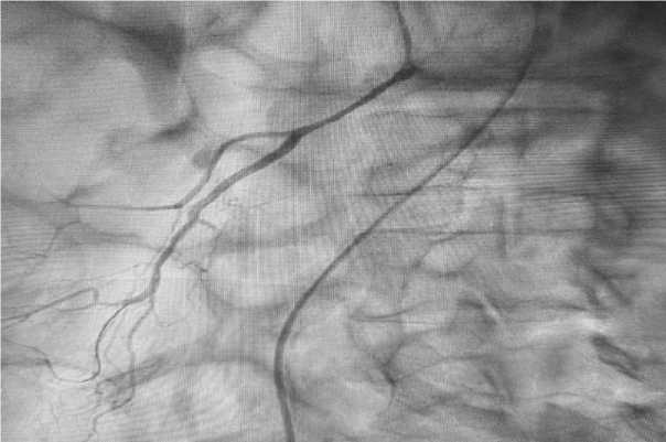
Хирургическое лечение. 01.07.2023 в 20.00. под местной анестезией выполнена катетеризация ВБА трансфеморальным артериальным доступом по Сельдингеру. При селективной ангиографии выявлен тотальный тромбоз верхней брыжеечной артерии дистальнее устья (рис. 1). За зону тромбоза в подвздошно-ободочную артерию проведен тромбоаспиратор. С учетом большого диаметра ВБА и массивного тромбоза тромбоас-пирация через коронарный аспирационный катетер была малоэффективной. Принято решение провести тромбоаспирацию через проводниковый катетер JR 4.06F. Для снижения риска диссекции артерии была сформирована двуоксиальная система «проводниковый катетер – аспирационный катетер», которая по проводнику проведена до дистального отдела подвздошнокишечной артерии. Получено большое количество тромботических масс. На контрольной ангиографии выявлено, что антеградный кровоток восстановлен, однако имеется множество пристеночных тромбов, а также тромбоз основного ствола кишечных артерий и подвздошно-кишечной артерии. С учетом массивного тромбоза и высокой вероятности повторного тромбообразования в ветвях ВБА принято решение о суперселективном введении раствора «Тирофабана» (ингибитора гликопротеинов Iib/IIIa-рецепторов) через дозатор по схеме. Крупные тромбы в основном стволе подвздошно-кишечной артерии были фрагментированы посредством баллонной ангиопластики и на активной аспирации удалены. На контрольной ангиографии ВБА выявлено, что антеградный кровоток по основным ветвям восстановлен, местами имеются пристеночные тромбы, не влияющие на скорость кровотока (рис. 2). За время оперативного вмешательства пациент получил 10 000 ЕД гепарина.

Рис. 1. Ангиография пациента при поступлении с острым мезентериальным тромбозом

С 08.07.2023 до 18.07.2023 пациент получал консервативную терапию в условиях отделения общей хирургии. 19.07.2023, на 18-й день после тромбоэкстракции, выписан в удовлетворительном состоянии под наблюдение хирурга поликлиники.

Заключение. С точки зрения системы здравоохранения, проблема острого мезентериального тромбоза по патогенетическим механизмам очень схожа с проблемой ишемии миокарда. Лечение последней достигло невероятных успехов именно благодаря правильной организации диагностического и лечебного процесса. Настал момент переноса наработок коронарной хирургии в абдоминальную. Необходимо изменить стереотипные подходы к ведению данных пациентов.

Представленный в работе клинический случай является примером тактики ведения пациентов с острым мезентериальным тромбозом, когда своевременное применение ангиохирургического метода лечения позволило избежать лапаротомии и резекции тонкого кишечника, более тяжелого течения послеоперационного периода и ухудшения качества жизни.

Конфликт интересов. Авторы заявляют об отсутствии конфликта интересов.

Вклад авторов

Концепция и дизайн исследования: Лонская С.К., Саутиев Д.О.

Литературный поиск, участие в исследовании, обработка материала: Лонская С.К., Саутиев Д.О., Григорьев К.И., Ножкин И.Ю.

Анализ и интерпретация данных: Лонская С.К., Саутиева К.И., Ножкин И.Ю.

Написание и редактирование текста: Лонская С.К., Смолькина А.В.