Комбинированное лечение рубцовых стриктур пищевода: опыт одного центра

Автор: Токтогазиев Б.Т.

Журнал: Бюллетень науки и практики @bulletennauki

Рубрика: Медицинские науки

Статья в выпуске: 3 т.12, 2026 года.

Бесплатный доступ

Рубцовые стриктуры пищевода представляют собой одну из наиболее сложных и клинически значимых проблем современной эзофагиальной хирургии. Заболевание сопровождается прогрессирующей дисфагией, нарушением нутритивного статуса и существенным снижением качества жизни пациентов. Несмотря на активное внедрение и широкое применение эндоскопических технологий, эффективность минимально инвазивных методов лечения во многом зависит от протяжённости, плотности и анатомической локализации рубцового процесса. При протяжённых и рецидивирующих стриктурах частота рестеноза остаётся высокой, что требует поиска оптимальной лечебной тактики. Цель исследования - оценить эффективность комбинированного лечения рубцовых стриктур пищевода с использованием эндоскопических методов и торако-лапароскопической экстирпации пищевода. В исследование включены 16 пациентов с рубцовыми стриктурами пищевода, находившихся на лечении в одном хирургическом центре. Всем пациентам на первом этапе проводилось эндоскопическое лечение, включающее бужирование и баллонную дилатацию, а в отдельных случаях — установку эндоскопического саморасширяющегося стента. При отсутствии стойкого клинического эффекта, рецидиве дисфагии или неэффективности эндоскопических вмешательств выполнялась тотальная торако-лапароскопическая экстирпация пищевода с замещением желудочным трансплантатом. У пациентов с протяжённостью рубцовой стриктуры более 3 см эндоскопические методы обеспечивали лишь временное улучшение проходимости пищевода и сопровождались высокой частотой рецидивов дисфагии. В данной группе больных радикальное хирургическое лечение позволило достичь удовлетворительных функциональных результатов при отсутствии послеоперационной летальности. Рубцовые стриктуры пищевода протяжённостью более 3 см следует рассматривать как прогностически неблагоприятные в отношении эффективности эндоскопического лечения и как показание к выполнению торако-лапароскопической экстирпации пищевода с замещением желудочным трансплантатом.

Еще

Рубцовая стриктура пищевода, эндоскопическое бужирование, баллонная дилатация, стентирование, торако-лапароскопическая экстирпация пищевода

Короткий адрес: https://sciup.org/14134716

IDR: 14134716   |   УДК: 616.329-007.271-089   |   DOI: 10.33619/2414-2948/124/34

Combined Treatment of Cicatricial Strictures of the Esophagus: the Experience of One Center

Cicatricial esophageal strictures remain one of the most challenging and clinically significant problems in modern esophageal surgery. The disease is accompanied by progressive dysphagia, impaired nutritional status, and a marked decrease in patients’ quality of life. Despite the widespread implementation of endoscopic technologies, the effectiveness of minimally invasive treatment methods largely depends on the length, density, and anatomical localization of the cicatricial process. In patients with long and recurrent strictures, the rate of restenosis remains high, necessitating the search for an optimal therapeutic strategy. To evaluate the effectiveness of combined treatment of cicatricial esophageal strictures using endoscopic techniques and thoraco-laparoscopic esophagectomy. The study included 16 patients with cicatricial esophageal strictures treated at a single surgical center. At the first stage, all patients underwent endoscopic treatment, including bougienage and balloon dilation, and in selected cases, placement of a self-expanding endoscopic stent. In the absence of a sustained clinical effect, recurrence of dysphagia, or failure of endoscopic interventions, total thoraco-laparoscopic esophagectomy with gastric reconstruction was performed. In patients with cicatricial strictures longer than 3 cm, endoscopic treatment provided only temporary improvement in esophageal patency and was associated with a high rate of dysphagia recurrence. In this group of patients, radical surgical treatment resulted in satisfactory functional outcomes with no postoperative mortality. Cicatricial esophageal strictures longer than 3 cm should be considered prognostically unfavorable with regard to the effectiveness of endoscopic treatment and regarded as an indication for thoraco-laparoscopic esophagectomy with gastric graft replacement an indication for thoraco-laparoscopic esophagectomy with gastric graft replacement.

Еще

Текст научной статьи Комбинированное лечение рубцовых стриктур пищевода: опыт одного центра

Бюллетень науки и практики / Bulletin of Science and Practice

УДК 616.329-007.271-089                         

Рубцовые стриктуры пищевода являются тяжёлым осложнением воспалительных, химических, ятрогенных и функциональных поражений пищевода и сопровождаются стойким нарушением пассажа пищи. Основным клиническим проявлением заболевания является прогрессирующая дисфагия, которая приводит к снижению нутритивного статуса, социальной дезадаптации и значительному ухудшению качества жизни пациентов [1–3].

Наиболее частыми причинами формирования рубцовых стриктур являются химические ожоги пищевода, последствия длительного гастроэзофагеального рефлюкса, послеоперационные и постлучевые изменения, а также осложнения эндоскопических вмешательств [4, 5].

Патогенетической основой заболевания является замещение нормальных слоёв стенки пищевода плотной фиброзной тканью, что приводит к утрате эластичности и стойкому сужению просвета органа.

В последние десятилетия эндоскопические методы лечения — бужирование и баллонная дилатация — получили широкое распространение и рассматриваются как терапия первой линии при доброкачественных стриктурах пищевода [6, 7].

Эти методики позволяют добиться быстрого восстановления проходимости пищевода и избежать травматичных хирургических вмешательств. Однако при протяжённых, плотных и рецидивирующих стриктурах их эффективность существенно снижается, а частота рестеноза остаётся высокой [8–10].

Эндоскопическое стентирование применяется как альтернативный или паллиативный метод лечения, особенно у пациентов с рефрактерными стриктурами. Вместе с тем использование стентов при доброкачественных рубцовых изменениях сопровождается риском миграции, грануляций и повторного стеноза [11, 12].

При неэффективности эндоскопических методов возникает необходимость в радикальном хирургическом лечении. Эзофагэктомия с реконструкцией пищеварительного тракта традиционно рассматривалась как травматичное вмешательство, сопровождающееся высоким риском осложнений [13].

Однако внедрение минимально инвазивных торако-лапароскопических технологий позволило существенно снизить операционную травму, частоту дыхательных осложнений и продолжительность госпитализации. Таким образом, выбор оптимальной тактики лечения рубцовых стриктур пищевода остаётся предметом дискуссии. Особое значение имеет своевременное определение показаний к переходу от эндоскопических методов к радикальному хирургическому лечению, что и обусловило актуальность настоящего исследования.

Материалы и методы

В исследование включены 16 пациентов в возрасте 24–42 лет (средний ≈ 33) с рубцовыми стриктурами пищевода, получавших лечение в одном хирургическом центре (Таблица 1).

Таблица 1

ДЕМОГРАФИЧЕСКИЕ ХАРАКТЕРИСТИКИ ПАЦИЕНТОВ

Показатель

Общее число 16

Женщины

11 (68.8%)

Мужчины

5 (31,2%)

Рубцовые стриктуры пищевода в основном локализовывались в верхнегрудном отделе пищевода, протяженностью 3-5 см. и проявлялись прогрессирующей дисфагией (Таблица 2).

Таблица 2

ХАРАКТЕРИСТИКА РУБЦОВЫХ СТРИКТУР ПИЩЕВОДА

Параметр

Значение

Основная локализация

Верхний грудной отдел

Протяжённость стриктуры

3–5 см

Тип стриктуры

Рубцовая, плотная

Клиническое проявление

Прогрессирующая дисфагия

До хирургического лечения пациенты проходили консервативные методы лечения как: эндоскопическое бужирование, балонная дилатация, эндоскопическое стентирование (табл.3). В связи с отсутствием эффекта или достижением временного эффекта, пациентам приходилось проводить длительные сеансы, которые чреваты осложнением в виде истончения стенки и перфорации пищевода.

Таблица 3

ПРИМЕНЯЕМЫЕ МЕТОДЫ ЛЕЧЕНИЯ

Метод лечения

Количество пациентов (n)

Эндоскопическое бужирование

16

Баллонная дилатация

16

Эндоскопическое стентирование

3

Торако-лапароскопическая экстирпация пищевода

Пациенты с неэффективностью эндоскопии

Результаты

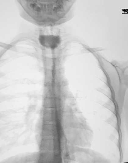
Эндоскопические методы лечения (бужирование и баллонная дилатация), применялись у всех пациентов как первый этап терапии. У большинства больных достигалось временное улучшение проходимости пищевода, однако при протяжённости рубцовой стриктуры более 3 см (Рисунок 1.) отмечалась высокая частота рецидива дисфагии.

Рисунок 1. Рентген снимок стриктуры пищевода с контрастным веществом

У 3 пациентов выполнена установка эндоскопического саморасширяющегося стента (Рисунок 2), что позволило временно стабилизировать состояние, однако не обеспечило долгосрочного эффекта. В случаях неэффективности минимально инвазивных методов пациентам выполнена тотальная торако-лапароскопическая экстирпация пищевода с замещением желудочным трансплантатом (Рисунок 3).

Рисунок 2. Пищеводный стент установленный эндоскопически

Рисунок 3. Рентгеноскопия пищевода с контрастным веществом

Послеоперационные осложнения наблюдались в 2х случаях. (таб.4) Несостоятельность шейного эзофаго-гастрального анастомоза у двух пациентов была купирована консервативным лечением (дренирование, антибактериальная терапия, нутритивная поддержка).

Таблица 4

ПОСЛЕОПЕРАЦИОННЫЕ ОСЛОЖНЕНИЯ

Осложнение

n

Несостоятельность шейного анастомоза

2

Повторное хирургическое вмешательство

0

Летальность

0

Обсуждение

Лечение рубцовых стриктур пищевода остаётся одной из наиболее дискуссионных проблем современной эзофагиальной хирургии, что связано с высокой вариабельностью клинических форм заболевания, различной протяжённостью и плотностью рубцового процесса, а также неоднозначной эффективностью минимально инвазивных методов. Согласно современным клиническим рекомендациям, эндоскопическое бужирование и баллонная дилатация рассматриваются как методы первой линии при доброкачественных стриктурах пищевода, особенно при коротких, неосложнённых и мягких стенозах [1, 2].

Результаты нашего исследования подтверждают, что при рубцовых стриктурах протяжённостью до 2–3 см эндоскопические методы способны обеспечить удовлетворительный клинический эффект, выражающийся в уменьшении дисфагии и временном восстановлении пассажа пищи. Однако при увеличении длины стриктуры более 3 см эффективность эндоскопического лечения существенно снижается. В таких случаях достигается лишь кратковременное улучшение, за которым следует рецидив дисфагии, что требует многократных повторных вмешательств. По данным литературы, частота рестеноза при протяжённых рубцовых стриктурах после эндоскопического лечения может достигать 40– 70%, что полностью коррелирует с результатами нашего наблюдения [3–5].

Повторные сеансы дилатации не только ухудшают качество жизни пациентов, но и увеличивают риск серьёзных осложнений, включая перфорацию пищевода и медиастинит. Эндоскопическое стентирование рассматривается как вариант лечения рефрактерных или рецидивирующих стриктур, однако его применение при доброкачественных рубцовых изменениях остаётся ограниченным. В нашем исследовании установка саморасширяющихся стентов у 3 пациентов позволила добиться временной стабилизации состояния, но не обеспечила стойкого клинического результата. Это согласуется с данными других авторов, указывающих на высокий риск миграции стента, гиперплазии грануляционной ткани и повторного стеноза, особенно при локализации стриктуры в верхнегрудном отделе пищевода [6, 7].

В последние годы всё большее внимание уделяется своевременному переходу к радикальному хирургическому лечению при неэффективности эндоскопических методов. Особенно это актуально у пациентов молодого возраста, для которых длительное паллиативное лечение сопряжено с хронической нутритивной недостаточностью и социальной дезадаптацией [8, 9].

Торако-лапароскопическая экстирпация пищевода с замещением желудочным трансплантатом в настоящее время рассматривается как оптимальный радикальный метод лечения сложных и протяжённых рубцовых стриктур. Минимально инвазивный доступ позволяет значительно снизить операционную травму, частоту дыхательных осложнений и продолжительность послеоперационной реабилитации по сравнению с традиционными открытыми вмешательствами [10–12].

В нашем исследовании хирургическое лечение продемонстрировало удовлетворительные функциональные результаты при отсутствии летальности. Основным послеоперационным осложнением стала несостоятельность шейного эзофаго-гастрального анастомоза, которая была успешно купирована консервативными методами. Частота данного осложнения соответствует данным литературы, где она колеблется в пределах 5–20% [13, 14].

Таким образом, полученные данные подтверждают, что протяжённость рубцовой стриктуры является ключевым прогностическим фактором неэффективности эндоскопического лечения и должна учитываться при выборе лечебной тактики уже на ранних этапах ведения пациента.

Заключение

Рубцовые стриктуры пищевода представляют собой сложную клинико-хирургическую проблему, требующую индивидуализированного и поэтапного подхода к лечению. Эндоскопические методы, такие как бужирование и баллонная дилатация, оправданы в качестве первичного этапа терапии и позволяют временно восстановить проходимость пищевода у большинства пациентов. Однако при протяжённости рубцовой стриктуры более 3 см эффективность эндоскопического лечения существенно ограничена и сопровождается высокой частотой рецидивов дисфагии, необходимостью многократных повторных процедур и риском осложнений. Эндоскопическое стентирование в данной категории пациентов носит преимущественно временный или паллиативный характер и не обеспечивает долгосрочного клинического эффекта. Торако-лапароскопическая экстирпация пищевода с замещением желудочным трансплантатом является обоснованным, безопасным и эффективным методом радикального лечения протяжённых и рефрактерных рубцовых стриктур пищевода. Применение минимально инвазивных технологий позволяет достичь удовлетворительных функциональных результатов при низкой частоте осложнений и отсутствии послеоперационной летальности. Таким образом, рубцовые стриктуры пищевода протяжённостью более 3 см следует рассматривать как прогностически неблагоприятные в отношении эндоскопического лечения и как показание к раннему переходу к радикальному хирургическому вмешательству.