Лекарственно индуцированные интерстициальные болезни легких

Автор: Жабина А.С., Трушенко Н.В., Тюрин И.Е., Юдин Д.И.

Журнал: Злокачественные опухоли @malignanttumors

Статья в выпуске: 3S2-2 т.15, 2025 года.

Бесплатный доступ

Интерстициальные заболевания легких, пульмонит, глюкокортикостеройды, лекарственные препараты, токсичность

Короткий адрес: https://sciup.org/140312992

IDR: 140312992   |   DOI: 10.18027/2224-5057-2025-15-3s2-2-17

Текст статьи Лекарственно индуцированные интерстициальные болезни легких

1.    ОПРЕДЕЛЕНИЕ

Лекарственно-индуцированное интерстициальное заболевание легких (Л-ИЗЛ) — это интерстициальное заболевание легких, возникающее в результате воздействия лекарственных препаратов, вызывающих воспаление и легочный фиброз. На долю противоопухолевых препаратов приходится 23–51% случаев Л-ИЗЛ.

Согласно классификации Американского торакального общества и Европейского респираторного общества (ATS/ERS), Л-ИЗЛ являются подтипом диффузных паренхиматозных заболеваний легких. Все Л-ИЗЛ имеют неспецифический характер и не отличаются от других ИЗЛ по клиническим, рентгенологическим и лабораторным характеристикам и, таким образом, представляют собой диагноз исключения.

Диагностика Л-ИЗЛ основывается на следующих проявлениях заболевания:

  • •    симптомы со стороны органов дыхания;

  • •    патологические изменения по результатам визуализации области грудной клетки;

  • •    изменения функции внешнего дыхания (снижение форсированной жизненной емкости легких (ФЖЕЛ);

  • •    микроскопическая картина воспаления и фиброза.

  • 2.    ПАТОГЕНЕЗ

Патогенез Л-ИЗЛ лёгких может включать следующие механизмы:

  • •    аллергические реакции (связаны с гиперчувствительностью к препаратам);

  • •    токсические реакции (прямое повреждение эпителия дыхательных путей, аль-веолоцитов первого типа самим препаратом или его метаболитами);

  • •    иммунные реакции (отложение иммунных комплексов с последующей воспалительной реакцией);

  • •    другие механизмы (некоторые препараты могут оказывать повреждающее действие на эндотелий сосудов легких или влиять на микробиом лёгких).

В основе истинного Л-ИЗЛ (гиперчувствительный пульмонит — ГП) лежит механизм IgG-опосредованного и T-клеточного воспаления с исходом в фиброплатические репаративные процессы. В половине случаев развиваются необратимые структурные изменения паренхимы легких.

Препараты, провоцирующие Л-ИЗЛ, внесены в Международную базу данных Pneumotox . При этом для каждого препарата описан тип поражения легочной паренхимы и степень риска возникновения ИЗЛ.

Частота возникновения Л-ИЗЛ на фоне наиболее часто используемых препаратов представлена в таблице 1.

Таблица 1. Препараты (группы) и частота возникновения Л-ИЗЛ

Класс препарата

Частота возникновения

Блеомицин

Частота возникновения 7–21%. Cмертность достигает 1–23%. Клинические проявления могут протекать бессимптомно (до 39% случаев выявляются только на рентгенограмме или мультиспираль-ной компьютерной томографии (МСКТ) грудной клетки) или с нарушением легочной функции. Может возникнуть на любом этапе лечения, медиана времени возникновения — 4,2 мес. Превышение кумулятивной дозы более 300000 МЕ связано с увеличением риска Л-ИЗЛ в 3,5 раза.

Гемцитабин

Частота возникновения 5–10%, смертность варьирует 0–22%.

Медиана времени возникновения — 2,2 мес. Нет дозозависимой взаимосвязи.

Метотрексат

Частота возникновения 2–11%, смертность достигает 15%. Чаще возникает при длительном пероральном приеме («метотрексатовое легкое»).

EGFR-ингибиторы

гефитиниб, осимертиниб, эрлотиниб, панитумумаб, цетуксимаб

Частота возникновения 0,3–6%, смертность 3,8–18%. Медиана времени возникновения — 1 мес.

HER2-ингибиторы

Частота возникновения 1–5% (T-DXd до 10%, смертность 1%)

BRC/ABL тирозинкиназные ингибиторы

Частота возникновения от 1/1000 до < 1/100 (нилотиниб), неизвестно — иматиниб и дазатиниб

ALK-ингибиторы

Частота возникновения 1,7–3,6%, смертность до 0,2%

BRAF-ингибиторы

Частота возникновения 2,4% (траметиниб)

PI3K-ингибитор

Частота возникновения 3–25%

FLT3-ингибитор

Частота возникновения 7–8,5%

VEGFR-ингибиторы

Частота возникновения 0,4%

ЗЛОКАЧЕСТВЕННЫЕ ОПУХОЛИ

Malignant Tumors

том/vol. 15(3s2)2025 |

Класс препарата

Частота возникновения

Ингибиторы контрольных точек

Частота возникновения 1,3–10%, смертность — 8%.

Нет связи с дозой или продолжительностью лечения.

При комбинированной терапии частота возникновения выше.

Время возникновения варьирует от 0,2 до 27,4 мес. На первые 2 мес. терапии приходится 42% Л-ИЗЛ.

CDK4/6-ингибиторы

Частота возникновения 0,3–2,1%

mTOR-ингибитор

Частота возникновения 13,5–54% (клинические проявления возникают гораздо реже, чем рентгенологические). Смертность 5,4–20%.

PARP-ингибитор

Частота возникновения 0,8–2,0%

Трастузумаб дерукстекан

Частота возникновения 10,5–15,8% (в основном низкой степени), смертность 2,4%

Производные бис-b-хлорэтил-амина (ифосфамид, мелфалан циклофосфан)

Частота возникновения 1–10%

Лекарственно-индуцированный (некардиогенный) отек легких чаще развивался на фоне терапии циклофосфаном, метотрексатом, цитарабином, фактором некроза опухоли. Может развиваться стремительно, в виде острой дыхательной недостаточности (ДН), респираторного дистресс-синдрома (ОРДС).

Факторы риска

  • •    Курение ≥ 50 пачка/лет;

  • •    характеристики заболевания: ECOG PS ≥ 2, метастазы в легких;

  • •    заболевание легких в анамнезе: ИЗЛ, ХОБЛ, туберкулез легких, бронхоэктазы;

  • •    возраст ≥ 60 лет; при лечении блеомицином пациентов старше 60 лет рекомендовано снижение дозы (см. табл. 2);

  • •    мужской пол (у женщин отмечено повышение пневмотоксичности на фоне терапии кармустином);

  • •    азиатская этническая принадлежность;

  • •    лучевая терапия на органы средостения;

  • •    хирургическое вмешательство на органах грудной клетки;

  • •    другие факторы риска.

При лечении блеомицином пациентов старше 60 лет рекомендовано снижение дозы.

Коррекция доз блеомицина в зависимости от возраста представлена в таблице 2.

Таблица 2. Коррекция дозы блеомицина в зависимости от возраста пациента

Возраст (годы)

Общая доза

Еженедельная доза

80 и старше

100 ЕД

15 ЕД

70–79

150–200 ЕД

30 ЕД

Возраст (годы)

Общая доза

Еженедельная доза

60–69

200–300 ЕД

30–60 ЕД

Меньше 60

400 ЕД

30–60 ЕД

Генетическая предрасположенность (полиморфизм фермента цитохрома Р450 и аллельные варианты HLA), злоупотребление алкоголем, химиотерапия в анамнезе, почечная недостаточность, сахарный диабет, ревматоидный артрит, рак легкого, поражение почек с повышением уровня креатинина, снижение уровня железа в крови.

В некоторых исследованиях было показано увеличение легочной токсичности при терапии блеомицином и циклофосфаном в комбинации с КСФ, однако в РКИ эти данные не подтверждены.

Факторы риска, связанные с лечением

  • •    Кумулятивная доза и длительность лечения: блеомицин (400 единиц), карму-стин (BCNU) (1500 мг/м 2 ), митомицин (50 мг/м 2 ). Для других препаратов данные остаются противоречивыми.

  • •    Комбинированная терапия:

    – Для пациентов с активирующими мутациями (в частности EGFR, ALK) при начале лечения с иммунотерапии с последующим переходом на таргетную терапию возрастает частота тяжелых НЯ.

  • •    Взаимодействие с сопутствующими, не противоопухолевыми препаратами.

  • 2.1.    Симптомы

Симптомы Л-ИЗЛ варьируют от бессимптомных находок по данным МСКТ (до трети пациентов) до тяжелого респираторного заболевания с острым развитием ДН и высоким риском летального исхода.

  • •    Одышка, тахипноэ — особенно при физической нагрузке, со временем может прогрессировать.

  • •    Кашель — чаще сухой, может быть постоянным. Появление кровохарканья при развитии диффузного альвеолярного повреждения.

  • •    Боль в груди — возникает при глубоком вдохе или кашле.

  • •    Усталость — общее чувство усталости и слабости.

  • •    Лихорадка — иногда может наблюдаться повышенная температура.

  • •    Синюшность — посинение губ и пальцев (цианоз) при тяжелых формах заболевания.

  • •    Потеря веса — может происходить из-за общего ухудшения состояния.

  • •    Артралгии — могут возникать из-за иммунной, воспалительной реакции или системного воздействия препаратов.

Симптомы неспецифичны и могут быть трудно отличимы от других этиологий.

Диагноз ставится методом исключения и требует тщательного опровержения всех прочих возможных причин.

Основные заболевания, с которыми проводится дифференциальный диагноз для подтверждения или исключения Л-ИЗЛ представлены в таблице 3.

Таблица 3. Клинические особенности заболеваний, c которыми необходимо дифференцировать диагноз Л-ИЗЛ

Заболевание

Основные черты

ИЗЛ

Кожная сыпь, кашель (особенно сухой), затрудненное дыха-ние/одышка/хрипы, лихорадка

Связь с воздействием этиологического фактора

Постепенное начало, не связанное по времени с приемом противоопухолевых препаратов. Наличие системных заболеваний соединительной ткани в анамнезе, воздействие других экзогенных факторов (плесень, перо птиц, профессиональные факторы вредности)

Инфекционная пневмония (вирусы, бактерии, грибы, простейшие)

Внезапное начало, быстрое прогрессирование

Продуктивный кашель и лихорадка

Клинические проявления могут различаться в зависимости от возбудителя

ХОБЛ

Начало в зрелом возрасте, медленное прогрессирование. Воздействие токсичных веществ в анамнезе.

Одышка при физической нагрузке.

Снижение проходимости дыхательных путей.

Застойная СН

Одышка, ортопноэ, сухой кашель, усиливающийся в положении лежа, отеки нижних конечностей.

При аускультации симметричная крепитация в нижних отделах легких. Дилатация сердца, признаки венозной легочной гипер-тензии/отека легких на рентгенограмме органов грудной клетки, матовое стекло мозаичной плотности, гидроторакc по МСКТ. Ограничение объема, а не проходимости дыхательных путей.

Другой лекарственный препарат

Воздействие этиологического фактора.

Прогрессирование опухоли

Характерные рентгенографические изменения (очаговая диссеми-нация, внутригрудная лимфаденопатия).

ТЭЛА

Одышка, боль в груди, непродуктивный кашель, тахикардия, цианоз, отеки ног, клинические признаки тромбоза глубоких вен нижних конечностей.

Послеоперационные осложнения (после хирургического лечения органов средостения)

Ограниченная зона поражения.

Лучевой пульмонит

Изменения по типу организующейся пневмонии с последующим развитием легочного фиброза). Ограничен зоной ЛТ.

В соответствии с последними рекомендациями Флейшнеровского общества, основными критериями диагноза Л-ИЗЛ являются:

  • •    выявленные изменения лёгочной паренхимы по МСКТ органов грудной клетки (обычно двусторонние с несегментарным распределением);

  • •    хронологическая связь с приемом лекарственного препарата;

  • •    исключение других причин (ХСН, инфекция, постлучевой пульмонит и др.).

  • 3.    ДИАГНОСТИКА 3.1.    Жалобы и анамнез

Вопросы, которые возможно задать пациентам для облегчения выявления ИЗЛ:

  • •    Был ли у вас кашель в последнее время?

  • •    Был ли это сухой кашель?

  • •    Отмечали ли вы затруднение дыхания, особенно во время или после физической нагрузки?

  • •    Отмечали ли вы появление каких-либо новых проблем с дыханием или нарушений со стороны дыхательной системы?

  • •    Если у вас уже есть нарушения со стороны дыхательной системы, отмечали ли вы их ухудшение?

  • •    Повышалась ли у вас температура?

  • •    Отмечали ли вы чувство усталости?

  • •    Была ли потеря веса?

  • 3.2.    Физикальный осмотр (возможен цианоз при тяжелых формах)

  • 3.3.    Мультиспиральная компьютерная томография

Аускультация легких: ослабление дыхания, крепитация в нижних отделах, хрипы.

При перкуссии: притупление в легких при выраженных изменениях или появлении плеврита.

Снижение SpO 2 по данным пульсоксиметрии.

МСКТ органов грудной клетки (предпочтительный метод исследования). Обладает высокой чувствительностью.

  • а.    Одностороннее или двухстороннее затемнение по типу «матового стекла» с консолидацией или без нее и вовлечением нескольких долей.

  • б.    Криптогенная организующаюся пневмония (КОП): участки консолидации, пери-лобулярные тени, симптом «обратного ободка».

  • в.    Неспецифическая интерстициальная пневмония (НСИП): диффузные изменения по типу матового стекла, тракционные бронхоэктазы.

  • г.    Гиперчувствительный пульмонит (ГП): диффузные изменения по типу матового стекла мозаичной плотности.

Изменения чаще напоминают острую интерстициальную пневмонию, реже — ОРДС.

Рентгенологические признаки могут сильно варьировать, а один и тот же паттерн может быть характерен для разных препаратов.

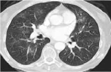
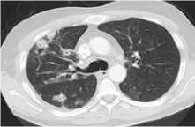
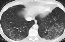
Примеры наиболее частых пульмонитов представлены на рисунке 1.

Пульмонит с множественными рассеянными уплотнениями легочной ткани по типу матового стекла

Пульмонит с участками матового стекла и консолидации, картина организующейся пневмонии (ОП)

Пульмонит с картиной мозаичной плотности, изменения по типу гиперчувствительности (ГП)

Пульмонит с диффузными изменениями по типу матового стекла, картина неспецифической интерстициальной пневмонии (НСИП)

Рисунок 1. Виды Л-ИЗЛ

  • 3.4.    Бронхоальвеолярный лаваж (по показаниям)

  • 3.5.    Микробиологическое исследование (по показаниям)

  • 3.6.    Биопсия легких (по показаниям)

Результаты дифференцировки клеток БАЛ с лимфоцитарным (> 15%), нейтрофильным (> 3%), эозинофильным (> 2%) или смешанным клеточным паттерном могут использоваться в диагностике, хотя не являются специфическими для Л-ИЗЛ.

Варианты состава БАЛ указаны в таблице 4.

Таблица 4. Клеточный состав БАЛ при различных Л-ИЗЛ

Клеточный состав

Характеристика

Нейтрофильный

Обычная интестициальная пневмония, идиопатический легочный фиброз, острый респираторный дистресс-синдром, коллагенозы, асбестоз, гранулематоз с полиангиитом

Эозинофильный

Аллергический бронхолегочный аспергиллез, эозинофильный гранулематоз с полиангиитом, эозинофильные пневмонии, идиопатический гиперэозинофильный синдром

Лимфоцитарный

Саркоидоз, бериллиоз, ГП, силикоз, болезнь Крона, ОП

Смешанно-клеточный

Организующаяся пневмония, в том числе криптогенная, НСИП

Проводится для исключения инфекционного процесса (посев на бактериальную флору, исследование мазка из носоглотки на ПЦР к основным респираторным вирусам (SARS-CoV-2, вирус гриппа и др.) БАЛ на грибковую флору, галактоманнан, ПЦР и цитологическое исследование для исключения пневмоцистной пневмонии, ЦМВ, ВЭБ, герпесвирусным инфекциям, туберкулезной инфекции и нетуберкулезному микобактериозу).

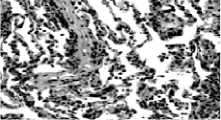
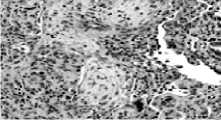
Возможные гистологические изменения: обычная интерстициальная пневмония (ИП), ГП, КОП, НСИП, ДАП (диффузное альвеолярное повреждение), эозинофильная пневмония, облитерирующий бронхиолит, кровоизлияние и гранулематозные изменения (саркоидная реакция).

Снимки гистологических изображений представлены на рисунке 2.

Разные препараты могут вызывать одинаковые гистологические повреждения, что говорит об общем механизме возникновения. Биопсия используется в диагностически сложных ситуациях и для исключения других причин.

  • 3.7.    Биомаркеры (по показаниям)

  • 3.8.    Легочные функциональные пробы (по показаниям)

  • 3.9.    Пульсоксиметрия

Активно изучаются два сывороточных биомаркера Krebs von den Lungen-6 (KL-6) и сурфактантные белки (surfactant protein, SP) SP-A и SP-D. Белки SP-A и SP-D являются специфическими маркерами легочного фиброза и демонстрируют связь с развитием идиопатического легочного фиброза.

Спирометрия, бодиплетизмография и исследование диффузионной способности легких.

Оценка SpO 2.

Клеточный интерстициальный

Организующаяся пневмония

пульмонит

Эозинофильная пневмония

Диффузное альвеолярное повреждение

Рисунок 2. Гистологические примеры ИЗЛ

  • 3.10.    Лабораторные тесты

Клинический анализ крови с расчетом лейкоцитарной формулы, СРБ, прокальцитонин, при наличии клинических признаков СЗСТ — АНФ, РФ, АЦЦП, антиScl-70 и др.

Основные моменты диагностики Л-ИЗЛ представлены в таблице 5.

Таблица 5. Ключевые элементы диагностики Л-ИЗЛ

Клиническое обследование

Визуализация             Дифференциальный диагноз

История заболевания

  • •    предыдущие методы лечения;

  • •    сопутствующие заболевания;

  • •    факторы риска

Высокоразрешающая КТ     Развернутый анализ крови

Рентгенография органов     Печеночные и почечные тесты

грудной клетки (только      СОЭ, ЛДГ, СРБ

в тяжелых случаях, в палате Опционально: KL-6, SP-A, SP-D или ОРиИТ)

Основной ВРКТ синдром:

Матовое стекло/консоли-

дация

Ретикулярные изменения

Кисты

Очаговая диссеминация

Важные дополнительные

признаки:

Симптом ободка/обрат-

ного ободка

Клиническое обследование

Визуализация

Дифференциальный диагноз

Симптомы

  • •    одышка;

  • •    боль в грудной клетке;

  • •    стеснение в груди;

  • •    непродуктивный кашель

Симптом хаотичного мощения

Мозаичная плотность Дерево в почках и другие

Микробиологические и серологические тесты для исключения инфекционной природы

Физикальный осмотр

  • •    аускультация (возможны хрипы);

  • •    возможна лихорадка;

  • •    возможен цианоз

Типичная ВРКТ картина/паттерн:

ДАП, ОИП, НСИП, ОП, ГП, саркоидоз, констриктивный бронхиолит

Легочные тесты:

Спирометрия и DLCO (если возможно) ФБС и БАЛ (если возможно)

Необходимость биопсии должна быть тщательно взвешена (неопределенный

Жизненные показатели

  • •    ЧСС;

  • •    SpO 2 ;

  • •    PaO 2 -газы крови

диагноз и благоприятный прогноз рака)

Обобщенная информация о степенях тяжести Л-ИЗЛ представлена в таблице 6.

Таблица 6. Степени тяжести Л-ИЗЛ

Степень тяжести

Клинические и рентгенологические проявления

Тактика ведения

1 степень (легкая)

Отсутствие симптомов; рентгенологические изменения в пределах одной доли или менее 25% от всей площади легких

Клиническое наблюдение и контроль МСКТ; назначение дополнительной терапии в большинстве случаев не требуется

2 степень (средней тяжести)

Появление клинических симптомов, ограничение физической активности, по МСКТ вовлечение 25–50% легочной паренхимы

Временная отмена противоопухолевого препарата 1 . Показано назначение дополнительной терапии (ГКС)

3 степень (тяжелая)

Выраженные симптомы, ограничивающие возможность самообслуживания, появление ДН; диффузные изменения с вовлечением всех долей легких или более 50% легочной паренхимы по МСКТ

Отмена противоопухолевого препарата с невозможностью его возобновить.

Необходима госпитализация либо ее продление

Кислородотерапия

Дополнительная медикаментозная терапия (ГКС, иммуносупрессивная терапия второй линии)

4 степень (жизнеугрожающая)

Жизнеугрожающая ДН

Отмена противоопухолевого препарата с невозможностью его возобновить.

Дополнительная медикаментозная терапия (ГКС, иммуносупрессивная терапия второй линии)

Показана экстренная госпитализация в ОРИТ Проведение респираторной поддержки.

Возможна ИВЛ

1 Для трастузумаб дерукстекана полностью отменить терапию

4.    ТЕРАПИЯ Л-ИЗЛ (ПУЛЬМОНИТА) 4.1.    Общие принципы

Подход к лечению Л-ИЗЛ в основном заключается в отмене препарата вызвавшего пульмонит и начале иммуносупрессивной терапии и всегда определяется степенью тяжести клинических проявлений. Поскольку раннее лечение Л-ИЗЛ имеет решающее значение для исхода, окончательный диагноз (путем исключения всех альтернативных заболеваний) не всегда обязателен перед началом лечения стероидами, особенно в тяжелых случаях (степень 3 и 4). Рекомендуется полностью исключить инфекционную природу. При лечении НЯ с поражением легких в качестве симптоматической терапии используются антигистаминные препараты, бронхолитики, антибиотики широкого спектра, кислородотерапия. В качестве иммуносупрессивной терапии первой линии используются системные ГКС (по преднизолону). Дозировка и продолжительность терапии ГКС сильно варьирует и зависимости от степени тяжести заболевания. В большинстве случаев Л-ИЗЛ отмена противоопухолевого препарата и назначение ГКС приводят к улучшению состояния и выздоровлению пациентов.

При отсутствии эффекта от проводимой терапии возможно добавить к лечению тоцилизумаб 8 мг/кг в/в. При отсутствии эффекта тоцилизумаба в течении 48 ч показано добавление к терапии инфликсимаба в дозе 5 мг/кг однократно.

При неэффективности или выраженных побочных эффектах ГКС рекомендуется рассмотреть возможность применения микофенолата мофетила внутрь по 2–3 г в сутки или азатиоприна внутрь по 100–150 мг в сутки.

Прием ГКС продолжается во время иммуносупрессивной терапии с последующим медленным снижением дозы (в течение не менее 1 мес.). В случае развития Л-ИЗЛ 3–4 ст. тяжести любой препарат, вызвавший данное НЯ, должен быть полностью отменен. При проведении поддерживающей иммунотерапии после завершения химиолучевой терапии выявление пульмонита 1 степени не является основанием для отказа от продолжения лечения.

У пациентов, требующих длительного применения иммуносупрессивной терапии (ГКС более 1 мес. или антицитокиновых препаратов, цитостатиков или иных иммуно-супрессантов), рекомендуется проводить оценку оппортунистических инфекций (тест на наличие микобактерий туберкулеза; определение антител к вирусам герпеса человека 1–6 типов; тест крови и БАЛ на мананы и галактомананы).

Краткая схема-алгоритм диагностики и лечения Л-ИЗЛ представлена на рисунке 3.

  • 4.2.    Лечение Л-ИЗЛ 1 степени

  • 4.3.    Лечение Л-ИЗЛ 2 степени

При 1 степени рекомендуется прекратить прием препарата и тщательно наблюдать в течение 2–7 дней на предмет появления клинических симптомов, до рентгенологического разрешения изменений в легких. Прием препарата может быть продолжен, но пациенты должны находиться под пристальным наблюдением (оценка клинических симптомов, контроль SpO2 каждые 2–3 дня и контролем изменений по МСКТ и/или ФВД (каждые 2–3 недели, по показаниям). Решение о продолжении терапии требует тщательного взвешивания рисков и преимуществ, принимая во внимание класс назначаемых противоопухолевых препаратов (таких как ICI, ADC и ИТК), тип новообразования и факторы риска пациента. Можно рассмотреть возможность продолжения приема ингибиторов ICI, mTOR и ИТК, в то время как терапию ADC (например, T-DxD) следует прекратить до полного разрешения. После окончательного разрешения пульмонита терапия может быть возобновлена в той же дозировке или снижена на один уровень в зависимости от состояния пациента.

Как правило, при Л-ИЗЛ 1 степени тяжести терапия ГКС не требуется. Эффективность ГКС четко не установлена, в некоторых ситуациях возможен прием преднизолона или его эквивалента в дозе 0,5 мг/кг/сут до улучшения состояния с последующим постепенным снижением дозы в течение как минимум 4 недель (в том числе для трастузумаба дерукстекана).

При ухудшении результатов диагностических обследований в динамике, несмотря на прием ГКС, перейти к рекомендациям 2 уровня.

Схема диагностики и лечения Л-ИЗЛ 1 степени представлена на рисунках 4 и 5.

Необходимо незамедлительно прекратить прием противоопухолевых препаратов и начать терапию ГКС (преднизолоном или его эквивалентом) в дозе по преднизолону 1–2 мг/кг/сут. При хорошем ответе на терапию или полном разрешении пульмонита, терапия может быть сокращена в течение 4–6 недель, но быстрое снижение дозы увеличивает риск реактивации заболевания или ухудшения существующего заболевания. Рекомендуется прекратить терапию ГКС через 6 недель после приема первой дозы для тех пациентов, у которых заболевание было вызвано T-DxD. В большинстве случаев терапия противоопухолевым препаратом должна быть прекращена навсегда, но пациенты с более легким течением Л-ИЗЛ могут возобновить лечение, если:

  • •    наблюдалось полное разрешение клинических и рентгенологических изменений пульмонита;

  • •    отсутствуют факторы риска рецидива и ухудшения состояния в течение длительного времени (например, сопутствующие респираторные заболевания, ограниченное поражение легких опухолью).

  • 4.4.    Лечение Л-ИЗЛ 3 степени

Это может касаться случаев ИКТ, ингибиторов mTOR, но не относится к T-DxD (при 2 степени Л-ИЗЛ препарат необходимо отменить).

Для некоторых противоопухолевых препаратов необходимо снижение дозы (например, эверолимус с 10 до 5 мг/сут), поэтому перед повторным назначением рекомендуется тщательно ознакомиться с инструкцией по применению препарата.

Если после 3–5 дней стероидной терапии нет улучшения, необходимо проводить терапию как при 3 степени.

Краткая схема диагностики и лечения Л-ИЗЛ 2 степени отображена на рисунках 6 и 7.

Лечение следует проводить в условия круглосуточного стационара. Пациенты с гипоксией должны получать кислородную терапию в зависимости от степени гипоксемии до устранения дыхательной недостаточности. Важно своевременное начало терапии ГКС в дозе 3–4 мг/кг/сут (метил) преднизолона внутривенно или его эквивалента. У пациентов с ответом на терапию до 1 степени (полное исчезновение симптомов при возможном сохранении рентгенологических признаков), ГКС может быть постепенно снижена через 8–12 недель; быстрая отмена стероидов увеличивает риск реактивации Л-ИЗЛ. У пациентов, резистентных к стероидам (отсутствие улучшения в течение 48–72 ч после начала приема стероидов), необходимо начать лечение инфликсимабом, тоцилизумабом или микофенолата мофетилом и иммуномодулирующими препаратами (внутривенные иммуноглобулины).

При Л-ИЗЛ 3 степени, связанным с трастузумаб дерукстеканом, необходимо вести пациентов как при 4 степени.

Схема диагностических мероприятий и алгоритм лечения, мониторинга Л-ИЗЛ 3 степени отображены на рисунках 8 и 9.

  • 4.5.    Лечение Л-ИЗЛ 4 степени

Пациенты с подозрением на 4 степень Л-ИЗЛ нуждаются в тщательном диагностическом обследовании, чтобы исключить другие патологии (инфекционные пневмонии или заболевания соединительной ткани). Симптомы быстро прогрессируют, приводя к развитию ДН. У пациентов с тяжелой степенью, как правило, наблюдается значительная гипоксемия, при которой PaO 2 /FIO 2 (доля вдыхаемого кислорода) составляет менее 300, присутствуют тахипноэ и клинические признаки ОРДС. Необходимость в искусственной вентиляции легких должна определяться с учетом исходного прогноза пациента.

Метод МСКТ позволяет предположить список для дифференциального диагноза. В острой фазе преобладающими изменениями по данным МСКТ является ДАП, характеризующееся диффузными изменениями по типу матового стекла, утолщением междольковых перегородок с картиной «булыжной мостовой», расположенных преимущественно в центральных отделах. В подострой фазе рентгенологическая картина похожа на ОП, с признаками перибронхиальных или субплевральных участков консолидации. Симптом «обратного ободка», хотя и не патогномоничный для ОП, часто выявляется по данным МСКТ при этом состоянии. В хронической фазе развивается фиброз с неравномерными ретикулярными изменениями и тракционными бронхоэктазами. Появление рентгенологических признаков легочного фиброза является неблагоприятным прогностическим признаком.

Смертность у пациентов с Л-ИЗЛ 4 степени относительно высока, и применение ГКС часто не приводит к значительному улучшению состояния. В целом эффективность гормональной терапии выше при паттерне изменений по типу ОП и, в меньшей степени, при НСИП и ГП. Лечение необходимо проводить с внутривенным введением (метил) преднизолона в дозе 4 мг/кг/сут или пульс-терапию метилпреднизолоном в дозе 500–1000 мг/сут в течение 3 дней, а затем преднизолоном в дозе 1–2 мг/кг/сут в течение 2–4 недель с последующим уменьшением дозы. У пациентов, у которых наблюдается хороший ответ, дозу стероидов следует постепенно снижать в течение 8–12 недель. Пациентам с резистентностью к стероидам (например, отсутствие клинического улучшения через 48 ч) или с особенно тяжелыми течением следует рассмотреть возможность лечения инфликсимабом, микофенолатом мофетилом или внутривенное введение иммуноглобулинов. Ранее выявление и лечение Л-ИЗЛ увеличивает вероятность достижения полной ремиссии.

Ступенчатый алгоритм терапии Л-ИЗЛ представлен в таблице 7. Схематичное изображения диагностики и лечения Л-ИЗЛ 4 степени отражены на рисунках 10 и 11.

Таблица 7. Алгоритм терапии Л-ИЗЛ

Категория

1 ступень

2 ступень

3 ступень

4 ступень

Показания

к применению ступени

1 ст.

2 ст

3–4 ст., 2 ст. (при неэффективной предшествующей терапии в течение 72 ч)

Неэффективность терапии предыдущей ступени в течение 48 ч

Препарат (иммунотерапевтическое средство)

Приостановить лечение

Приостановить лечение 1,2

Постоянная отмена терапии

Постоянная отмена

Симптоматическая терапия

Антигистаминные препараты, бронхолитики

Антигистаминные препараты, бронхолитики, кислородотерапия, антибиотики внутрь

Антигистаминные препараты, бронхолитики, кислородо-терапия, антибиотики широкого спектра и антимикотики, инфузионная терапия

Антигистаминные препараты, бронхолитики, кислородотерапия, антибиотики широкого спектра и антимикотики, инфузионная терапия

Иммуносупрессивные средства

Нет

ГКС в дозе 2 мг/кг в сутки внутрь

ГКС в дозе 3–4 мг/кг в сутки

ГКС в дозе 4 мг/кг в сутки в сочетании с инфликсимабом 5 мг/кг однократно, при неэффективности — тоцилизумаб 8 мг/кг в/в или левилимаб 324 мг однократно п/к

Условия оказания помощи

Амбулаторно

Дневной или круглосуточный стационар

Круглосуточный стационар

Круглосуточный стационар

  • 1    При улучшении на фоне симптоматической терапии до 1 ст. в течение 3 дней возможно возобновление лечения. Если нет — полная отмена терапии.

  • 2    Трастузумаб дерукстекан — отмена терапии.

  • 5.    ПРОГНОЗ

Особенности ведения в отдельных клинических случаях

Алгоритм действий при развитии лекарственно-индуцированного пульмонита зависит от конкретного препарата. Примеры коррекции доз лекарственных препаратов при появлении пульмонологической токсичности приведены в таблице 8.

Таблица 8. Рекомендации по коррекции дозы некоторых противоопухолевых препаратов

Препарат

Степень

Рекомендации

Эверолимус

1 степень

Оценить возможность продолжения лечения, если нет других значимых факторов риска развития тяжелого пульмонита

2 степень

Прерывание терапии до тех пор, пока симптомы не улучшатся до 1 степени.

Возобновить лечение в дозе 5 мг в день.

Прекратить лечение, если в течении 4 недель не наступит выздоровление.

3 степень

Прервать лечение до тех пор, пока симптомы не уменьшатся до 1 степени. Возобновить лечение в дозе 5 мг в день. Если токсичность повторится при 3 степени — отмена терапии

4 степень

Прекратить лечение

Осимертиниб/ гефитиниб/

1 степень

Рассмотреть возможность прерывания терапии до полного купирования.

После целесообразно повторное назначение препарата в той же дозировке

эрлотиниб

2 степень

Прервать терапию до полного выздоровления. После тщательного рассмотрения пользы и риска, повторное назначение препарата (в половинной дозировке для проверки переносимости).

3 степень

Прекратить лечение

4 степень

Прекратить лечение

Трастузумаб дерукстекан

1 степень

Прервать лечение до полного разрешения; если купировано через 28 дней или менее — полная доза, если более чем через 28 дней с момента начала Л-ИЗЛ, уменьшить дозу на один уровень

Если ИЗЛ не разрешилось в течение 18 недель (126 дней) с момента последней инфузии, полностью прекратить терапию

Если Л-ИЗЛ 1 степени возникло после дня 22 цикла и не разрешилось в течение 49 дней с момента последней инфузии, полностью прекратить терапию

2 степень

Полностью отменить терапию

3 степень

Полностью отменить терапию

4 степень

Полностью отменить терапию

Рекомендации по лечению ИБЛ/пульмонита, связанного с применением ингибиторов контрольных точек — см. соответствующий раздел по управлению иммуноопосредован- ными нежелательными явлениями (стр. 271–329).

Прогноз для пациентов с Л-ИЗЛ 1 степени в целом благоприятный. Риск развития Л-ИЗЛ оценивается в каждом конкретном случае, тщательно взвешивая риски и преимущества отмены потенциально эффективного противоопухолевого препарата и возможное ухудшение клинического состояния при продолжении противоопухолевого лечения. Рекомендуется контроль КТ грудной клетки через 2 нед. и более тщательное клиническое наблюдение (каждые 2–3 дня) при решении продолжения терапии.

Прогноз Л-ИЗЛ 2 степени зависит в первую очередь от ответа на терапию ГКС, динамики клинического состояния (контроль клинического осмотра каждые 3–5 дней, КТ визуализации и спирометрического исследования каждые 2 недели до разрешения), паттерна рентгенологических изменений и тяжести нарушения функции легких. Факторами риска ухудшения прогноза являются курение в анамнезе, прием лекарственных препаратов, которые связаны с высокой смертностью от сердечно-сосудистых заболеваний, возраст пациента и сопутствующие заболевания.

Прогноз при 3 степени также зависит от ответа на ГКС, динамики клинического состояния (ежедневная оценка состояния пациента в стационаре, а затем мониторинг с помощью КТ-исследований и спирометрических тестов по показаниям), паттерна рентгенологических изменений (легочный фиброз характеризуется неблагоприятным прогнозом) и степени нарушения функции легких.

Прогноз Л-ИЗЛ 4 степени варьирует, смертность составляет 40–83%. Риск летального исхода увеличивает наличие изменений по типу ДАП и появление рентгенологических признаков легочного фиброза. Наконец, мужской пол, возраст старше 65 лет, ранее имевшееся заболевание легких и диагноз НМРЛ обычно рассматриваются как факторы риска ухудшения прогноза, хотя необходимы дальнейшие исследования для лучшего выявления пациентов с наибольшим риском развития Л-ИЗЛ 4 степени.

Рисунок 3. Диагностика Л-ИЗЛ

Рисунок 4. Диагностика Л-ИЗЛ 1 степени

s

X b si ii c Ф ’1 £

О о H и Ф Ф Cl LQ у о

о 1-

  • •    Временное прекращение противоопухолевой терапии

  • •    Антигистаминные препараты

  • •    Бронхолитики

  • •    ГКС не показаны

  • •    При рецидивирующих формах или терапии T-DxD терапия преднизолоном в дозе 0,5 мг/кг/сут. или его эквивалент

Если прием препарата прекращен: • наблюдение в течение 2–7 дней на предмет появления клинических симптомов

  • •    пульсоксиме-трия

  • •    КТ-снимки через 2 нед.

Эффект

Разрешение ИЗЛ: решение вопроса о возобновлении терапии; при необходимости — редукция дозы

Отсутствие эффекта или ухудшение: перейти к рекомендациям 2-го или 3–4-го уровней

Мультидисциплинарная оценка

Рисунок 5. Лечение Л-ИЗЛ 1 степени

Легкие симптомы, не влияющие на качество жизни (Л-ИЗЛ 2 степени)

Клиническое обследование

Факторы риска и сопутствующие препараты, которые могут быть связаны с Л-ИЗЛ

Симптомы: одышка, астения, боль в грудной клетке, непродуктивный кашель Аускультация (возможны хрипы) ЧДД более 20 вдохов в мин. или изменение по сравнению с предыдущим Уменьшение SpO 2 по сравнению с предыдущим

j КТ грудной клетки

Появление

—► симпто- —► мов

Рисунок 6. Диагностика Л-ИЗЛ 2 степени

  • •    Прекращение противоопухолевой терапии

  • •    Начать антибактериальную терапию при подозрении на инфекцию (лихорадка, повышение содержания СРБ, увеличение количества нейтрофилов

  • •    Антигистаминные препараты, бронхолитики

  • •    Кислородотерапия, антибиотики внутрь

  • •    ГКС в дозе 1–2 мг/кг в сутки внутрь

  • •    Профилактика оппортунистических инфекций

Есть рентгено-> графические изменения

Дифференциальный диагноз

Клинический анализ крови с лейкоцитарной формулой, СОЭ

АЛТ, АСТ, билирубин, ЩФ, ЛДГ

Креатинин, мочевина, мочевая кислота

СРБ

Микробиологические и серологические тесты для исключения инфекций Спирометрия и DLCO (опционально)

Бронхоскопия + БАЛ

  • •    Мониторинг ДН (SpO 2 )

  • •    Спирометрия и DLCO (опционально)

  • •    КТ грудной клетки

  • •    Тщательный мониторинг (каждые 2–3 дня)

Эффект

Мультидисциплинарная оценка

Рисунок 7. Лечение Л-ИЗЛ 2 степени

Другие причины исключены

Разрешение ИЗЛ: прекращение ГКС через 4–6 нед.;

в зависимости от противоопухолевого препарата обсуждение возможности его возобновления

Отсутствие эффекта или ухудшение через 72 ч.: перейти к рекомендациям 3-го уровня

Симптомы приводят к ухудшению качества жизни и ограничивают повседневную активность, возможна респираторная поддержка (Л-ИЗЛ 3 степени)

Клиническое обследование

Факторы риска и сопутствующие препараты, которые могут быть связаны с ИЗЛ

Симптомы: одышка, астения, боль в грудной клетке, непродуктивный кашель

Возможны лихорадка, цианоз слизистых Аускультация (возможны хрипы) ЧДД более 20 вдохов в мин. или изменение по сравнению с предыдущим Уменьшение SpO 2 по сравнению с предыдущим Госпитализация

КТ грудной клетки

Есть рентгено-

-► графические изменения

Дифференциальный диагноз

Симптомы и изменения жизненно важных показателей

Клинический анализ крови с лейкоцитарной формулой, СОЭ

АЛТ, АСТ, билирубин, ЩФ, ЛДГ Креатинин, мочевина, мочевая кислота

СРБ

Микробиологические и серологические тесты для исключения инфекций Спирометрия и DLCO (опционально)

Бронхоскопия + БАЛ

При необходимости консультация пульмонолога

Другие причины исключены

Рисунок 8. Диагностика Л-ИЗЛ 3 степени

Разрешение ИЗЛ: прекращение ГКС через 6–12 нед.;

в зависимости от противоопухолевого препарата обсуждение возможности его возобновления

Отсутствие эффекта или ухудшение через 48–72 ч.: перейти к рекомендациям 4-го уровня

Мультидисциплинарная оценка

Рисунок 9. Лечение Л-ИЗЛ 3 степени

Симптомы приводящие к инвалидизации, необходимость ИВЛ (Л-ИЗЛ 4 степени)

Клиническое обследование

Факторы риска и сопутствующие препараты, которые могут быть связаны с ИЗЛ

Симптомы: одышка, астения, боль в грудной клетке, непродуктивный кашель

Возможны лихорадка, цианоз слизистых Аускультация (возможны хрипы) ЧДД более 20 вдохов в мин. или изменение по сравнению с предыдущим Уменьшение SpO 2 по сравнению с предыдущим Тяжелая гипоксемия Госпитализация

КТ грудной клетки

Симптомы и изменения жизненно важных показателей

Есть рентгено-> графические изменения

Дифференциальный диагноз

Клинический анализ крови с лейкоцитарной формулой, СОЭ

АЛТ, АСТ, билирубин, ЩФ, ЛДГ

Креатинин, мочевина, мочевая кислота

СРБ

KL-6, SP-A, SP-D (опционально)

Микробиологические и серологические тесты для исключения инфекций Спирометрия и DLCO (опционально)

Бронхоскопия + БАЛ Оценить необходимость ИВЛ При необходимости консультация пульмонолога

Другие причины исключены

Не все изменения должны присутствовать, время до появления симптомов сильно варьирует, жесть симптомов приводит к госпитализации и необходимости ИВЛ.

Рисунок 10. Диагностика Л-ИЗЛ 4 степени

Л-ИЗЛ 4 степени

тя

Симптомы приводящие к инвалидизации, необходимость ИВЛ (Л-ИЗЛ 4 степени)

  • •    Отмена противоопухолевой терапии

  • •    Антигистаминные препараты, бронхолитики

  • •    Кислородотерапия, антибиотики широкого спектра и антимикотики, инфузионная терапия

  • •    ГКС в дозе 3–4 мг/кг в сутки и инфликсимаб 5 мг/кг однократно, при неэффективности — тоцилизумаб 8 мг/кг в/в или левилимаб 324 мг однократно п/к

  • •    Госпитализация

  • •    Профилактика оппортунистических инфекций

  • •    Продолжительноть гормонотерапии определяется эффектом лечения, возможно продление до 6 мес.

  • •    В тяжелых случаях метипреднизолон 500–

    1000 мг в сутки 3 дня — далее переход на преднизолон

2–3 мг/кг/сут. 2–4 недели

  • •    Мониторинг ДН (SpO 2 )

  • •    Спирометрия и DLCO (опционально)

  • •    КТ грудной клетки

  • •    Тщательный мониторинг

Разрешение ИЗЛ: медленное снижение дозы до 8–12 нед.

Мультидисциплинарная оценка

Рисунок 11. Лечение Л-ИЗЛ 4 степени

Эффект

Отсутствие эффекта (48 ч.): инфликсимаб или ММФ и иммуноглобулины в/в

том/vol. 15(3s2)2025

ЗЛОКАЧЕСТВЕННЫЕ ОПУХОЛИ

Malignant Tumors