Морфометрические признаки и ISSR-типирование коллекционных образцов чайно-гибридных роз (Rosa × hyb-rida hort.) в условиях Западной Сибири

Автор: Юданова С.С., Васильева О.Ю., Дорогина О.В.

Журнал: Сельскохозяйственная биология @agrobiology

Рубрика: Молекулярное маркирование

Статья в выпуске: 1 т.61, 2026 года.

Бесплатный доступ

К важнейшим признакам при подборе сортов роз для выращивания в условиях резко континентального климата относится цветение однолетних побегов. Такие сорта можно встретить в нескольких садовых группах (чайно-гибридные, флорибунда, грандифлора и кордезии). Сорта чайно-гибридной группы характеризуются необыкновенным богатством цветовой палитры, разнообразием форм цветка и ароматов, длинными цветоносами и продолжительным ремонтантным цветением. Группа чайно-гибридных роз полифилетична, а отнесение роз к садовым группам зачастую осуществлялось лишь по морфологическим признакам. Молекулярно-генетические методы типирования растительного материала, в частности применение молекулярных маркеров, позволяют рациональнее использовать имеющийся генофонд, оптимизируя подбор селекционного материала из коллекций. Целью работы было сравнение сортов роз чайно-гибридной группы по морфометрическим признакам, оценка адаптивного потенциала этих сортов в климатических условиях лесостепи Западной Сибири и анализ уровня их генетического полиморфизма с помощью ISSR маркеров. Проведенный анализ выявил широкий диапазон изменчивости по морфометрическим признакам. По размерам цветка (D) и числу лепестков (C) статистически достоверно выделились три сорта — Золотая осень (D = 5,54±0,13 см; C = 23,75±1,15 шт.) и Чайка (D = 7,62±0,19 см; C = 34,67±0,61 шт.) c самыми низкими значениями и Dame de Cœur (D = 11,71±0,14 см, C = 52,67±0,91 шт.) c наибольшими показателями. Самыми высокими в суровых климатических условиях Сибири оказались сорта Julie (75,00±1,95 см), Чатыр-Даг (72,24±1,65 см) и Tineke (72,34±2,45 см), причем два последних сорта оказались наиболее пригодными для срезки по показателю «длина цветоноса» — Чатыр-Даг (39,72±1,30 см) и Tineke (40,35±1,24 см). В настоящем исследовании выделено пять сортов с высоким адаптивным потенциалом (Краски осени, Утро Москвы, Crimson Glory, Dame de Cœur, Julie). Впервые показано, что в условиях Западной Сибири эти сорта могут завязывать семена, что дает возможность их вовлечения в селекционную работу, в том числе в качестве материнских форм. Эти сорта лучше остальных зимуют под воздушно-сухими укрытиями с сохранением живых почек в надземной части прошлогоднего побега и последующим завязыванием полноценных семян (плодов-орешков). По результатам молекулярно-генетического исследования обнаружено широкое генетическое разнообразие исследованных сортов чайно-гибридных роз. Два сорта отечественной селекции Утро Москвы и Чайка при анализе методом Neighbor-Joining показали наибольшее генетическое сходство, что вероятнее всего свидетельствует об общности происхождения их родительских форм.

Еще

Rosa L., розы, чайно-гибридная группа, генофонд, генетическое разнообразие, ДНК-маркеры, ISSR, морфометрические признаки, адаптивный потенциал сортов, континентальный климат

Короткий адрес: https://sciup.org/142247333

IDR: 142247333   |   УДК: 633.811:581.4:577.2   |   DOI: 10.15389/agrobiology.2026.1.106rus

Morphometric characters and ISSR-typing of collection samples of hybrid tea roses (Rosa × hybrida hort.) in Western Siberia

One of the most important character in selecting the best rose cultivars for cultivation in extreme continental climate is flowering of their annual shoots. Such cultivars are found in the following garden groups: hybrid tea, floribunda, grandiflora and kordesii. In addition, cultivars of the hybrid tea group studied in this work are characterized by a wider range of colors, bloom shapes, aromas, long peduncles and long-lasting remontant flowering. The group of hybrid tea roses is polyphyletic, and the roses garden groups were often identified by morphological characters. Molecular genetic methods for typing plant material, in particular the use of molecular markers, allow for more rational use of the existing gene pool, optimizing the selection of breeding material from collections. The goals of the present study were: 1) to compare the hybrid tea cultivars across the morphometric characters; 2) to evaluate of adaptive potential of the studied cultivars under the forest steppe conditions in Western Siberia; 3) to analyze the genetic polymorphism level in these cultivars using ISSR markers. A wide range of variability by morphometric characters was detected in the studied rose cultivars. Three cultivars statistically significant stand out by bloom size (D) and number of petals (C): the lowest values were characteristic of Zolotaya Osen’ (D = 5.54±0.13 cm; C = 23.75±1.15) and Chaika (D = 7.62±0.19 cm; C = 34.67±0,.61); the highest values of Dame de Cœur (D = 11,71±0,14 cm, C = 52.67±0.91). The tallest cultivars in Siberia harsh climate were Juliet (75.00±1.95 cm), Chatyr-Dag (72.24±1.65 cm), and Tineke (72.34±2.45 cm). The latter two cultivars were the most suitable for cut flowers for their stem length, 39.72±1.30 cm in Chatyr-Dag and 40.35±1.24 cm in Tineke. Our study identified five cultivars with high adaptive potential, the Kraski Oseni, Utro Moskvy, Crimson Glory, Dame de Cœur, and Juliet. For the first time, it has been shown that these varieties can set seeds in the conditions of Western Siberia. Thereof, they may be involved in breeding work, including as maternal forms. These varieties overwinter better than others under air-dry shelters, preserving living buds in the aboveground part of last year’s shoots and subsequently setting full-fledged seeds (achenes). A wide genetic diversity of the studied hybrid tea roses cultivars was detected using molecular genetic study. Two cultivars of Russian breeding, Utro Moskvy and Chaika, showed the greatest genetic similarity when analyzed using the Neighbor-Joining method, which most likely indicates a common origin of their parental forms.

Еще

Текст научной статьи Морфометрические признаки и ISSR-типирование коллекционных образцов чайно-гибридных роз (Rosa × hyb-rida hort.) в условиях Западной Сибири

Важнейшим признаком при подборе сортов роз для выращивания в суровых климатических условиях служит цветение однолетних побегов. Этот признак присущ не всем садовым группам роз и не всем сортам внутри одной группы. У большинства сортов, относящихся к плетистым крупноцветковым розам (садовая группа LCl, Large-flowered Climber), формирование цветков

Работа выполнена при поддержке базового проекта И126012336365-0 «Разработка научных основ и технологий оценки, сохранения и восстановления природного и культурного биоразнообразия, в том числе редких видов растений и их рационального использования».

происходит только на многолетних системах побега формирования (СПФ). В условиях резко континентального климата надземные части куста у подавляющего большинства садовых роз практически ежегодно вымерзают (5, 6).

При создании розариев в Сибири представляют особый интерес сорта из садовых групп чайно-гибридных, флорибунда, грандифлора и кор-дезии, которые образуют цветки на однолетних побегах. Пробуждение спящих почек в подземной зоне возобновления, в том числе у чайно-гибридных сортов, позволяет растению полностью восстановиться и вступить в фазу цветения благодаря заглубленной посадке. Кроме того, чайно-гибридная группа славится необыкновенным богатством цветовой палитры, формой цветка, ароматом, длинными цветоносами и продолжительным ремонтантным цветением (6, 7).

Основатель чайно-гибридной группы — сорт La France (1867 год), относительно происхождения которого существует несколько версий. Согласно одной из наиболее распространенных, сорт получен в результате скрещивания ремонтантной и чайной роз (8). Этим отчасти объясняется то, что множество полученных в дальнейшем чайно-гибридных сортов были слабо зимостойкими (унаследовано от чайных роз) и восприимчивыми к грибным болезням (унаследовано от ремонтантных роз).

Современные садовые группы роз имеют сложное гибридное происхождение. В их создании принимали участие переднеазиатские Rosa gallica L., Rosa damascena Mill. и юго-восточноазиатские Rosa bracteata J.C. Wendl., Rosa chinensis Jacq., Rosa multiflora Thunb. и другие виды (9).

Молекулярные маркеры, которые все шире применяют селекционеры и генетики сельскохозяйственных культур (10, 11), не менее важны в декоративном садоводстве. Молекулярно-генетическое описание (в частности, типирование по молекулярным маркерам) стало рутинным дополнением ботанического, фенологического, морфометрического описаний коллекционных образцов (12), важным для их идентификации.

Изучение генетической изменчивости молекулярными методами имеет большое значение в программах управления генетическими ресурсами растений. Идентификация интересующих генотипов используется как в селекционной практике, так и для разработки эффективных стратегий сохранения видов. Широкий спектр молекулярных маркеров используются для анализа генетической изменчивости, идентификации, генотипирования и характеристики сортов растений. Оценка генетического полиморфизма с помощью ISSR (inter-simple sequence repeat) маркеров основана на анализе участков ДНК, фланкированных микросателлитными повторами (13). Это быстрый, экономичный, обладающий хорошей воспроизводимостью метод. Число микросателитных повторов в геноме растений очень велико, что обусловливает удобство для генетического анализа (14, 15). ISSR-метод эффективен при анализе генетической изменчивости, в частности для изучения структуры популяций и их разделения, а также для анализа родства зародышевой плазмы, идентификации и паспортизации сортов растений (16, 17). Помимо использования молекулярных инструментов для идентификации сортов, в селекции декоративных растений актуальны два основных направления, использующие техники молекулярной биологии. Селекция с применением маркеров использует информацию о маркерах, связанных с интересующими признаками, для разработки более эффективных стратегий отбора. Это особенно важно в тех случаях, когда важные признаки трудно анализировать или необходимы одновременные комбинации нескольких генов, в частности генов устойчивости. Кроме того, интрогрессия целевых признаков из геномов диких видов может быть более эффективной при использовании молекулярных маркеров. Второе направление включает в себя методы генной инженерии декоративных растений. В этой области практически не ограничен доступный генофонд для новых целевых генов. Оба направления в основном сосредоточены на устойчивости к болезням, стрессоустойчивости, продуктивности, изменении архитектуры растения. Как для маркер-опосредованной селекции (marker-assisted selection, MAS), так и для генной инженерии первостепенное значение имеют результаты проектов по секвенированию геномов модельных организмов, так как они предоставляют ценную информацию о генетической архитектуре цветковых растений (12).

В представленной работе нами выделено пять сортов роз с высоким адаптивным потенциалом (Краски осени, Утро Москвы, Crimson Glory, Dame de Cœur, Julie). Впервые показано, что в условиях Западной Сибири эти сорта могут завязывать семена, что дает возможность их вовлечения в селекционную работу, в том числе в качестве материнских форм. С использованием молекулярно-генетических методов обнаружено широкое генетическое разнообразие исследованных сортов чайно-гибридных роз.

Цель настоящего исследования заключалась в описании и сравнении сортов роз чайно-гибридной группы из коллекции лаборатории интродукции декоративных растений (фрагмент USU 44534 ЦСБС СО РАН) по морфометрическим признакам, адаптивному потенциалу в климатических условиях лесостепи Западной Сибири и уровню генетического полиморфизма при оценке с помощью ISSR маркеров.

Методика . Исследования проводились в г. Новосибирске, в лесостепной зоне Западной Сибири, для которой характерно как проникновение волн холода с севера, так и тепла с юго-запада. Здесь отмечается суровая континентальность Азиатского материка. Среднегодовая температура воздуха в г. Новосибирске: +0,2 ° С, среднегодовое количество осадков составляет около 460 мм, их максимальное значение (63 мм) приходится на июль. В среднем в апреле-октябре осадков выпадает более 280 мм. Безморозный период продолжается 120 сут. Средняя продолжительность периода с температурой воздуха выше 5 ° С — 155 сут. Сумма температур воздуха выше 10 ° С составляет 1800-1950 ° С.

Поскольку одним из основных критериев отбора хозяйственно ценных видов и сортов в лесостепи Западной Сибири, как и в целом в регионе, служит зимостойкость, наиболее детально мы проанализировали условия зимовки с 2018 по 2021 год. В этот период наиболее низкими температурами отличалась зима 2020-2021 годов. Так, в декабре 2020 года в I и особенно в III декаде преобладала холодная погода с понижением среднесуточной температуры до - 21,4 ° С (минимальная температура воздуха достигала - 35..-40 ° С). Среднемесячная температура воздуха в январе 2021 года составила - 21,8 ° С, что на 5 ° С ниже нормы. Аномально холодной была I декада со среднесуточной температурой воздуха - 27,2 ° С, а также малым количеством осадков (3 мм). Во II и III декадах наблюдались большие колебания температуры воздуха: от - 2,1 ° С до - 41 ° С. На протяжении всего февраля происходили резкие перепады температуры воздуха (от +2 ° С до - 36 ° С). Среднесуточная температура III декады была ниже нормы на 7,2 ° С и составила - 21,5 ° С.

Материалом для исследования послужили 12 сортов роз чайно-гибридной группы отечественной и зарубежной селекции (коллекция ЦСБС СО РАН, фрагмент USU 44534): Аю-Даг, Золотая осень, Краски осени, Утро Москвы, Чайка, Чатыр-Даг, Crimson Glory, Dame de C ^ ur, Jacaranda, Julie, Princesse de Monaco, Tineke. Все сорта выращивались в открытом 108

грунте в привитой культуре с заглублением места прививки на 7-10 см согласно рекомендациям, разработанным ранее томскими розоводами (6). Такой прием способствует успешной перезимовке даже при экстремально низких температурах. Подвоем служили растения вида Rosa canina L., выращенные из семян местной репродукции. Сорта роз представляют собой клоны одного растения, размноженного с помощью прививки. Каждый сорт в коллекции представлен пятью образцами — многолетними кустами роз. Надземная часть побегов роз практически ежегодно погибает из-за суровых климатических условий в зимний период. Весной на подземной части побегов пробуждаются почки, и восстановление куста происходит по типу корневищных многолетников.

Сорта сравнивали по основным морфометрическим признакам: диаметр цветка, число лепестков (определяет группу махровости), длина цветоноса, высота куста. Диаметр измеряли у полностью раскрывшихся цветков в открытом грунте (по диаметру цветка в сочетании с числом лепестков и длиной цветоноса судят о возможностях использования сорта роз на срез). Высоту куста измеряли в период первого массового цветения (признак определяет размещение сортов в высотных ярусах цветочных экспозиций). Измерения и наблюдения по пяти имеющимся в коллекции экземплярам для каждого изученного сорта проводили в течение 4 летних сезонов (2018-2021 годы) на участке ЦСБС СО РАН. Число ежегодных измерений таких параметров, как высота куста, ограничено числом растений на экспериментальных делянках (5 растений каждого сорта). По другим параметрам (диаметр цветка, число лепестков, длина цветоноса) у каждого сорта выполняли 20 измерений каждый вегетационный период во время массового цветения. Для оценки морфобиологических признаков применяли стандартные методики (18-20).

ДНК выделяли из сухого гербарного материала, который собирали в весенний—раннелетний период (май после отрастания и до середины июня). Пробы отбирали от пяти имеющихся кустов каждого сорта (по 1-2 листа от растения). Для анализа использовалась объединенная проба (генетический материал от каждого из пяти растений для сорта).

При выделении ДНК использовали модифицированный протокол CTAB-метода (21). Брали навеску (10 мг) сухого вещества (гербарный материал). Буфер содержал 2 % CTAB, 1,4 M NaCl, 100 мM Tris-HCl, 20 мM EDTA, 0,2 % меркаптэтанола. Для удаления белковых примесей проводили 2-кратную обработку смесью хлороформа и изоамилового спирта (в соотношении 24:1). Для осаждения ДНК добавляли 2/ 3 объема холодного изопропилового спирта ( - 20 ° С). Затем для очистки от солей осадок промывали этиловым спиртом (80 %). Высушенную ДНК растворяли в стерильной деионизированной воде. Полученные образцы ДНК хранились в холодильнике при +4 ° С и в морозильной камере.

Для исследования отобрали шесть праймеров (производство ООО «БИОССЕТ», Россия), дающих четкий и воспроизводимый паттерн фрагментов, — HB10, HB12, 17899B, UBC807, UBC834, UBC855:

Праймер | Нуклеотидная последовательность, 5 ^3’ | Температура отжига, °С

HB10

(GA) 6 CC

49

HB12

(CAC) 3 GC

42

17899B

(CA) 6 GG

42

UBC807

(AG) 8 T

52

UBC834

(AG) 8 YT

60

UBC855

(AC) 8 YT

50

Реакционная смесь для проведения полимеразной цепной реакции (ПЦР) содержала 1,5 ед. Taq ДНК-полимеразы (5 ед/мкл, ООО «Медиген»,

Россия); 2,3 мМ MgCl; 1½ Taq-буфер без Mg2+ (ООО «Медиген», Россия); 0,8 мМ dNTPs (ООО «Медиген», Россия); 0,8 мМ ISSR праймер (ООО «Ме-диген», Россия); 2 мкл раствора ДНК; вода mQН 2 О до 25 мкл. ПЦР проводили на амплификаторе C-1000 («Bio-Rad», США). Амплификацию фрагментов ДНК выполняли по следующей программе: первичная денатурация при 95 ° С, 2 мин; денатурация при 94 ° С, 20 с, отжиг праймеров при соответствующей температуре 45 с, элонгация при 72 ° С 1,5 мин (35 циклов); финальная элонгация при 72 ° С 7 мин. Продукты амплификации разделяли электрофорезом в 1,4 % агарозном геле в 1½ TBE-буфере по стандартной методике (22). Воспроизводимость амплификации фрагментов в ПЦР оценивали в 3-кратной повторности.

Статистическую обработку результатов ПЦР и построение дендрограмм проводили с помощью пакета программ TREECON (for Windows, 1.3b). Каждый ISSR-маркер рассматривался как доминантный, отмечалось его наличие или отсутствие (1 или 0). Генетические дистанции определяли по M. Nei (23). При оценке морфологических признаков представлены средние значения ( M) и их стандартные ошибки ( ± SEM). Достоверность различий между сортами по каждому изучаемому признаку оценивали с помощью критерия Краскела-Уоллиса (24, 25) с использованием пакета программ Statistica 8.0 («StatSoft, Inc.», США).

Результаты . Происхождение сортов описано в таблице 1.

1. Изученные чайно-гибридные сорта роз ( Rosa ½ hybrida hort. ) (коллекция ЦСБС СО РАН, г. Новосибирск)

Сорт

Происхождение

Родословная

Аю-Даг             В.Н. Клименко, З.К. Клименко, 1959 Chrysler Imperial ½ Kordes' Sondermeldung

Золотая осень       В.Н. Клименко, 1955               Heinrich Wendland ½ смесь пыльцы Mme Nico

las Aussel + Mme Edouard Herriot + Poinsettia

Краски осени       З.К. Клименко, К.И. Зыков, 1979     Радиомутант сорта Piccadilly

Утро Москвы       И.И. Штанько, 1952                Frau Karl Druschki ½ Kordes’ Sondermeldung

Чайка               В.Н. Клименко, 1959                Virgo ½ Gloria Dei

Чатыр-Даг          З.К. Клименко, 2009                 Charles Mallerin ½ Chrysler Imperial

Crimson Glory       «Kordes Rosen», 1935, Германия      Сеянец Cathrine Kordes ½ W.E. Chaplin

Dame de Cœur      «Lens Roses», 1958, Бельгия          Gloria Dei ½ Kordes’ Sondermeldung

Jacaranda            «Kordes Rosen», 1985, Германия      Нет сведений

Julie                «Kordes Rosen», 1970, Германия      Сеянец ½ Red American Beauty

Princesse de Monaco «Meilland», 1981, Франция           Ambassador ½ Peace

Tineke              «Select Roses B.V.», 1989, Нидерланды Нет сведений

Примечание. регистрации сорта

В столбце «Происхождение» указаны селекционеры или фирма (создатели сорта) и год

Рис. 1. Отечественные и зарубежные сорта чайно-гибридных роз (Rosa ½ hybrida hort.), представ- ляющих широкую цветовую палитру для ландшафтного дизайна в Сибири: А — Dame de Cœur; Б — Tineke; В — Утро Москвы; Г — Золотая осень (коллекция ЦСБС СО РАН, г. Новосибирск, фото 2020 года)

Четыре из этих сортов представляют особый интерес для ландшафтного дизайна в Сибири (рис. 1).

У роз, используемых в декоративном садоводстве, кроме аромата и окраски цветка, часто ценится размер и степень махровости цветка (число лепестков). По средним значениям диаметра цветка (табл. 2) обращает на себя внимание сорт Dame de Cœur с крупными махровыми цветками. Сравнение с помощью критерия Краскела-Уоллиса показало, что Dame de Cœur имеет наибольший диаметр цветка (11,71±0,14 см) и достоверно (p < 0,05) отличается по этому признаку от сортов Краски осени (8,13±0,16 см), Чайка (7,62±0,19 см), Аю-Даг (9,06±0,18 см), Чатыр-Даг (9,50±0,32 см), Золотая осень (5,54±0,13 см), Julie (8,23±0,19 см), Crimson Glory (9,58±0,12 см), Jacaranda (9,15±0,19 см). У сорта Золотая осень диаметр цветка был наименьшим (5,54±0,13 см) и достоверно (p < 0,01) отличался от такового почти у всех сортов: Аю-Даг (9,06±0,18 см), Краски осени (8,13±0,16 см), Утро Москвы (9,92±0,14 см), Чатыр-Даг (9,50±0,32 см), Crimson Glory (9,58±0,12 см), Dame de Cœur (11,71±0,14 см), Jacaranda (9,15±0,19 см), Julie (8,23±0,19 см), Princesse de Monaco (10,04±0,19 см), Tineke (9,98±0,18 см). Сорт Золотая осень с наименьшим диаметром цветка также имел самые низкие показатели по степени махровости — числу лепестков 23,75±1,15 шт. Однако по этому признаку он достоверно (p < 0,01) отличается только от сортов Утро Москвы (46,92±1,07 шт.), Dame de Cœur (52,67±0,91 шт.), Princesse de Monaco (51,25±1,62 шт.) и Tineke (46,58±1,25 шт.). Эти густомахровые сорта (Утро Москвы, Dame de Сœur, Princess de Monaco и Tineke) достоверно (p < 0,05) отличались от всех остальных. Кроме того, эти четыре сорта имели высокие цветоносы (см. табл. 2), что особенно ценится у сортов, выращиваемых на срезку. Можно отметить два сорта с коротким цветоносом — Золотая осень (21,67±0,94 см) и Crimson Glory (23,42±1,25 см), которые статистически значимо (p < 0,05) отличались от сортов Чатыр-Даг (39,72±1,30 см), Dame de Cœur (37,00±1,25 см), Jacaranda (37,28±1,32 см) и Tineke (40,35±1,24 см). По высоте куста выделились два сорта с наименьшим и наибольшим показателем — соответственно Чайка и Julie. По высоте куста сорт Чайка (42,58±1,51 см) достоверно (p < 0,01) отличался от сортов Чатыр-Даг (72,24±1,65 см), Julie (75,00±1,95 см), Princesse de Monaco (68,24±2,01 см), Tineke (72,34±2,45 см), а сорт Julie (75,00±1,95 см) показал статистически значимые различия с сортами Краски осени (48,92±1,20 см), Чайка (42,58±1,51 см), Crimson Glory (45,00±1,45 см). Оба сорта — Чайка и Julie характеризуются красивой формой цветка и обильным цветением. У сорта Чайка цветки одиночные нежно-бело-розовые, а у Julie — ярко красные бархатистые.

2. Морфологические признаки изученных сортов роз чайно-гибридной группы ( Rosa ½ hybrida hort. ) ( n = 20, M ±SEM; коллекция ЦСБС СО РАН, г. Новосибирск, 2018-2021 годы)

Сорт

Диаметр цветка, см

Число

лепестков, шт.

Длина цветоноса, см

Высота куста, см

Аю-Даг

9,06±0,18

33,24±1,08

32,44±1,27

54,38±1,17

Золотая осень

5,54±0,13

23,75±1,15

21,67±0,94

62,17±1,85

Краски осени

8,13±0,16

34,16±1,02

25,48±1,20

48,92±1,20

Утро Москвы

9,92±0,14

46,92±1,07

34,25±1,17

54,67±1,21

Чайка

7,62±0,19

34,67±0,61

28,58±1,23

42,58±1,51

Чатыр-Даг

9,50±0,32

33,00±1,49

39,72±1,30

72,24±1,65

Crimson Glory

9,58±0,12

35,58±0,92

23,42±1,25

45,00±1,45

Продолжение таблицы 2

Dame de Cœur

11,71±0,14

52,67±0,91

37,00±1,25

57,25±1,49

Jacaranda

9,15±0,19

32,75±1,14

37,28±1,32

58,84±1,65

Julie

8,23±0,19

29,35±1,08

32,55±1,16

75,00±1,95

Princesse de Monaco

10,04±0,19

51,25±1,62

35,80±1,57

68,24±2,01

Tineke

9,98±0,18

46,58±1,25

40,35±1,24

72,34±2,45

Таким образом, среди изученных сортов можно отметить два сорта с диаметрально противоположными характеристиками — Dame de Cœur и Золотая осень. Dame de Cœur — сорт с самыми крупными цветками вишнево-красного цвета с высокой степень махровости, которые появляются на длинных, крепких побегах по одному или в кистях до четырех, благодаря чему хорошо подходят для срезки. Сорт Золотая осень выделяется за счет невысокого цветоноса и небольших цветков, куст раскидистый, цветки махровые, золотисто-оранжевые, небольшого размера, с чайным ароматом. Успешно используется для создания ландшафтных композиций.

3. Адаптивные особенности сортов роз чайно-гибридной группы ( Rosa ½ hybrida hort. ) в условиях лесостепи Западной Сибири ( n = 5, M ±SEM; коллекция ЦСБС СО РАН, г. Новосибирск, 2018-2021 годы)

Сорт

Длина перезимовавшей части побега, см

Число полноценных плодов-орешков в гипантии, шт.

Аю-Даг

Не сохраняется

Плоды не формируются

Золотая осень

Не сохраняется

Плоды не формируются

Краски осени

8,13±0,16

18,55 ± 1,05

Утро Москвы

9,92±0,14

20,17 ± 1,81

Чайка

Не сохраняется

Плоды не формируются

Чатыр-Даг

Не сохраняется

Плоды не формируются

Crimson Glory

9,58±0,12

16,62 ± 1,12

Dame de Cœur

11,71±0,14

23,21 ± 1,28

Jacaranda

9,15±0,19

Плоды не формируются

Julie

7,23±0,19

21,41 ± 1,55

Princesse de Monaco

Не сохраняется

Плоды не формируются

Tineke

9,98±0,18

Плоды не формируются

Примечание. У сортов, у которых надземная побеговая часть зимой погибает, на подземной части выше прививки весной пробуждаются почки и происходит отрастание побегов.

Изучаемые сорта роз различались по адаптивным характеристикам в течение относительно непродолжительного вегетационного периода (сохранение живых почек в базальной надземной части прошлогоднего побега и завязывание полноценных семян — плодов-орешков после зимовки под укрытием) (табл. 3).

Cорта Краски осени, Утро Москвы, Crimson Glory, Dame de Cœur, Julie лучше остальных зимовали под воздушно-сухими укрытиями. У них сохранялся надземный побег длиной от 7 до 11,71 см и живые почки, а кроме того, несмотря на относительно непродолжительный вегетационный период в условиях резко континентального климата, они образуют полноценные семена (плоды-орешки). У сортов Jacaranda и Tineke под воздушносухими укрытиями сохранялся прошлогодний побег длиной 9-10 см с живыми почками, однако полноценные семена не формировались. Оставшиеся пять сортов — Аю-Даг, Золотая осень, Чайка, Чатыр-Даг, Princesse de Monaco показали самый низкий адаптивный потенциал в суровых климатических условиях лесостепи Западной Сибири (см. табл. 3).

Полученные данные позволяют рекомендовать сорта с высоким адаптивным потенциалом (Краски осени, Утро Москвы, Crimson Glory, Dame de Cœur, Julie) для привлечения в селекционную работу в качестве материнских форм. Использование сортов с низким адаптивным потенци- алом в селекции в качестве отцовских форм представляет интерес только, если потомство будет использоваться для выращивания в южных регионах России и отчасти в условиях умеренно-континентального климата.

Таким образом, все сорта, изученные в настоящей работе, относятся к одной садовой группе, но характеризуются широким диапазоном изменчивости по морфобиологическим признакам, так как на начальном этапе в селекцию чайно-гибридных роз были вовлечены сорта из разных садовых групп (чайные, ремонтантные, флорибунда), а также вид Rosa foetida с желтой окраской цветков (1, 8, 26). Поэтому важный этап описания коллекции чайно-гибридных роз, используемой в селекционной работе, — это установление родственных связей внутри группы и оценка генетического разнообразия с помощью молекулярных маркеров. Следует учитывать, что в создании огромного мирового ассортимента сортов садовых роз огромную роль изначально сыграла отдаленная гибридизация. Большинство современных сортов роз по морфологическим признакам не сходны ни с одним из существующих природных видов. А классификация, разработанная и утвержденная Всемирной федерацией обществ розоводов (WFRS), очень условна: разделение на классы и группы основано только на декоративных и биологических признаках (9).

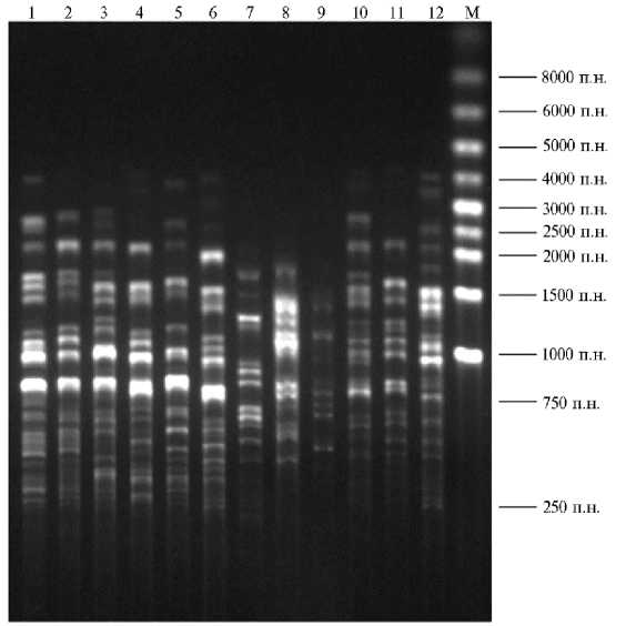
В работе использовано шесть ISSR праймеров. По результатам ПЦР было выделено 192 амплифицированных фрагмента ДНК длиной от 250 до 4000 п.н., из которых 175 были полиморфными. Число фрагментов, амплифицируемых одним праймером, варьировало от 19 (HB10) до 46 (UBC807). Уровень полиморфизма, выявляемого одним праймером, варьировал от 85,7 % (UBC855) до 95,2 % (UBC807) и в среднем составил 91,6 %. На рисунке 2 представлен ISSR-профиль образцов, полученный с маркером UBC807 и характеризующийся высоким полиморфизмом электрофоретических спектров.

Рис. 2. Электрофореграммы ПЦР-продуктов амплификации фрагментов ДНК у сортов роз чайногибридной группы (Rosa ½ hybrida hort.) с ISSR праймером UBC807 — (AG)8T: 1 — Золотая осень, 2 — Чатыр-Даг, 3 — Аю-Даг, 4 — Crimson Glory, 5 — Jacaranda, 6 — Dame de Cœur, 7 — Tineke, 8 — Julie, 9 — Princesse de Monaco, 10 — Чайка, 11 — Утро Москвы, 12 — Краски осени; М — маркер молекулярных масс (250-8000 п.н., «Bioron», Германия) (коллекция ЦСБС СО РАН, гербарные образцы, 2021 год). Изучаемые образцы размножены строго вегетативно (прививка).

Чайка

Princesse de Monaco

Crimson Glory

Dame de Coeur

Чатыр-Даг

Золотая осень

Рис. 3. Консенсусная дендрограмма, построенная по данным ISSR-ПЦР спектров при исследовании сортов роз чайно-гибридной группы ( Rosa ½ hybrida hort. ) (коллекция ЦСБС СО РАН, г. Новосибирск, гербарные образцы, 2021 год). Дендрограмма построена методом Neighbor-Joining. Цифры в узлах показывают уровень бутстреп-поддержки ветвей.

Характер консенсусной дендрограммы изученных коллекционных образцов (рис. 3) подтвердил их генетическое разнообразие, что согласуется с данными о происхождении этой садовой группы: их предки — несколько садовых групп и видов. Только два сорта отечественной селекции Утро Москвы и Чайка образовали статистически достоверный кластер, о чем свидетельствует генетическая дистанция с высоким уровнем бутстреп-под-держки (> 90). Оба сорта созданы в середине ХХ века. Сорт Чайка — это гибрид сортов Virgo ½ Peace (Gloria Dei), a сорт Утро Москвы — гибрид сортов Frau K. Druschki ½ Independence (6).

Из дендрограммы также видно, что сорт Jacaranda резко отличается от остальных. Это может быть обусловлено наличием в генотипе значительного влияния вечнозеленых роз из Юго-Восточной Азии. Как известно, группа чайно-гибридных роз возникла в результате скрещивания ремонтантной и чайной роз. Ремонтантные розы в свою очередь произошли в результате отдаленной гибридизации бурбонских, дамасских ( Rosa ½ damascena ), галльских роз ( Rosa gallica ) с восточноазиатскими чайными и бенгальскими розами (1, 9). Сорт Jacaranda активно используется как срезочный выгоноч-ный сорт, выращиваемый в защищенном грунте. Такие сорта отличаются интенсивным регулярным продуцированием цветочных побегов, иными словами, им не свойственно даже незначительное торможение ростовых процессов, связанное с подготовкой к периоду покоя. Dame de Cœur также не входит в какой-либо кластер. Именно этот сорт имеет наиболее длинные перезимовавшие части побегов и наибольшее число полноценных плодов-орешков в гипантии. Это, напротив, косвенно свидетельствует о близости названного сорта к однократно цветущим уходящим в покой более зимостойким представителям галльских ( Rosa gallica ) и дамасских роз ( Rosa ½ da-mascena ) (6). Для сортов Аю-Даг, Чатыр-Даг и Золотая осень, образовавших единый кластер, характерен низкий адаптивный потенциал в условиях сурового резко континентального климата.

Селекция роз имеет долгую и сложную историю. Виды, относящиеся к роду Rosa L., скрещивались в различных регионах земного шара, таких как

Европа, Азия и Ближний Восток. Учитывая то, что основой современной классификации садовых роз, утвержденной Всемирной федерацией обществ розоводов (WFRS), принято считать не происхождение, а декоративные и биологические характеристики, изучение сортов по молекулярно-генетическим признакам представляет собой единственно возможный способ определить генетическое расстояние и родственные связи внутри групп и уточнить распределение сортов по группам (27). В настоящее время генетические исследования, уточняющие филогенетические отношения в системе Rosa L., интенсивно развиваются с использованием различных молекулярногенетических подходов (28-30). Важным направлением становится поиск информативных ДНК маркеров, которые перспективны для анализа генетических взаимосвязей образцов генофонда современных сортов роз (31).

Итак, у изученных коллекционных сортов чайно-гибридных роз выявлен широкий диапазон изменчивости по морфометрическим признакам. По размерам цветка (D) и числу лепестков (C) статистически достоверно выделились три сорта — Золотая осень (D = 5,54±0,13 см; C = 23,75±1,15 шт.) и Чайка (D = 7,62±0,19 см; C = 34,67±0,61 шт.) c самыми низкими значениями и Dame de Cœur (D = 11,71±0,14 см, C = 52,67±0,91 шт.) c наибольшими показателями. Выявлено пять сортов (Краски осени, Утро Москвы, Crimson Glory, Dame de Cœur, Julie) с высоким адаптивным потенциалом, которые могут быть вовлечены в селекционную работу в том числе и в качестве материнских форм. Эти сорта лучше остальных зимуют под воздушно-сухими укрытиями с сохранением живых почек в надземной части прошлогоднего побега и последующим завязыванием полноценных семян (плодов-орешков). При молекулярно-генетическом исследовании с использованием ISSR маркеров проявилось генетическое разнообразие коллекционных сортов, что согласуется с данными о формировании этой группы посредством межсортовых скрещиваний роз из нескольких садовых групп и видов. Два сорта отечественной селекции (Утро Москвы и Чайка) статистически достоверно образовали кластер, что может свидетельствовать об общности происхождения их родительских форм. Сорт Jacaranda, образовал отдельный кластер, что, вероятно, обусловлено наличием значительного влияния вечнозеленых роз из Юго-Восточной Азии, поскольку сорт характеризуется регулярным продуцированием цветочных побегов, то есть отсутствует торможение ростовых процессов перед подготовкой к периоду покоя. Для сортов Аю-Даг, Чатыр-Даг и Золотая осень, образовавших кластер, характерен низкий адаптивный потенциал в суровых климатических условиях лесостепи Западной Сибири.

ФГБУН Центральный сибирский                        Поступила в редакцию ботанический сад СО РАН,                            11 марта 2025 года

630090 Россия, г. Новосибирск,                                       Принята к публикации ул. Золотодолинская, 101,                                               27 октября 2025 года

Sel’skokhozyaistvennaya biologiya [ Agricultural Biology ], 2026, V. 61, № 1, pp. 106-117

MORPHOMETRIC CHARACTERS AND ISSR-TYPING OF COLLECTION SAMPLES OF HYBRID TEA ROSES ( Rosa * hybrida hort .) IN WESTERN SIBERIA

  • S.S.    Yudanov, O.Yu. Vasilyeva 8 , O.V. Dorogina

    Central Siberian Botanical Garden SB RAS, 101, ul. Zolotodolinskaya, Novosibirsk, 630090 Russia, e-mail j udanowa.sophioa@yandex.ru, vasil.flowers@rambler.ru ( 8 corresponding author), olga-dorogina@yandex.ru

The authors declare no conflict of interests

Acknowledgements: