Особенности экспрессии субъединиц интегринов αV и β3 в первичной опухоли при прогрессировании рака молочной железы
Автор: Завьялова М.В., Кузнецов Г.А., Григорьева Е.С., Таширева Л.А., Завьялов А.В., Попова В.Е., Алифанов В.В., Пудова Е.С., Перельмутер В.М.
Журнал: Сибирский онкологический журнал @siboncoj
Рубрика: Лабораторные и экспериментальные исследования
Статья в выпуске: 6 т.24, 2025 года.
Бесплатный доступ
Причиной смерти от рака молочной железы нередко являются метастазы в отдаленные органы. Механизм подобного метастазирования может быть связан с аберрантной экспрессией субъединиц интегринов αv и β3 в клетках первичной опухоли. Цель исследования – оценка наличия и локализации экспрессии субъединиц интегринов αv и β3 в клетках первичной опухоли при раке молочной железы. Материал и методы. Исследовались биоптаты первичного опухолевого узла. В исследование включено 49 женщин в возрасте 50,0 [43,0; 60,0] лет с инвазивным протоковым раком молочной железы Т1–4Ν0–3M0. Для оценки экспрессии маркеров Estrogen receptor, Progesteron receptor, c-erB-2 (Her2/ neu), Ki67, CD51 (интегрин αV), CD61 (интегрин β3) применялся метод иммуногистохимии. Результаты. Изучались особенности экспрессии интегрина αV (CD51) и интегрина β3 (CD61) в зависимости от основных клинических параметров. Критерий Т4 и наличие метастатического поражения региональных лимфоузлов оказались ассоциированными с наличием в цитоплазме клеток первичной опухоли экспрессии субъединицы интегрина αV. Критерий Ν3 был ассоциирован с наличием экспрессии в цитоплазме клеток первичной опухоли субъединицы интегрина β3. В случаях с наличием и отсутствием гематогенных метастазов позитивная цитоплазматическая экспрессия субъединицы интегрина β3 обнаруживалась с приблизительно одинаковой частотой. Заключение. Критерий Т4 и наличие метастатического поражения региональных лимфоузлов ассоциированы с экспрессией в цитоплазме клеток первичной опухоли субъединицы интегрина αV. Критерий Ν3 ассоциирован с экспрессией в цитоплазме клеток первичной опухоли субъединицы интегрина β3.
Рак молочной железы, субъединица интегрина αV, субъединица интегрина β3, прогрессирование, лимфогенные метастазы, отдаленные метастазы
Короткий адрес: https://sciup.org/140313328
IDR: 140313328 | УДК: 618.19-006.6-039.36:577.112 | DOI: 10.21294/1814-4861-2025-24-6-82-90
Текст научной статьи Особенности экспрессии субъединиц интегринов αV и β3 в первичной опухоли при прогрессировании рака молочной железы
Рак молочной железы (РМЖ) является самой частой причиной онкологической смертности у женщин [1]. Летальные исходы чаще возникают в результате метастатического поражения отдаленных органов. Выявление ключевых механизмов метастазирования может послужить основой для разработки новых препаратов для таргетной терапии рака молочной железы.
В настоящее время в качестве участника метастатического процесса рассматривают интегрин αvβ3 [2]. Интегрин αvβ3 является гетеродимером и, соответственно, состоит из субъединицы αv и субъединицы β3. Субъединицы имеют внутриклеточный цитоплазматический домен, трансмембранный участок и внеклеточный свободный N-конец [3]. В литературе имеются данные об экспрессии интегрина αvβ3 на поверхности стволовых клеток при многих злокачественных новообразованиях. Экспрессия данного интегрина ассоциируется со склонностью к метастазированию солидных опухолей [4–6]. Считается, что инициация метастатического процесса при РМЖ может быть обусловлена взаимодействием интегрина αvβ3 с аберрантно экспрессируемым опухолевыми клетками лигандом – тенасцином С [7, 8]. Таким образом, оценка экспрессии субъединицы интегрина αv и субъединицы интегрина β3 в клетках первичной опухоли при
раке молочной железы может быть полезной для изучения механизмов метастазирования.
Цель исследования – оценка наличия и локализации экспрессии субъединиц интегринов αv и β3 в клетках первичной опухоли при раке молочной железы.
Все этапы исследования соответствовали законодательству Российской Федерации и нормативным документам исследовательских организаций. Исследовались биоптаты от 49 женщин, больных раком молочной железы T1–4N0–3M0. Возраст больных, которые получали лечение в период с 2013 по 2020 г. в условиях НИИ онкологии Томского НИМЦ, составил 50,0 [43,0; 60,0] лет. Выполненная операция соответствовала резекции молочной железы с подмышечной лимфаденэктомией или радикальной мастэктомии. По показаниям пациенткам назначалась адъювантная лучевая терапия, химиотерапия или гормонотерапия. Биоптаты были представлены тканью первичной опухоли. Стадирование опухолевого процесса выполнялось на основании TNM-8 классификации Союза по международному противораковому контролю и классификации ВОЗ 2019 г.
Для гистологического и иммуногистохимического (ИГХ) исследования использовали стан-
дартную методику. Изучались только случаи с инвазивной протоковой карциномой молочной железы. Для оценки степени злокачественности применялась модифицированная схема Scarff-Bloom-Richardson. Использовались антитела Estrogen receptor (клон 1D5, Dako), Progesteron receptor (клон PgR636, Dako), c-erB-2 (Her2/neu) (Polyclonal Rabbit, Dako), Ki67 (клон SP6, Cell Marque), CD51 (интегрин αV, поликлональные, Invitrogen, разведение 1:600), CD61 (интегрин β3, клон JE22-64, Invitrogen, разведение 1:100).
Молекулярно-биологические подтипы РМЖ определялись согласно экспрессии рецепторов к эстрогену, прогестерону, HER2, Ki67. Выделяли люминальный А, люминальный В HER2 отрицательный, люминальный В HER2 положительный, HER2 положительный (не люминальный) и базальноподобный (тройной негативный) молекулярнобиологические подтипы новообразования. Больные были разделены на две группы – с наличием или отсутствием метастазов в региональных лимфоузлах (табл. 1). Наличие гематогенных метастазов устанавливали в течение 3 лет динамического наблюдения на основании данных УЗИ, КТ, МРТ. Клинико-морфологические параметры в зависимости от гематогенного метастазирования приведены в табл. 2.
В цитоплазме и на мембране клеткок первичной опухоли оценивали наличие экспрессии субъеди-
ницы интегрина αV и субъединицы интегрина β3. Для каждой из изучаемых субъединиц выделяли локализацию в цитоплазме или сочетание локализации в цитоплазме и на мембране опухолевых клеток (рис. 1).
Для статистической обработки использовался пакет программ STATISTICА 10.0. Критерий Шапиро–Вилка применяли для проверки нормальности распределения показателей. Частоту признаков сравнивали с помощью t-теста. Различия считали значимыми при р<0,05.
Результаты
Частота случаев с наличием в цитоплазме клеток первичной опухоли экспрессии субъединицы интегрина αV не различалась в зависимости от возраста и состояния менструальной функции женщин. В случаях с Т4 чаще выявлялась позитивная экспрессия субъединицы интегрина αV в цитоплазме опухолевых клеток. Опухоли без такой экспрессии обнаруживались реже.
Установлена связь экспрессии субъединицы интегрина αV в цитоплазме опухолевых клеток с метастатическим поражением регионарных лимфоузлов. Она выявлялась чаще при наличии метастазов в регионарных лимфоузлах. У больных с N3 позитивная экспрессия субъединицы инте-грина αV в цитоплазме клеток первичной опухоли обнаруживалась в 31 %, в то время как отсутствие
Таблица 1/table 1
Характеристика исследуемых групп больных в зависимости от наличия лимфогенного метастазирования
Characteristics of the groups of patients depending on the presence of lymph node metastasis
|
Параметр/Parameter |
Лимфогенные метастазы/ Lymph node metastases |
p |
|
|
Нет/No (n=21) |
Есть/Yes (n=28) |
||
|
Возраст/Age, Me [Q1; Q3] |
51,0 [40,0; 60,0] |
50,0 [45,0; 60,0] |
0,461 |
|
Состояние менструальной функции/Menstrual status |
|||
|
Сохранена/Saved |
10 (48 %) |
14 (50 %) |
0,445 |
|
Менопауза/Menopause |
11 (52 %) |
14 (50 %) |
0,445 |
|
Характеристика первичного опухолевого узла/Characteristics of the primary tumor |
|||
|
Т1 |
5 (24 %) |
7 (25 %) |
0,468 |
|
Т2 |
14 (66 %) |
9 (32 %) |
0,009 |
|
Т3 |
1 (5 %) |
3 (11 %) |
0,227 |
|
Т4 |
1 (5 %) |
9 (32 %) |
0,010 |
|
Степень злокачественности/Grade of malignancy |
|||
|
G1 |
– |
2 (7 %) |
0,108 |
|
G2 |
19 (9 %) |
26 (93 %) |
0,001 |
|
G3 |
2 (10 %) |
– |
0,087 |
|
Молекулярно-генетический тип/Molecular genetic type |
|||
|
Люминальный А/Luminal A |
4 (19 %) |
5 (18 %) |
0,464 |
|
Люминальный В HER2 отрицательный/Luminal B HER2 negative |
11 (53 %) |
13 (46 %) |
0,314 |
|
Люминальный В HER2 положительный/Luminal B HER2 positive |
3 (14 %) |
4 (14 %) |
0,500 |
|
HER2 положительный (не люминальный)/HER2 positive (non-luminal) |
3 (14 %) |
3 (11 %) |
0,376 |
|
Базальноподобный (тройной негативный)/Basal-like (triple negative) |
– |
3 (11 %) |
0,116 |
Примечание: таблица составлена авторами.
Note: created by the authors.
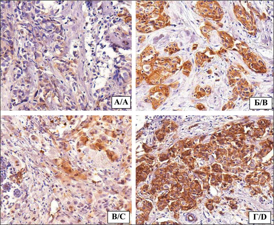
Рис. 1. Микрофото. Экспрессия субъединиц интегринов в первичной опухоли: А – цитоплазматическая экспрессия субъединицы интегрина αV (CD51); Б – цитоплазматическая/ мембранная колокализация экспрессии субъединцы интегрина αV (CD51); В – цитоплазматическая экспрессия субъединицы интегрина β3 (CD61); Г – цитоплазматическая/ мембранная колокализация экспрессии суьъединицы интегрина β3 (CD61); ×400. Примечание: рисунок выполнен авторами Fig. 1. Microphoto. Expression of integ-rin subunits in the primary tumor: A – cytoplasmic expression of the integrin subunit αV (CD51);
B – cytoplasmic/membranous colocalization of the integrin subunit αV (CD51) expression; C – cytoplasmic expression of the integrin subunit β3 (CD61); D – cytoplasmic/membranous colocalization of the integrin subunit β3 (CD61) expression; ×400.
Note: created by the authors
Таблица 2/table 2
Характеристика исследуемых групп больных в зависимости от возникшего в процессе динамического наблюдения отдаленного метастазирования
Characteristics of the groups of patients depending on the distant metastasis during follow-up
|
Отдаленные метастазы/ |
||
|
Параметр/Parameter |
Distant metastases Нет/No (n=18) Есть/Yes (n=31) |
p |
|
Возраст/Age, Me [Q1; Q3] |
49,0 [45,0; 53,0] |
51,0 [42,0; 61,0] |
0,662 |
|
Состояние менструальной функции/Menstrual status |
|||
|
Сохранена/Saved |
18 (56 %) |
14 (45 %) |
0,229 |
|
Менопауза/Menopause |
8 (44 %) |
17 (55 %) |
0,229 |
|
Характеристика первичного опухолевого узла/Characteristics of the primary tumor |
|||
|
Т1 |
5 (28 %) |
7 (23 %) |
0,348 |
|
Т2 |
7 (39 %) |
16 (52 %) |
0,189 |
|
Т3 |
2 (11 %) |
2 (6 %) |
0,265 |
|
Т4 |
4 (22 %) |
6 (19 %) |
0,400 |
|
Степень злокачественности/Grade of malignancy |
|||
|
G1 |
1 (6 %) |
1 (3 %) |
0,609 |
|
G2 |
17 (94 %) |
28 (91 %) |
0,353 |
|
G3 |
– |
2 (6 %) |
0,145 |
|
Молекулярно-генетический тип/Molecular genetic type |
|||
|
Люминальный А/Luminal A |
4 (22 %) |
5 (16 %) |
0,299 |
|
Люминальный В HER2 отрицательный/Luminal B HER2 negative |
8 (45 %) |
16 (52 %) |
0,318 |
|
Люминальный В HER2 положительный/Luminal B HER2 positive |
2 (11 %) |
5 (16 %) |
0,314 |
|
HER2 положительный (не люминальный)/HER2 positive (non-luminal) |
4 (22 %) |
2 (6 %) |
0,095 |
|
Базальноподобный (тройной негативный)/Basal-like (triple negative) |
– |
3 (10 %) |
0,165 |
|
N0 |
8 (44 %) |
13 (42 %) |
0,445 |
|
N+ |
10 (56 %) |
18 (58 %) |
0,445 |
|
Критерий N/N criterion N1 |
5 (28 %) |
12 (39 %) |
0,218 |
|
N2 |
1 (6 %) |
2 (6 %) |
0,500 |
|
N3 |
4 (22 %) |
4 (13 %) |
0,205 |
Примечание: таблица составлена авторами.
Note: created by the authors.
Таблица 3/table 3
Особенности цитоплазматической экспрессии субъединицы интегрина α V в зависимости от клинико-морфологических параметров РМЖ
Features of cytoplasmic expression of integrin αV subunits depending on clinical and morphological parameters of breast cancer подобной экспрессии выявлялось в 9 % случаев (р=0,025). Позитивная экспрессия субъединицы интегрина αV в цитоплазме опухолевых клеток при возникновении гематогенных метастазов выявлялась в 44 %, а при их отсутствии – в 73 % случаев (р=0,024) (табл. 3).
Сочетание экспрессии субъединицы интегрина αV в цитоплазме и на мембране клеток первичной опухоли также оказалось связанным с параметрами первичной опухоли. У женщин с Т4 в ткани новообразования чаще присутствовало сочетание позитивной экспрессии субъединицы интегрина αV на мембране и в цитоплазме опухолевых клеток (табл. 4).
У больных с N3 чаще обнаруживалась позитивная экспрессия субъединицы интегрина β3 в цитоплазме клеток первичной опухоли, в сравнении со случаями, когда подобная экспрессия отсутствова-
ла – в 33,4 и 11 % случаев соответственно (р=0,037) (табл. 5). У больных с наличием и отсутствием гематогенных метастазов позитивная цитоплазматическая экспрессия интегрина β3 обнаруживалась с приблизительно одинаковой частотой. Гематогенные метастазы не были ассоциированы с любой локализацией экспрессии субъединицы интегрина β3.
Обсуждение
Известно, что интегрин αvβ3 участвует в перепрограммировании опухолевых клеток при раке молочной железы, наделяя их стволовыми свойствами [7]. Субъединица интегрина αV участвует в механизмах, обеспечивающих возможность опухолевых клеток существовать независимо от субстрата, что обеспечивает процесс метастазирования [2, 9]. По результатам нашего исследо-
|
Параметр/Parameter |
Цитоплазматическая экспрессия субъединицы интегрина αV/ Cytoplasmic expression of integrin αV subunits |
p |
|
Нет/No (n=33) Есть/Yes (n=16) |
|
Возраст/Age, Me [Q1; Q3] |
51,0 [39,0; 60,0] |
50,0 [46,0; 54,5] |
0,678 |
|
Состояние менструальной функции/Menstrual status |
|||
|
Сохранена/Saved |
16 (48 %) |
8 (50 %) |
0,448 |
|
Менопауза/Menopause |
17 (52 %) |
8 (50 %) |
0,448 |
|
Характеристика первичного опухолевого узла/Characteristics of the primary tumor |
|||
|
Т1 |
7 (21 %) |
5 (31 %) |
0,222 |
|
Т2 |
21 (64 %) |
2 (12,5 %) |
0,001 |
|
Т3 |
2 (6 %) |
2 (12,5 %) |
0,233 |
|
Т4 |
3 (9 %) |
7 (44 %) |
0,002 |
|
Степень злокачественности/Grade of malignancy |
|||
|
G1 |
– |
2 (12,5 %) |
0,021 |
|
G2 |
31 (94 %) |
14 (87,5 %) |
0,202 |
|
G3 |
2 (6 %) |
– |
0,159 |
|
Молекулярно-генетический тип/Molecular genetic type |
|||
|
Люминальный А/Luminal A |
4 (12 %) |
5 (31 %) |
0,106 |
|
Люминальный В HER2 отрицательный/Luminal B HER2 negative |
19 (58 %) |
5 (31 %) |
0,076 |
|
Люминальный В HER2 положительный/Luminal B HER2 positive |
4 (12 %) |
3 (19,5 %) |
0,258 |
|
HER2 положительный (не люминальный)/HER2 positive (non-luminal) |
4 (12 %) |
2 (12,5 %) |
0,480 |
|
Базальноподобный (тройной негативный)/Basal-like (triple negative) |
2 (6 %) |
1 (6 %) |
0,500 |
|
N0 |
17 (51,5 %) |
4 (25 %) |
0,042 |
|
N+ |
16 (48 %) |
12 (75 %) |
0,037 |
|
Критерий N/N criterion N1 |
11 (33,5 %) |
6 (38 %) |
0,365 |
|
N2 |
2 (6 %) |
1 (6 %) |
0,500 |
|
N3 |
3 (9 %) |
5 (31 %) |
0,025 |
|
Гематогенные метастазы/Hematogenous metastases |
24 (73 %) |
7 (44 %) |
0,024 |
Примечание: таблица составлена авторами.
Note: created by the authors.
Таблица 4/table 4
Особенности цитоплазматической/мембранной колокализации экспрессии субъединицы интегрина α V в зависимости от клинико-морфологических параметров рака молочной железы
Features of cytoplasmic/membrane colocalization of integrin α V subunits expression depending on clinical and morphological parameters of breast cancer
|
Параметр/Parameter |
Цитоплазматическая/мембранная колокализа-ция экспрессия субъединицы интегрина αV/ Cytoplasmic/membrane colocalization of integrin αV subunits expression Нет/No (n=42) Есть/Yes (n=7) |
p |
|
Возраст/Age, Me [Q1; Q3] |
50,0 [40,0; 60,0] 51,0 [46,0; 56,0] |
0,667 |
Состояние менструальной функции/Menstrual status
|
Сохранена/Saved |
15 (36 %) |
3 (43 %) |
0,361 |
|
Менопауза/Menopause |
27 (64 %) |
4 (57 %) |
0,361 |
|
Характеристика первичного опухолевого узла/Characteristics of the primary tumor |
|||
|
Т1 |
10 (24 %) |
2 (28,25 %) |
0,410 |
|
Т2 |
22 (52 %) |
1 (14,5 %) |
0,031 |
|
Т3 |
4 (10 %) |
– |
0,190 |
|
Т4 |
6 (14 %) |
4 (56,25 %) |
0,005 |
Степень злокачественности/Grade of malignancy
|
G1 |
1 (2 %) |
1 (14,5 %) |
0,120 |
|
|
G2 |
39 (94 %) |
6 (85,5 %) |
0,396 |
|
|
G3 |
2 (4 %) |
– |
0,295 |
|
|
Молекулярно-генетический тип/Molecular genetic type |
||||
|
Люминальный А/Luminal A |
7 (17 %) |
2 (28,25 %) |
0,244 |
|
|
Люминальный В HER2 отрицательный/ Luminal B HER2 negative |
23 (55 %) |
1 (14,5 %) |
0,022 |
|
|
Люминальный В HER2 положительный/ Luminal B HER2 positive |
5 (12 %) |
2 (28,25 %) |
0,131 |
|
|
HER2 положительный (не люминальный)/ HER2 positive (non-luminal) |
5 (12 %) |
1 (14,5 %) |
0,441 |
|
|
Базальноподобный (тройной негативный)/ Basal-like (triple negative) |
2 (4 %) |
1 (14,5 %) |
0,139 |
|
|
N0 |
19 (45 %) |
2 (28, 5 %) |
0,199 |
|
|
N+ |
23 (55 %) |
5 (71 %) |
0,214 |
|
|
Критерий N/N criterion |
N1 |
15 (36 %) |
2 (28, 5 %) |
0,341 |
|
N2 |
2 (5 %) |
1 (14,5 %) |
0,182 |
|
|
N3 |
6 (14 %) |
2 (28, 5 %) |
0,175 |
|
|
Гематогенные метастазы/Hematogenous metastases |
27 (64 %) |
4 (57 %) |
0,361 |
|
|
Примечание: таблица составлена авторами. |
||||
Note: created by the authors.
Таблица 5/table 5
Особенности цитоплазматической экспрессии субъединицы интегрина β3 в зависимости от клинико-морфологических параметров РМЖ
Features of cytoplasmic expression of integrin β3 subunits depending on clinical and morphological parameters of breast cancer
|
Cytoplasmic expression |
||
|
of the integrin β3 subunit/ |
p |
|
|
Параметр/Parameter |
Цитоплазматическая экспрессия субъединицы интегрина β3 Нет/No (n=37) Есть/Yes (n=12) |
|
|
Возраст/Age, Me [Q1; Q3] |
51,0 [45,0; 60,0] |
48,0 [42,0; 56,0] |
0,584 |
|
Состояние менструальной функции/Menstrual status |
|||
|
Сохранена/Saved |
18 (49 %) |
6 (50 %) |
0,476 |
|
Менопауза/Menopause |
19 (51 %) |
6 (50 %) |
0,476 |
|
Характеристика первичного опухолевого узла/Characteristics of the primary tumor |
|||
|
Т1 |
9 (24 %) |
3 (25 %) |
0,472 |
|
Т2 |
19 (52 %) |
4 (33,35 %) |
0,126 |
|
Т3 |
3 (8 %) |
1 (8,3 %) |
0,500 |
|
Т4 |
6 (16 %) |
4 (33,35 %) |
0,101 |
|
Степень злокачественности/Grade of malignancy |
|||
|
G1 |
2 (5,5 %) |
– |
0,215 |
|
G2 |
33 (89 %) |
12 (100 %) |
0,115 |
|
G3 |
2 (5,5 %) |
– |
0,215 |
|
Молекулярно-генетический тип/Molecular genetic type |
|||
|
Люминальный А/Luminal A |
6 (16 %) |
3 (25 %) |
0,214 |
|
Люминальный В HER2 отрицательный/Luminal B HER2 negative |
18 (49 %) |
6 (50 %) |
0,476 |
|
Люминальный В HER2 положительный/Luminal B HER2 positive |
6 (16 %) |
1 (8,3 %) |
0,244 |
|
HER2 положительный (не люминальный)/HER2 positive (non-luminal) |
4 (11 %) |
2 (16,7 %) |
0,292 |
|
Базальноподобный (тройной негативный)/Basal-like (triple negative) |
3 (8 %) |
– |
0,156 |
|
N0 |
17 (46 %) |
4 (33,3 %) |
0,215 |
|
N+ |
20 (54 %) |
8 (66,7 %) |
0,233 |
|
N criterion N2 |
13 (35 %) |
4 (33,3 %) |
0,449 |
|
3 (8 %) |
– |
0,156 |
|
|
N3 |
4 (11 %) |
4 (33,4 %) |
0,037 |
|
Гематогенные метастазы/Hematogenous metastases |
24 (65 %) |
7 (58 %) |
0,331 |
Примечание: таблица составлена авторами.
Note: created by the authors.