Особенности ранения и извлечения осколка из межжелудочковой перегородки

Автор: Далинин В.В., Крайнюков П.Е., Травин Н.О., Борисов И.А., Салимов Д.Ш.

Журнал: Вестник Национального медико-хирургического центра им. Н.И. Пирогова @vestnik-pirogov-center

Рубрика: Клинические наблюдения

Статья в выпуске: 1 т.21, 2026 года.

Бесплатный доступ

Представлено клиническое наблюдение минно-взрывного осколочного ранения грудной клетки с фиксацией осколка в межжелудочковой перегородке. Пострадавший в стабильном состоянии прошел через несколько эвакуационных этапов, далее был оперирован. В условиях искусственного кровообращения инородное тело было извлечено неодимовым магнитом из трансаортального доступа, затем потребовалось значительное расширение объема вмешательства с целью ревизии и ушивания ложа удаленного осколка в межжелудочковой перегородке. Послеоперационный период и реабилитация протекали без осложнений. Приведены некоторые исторические и статистические сведения, относящиеся к огнестрельным ранениям сердца, освещены аспекты диагностики и тактики лечения.

Еще

Боевая травма, ранения сердца, металлические осколки, неодимовый магнит

Короткий адрес: https://sciup.org/140314196

IDR: 140314196   |   DOI: 10.25881/20728255_2026_21_1_151

Features of injury and extraction of a metallic fragment from the interventricular septum

This article presents a case of a mine blow shrapnel wound to the chest with shell fragment fixation in the interventricular septum. The patient underwent several evacuation stages in stable condition and then underwent surgery. Under cardiopulmonary bypass, the foreign body was removed with a neodymium magnet through a transaortic approach. The operation necessitated a significant expansion of the surgical procedure to explore and suture the removed fragment bed in the interventricular septum. The postoperative period and rehabilitation were uneventful. This article provides historical and statistical information related to the heart gunshot wounds, and discusses aspects of diagnosis and treatment strategies.

Еще

Текст научной статьи Особенности ранения и извлечения осколка из межжелудочковой перегородки

Травма занимает 3–4-е место среди причин смерти в мире (ВОЗ, 2002). Несмотря на то, что из всех проникающих ранений грудной клетки только 5–10% затрагивают сердце, статистика при такой травме удручающая: примерно 2/3 пациентов погибают на догоспитальном этапе, в основном от геморрагического шока и тампонады, 5% – в стационаре, но еще до начала операции, 15% – во время хирургического вмешательства и 10% – после операции от осложнений. До госпитального этапа доживают менее 5% пациентов, а госпитальная летальность превышает 50% [1–3].

Практика и анализ специальной литературы показывают, что боевая травма также сопровождается увеличением доли пострадавших с повреждениями крупных сосудов и сердца [4–7]. Современные средства индивидуальной бронезащиты позволили снизить вероятность повреждения органов грудной клетки. Но, если таковые происходят, ранения крупных сосудов и сердца требуют срочной диагностики и хирургического вмешательства. Поэтому сегодня роль сердечно-сосудистой хирургии трудно переоценить при оказании медицинской помощи пострадавшим на всех этапах эвакуации.

Далеко не всегда при проникновении инородных тел в грудную клетку удается сразу точно определить истинный объем поражения, который, зачастую, не соответствует видимым проявлениям и симптоматике.

Описание наблюдения

Пациент С, 34 лет, со слов пострадавшего и согласно медицинской документации (форма 100) в ходе участия в СВО при выполнении боевых задач получил минно-взрывное слепое ранение правой половины грудной клетки в области VII межреберья по передней подмышечной линии. В момент ранения был в бронежилете, который не был пробит

(осколок прошел под бронежилетом). Первая помощь была оказана в порядке само- и взаимопомощи. Пациент оставался гемодинамически стабильным и дошел пешком до медпункта; к исходу 1-х суток после ранения доставлен в военно-полевой сортировочный госпиталь, где были выполнены торакоцентез и дренирование правой плевральной полости по поводу малого гемоторакса, продолжена анальгетическая и антибактериальная терапия. Учитывая стабильное состояние пострадавшего, он отправлен на следующий этап медицинской эвакуации, где выполнена КТ органов грудной клетки и выявлено инородное тело в области сердца. В итоге, на 4-е сутки после ранения, доставлен санитарным транспортом в ФКУ «ЦВКГ им. П.В. Мандры-ка» МО РФ.

Состояние при поступлении средней тяжести. В сознании, контактен, адекватен. Гемодинамически стабилен: ЧСС – 88, АД – 130/80 мм рт. ст., сатура-

ция крови (на воздухе) – 98%. В VII межреберье справа установлен дренаж (через раневой канал) по Бюлау, по которому поступает серозно-геморрагическое отделяемое в незначительном количестве. Лабораторные анализы: Hb – 132, Ht – 38, лейкоциты - 9,2 х 10 9 /л, формула не изменена. КФК – 1500 Ед/л.

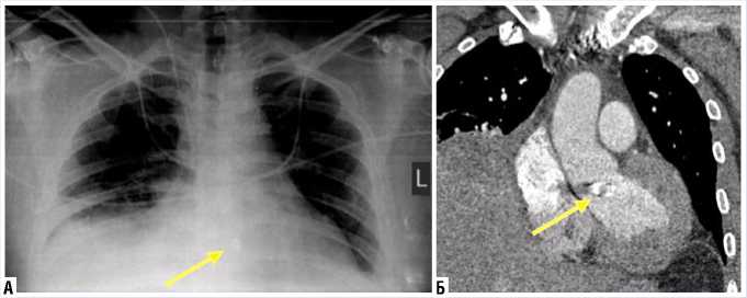
Рентгенография органов грудной клетки. Легкие расправлены, малый правосторонний гидроторакс. Сердце нормальной конфигурации. В проекции сердца определяется инородное тело металлической плотности (Рис. 1 А).

КТ-ангиография (Рис. 1 Б): КТ-картина ранения сердца – инородное тело (металлический предмет), частично в области межжелудочковой перегородки (МЖП) и частично интимно прилежит к структуре передней стенки восходящего отдела аорты; правосторонний гидропневмоторакс малого объема; сегментарные и субсегментарные ателектазы правого легкого; состояние после дренирования правой плевральной полости; линейная зона повреждения VIII сегмента правой доли печени, элевация правого купола диафрагмы.

ЭКГ. Ритм синусовый, нормальное положение ЭОС. Признаки нарушения реполяризации желудочков.

ЭхоКГ. Размеры полостей сердца в пределах должных величин. КДРЛЖ 55 мм, КДОЛЖ 147 мл, КСОЛЖ 66 мл, ИММЛЖ 112 г/м2. Глобальная систолическая функция левого желудочка в норме, зон нарушения региональной сократимости не выявлено. ФВ ЛЖ 55%. Диастолическая функция левого желудочка не нарушена. Уплотнение стенок аорты, створок аортального и митрального клапанов. Мелкий кальцинат? в основании правой коронарной створки аортального клапана. Митральная и трикуспидальная регургитация 1 степени, минимальная регургитация на клапане лёгочной артерии. Систолическое давление в легочной артерии 25 мм рт. ст. Перикард – без особенностей.

После полного обследования в условиях реанимационного отделения оперирован. Под эндотрахеальным наркозом выполнена срединная стернотомия. Вскрыт перикард, взят на держалки. При ревизии: в полости перикарда до 100 мл серозно-геморрагической жидкости. Имеется раневой дефект перикарда (входное отверстие) овальной формы размером до 1 см, налет фибрина и гематома стенки правого предсердия в зоне, совпадающей с дефектом (Рис. 2 А). Визуально других повреждений на-

Рис. 1. А – рентгенограмма органов грудной клетки, прямая проекция; Б – КТ-ангиограмма (режим MPR): инородное тело в проекции сердца.

Рис. 2. А – фибриновый налет и гематома стенки правого предсердия в зоне, совпадающей с раневым дефектом перикарда (входное отверстие, обозначено стрелкой); Б – звездочкой отмечена предполагаемая проекция места расположения инородного тела на переднюю поверхность сердца.

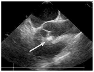
Рис. 3. ЧП ЭхоКГ: инородное тело в верхней трети МЖП, под правой коронарной створкой аортального клапана (стрелка).

Рис. 4. Выполнена продольная аортотомия. При ревизии корня аорты – тромботические массы в правом коронарном синусе.

ружной поверхности сердца не определяется (Рис. 2 Б). Мануально инородное тело в зоне его вероятного расположения (корень аорты, устье правой коронарной артерии, выходной отдел правого желудочка) не пальпируется.

При ЧП ЭхоКГ лоцировано место нахождения инородного тела: верхняя треть МЖП, под правой коронарной створкой аортального клапана (Рис. 3).

Подключен аппарат искусственного кровообращения (ИК) по схеме

«аорта – полые вены». Зажим на аорту. Антеградная фармакохолодовая кардиоплегия. Вскрыто правое предсердие. При ревизии повреждений трикуспидального клапана, доступной части правого желудочка – не выявлено. Выполнена продольная аортотомия. При ревизии – тромботические массы в правом коронарном синусе аортального клапана (Рис. 4) – удалены.

Рис. 5. А – в полость левого желудочка помещен неодимовый магнит, эвакуировано инородное тело; Б - извлеченное инородное тело (осколок) размерами 1,3 х 0,9 см.

В полость левого желудочка через аортальный клапан проведен неодимовый магнит, практически сразу произошла фиксация к нему инородного тела (металлический осколок), которое эвакуировано (Рис. 5 А, Б).

Аортотомный разрез ушит двурядным швом (пролен 5/0). Для ревизии ложа инородного тела выполнен доступ к МЖП через переднюю стенку правого желудочка. Ложе санировано и ушито (пролен 3/0). Вентрикулотомия ушита двурядным швом (пролен 3/0). Правое предсердие ушито двурядным швом (пролен 3/0). Отключение аппарата ИК на фоне стабильной гемодинамики (время ИК – 122 минуты, время пережатия аорты – 66 минут). После введения протамина перикард ушит одиночными швами. Выполнена ревизия правой плевральной полости. Дефектов легочной ткани не выявлено; имеются сгустки между нижней долей легкого и прекардиальным жиром, которые эвакуированы. В связи с подозрением (на основании данных КТ) на наличие ранения диафрагмы произведена ревизия правого купола диафрагмы: целостность не нарушена. Выполнено разобщение правой плевральной полости и полости перикарда. Плевральная полость отмыта раствором антисептика и дренирована. Контроль гемостаза. Дренажи: ретростернальный; перикардиальный; правый плевральный в VII м/р по передней подмышечной линии (через входное отверстие раны). Грудина ушита проволочными швами.

Послеоперационный период протекал без осложнений. После прохождения реабилитации, пациент, по заключению военно-врачебной комиссии, признан годным к воинской службе без ограничений.

Обсуждение

Хирургия ранений сердца имеет достаточно длительную историю. Первое успешное оперативное вмешательство по поводу проникающего ранения сердца выполнил 9 сентября 1896 года франкфуртский хирург Людвиг Рен, а уже в 1926 году другой знаменитый немецкий хирург, один из основоположников кардиохирургии Клод Бек (триада Бека), утверждал, что «успешное ушивание раны сердца не является проявлением особой хирургической храбрости» [8]. Тем не менее, и по сей день ранения сердца могут представлять собой настоящий вызов для медицинских специалистов в связи со стремительным развитием жизнеугрожающих проявлений.

Диагностика траектории ранящего снаряда и его конечного расположения сложна и представляет не тривиальную задачу для клинициста [9]. Даже ретроспективно в представленном наблюдении мы можем только предположить, но не полностью объяснить путь, проделанный осколком (Рис. 6): он, пробив VII межреберный промежуток, не повредив ребер, далее пройдя между нижней долей правого легкого и диафрагмой (и также не повредив их), пробив перикард и правое предсердие без развития массивного кровотечения и тампонады, не повредив трикуспидальный клапан (вероятнее всего, в фазу полного его открытия), оказался фиксированным в МЖП, не сформировав ее дефекта!

При анализе post factum стало возможным объяснить вероятную причину обнаружения тромба в правом коронарном синусе аортального клапана. Предположительно, нахождение инородного тела под правой коронарной створкой привело к локальному тромбозу в результате воздействия вторичных поражающих факторов (механических, физикохимических и др.).

Тактика в отношении бессимптомных пациентов остается неопределенной. Практический опыт показывает,

Рис. 6. Вероятная траектория проникновения инородного тела в сердце.

что не все инородные тела следует извлекать из сердца: объем операционной травмы может в разы превысить их потенциальный вред. Ванг и соавт. обобщили публикации из нескольких центров [10]. Так, многие пациенты после ранений сердца металлическими предметами наблюдались без хирургического вмешательства, иногда даже в течение десятилетий. Максимально длительный срок нахождения пули в сердце без оперативного лечения, изложенный в доступной литературе, составил 43 года [11].

Тем не менее, специалисты рекомендуют оперативное удаление инородных тел, потенциально способных вызвать осложнения, в том числе отсроченные, которые могут возникать при сокращениях сердца [12]. Кроме того, высокая вероятность последующих гнойно-септических осложнений обусловлена тем, что минновзрывные осколочные раны являются изначально первично-инфицированными. В представленном наблюдении оперативное вмешательство, выполненное через несколько суток после ранения сердца, не позволило инородному телу инкапсулироваться или напротив, привести к мио-маляции и формированию абсцесса. Однако, несмотря на относительно легкое, с технической точки зрения, извлечение самого ранящего агента, потребовался весьма значительный объем операции – аортотомия, атриотомия, правая вентрикулотомия, ревизия и ушивание ложа осколка.

Использование магнитов для извлечения металлических осколков (по крайней мере, ферромагнитных) неоднократно описано и ранее в травматологии, нейрохирургии и, в том числе, в

сердечно-сосудистой хирургии. Способ применялся уже в ходе Первой мировой и Великой Отечественной войны и в последующих вооруженных конфликтах [13]. Следует принимать во внимание, что неодимовые магниты достаточно хрупкие; помимо этого, они могут утрачивать свои магнитные свойства при нагревании даже до относительно невысоких температур (более 80 °C). Учитывая это, перед оперативным вмешательством была проведена плазменная низкотемпературная стерилизация магнита. Еще один факт, связанный с использованием магнитов, – сила его притяжения должна соответствовать поставленной задаче: стремительное прикрепление к нему металлического тела может привести к ятрогенному повреждению миокарда в процессе извлечения. В данном наблюдении удалось извлечь осколок из толщи МЖП, избежав дополнительной травмаы сердечных структур.

К сожалению, удаление ранящего снаряда не всегда представляется возможным в ходе операции. Описаны случаи огнестрельного ранения с баллистической траекторией, близкой к представленному нами клиническому наблюдению, и фиксацией пули в межжелудочковой перегородке, которую извлечь не удалось [14].

Заключение

Особенность представленного наблюдения заключается, на наш взгляд, в нескольких аспектах. Осколок прошел через целый ряд жизненно важных структур, без массивного кровотечения и без нарушения внутрисердечной гемодинамики. Кроме того, ранее мы не встречали в нашей практике и не нашли описаний в литературе проникновения инородного тела достаточно крупных размеров во внутрисердечные структуры без существенных визуальных повреждений поверхности сердца.

Таким образом, ряд случайных факторов ранения, каждый из которых, при ином стечении обстоятельств, мог оказаться фатальным, обусловили возможность этапной эвакуации пострадавшего, выполнения сложного оперативного вмешательства и полного восстановления здоровья пациента.