Особенности рентгенологической анатомии гнатического отдела лица у детей в периоде сменного прикуса

Автор: Веремеенко С.А., Диденко И.В., Дмитриенко Т.Д.

Журнал: Волгоградский научно-медицинский журнал @bulletin-volgmed

Статья в выпуске: 4 т.22, 2025 года.

Бесплатный доступ

Вариабельность гнатической части лица человека в периоде сменного прикуса определяется очередностью смены молочных зубов постоянными. Цель работы. Определить особенности рентгенологической анатомии гнатической части лица у детей в периоде сменного прикуса. Материалы и методы. Проанализированы телерентгенограммы и ортопантомограммы, полученные у 56 детей различного возраста. На ортопантомограммах проводили суставную горизонталь, соединяющую верхние точки суставных головок. От средней точки суставной горизонтали и перпендикулярно к ней проводили эстетическую вертикаль, которая проходила между резцами до подбородочной точки. Отношение расстояния от средней точки до суставной головки к коэффициенту 1,5 определяло положение ретро молярной точки, от которой вниз проводили ретромолярную вертикаль, которая использовалась в качестве стресс-оси для дистально расположенных верхних зубов. На нижней челюсти стресс-осью для нижних моляров служила биссектриса нижнечелюстного угла. Результаты и обсуждение. Результаты анализа рентгенограмм детей в периоде прикуса молочных зубов показали то, что на рентгенограммах зачаток первого верхнего постоянного моляра располагался впереди ретромолярной вертикали, а нижнего первого моляра – впереди биссектрисы нижнечелюстного угла. По мере роста челюстей менялось положение стресс-осей, но при оптимальных размерах челюстей дистальные зубы не выходили за ее пределы. Заключение. Рентгеноанатомические особенности гнатической части лица определялись сменой молочных зубов постоянными. Особое место занимает ретро молярное пространство, в котором формируются дистально расположенные постоянные моляры. Расположение постоянных зубов или их частей позади ретромолярных вертикалей создает напряжение в гнатической части лица и может определить тактику экстракционных и без экстракционных методов ортодонтического лечения.

Еще

Ортопантомография, телерентгенография, сменный прикус, физиологическая окклюзия

Короткий адрес: https://sciup.org/142246951

IDR: 142246951   |   УДК: 616.314-089.23   |   DOI: 10.19163/2658-4514-2025-22-4-76-87

Features of the X-ray anatomy of the gnatic part of the face in children in the period of removable occlusion

The variability of the gnathic part of the human face during the period of removable occlusion is determined by the order of replacement of milk teeth with permanent teeth. Purpose of the work: To determine the features of the radiological anatomy of the gnathic part of the face in children during the mixed dentition period. Materials and methods: Teleradiographs and orthopantomograms obtained from 56 children of different ages were analyzed. On orthopantomograms, an articular horizontal was drawn connecting the upper points of the articular heads. From the middle point of the articular horizontal and perpendicular to it, an aesthetic vertical was drawn, which passed between the incisors to the chin point. The ratio of the distance from the midpoint to the articular head to the coefficient of 1.5 determined the position of the retro molar point, from which the retro molar vertical was drawn downwards, which was used as the stress axis for the distal upper teeth. On the lower jaw, the bisector of the mandibular angle served as the stress axis for the lower molars. Results and discussion: The results of the analysis of radiographs of children in the period of occlusion of milk teeth showed that on the radiographs the rudiment of the first upper permanent molar was located in front of the retro molar vertical, and the lower first molar in front of the bisector of the mandibular angle. As the jaws grew, the position of the stress axes changed, but with the optimal size of the jaws, the distal teeth did not extend beyond its limits. Conclusion: The X-ray anatomical features of the gnathic part of the face were determined by the replacement of milk teeth with permanent ones. A special place is occupied by the retro molar space, in which distally located permanent molars are formed. The location of permanent teeth or parts of them behind the retro molar verticals creates tension in the gnathic part of the face and can determine the tactics of extraction and non-extraction methods of orthodontic treatment.

Еще

Текст научной статьи Особенности рентгенологической анатомии гнатического отдела лица у детей в периоде сменного прикуса

doi:

ORIGINAL ARTICLE doi:

Период смены зубов у человека, как правило, сопровождается изменениями в краниофациальном комплексе и в особенности в его гна-тической части [1]. В приведенном исследовании определены индивидуальные особенности основных параметров зубных арок при оптимальном окклюзионном равновесии. Специалисты обращают внимание на групповое прорезывание зубов и изменение высоты прикуса, связанное с прорезыванием добавочных постоянных моляров в задних отделах зубочелюстных дуг [2]. Указанное обстоятельство способствует очередному подъему высоты прикуса, увеличению глубины зубной дуги, что отражается на размерах гнатической части лица.

Протокольными диагностическими мероприятиями в клинической практике являются рентгенологические методы исследования, позволяющие в прижизненных условиях оценить соразмерность отдельных частей лица с параметрами основных стабильных костных ориентиров головы [3, 4]. Данные методы используются и в морфологии для оценки вариантной анатомии, как всех отделов краниофациального комплекса, так и гнатического отдела лица.

Рентгеноанатомические особенности гнати-ческой части лица определяются сменой молочных зубов постоянными. Основными методами рентгенологической диагностики являются ортопантомография, телерентгенография и конуснолучевая томография [5].

В приведенных наблюдениях исследователи детально представили сведения о построении окклюзионной линии, особенностях положения окклюзионных ориентиров и провели сравнительный анализ различных методов исследования. Для анализа ортопантомограмм предложен метод тетра секторального анализа, при котором расстояние между точками, расположенными на нижнем контуре ската суставного бугорка, делится на сегменты (по 4 с каждой стороны). Однако данные были получены при полном комплекте зубов и не отразили динамику изменения в ретромолярном пространстве, являющейся зоной роста челюстей.

Методы анализа телерентегнограмм направлены на определение особенностей размеров и расположения челюстей в структуре черепа в целом и позволяют провести оценку взаиморасположения костных элементов нижнечелюстного сустава [6].

Отмечена относительная стабильность вертикальных размеров носового отдела, за исключением влияния генетически обусловленных заболеваний, включая варианты дисплазии соединительной ткани [7, 8].

В данных наблюдениях авторы выделили фенотипические проявления недифференцированной дисплазии в детском и подростковом возрасте, отметили изменения вертикальных параметров лица.

Изменения параметров лица и зубочелюстных дуг определяются многочисленными биометрическими методами, включая фото статическое исследование лица. При этом особое внимание уделяется носовому и челюстному отделам [9, 10].

В исследованиях авторы отметили необходимость определения типологических особенностей лица и зубочелюстных дуг, определяющих вариантную анатомию гнатического комплекса. Представлены наблюдения о взаимоотношениях размеров зубных дуг при различных их аркадных и дентальных типах [11, 12]. Предложены индексные величины, позволяющие оценивать сораз- мерность сагиттальных, диагональных и трансверсальных параметров.

Несмотря на то, что постоянные моляры, принято считать ключом окклюзионного равновесия, крайне мало сведений о методах определения положения ключевых зубов. Имеются единичные работы, указывающие на важность и необходимость при определении положения челюстей ориентироваться на расположение дистальных окклюзионных точек.

Приведены данные о влиянии асимметрии не форму зубных дуг и положение окклюзионных ориентиров дистального отдела [13]. Однако данные исследования проводились в периоде прикуса постоянных зубов.

Следует отметить, что проведение подобных исследований имеют как прикладное, так и научное и учебное значение. Отмечены особенности использования параметров при моделировании зубных дуг с учетом вариантной анатомии гнатического отдела лица [14, 15]. Эффективность методов рентгенологической диагностики представлена при оценке особенностей диспансерных групп и качестве лечебнодиагностических мероприятий [16, 17].

Таким образом, до настоящего времени остается актуальной задачей определение особенности рентгенологической анатомии гнатиче-ского отдела лица у детей в периоде сменного прикуса, для которого характерны изменения в ретромолярном пространстве по мере формировании и прорезывания дистально расположенных зубов, что и определило цель исследования.

ЦЕЛЬ РАБОТЫ

Определить особенности рентгенологической анатомии гнатического отдела лица у детей в периоде сменного прикуса по данным телерентгенографии и ортопантомографии.

МЕТОДИКА ИССЛЕДОВАНИЯ

Исследование было ретроспективным, при котором оценивались архивные телерентгенограммы и ортопантомограммы 48 пациентов с оптимальной функциональной окклюзией. Рандомизация рентгенограмм проводилась по принципу распределения по возрасту, основанному на закономерности смены зубов.

В начальную группу вошли дети после окончания функционирования прикуса молочных зубов. Данные определяли стартовую позицию, оценивающую размеры зубоальвеолярных дуг и положение дистальных зубов в стадии окклюзионного равновесия прикуса молочных зубов.

В периоде сменного прикуса (основная группа) подгруппы формировались с учетом группового прорезывания постоянных зубов. Первую подгруппу составили дети, у которых прорезались первые постоянные моляры и нижние медиальные резцы. У детей второй подгруппы произошла замена всех молочных резцов. У детей третьей подгруппы произошла замена первых молочных моляров первыми премолярами и смена нижних клыков. У детей четвертой подгруппы произошла замена оставшихся молочных зубов вторыми премолярами и верхними постоянными клыками. Завершающий период прорезывания вторых постоянных моляров позволял отнести детей к пятой подгруппе.

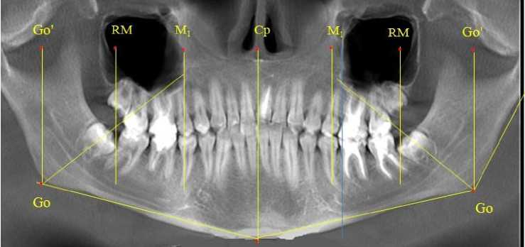
На ортопантомограммах устанавливались точки и линии, позволяющие оценить размеры зубоальвеолярных дуг и оптимальное положение дистально расположенных в окклюзии зубов. С этой целью на верхнюю точку суставной головки, с обеих сторон, устанавливали точки кон-дилион ( Сond ), которые соединяли суставной горизонталью. От середины суставной горизонтали проводили срединную вертикаль, которая, как правило, соединяла центральную (срединную) точку ( Ср ) с подбородочной точкой Ме .

Конструируемая точка гонион ( Go ) определялась традиционно при пересечении касательной линии к ветви челюсти с линией, соединяющей точку Go с нижней подбородочной точкой ментос ( Ме ), расположенной в нижней части подбородка по средней линии. От угловой точки Go строили перпендикуляр к горизонтальной суставной линии. На месте пересечения линий устанавливали точку Go ´. Предложенное построение обусловлено тем, что на ортопантомограмме, в отличие от телерентгенограммы, величина нижнечелюстного угла может быть искажена.

Расстояние между точками Go ´ и центральной точкой ( Central point ) Ср делили на коэффициент 1,5. Полученную расчетную величину откладывали от центральной точки на суставную горизонталь с обозначением точки (RM), от которой опускали перпендикуляр, который располагался в ретромолярной зоне и, как правило, проходил вблизи дистальных поверхностей задних зубов, ограничивающих зубоальвеолярные дуги. Кроме того, половина расстояния Ср-RM определяло положение молярной вертикали и точку на суставной горизонтали обозначали как М 1 (рис. 1).

Рис. 1. Анализ ортопантомограммы ребенка в периоде сменного прикуса при определении положения дистально расположенных зубов

Оптимальное положение нижних дистальных зубов определялось их расположением впереди стресс-оси, соответствующей биссектрисе гониально-ментального угла ( Go'-Go-Ме ).

Основу анализа телерентгенограмм составляла кондиллярно-спинальная линия, соединяю- щая верхнюю точку суставной головки с передней носовой остью (Cond-SNA). На середину указанной линии ставили точечный ориентир (RM), от которого вниз проводили перпендикуляр, который, так же, как и на ортопантомограмме, ограничивал ретро молярную область (рис. 2).

б

а

Рис. 2. Анализ боковой телерентгенограммы (а) и 3D-модели (б) в периоде сменного прикуса

Стресс-осью для оценки положения нижнего дистального зуба (или зачатка зуба) служила биссектриса кондилярно-гониально-ментального угла ( Cond-Go-Ме ), в отличие от аналогичной оси ортопантомограммы.

На анализируемых масштабированных рентгенограммах измеряли линейные размеры и угловые показатели с последующим построением реперных линий. Учитывая многообразие клинических вариантов размеров челюстей у детей в различные периоды онтогенеза, для определе- ния особенностей рентгенологической анатомии нами использовались не относительные величины в миллиметрах или градусах, а особенности расположения зубов по отношению к реперным линиям.

РЕЗУЛЬТАТЫ ИССЛЕДОВАНИЯИ ИХ ОБСУЖДЕНИЕ

Результаты анализа ортопантомограмм детей в периоде сформированного прикуса молочных зубов показали особенности расположения зачатков постоянных замещающих зубов по отношению к корням молочных зубов и формирование зачатков добавочных зубов, к которым относились дистально расположенные моляры постоянного прикуса.

Линия эстетического центра проходила от середины межсуставной горизонтали ( Cond-Cond ) и перпендикулярно к ней. Указанный ориентир проходил между медиальными резцами обеих челюстей до нижнего края подбородка (точка Ме).

Отношение отрезка суставной горизонтали от центральной точки (Ср) до проекции гонио-нальной точки (Go´) к коэффициенту 1,5 определяло расположение отправного точечного ориентира (RM) для построения ретромолярной вертикали перпендикулярно к суставной горизонтали. Особенностью исследуемого возрастного периода было то, что зачаток первого верхнего постоянного моляра при оптимальном окклюзионном соотношении располагался впереди ретромолярной вертикали. Данное обстоятельство свидетельствовало о благоприятном расположении зачатка, что в последующем обеспечивало его прорезывание по мере формирования корней. Кроме того, указанный размер (Ср-RM) определял зубоальвеолярный размер верхней челюсти (правой и левой). Молярная вертикаль, исходящая из молярной токи (М1), проходила через дистальные поверхности первых молочных моляров обеих челюстей (рис. 3).

Рис. 3. Анализ ортопантомограммы ребенка 4 лет в периоде прикуса молочных зубов

Зачатки первых постоянных моляров нижней челюсти располагались кпереди по отношению к биссектрисе угла Go´-Go-Ме , что так же, как и на верхней челюсти, оказывало благоприятное влияние на формирование и прорезывание нижнего первого моляра. Антимеры обеих челюстей располагались симметрично относительно диагностических линий.

При анализе боковых телерентгенограмм и трехмерной модели установлено, что положение зубов и челюстей относительно реперных линий было близким по значениям, полученным при анализе ортопантомограмм.

На середину суставной горизонтальной линии Cond-SNA ставили точечный ориентир ( RM ), от которого вниз проводили перпендикуляр, который, так же, как и на ортопантомограмме, ограничивал ретромолярную область. Зачаток первого верхнего постоянного моляра, как правило, располагался впереди ретромолярной вертикали.

Биссектриса угла Cond-Go-Ме (стресс-ось), так же, как и на ортопантомограмме, располагались позади от формирующихся зачатков первых постоянных моляров нижней челюсти (рис. 4).

Таким образом, для анализа положения зубов и оценки соразмерности челюстей в клинической практике приемлемы оба анализа рентгенограмм как ортопантомограмма, так и боковая телерентгенография.

При анализе рентгенограмм детей, у которых прорезались постоянные зубы, относящиеся к первой группе (первые моляры и нижние медиальные резцы) отмечались изменения в расположении зубов относительно анализируемых линий. Первые постоянные моляры устойчиво занимали окклюзионное равновесие, у вторых постоянных моляров была минерализована коронка, продолжалась минерализация замещающих зубов постоянного прикуса.

Особенностью исследуемого возрастного периода было то, что зачатки вторых верхних постоянных моляров располагались впереди ретромолярной вертикали. Данное обстоятельство свидетельствовало о благоприятном расположении зачатков, что в последующем обеспечивало их прорезывание по мере формирования корней. Кроме того, указанный размер (Ср-RM) определял зубоальвеолярный размер верхней челюсти (правой и левой). Молярная вертикаль исходящая из молярной токи (М1), в отличие от периода молочного прикуса, смещалась к средней трети медиальной поверхности вторых молочных моляров обеих челюстей, что связано увеличением ретромолярной области (рис. 5).

а                                                    б

Рис. 4. Особенности боковой телерентгенограммы (а) и 3D-модели (б) ребенка 4 лет в периоде прикуса молочных зубов

Рис. 5. Ортопантомограмма ребенка 7 лет после прорезывания первой группы постоянных зубов

Зачатки вторых постоянных моляров нижней челюсти располагались кпереди по отношению к биссектрисе угла Go´-Go-Ме, что так же, как и на верхней челюсти, оказывало благоприятное влияние на формирование и прорезывание нижнего первого моляра. При анализе боковых телерентгенограмм и трехмерной модели установлено, что положение зубов и челюстей относительно реперных линий было близким по значениям, полученным при анализе ортопантомограмм. Биссектриса угла Cond-Go-Ме, так же, как и на ортопантомограмме, располагались позади от формирующихся зачатков вторых постоянных моляров нижней челюсти (рис. 6).

а                                     б

Рис. 6. Особенности боковой телерентгенограммы (а) и 3D-модели (б) ребенка 7 лет после прорезывания 1-й группы постоянных зубов

При анализе рентгенограмм детей, у которых прорезались постоянные резцы (вторая группа прорезывания), отмечено, что зачатки вторых верхних постоянных моляров, так же, как и у детей предыдущей группы, располагались впереди ретромолярной вертикали.

Данное обстоятельство свидетельствовало о благоприятном расположении зачатков. Молярная вертикаль, исходящая из молярной токи ( М 1 ) проходила вблизи средней части коронок вторых молочных моляров обеих челюстей (рис. 7).

При анализе боковых телерентгенограмм и трехмерной модели установлено, что положе- ние зубов и челюстей относительно реперных линий было близким по значениям, полученным при анализе ортопантомограмм. Биссектриса угла Cond-Go-Ме, так же, как и на ортопантомограмме, располагались позади от формирующихся зачатков вторых постоянных моляров нижней челюсти (рис. 8).

После полного замещения молочных зубов постоянными продолжалась минерализация и формирование корней постоянных премоляров, клыков и вторых моляров. Зачатки формирующихся вторых верхних постоянных моляров, так же, как и у детей предыдущей группы, располагались впереди ретро молярной вертикали (рис. 9).

Рис. 7. Ортопантомограмма ребенка 8 лет после прорезывания постоянных резцов

а                                                   б

Рис. 8. Особенности боковой телерентгенограммы (а) и 3D-модели (б) ребенка 8 лет после прорезывания постоянных резцов

Рис. 9. Рентгенограмма ребенка 12 лет после замещения молочных зубов постоянными

Биссектриса угла Cond-Go-Ме располагались позади от формирующихся зачатков вторых постоянных моляров нижней челюсти. После прорезывания вторых постоянных моляров происходило полное формирование постоянного прикуса. В этот период особенности рентгенологической анатомии, как правило, определялись наличием или отсутствием зубов мудрости (или их зачатков) в челюстных костях.

Наиболее благоприятной ситуацией считалось наличие 14 зубов на верхней и нижней зубной дуге (рис. 10).

На боковой рентгенограмме, так же, как и на ортопантомограмме, дистально расположенные зубы располагались впереди стресс-осей верхней и нижней челюсти (рис. 11). В подобных случаях определялось достаточная величина свободного пространства в ретромолярной области как на верхней, так и на нижней челюсти. Молярная вертикаль ограничивала молярную зону зубной дуги.

При наличии зубов мудрости на ортопантомограмме обращали внимание на положе- ние верхних зубов мудрости по отношению к ретромолярной линии, а нижних – по отношению к биссектрисе нижнечелюстного угла (рис. 12).

Рис. 10. Ортопантомограмма пациента 16 лет с полным комплектом постоянных зубов

Рис. 11. Рентгенограмма пациента 16 лет с полным комплектом постоянных зубов при физиологической окклюзии

Рис. 12. Ортопантомограмма пациента 17 лет при наличии зачатков зубов мудрости

На боковой рентгенограмме, так же, как и на ортопантомограмме, дистально расположенные зубы при оптимальных размерах челюстей располагались впереди стресс-осей верхней и нижней челюсти. При расположении зубов или их частей за пределами диагностических линий ис- пользовался как показатель к альтернативному удалению зубов мудрости (рис. 13).

Выход зубов мудрости за пределы стресс-осей создавал напряжение в челюстях и определял тактику экстракционных методов лечения.

Рис. 13. Рентгенограмма пациента 17 лет при наличии зачатков зубов мудрости

Таким образом, определение особенностей расположения дистально расположенных прорезавшихся зубов или их зачатков по отношению к диагностическим линиям ретромолярного пространства является диагностическим критерием соответствия/несоответствия размеров зубов параметрам зубоальвеолярных дуг и определяет методы ортодонтического лечения пациентов.

ЗАКЛЮЧЕНИЕ

Рентгеноанатомические особенности гна-тической части лица определяются сменой мо- лочных зубов постоянными. Особое место занимает ретромолярное пространство, в котором формируются дистально расположенные постоянные моляры. Предложенный метод построения стресс-осей позволяет оценить оптимальные параметры ретромолярного пространства, в котором формируются зачатки постоянных моляров, включая зубы мудрости.

Расположение постоянных зубов или их частей позади ретромолярных вертикалей создает напряжение в гнатической части лица и может определить тактику экстракционных и без экстракционных методов ортодонтического лечения.