Периимплантный подвертельный перелом бедренной кости после остеосинтеза шейки бедренной кости методом двухопорной двухполюсной фиксации

Автор: Назаров Д.С., Айрапетов Г.А., Загородний Н.В., Миронов А.Н., Карпович Н.И., Лукин М.П., Бурков Д.В., Джоджуа А.В.

Журнал: Вестник Национального медико-хирургического центра им. Н.И. Пирогова @vestnik-pirogov-center

Рубрика: Клинические наблюдения

Статья в выпуске: 1 т.21, 2026 года.

Бесплатный доступ

Актуальность. На фоне глобального старения населения отмечается значительный рост частоты переломов шейки бедренной кости (ШБК) у пожилых. Несмотря на широкое применение канюлированных винтов, частота осложнений достигает 46%, что стимулирует поиск альтернативных методик, таких как метод двухопороной двухполюсной фиксации (ДДФ). Цель. Представить осложнение в результате остеосинтеза шейки бедренной кости – периимплантный подвертельный перелом – и проанализировать его причины. Материал и методы. Описано клиническое наблюдение пациентки 64 лет с переломом ШБК Garden II, осложнившимся периимплантным переломом через 1,5 месяца после БДОФ. Проанализированы данные когорты из 31 пациента, оперированного методом БДОФ за период 09.2021–12.2024 в ГКБ №31. Результаты. В 3,2% случаев (n = 1) зафиксирован периимплантный подвертельный перелом. Ревизионный остеосинтез выполнен интрамедуллярным штифтом с положительным исходом. Заключение. Данный случай подчеркивает необходимость неукоснительного соблюдения биомеханических принципов ДДФ и разработки направляющего устройства для установки дистальных винтов, что позволит минимизировать риск повторных периимплантных переломов бедренной кости.

Еще

Перелом шейки бедра, бипланарная двухопорная фиксация, периимплантный перелом, остеосинтез, осложнения

Короткий адрес: https://sciup.org/140314199

IDR: 140314199   |   DOI: 10.25881/20728255_2026_21_1_163

Periprosthetic Subtrochanteric Femoral Fracture Following Osteosynthesis of Femoral Neck Fracture Using Biplane Double-Supported Screw Fixation

Background. Global population aging has led to a significant increase in femoral neck fractures (FNF) among elderly patients. Despite the widespread use of cannulated screws, complication rates reach 46%, prompting the search for alternative techniques such as Biplanar Double-Supported Fixation (BDSF). Objective. To present a rare complication of BDSF – periprosthetic subtrochanteric fracture – and analyze its etiological factors. Materials and Methods. We describe a clinical case of a 64-year-old female with Garden type II FNF complicated by a periprosthetic fracture 1.5 months after BDSF. Data from a cohort of 31 patients who underwent BDSF between September 2021 and December 2024 at City Clinical Hospital No. 31 were analyzed. Results. Periprosthetic subtrochanteric fracture occurred in 3.2% of cases (n=1). Revision osteosynthesis with an intramedullary nail resulted in a successful outcome. Conclusion. This case highlights the necessity of strict adherence to the biomechanical principles of BDSF (Biplane Double-Supported Fixation) and the development of a guiding device for distal screw insertion, which would minimize the risk of repeat peri-implant femoral fractures.

Еще

Текст научной статьи Периимплантный подвертельный перелом бедренной кости после остеосинтеза шейки бедренной кости методом двухопорной двухполюсной фиксации

В большинстве случаев для остеосинтеза при переломе шейки бедренной кости (ШБК) используются параллельно ориентированные канюлированные винты. Несмотря на распространённость и простоту этой методики частота осложнений достигает до 46% [1–3]. Чтобы уменьшить осложнения при остеосинтезе ШБК в последнее время в отечественной травматологии а так же в зарубежных странах прибегают к новым методикам фиксации и новым имплантам при остеосин- тезе ШБК [4; 5]. Одним из относительно новых методов фиксации при переломе шейки бедренной кости является метод двухопорной двухполюсной фиксации при переломе ШБК [6]. Эта конструкция представляет собой 3 винта установленные в ШБК под определенными углами. С точки зрения биомеханики, наиболее эффективным компонентом этой конструкции является третий, дистальный винт, который направлен в дорсальную плоскость головки бедренной кости и установлен под углом 150–165 градусов относительно оси бедренной кости [7]. С целью создания стабильной фиксации и снижения количества осложнений в нашей клинике мы использовали метод двухопорной двухполюсной фиксации при переломе ШБК. Несмотря на высокую частоту сращений у других авторов, в своей практике, при применении этой методики в нашем учреждении мы наблюдали случай периимплантного подвертельного перелома бедренной кости на фоне остеосинтеза ШБК методом двухопорной двухполюсной фиксации [8–10].

Назаров Д.С., Айрапетов Г.А., Загородний Н.В. и др.

ПЕРИИМПЛАНТНЫЙ ПОДВЕРТЕЛЬНЫЙ ПЕРЕЛОМ БЕДРЕННОЙ КОСТИ ПОСЛЕ ОСТЕОСИНТЕЗА

ШЕЙКИ БЕДРЕННОЙ КОСТИ МЕТОДОМ ДВУХОПОРНОЙ ДВУХПОЛЮСНОЙ ФИКСАЦИИ

По сообщениям ряда авторов пери-имплантные переломы бедренной кости после остеосинтеза ШБК канюлированными винтами встречались у 1–3% пациентов, преимущественно в первые 4 года [11–14]. Перииплантные переломы, сопровождающиеся выраженным смещением отломков, являются тяжелым осложнением, часто требующим проведения повторных вмешательств по реостеосинтезу [15–17]. Причины высокой распространенности периимплантных переломов остаются предметом дискуссий, при этом ключевыми исследуемыми предикторами их развития выступают адекватность репозиции, характеристики имплантируемого устройства и анатомические особенности костной ткани в зоне перелома [18; 19].

Мы рассмотрели 31 пациента, которые прошли лечение методом двухопорной двухполюсной фиксации при переломе ШБК в период с сентября 2021 года по декабрь 2024 г. в травматологическом отделении ГКБ №31 им. академика Г.М. Савельевой. Среди этих пациентов был выявлен 1 случай периимплантного подвертельного перелома бедренной кости.

Больная К., 64 года доставлена в экстренном порядке бригадой скорой медицинской помощи в приемное отделение 24 ноября 2022 г. Из анамнеза травма бытовая упала на улице с высоты собственного роста на область правого бедра. При госпитализации в приемном отделении осмотрена травматологом. Жалобы на острую боль в правом бедре. При осмотре отмечается наружная ротация и незначительное укорочение правой нижней конечности, умеренный отек правого бедра. При пальпации определяется болезненность правого бедра, патологическая подвижность. Пассивные и активные движения в конечности резко болезненны. Пульсация сосудов нижней конечности не ослаблена. Чувствительность не нарушена. Больная госпитализирована в травматологическое отделение. Проведено инструментальное и лабораторное обследование и предоперационная подготовка. Выставлен диагноз закрытый перелом шейки правой бедренной кости Garden 2, Pauwels 1– рис. 1.

По результату обследования и постановки диагноза, учитывая характер перелома, его локализацию, было решено в экстренном порядке провести остеосинтез ШБК методом двухопорной двухполюсной фиксации.

Операция

Репозиция. Положение больной на операционном столе на спине. Для закрытой репозиции применяли методику

Рис. 1. Перелом шейки правой бедренной кости Garden 2, Pauwels 1.

Leadbetter, которая подразумевает легкое вытяжение, незначительное отведение и внутреннюю ротацию конечности [20]. После репозиции на операционном столе в правильном положении правой нижней конечности. Кожа операционного поля 3-х кратно обработана раствором маркирующего антисептика. В верхней трети правого бедра по наружной поверхности выполнено 3 прокола кожи, по которым в ШБК под ЭОП контролем в области большого вертела и на расстоянии 3 см ниже большого вертела проведены 3 спицы диаметром 2,8 мм.

В первую очередь проводим направляющую спицу для дистального канюлированного винта. Точка его входа расположена на расстоянии 4-6 см дистальнее нижней границы большого вертела. Спица наклонена под углом 150–165° к диафизарной оси и направлена задне– проксимально, так что, спица переходит в дорсальную треть головки бедренной кости и соприкасается с задним корти-калом ШБК (при виде сбоку).

Точка входа средней направляющей спицы находится на расстоянии 2–4 см проксимальнее от точки входа дистальной спицы. Эта спица проводится под углом 130–140° к диафизарной оси и направлена вентральную плоскость головки бедренной кости (в боковой проекции) и в дистальную треть головки бедренной кости (в прямой проекции).

В свою очередь проксимальная спица проводится параллельно средней спице, точка входа которой располагается 1,5–2,0 см проксимальнее от точки входа средней спицы.

Установка винтов. Следующим этапом измеряем длину винтов и сверление с помощью канюлированной сверла диаметром 5 мм. Метчикование отверстий. С целью достижения межфрагментарной компрессии средний и проксимальный винты устанавливаются первыми. Далее

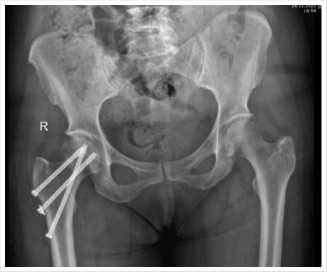
Рис. 2. Контрольная рентгенограмма костей таза после операции.

мы расслабляем вытяжение стопы и устанавливаем дистальный винт.

Раны ушиты наглухо послойно. Асептическая повязка со спиртом. Кровопотеря минимальная. На контрольных снимках положение отломков удовлетворительное, положение отломков правильное (Рис. 2).

В послеоперационном периоде пациентка переведена в палату. В течение 3 суток наблюдалась положительная динамика, снижение интенсивности болевого синдрома и увеличение объема движений в конечности. Пациентка выписана на амбулаторное лечение у травматолога по месту жительства в удовлетворительном состоянии. Даны рекомендации, разрешена ходьба с помощью костылей или ходунков с частичной нагрузкой на больную конечность.

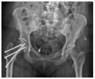
Через 1,5 месяца больная 65 лет доставлена бригадой скорой медицинской помощи в приемное отделения 12.01.2023 г. с жалобами на боль и невозможность наступить на правую нижнюю конечность. Из анамнеза травма получена в результате падения на правое бедро с высоты собственного роста. В приемном отделении осмотрена травматологом. При осмотре выраженная отечность верхней трети правого бедра. Патологическая подвижность. Наружная ротация конечности. Пальпаторно определяется выраженная болезненность верхней трети правого бедра. Отмечается положительный симптом прилипшей пятки. Пассивные и активные движения резко болезненны. Пульсация на сосудах нижней конечности не ослаблен, чувствительность не нарушена. Больная, госпитализирована в травматологическое отделение. На рентгенографии костей таза выявлен подвертельный периимплант-ный перелом правой бедренной кости со смещением отломков (Рис. 3).

Проведено лабораторное обследование и предоперационная подготовка. По-

Назаров Д.С., Айрапетов Г.А., Загородний Н.В. и др. ПЕРИИМПЛАНТНЫЙ ПОДВЕРТЕЛЬНЫЙ ПЕРЕЛОМ БЕДРЕННОЙ КОСТИ ПОСЛЕ ОСТЕОСИНТЕЗА ШЕЙКИ БЕДРЕННОЙ КОСТИ МЕТОДОМ ДВУХОПОРНОЙ ДВУХПОЛЮСНОЙ ФИКСАЦИИ

Рис 3. Рентгенограмма тазобедренных суставов больной на момент поступления.

сле подтверждения диагноза и полного лабораторного обследования было принято решение провести реостеосинтез правой бедренной кости интермедуляр-ным бедренным штифтом под спинальной анестезией. Под спинномозговой анестезией был проведен реостеосинтез правой бедренной кости интрамедуллярным бедренным штифтом.

Операция проводилась следующим образом: положение больной на операционном столе на спине. После репозиции на операционном столе в правильном положении правой нижней конечности. Кожа операционного поля 3-х кратно обработана раствором маркирующего антисептика. В верхней трети правого бедра по наружной поверхности выполнен разрез кожи 8,0 см. Тупо и остро выполнен доступ к бедренной кости. Выполнено последовательное удаление винтов. Промывание раны 0,9% изотоническим раствором натрия хлорида, осушение раны. Введен на правляющий стержень. Гемостаз. Открытие костномозгового канала. Гемостаз. Введен штифт в костномозговой канал. Гемостаз. Введена направляющая спица в ШБК, ЭОП-контроль, стояние спицы правильное. Удаление направляющей спицы и установка винта ШБК, рентген контроль, стояние винта правильное. Рана салфетками осушена. Сверлом сделано 1 отверстие. Метчикование отверстия. Установка 1 кортикального винта, рентген контроль, состояние правильное. Заключительный гемостаз. Рана ушита наглухо послойно. Асептическая повязка. Кровопотеря составила 60 мл.

На следующие сутки проведена рентгенография тазобедренных суставов (Рис. 4).

В раннем послеоперационном периоде проводилась антибактериальная терапия в целях профилактики инфекционных осложнений, перевязки, купирование болевого синдрома.

Рис. 4. Рентгенограмма тазобедренных суставов после операции.

Выводы

На начальном этапе внедрения этого метода лечения мы столкнулись с трудностями при установке винтов–тре-бовалось соблюдать строгое направление и угол введения. Данный клинический случай подчеркивает необходимость дальнейшего исследования и совершенствования методики.