Позвоночно-тазовая диссоциация у подростка с тяжелой сочетанной травмой, осложненная синдромом «конского хвоста»

Автор: Искусов П.В., Брагина С.В., Корняков И.М., Никитина И.В., Зворыкин А.С., Фомин А.В., Медведев Д.Н., Анисимов В.Н., Агапитов А.В.

Журнал: Гений ортопедии @geniy-ortopedii

Рубрика: Клинический случай

Статья в выпуске: 6 т.31, 2025 года.

Бесплатный доступ

Введение. Уникальность клинического наблюдения связана с низкой распространенностью и сложностью позвоночно-тазовой диссоциации. Нами использованы своевременные методики диагностики и остеосинтеза нестабильных повреждений тазового кольца и крестца. Цель работы — продемонстрировать редкий клинический случай позвоночно-тазовой диссоциации у подростка с тяжелой сочетанной травмой, осложненной синдромом «конского хвоста» с положительным результатом лечения. Материалы и методы. Клинический случай лечения подростка с позвоночно-тазовой диссоциацией в составе тяжелой сочетанной травмы, осложненной синдромом «конского хвоста». Операция декомпрессии корешков «конского хвоста», триангулярный остеосинтез, малоинвазивная фиксация переломов переднего полукольца таза выполнены на четвертые сутки после травмы из-за неустойчивой гемодинамики у пациента. Результаты. Достигнут положительный результат лечения в виде спасения жизни, восстановления опорно-двигательной функции таза и нижних конечностей, полного регресса неврологической дисфункции тазовых органов с оценкой по шкале Majeed через шесть месяцев и один год после травмы. Обсуждение. В данном наблюдении причиной позвоночно-тазовой диссоциации в составе тяжелой сочетанной травмы у ребенка явилось падение с высоты. Эта травма (более 25 баллов по шкале ISS) относится к крайне тяжелой с высоким уровнем смертности, часто сопровождается травматическим шоком. При позвоночно-тазовой диссоциации частота неврологических нарушений и повреждений других локализаций высока, что подтверждается и нашим клиническим случаем: повреждением корешков «конского хвоста» с нарушения тазовых функций, наличием смежных переломов таза (переломы левой вертлужной впадины, правой лонной и седалищной костей), висцеральных повреждений в виде ушиба правого легкого, ушиба головного мозга. Триангулярный остеосинтез в настоящее время считается методом выбора при позвоночно-тазовой диссоциации, поскольку это — наиболее стабильная, биомеханически обоснованная система фиксации при вертикальных, ротационных и угловых нагрузках на тазовое кольцо. Нам удалось избежать послеоперационных осложнений, хотя, по данным мировой литературы, их вероятность очень высока, при открытых методиках доходит до 50 %. Выбранная тактика лечения позвоночно-тазовой диссоциации у подростка с тяжелой сочетанной травмой была верной, что подтверждается консолидацией переломов тазового кольца и положительными отдаленными функциональными результатами. Заключение. Несмотря на сложность травмы, высокую частоту послеоперационных осложнений и недостаток опытных специалистов в результате слаженной работы многопрофильной бригады, своевременной диагностики и использования самых современных в мире методик остеосинтеза нестабильных повреждений тазового кольца удалось спасти жизнь подростка, избежать послеоперационных осложнений и в кратчайшие сроки восстановить функции таза и нижних конечностей.

Еще

Позвоночно-тазовая диссоциация, сочетанная травма, нестабильное повреждение таза, переломы крестца, триангулярный остеосинтез

Короткий адрес: https://sciup.org/142246515

IDR: 142246515   |   УДК: 616-001-031.14-053.6-06:[616.711.6+616.718.1]-001.5-089.227   |   DOI: 10.18019/1028-4427-2025-31-6-831-838

Spinopelvic dissociation in an adolescent with severe combined injury complicated by cauda equina

Introduction The clinical case demonstrated low prevalence and complexity of spinopelvic dissociation. Up‑to-date diagnostic and modern osteosynthesis techniques were used for unstable injuries of the pelvic ring and the sacrum. The objective was to report a rare clinical case of spinopelvic dissociation in an adolescent with severe combined injury complicated by cauda equina that resulted in a positive treatment outcome. Material and methods An adolescent patient with spinopelvic dissociation as part of a severe multi-trauma injury complicated by cauda equina was reported. Cauda equina root decompression surgery, triangular osteosynthesis and minimally invasive fixation of anterior pelvic ring fractures were performed after four days of injury because of unstable hemodynamics in the patient. Results A positive treatment outcome was achieved in the form of life-saving, restored musculoskeletal function of the pelvis and lower limbs and complete regression of neurological dysfunction of the pelvic organs demonstrated by the Majeed pelvic score at six months and at one year of injury. Discussion Spinopelvic dissociation as part of a severe combined injury was caused by a fall from a height in the case. A ISS score of over 25 points is classified as profound and very severe with a high risk of mortality and is often accompanied by traumatic shock. There is a high risk of neurological disorders and damage to other locations in spinopelvic dissociation. The patient suffered damage to the cauda equina roots and disturbed pelvic functions, adjacent pelvic fractures (fractures of the left acetabulum, right pubic and ischial bones), visceral injuries including contusion to the right lung and the brain. Triangular osteosynthesis is considered the method of choice for spinopelvic dissociation providing stable and biomechanically reasonable fixation system for the vertical, rotation and angulation loading on the pelvic ring. Although the risk of postoperative complications is very high and can reach 50 % with open techniques according to international literature the patient developed no postoperative complications. The treatment strategy was adequate for the teenager with spinopelvic dissociation and severe combined trauma and resulted in consolidated pelvic ring fractures and positive long-term functional outcome. Conclusion Despite the complexity of the injury, high risk of postoperative complications and the lack of experienced specialists the teenager could survive, avoid postoperative complications and restore pelvic and lower limb function due to the coordinated work of a multidisciplinary team, timely diagnosis and modern osteosynthesis techniques used for unstable pelvic injuries.

Еще

Текст научной статьи Позвоночно-тазовая диссоциация у подростка с тяжелой сочетанной травмой, осложненная синдромом «конского хвоста»

Позвоночно-тазовая диссоциация — тяжелая травма, характеризующаяся анатомическим разрывом между позвоночником и костями таза. Это вызвано горизонтальным переломом крестца и двусторонним продольным переломом, что приводит к диссоциации позвоночника и таза [1–7]. Ввиду редкости, сложности травмы и высокой частоты послеоперационных осложнений, опытных специалистов для диагностики и лечения данной патологии недостаточно [4, 5]. Уникальность клинического наблюдения связана с низкой встречаемостью, тяжестью патологии, своевременной диагностикой и использованием самых современных методик остеосинтеза нестабильных повреждений тазового кольца и крестца: открытой билатеральной транспедикулярной позвоночно-тазовой фиксации в комбинации с подвздошнокрестцовыми винтами (триангулярный остеосинтез) и с ретроградным малоинвазивным остеосинтезом переднего полукольца таза, что позволило спасти жизнь подростка, избежать послеоперационных осложнений и в кратчайшие сроки восстановить функции таза и нижних конечностей.

Цель работы — продемонстрировать редкий клинический случай позвоночно-тазовой диссоциации у подростка с тяжелой сочетанной травмой, осложненной синдромом «конского хвоста» с положительным результатом лечения.

МАТЕРИАЛЫ И МЕТОДЫ

Девочка-подросток 16 лет получила травму в результате падения с пятого этажа. Доставлена бригадой скорой помощи в течение 30 мин. в специализированный стационар Архангельской областной клинической больницы в крайне тяжелом состоянии: артериальное давление — 100 × 60 мм рт. ст., искусственная вентиляция легких, инотропная поддержка, на щите, иммобилизация шеи воротником Шанца. В стационаре проведены противошоковые лечебно-диагностические мероприятия. Пациентка осмотрена муль-тидисциплинарной бригадой: травматологом, нейрохирургом, хирургом, челюстно-лицевым хирургом, реаниматологом. Выполнена компьютерная томография (КТ) головы, грудной клетки, живота, таза.

По результатам обследования установлен диагноз: Сочетанная травма. Кататравма. Закрытая черепно-мозговая травма. Ушиб головного мозга тяжелой степени. Закрытая травма грудной клетки. Ушиб правого легкого. Нестабильное повреждение тазового кольца. Оскольчатый нестабильный перелом крестца (тип DENIS 3, подтип 2 по ROY – CAMILL) со смещением и компрессией корешков «конского хвоста». Переломы правой лонной, седалищных костей и левой вертлужной впадины со смещением. Нейрогенное нарушение тазовых функций. Травматический шок 1 степени. Ушибы и ссадины мягких тканей правой половины лица, наружного носа. Ушибленная сквозная рана нижней губы. Полный вывих зубов 1.1, 2.1. Неполный вывих и перелом коронки зуба 1.2. Перелом костей носа.

По шкале ISS ( англ .: Injury Severity Score) — 48 баллов (относится к крайне тяжелой травме). Летальность при травмах с оценкой ISS ≥ 40 баллов — наибольшая, составляет 65 % [8].

В результате КТ таза при поступлении выявлены: оскольчатый нестабильный перелом крестца со смещением; переломы правой лонной, седалищных костей и левой вертлужной впадины со смещением (рис. 1).

Рис. 1. Компьютерные томограммы таза пациентки при поступлении в стационар: а — 3D-реконструкции; б — сканы в аксиальной и сагиттальной проекциях

В анализах крови при поступлении: эритроциты — 2,5×1012/л, гемоглобин — 72 г/л, общий белок — 50 г/л, КФК — 2072 Ед/л, КФК МВ — 135 ед/л.

Рис. 2. Рентгенограмма обзорная таза после операции

По срочным показаниям первым этапом больной выполнена операция: Стабилизация переломов тазового кольца в аппарате наружной фиксации (АНФ) (рис. 2). В послеоперационном периоде проведено лечение в отделении реанимации.

После купирования травматического шока и стабилизации состояния через четыре дня выполнена операция: Демонтаж АНФ с таза. Декомпрессия корешков спинного мозга («конского хвоста») на уровне S2 позвонка. Билатеральная пояснично-подвздошная триангулярная фиксация таза (транспедикулярная поясничного подвздошная фиксация заднего отдела таза на уровне L4, L5 и транскутанная подвздошно-крестцовая фиксация переломов крестца канюлированными винтами). Малоинвазивный ретроградный металлоостеосинтез перело-

мов правой лонной кости и левой вертлужной впадины канюлированными винтами.

В состав операционной бригады входили три травматолога, нейрохирург, анестезиолог-реаниматолог, операционная медсестра.

Под эндотрахеальным наркозом демонтировали АНФ с таза. В положении пациентки на животе выполнен линейный срединный разрез длиной 22 см на уровне L5–S3 в области крестца, отсепарованы мягкие ткани, скелетирована зона оскольчатого перелома крестца. Гемостаз. На уровне S2 визуализированы плоскость оскольчатого перелома, угловая деформация. На уровне плоскости перелома S2 определено spina bifida. Выполнена ламинэктомия S2, частично S3. Видимых кровоподтеков, морфологического повреждения твердой мозговой оболочки спинного мозга и корешков не выявлено. Выполнена декомпрессия корешков, сдавленных костными отломками. Часть мелких костных осколков удалена. Отсепарованы мягкие ткани, скелетированы дужки и фасеточные суставы L4/L5, L5/S1. Под контролем электронно-оптического преобразователя (ЭОП) введены транспедикулярные винты в корни дуг L4 и L5 позвонков с двух сторон. Далее под контролем ЭОП винты зафиксированы в крыльях подвздошных костей. Выполнено устранение дислокации перелома крестца под визуальным и рентгенконтролем. После моделирования соединительных штанг произведён монтаж транспедикулярной пояснично-подвздошной системы. При рентгенконтроле зарегистрировано удовлетворительное стояние отломков. Выполнено два разреза кожи длиной по 1 см в области крыльев подвздошных костей. Под контролем ЭОП через продольные плоскости перелома крестца малоинвазивно проведено по одному канюлированному винту по направляющим спицам длиной 90 мм и 80 мм, диаметром 7,3 мм в тело S1 позвонка. Выполнена подвздошно-крестцовая фиксация переломов крестца. При полипро-екционном рентгенологическом исследовании выявлено удовлетворительное стояние отломков. Проведены: гемостаз, вакуум-дренажи к зоне перелома, послойные швы на рану, повязка с антисептиком.

В положении на спине через два разреза кожи по 0,5 см в области лонного сочленения выполнен ретроградный малоинвазивный металлоостеосинтез перелома правой лонной кости канюлированным винтом диаметром 5 мм длиной 40 мм и перелома левой вертлужной впадины винтом 110 мм диаметром 6,5 мм. Наложены швы на кожу, асептические повязки. При полипроекционном рентгенологическом исследовании таза и крестца определено удовлетворительное стояние отломков (рис. 3). Длительность операции — 4 ч. 20 мин., кровопотеря — 700 мл.

Рис. 3. Обзорные рентгенограммы таза после окончательного остеосинтеза: внутренние косая и прямая; наружная косая

РЕЗУЛЬТАТЫ

Ранний послеоперационный период протекал без осложнений. В условиях отделения реанимации (ОАРИТ) проведено лечение: респираторная терапия, анальгетики, прокинетики, профилактика тромбозов нижних конечностей, профилактика стрессовых язв, антибактериальная терапия, инфузионнотрансфузионная терапия, седация, энтеральное питание, лечебная физкультура, мероприятия по уходу, перевязки, лабораторный мониторинг, трансфузия эритроцитной массы в объеме 1162 мл, криопреципитат в объеме 180 мл. Дренажи удалены на вторые сутки. На третьи сутки после операции пациентка переведена из ОАРИТ в отделение травматологии и ортопедии. На фоне проводимого лечения состояние пациентки улучшилось, — передвигалась с помощью костылей без нагрузки на левую ногу. Швы сняты на 21-е сутки после операции. Заживление ран прошло первичным натяжением. Неврологические тазовые нарушения регрессировали. Сосудисто-неврологических нарушений нижних конечностей не выявлено. В анализах крови при выписке: эритроциты — 4,1×1012/л, гемоглобин — 125 г/л, общий белок — 74 г/л.

Выписана на амбулаторное лечение на 33-и сутки после травмы с рекомендациями: продолжить лечение у травматолога, педиатра, невролога в поликлинике по месту жительства, ходить без нагрузки на левую ногу до трех месяцев со дня операции, компьютерная томография таза через шесть и 12 месяцев после операции, антикоагулянты (эликвис — 2,5 мг 2 раза в день до 1,5 мес.), эластичная компрессия нижних конечностей, лечебная физкультура, массаж, физиолечение, анальгетики, хондропротекторы, витамины.

В данном случае мы использовали комбинацию современных методов оперативного лечения повреждений тазового кольца (как малоинвазивного остеосинтеза, так и открытого). Пациентке сохранена жизнь, восстановлена функция нижних конечностей, регрессировали тазовые неврологические расстройства. Результат лечения — отличный.

Пациентка была осмотрена травматологом-ортопедом Архангельской областной клинической больницы через шесть и 12 мес. после операции. Результатом лечения пациентка довольна, ходит с полной нагрузкой на обе нижние конечности, не хромает. Отеки, деформации в области конечностей не определяются. Приседания — безболезненные, движения в коленных, тазобедренных суставах не ограничены, безболезненные (рис. 4). Послеоперационные рубцы в области таза — без воспалений. Нагрузка на крылья подвздошных костей — безболезненная. Чувствительность и движения пальцев стоп не нарушены. Функции тазовых органов сохранены.

Рис. 4. Фото пациента спустя шесть месяцев после операции

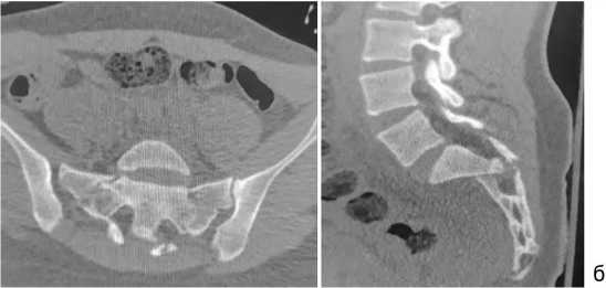
Результат более 85 баллов по шкале Majeed (международная шкала отдаленных результатов хирургического лечения нестабильных повреждений костей таза и крестца) является отличным. Мы планируем удалить металлоконструкции. На компьютерных томограммах таза через шесть (рис. 5) и 12 мес. после операции (рис. 6) определяли консолидацию переломов таза и крестца, металлоконструкции стабильны.

Рис. 5. Компьютерные томограммы таза, шесть месяцев после операции: а — 3D-реконструкции

Рис. 5 (продолжение). Компьютерные томограммы таза, шесть месяцев после операции: б — сканы во фронтальной и сагиттальной проекциях

Рис. 6. Компьютерные томо-граммытаза, один год после операции: а — 3D-реконструкции; б — сканы во фронтальной и сагиттальной проекциях

ОБСУЖДЕНИЕ

Несмотря на технологический прогресс в травматологии лечение пострадавших с нестабильными повреждениями тазового кольца в составе тяжелой сочетанной травмы представляет сложную задачу, требующую междисциплинарного подхода. Позвоночно-тазовая диссоциация — редкая травма, которая может возникнуть в 2–3 % случаев при поперечных переломах крестца и в 3 % случаев при переломах крестца, сочетающихся с повреждениями тазового кольца. В связи с этим ее диагностика может быть затруднена или остаться незамеченной в 25–70 % случаев в зависимости от проводимой диагностики [9, 10].

В нашем клиническом наблюдении обстоятельством высокоэнергетической тяжелой сочетанной травмы у подростка явилось падение с высоты, что является основной причиной таких повреждений наряду с дорожно-транспортными происшествиями [7]. «Золотым стандартом» диагностики пояснично-тазовой диссоциации является мультиспиральная КТ с чувствительностью 88 % [1, 7]. При поступлении в травматологический центр 1 уровня пострадавшему проводили лечебно-диагностические противошоковые мероприятия мультидисциплинарной бригадой, выполняли КТ головы, грудной клетки, живота, таза. Данный случай относится к крайне тяжелым травмам по шкале ISS, оценка — 48 баллов, так как летальность при травмах с оценкой ISS ≥ 40 баллов составляет 65 % [8]. По срочным показаниям пациентке выполнили стабилизацию тазового кольца аппаратом наружной фиксации, дальнейшее лечение проводилось в ОАРИТ.

По данным метаанализа, неврологический дефицит присутствует в 68,1 % случаев, из которых в 65,1 % случаев наблюдают улучшение после хирургического лечения. Существует высокий риск неврологической травмы, когда перелом представляет собой кифотическую деформацию ≥ 20° [5]. В нашем клиническом случае у пациентки также был неврологический дефицит (синдром «конского хвоста»), но после хирургического лечения он регрессировал. При данной травме частота повреждений других локализаций также высока: ассоциированные переломы позвоночника — в 87,5 % случаев, переломы нижних конечностей — в 71 %, смежные переломы таза — в 66,7 %, висцеральные травмы — в 28,6 %. Связь с травмами мягких тканей, такими как синдром Морреля – Лавалье, также заметна и может усложнить лечение данной категории пациентов [5]. Наличие тяжелой черепно-мозговой травмы или других повреждений костей и внутренних органов, как правило, затрудняет неврологическое обследование и раннее хирургическое лечение. Это означает, что окончательное хирургическое лечение часто прихо- дится откладывать до тех пор, пока не будет достигнута гемодинамическая стабильность, хотя рекомендуется проводить его до истечения 72 часов. Однако некоторые авторы устанавливают предел в 14 дней после травмы. В случаях с неврологическими симптомами хирургическое вмешательство должно быть проведено как можно скорее, желательно в течение первых 24 часов [5]. Согласно данным литературы, при позвоночно-тазовой диссоциации частота повреждений других локализаций высока, что подтверждается и нашим клиническим случаем, — повреждение корешков «конского хвоста» с нарушения тазовых функций, смежные переломы таза (переломы левой вертлужной впадины, правой лонной и седалищной костей), висцеральные повреждения в виде ушиба правого легкого, ушиб головного мозга.

Позвоночно-тазовая фиксация в сочетании с подвздошно-крестцовыми винтами или пластиной (триан-гулярный остеосинтез) в настоящее время считается методом выбора [10–13]. Создается своеобразный треугольник, который обычно образуется двумя системами: горизонтальной поперечной фиксацией с помощью подвздошно-крестцовых винтов, а также вертикальной пояснично-тазовой транспедикулярной системой, что обеспечивает оптимальные условия для консолидации переломов [14–16]. При неврологически осложненной позвоночно-тазовой диссоциации требуется открытая репозиция перелома крестца с триангулярной позвоночно-тазовой фиксацией [1, 2, 5]. В нашем случае декомпрессия корешков «конского хвоста», триангулярный остеосинтез, малоинвазивная фиксация переломов переднего полукольца таза выполнены на четвертые сутки после травмы из-за неустойчивой гемодинамики у пациентки. Фиксацию переломов правой лонной кости и левой вертлужной впадины выполнили малоинвазивным методом, тем самым восстановили целостность тазового кольца, повысили стабильность и снизили риск несостоятельности заднего полукольца таза. Широко используемые для описания переломов крестца в контексте всего тазового кольца являются классификации AO / OTA ( англ .: Association of Osteosynthesis / Orthopedic Trauma Association), модифицированная Tile и Young-Burgess [1]. Известно несколько классификаций переломов крестца (Denis, дополненная Roy – Camille, а затем Strange – Vognsen и Lebech, B. Isler), но их нельзя рассматривать отдельно от всего тазового кольца, потому что крестец — это часть таза, а не только один из отделов позвоночника [1]. В 2012 г. описана система классификации травм пояснично-крестцового отдела позвоночника LSICS ( англ .: Lumbosacral Injury Classification System), в которой баллы выше четырех обычно указывают на хирургическое лечение [1, 5]. Классификация переломов вертлужной впадины Judet – Letournel является наиболее общепризнанной и корректной в диагностическом плане [17, 18]. В этом клиническом случае для выбора правильной тактики лечения мы применили несколько классификаций при повреждении тазового кольца, т.к. у подростка была ассоциированная травма таза (нестабильное повреждение тазового кольца, нестабильный перелом крестца, позвоночно-тазовая диссоциация, перелом левой вертлужной впадины со смещением). Опытных специалистов для диагностики и лечения данной патологии мало ввиду редкости, тяжести данной травмы и высокой частоты послеоперационных осложнений, что является ограничением данного метода лечения [1, 2, 4, 5].

Очень важны дальнейшее изучение этой патологии, внедрение стратегий, таких как использование малоинвазивные доступов, предоперационное планирование с помощью 3D-систем, интраоперационная навигация или использование крестцово-подвздошных винтов, которые помогут свести к минимуму послеоперационные осложнения, возникающие в 30–50 % случаев [19–22]. Наиболее частыми осложнениями являются: дискомфорт из-за металлоконструкции для остеосинтеза (до 95 %), инфекции (36–50 %, при открытых хирургических доступах — выше), нестабильность имплантата (11–17 %), псевдоартроз (9,3 %), мальпозиция имплантата (15 %), повреждение корешков (2–15 %), тромбоз глубоких вен, прогрессирование крестцового кифоза (не зависящего от фиксации переднего кольца), утечка спинномозговой жидкости, травма мочеточника и мочевого пузыря [1, 5]. В нашем случае удалось избежать послеоперационных осложнений, хотя, по данным мировой литературы, их вероятность очень большая и при открытых методиках доходит до 50 %. Триангулярный остеосинтез в настоящее время считается методом выбора при позвоночно-тазовой диссоциации, поскольку это наиболее стабильная, биомеханически обоснованная система фиксации, которая создает оптимальные условия для консолидации переломов, позволяет пациенту передвигаться. Анализируя данный клинический случай, можно утверждать, что выбранная тактика лечения позвоночно-тазовой диссоциации у подростка с тяжелой сочетанной травмой была верной, что подтверждается консолидацией переломов тазового кольца и положительными отдаленными функциональными результатами.

ЗАКЛЮЧЕНИЕ

Слаженная работа многопрофильной бригады, своевременная диагностика и использование самых современных методик остеосинтеза повреждений тазового кольца (триангулярного остеосинтеза и малоинвазивных методик) позволили спасти жизнь, избежать послеоперационных осложнений и в кратчайшие сроки восстановить функции таза и нижних конечностей у подростка с позвоночнотазовой диссоциацией в составе тяжелой сочетанной травмы.