Применение NPWT при ограниченной инфекции зоны дистального анастомоза после бифуркационного аорто-бедренного шунтирования: серия случаев
Автор: Самарцев В.А., Карасов И.А., Опарин А.Ю., Круглов Е.В., Курников Д.В., Кузнецова М.В.
Журнал: Ульяновский медико-биологический журнал @medbio-ulsu
Статья в выпуске: 4, 2025 года.
Бесплатный доступ
Классическим методом лечения парапротезной инфекции в сосудистой хирургии является эксплантация протеза с решунтированием при помощи аутологичного материала или же путем экстраанатомического обхода пораженной области. Однако в ряде случаев целесообразным представляется использование тактики консервативного ведения пациентов. Одним из современных методов консервативной терапии парапротезной инфекции является Negative Pressure Wound Therapy (NPWT). Но в настоящее время рекомендации по лечению инфекции сосудистых протезов не устанавливают четких рамок применения NPWT. Цель. Оценить результаты применения NPWT у пациентов с ограниченной парапротезной инфекцией дистального анастомоза после бифуркационного аорто-бедренного шунтирования. Материалы и методы. Всего в исследование были включены 8 пациентов (6 (75 %) мужчин, 2 (25 %) женщины, средний возраст – 68±5 лет), получавших NPWT в течение 6–10 сут. Параллельно осуществлялась этиотропная антибиотикотерапия. Наблюдения осуществлялись c 2018 по 2024 г. В работе предложены критерии отбора пациентов, которым показано консервативное лечение парапротезной инфекции, а также внутренний клинический протокол ведения таких больных. Приведен анализ современной медицинской литературы по данной проблеме, проведено сравнение имеющихся данных с теми, которые были получены в ходе описания представленной серии случаев. Результаты. Во всех случаях удалось добиться заживления раны. Кровотечений при использовании вакуум-терапии не зафиксировано. Срок наблюдения составил от 9 до 26 мес., повторного инфицирования протезов, смертности, ампутаций в исследуемой группе отмечено не было.
Парапротезная инфекция, хирургическая инфекция, паховый доступ к артериям, сосудистый протез, NPWT
Короткий адрес: https://sciup.org/14134212
IDR: 14134212 | УДК: 616-089.819.82-036.7-06 | DOI: 10.34014/2227-1848-2025-4-67-77
NPWT for a localized distal anastomotic infection after bifurcated aortofemoral bypass: A case series
The classic treatment for periprosthetic infection in vascular surgery is prosthesis explantation with bypass grafting using autologous material or extra-anatomical bypass of the affected area. However, in some cases, conservative management is advisable. One of the modern methods for the conservative therapy of periprosthetic infection is Negative Pressure Wound Therapy (NPWT). However, current guidelines for the treatment of vascular graft infections do not establish clear guidelines for NPWT. Objective. The aim of the study is to evaluate the NPWT results in patients with localized periprosthetic infection of the distal anastomosis after bifurcated aortofemoral bypass. Materials and Methods. The study included 8 patients (6 (75 %) men, 2 (25 %) women, mean age 68±5). All the patients underwent NPWT for 6–10 days. Etiotropic antibiotic therapy was administered concurrently. Observations were conducted from 2018 to 2024. The study proposes selection criteria for patients indicated for conservative treatment of periprosthetic infection, as well as an internal clinical protocol for managing such patients. The authors analyze current medical literature on this issue, and compare the available data with those obtained during the description of the presented case series. Results. In all cases, complete wound healing was achieved. No bleeding was observed during vacuum therapy. The follow-up period ranged from 9 to 26 months. No prosthesis re-infections, mortality, or amputations were observed in the study group.
Текст научной статьи Применение NPWT при ограниченной инфекции зоны дистального анастомоза после бифуркационного аорто-бедренного шунтирования: серия случаев
Введение. Инфекция искусственных сосудистых трансплантатов – серьезная проблема в реконструктивной хирургии сосудов. По данным литературы, парапротезная инфекция встречается в среднем в 2,5–5 % случаев реконструкции артерий искусственными графтами (однако некоторые авторы приводят гораздо более внушительные цифры – 15 %), и, несмотря на значительные темпы научнотехнического прогресса, ее распространенность снижается недостаточными темпами [1, 2]. Смертность значительно колеблется (как правило, в пределах 5–30 %). Кроме того, при инфицировании протезов аорто-бедренного сегмента высока частота ампутаций – от 15 % до 60 %.
Золотым стандартом лечения парапротез-ной инфекции, помимо этиотропной антибио-тикотерапии, является иссечение вовлеченного трансплантата с последующей реконструкцией, если она возможна. Существует несколько методов реваскуляризации нижних конечностей после удаления пораженных инфекцией графтов, например шунтирование аутовеной или применение экстраанатомического протезирования [1–3]. Гораздо реже осуществляются вмешательства, направленные на сохранение инфицированного трансплантата. Еще на заре эры протезирования сосудов были предложены перманентное промывание раны и миопластика при помощи портняжной и тонкой мышц. С появлением устройств терапии отрицательным давлением (Negative Pressure Wound Therapy, NPWT) для очищения и закрытия различных осложненных ран стала с успехом применяться вакуум-аспирация. Описан значительный опыт ведения пациентов с ограниченной парапротезной инфекцией с использованием NPWT в сочетании с миопластикой портняжной мышцей [4, 5]. Изолированное применение NPWT также отражено в медицинской литературе [3–6]. Рекомендации Европейского общества сосудистых хирургов по лечению инфекции сосудистых протезов и эндографтов от 2020 г. упоминают NPWT как одну из возможных опций лечения, не детализируя ситуации, в которых данная технология будет наиболее целесообразной [7].
Цель исследования. Оценить результаты использования NPWT у пациентов с ограниченной парапротезной инфекцией дистального анастомоза после бифуркационного аорто-бедренного шунтирования и определить показания для применения этой методики.
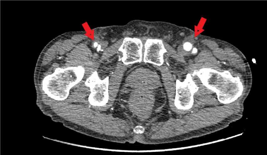
Материалы и методы. Исследование проведено на базе отделения сердечно-сосудистой хирургии ГКБ № 4 (г. Пермь). Критерием включения являлось наличие ограниченной инфекции дистального анастомоза после бифуркационного аорто-бедренного шунтирования; критериями исключения стали распространение инфекции на центральный анастомоз и в брюшную полость, обнаруженное при проведении компьютерной томографии (рис. 1), выполнение снятия инфицированной бранши протеза, отказ пациента от лечения по данной методике. Всего было отобрано 8 пациентов: 6 (75 %) мужчин было и 2 (25 %) женщины (табл. 1). Средний возраст составил 68±5 лет (от 59 до 72).
Рис. 1. Компьютерная томография с внутривенным контрастированием.
Стрелками отмечено скопление жидкости вокруг левой бранши бифуркационного протеза и бедренных артерий ниже анастомоза справа (пациент № 8)
Fig. 1. Computed tomography scans with intravenous contrast. Arrows indicate fluid accumulation around the left branch of the bifurcation prosthesis and the femoral arteries below the anastomosis on the right (patient No 8)
Таблица 1
Table 1
|
№ |
Пол Sex |
Возраст Age |
Микроорганизм Microorganism |
А/б AT |
NPWT, дней NPWT, days |
Давление, mm Hg BP, mm Hg |
|
1 |
Муж. Male |
68 |
E. coli |
ЦН, А Ct, A |
6 |
-160 |
|
2 |
Муж. Male |
72 |
Ac. baumanni |
ЦН, М Ct, M |
8 |
-125 |
|
3 |
Муж. Male |
59 |
St. aureus |
Л, С+ЦП L, S+Cf |
10 |
-120 |
|
4 |
Муж. Male |
69 |
St. aureus |
ЦН, А Ct, A |
9 |
-125 |
|
5 |
Муж. Male |
64 |
Ps. aeruginosa |
ЦН, А Ct, A |
10 |
-130 |
|
6 |
Жен. Female |
72 |
St. aureus |
ЦН Ct |
9 |
-140 |
|
7 |
Жен. Female |
49 |
E. faecalis |
ЦН, А, Л Ct, A, L |
8 |
-130 |
|
8 |
Муж. Male |
65 |
St. aureus |
ЦЛ Cl |
10 |
-130 |
Примечание. A/б – антибиотикотерапия, ЦН – цефтриаксон, А – амикацин, М – метронидазол, Л – линезолид, С+ЦП – сульбактам + цефепим, ЦЛ – цефтаролин.
Сравнительная характеристика пациентов
Comparison of Patient Data
Note. AT – antibiotic therapy, Ct – ceftriaxone, A – amikacin, M – metronidazole, L – linezolid, S+Cf – sulbactam + cefepime, Cl – ceftaroline.
Критериями оценки эффективности метода являлись снижение явлений интоксикации (температура тела, уровни С-реактивного белка, нейтрофильных лейкоцитов, прокальцитонина), прекращение получения отделяемого, очищение раны с появлением удовлетворительных грануляций, ее эпителизация, уменьшение объема парапротезной жидкости в 2 и более раз, зафиксированное при проведении КТ и УЗИ, отсутствие операций по иссечению протеза и по поводу аррозивных кровотечений.
Срок наблюдения за пациентами составил от 9 до 26 мес.
Рис. 2. Наложение аппарата NPWT: а) вид свища до наложения аппарата; б) вид после наложения губки; в) вид после фиксации шланга аппарата; г) общий вид NPWT-системы после наложения
Fig. 2. Application of the NPWT device: a) fistula before device application; b) fistula after sponge application; c) fistula after device hose fixation; d) NPWT system after application
Результаты. У всех 8 пациентов отмечалась положительная динамика. Повторных госпитализаций по поводу рецидива парапро-тезной инфекции, кровотечения или острой ишемии отмечено не было. Дополнительных вмешательств не проводилось.
Таким образом, использование вышеописанного метода лечения ограниченной инфекции сосудистых протезов позволяет сохранить трансплантат и конечность пациента без выполнения масштабной операции с использованием анестезии высокого риска, а также эффективно предотвратить развитие осложнений парапротезной инфекции и прогрессирование ишемии конечности.
Обсуждение. Наиболее очевидным преимуществом вакуумассистированного закрытия ран является значительно меньшая инва-зивность вмешательства, чем при традиционном оперативном лечении [8]. Однако в ряде случаев установка NPWT невозможна: вакуум-аспирация имеет определенные противопоказания к применению (как правило, со стороны непосредственно инфицированной раны). К ним относятся воспаление подкожной клетчатки, активное кровотечение, мацерация кожи. Кроме того, не следует использовать NPWT с наложением аспирационной губки непосредственно на кровеносные сосуды, анастомозы или ложные аневризмы: в литературе описаны патологические кровотечения при подобной методике применения, а также формирование псевдоаневризм [8–11].
Impellizzeri et al. описывают использование NPWT вместе с укрытием инфицированного протеза в паху лоскутом большого сальника [12]. Идея применения сальника при инфекциях сосудистых протезов не нова: первые эксперименты в данном направлении были осуществлены еще на заре эры синтетических сосудистых трансплантатов – в 60-х гг. Тем не менее оментопластика остается одной из опций в арсенале сосудистых хирургов при лечении парапротезной инфекции в случае, когда сохранение графта возможно. NPWT-аппараты способны предоставить данной методике новые возможности [12].
Наибольший интерес представляют сообщения об использовании вакуум-аспирации в исследованиях с десятками и более случаев наблюдений. Как правило, в клиниках с таким обширным опытом создаются собственные алгоритмы применения NPWT при парапро-тезной инфекции. Mayer et al. сообщают о применении NPWT у 44 пациентов, из которых 40 получали лечение по поводу инфекции протеза [13]. Данная группа исследователей накладывала аспирационные губки непосредственно на протезы и нативные сосуды после хирургической обработки, что способно вызвать осложнения в виде кровотечения или формирования псевдоаневризм, как было указано выше [12]. Все пациенты в группе были полиморбидными (что, возможно, также повлияло на выбор метода лечения), их средний возраст составил 62 года. Уровень давления поддерживался на уровне от -50 до -120 мм рт. ст. Вакуум-терапия проводилась в среднем 33 дня (от 20 до 78). У 40 пациентов раны полностью очистились. В 37 случаях удалось избежать реинфекции протеза. Тридцатидневная летальность была нулевой, годовая составила 16 % (7 пациентов). С учетом высокого уровня смертности при парапротезной инфекции результаты в исследуемой группе можно признать более чем удовлетворительными, а саму методику – безопасной и эффективной [13].
Использование NPWT при парапротезной инфекции в паховой области во многих работах подается как разумная альтернатива иссечению протеза при отсутствии противопоказаний [10, 14–16].
Десятилетний многоцентровой опыт применения NPWT при парапротезной инфекции был проанализирован в исследовании индийских ученых [17]. Критериями исключения являлись выявленная при посеве крови бактериемия, инфекция, распространяющаяся выше паховой складки, а также кровотечение. Всего было изучено 72 случая инфекции (как сосудистых протезов, так и синтетических заплат) у 68 больных. Всем пациентам перед наложением NPWT-аппарата выполнялась хирургическая санация раны и миопластика протеза портняжной мышцей. Параллельно парентерально назначалась антибактериальная терапия (согласно результатам микробиологического исследования). В течение 9 мес. удалось сохранить 61 из 72 (84,7 %) синтетических трансплантатов. Средняя продолжительность NPWT составила 16±7,7 дня. В 23 (31,9 %) из 72 случаев раны зажили самостоятельно вторичным натяжением, в 49 наблюдениях применялась кожная пластика расщепленным лоскутом. В качестве осложнений метода были отмечены персистенция раневого отделяемого в 2 (2,9 %) случаях и повышенная потребность в анальгетиках в 12 (16,66 %). В целом авторы отмечают достаточную эффективность и безопасность метода [16].
При сравнении с другим способом консервативного лечения инфицированных ран – альгинатными повязками – NPWT была сопоставима по стоимости, однако в случае применения вакуума отмечались более высокое качество жизни, экономия рабочего времени медперсонала за счет более редких перевязок (4,5 ч разницы на одну перевязочную медсестру в неделю). Среднее время заживления ран было меньше в группе NPWT – 57 дней против 104 (p=0,026). Однако в этом исследовании участвовали пациенты с любой глубокой периваскулярной инфекцией после пахового доступа к сосудам, а не только с вовлечением искусственного графта [17].
При рациональном подборе антибиотико-терапии описано успешное применение NPWT при инфицировании различными микроорганизмами: MRSA, Proteus mirabilis, Acinetobacter baumannii, Enterococcus faecalis и др. [18–20]. Важно, что при подборе этиотропной терапии посев с губок не имеет диагностической ценности – наиболее информативны посевы из глубины раны [21].
В более позднем десятилетнем ретроспективном исследовании инфекций после пахового доступа в сосудистой хирургии, опубликованном в 2018 г., с помощью NPWT был пролечен 161 пациент. Доля сохраненных синтетических протезов составила 64 %, в 7,1 % случаев применение вакуум-терапии осложнилось кровотечением, в 6,4 % наблюдений имело место реинфицирование [22].
Также в нескольких работах было показано, что при инфицировании непосредственно области анастомоза применение NPWT становится значительно менее эффективным [22, 23].
На основании вышеупомянутых исследований использование NPWT как метода лечения было включено в рекомендации Европейского общества сосудистых хирургов по лечению инфекции сосудистых протезов 2020 г. [7, 16, 17, 22]. В целом позиция экспертного сообщества такова: вакуумассистированное закрытие ран при парапротезной инфекции может рассматриваться как опция для лечения после тщательной хирургической обработки пораженной ткани. Рекомендуемый уровень давления составляет -125 мм рт. ст. и менее. Более сильное отрицательное давление лучше стимулирует грануляцию, однако не должно использоваться в связи с повышением риска кровотечений [7]. Четких критериев отбора пациентов для лечения при помощи NPWT, как и конкретных методик установки аспирационных систем, документ не предлагает. Очевидно, что в каждом медицинском центре, практикующем применение NPWT, должны быть выработаны собственные протоколы.
Примером может служить описанный в работе Paolini et al. протокол применения low- vacuum-аспирации. 5 пациентов получали лечение по поводу осложненных ран с обнажением магистральных сосудов. 4 пациента перенесли тяжелые травмы, 1 пациент был госпитализирован с парапротезной инфекцией. Использовалось давление -80 мм рт. ст., на рану накладывались марля и аспирационная губка, изоляция производилась силиконовой пленкой. Перевязки осуществлялись каждые 72–96 ч, во всех случаях было достигнуто заживление вторичным натяжением местными тканями или же после кожной пластики. Средняя продолжительность лечения составила 37 дней (от 20 до 61). Несмотря на крайне малое количество наблюдений это исследование ценно именно детализацией протокола [24].
В целом в литературе можно наблюдать увеличение интереса к консервативному ведению инфекции сосудистых протезов с учетом современных методик диагностики и лечения, в т.ч. и к применению NPWT [25]. Так, в работе De Caridi et al. изложены результаты лечения 29 пациентов с парапротезной инфекцией. В трети случаев (9 чел., что составило 31,1 %) пациенты получали только консервативную терапию, включающую дебридмент ран, антибиотикотерапию, NPWT [26].
В нашем исследовании во всех 8 случаях удалось избежать реинфицирования протеза и ампутации нижней конечности. Отрицательное давление использовалось несколько выше рекомендуемого, но случаев кровотечения отмечено не было. Обращает на себя внимание и значительно меньший срок использования NPWT – до 10 сут. Кроме того, по данным литературы, вовлечение анастомоза является предиктором негативного исхода при вакуум-терапии, однако никаких осложнений, связанных с протезом, отмечено не было (возможно, по причине крайне малой выборки).
Заключение. При ограниченной инфекции зоны дистального анастомоза после бифуркационного аорто-бедренного шунтирования NPWT может использоваться в качестве опции для лечения. Преимуществами методики являются малая инвазивность и возможность сохранить протез, что снижает риск ампутации конечности. Несмотря на то что в ряде исследований (преиму- щественно ретроспективных и нерандомизированных) показана безопасность и эффективность данного метода при парапротезной инфекции, качественных данных все же недостаточно. Перспективным направлением для исследований вы- глядит разработка четких протоколов лечения инфекции сосудистых протезов при помощи NPWT и их апробация в новых проспективных исследованиях, предпочтительнее – многоцентровых и рандомизированных.
Конфликт интересов. Авторы заявляют об отсутствии конфликта интересов.
Вклад авторов
Концепция и дизайн: Самарцев В.А., Кузнецова М.В.
Написание и редактирование текста: Самарцев В.А., Карасов И.А.,
Круглов Е.В., Опарин А.Ю., Курников Д.В., Кузнецова М.В.
Сбор, обработка клинических данных: Карасов И.А.
Сбор и обработка теоретических данных: Карасов И.А., Круглов Е.В.,
Опарин А.Ю., Курников Д.В.