Прогнозирование прорезывания нижних третьих моляров

Автор: Полякова Г.Ю., Линчевский А.A., Волобуев В.В.

Журнал: Вестник Национального медико-хирургического центра им. Н.И. Пирогова @vestnik-pirogov-center

Рубрика: Клинические наблюдения

Статья в выпуске: 1 т.21, 2026 года.

Бесплатный доступ

Описано динамическое наблюдение за пациентом в течение 3 лет. На основании данных конусно-лучевой КТ оценивались линейные и угловые параметры нижней челюсти и расположения третьего моляра, что, в итоге, привело к самостоятельному прорезыванию зуба.

Третьи нижние моляры, прорезывание, конусно-лучевая компьютерная томография, диагностика

Короткий адрес: https://sciup.org/140314204

IDR: 140314204   |   DOI: 10.25881/20728255_2026_21_1_178

Prediction of eruption of the lower third molars

Dynamic monitoring of the patient for 3 years is described. Based on the cone beam computed tomography data, the linear and angular parameters of the mandible and the location of the third molar were evaluated, which eventually led to independent tooth eruption.

Текст научной статьи Прогнозирование прорезывания нижних третьих моляров

Актуальность

Ретенция нижних третьих моляров по данным литературы достигает 73,5% случаев, что связано с анатомическими особенностями расположения зуба в ограниченном пространстве нижней челюсти [1–3]. При этом, их прорезывание зачастую провоцирует развитие ортодонтической патологии, особенно при наличии скученности зубов [4]. Средние сроки прорезывания третьих моляров определяется в пределах 18–23 лет, поэтому врачи-ортодонты предпочитают направлять таких пациентов на профилактическое удаление. Авторы приводят в качестве факторов риска, указывающими на необходимость профилактического удаления нижнего третьего моляра – аномалии положения зуба (горизонтальное положение, близость нижнечелюстного канала), развитие перикоронита, ортодонтические показания (стабильность результатов лечения, особенно при наличии скученности зубов и сужения зубных рядов) [4–6].

В доступных научных базах найден ряд публикаций, посвященных прогнозированию ретенции нижних третьих моляров для определения показаний к удалению. При этом прогноз строится на основе рентгенологических данных (ортопантомограммы). Для измерений отечественные и зарубежные авторы используют точечные, линейные и угловые ориентиры. Таким образом, изучаются особенности анатомии нижней челюсти, которые могут способствовать возникновению ретенции [7–11]. При этом, рекомендуется проводить серию рентгенологических исследований [12].

В своих клинических исследованиях мы использовали данные конусно-лучевой компьютерной томографии (КЛКТ). Она позволяет оценить анатомические параметры как нижней челюсти, а также положение и размер третьего моляра в трех плоскостях. Определили величину ретромолярного пространства, угол наклона нижних третьих моляров относительно вторых моляров, гониальный угол, топографию и размеры нижнего третьего моляра, толщину кости над коронкой нижнего третьего моляра.

Далее Представлено трехлетнее наблюдение пациента с оценкой прогноза

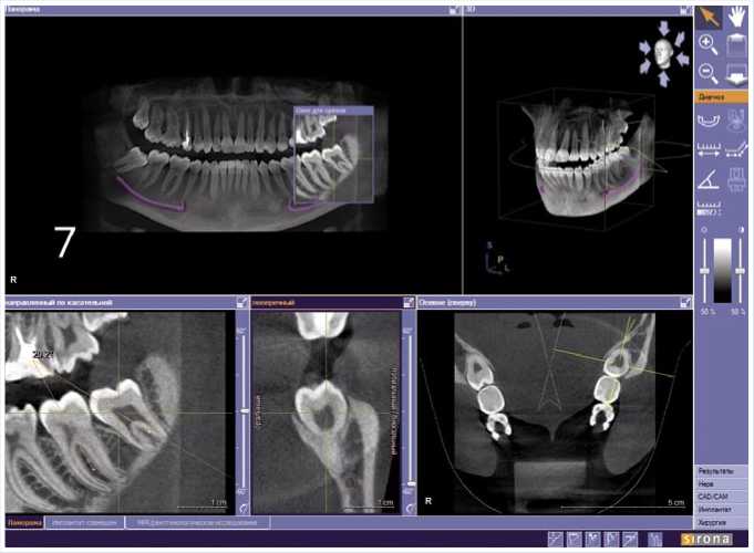
Рис. 1. Пациент К., 16 лет. Срез компьютерной томограммы. Определяется зачаток зуба 3.8.

прорезывания нижних третьих моляров на основании результатов КЛКТ-иссле-дований по вышеуказанным парамен-трам.

Пациент К., 16 лет обратился в Клинику ФГБОУ ВО КубГМУ Минздрава России. Направлен врачом-ортодонтом на консультацию по поводу положения зачатков нижних третьих моляров перед ортодонтическим лечением. При первичном осмотре пациент жалоб не предъявлял. При внутриротовом осмотре: видимой патологии не выявлено, третьи моляры нижней челюсти отсутствовали. Пациент направлен на КЛКТ челюстей

для диагностики положения зачатков нижних третьих моляров. Исследование проведено на аппарате «GALILEOS Com-pact» («Dentsply Sirona», США) с лучевой нагрузкой 18 мкЗв. На основании полученных данных пациенту было предложено динамическое наблюдение за положением зачатков третьих моляров нижней челюсти и отсрочка ортодонтического лечения. Пациент и его законные представители с планом лечения ознакомлены и согласны, получено информированное согласие.

Далее КЛКТ-исследования зубочелюстной системы пациента К. проводили в динамике: КТ-1 в возрасте 16 лет (Рис. 1), КТ-2 – в 18 лет (Рис. 2) и КТ-3 в возрасте 19 лет (Рис. 3) с интервалами 28 и 6 месяцев, соответственно. При сравнении значений КТ-1 и КТ-2 выявлена положительная динамика изменения положения зуба 3.8 (уменьшение угла между зубами 3.7 и 3.8), рост корней в длину. Динамика на КТ-2 и КТ-3 была незначительна, что дает основание считать интервал между КТ-исследованиями менее 6 месяцев малоинформативным. В итоге, по истечению 3 лет наблюдений имеем изменение положения зачатка зуба 3.8 и тенденцию к самостоятельному прорезыванию.

Обсуждение

Несмотря на достаточное количество публикаций, посвященных оценке прорезывания/ретенции нижних третьих моляров, нет единого мнения о необходимости удаления этих зубов с профилактической целью перед ортодонтическим лечением или после него для профилактики рецидива заболевания.

Ряд авторов используют панорамные снимки для оценки линейных и угловых параметров нижней челюсти. Авторы указывают, что с возрастом ребенка углы отклонения между непроре-завшимся моляром и соседними зубами с 49–59° в 7–8 лет до 36-39° в 18–20 лет [2; 9–11]. Фолликулы третьих моляров нижней челюсти с начальным углом наклона более 27,0° по отношению ко второму моляру имеют тенденцию к постепенному увеличению угла наклона в процессе дальнейшего развития. Была выявлена значимая корреляция между углом наклона моляров нижней челюсти и вероятностью их прорезывания [7].

Некоторые исследования показывают, что конфигурация ветви нижней челюсти во многих аспектах отличается у пациентов с прорезавшимися нижни-

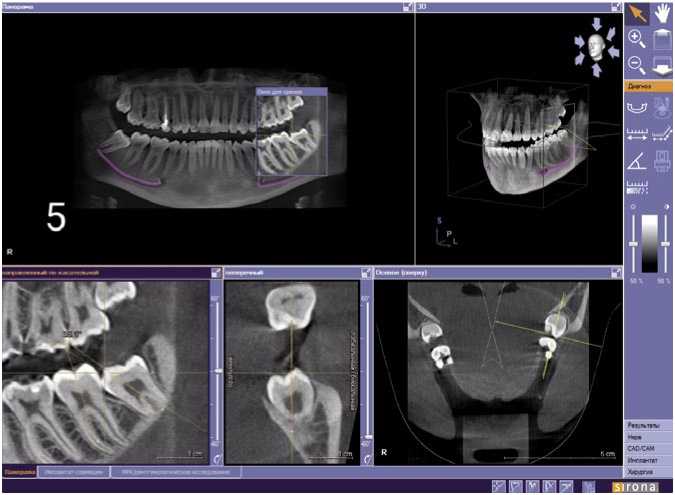
Рис. 2. Пациент К., 18 лет. Срез компьютерной томограммы. Изменение положения зачатка зуба 3.8.

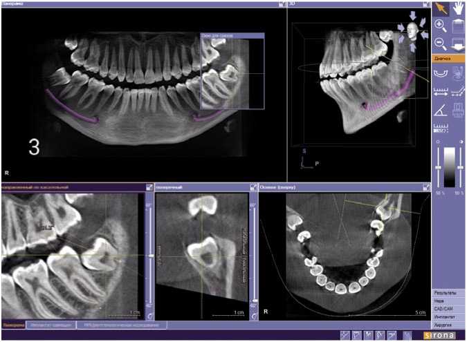
Рис. 3. Пациент К., 19 лет. Срез компьютерной томограммы. Зуб 3.8 на этапе прорезывания.

ми третьими молярами, в отличие от пациентов с ретенированными зубами, что может быть возможной причиной ретенции [2; 8].

Рубникович С.П. и соавт. (2023) указывают, что с возрастом (период 12–25 лет) формирование корней третьих моляров нижней челюсти увеличивается в 2,94 раза, а их угол наклона уменьшается в 2,15 раза. Это свидетельствует о том, что положение третьих моляров относительно биссектрисы гониального угла не меняется в течение этого возрастного периода [13].

Однако, использование КЛКТ для морфометрического анализа нижней челюсти и положения третьих моляров несет большую информативность, нежели ортопантомография. Barone S. и соавт. (2021) отмечают статистическую значимость между положением третьего моляра и значением гониального угла [14].

Таким образом, динамическое наблюдение за пациентом с применением

КЛКТ, ориентируясь на анатомические особенности (рост нижней челюсти и характеристики ретенции) и используя морфометрические параметры, позволяет спрогнозировать самостоятельное прорезывание третьих моляров или определить показания к профилактическому удалению и обеспечить стабильность результатов лечения в долгосрочной перспективе.

Заключение

При прогнозировании прорезывания нижних третьих моляров и определения показаний к удалению рекомендуется:

  • 1)    пользоваться данными КЛКТ-иссле-дований зубочелюстной системы в динамике с интервалом между исследованиями минимум в 6 месяцев;

  • 2)    анализируя КЛКТ-данные учитывать: а) ретромолярное расстояние, б) угол наклона нижних третьих моляров относительно вторых моляров, в) топографию и размеры нижнего третьего моляра, г) гониальный угол, д) толщину кости над коронкой нижнего третьего моляра.