Редкий случай первичной хориокарциномы средостения

Автор: Багателия З.А., Кислов М.А., Крупин К.Н., Супильников А.А., Закурдаев Е.И., Чижиков Н.П., Угодникова П.И.

Журнал: Морфологические ведомости @morpholetter

Рубрика: Оригинальные исследования

Статья в выпуске: 4 т.33, 2025 года.

Бесплатный доступ

Введение. Первичная хориокарцинома средостения – редкая агрессивная злокачественная герминогенная опухоль с неблагоприятным прогнозом. Заболевание чаще встречается у молодых мужчин и характеризуется высокой метастатической активностью. Описание случая. Представлен случай первичной метастатической хориокарциномы средостения у мужчины 26 лет. Заболевание манифестировало острым началом с кашлем, одышкой, лихорадкой и лёгочным кровотечением. При компьютерной томографии выявлено объёмное образование средостения размерами 131×60 мм с множественными очагами в лёгких. Уровень хорионического гонадотропина в крови составил 1308,0 мМЕ/мл. Проведена видеоторакоскопия с атипичной резекцией верхней доли левого лёгкого. В послеоперационном периоде пациент скончался. При аутопсии обнаружена опухоль средостения размерами 7,0×6,0×5,5 см тёмнокрасного цвета, мягкоэластичной консистенции с множественными кровоизлияниями, с метастазами в лёгкие, печень, почки, селезёнку, головной мозг и лимфатические узлы. Гистологическое исследование выявило атипичные синцитиотрофобласты и цитотрофобласты с высокой митотической активностью. Иммуногистохимическое исследование показало положительную реакцию на PanCK, hCG, Inhibin, p63, Glypican3 и отрицательную на CD30, что подтвердило диагноз хориокарциномы. При тотальном исследовании яичек патологических изменений не выявлено. Заключение. Первичная хориокарцинома средостения требует ранней диагностики, основанной на комплексной оценке клинических, лабораторных, инструментальных данных, но окончательная верификация возможна только при морфологическом исследовании с применением широкой панели иммуногистохимических маркеров. Прогноз заболевания остаётся крайне неблагоприятным.

Еще

Злокачественная опухоль средостения, хориокарцинома, диагностика, редкий случай

Короткий адрес: https://sciup.org/143185410

IDR: 143185410   |   УДК: 616.12/.13-006.6-091:616-073.8   |   DOI: 10.20340/mv-mn.2025.33(4).9-34

A rare case of primary choriocarcinoma of the mediastinum

Background. Primary choriocarcinoma of the mediastinum is a rare aggressive malignant germ cell tumor with poor prognosis. The disease predominantly affects young men and is characterized by high metastatic activity. Case Presentation. We present a case of primary metastatic choriocarcinoma of the mediastinum in a 26-year-old man. The disease manifested with acute onset of cough, dyspnea, fever, and pulmonary hemorrhage. Computed tomography revealed a mediastinal mass measuring 131×60 mm with multiple lung lesions. Serum human chorionic gonadotropin level was 1308.0 mIU/ml. Video-assisted thoracoscopy with atypical resection of the upper lobe of the left lung was performed. The patient died in the postoperative period. Autopsy revealed a mediastinal tumor measuring 7.0×6.0×5.5 cm, dark red in color, with soft-elastic consistency and multiple hem-orrhages, with metastases to the lungs, liver, kidneys, spleen, brain, and lymph nodes. Histological examination revealed atypical syncytiotrophoblasts and cytotrophoblasts with high mitotic activity. Immunohistochemical study showed positive staining for PanCK, hCG, Inhibin, p63, Glypican3 and negative for CD30, confirming the diagnosis of choriocarcinoma. Total examination of the testes revealed no pathological changes. Conclusion. Primary choriocarcinoma of the mediastinum requires early diagnosis based on comprehensive evaluation of clinical, laboratory, and instrumental data, but definitive verification is only possible through morphological examination with a broad panel of immunohistochemical markers. The prognosis remains ex-tremely poor.

Еще

Текст научной статьи Редкий случай первичной хориокарциномы средостения

(4).934

Bagateliya ZA, Kislov MA, Krupin KN, Supil'nikov AA, Zakurdaev EI, Chizhikov NP, Ugodnikova PI. A rare case of primary choriocarcinoma of the mediastinum. Morfologicheskie Vedomosti – Morphological newsletter. 2025;33(4):993. (4).934

Хориокарцинома – редкая злокачественная трофобластическая опухоль, которая подразделяется по происхождению на гестационную и негестационную хориокарциному. Последняя также называется первичной или экстрагонад-ной хориокарциномой, возникает в основном у молодых мужчин [1, 7]. Заподозрить у больных заболевание сложно ввиду его размытых клинических проявлений в виде болей в груди, кашля, одышки, кровохарканья и др. [2]. И, как показывает компьютерная томография (КТ) грудной клетки, уже с распространённым метастатическим процессом. К сожалению, до сих пор прогноз первичной хориокарциномы крайне неблагоприятный, несмотря на современные методы диагностики и лечения [3].

В нашей практике встретился клинический случай распространенной первичной хориокарциномой средостения у молодого мужчины 26 лет. Учитывая редкость этой находки, решено описать ее в литературе.

КЛИНИЧЕСКИЙ СЛУЧАЙ

Мужчина 26 лет заболел остро, с жалобами на кашель, заложенность в груди, тяжесть при дыхании, повышение температуры тела до 38,5ºС, обратился к терапевту в частную клинику, где был поставлен диагноз острой вирусной инфекции и назначена противовирусная и антибактериальная терапия. Экспресс анализы на коронавирусную инфекцию и грипп были отрицательными. Несмотря на лечение, состояние больного не улучшалось. По рекомендациям врача-терапевта была выполнена КТ органов грудной клетки, где отмечались признаки объемного образования правого и левого легкого (лимфома? метастазы?), медиастинальная лимфаденопатия. Для дальнейшего обследования пациент госпитализирован в торакальной отделение №39 ГБУЗ «ММНКЦ им. С.П. Боткина». На момент поступления у больного отмечалось легочное кровотечение с явлениями острой кровопотери. Для купирования легочного кровотечения проводилась гемостатическая терапия с трансфузиями эритроцитными массами. пациент при этом находился в ясном сознании.

После стабилизации состояния пациента были проведены различные инструментальные исследования органов грудной клетки (УЗИ, КТ), которые показали объемное неоднородное образование средостения, размерами 131×60 мм, а также наличие в обоих легких множественных округлых четких очагов размерами 5–35 мм. Пациенту выполнено УЗИ-исследование органов мошонки, где правое и левое яичко с ровными контурами и с однородной паренхимой.

В крови у пациента имелось многократное увеличение уровня хорионического гонадотропина до 1308,0 мМЕ/мл. По причине лёгочного кровотечения у мужчины развилась анемия средней степени тяжести, компенсированная гемотрансфузиями (гемоглобин - 76,6 г/л, эритроциты - 2,653*1012/л).

Для окончательной верификации опухоли была проведена видеоторакоскопия с атипичной резекцией верхней доли левого легкого и отправкой операционного материала на патологоанатомическое исследование. В послеоперационном периоде пациент находился в тяжелом состоянии, и несмотря на проведение интенсивной терапии вскоре скончался. При этом на момент смерти не было результатов патологоанатомического исследования операционного материала и окончательного диагноза, поэтому тело умершего было направлено отправить на патологоанатомическое вскрытие.

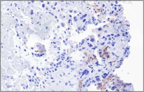
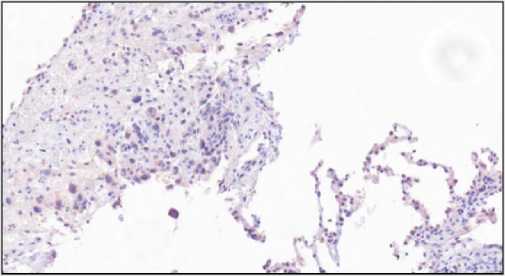
Результаты прижизненного гистологического исследования операционного материала легкого показали инфильтративный рост солидной злокачественной опухоли с высокой клеточной атипией, митозами и очаговыми кровоизлияниями. Опухолевые клетки экспрессировали PanCK (большая часть клеток), Glypican3 (единичные клетки), не окрашивались с CD117, TTF1, CD30, p63, OCT4, CD34, CD31, D240, AFP (рис. 1).

По результатам аутопсийного и биопсийного исследования у больного диагностирована первичная хориокарцинома средостения с распространенными метастазами, к сожалению, посмертно.

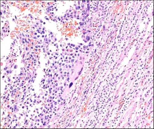
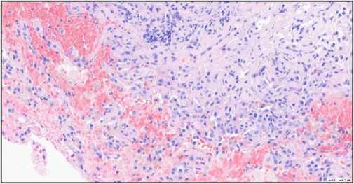
При посмертном гистологическом исследовании опухоль средостения и её метастазы имели солидное строение и состояли из атипичных синцитиотро-фобластов (крупные плеоморфные с насыщенной эозинофильной цитоплазмой и со множественными гиперхромными ядрами с различимыми ядрышками) и цитотрофобластов (полигональные клетки с круглыми ядрами, выраженными ядрышками и прозрачной или эозинофильной цитоплазмой) (рис. 2). Отмечалась высокая митотическая активность опухолевых клеток. Опухоль также имела многочисленные некро- зы. При тотальном гистологическом исследовании яичек патологических очагов не выявлено, паренхима обычного гистологического строения.

ЗАКЛЮЧЕНИЕ

Постановка диагноза первичной хориокарциномы средостения ввиду редкости патологии крайне затруднительна, так как опухоли из экс-трагонадных герминогенных клеток составляют

2–5% от всех опухолей из половых клеток [4]. Возникновение данной опухоли предположительно связано с клетками, возникающими из сохранных примордиальных тотипотенциальных клеток, которые могут аномально мигрировать во время эмбриогенеза [8] по средней линии тела в средостение, забрюшинное пространство, в центральную нервную систему [9, 10].

а

b

c

Рис. 1. Злокачественная опухоль в операционном материале легкого: a – атипичные клетки среди масс крови (окраска гематоксилином и эозином, ×40); b – негативная реакция с AFP (×20); с – экспрессия единичными клетками Glypican3 (×40)

Рис. 2. Метастазы в правой почке: a - макроскопически на разрезе темно-красные солидные очаги опухоли; b – микроскопически выявлены атипичные синцитио и цитотрофобласты (гематоксилин и эозин, ×40)

В диагностике этого заболевания анамнестических данных и результатов лабораторных и инструментальных исследований явно недостаточно, окончательный диагноз можно лишь поставить на основании морфологического исследования опухоли (биопсия, операционный материал). Заподозрить хориокарциному можно еще на этапе макроскопического исследования по тёмно-красному цвету, большому количеству кровоизлияний и сетчатому строению опухолевой ткани. Микроскопическими отличиями хориокарциномы являются обширные поля некроза и кровоизлияния с наличием атипичных син-цитио и цитотрофобластов. Окончательная ве- рификация хориокарциномы проводится с использованием иммуногистохимического исследования с широкой панелью антител. Опухолевые клетки хориокарциномы как правило окрашиваются на PanCK, hCG, Inhibin, p63, Glypican3 [5]. В отличие от эмбриональной карциномы отсутствует реакция на CD30. Отсутствие экспрессии AFP и CDX2 позволяет исключить опухоль желточного мешка. Для семиномы была бы характера положительная реакция с OCT4 и CD117 [6]. Тератомы редко экспрессируют Glypican3. Раннее диагностирование хориокарциномы крайне важно и может улучшить прогноз заболевания.