Рентгенологический метод исследования в оценке применения последовательного остеосинтеза и выявлении осложнений у раненых при взрывных поражениях конечностей
Автор: Фрумен А.Г., Труфанов Г.Е.
Журнал: Вестник медицинского института "РЕАВИЗ": реабилитация, врач и здоровье @vestnik-reaviz
Рубрика: Медицинская визуализация
Статья в выпуске: 5 т.15, 2025 года.
Бесплатный доступ
Актуальность. Ранения, полученные во время ведения боевых действий в современных условиях, отличаются значительной степенью разрушения и загрязнения тканей и не имеют ничего общего с тем, что наблюдается при травмах мирного времени. Это убедительно подтверждают и статистические данные при проведении специальной военной операции, опубликованные в медицинской литературе. Применение лучевых методов исследования при взрывных поражениях с повреждением конечностей является основой для определения степени повреждения, установления правильного диагноза и оценки применения остеосинтеза. Цель: определение значения классической цифровой рентгенографии в диагностике повреждений конечностей при взрывных поражениях на этапе специализированной медицинской помощи как при первичном обследовании раненых, так и при выполнении последовательного остеосинтеза. Материалы и методы. Проанализированы истории болезней и 854 рентгенографических исследований 110 пострадавших с взрывными поражениями конечностей. Оценивали рентгенограммы до и после выполнения остеосинтеза, при смене вида остеосинтеза, при динамическом наблюдении и возникновении осложнений. Все раненые – мужчины, средний возраст 34,8±7,7 года. Результаты. При анализе данных выявлено, что от современного оружия чаще происходит повреждение нижних конечностей – 61,21%, а именно переломы костей голени – 29,09%. На рентгенограммах выявлены следующие осложнения: огнестрельный остеомиелит, ложный сустав – в 14,5% случаев. Возникновение относительно небольшого количества осложнений связано с большим количеством раненых (31,48%), поступивших в госпиталь от 2-х до 7 суток после получения ранений. У 2,7% выявили течение остеомиелита и формирование ложного сустава. Замедленная консолидация при фиксации различными видами металлоостиосинтеза наблюдалась у 86,36% раненых. Методом рентгенографии остеомиелит был заподозрен у 7,27% раненых, подтверждён при компьютерной томографии (КТ) (62,5%), подтверждён при фистулографии (50%). У 10% пострадавших на рентгенограммах выявлен ложный сустав, подтверждено наличие ложного сустава при КТ у 54,54% пострадавших. Заключение. Классическая цифровая рентгенография является базовым исследованием и не заменима при интраоперационном лучевом сопровождении для выполнения остеосинтеза, а также для оценки динамики течения раневого процесса костных структур конечности в условиях фиксации различными видами остеосинтеза. Однако существуют ограничения метода, и для достоверной оценки состояния костных и мягкотканных структур дополнительно используется КТ.
Взрывные повреждения [D000070642], огнестрельные ранения [D014948], рентгенография [D011859], остеосинтез [D005593], переломы костей [D050723], остеомиелит [D010019], ложный сустав [D011542], компьютерная томография [D014057], травмы конечностей [D007869]
Короткий адрес: https://sciup.org/143185348
IDR: 143185348 | УДК: 617.3-001.45-073.75-089.84 | DOI: 10.20340/vmi-rvz.2025.5.MIM.1
The role of X-ray research methods in evaluating the use of sequential osteosynthesis in explosive limb injuries
Relevance. Injuries sustained during combat operations in modern conditions are characterized by a significant degree of tissue destruction and contamination, and have nothing to do with what is observed in peacetime injuries. This is convincingly confirmed by statistical data on the conduct of a special military operation (SVO), published in the medical literature. The use of radiation research methods in explosive lesions with limb damage is the basis for determining the degree of damage, establishing a correct diagnosis and evaluating the use of osteosynthesis. Purpose. To determine the importance of classical digital radiography in the diagnosis of limb injuries in explosive injuries at the stage of specialized medical care, both during the initial examination of the wounded and during sequential osteosynthesis. Materials and methods. The medical histories and 854 X-ray examinations of 110 victims with explosive limb injuries were retrospectively analyzed. Radiographs were evaluated before and after osteosynthesis, when changing the type of osteosynthesis, during dynamic monitoring and the occurrence of complications. All the wounded were men, with an average age of 34.8±7.7 years. Results. When analyzing the data, it was revealed that lower extremities are more often damaged by modern weapons – 61.21%, namely fractures of the shin bones – 29.09%. Radiographs revealed the following complications: gunshot osteomyelitis, false joint – in 14.5% of cases. The occurrence of a relatively small number of complications is associated with a large number of wounded (31.48%) who were admitted to the hospital from 2 to 7 days after receiving wounds. 2.7% had osteomyelitis and the formation of a false joint. Delayed consolidation during fixation by various types of metallosynthesis was observed in 86.36% of the injured. Osteomyelitis was suspected by X–ray in 7.27% of the injured, confirmed by computed tomography (CT) (62.5%), confirmed by fistulography (50%). In 10% of the victims, a false joint was detected on X-rays, and the presence of a false joint was confirmed by CT in 54.54% of the victims. Conclusion. Classical digital radiography is a basic study and cannot be replaced with intraoperative radiotherapy to perform osteosynthesis, as well as to assess the dynamics of the wound process of bone structures of the limb under conditions of fixation by various types of osteosynthesis. However, there are limitations of the method, and CT is additionally used to reliably assess the condition of bone and soft tissue structures.
Текст научной статьи Рентгенологический метод исследования в оценке применения последовательного остеосинтеза и выявлении осложнений у раненых при взрывных поражениях конечностей
Минно-взрывные ранения или поражения – это сложные, комбинированные травмы, плохо поддающиеся лечению, часто осложняются и могут привести к ампутации конечностей [1]. Переход к механизму ранений преимущественно взрывного характера сопровождается возникновением сложных сочетанных повреждений, затрагивающих более одной анатомической области [2].
Современная боевая травма конечностей отличается высокой частотой повреждений сосудов, обширным разрушением мягких тканей и костей от воздействия поражающих факторов боеприпасов взрывного действия [3].
Проведённый анализ характера ранений, полученных в ходе специальной военной операции (СВО), свидетельствует, что 60% всех повреждений приходится на минно-взрывные ранения, 29% занимают осколочные ранения и лишь 11% составляют пулевые ранения [4].
Достаточно хорошо изучены и описаны в литературе рентгенологические признаки, особенности течения и лечения огнестрельных переломов. Характерным для огнестрельного перелома является большая зона повреждения, большие разрушения и наличие множества осколков. При этом число осколков особенно велико при повреждении компактного костного вещества, т.е. при диафизарных переломах, и меньше – при ранениях губчатого вещества эпифизарных концов длинных трубчатых костей. Чем больше расстояние выстрела, тем больших размеров достигают отдельные осколки, у молодых бойцов кости дробятся меньше, чем у пожилых людей [5–7].
Под термином «взрывные поражения» понимается совокупность многофакторных повреждений, возникающих у людей в зоне действия основных поражающих факторов неядерных боеприпасов взрывного действия (в том числе минно-взрывное ранение и взрывные поражения) [8, 9].
Актуальность исследования обусловлена большой долей раненых с повреждением конечностей, которая составляет 54–70%. Высокая частота ранений конечности, обусловлена отсутствием прикрытия её средствами индивидуальной бронезащиты [10].
В ФГБВОУ ВО «Военно-медицинская академия имени С.М. Кирова» Минобороны России проведены фундаментальные исследования по изучению патоморфологических особенностей огнестрельных ранений и взрывной травмы. Полученные ре- зультаты во многом определили основные принципы диагностики и лечения во время ведения боевых действий в локальных войнах и вооруженных конфликтах [11].
В механизме разрушения диафизарной и мета-физарной областей костей при боевой травме конечностей имеются характерные особенности. При повреждении кортикальной зоны наблюдаются крупнооскольчатые переломы с продольными растрескиваниями кости; раздробленные, при которых линии переломов могут достигать суставов, а также мелкооскольчатые переломы, в том числе с образованием первичных дефектов костной ткани. Ранения губчатых костей часто крупнооскольчатые, проникающие в сустав [12, 13].
При медицинском обеспечении боевых действий важной составляющей являются диагностические мероприятия [14].
Лучевые исследования – неотъемлемая часть комплексного обследования комбатантов с повреждениями конечностей при взрывных поражениях. При этом первичным и основным методом исследования по праву считается стандартная цифровая рентгенография, в том числе за счёт своей доступности, минимального времени выполнения, возможности применения в любых условиях и на всех этапах лечения раненых [15].
Рентгенография и компьютерная томография (КТ) являются основными и ведущими методами для определения основных характеристик инородных тел, таких как количество, размеры, плотность, контуры и, в некоторых случаях, направление траектории полета снаряда, а также их применение позволяет оценить степень повреждений, нанесённых ранящими снарядами [16].
В настоящее время остаётся мало изученным вопрос особенности рентгенодиагностики и рент-геносемиотики взрывных поражений конечностей, полученных в условиях современного военного конфликта, а также использование рентгенографии до и после остеосинтеза конечностей при взрывной травме.
Задачи
-
1. Изучить наиболее частую локализацию повреждений конечности при современной взрывной травме.
-
2. Определить возможности и преимущества цифровой рентгенографии до и после остеосинтеза конечностей при взрывной травме.
-
3. Установить значение цифровой рентгенографии в диагностике осложнений при взрывных поражениях конечностей.
Материалы и методы
Ретроспективно проанализированы истории болезней, цифровые рентгенограммы 110 комбатантов с повреждением конечностей при взрывных поражениях, которым в качестве лечения были применены различные способы восстановления костной ткани (остеосинтез).
Все раненые проходили обследование и лечение на базе Главного военного клинического госпиталя войск национальной гвардии Российской Федерации (ГВКГ войск национальной гвардии) в период с марта 2022 года по январь 2025 года.
На этапе оказания специализированной медицинской помощи рентгенографическое исследование повреждённой конечности выполняли на передвижных и стационарных аппаратах. Рентгенография повреждённой конечности выполнена непосредственно при поступлении, интраоперационно, при динамическом контроле положения отломков в условиях фиксации различными видами остеосинтеза.
Интраоперационные снимки выполняли на С-дуге oec elite и C-образной дуге Ziehm 9000. Рентгенограммы выполняли в стандартных укладках, описанных в Атласе укладок при рентгенологических исследованиях [17], дополняя их при необходимости полипозиционными исследованиями.
Физико-технические параметры оборудования представлены в таблице 1.
Из таблицы 1 следует, что в абсолютном большинстве применялось отечественное рентгенодиагностическое оборудование. Диапазон кВ находился в интервале 45–75 кВ, mAs: 1,6–9 и параметры зависели от отдела повреждённой конечности.
Результаты и обсуждение
На этап оказания специализированной медицинской помощи раненые поступали от 1 суток с момента получения ранения.
Распределение комбатантов по времени поступления в ГВКГ войск национальной гвардии представлено в таблице 2.
Из таблицы 2 следует, что наибольшее количество раненых (31,48%) поступили в госпиталь от 2-х до 7 суток.
По возрасту раненые были разделены на три группы (табл. 3).
Из данных табл. 3 следует, что наибольшее число раненых (50,9%) приходится на вторую возрастную группу – 22–35 лет.
Все комбатанты были разделены на группы, в зависимости от локализации ведущего повреждения (табл. 4).
Таблица 1. Физико-технические свойства аппаратов
Table 1. Physical and technical properties of the devices
|
Оборудование |
Кисть (кВ/mAs) |
Предплечье (кВ/mAs) |
Плечо (кВ/mAs) |
Стопа (кВ/mAs) |
Голень (кВ/mAs) |
Бедро (кВ/mAs) |
|
Универсальный рентгендиагностический комплекс «Электрон КРД-Эксперт» (Россия) |
55/6 |
55/8 |
57/8 |
55/6 |
60/8 |
62/10 |
|
Аппарат цифровой рентгеновский «РИМ АМ» (Россия) |
45/5 |
50/6,3 |
70/8 |
48/8 |
55/8 |
75/9,2 |
|
Аппарат рентгеновский на 3 рабочих места «Luminos DRF Мах» (Siemens) |
50/1,6 |
55/2,5 |
66/5 |
50/2 |
60/4 |
75/6 |
|
МОБИРЕН – 5МТ (Россия) |
45/10 |
55/16 |
55/25 |
65/12,5 |
55/20 |
60/32 |
Таблица 2. Распределение раненых по времени поступления в госпиталь
Table 2. Distribution of the wounded by time of admission to the hospital
|
До 2 суток |
До 7 суток |
До 21 суток |
Более 21 суток |
||||
|
Абс. |
% |
Абс. |
% |
Абс. |
% |
Абс. |
% |
|
28 |
25,9 |
34 |
31,48 |
22 |
20,37 |
24 |
22,22 |
Таблица 3. Распределение раненых по возрасту на группы
Table 3. Distribution of the wounded by age into groups
|
До 21 года |
22–35 лет |
36–54 года |
|||
|
Абс. число |
% |
Абс. число |
% |
Абс. число |
% |
|
2 |
1,81 |
56 |
50,9 |
52 |
47,29 |
Таблица 4. Распределение раненых по локализации повреждений
Table 4. Distribution of the wounded by location of injuries
|
Локализация травмы |
Тип ранения по отношению к повреждениям конечностей |
Число раненых |
Всего |
|
Кисть |
Кости фаланг пальцев, пястные кости |
19 |
19 |
|
Предплечье |
Обе кости предплечья |
12 |
25 |
|
Локтевая кость |
6 |
||
|
Лучевая кость |
7 |
||
|
Плечо |
Плечевая кость |
20 |
20 |
|
Стопа |
Кости фаланг пальцев, плюсны и предплюсны |
20 |
20 |
|
Голень |
Обе берцовые кости |
35 |
48 |
|
Большеберцовая кость |
13 |
||
|
Бедро |
Бедренная кость |
33 |
33 |
|
Всего ранений конечностей по локализации |
165 |
||
В таблице 4 отражено распределение раненых по локализации повреждений. Большинство повреждений локализовались в нижних конечностях – 61,21%, а именно переломы костей голени – 29,09%.
При поступлении у 68,48% переломы были фиксированы различными видами остеосинтеза, 31,52% раненых не имели фиксации повреждённых костных структур.
На этапах медицинской эвакуации использовались следующие варианты лечебно-транспортной иммобилизации: стержневой (рис. 1), аппарат Илизарова (рис. 2).
На этапах эвакуации в большинстве случаев использовался стержневой вид остеосинтеза (табл. 5).
Для фиксации повреждённой конечности в условиях госпиталя были использованы следующие виды остеосинтеза: стержневой, аппарат Иллиза-рова, спице-стержневой, внутрикостный, накостный (табл. 6).
Из табицы 6 следует, что в госпитале чаще других методов был выполнен металлоостиосинтез аппаратом Иллизарова на повреждённую конечность.
Таблица 5. Распределение раненых по видам остеосинтеза при поступлении
Table 5. Distribution of the wounded by types of osteosynthesis upon admission
Стержневой Аппарат Илизарова
Абс. (%) Абс. (%)
63 84 12 16
Таблица 6. Распределение раненых по видам остеосинтеза при лечении в госпитале
Table 6. Distribution of the wounded by types of osteosynthesis during treatment in the hospital
|
Стержневой |
Аппарат Илизарова |
Спице-стержневой |
Внутрикостный |
Накостный |
||||
|
Абс. |
% |
Абс. % |
Абс. |
% |
Абс. |
% |
Абс. |
% |
|
9 |
8,18 |
45 40,9 |
5 |
4,5 |
41 |
37,27 |
10 |
9,09 |
Рисунок 1. На рентгенограмме левого бедра в прямой проекции определяется многоооскольчатый перелом средней трети левой бедренной кости с разнонаправленным смещением отломков, фиксированный стержневым аппаратом внешней фиксации (АВФ)
Figure 1. A frontal X-ray of the left hip shows a multicomminuted fracture of the middle third of the left femur with multidirectional displacement of fragments, fixed with an external fixation device (EFD)
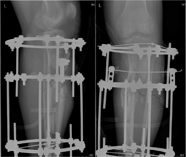
Рисунок 2. На рентгенограммах левой голени в двух проекциях определяются многооскольчатые переломы дистальных отделов костей голени с разнонаправленным смещением отломков, фиксированные аппаратом Илизарова
Figure 2. Radiographs of the left leg in two projections show multi-fragmentary fractures of the distal parts of the leg bones with multidirectional displacement of fragments, fixed with the Ilizarov apparatus
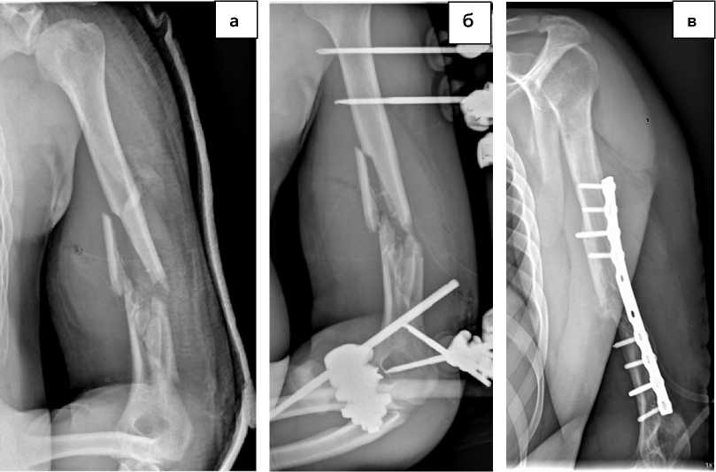
Рисунок 3. Рентгенограмма области плеча при поступлении без фиксации многооскольчатого фрагментарного перелома средней и дистальных третей диафиза плечевой кости со смещением (а), после выполнения остеосинтеза стержневым аппаратом внешней фиксации (б), после выполнения остеосинтеза накостной пластиной на 8-ми винтах, с минимальным смещением в стадии консолидации (в) Figure 3. Radiograph of the shoulder area upon admission without fixation of a multi-fragmentary fragmentary fracture of the middle and distal thirds of the humerus diaphysis with displacement (a), after osteosynthesis with an external fixation rod apparatus (б), after osteosynthesis with an 8-screw bone plate, with minimal displacement in the consolidation stage (в)
Рисунок 4. Рентгенограммы использования методики последовательного остеосинтеза многооскольчатого перелома верхней трети диафиза левой плечевой кости, а – выполнен стержневой остеосинтез, б – выполнен остеосинтез интрамедуллярным винтом
Figure 4. Radiographs of the use of the method of sequential osteosynthesis of a comminuted fracture of the upper third of the diaphysis of the left humerus, a – rod osteosynthesis was performed, б – osteosynthesis was performed with an intramedullary screw
В большинстве случаев на этапе оказания специализированной помощи использовали последовательное выполнение различных видов остеосинтеза (рис. 3, 4) с сопровождением каждого метода фиксации рентгенографическим исследованием.
При анализе и описании рентгенограмм указывали локализацию, вид, протяжённость переломов, повреждение мягких тканей. Также оценивали положение и размер инородных тел при их наличии, в том числе металлической плотности.
Инородные тела выявлены в 72% при повреждении верхних конечностей и 62% при повреждении нижних конечностей.
С применением цифровой рентгенографии было проведено 854 исследования 110 пострадавшим, из которых 101 (91,81%) за время нахождения в госпитале проводилось дополнительное обследование другими методами лучевой диагностики.
Были выявлены следующие осложнения: остеомиелит, ложный сустав и замедленная консолидация. При рентгенографии остеомиелит был заподозрен у 7,27% раненых (рис. 5), из них подтверждён при КТ (62,5%) и фистулографии (50%) (рис. 6), положительный посев гнойного отделяемого на флору у (62,5%). Вид остеосинтеза, при котором заподозрен остеомиелит на рентгенограммах: аппарат Иллизарова (n=2), внутрикостный остеосинтез (n=4), без остеосинтеза (n=2).
Применение КТ позволило на фоне выраженных и разнообразных изменений структуры кости подтвердить клинические данные о купировании остеомиелитического процесса или, при наличии рецидива, выявить размеры, локализацию остеомиелитической полости.
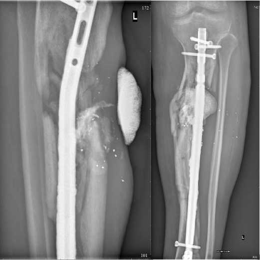
У 10% на рентгенограммах выявлен ложный сустав (рис. 7), из них его наличие подтверждено при КТ у 6 (5,45%). Вид остеосинтеза, при котором заподозрен ложный сустав на рентгенограммах: спице-стержневой (n=2), стержневой (n=1), аппарат Иллизарова (n=2), внутрикостный (n=3), накостный (n=1), после удаления остеосинтеза (n=2).
У 2,7% раненых одномоментно выявлен остеомиелит и ложный сустав (рис. 8).
Замедленная консолидация при фиксации различными видами металлоостеосинтеза наблюдалась у 86,36% раненых.
Рисунок 5. На рентгенограммах левой голени в двух проекциях определяется многооскольчатый перелом проксимальной и средней трети диафиза левой большеберцовой кости, осложненный остеомиелитом в условиях металлоостеосинтеза аппаратом Илизарова, дренирования мягких тканей
Figure 5. Radiographs of the left leg in two projections show a multi-fragmentary fracture of the proximal and middle third of the diaphysis of the left tibia, complicated by osteomyelitis in the conditions of metal osteosynthesis with the Ilizarov apparatus, drainage of soft tissues
Рисунок 6. При фистулографии левой голени с использованием 50,0 мл рентгеноконтрасного вещества определяется свищевой канал из области перелома верхней трети большеберцовой кости до поверхности кожи, осложненный остеомиелитом
Figure 6. Fistulography of the left leg using 50.0 ml of radiopaque substance reveals a fistula channel from the fracture site of the upper third of the tibia to the surface of the skin, complicated by osteomyelitis
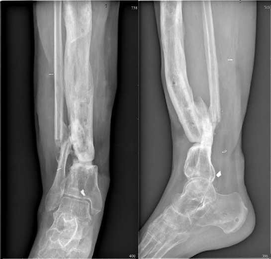
Рисунок 7. На рентгенограммах правой голени в двух проекциях определяются признаки ложного сустава правой большеберцовой кости. Консолидированный перелом нижней трети малоберцовой кости справа
Figure 7. Radiographs of the right leg in two projections show signs of a pseudoarthrosis of the right tibia. Consolidated fracture of the lower third of the fibula on the right
Рисунок 8. На рентгенограммах левой голени в двух проекциях определяются признаки хронического остеомиелита и ложного сустава дистальной трети большеберцовой кости
Figure 8. Radiographs of the left leg in two projections show signs of chronic osteomyelitis and pseudoarthrosis of the distal third of the tibia
Таким образом, выполнение цифровой рентгенографии повреждённой конечности необходимо при современной боевой травме для выявления наличия и определения положения инородных тел, диагностике состояния костных структур до и после выполнения различных видов последовательного остеосинтеза. Рентгенологическое исследование остаётся методом выбора для первичной диагностики таких осложнений, как остеомиелит и ложный сустав.
Заключение
Классическая цифровая рентгенография является базовым исследованием и незаменима при диагностике взрывных поражений с повреждением конечностей. Её выполнение необходимо для ди- намического наблюдения и интраоперационного сопровождения при выполнении различных видов остеосинтеза.
В диагностике остеомиелита может быть достаточно выполнение классической рентгенографии с последующей фистулографией, применение КТ позволяет более точно определить стадию и распространённость процесса.
Для диагностики ложного сустава в условиях остеосинтеза недостаточно выполнения классической рентгенографии и, как правило, необходимо проведение КТ.
Для выявления и динамического наблюдения течения замедленной консолидации достаточным является выполнение классической цифровой рентгенографии.