Результаты использования остеотомии по helal для хирургической коррекции молоткообразного пальца стопы
Автор: Леонова С.Н., Усольцев И.В., Косарева М.А.
Журнал: Кафедра травматологии и ортопедии @jkto
Рубрика: Оригинальное исследование
Статья в выпуске: 4 (62), 2025 года.
Бесплатный доступ
Введение. Разнообразие видов статических деформаций малых пальцев стопы и отсутствие единого перечня объективных показателей деформации затрудняют классификацию и влияют на результаты лечения. Проведение тщательного анализа исходов оперативного лечения молоткообразного пальца стопы с использованием определенной методики позволит приблизиться к решению обозначенных проблем. Цель исследования: провести анализ результатов использования остеотомии по Helal для коррекции молоткообразного второго пальца стопы. Материалы и методы. Анализу были подвергнуты собственные результаты применения остеотомии по Helal в 2018–2020 годах у 40 пациентов с односторонней статической деформацией стопы, клиническим проявлением которой являлся молоткообразный второй палец в сочетании с отклоненным кнаружи первым пальцем (hallux valgus). Результаты. Использование нами остеотомии по Helal позволило добиться полной коррекции нефиксированного молоткообразного второго пальца стопы у 70 % пациентов, улучшить показатели клинического и функционального состояния второго пальца, привело к неблагоприятным исходам в виде: остаточной деформации второго пальца в 30 % случаев, тугоподвижности в втором плюснефаланговом суставе в 27,5 % случаев, переходной метатарзалгии в 7,5 % случаев, что указывает на недостаточную эффективность метода. Установлено, что основной причиной образования остаточной деформации второго пальца являются ограниченные в пределах 18,67 ± 3,27 градусов репозиционные возможности остеотомии по Helal, которые не позволяют полностью устранить переразгибание пальца в плюснефаланговом суставе, особенно при большой величине угла тыльного отклонения. Заключение. Использование остеотомии по Helal для коррекции молоткообразного пальца стопы является недостаточно эффективным методом. Необходима разработка перечня объективных клинических, рентгенологических, функциональных показателей, которые позволят классифицировать деформацию стопы, выбрать наиболее эффективный метод лечения и оценить результаты его применения.
Молоткообразный палец стопы, угол тыльного отклонения (ТО), остеотомия по Helal
Короткий адрес: https://sciup.org/142246877
IDR: 142246877 | УДК: 617.587-007.24 | DOI: 10/17238/issn2226-2016.2025.4.62-70
Results of using helal osteotomy for surgical correction of the hammer toe
Introduction. The variety of types of small toes static deformities and the absence of a unified list of objective deformity indicators complicate it classification and affect on treatment outcomes. Thorough analysis of the hammer toe surgical treatment outcomes using a specific technique will allow us to solve of these problems. The purpose of the study: to analyze the results of using Helal osteotomy for correction of the hammer second toe. Materials and methods. Between 2018 and 2020, we performed Helal osteotomy in 40 patients with unilateral static foot deformity. These patients had a hammer toe in combination with hallux valgus. The results of the operations were analyzed in the study. Results. The use of Helal osteotomy allowed achieving complete correction of the hammertoe deformity of the second toe in 70% of patients. This led to an improvement in the clinical and functional parameters of the second toe. However, residual deformation of the toe was observed in 30% of cases, stiffness in the second metatarsophalangeal joint in 27.5 % of cases, and transitional metatarsalgia in 7.5% of cases. This indicates the insufficient effectiveness of the method. The main reason for the residual deformation of the second toe is the limited capabilities of the Helal osteotomy. These capabilities allow correcting hyperextension of the toe in the metatarsophalangeal joint only within 18.67 ± 3.27 degrees. This is especially noticeable with a large angle of dorsal deviation. Conclusion. The Helal osteotomy used to correct hammer toe deformities does not always produce the desired result. To more accurately select a treatment strategy and evaluate its success, it is necessary to develop a set of objective criteria based on clinical, radiographic and functional data. These criteria will allow classifying foot deformities, selecting the optimal treatment method and evaluating its effectiveness.
Текст научной статьи Результаты использования остеотомии по helal для хирургической коррекции молоткообразного пальца стопы
При изучении проблем, связанных с хирургическим лечением статических деформаций переднего отдела стопы, обращает на себя внимание, с одной стороны, разнообразие видов деформаций, с другой – отсутствие точного и единого перечня объективных показателей, позволяющих классифицировать каждую деформацию, а также оценить результат лечения. Так при наличии такого распространенного вида статической деформации стопы, как молоткообразный палец, на наш взгляд, важно учитывать: возможность осуществить разгибание пальца в проксимальном межфаланговом суставе (ПМФС), сгибания в плюснефаланговом суставе (ПФС), чтобы установить фиксированность и ригидность деформации, стабильность пальца в ПФС, наличие гиперкератозов на вершинах деформации пальца, перегрузочной мета-тарзалгии, отклонение пальца в фронтальной плоскости в ПФС или в ПМФС, длину плюсневой кости и высоту положения ее головки относительно соседних плюсневых костей, объем движений в ПФС и ПМФС пальца, величины углов деформации пальца, опороспособность пальца и другие показатели. В свою очередь, правильная оценка показателей деформации будет способствовать выбору наиболее эффективного метода лечения.
Применение остеотомий плюсневых костей по Weil и по Helal позволяет осуществить коррекцию молоткообразного пальца стопы за счет достижения укорочения плюсневой кости и смещения ее головки. Остеотомия по Weil выполняется чаще других остеотомий, что в определенной степени связано с несложностью ее технического исполнения и фиксации костных фрагментов. Однако, возникновение после использования данной остеотомии таких неблагоприятных исходов как «плавающий палец» в 20–50 % случаев [1, 2, 3, 4, 5], а также рецидивы метатарзалгий, переходные метатарзалгии, тугоподвиж-ность в ПФС [6, 2, 7, 8, 9], обусловливают необходимость применения других видов остеотомий. Учитывая то, что остеотомия по Helal с фиксацией фрагментов является, по нашему мнению, более патогенетически обоснованным методом коррекции молоткообразного пальца, чем остеотомия по Weil, и имеет меньший процент осложнений [10], с 2018 года мы начали применять ее в клинике.
Цель исследования: провести анализ результатов использования остеотомии по Helal для коррекции молоткообразного второго пальца стопы.
Материалы и методы
Анализу были подвергнуты собственные результаты применения остеотомии по Helal в 2018 – 2020 годах у 40 пациентов для лечения молоткообразного второго пальца, в сочетании с hallux valgus. Женщины представляли большинство – 39 человек в возрасте 55,33 ± 14,25 лет. Второй палец был нефиксированным в ПМФС, неригидным в ПФС, и не имел бокового отклонения, степень нестабильности в втором ПФС соответствовала G1 по Hamilton – Thompson. Кроме того, у пациентов имелся второй тип эластичности стопы, а деформация стопы не являлась плоско-вальгусной.
Остеотомия по Helal была использована для коррекции молоткообразного второго пальца стопы и заключалась в следующем: на тыле стопы продольным разрезом кожи производили доступ к второй плюсневой кости, выделяли ее шейку, рассекали и разводили надкостницу. В области дистального метафиза плюсневой кости выполняли косую остеотомию осциллирующей пилой, направляя полотно от тыла к подошве стопы дистально под углом сорок пять градусов. Производили смещение дистального фрагмента к тылу по плоскости остеотомии, укорачивая плюсневую кость и поднимая ее головку вверх, что позволяло разогнуть палец в ПМФС и согнуть в ПФС. В отличие от методики Helal в классическом варианте, проводили фиксацию фрагментов кости винтом [11].
Об эффективности применения остеотомии по Helal судили по результатам коррекции деформации второго пальца через год после операции, на основании сравнительного анализа клинических, функциональных и рентгенологических показателей. До настоящего времени при анализе результатов оперативного лечения различных патологий стопы ориентируются на Американскую функциональную шкалу (AOFAS). Из используемой на сегодняшний день шкалы-опросника для малых пальцев [12] нами были выбраны и интерпретированы отдельные показатели, которые позволяли дать определенную оценку клинического и функционального состояния молоткообразного пальца: болевой синдром в области его суставов; объём движений в ПФС; стабильность второго ПФС; мозоль (гиперкератоз) в области второго ПФС и ПМФС второго пальца; опороспособность второго пальца на горизонтальной поверхности.
Рентгенологическое исследование стопы пациентов проводилось в двух проекциях на аппарате Agfa DX-D 300 с соблюдением всех необходимых условий (статическая нагрузка, фокусное расстояние, угол инклинации). Основным рентгенологическим показателем, используемым для определения коррекции переразгибания пальца в ПФС, послужил угол тыльного отклонения (ТО), рассчитываемый на снимке в боковой проекции между двумя осями: плюсневой кости и проксимальной фаланги пальца.
Результаты лечения анализировали с использованием программы Statistica 10.0 (StatSoft Inc., США) и Microsoft Office Excel 2013 (Microsoft Corp., США). Применяли критерий Вил-коксона, Манна – Уитни, χ2 Пирсона, показатель отношения шансов (ОШ). Достоверными считали результаты при p < 0,05.
Результаты исследования
Для всесторонней оценки эффективности коррекции молоткообразного второго пальца стопы у 40 пациентов был проведен детальный сравнительный анализ клинических и функциональных параметров. Исследование включало сбор данных как до оперативного вмешательства, так и через 12 месяцев после его завершения. Это позволило объективно оценить динамику изменений и сделать обоснованные выводы о результатах хирургической коррекции.
В рамках предоперационного обследования у 90 % пациентов было диагностировано наличие умеренного болевого синдрома в области второго плюснефалангового сустава (ПФС) стопы, который возникал ежедневно или эпизодически после физической активности, связанной с нагрузкой на нижние конечности. Этот болевой синдром, вероятно, обусловлен воспалительными процессами, дегенеративными изменениями или структурными аномалиями в суставах. Ограничение амплитуды движений в ПФС второго пальца стопы было выявлено у всех пациентов. У 75 % пациентов наблюдалось умеренное ограничение подвижности, что соответствует диапазону движений от 30 до 74 градусов. В то же время, у 25 % пациентов отмечалось тяжелое ограничение, при котором объем движений составлял менее 30 градусов. Эти данные свидетельствуют о наличии выраженных изменений в суставах, которые могут быть связаны с артритом, остеоартрозом или другими патологическими процессами. В проксимальном межфаланговом суставе (ПМФС) второго пальца стопы пассивные движения оставались в пределах нормы, что указывает на отсутствие значительных структурных изменений в этом суставе. Однако, в 70 % случаев в области тыла ПМФС и в 27,5 % случаев в области ПФС с подошвенной стороны определялась мозоль (гиперкератоз), которая являлась следствием хронического давления и раздражения. У 90 % обследованных при полной нагрузке веса тела второй палец не касался пола, что указывает на значительное нарушение биомеханики стопы и, возможно, на наличие компенсаторных механизмов, связанных с перераспределением нагрузки на другие участки стопы. Это снижение опороспособности может быть обусловлено функциональными нарушениями, связанными с болевым синдромом и ограничением подвижности. Таким образом, предоперационное обследование выявило широкий спектр патологических изменений в суставах второго пальца стопы, которые требуют комплексного подхода к лечению и реабилитации пациентов. У остальных 10 % пациентов все пальцы стопы имели контакт с опорной поверхностью, но пациенты не могли осуществить давление вторым пальцем на опору (невыраженное снижение опороспособности).
Таблица 1
Изменение показателей клинического и функционального состояния второго пальца стопы у пациентов после коррекции деформации (n = 40)
|
Показатели |
Сроки наблюдения |
р |
|
|
До операции |
Через 1 год после операции |
||
|
1. Клинические показатели |
|||
|
Болевой синдром в области суставов второго пальца |
|||
|
Нет, или лёгкий эпизодический, n (%) |
4 (10)* |
27 (67,5) |
< 0,001 |
|
Умеренный, ежедневный или эпизодический, n (%) |
36 (90)* |
13 (32,5) |
< 0,001 |
Окончание Таблицы 1
|
Показатели |
Сроки наблюдения |
р |
|
|
До операции |
Через 1 год после операции |
||
|
Мозоль (гиперкератоз) в области второго ПФС и ПМФС второго пальца |
|||
|
Отсутствует или мозоль безболезненная, n (%) |
12 (30) * |
24 (60) |
0,007 |
|
Мозоль болезненная, n (%) |
28 (70) * |
16 (40) |
0,007 |
|
2. Функциональные показатели |
|||
|
Объём движений в втором ПФС |
|||
|
Норма или небольшое ограничение (75 градусов или больше), n (%) |
0 (0) * |
22 (55) |
< 0,001 |
|
Умеренное ограничение (30–74 градуса), n (%) |
30 (75) * |
18 (45) |
0,006 |
|
Тяжёлое ограничение (< 30 градусов), n (%) |
10 (25) * |
0 (0) |
0,001 |
|
Стабильность второго ПФС |
|||
|
Стабильный, n (%) |
0 (0) * |
40 (100) * |
< 0,001 |
|
Нестабильность или способность смещаться, n (%) |
40 (100) * |
0 (0) |
< 0,001 |
|
Опороспособность второго пальца на горизонтальной поверхности |
|||
|
Хорошая опороспособность, n (%) |
0 (0) * |
22 (55) |
< 0,001 |
|
Невыраженное снижение опороспособности, n (%) |
4 (10) |
6 (15) |
> 0,05 |
|
Выраженное снижение опороспособности, n (%) |
36 (90) * |
12 (30) |
< 0,001 |
Таблица 2
При тщательном обследовании пациентов с учетом клинико-функционального состояния стопы через один год после вмешательства были получены следующие данные. В 32,5 % случаев имела место умеренная эпизодическая боль в области второго пальца, особенно при физической нагрузке (см. Таблицу 1). Объем движений в ПФС был ограничен у 45 % пациентов, из которых у 27,5 % отмечалось препятствие пассивному сгибанию и разгибанию сустава, а также признаки тугоподвижности. Стабильность второго ПФС была достигнута во всех клинических случаях. В 30 % случаев удалось успешно устранить болезненные гиперкератозы, однако у 27,5 % пациентов они сохранялись над проксимальным межфаланговым суставом (ПМФС) второго пальца, а у 12,5 % – под головкой второй плюсневой кости. Опороспособность второго пальца была полностью восстановлена у 55 % пациентов, в то время как у остальных сохранялось снижение функциональной способности. Примечательно, что в 30 % случаев была диагностирована остаточная деформация (ОД) второго пальца, отнесенная к неблагоприятным исходам. Палец занимал положение выше первого и второго пальцев, и не касался пола при ходьбе и стоя. Кроме того, была определена тугоподвижность в ПФС у 11 пациентов (27,5 %), и переходная метатарзалгия у трех пациентов (7,5 %).
По данным рентгенологического исследования через год после операции отмечено достоверное уменьшение значений угла ТО второго пальца (Таблица 2).
Изменение рентгенологического значения угла тыльного отклонения второго пальца у пациентов после коррекции деформации (n = 40)
|
Показатели |
Сроки наблюдения |
Статистическая значимость ( р ) |
|
|
До операции |
Через 1 год после операции |
||
|
Боковая проекция |
|||
|
Угол ТО второго пальца |
56,67 ± 7,53* |
38 ± 9,69 |
< 0,01 |
Примечание: критерий Вилкоксона; p – статистическая значимость различий; * – р < 0,05.
На основании анализа различий между предоперационными и послеоперационными (через один год) значениями угла тыльного отклонения (ТО) второго пальца, мы произвели количественную оценку репозиционных возможностей остеотомии Helal в контексте коррекции избыточного разгибания в плюснефаланговом суставе (ПФС). Результаты продемонстрировали, что средний репозиционный потенциал данной методики составляет 18,67 ± 3,27 градуса.
Для выявления потенциальных факторов, способствующих развитию остаточной деформации второго пальца (наблюдаемой у 30% пациентов), было проведено сравнительное исследование предоперационных величин угла ТО в группах пациентов с различными исходами. Так, были получены более высокие средние значения угла ТО при наличии ОД (Таблица 3). На основании полученного появилось предположение о том, что «степень» разгибания второго пальца может служить предиктором вероятности ОД.
Таблица 3
Дооперационные значения угла тыльного отклонения второго пальца стопы у пациентов с разными исходами коррекции деформации (n = 40)
|
Исходы коррекции деформации второго пальца |
Угол ТО второго пальца (градусы) |
|
Остаточная деформация (n = 12) |
60,50 ± 2,35* |
|
Благоприятный исход (n = 28) |
48 ± 9,17 |
|
Статистическая значимость (р) |
< 0,01 |
Примечание: критерий Манна – Уитни; p – статистическая значимость различий; * – р < 0,05.
У пациентов с ОД величина угла ТО до операции варьировала от 40 до 68 градусов, из чего следовало, что угол ТО свыше 40 градусов увеличивает риск ОД. Применение критерия χ2 подтвердило статистически данную гипотизу (χ2эмп = 9,8; p < 0,05). Подтвердить и количественно оценить установленную связь позволило использование показателя отношения шансов (ОШ) (Таблица 4).
Таблица 4
Распределение пациентов с разными исходами коррекции деформации в зависимости от дооперационных значений угла тыльного отклонения второго пальца (n = 40)
|
Значение угла ТО |
Наличие остаточной деформации (исход есть) |
Отсутствие остаточной деформации (исхода нет) |
Всего |
|
Угол ТО > 40 градусов (фактор риска есть) |
11 |
15 |
26 |
|
Угол ТО ≤ 40 градусов (фактор риска отсутствует) |
1 |
13 |
14 |
|
Всего |
12 |
28 |
40 |
При расчете показатель ОШ был равен 9,533. Проведенный анализ показал, что риск постоперационной ОД у пациентов с исходными величинами угла ТО более 40 градусов в 9,5 раз превышает таковой при меньших значениях данного угла. Методика Helal обладает потенциалом коррекции в пределах 18,67 ± 3,27 градусов, при котором существует высокая вероятность ОД.
Клинический пример образования ОД после применения методики Helal.
У пациентки Б., 61 года, произошло образование молоткообразного второго пальца вследствие hallux valgus правой стопы. Клинические данные: в зоне второго ПФС непостоянная умеренная боль, болезненная мозоль на подошве, форма пальца в виде «молотка» с избыточным разгибанием в ПФС, сгибанием в ПМФС, приподнятым положением пальца над опорной поверхностью (Рисунок 1).
Рисунок 1. Исходный вид правой стопы
Функциональные нарушения второго пальца характеризовались: уменьшением объема движений в ПФС до 45 градусов, нарушением опороспособности из-за возвышенного положения второго пальца и отсутствия его контакта с поверхностью опоры при ходьбе.
По данным стандартной рентгенографии стопы угол hallux valgus (М1Р1) исходно равен 45 градусов (Рисунок 2), угол ТО второго пальца – 45 градусов (Рисунок 3).
Рисунок 2. Исходные данные рентгенографии правой стопы в прямой проекции
Рисунок 3. Исходные данные рентгенографии правой стопы в боковой проекции
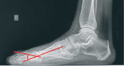
Оперативное вмешательство у пациентки включало одновременную коррекцию деформации первого пальца по собственной методике [13] и второго пальца посредством использования остеотомии по Helal. После операции осложнений отмечено не было. В результате применения методики Helal удалось достигнуть разгибания пальца в ПМФС, устранить болезненный гиперкератоз, однако, сохранялось ограничение объема движений в ПФС. Неблагоприятным исходом операции стало образование остаточной деформации, при которой второй палец был переразогнут в ПФС и возвышался к тылу над первым и третьим пальцем, отсутствовал контакт пальца с опорой в положении стоя и при ходьбе (Рисунок 4).
Рисунок 4. Вид правой стопы через 1 год после операции
По рентгенограмме в прямой проекции было подтверждено полное устранение hallux valgus (угол М1Р1= 7 градусов) (Рисунок 5). На снимке в боковой проекции угол ТО был равен 30 градусов (Рисунок 6).
Рисунок 5. Данные рентгенографии правой стопы в прямой проекции через 1 год после операции
Рисунок 6. Данные рентгенографии правой стопы в боковой проекции через 1 год после операции
Пациентку не удовлетворили результаты лечения молоткообразного второго пальца, что было связано с остаточной деформацией.
Обсуждение результатов
Изучение и анализ результатов хирургической коррекции нефиксированного молоткообразного второго пальца стопы позволили выявить неблагоприятные исходы применения остеотомии по Helal и их причины. Использование методики Helal позволило нам устранить установку второго пальца в виде «молотка у всех 40 пациентов, улучшить клинические, функциональные и рентгенологические показатели. Технические возможности данного вида остеотомии позволяют осуществлять укорочение второй плюсневой кости с одновременным подъемом ее головки. Результат лечения достигается посредством восстановления сухожильно-мышечного баланса, снижения статической нагрузки на головку плюсневой кости. Однако, несмотря на эти преимущества, мы наблюдали неблагоприятные исходы после применения остеотомии по Helal. В частности, у 30% пациентов сохранялась остаточная деформация второго пальца, у 27,5 % отмечалась тугоподвижность в ПМФС, а у 7,5 % развивалась переходная метатарзалгия.
Проведение анализа неблагоприятных исходов позволило определить причины их возникновения. Так, основной причиной образования остаточной деформации являются ограниченные в пределах 18,67 ± 3,27 градусов репози-ционные возможности остеотомии по Helal, которые не позволяют полностью устранить переразгибание пальца в ПФС, особенно при большой величине угла ТО. В случае, если угол ТО второго пальца до операции составляет более 40 градусов, то вероятность остаточной деформации после операции увеличивается в 9,5 раза.
Возникновение тугоподвижности в ПФС после дистальных остеотомий было отмечено в работах отечественных ученых [14]. Наше исследование послужило подтверждением того, что выполнение остеотомии в области дистального метафиза является травматичным вмешательством для ПФС, приводит к избыточному образованию рубцовой ткани и развитию тугоподвижности в втором ПФС.
Для выяснения причины развития переходной мета-тарзалгии, клинически проявляющейся болезненностью и болью под головкой третьей плюсневой кости, пациентам была выполнена рентгенография стопы в дополнительной проекции по новой авторской технологии [15]. В результате исследования было установлено, что после операции головка третьей плюсневой кости стала располагаться ниже головок рядом расположенных второй и четвертой плюсневых костей. Это привело к перераспределению статической нагрузки на головку третьей плюсневой кости и возникновению переходной метатарзалгии. Новым в проведенной работе явилось то, что нами было предложено исследование угла тыльного отклонения (ТО) второго пальца при рентгенографии стопы в боковой проекции, которое позволило оценить результаты хирургической коррекции молоткообразного пальца, и установить причину остаточной деформации. Также новым послужил расчет величины возможной коррекции избыточного разгибания второго пальца в ПФС, которая составляла не более 20 градусов (в среднем 18,67 ± 3,27), тем самым были определены репозиционные возможности остеотомии по Helal. При значении угла ТО больше 40 градусов применение данной остеотомии может оказаться неэффективным. Важным является то, что оценка исходных значений угла ТО и знание репозиционных возможностей остеотомии позволит выбрать наиболее верную тактику или метод коррекции молоткообразного пальца, тем самым избежать образования остаточной деформации.
Для уменьшения риска развития тугоподвижности в ПФС обоснованным является выполнение остеотомии в области диафиза плюсневой кости. Чтобы избежать раз- вития переходной метатарзалгии при использовании остеотомии плюсневой кости новым подходом служит проведение перед операцией рентгенологического исследования в дополнительной проекции, позволяющего оценить взаимное положение головок плюсневых костей и применить правильную тактику.
Еще одним важным для нас моментом явились трудности при оценке результатов коррекции молоткообразного пальца по шкале-опроснику AOFAS. При наличии деформации двух пальцев стопы было затруднительно оценить результат лечения патологии каждого пальца в отдельности. Выбранные нами показатели позволили выявить клинический (болевой синдром в области суставов второго пальца, гиперкератоз в области второго ПФС и ПМФС второго пальца) и функциональный (объём движений в втором ПФС, стабильность второго ПФС, опороспособность второго пальца на горизонтальной поверхности) результат оперативного лечения молоткообразного второго пальца стопы. В научных публикациях, посвященных использованию шкалы AOFAS с целью оценки функционального состояния стопы, говорится о ее несовершенстве, необъективности, и необходимости доработки [16, 17, 18, 19]. Действительно, при оценке таких показателей, как «болевой синдром» и «ограничение активности», трудно провести параллель только с деформацией второго пальца. Так, боль в переднем отделе стопы может быть обусловлена поперечной распластанностью стопы, а физическая активность может быть ограничена в связи с наличием сопутствующей патологии, артрозом коленного, тазобедренного сустава и другим. На наш взгляд, необходимо предложить объективные, новые рентгенологические, клинические, функциональные показатели, которые позволят оценить, как саму деформацию стопы, так и результаты ее коррекции.
Заключение
Таким образом, применение остеотомии второй плюсневой кости по методике Helal позволило нам достичь полной коррекции нефиксированного молоткообразного второго пальца стопы у 70 % пациентов, значительно улучшив клинические и функциональные показатели данного состояния. Однако, несмотря на достигнутые результаты, в 30% случаев наблюдалась остаточная деформация второго пальца, в 27,5 % случаев отмечалась тугоподвижность в плюснефаланговом суставе, а в 7,5 % случаев развивалась переходная метатарзалгия. Эти данные свидетельствуют о недостаточной эффективности данного метода, что требует дальнейшего изучения и разработки более совершенных подходов к лечению данной патологии.
Установлено, что основной причиной образования остаточной деформации второго пальца являются ограниченные в пределах 18,67 ± 3,27 градусов репозиционные возможности остеотомии по Helal, которые не позволяют полно- стью устранить переразгибание пальца в ПФС, особенно при большой величине угла ТО.
Необходима разработка перечня объективных клинических, рентгенологических, функциональных показателей, которые позволят классифицировать деформацию стопы, выбрать наиболее эффективный метод лечения и оценить результаты его применения.