Трудности диагностики аритмогенной кардиомиопатии правого желудочка
Автор: Комиссарова С.М., Ринейская Н.М., Чакова Н.Н., Ниязова С.С., Ефимова А.А.
Журнал: Евразийский кардиологический журнал @eurasian-cardiology-journal
Рубрика: Оригинальные статьи
Статья в выпуске: 1, 2026 года.
Бесплатный доступ
Введение. Диагностика аритмогенной кардиомиопатии правого желудочка (АКПЖ) представляет собой трудную задачу. Несмотря на пересмотренные в 2010 году критерии целевой группы ITF 2010 у большинства пациентов до сих пор возникают сложности в установлении этого заболевания. Цель. Оценить клиническую картину пациентов с предварительным диагнозом «АКПЖ» с акцентом на окончательный диагноз, который был установлен после углубленного обследования в РНПЦ «Кардиология» и генетического исследования в Институте генетики и цитологии НАН Беларуси. Материал и методы. Обследовано 28 пациентов (мужчин 53,6%, медиана возраста 35 [24; 43] лет), направленных в РНПЦ «Кардиология» с предварительным диагнозом АКПЖ. Клинико-инструментальное обследование включало ЭКГ в 12 отведениях (ЭКГ-12), суточное мониторирование ЭКГ (СМ ЭКГ), трансторакальную эхокардиографию (ТТЭ) и магнитно-резонансную томографию (МРТ) сердца с отсроченным контрастным усилением (ОКУ). Диагноз АКПЖ устанавливался в соответствии с критериями ITF 2010 г. и выделением следующих категорий: достоверный, пограничный и вероятный диагноз. Поиск мутаций в кодирующих последовательностях генов, ассоциированных с развитием кардиомиопатий и наследственных нарушений ритма, проводили методом высокопроизводительного секвенирования (NGS). Результаты. При обследовании когорты из 28 пациентов с предварительным диагнозом АКПЖ только у 7 (20%) пациентов была диагностирована достоверная АКПЖ согласно критериям ITF 2010 г. и подтверждена при генотипировании (варианты в генах PKP2, DSG у 5 пациентов, вариант в недесмосомном гене TMEM43 у 1 пациента и замены в генах ILK и RBM20 у 1 пациента). У 8 (28,6%) пациентов установлена пограничная АКПЖ, а у 4 (14,3%) – вероятная АКПЖ. У 9 (32,1%) пациентов диагноз АКПЖ был исключен из-за ошибочной интерпретации МРТ сердца. При генотипировании не выявлены варианты в генах, ассоциированные с АКПЖ в группах пациентов с пограничной и вероятной АКПЖ, а также в группе с исключенным диагнозом АКПЖ. В общей сложности, 7 (25%) пациентам был имплантирован ИКД, из этих случаев 6 признаны целесообразными, у 1 пациента с неподтвержденным диагнозом АКПЖ – нецелесообразным. Выводы. Ошибочный диагноз АКПЖ установлен у 32,1% пациентов с подозрением на АКПЖ. Ложные подозрения чаще всего были вызваны неправильной интерпретацией результатов МРТ сердца, связанных с неверной оценкой регионального дискинеза/акинеза стенок правого желудочка (ПЖ) из-за наличия таких факторов, как перикардиальная перетяжка, дивертикул стенки ПЖ, воронкообразная грудная клетка, расширение ПЖ у спортсменов или частая аритмия, вызывающая артефакты. Генотипирование позволяет своевременно верифицировать достоверный диагноз АКПЖ в данной когорте пациентов.
Аритмогенная кардиомиопатия правого желудочка, критерии диагностики, магнитно-резонансная томография, высокопроизводительное секвенирование, диагностические ошибки
Короткий адрес: https://sciup.org/143185401
IDR: 143185401 | УДК: 616.127 | DOI: 10.38109/2225-1685-2026-1-36-45
Challenges in the diagnosis of arrhythmogenic right ventricular cardiomyopathy
Introduction. The diagnosis of arrhythmogenic right ventricular cardiomyopathy (ARVC) remains a challenging task. Despite the revised 2010 criteria of the ITF Task Force, most patients still face difficulties in establishing this diagnosis. Objective. To assess the clinical and genetic characteristics of patients with a preliminary diagnosis of “ARVC,” with a focus on the final diagnosis established after re-evaluation at the Republican Scientific and Practical Center of Cardiology (RSPC “Cardiology”). Material and methods. Twenty-eight patients (53.6% male, median age 35 [24; 43] years) with a preliminary diagnosis of ARVC referred to the RSPC “Cardiology” were examined. The clinical and instrumental evaluation included 12-lead ECG, 24-hour Holter monitoring, transthoracic echocardiography (TTE), and cardiac magnetic resonance imaging (MRI) with late gadolinium enhancement (LGE). The ARVC diagnosis was based on the 2010 ITF criteria and classified into definite, borderline, and possible categories. Genetic testing for mutations in genes associated with cardiomyopathies and inherited rhythm disorders was performed using next-generation sequencing (NGS). Results. Among the 28 patients with a preliminary diagnosis of ARVC, only 7 (25%) were diagnosed with definite ARVC according to the 2010 ITF criteria and confirmed by genotyping (mutations in the PKP2 and DSG genes in 5 patients, mutation in the non-desmosomal TMEM43 gene in 1 patient, and mutations in ILK and RBM20 genes in 1 patient). Eight (28.6%) patients were diagnosed with borderline ARVC, and 4 (14.3%) with possible ARVC. In 9 (32.1%) patients, the diagnosis of ARVC was ruled out due to misinterpretation of cardiac MRI. Genotyping revealed no ARVC-associated mutations in the borderline, possible, or excluded groups. A total of 7 (25%) patients received an ICD; of these, 6 were deemed appropriate, while 1 was considered inappropriate due to an unconfirmed ARVC diagnosis. Conclusions. A misdiagnosis of ARVC was found in 32.1% of patients suspected of having the condition. The most common reason for false suspicion was misinterpretation of cardiac MRI results, particularly regional dyskinesia/akinesia of the right ventricular wall due to factors such as pericardial constriction, right ventricular diverticulum, pectus excavatum, right ventricular enlargement in athletes, or frequent arrhythmias causing artifacts. Genotyping proved helpful in timely confirmation of the ARVC diagnosis in this patient cohort.
Текст научной статьи Трудности диагностики аритмогенной кардиомиопатии правого желудочка
Данная статья распространяется на условиях «открытого доступа», в соответствии с лицензией CC BY-NC-SA 4.0 («Attribution-NonCommercial-ShareAlike» / «Атрибуция-Не-коммерчески-Сохранение Условий» 4.0), которая разрешает неограниченное некоммерческое использование, распространение и воспроизведение на любом носителе при условии указания автора и источника. Чтобы ознакомиться с полными условиями данной лицензии на русском языке, посетите сайт: by-nc-sa/4.0/
This is an open access article distributed under the terms of the Creative Commons Attribution-NonCommercial-ShareAlike 4.0 International (CC BY-NC-SA 4.0) License , which permits unrestricted use, distribution, and reproduction in any medium, provided the original author and source are credited.
Аритмогенная кардиомиопатия правого желудочка (АКПЖ), также называемая праводоминантная, представляет собой наследственное заболевание миокарда, характеризующееся фиброзно-жировым замещением правого желудочка (ПЖ), проявляющееся злокачественными желудочковыми нарушениями ритма. Диагностика АКПЖ сложна и требует комплексного подхода, поскольку нет диагностического метода, при помощи которого можно было бы однозначно подтвердить либо исключить этот диагноз.
Диагностические критерии АКПЖ были впервые разработаны под руководством McKennа WJ. в 1994 году [1] и включали в себя структурные, гистологические, аритмические и наследственные признаки этого заболевания. Однако эти критерии не обладали достаточной чувствительностью, а также не учитывали последних достижений в области визуализации и генетической диагностики. Они подверглись пересмотру и в 2010 году были опубликованы Модифицированные критерии ITF 2010 (Международная целевая группа под руководством Marcus F. и др.) [2]. Согласно рекомендациям ESC 2023 года по ведению пациентов с кардиомиопатиями в критерии ITF 2010 были введены дополнительные количественные параметры (объем и систолическая функция ПЖ, процент сохранных кардиомиоцитов при фиброзном замещении), тогда как наличие жировой инфильтрации в миокарде ПЖ является необязательным, ввиду его недостаточной специфичности для АКПЖ. Однако, несмотря на эти усовершенствованные критерии, у пациентов часто ошибочно диагностируется АКПЖ, что может привести к неэффективной тактике лечения, ненужным ограничениям физической нагрузки и чрезмерному психологическому стрессу [3].
Пациенты с АКПЖ могут иметь совершенно разные фенотипы, от бессимптомного течения до внезапной остановки сердца [4]. Кроме того, многие отличительные особенности АКПЖ, такие как аритмические события, внезапная сердечная смерть (ВСС), наличие фиброза миокарда наблюдаются и при других кардиомиопатиях [5].
Генетическое тестирование также не всегда позволяет верифицировать однозначно АКПЖ [6]. Недавняя переоценка доказательств генов, вызывающих АКПЖ, проведенная Группой экспертов по генному курированию ресурсов клинического генома, показала, что наиболее веские доказательства причинности заболевания связаны с вариантами генов десмосом PKP2, DSP, DSG2, DSC2 и JUP , и недесмосомного гена TMEM43 , с умеренными доказательствами варианты недесмосомных генов PLN и DES [6].
Однако, около 40% пациентов с АКПЖ не являются носителями известного причинного генетического варианта, и для аналогичной доли пациентов при известном генетическом варианте, заболевание протекает бессимптомно [7].
Цель данного исследования – оценить клиническую картину пациентов с предварительным диагнозом «АКПЖ» с акцентом на окончательный диагноз, который был установлен после углубленного обследования в РНПЦ «Кардиология» и генетического исследования в Институте генетики и цитологии НАН Беларуси.
МАТЕРИАЛ И МЕТОДЫ
Двадцати восьми пациентам, у которых подозревали диагноз АКМП (53,6% мужчин, медиана возраста 35 [24; 43] лет), было проведено клинико-инструментальное обследование в РНПЦ «Кардиология», включавшее ЭКГ в 12 отведениях (ЭКГ-12) на аппаратно-программном комплексе «Интекард-3» (Республика Беларусь), суточное мониторирование ЭКГ (СМ ЭКГ) на реги- страторах «Philips Zimed» (Австрия) и «Oxford Medilog AR12» (Великобритания), трансторакальную эхокардиографию (ТТЭ) на аппарате IE-33 (Philips, США) и магнитно-резонансную томографию (МРТ) сердца с отсроченным контрастным усилением (ОКУ) на томографе «Magnetom Aera» 1,5 Т (Siemens, Германия) в соответствии с рекомендованным Обществом сердечнососудистого магнитного резонанса (SCMR) 2020 г. протоколом для АКМП [8].
Диагноз «АКПЖ» устанавливался в соответствии с критериями, разработанным целевой группой ITF 2010 года [2]. Эта система оценок состоит из больших и малых критериев, разделенных на 6 категорий: 1) морфологические и функциональные желудочковые аномалии; 2) структурные аномалии миокарда на основе данных о тканевой характеристике; 3) деполяризационные и 4) реполяризационные изменения ЭКГ; 5) желудочковые аритмии; 6) семейный анамнез/генетические данные.
В соответствии с критериями ITF 2010 года возможны следующие градации относительно вероятности диагноза АДПЖ: достоверный диагноз при 2 больших критериях или 1 большом и 2 малых критерия или 4 малых критериях (из различных категорий); пограничный диагноз при 1 большом критерии и 1 малом или 3 малых критериях из различных категорий; вероятный диагноз при 1 большом критерии или 2 малых критериях (из различных категорий).
Фиброз миокарда оценивался методом ОКУ с помощью двухмерных сегментированных последовательностей инверсия-восстановление через 10 минут после внутривенного введения контрастного вещества (гадобутрол, 0,15 ммоль/кг массы тела) в 4-камерной, 2-камерной, 3-камерной проекциях, проекции по короткой оси, 3-камерной проекции ПЖ и проекции выносящего тракта ПЖ (ВТПЖ). Систолическая дисфункция ПЖ определялась как фракция выброса правого желудочка (ФВ ПЖ) <45%.
Оценка жировой инфильтрации проводилась на T1-взвешенных изображениях в последовательности Turbo Spin Echo (TSE), кино-изображениях, постконтрастных сериях ОКУ, а также с помощью нативного Т1-картирования миокарда.
Подтверждение диагноза АКПЖ по данным МРТ осуществлялось двумя независимыми экспертами. Окончательный диагноз был подтвержден клинически врачами-кардиологами нашего центра.
Поиск мутаций в кодирующих последовательностях генов, ассоциированных с развитием с сердечно-сосудистой патологии, проводили методом высокопроизводительного секвенирования (NGS) с использованием панели генов TruSight Cardio Sequencing Kit (Illumina, США) и секвенатора NextSeq550 (Illumina, США). Интерпретация патогенности новых и ранее описанных генетических вариантов осуществлялась согласно рекомендациям Американской коллегии медицинской генетики и геномики (2015 г.) [9]. Генотипирование и анонимная публикация результатов проведены с письменного согласия пациента.
Проведенное исследование одобрено локальным этическим комитетом (Протокол № 9 заседания НЭК от 05.07.2022 г.). Всеми пациентами подписано письменное информированное добровольное согласие на участие в исследовании.
Статистический анализ
Количественные показатели исследования представлены медианой и квартилями в виде Me [UQ; LQ]. Качественные показатели представлены частотами и процентами в группе. Все расчеты проводились с использованием прикладных программ STATSOFT STATISTICA версия 12.0.
РЕЗУЛЬТАТЫ
Пациенты, включенные в исследование, были разделены на 3 группы относительно вероятности диагноза АКПЖ: достоверный диагноз был установлен у 7 пациентов; пограничный диагноз – у 8 пациентов; вероятный диагноз – у 4 пациентов. Частота встречаемости больших и малых критериев АКПЖ согласно критериям ITF 2010 года представлена в таблице 1.
При оценке структурных и функциональных изменений ПЖ по данным МРТ сердца большой критерий установлен у большинства пациентов (71,4%) с достоверным диагнозом АКПЖ, в 62,5% случаев – у пациентов с пограничным диагнозом, в 25% случаев – у пациентов с вероятным диагнозом АКМП (табл. 1). Из больших
ЭКГ-критериев наиболее часто отмечались нарушения реполяризации (отрицательные зубцы Т в правых грудных отведениях). У всех пациентов с достоверной АКПЖ регистрировали желудочковые аритмии, чаще ЖТ с типичной морфологией (полная блокада левой ножки пучка Гиса (ПБЛНПГ) и верхней осью). Количество желудочковых экстрасистол (ЖЭC) более 500 в сутки и наличие неустойчивой ЖТ нетипичной морфологии, что является малым критерием АКПЖ, регистрировали у 37,5% пациентов с пограничным и у 50% пациентов вероятным диагнозом.
При генотипировании у 4 пациентов с достоверным диагнозом АКПЖ (табл. 2) выявлено 4 варианта нуклеотидной последовательности IV-V классов патогенности согласно критериям ACMG
Таблица 1. Частота встречаемости больших и малых критериев АКПЖ у пациентов с различной вероятностью диагноза [собственные данные]
|
Table 1. Frequency of major and minor ARVC criteria in patients with varying probability of diagnosis [own data] |
|||
|
Признак |
Достоверный диагноз |
Пограничный диагноз |
Вероятный диагноз |
|
Количество пациентов, n (%) |
7 (25,0) |
8 (28,6) |
4 (14,3) |
|
Большие критерии |
|||
|
МРТ-критерий (иКДО ПЖ > 110 мл/м 2 у мужчин и > 100 мл/м 2 у женщин и/или ФВ ПЖ < 40%), n (%) |
5 (71,4) |
6 (75) |
0 (0) |
|
Отрицательные Т в V1-V3, n (%) |
7 (100) |
0 (0) |
0 (0) |
|
ЖТ типичной морфологии, n (%) |
7 (100) |
0 (0) |
0 (0) |
|
Патогенная мутация, n (%) |
5 (71,4) |
0 (0) |
0 (0) |
|
Малые критерии |
|||
|
МРТ-критерии (иКДО ПЖ 100-109 мл/м 2 у мужчин и 90-99 мл/м 2 у женщин и/или ФВ 40-45%), n (%) |
3 (42,9) |
2 (25) |
1 (25,0) |
|
Конечная часть QRS ≥ 55 мс, n (%) |
2 (28,6) |
0 (0) |
0 (0) |
|
Отрицательный Т в V1-V2 или до V3 с ПБПНПГ, n (%) |
1 (14,3) |
3 (37,5) |
2 (50) |
|
Более 500 ЖЭС в сутки или ЖТ нетипичной морфологии, n (%) |
0 (0) |
3 (37,5) |
2 (50,0) |
|
ВСС или вероятная АКПЖ в семье, n (%) |
2 (28,6) |
0 (0) |
0 (0) |
Примечание: ФВ ПЖ – фракция выброса правого желудочка; иКДО ПЖ – индекс конечно-диастолического объёма правого желудочка; ЖТ – желудочковая тахикардия; МРТ – магнитно-резонансная томография; ПБПНПГ – полная блокада правой ножки пучка Гиса; ЖЭС – желудочковая экстрасистолия; ВСС – внезапная сердечная смерть; АКПЖ – аритмогенная кардиомиопатия правого желудочка.
Note: RVEF – right ventricular ejection fraction; RVEDV – right ventricular end-diastolic volume index; VT – ventricular tachycardia; MRI – magnetic resonance imaging; CRBBB – complete right bundle branch block; PVC – ventricular extrasystole; SCD – sudden cardiac death; ARVC – arrhythmogenic right ventricular cardiomyopathy.
Таблица 2. Результаты генотипирования пациентов с достоверным диагнозом АКПЖ [собственные данные]
Table 2. Genotyping results of patients with a definite diagnosis of ARVC [own data]
|
№ п/п |
Код пациента |
Ген |
Экзон |
Нуклеотидная замена/ Rs |
Аминокислотная замена |
Класс мутации MAF (gnomAD) |
|
1 |
787с |
PKP2 |
6 |
c.1391_1406del rs2137830958 |
p.Asn464ThrfsTer7 |
IV 0.00 |
|
2 |
781 |
PKP2 |
3 |
c.971_972insT/ rs779241371 |
p.Ala325GlyfsTer11 |
V 0.00 |
|
PKP2 |
13 |
c.2504T>C rs775572104 |
p.Leu835Pro |
III 0.00001591 |
||
|
3 |
810 |
PKP2 |
4 |
c.1057_1058del |
p.Leu353GlyfsTer33 |
IV* 0.00 |
|
9 |
с.1951С>T |
p.Arg651Cys |
III 0.0001273 |
|||
|
4 |
736 |
DSG2 |
5 |
c.523+1G>A rs553299589 |
– |
IV 0.00001186 |
|
15 |
c.2497T>A rs764461485 |
p.Phe833Ile |
III 0.000005576 |
|||
|
5 |
935 |
TMEM43 |
12 |
c.1073C>T rs63750743 |
p.Ser358Leu |
V 0.000001239 |
|
6 |
986 |
ILK |
3 |
c.157T>A rs200336608 |
p.Leu53Met |
III 0.0002490 |
|
RBM20 |
9 |
c.2357A>G rs561904103 |
p.Asp786Gly |
III 0.00004318 |
||
|
7 |
780 |
– |
– |
– |
– |
– |
Примечание:* – новые, ранее не описанные мутации, MAF (gnomAD) – частота минорной аллели в базе данных gnomAD Note: * – new, previously undescribed mutations; MAF (gnomAD) – minor allele frequency in the gnomAD database
(2015) в 2 десмосомных генах PKP2 и DSG2 , ассоциированных с АКПЖ. У 3 из этих пациентов обнаружены дополнительные варианты с неопределенной значимостью (VUS, III класс) в одноименных генах (№ 781, 810, 736). У пациентки № 935 патогенный вариант находился в недесмосомном гене TMEM43 . У 22-летней пациентки № 986 найдены 2 VUS в генах ILK и RBM20 , ассоциированных преимущественно с другими кардиомиопатиями (КМП).
Клинико-генетическая характеристика пациентов с достоверным диагнозом АКПЖ представлена в таблице 3.
Медиана возраста на момент манифестации заболевания у генотипированных пациентов с достоверным диагнозом АКПЖ составила 28,0 [22,0; 50,5] лет. Распределение по полу приближалось к 1:1. У 2-х пациентов установлена семейная форма заболевания. У всех пациентов регистрировалась неустойчивая и устойчивая ЖТ типичной формы. Аномалии ЭКГ (отрицательные зубцы Т в правых прекордиальных отведениях V1-V3) регистрировались у все пациентов независимо от генотипа.
По данным МРТ сердца медиана ФВ ПЖ составила 44,0 [38,5; 47,0]%, систолическая дисфункция ПЖ установлена у 4 (57,1%) пациентов. Дилатация ПЖ выявлена у 4 (57,1%) пациентов, медиана иКДО ПЖ составила 99,0 [89,0; 121,5] мл/м 2 .
По данным МРТ сердца региональный дискинез был выявлен у всех пациентов. Дилатация ПЖ (индекс конечно-диастолического объёма (иКДО) >110 мл/м 2 у мужчин и >100 мл/м 2 у женщин) и дисфункция ПЖ (ФВ ПЖ ≤ 40%) выявлена у 2-х пациентов (№ 781, 787) с мутациями в гене PKP2 . Важно отметить, что у двух молодых пациентов № 736 и № 810 (18 и 22 года) с мутациями в генах PKP2 и DSG2 не было выявлено больших МРТ-критериев АКПЖ. Наличие патогенных вариантов в генах PKP2 и DSG2 явилось дополнительным большим критерием и позволило наряду с ЖТА и аномалиями ЭКГ установить достоверный диагноз АКПЖ.
У 22-летней пациентки № 986 был установлен диагноз достоверной АКПЖ при наличии регионального дискинеза и дисфункции ПЖ (ФВ ПЖ 37%) при МРТ сердца. Эпизоды устойчивой мономорфной ЖТ с морфологией ПБЛНПГ сопровождались синкопе. При генотипировании был выявлен вариант в гене ILK в сочетании с заменой в гене RMB20. Ген ILK (интегрин-связанная киназа) является одним из главных компонентов передачи сигналов внутрь клеток через взаимодействие с бета1-интегринами. Известно, что изменение работы ILK приводит к дисрегуляции клеточной адгезии и передаче сигналов внутрь клетки, способствуя развитию АКПЖ [10]. Ген ILK наряду с другими недесмо-сомными генами показал свою вовлеченность в развитие АКПЖ как в моделях in-vitro и in vivo, так и в клинических условиях.
У 65-летней пациентки (№ 935), на фоне наличия инверсии зубцов Т в грудных отведениях V1-V3 и эпизодов как неустойчивой, так и гемодинамически значимой устойчивой ЖТ, потребовавшей имплантации ИКД, по данным магнитно-резонансной томографии сердца выявлена региональная дискинезия правого желудочка при отсутствии его дилатации и наличии умеренного снижения функции (ФВ ПЖ – 44%). На основании совокупности клинических, электрокардиографических и визуализирующих данных был установлен диагноз достоверной АКПЖ. При генотипировании выявлен патогенный вариант в гене TMEM43 , который кодирует трансмембранный белок 43 (TMEM43), участвующий в организации ядерной мембраны и межклеточных контактов. Мутации в этом гене связаны с развитием аритмогенной кардиомиопатии правого желудочка [11] и мышечной дистрофии Эмери-Дрейфуса [12]. Мутантный белок TMEM43 активирует гликогенсинтазу киназы-3 β (GSK3 β ), что приводит к прогрессирующей гибели кардиомиоцитов и фиброзно-жировому замещению миокарда [13].
В группе с достоверной АКПЖ шести пациентам с устойчивой гемодинамически значимой ЖТ был имплантирован ИКД, трем пациентам выполнено РЧА субстрата аритмии. РЧА была выполнена пациентам с локализованным эктопическим очагом ЖТ в целях уменьшения частоты эпизодов аритмии и, как следствие, снижения числа срабатываний ИКД. Проведение РЧА позволило оптимизировать ведение пациентов с ИКД, снизив нагрузку на устройство и улучшив клиническое течение заболевания.
Клинико-генетическая характеристика пациентов с пограничным диагнозом АКПЖ представлена в таблице 4.
Медиана возраста постановки диагноза составила 38,0 [26,0; 45,5] лет и была статистически значимо больше по сравнению с
Таблица 3. Клинико-генетическая характеристика пациентов с достоверным диагнозом АКПЖ [собственные данные]
Table 3. Clinical and genetic characteristics of patients with a definite diagnosis of ARVC [own data]
|
Код пациента |
787 |
781 |
810 |
736 |
780 |
986 |
935 |
|||
|
Возраст на момент постановки диагноза, лет |
49 |
28 |
22 |
18 |
52 |
22 |
65 |
|||
|
Пол |
м |
м |
ж |
м |
ж |
ж |
ж |
|||
|
Семейный анамнез АКПЖ |
- |
- |
+ |
+ |
- |
- |
- |
|||
|
НеУЖТ/ УЖТ |
+ |
+ |
+ |
+ |
+ |
+ |
+ |
|||
|
Негативный зубец Т в V1-V3 |
+ |
+ |
+ |
+ |
+ |
+ |
+ |
|||
|
Региональный дискинез |
+ |
+ |
+ |
+ |
+ |
+ |
+ |
|||
|
ФВ ПЖ (МРТ) |
38 |
39 |
47 |
47 |
48 |
37 |
44 |
|||
|
иКДО ПЖ (МРТ) |
140 |
138 |
89 |
89 |
105 |
40 |
99 |
|||
|
ИКД/ оправданные срабатывания ИКД |
+ |
+ |
+ |
+ |
+ |
- |
+ |
|||
|
РЧА ЖТ |
+ |
+ |
+ |
- |
- |
- |
- |
|||
|
Ген / Класс варианта |
PKP2 IV |
РКР2 V РКР2 III |
PKP2 РКР2 |
IV III |
DSG2 DSG2 |
IV III |
н/в - |
ILK RMB20 |
III III |
TMEM43 III |
Примечание: н/в – не выявлено; АКПЖ – аритмогенная кардиомиопатия правого желудочка; неУЖТ – неустойчивая желудочковая тахикардия; УЖТ – устойчивая желудочковая тахикардия; ФВ ПЖ – фракция выброса правого желудочка; МРТ – магнитнорезонансная томография; иКДО ПЖ – индекс конечно-диастолического объёма правого желудочка; ИКД – имплантируемый кардиовертер-дефибриллятор; РЧА ЖТ – радиочастотная аблация желудочковой тахикардии.
Note: ARVC – arrhythmogenic right ventricular cardiomyopathy; NSVT – non-sustained ventricular tachycardia; SVT – sustained ventricular tachycardia; RVEF – right ventricular ejection fraction; MRI – magnetic resonance imaging; RVEDVI – right ventricular end-diastolic volume index; ICD – implantable cardioverter defibrillator; RFA VT – radiofrequency ablation of ventricular tachycardia.
пациентами с достоверным диагнозом АКПЖ. В группе с пограничной АКПЖ преобладали мужчины (87,5%). У всех пациентов семейный анамнез не отягощен. По данным ЭКГ-12 у 4 (50,0%) исследуемых обнаружены отрицательные зубцы Т в правых прекордиальных отведениях V1-V2 в отсутствие полной блокады правой ножки пучка Гиса. У трех пациентов зарегистрированы пароксизмы неустойчивой ЖТ из выводного тракта ПЖ или с морфологией блокады левой ножки пучка Гиса и нижней осью.
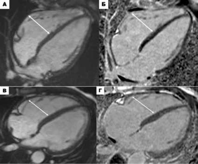
По данным МРТ сердца региональный дискинез был выявлен у всех пациентов. Медиана ФВ ПЖ составила 42,5 [36,0; 53,8]%, систолическая дисфункция ПЖ установлена у 4 (50,0%) пациентов. У 2 пациентов (№ 855, 987) по данным МРТ выявлены дилатация ПЖ (иКДО 111 мл/м 2 и 130 мл/м 2 ) и сохраненная ФВ ПЖ (ФВ ПЖ 56% и 53%) без определяемого отсроченного накопления контрастного вещества (КВ) в миокарде ПЖ (рис. 1).
Рисунок 1. А-Б. МРТ сердца пациента № 855. А. Изображения сердца в четырёхкамерной проекции в конечно-диастолическую фазу (А – кино-изображение, Б - последовательность с отсроченным контрастным усилением). Расширение ПЖ, иКДО 111 мл/м 2 , (тонкие белые стрелки) без определяемого отсроченного накопления КВ в миокарде ПЖ. «Спортивное сердце». В-Г. МРТ сердца пациента № 987. В. Изображения сердца в четырёхкамерной проекции в конечно-диастолическую фазу (В – кино-изображение, Г – последовательность с отсроченным контрастным усилением). Расширение ПЖ, иКДО 130 мл/м 2 , (тонкие белые стрелки) без определяемого отсроченного накопления КВ в миокарде ПЖ. «Спортивное сердце».
Figure 1. А-Б. Cardiac MRI of patient №855. A. Four-chamber end-diastolic cardiac images (A – cine image, Б – delayed contrast-enhanced sequence). RV dilation, iEDV 111 ml/m 2 (thin white arrows) without detectable delayed CF accumulation in the RV myocardium. «Athlete's heart». В-Г. Cardiac MRI of patient №987. C. Four-chamber end-diastolic cardiac images (В – cine image, Г – delayed contrast-enhanced sequence). RV dilation, iEDV 130 ml/m 2 (thin white arrows) without detectable delayed CF accumulation in the RV myocardium. «Athlete's heart».
Таблица 4. Клинико-генетическая характеристика пациентов с пограничным диагнозом АКПЖ [собственные данные] Table 4. Clinical and genetic characteristics of patients with a borderline diagnosis of ARVC [own data]
|
Код пациента |
859 |
866 |
855 |
906 |
990 |
802 |
987 |
856 |
|
|
Возраст на момент постановки диагноза, лет |
41 |
35 |
26 |
53 |
26 |
67 |
43 |
18 |
|
|
Пол |
ж |
м |
м |
м |
м |
м |
м |
м |
|
|
Семейный анамнез АКПЖ |
- |
- |
- |
- |
- |
- |
- |
- |
|
|
НеУЖТ/ УЖТ из BT ПЖ |
- |
- |
+ |
+ |
+ |
- |
- |
+ |
|
|
Негативный зубец Т в V1-V2 |
+ |
- |
- |
- |
- |
+ |
+ |
+ |
|
|
Региональный дискинез |
+ |
+ |
+ |
+ |
+ |
+ |
+ |
+ |
|
|
ФВ ПЖ (МРТ) |
56 |
36 |
56 |
31 |
36 |
38 |
53 |
47 |
|
|
иКДО ПЖ (МРТ) |
50 |
58 |
111 |
55 |
42 |
81 |
130 |
57 |
|
|
ИКД/ оправданные срабатывания ИКД |
- |
- |
- |
- |
- |
- |
- |
- |
|
|
РЧА ЖТ |
- |
- |
+ |
+ |
- |
- |
- |
- |
|
|
Ген / Класс варианта |
DTNA III |
н/в - |
н/в - |
CACNB2 MYBPC3 |
III III |
ACTN2 III |
н/в - |
н/в - |
NKN2-5 III-IV |
Примечание: н/в – не выявлено; АКПЖ – аритмогенная кардиомиопатия правого желудочка; неУЖТ – неустойчивая желудочковая тахикардия; УЖТ – устойчивая желудочковая тахикардия; ВТ ПЖ – выносящий тракт правого желудочка; ФВ ПЖ – фракция выброса правого желудочка; МРТ – магнитно-резонансная томография; иКДО ПЖ – индекс конечно-диастолического объёма правого желудочка; ИКД – имплантируемый кардиовертер-дефибриллятор; РЧА ЖТ – радиочастотная аблация желудочковой тахикардии.
При генотипировании в этой группе у 5 (62,5%) пациентов были выявлены варианты генов III класса, не ассоциированные с АКПЖ. У 3-х пациентов варианты генов, связанных с субклиническими проявлениями других КМП и каналопатий ( DTNA, ACTN2, MYBPC3 в сочетании с CACNB2 ).
Двум пациентам (№ 855, 906) в этой группе с устойчивыми и неустойчивыми пароксизмами ЖТ и отрицательным АКПЖ-генотипом выполнено РЧА эктопического очага.
У пациента № 856 (муж., 18 лет) без отягощённого семейного анамнеза по АКПЖ, были зарегистрированы эпизоды неустойчивой и/или устойчивой ЖТ. На ЭКГ выявлены инверсии зубцов T в правых прекордиальных отведениях (V1-V2). По данным МРТ сердца определялась региональная дискинезия ПЖ с сохранёнными размерами (иКДО - 57 мл/м 2 ) и ФВ ПЖ - 47%. В ходе генотипирования был выявлен редкий вариант гена NKX2-5 , для которого на данный момент отсутствуют убедительные доказательства его ассоциации с АКПЖ. Однако данный вариант включён в перечень генов, рекомендованных к анализу при подозрении на АКПЖ в соответствии с экспертным консенсусным заявлением HRS 2019 года [14].
Клинико-генетическая характеристика пациентов с вероятным диагнозом АКПЖ представлена в таблице 5.
Таблица 5. Клинико-генетическая характеристика пациентов с вероятным диагнозом АКПЖ [собственные данные]
Table 5. Clinical and genetic characteristics of patients with a probable diagnosis of ARVC [own data]
|
Код пациента |
715 |
919с |
811 |
992 |
|
Возраст на момент постановки диагноза, лет |
33 |
54 |
48 |
38 |
|
Пол |
ж |
м |
ж |
м |
|
Семейный анамнез АКПЖ |
- |
- |
- |
+ |
|
НеУЖТ/ УЖТ из BT ПЖ |
- |
- |
+ |
+ |
|
Негативный зубец Т в V1-V2 |
- |
+ |
+ |
- |
|
Региональный дискинез |
+ |
+ |
+ |
+ |
|
ФВ ПЖ (МРТ) |
43 |
47 |
46 |
49 |
|
иКДО ПЖ (МРТ) |
38 |
67 |
44 |
57 |
|
ИКД/ оправданные срабатывания ИКД |
- |
- |
- |
- |
|
РЧА ЖТ |
- |
- |
- |
- |
|
Ген / Класс варианта |
н/в - |
SNTA1 III |
ELN III |
JUP III MYH7 III |
Примечание: н/в – не выявлено; АКПЖ – аритмогенная кардиомиопатия правого желудочка; неУЖТ – неустойчивая желудочковая тахикардия; УЖТ – устойчивая желудочковая тахикардия; ФВ ПЖ – фракция выброса правого желудочка; МРТ – магнитно-резонансная томография; иКДО ПЖ – индекс конечно-диастолического объёма правого желудочка; ИКД – имплантируемый кардиовертер-дефибриллятор; РЧА ЖТ – радиочастотная аблация желудочковой тахикардии.
Note: ARVC – arrhythmogenic right ventricular cardiomyopathy; NSVT – non-sustained ventricular tachycardia; SVT – sustained ventricular tachycardia; RVEF – right ventricular ejection fraction; MRI – magnetic resonance imaging; RVEDVI – right ventricular end-diastolic volume index; ICD – implantable cardioverter defibrillator; RFA VT – radiofrequency ablation of ventricular tachycardia.
Медиана возраста манифестации заболевания составила 43,0 [36,8; 49,5] лет, мужчины – 50%. У 2 (50%) пациентов зарегистрированы пароксизмы устойчивой и неустойчивой ЖТ. Семейных анамнез отягощен у одного пациента, у 2 (50%) при регистрации ЭКГ-12 определялись отрицательные зубцы Т в правых прекордиальных отведениях V1-V2.
При генотипировании у 2 пациентов этой группы были выявлены варианты генов III класса, не ассоциированные с АКПЖ ( SNTA1, ELN ). У одного 38-летнего пациента (№ 992) с семейным анамнезом КМП был выявлены варианты III класса в генах JUP и MYH7 . У пациента не было признаков поражения ПЖ, однако был поставлен диагноз вероятной АКПЖ на основании регионарной дискинезии стенки ПЖ (ФВ ПЖ 49%, иКДО 57 мл/ м 2 ), частых ЖЭС >500 за сутки и наличия эпизодов неустойчивой ЖТ атипичной формы по типу БПНПГ. Кроме того, зарегистрированы эпизоды фибрилляции предсердий со средней ЧСС 119 уд/мин. На ЭКГ регистрировали изменения реполяризации в отведениях V2-V6. Возможно, именно комбинация вариантов в генах JUP и MYH7 явилась причиной перекрывающихся фенотипов. Ген JUP кодирует плакоглобин, являющийся компонентом десмосом и адгезивных соединений, которые необходимы для структурной целостности и функционирования сердечной ткани. Мутации в гене JUP вовлечены в развитие АКПЖ. Мутации в гене MYH7 связаны с развитием кардиомиопатий, включая гипертрофическую (ГКМП), дилатационную и некомпактный миокард левого желудочка. Учитывая наличие гипертрофии межжелудочковой перегородки по данным МРТ до 13 мм и семейный анамнез пациента, можно предположить наличие перекрывающегося фенотипа с ГКМП.
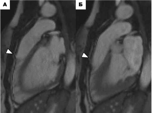
У пациента № 715 с отрицательным генотипом АКПЖ по данным МРТ сердца выявлены сниженная ФВ ПЖ (43%) без дилатации ПЖ (иКДО 38 мл/м 2 ) и микроаневризма ВТПЖ, синхронно сокращающаяся с миокардом ПЖ в систолу (рис. 2).
Рисунок 2. МРТ сердца пациента № 715. Кино-изображения сердца в проекции ВТПЖ в конечно-диастолическую фазу (А) и конечно-систолическую фазу (Б). Микроаневризма ВТПЖ (белые головки стрелок), синхронно сокращающаяся с миокардом ПЖ в систолу (врожденный анатомический вариант).
Figure 2. Cardiac MRI of patient №715. Cine images of the heart in the RVOT projection during the end-diastolic phase (A) and end-systolic phase (Б). RVOT microaneurysm (white arrowheads) contracting synchronously with the RV myocardium during systole (congenital anatomical variant).
У 9 пациентов присутствовали лишь один из малых критериев АКПЖ (региональный дискинез/акинез стенки ПЖ) без очевидных структурных изменений ПЖ или дилатации ПЖ (табл. 6). Ложноположительная интерпретация регионального дискине-за/акинеза стенок ПЖ на МРТ была наиболее частой ошибкой, которая наблюдалась у данных пациентов. Так, у пациентки № 766 обнаружен дивертикул под апикальным выпячиванием ПЖ, связанный с модераторным пучком, который привел к невер- ному истолкованию регионального дискинеза стенок ПЖ (рис. региональным дискинезом стенок ПЖ на МРТ (рис. 3В-Г) при-3А-Б). У пациента № 1м с воронкообразной грудной клеткой и сутствовала частая ЖЭC и неустойчивая ЖТ.
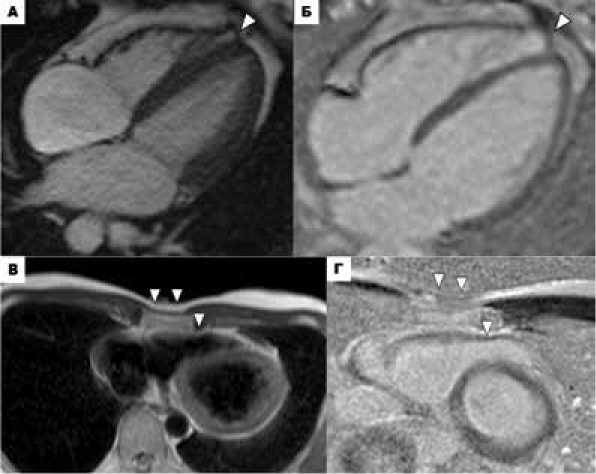
Рисунок 3. А-Б. МРТ сердца пациента № 766. А. Кино-изображение сердца в четырёхкамерной проекции в конечно-систолическую фазу. Б. Изображение сердца в четырёхкамерной проекции в конечно-диастолическую фазу в последовательности с отсроченным контрастным усилением. Дивертикулоподобное апикальное выпячивание ПЖ, связанное анатомически с модераторным пучком – врожденный анатомический вариант (белые головки стрелок). В-Г. МРТ сердца пациента № 1м: В. Изображение сердца в темнокровной последовательности HASTE («dark blood»). Г. Изображение сердца в последовательности с отсроченным контрастным усилением. Вариант анатомии грудной клетки (Pectus excavatum) с компрессией грудиной свободной стенки ПЖ (белые головки стрелок).
Figure 3. A-Б. Cardiac MRI of patient №766. A. Cine image of the heart in the four-chamber projection in the end-systolic phase. Б. Image of the heart in the four-chamber projection in the end-diastolic phase in a sequence with delayed contrast enhancement. A diverticulum-like apical protrusion of the right ventricle, anatomically associated with the moderator bundle, is a congenital anatomical variant (white arrowheads). В-Г. Cardiac MRI of patient #1m: В. Image of the heart in a HASTE ("dark blood") sequence. Г. Image of the heart in a sequence with delayed contrast enhancement. Variant chest anatomy (pectus excavatum) with compression of the free wall of the right ventricle by the sternum (white arrowheads).
Таблица 6. Клинико-генетическая характеристика пациентов с исключенным диагнозом АКПЖ [собственные данные] Table 6. Clinical and genetic characteristics of patients with an excluded diagnosis of ARVC [own data]
|
Код пациента |
766 |
862 |
889 |
1м |
840 |
834 |
727 |
936 |
945 |
|||
|
Возраст на момент постановки диагноза, лет |
33 |
20 |
43 |
40 |
37 |
24 |
38 |
23 |
33 |
|||
|
Пол |
ж |
ж |
ж |
м |
ж |
м |
ж |
м |
м |
|||
|
Семейный анамнез АКПЖ |
- |
- |
- |
- |
- |
- |
- |
- |
- |
|||
|
НеУЖТ/ УЖТ из BT ПЖ |
+ |
+ |
+ |
+ |
+ |
+ |
+ |
- |
- |
|||
|
Негативный зубец Т в V1-V2 |
+ |
+ |
- |
+ |
- |
- |
- |
- |
- |
|||
|
Региональный дискинез |
+ аневризматическое выпячивание |
+ |
+ мешковидное выпячивание (дивертикулы) стенки ПЖ |
+ воронкообразная грудная клетка |
+ микроаневризмы переднебоковой стенки ПЖ |
микроаневризма |
- |
- |
- |
|||
|
ФВ ПЖ (МРТ) |
53 |
49 |
56 |
50 |
49 |
52 |
49 |
45 |
52 |
|||
|
иКДО ПЖ (МРТ) |
73 |
84 |
43 |
70 |
66 |
68 |
66 |
90 |
67 |
|||
|
ИКД/ оправданные срабатывания ИКД |
- |
- |
- |
- |
- |
- |
+ |
- |
- |
|||
|
РЧА ЖТ |
+ |
+ |
+ |
- |
+ |
- |
- |
- |
- |
|||
|
Ген / Класс варианта |
RYR 2 IV |
н/в - |
н/в - |
CACNA1D TTN |
III III |
н/в - |
SCN1B CAVIN4 |
III III |
н/в - |
н/в - |
CAVIN4 KCNE2 |
III III |
Примечание: н/в – не выявлено; АКПЖ – аритмогенная кардиомиопатия правого желудочка; неУЖТ – неустойчивая желудочковая тахикардия; УЖТ – устойчивая желудочковая тахикардия; ФВ ПЖ – фракция выброса правого желудочка; МРТ – магнитнорезонансная томография; иКДО ПЖ – индекс конечно-диастолического объёма правого желудочка; ИКД – имплантируемый кардиовертер-дефибриллятор; РЧА ЖТ – радиочастотная аблация желудочковой тахикардии.
Note: ARVC – arrhythmogenic right ventricular cardiomyopathy; NSVT – non-sustained ventricular tachycardia; SVT – sustained ventricular tachycardia; RVEF – right ventricular ejection fraction; MRI – magnetic resonance imaging; RVEDVI – right ventricular end-diastolic volume index; ICD – implantable cardioverter defibrillator; RFA VT – radiofrequency ablation of ventricular tachycardia.
У пациентки № 840 по данным МРТ сердца выявлены микроаневризмы боковой и передней стенок ПЖ (рис. 4). У остальных пациентов с частой желудочковой тахиаритмией структурных изменений на МРТ не выявлено, и вероятно, ложноположительная интерпретация регионального дискинеза стенок ПЖ на МРТ обусловлено артефактами вследствие частой аритмии. При генотипировании этих пациентов у 4 (44,4%) из них были обнаружены варианты в генах, кодирующих ионные каналы: RYR2 (№ 766), CACNA1D (№ 1м), SCN1B (№ 834) и KCNE2 (№ 945); у 3 пациентов (№ 1м, 834, 945) – варианты в генах, ассоциированных с КМП ( TTN и CAVIN4 ).
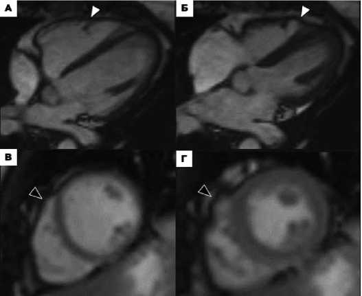
Рисунок 4. МРТ сердца пациента № 840. Кино-изображения сердца в четырёхкамерной проекции в конечно-диастолическую (А) и конечно-систолическую фазу (Б), в проекции по короткой оси в конечно-диастолическую (В) и конечно-систолическую фазу (Г). Микроаневризмы боковой и передней стенок ПЖ (А, Б – белые головки стрелок, В, Г – чёрные головки стрелок), врожденный анатомический вариант.
Figure 4. Cardiac MRI of patient #840. Four-chamber cine images of the heart at end-diastolic (A) and end-systolic (Б) phases, and short-axis images at end-diastolic (В) and end-systolic (Г) phases. Microaneurysms of the lateral and anterior walls of the right ventricle (A, Б – white arrowheads, В, Г – black arrowheads), congenital anatomical variant.
На основании проведенного обследования окончательный диагноз в обследуемой когорте пациентов с предварительным диагнозом АКПЖ представлен в таблице 7.
Таблица 7. Окончательный диагноз, установленный в исследуемой когорте [собственные данные]
Table 7. Final diagnosis established in the studied cohort [own data]
|
Окончательный диагноз |
Число пациентов (n=28) |
Достоверный диагноз АКПЖ, n (%) 7 (25)
Пограничный/вероятный диагноз АКПЖ, n 12 (42,9) Идиопатическая ЖЭС/ЖТ/ФЖ, n 9 (32,1)
Примечание: АКПЖ – аритмогенная кардиомиопатия правого желудочка; ЖЭС – желудочковая экстрасистолия; ЖТ – желудочковая тахикардия; ФЖ – фибрилляция желудочков Note: ARVC – arrhythmogenic right ventricular cardiomyopathy; VES – ventricular extrasystole; VT – ventricular tachycardia; VF – ventricular fibrillation
У 9 (32,1%) из пациентов, у которых был исключен диагноз АКПЖ наблюдалась определенная закономерность диагности- ческих ошибок. Наиболее распространенный перечень диагностических ошибок представлен в таблице 8.
Таблица 8. Причины ошибочного диагноза или ложных подозрений на АКПЖ [собственные данные]
Table 8. Causes of misdiagnosis or false suspicion of ARVC [own data]
|
Диагностические ошибки |
Число пациентов |
|
Ложноположительное движение стенки ПЖ, n |
9 (№ 766, 862, 889, 1м, 840, 834, 727, 936, 945) |
|
Воронкообразная грудная клетка, n |
1 (№ 1м) |
|
Перикардиальный тяж, n |
3 (№ 840, 834, 715) |
|
Дивертикул ПЖ, n |
1 (№ 766) |
|
Сердце спортсмена/неспецифическое расширение ПЖ без аномалий движения стенок, n |
2 (№ 855, 987) |
Примечание: АКПЖ – аритмогенная кардиомиопатия левого желудочка; ПЖ – правый желудочек
Note: ARVC – arrhythmogenic left ventricular cardiomyopathy; RV – right ventricle
Ложноположительная интерпретация регионального дис-кинеза/акинеза стенок ПЖ на МРТ была наиболее частой ошибкой, поскольку наблюдалась у 9 (32,1%) пациентов. У 5 пациентов был явный фактор, который привел к неверному истолкованию регионального дискинеза стенок, включая перикардиальный тяж (n=3), дивертикул ПЖ (n=1), воронкообразная грудная клетка или аритмию (n=1), приводящие к артефактам.
ОБСУЖДЕНИЕ
При обследовании когорты из 28 пациентов, направленных в РНПЦ «Кардиология» с предварительным диагнозом «аритмо-генная кардиомиопатия правого желудочка» только у 7 (25,0%) пациентов была диагностирована достоверная АКПЖ согласно критериям ITF 2010 г. и подтвержденная при генотипировании у 5 пациентов генами, ассоциированными с АКПЖ. У 8 (28,6%) пациентов установлена пограничная АКПЖ, а у 4 (14,3%) – вероятная АКПЖ, при этом у пациентов при генотипировании не выявлено вариантов, ассоциированных с АКПЖ. У 9 (32,1%) пациентов диагноз АКПЖ не был установлен согласно критериям ITF и при генотипировании не выявлено вариантов, ассоциированных с АКПЖ
Анализ данной когорты из 28 пациентов с предварительным диагнозом АКПЖ позволил сделать следующие основные выводы. Во-первых, предварительный диагноз АКПЖ оказался ошибочным у 32,1%. Во-вторых, наиболее часто у этих пациентов наблюдались идиопатические ЖЭС/ЖТ или ФЖ при дальнейшем обследовании и генотипировании диагноз АКПЖ был исключен. В-третьих, наиболее частым ложным подозрением на АКПЖ у этих пациентов была неправильная интерпретация результатов МРТ сердца. Наше исследование выявило два основных типа ошибок в интерпретации МРТ. Первый тип ошибок связан с ошибочной интерпретацией регионального дискинеза/ акинеза стенок ПЖ из-за наличия таких факторов, как перикардиальная перетяжка, воронкообразная грудная клетка или частая аритмия, вызывающая артефакты. Эти отклонения согласуются с данными Quarta et al. [15] и подчеркивает важность повышения осведомленности об этих факторах. Второй тип ошибок связан с использованием МРТ-критериев, которые не включены в ITF 2010 г. Например, диагностика неспецифических жировых отложений, истончение стенок ПЖ и развитие дилатации ПЖ у спортсменов. Эти функции МРТ не считались достаточно надежными, чтобы быть включенными в ITF 2010 г. Ряд исследований также описали данные МРТ как причину неправильного диагноза [16, 17].
Ошибочный диагноз ранее был отмечен в других исследованиях, в которых при дополнительном обследовании диагноз АКПЖ был впоследствии исключен. Например, Sampognaro и соавт. [18] сообщают об исследовании, проведенном в больнице Джона Хопкинса, которая с 1999 года является основным центром обследования пациентов с АКПЖ. В течение более чем 8,5 лет (с января 2011 по сентябрь 2019 года) обследовано 726 пациентов с АКПЖ. Из них диагноз был подтвержден у 361 (49,7%) пациента и исключен у 365 (50,3%). Средний возраст пациентов составил 41±15,9 лет; 66,3% были мужчинами. Наиболее распространенным симптомами были учащенное сердцебиение у 38,1% пациентов и желудочковые аритмии у 17%; у 10% – семейный анамнез ВСС.
В общей сложности 87 пациентам был установлен ИКД при первичном обращении. Из этих случаев 54 были признаны по назначению, в том числе у 4 пациентов был диагностирован саркоидоз. У 33 пациентов имплантация ИКД признана нецелесообразной, и рекомендовано извлечение устройства. У пациентов, которым проведена нецелесообразная имплантация ИКД, было большое количество осложнений, включая неоправданные срабатывания, инфицирование устройства и другие осложнения, связанные с имплантацией устройства.
Эпсилон-волна, которая является основным диагностическим критерием в ITF 2010, неправильно определена у 24 из 365 пациентов (6,6%), у которых была ложно диагностирована АКПЖ. В исследовании Sampognaro и соавт. [18] подчеркивается важность междисциплинарного подхода при обследовании пациентов с подозрением на АКПЖ.
Применение критериев ITF 2010 позволяет установить диагноз достоверной , пограничной или вероятной АКПЖ. Учитывая, что фенотип АКПЖ может изменяться в течение нескольких лет, возникает вопрос, могут ли пациенты, у которых при повторной оценке диагноз АКПЖ не был выставлен как достоверный , в дальнейшем иметь это заболевание. Это необходимо учитывать у пациентов с положительным генотипом/отрицательным фенотипом, а также у тех, у кого были выявлены некоторые аномалии ПЖ, которые не соответствовали критериям ITF 2010.
Полученные данные подтверждают важность проведения молекулярно-генетического исследования методом высокопроизводительного секвенирования генов, ассоциированных с АКПЖ для верификации диагноза. Наличие патогенных вариантов в генах, ассоциированных с АКПЖ, рассматривалось дополнительным большим критерием и позволило наряду с желудочковыми тахиаритмиями и аномалиями ЭКГ установить достоверный диагноз АКПЖ.
-
2.
-
3.
-
4.
-
5.
-
6.
-
7.
-
8.
-
9.
ЗАКЛЮЧЕНИЕ 14.
Ошибочный диагноз АКПЖ установлен у 32,1% пациентов с подозрением на АКПЖ. Ложные подозрения чаще всего были вызваны неправильной интерпретацией результатов МРТ сердца, связанных с неверной оценкой регионального дискинеза/ 15. акинеза стенок ПЖ из-за наличия таких факторов, как перикардиальная перетяжка, дивертикул стенки ПЖ, воронкообразная грудная клетка, расширение ПЖ у спортсменов или частая 16 аритмия, вызывающая артефакты. Генотипирование суще- . ственно помогает верифицировать достоверную АКПЖ среди пациентов с предварительным диагнозом АКПЖ.