Значение ультразвукового исследования до и после операции при лечении пациентов с паховой грыжей
Автор: Белоконев В.И., Пушкин С.Ю., Бурнаева Н.С., Шулепов П.В.
Журнал: Вестник медицинского института "РЕАВИЗ": реабилитация, врач и здоровье @vestnik-reaviz
Рубрика: Клиническая медицина
Статья в выпуске: 5 т.15, 2025 года.
Бесплатный доступ
Актуальность. Паховая грыжа в общей структуре патологии занимает первое место. Техника хирургического лечения паховой грыжи передними и задними доступами детально разработана. Однако при всех способах операций возможны осложнения. Ультразвуковое исследование (УЗИ) позволяет определить особенности анатомического строения паховой области и выявить осложнения после операции при их развитии, однако результаты таких исследований представлены в литературе ещё недостаточно. Цель: оценить роль УЗИ для диагностики паховой грыжи у мужчин и женщин для оценки состояния тканей в паховых областях и обнаружения осложнений после различных способов операций. Объект и методы. Проведен анализ лечения 242 пациентов с паховой грыжей в возрасте от 21 года до 92 лет. Мужчин было 217 (89,7%), женщин – 25 (10,3%). У всех пациентов, кроме сбора клинических данных, проводили УЗИ паховых областей до и после операции. Дополнительно с помощью УЗИ у 50 пациентов в возрасте 60–70 лет без грыж были изучены особенности возрастных изменений в тканях паховых областей. Мужчин было 43 (86%), женщин – 17 (14%). Все операции выполнены передним комбинированным способом с использованием сетчатых имплантатов. Пациенты разделены на две группы. В группе 1 (основной) операцию завершали дренированием раны, в группе 2 (сравнения) дренирование раны не проводили. Вмешательства оценивали по характеру и количеству осложнений. Результаты. Установлено, что по данным УЗИ у пациентов с грыжами и без грыж толщина подкожной клетчатки, совокупная толщина мышц и апоневроза различий не имели. На частоту осложнений влияло дренирование раны на завершающем этапе вмешательства. Это позволило в группе 1, по сравнению с группой 2, снизить частоту сером в 3,9 раза, гематом – в 4,3 раза, нагноений – в 4,3 раза (р<0,001). Выводы. У пациентов с паховой грыжей УЗИ позволяет подтвердить диагноз, оценить состояние тканей в паховых областях, выявить раневые осложнения и устранить их в ранние сроки. У пациентов с паховой грыжей при выполнении передних протезирующих способов пластики операцию необходимо завершать дренированием раны, что позволяет улучшить непосредственные и отдалённые результаты лечения. Логистическая регрессия предикторов осложнений показала, что частота осложнений статистически значимо была выше у пациентов с односторонними правосторонними грыжами по сравнению с левосторонними паховыми грыжами.
Грыжа паховая [D006552], ультразвуковая диагностика [D014463], герниорафия [D059685], хирургические сетки [D013526], послеоперационные осложнения [D011183], дренаж [D004322], серома [D049291], гематома [D006406], раневая инфекция [D013530], предоперационная диагностика [D011300]
Короткий адрес: https://sciup.org/143185329
IDR: 143185329 | УДК: 617.55-007.43-073.43-089 | DOI: 10.20340/vmi-rvz.2025.5.CLIN.7
The importance of ultrasonography during surgical treatment of inguinal hernia repair
Relevance. Inguinal hernia ranks first in the overall structure of pathology. The technique of surgical treatment of inguinal hernia by anterior and posterior approaches has been developed in detail. However, complications are possible with all surgical methods. Ultrasound allows us to determine the features of the anatomical structure of the inguinal region and identify complications after surgery when they develop, but the results of such studies are not yet sufficiently presented in the literature. Objective: to evaluate the role of ultrasound for diagnosing inguinal hernia in men and women, assessing the condition of tissues in the inguinal regions and detecting complications after various surgical methods. Object and methods. The analysis of treatment of 242 patients with inguinal hernia aged from 21 to 92 years was conducted. There were 217 men (89.7%), 25 women (10.3%). In addition to collecting clinical data, all patients underwent ultrasound of the inguinal regions before and after surgery. Additionally, using ultrasound, age-related changes in the tissues of the inguinal regions were studied in 50 patients aged 60-70 years without hernias. There were 43 men (86%), 17 women (14%). All operations were performed by the anterior combined method using mesh implants. Patients were divided into 2 groups. In group 1 (main), the operation was completed with wound drainage, in group 2 (comparison), wound drainage was not performed. Interventions were assessed by the nature and number of complications. Results. It was found that according to ultrasound data in patients with and without hernias, the thickness of the subcutaneous tissue, the total thickness of the muscles and aponeurosis did not differ. The frequency of complications was affected by wound drainage at the final stage of the intervention. This made it possible to reduce the frequency of seromas by 3.9 times, hematomas - by 4.3 times, suppurations - by 4.3 times in group 1 compared to group 2 (p < 0.001). Conclusions. In patients with inguinal hernia, ultrasound allows confirming the diagnosis, assessing the condition of tissues in the groin area, identifying wound complications and eliminating them at an early stage. In patients with inguinal hernia, when performing anterior prosthetic methods of plastic surgery, it is necessary to complete the operation with wound drainage, which improves immediate and remote treatment results. Logistic regression of complication predictors showed that the frequency of complications was statistically significantly higher in patients with unilateral right-sided hernias compared to left-sided inguinal hernias.
Текст научной статьи Значение ультразвукового исследования до и после операции при лечении пациентов с паховой грыжей
Паховая грыжа в общей структуре патологии занимает первое место [1–4]. Техника хирургического лечения паховой грыжи передними и задними доступами детально разработана. Однако при всех способах операций возможны осложнения, которые ухудшают результаты и приводят к развитию рецидивов заболевания [5]. Важную роль для их диагностики играет знание прижизненной анатомии структур паховой области. Своевременное ультрасонографическое исследование позволяет определить не только особенности анатомического строения, но и выявить осложнения при их развитии [2, 6–9], но результаты таких исследований представлены в литературе ещё недостаточно.
Цель исследования : оценить роль УЗИ для диагностики паховой грыжи у мужчин и женщин для оценки состояния тканей в паховых областях и обнаружения осложнений после различных способов операций.
Объект и методы
Проведён анализ лечения 242 пациентов с паховой грыжей в возрасте от 21 года до 92 лет. Мужчин было 217 (89,7%), женщин – 25 (10,3%), соотношение мужчин и женщин составило 8,7:1. Распределение пациентов по полу и возрасту в группах сравнения представлено в таблице 1.
Таблица 1. Распределение пациентов по полу и возрасту в группах сравнения Table 1. Distribution of patients by gender and age in comparison groups
|
Переменные |
Вся выборка |
Группа исследования |
p-value |
||
|
Основная |
Контрольная |
||||
|
Пол |
Ж |
25 (10%) |
13 (8%) |
12 (15%) |
p=0,07 |
|
М |
217 (90%) |
151 (92%) |
66 (85%) |
||
|
Med (IQR) |
63,0 (53,0; 71,0) |
64,0 (53,0; 72,5) |
61,0 (52,2; 70,0) |
p=0,35 |
|
|
Возраст |
Менее 63 лет1 |
117 (49%) |
74 (45%) |
44 (55%) |
p=0,16 |
|
Старше 63 лет |
125 (51%) |
89 (55%) |
35 (45%) |
||
Примечание: 1 – разбивка возраста на категории проведена относительно медианы по всей выборке.
У пациентов с паховой грыжей кроме сбора клинических данных проводили УЗИ паховых областей до и после операции. Исследование выполняли на аппарате Philips EPIQ 5 с использованием линейного датчика. Дополнительно особенности возрастных изменений в тканях паховых областей с помощью УЗИ были изучены у 50 пациентов в возрасте 60–70 лет без грыж. Мужчин было 43 (86%), женщин – 17 (14%). При этом определяли толщину подкожной клетчатки (ПК), которую измеряли ультразвуковым сканером в области пахового канала в положении пациента лёжа и/или стоя. Датчик устанавливали перпендикулярно кожной поверхности при пробе Вальсальва. Толщину совокупной мышцы (СМ) определяли на уровне наружной косой мышцы живота в одно и то же время суток для исключения возможных колебаний, связанных с тонусом мышц. Толщину апоневроза (АП) измеряли с использованием стандартизированных ультразвуковых срезов в зоне грыжевых ворот, а результаты фиксировали с точностью до 0,1 мм. Все исследования были выполнены одним врачом для минимизации субъективных ошибок. При повторных измерениях использовали одинаковые технические параметры прибора (частоту датчика, глубину сканирования, режимы визуализации).
До операции у пациентов с паховой грыжей при УЗИ оценивали размеры и расположение грыжевого мешка, кровоток в сосудах семенного канатика, в придатках яичка и яичке, что имело значение для подтверждения диагноза и определения тактики лечения. После операции при УЗИ с учётом доопе-рационных данных оценивали расположение протеза и течение раневого процесса для исключения или подтверждения осложнений: гематомы, серо-мы, орхоэпидидимита, водянки яичка, фуникулита. Дополнительно сравнивали влияние анатомических параметров на риски развития осложнений в зависимости от стороны локализации паховой грыжи, телосложения и возраста пациента.
Операции у пациентов с паховой грыжей выполняли передними доступами с использованием сетчатых имплантатов комбинированным способом (патент на изобретение №2365340 от 21.03.2006) и по способу Лихтенштейна [10]. Отличие первого способа от второго состояло в том, что окно Кукса в протезе формировали в вертикальном направлении по отношению к нижнему краю протеза. После проведения семенного канатика через окно Кукса края протеза сшивали между собой нитью пролен 3.0. Протез по нижнему контуру подшивали к паховой связке, а по верхнему контуру – изнутри к апоневрозу наружной косой мышцы живота. Затем над протезом сшивали края апоневроза до семенного канатика, который располагали в подкожной клетчатке. Операции выполняли под эндотрахеальным наркозом и спинальной анестезией.
Пациенты были распределены на две группы. В группу 1 (основная) вошли 164 (67,8%) пациента, в группу 2 (сравнения) включены 78 (32,2%) паци-
|
ентов, которые различались между собой по спо- операций оценивали по собу завершения операции. В группе 1 операцию осложнений (табл. 2). завершали дренированием раны, в группе 2 дренирование раны не проводили. Результаты этих Таблица 2. Оценка непосредственных результатов лечения пациентов с паховой грыжей Table 2. Evaluation of immediate results of treatment of patients with inguinal hernia |
характеру и количеству |
|||
|
Результаты |
Уровень |
Оценка результатов |
||
|
лечения |
оценки |
Хороший |
Удовлетворительный |
Неудовлетворительный |
|
Непосредственные |
Системный |
Компенсированное состояние сердечно-сосудистой и дыхательной систем |
Субкомпенсированное состояние сердечно-сосудистой и дыхательной систем, требующее терапевтической коррекции |
Декомпенсация сердечнососудистой и дыхательной систем. Летальный исход. Острая задержка мочи |
|
Локальный |
Заживление раны первичным натяжением. Отсутствие рецидива, отёка мошонки и яичка |
Умеренные боли на стороне операции, отёк мошонки и яичка на стороне операции, инфильтративные изменения в области послеоперационной раны |
Острый орхэпидимит, гематома раны и мошонки, нагноение раны. Развитие рецидива |
|
Обработку полученных данных проводили с использованием статистического пакета SPSS 25 (IBM SPSS Statistics, США, лицензия № 5725-А54). Для анализа качественных признаков оценивали таблицы сопряжённости с расчётом критерия χ2 Пирсона (с поправкой Йетса при размерности таблицы сопряжённости 2 на 2), либо с применением точного метода Фишера. Количественные признаки представлены в виде среднего и стандартного отклонения (M±SD), либо в случае отличного от нормального, скошенного вправо закона распределения в виде медианы и квартилей: Me (Q1–Q3). Для сравнения групп до и после лечения использован парный критерий Вилкоксона. Различия считали статистически значимыми при р<0,05.
Результаты
Обследование 242 пациентов показало, что диагностика паховой грыжи у мужчин не сложна. Клинические проявления заболевания позволяли во время осмотра установить диагноз, а при УЗИ оценить состояние тканей в паховых областях, локализацию грыжи (прямая или косая) и определить содержимое грыжевого мешка, что имело значение для установления сроков выполнения операции. У женщин были проблемы ранней диагностики неосложнённой грыжи при астеническом телосложении и у гиперстеников, страдающих ожирением. На ранних сроках развития грыжи женщины предъявляли жалобы на боли в паху при отсутствии над ним опухолевидного образования. При этом из-за особенностей расположения наружного отверстия пахового канала в проекции половых губ определить грыжу при пальцевом исследовании было не всегда возможно. Объяснить эту особенность можно тем, что при косой паховой грыже, спускающейся через глубокое паховое кольцо, грыжевой мешок расслаивает круглую связку матки, имеющей малый диаметр, не выходит за её размеры. При прямой паховой грыже грыжевой мешок смещается параллельно круглой связке матки, подходит к наружному паховому кольцу и располагается под ним в виде опухолевидного образования, что позволяет клинически поставить диагноз. У пациенток с ожирением из-за избытка жировой ткани в надлобковой области определить грыжевой мешок при отсутствии клиники ущемления, выходящий из наружного отверстия пахового канала, практически очень сложно, что для установления диагноза требует применения инструментальных методов исследования. Применение УЗИ позволяло установить и подтвердить диагноз у пациентов с паховой грыжей. На рисунках 1 и 2 представлены результаты УЗИ у пациента Н., 37 лет, с двухсторонней паховой грыжей, которые позволили подтвердить диагноз и выполнить операции по поводу паховых грыж открытым способом с двух сторон. На рисунке 3 представлены результаты УЗИ пациентки Н., 45 лет; диагноз – правосторонняя косая паховая грыжа: вид грыжевого мешка, расположенного в круглой связке матке.
При планировании операций у пациентов важна оценка состояния тканей в паховых областях при выполнении УЗИ. При сравнении тканей в паховых областях у пациентов с грыжами и без грыж были получены следующие результаты: в таблице 3 представлены результаты исследования толщины ПК, СМ и АП у пациентов без паховой грыжи, а в таблице 4 – у пациентов с паховой грыжи в группах 1 и 2.
Анализ таблиц 3 и 4 показал, что различий по толщине ПК, СМ и АП у пациентов без грыж и с паховой грыжей в группе 1 и группе 2 не было.
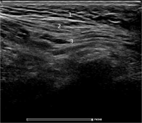
Рисунок 2. Пациент Н, 54 года. Изображение прямой правосторонней паховой грыжи при ультрасонографическом исследовании: 1 — подкожно-жировая клетчатка; 2 — наружная косая мышца живота; 3 — грыжевой мешок
Figure 2. Patient H., 54 years old. Ultrasonographic image of a direct right-sided inguinal hernia: 1 – subcutaneous fat; 2 – external oblique abdominal muscle; 3 – hernial sac
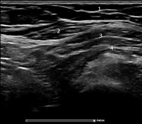
Рисунок 1. Пациент Н, 54 года. Изображение левосторонней косой паховой грыжи при ультрасонографическом исследовании: 1 – подкожно-жировая клетчатка; 2 – наружная косая мышца живота; 3 – грыжевой мешок; 4 – поперечная мышца живота и апоневроз, прилегающие к глубокому паховому кольцу
Figure 1. Patient H., 54 years old. Ultrasonographic image of a leftsided indirect inguinal hernia: 1 – subcutaneous fat; 2 – external oblique abdominal muscle; 3 – hernial sac; 4 – transverse abdominal muscle and aponeurosis adjacent to the deep inguinal ring
Таблица 3. Средние значения толщины ПК, СМ и АП у пациентов без паховой грыжи
Table 3. Average values of the thickness of the PC, SM and AP in patients without inguinal hernia
|
Параметр |
Группа пациентов (без грыж) |
|
ПК (мм) |
28–38 (среднее 32) |
|
СМ (мм) |
4,8–6,2 |
|
АП (мм) |
1,2–1,5 |
Таблица 4. Средние значения толщины ПК, СМ и АП у пациентов с паховой грыжей в группах 1 и 2
Table 4. Average values of the thickness of the PC, SM and AP in patients with inguinal hernia in groups 1 and 2
|
Параметр |
Группа 1 (M±SD) |
Группа 2 (M±SD) |
P-значение |
|
Возраст (лет) |
64,0 (53,0; 72,5) |
61,0 (52,2; 70,0) |
0,35 |
|
ПК (мм) |
37,0 (33,0; 40,5) |
35,0 (33,0; 45,0) |
0,670 |
|
СМ (мм) |
4,9 (4,0; 5,5) |
5,1 (3,1; 5,9) |
0,259 |
|
АП (мм) |
1,5 (1,3; 1,6) |
1,5 (1,4; 1,6) |
0,191 |
Примечание: Статистическую значимость оценивали с использованием ANOVA/U-критерия Манна – Уитни.
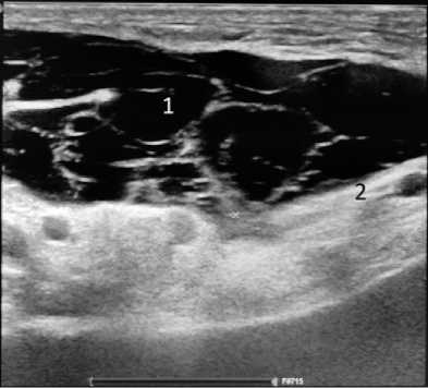
Рисунок 3. Пациентка Н., 45 лет. Изображение правосторонней косой паховой грыжи при ультрасонографическом исследовании: 1 – грыжевой мешок, расположенный в круглой связке матки Figure 3. Patient N., 45 years old. Ultrasonographic image of a rightsided oblique inguinal hernia: 1 – hernial sac located in the round ligament of the uterus
Все пациенты с паховой грыжей перенесли операции, летальных исходов не было, и это при том, что среди них лица пожилого и старческого возраста составили более 51%. У пациентов с двухсторонними паховыми грыжами операции выполняли одновременно справа и слева. При паховой грыже использовали доступ на 2 см выше паховой складки. Проводили рассечение кожи и подкожной клетчатки, в которой выделяли и перевязывали в обязательном порядке две подкожные вены, так как они наиболее часто являются причиной образования гематомы в ране. После выделения апо- невроза у наружного пахового кольца выделяли семенной канатик и брали его на держалку. Только после этого вскрывали переднюю стенку пахового канала. Такой приём позволял исключить фрагментацию элементов семенного канатика, которая возможна при скользящих грыжах 4 типа по Нихусу. Во время операции особое внимание уделяли технике выделения грыжевого мешка из элементов семенного канатика у мужчин и из круглой связки матки у женщин. Круглую связку матки не пересекали. При косых паховых грыжах грыжевой мешок выделяли до шейки, после его вскрытия и оценки в нём содержимого шейку перевязывали и грыжевой мешок иссекали. Культю грыжевого мешка перемещали по Баркеру под поперечную и внутреннюю косую мышцы живота. Избытки мышечных волокон, переходящих на элементы семенного канатика, для уменьшения его диаметра пересекали. Формировали глубокое паховое кольцо путём наложения швов на внутреннюю косую и поперечную мышцы вокруг семенного канатика, а затем сшивали края поперечной фасции. Заднюю стенку пахового канала укрепляли синтетическим имплантатом, который подшивали снизу к паховой связке, а после формирования окна Кукса в вертикальном направлении и проведении через него семенного канатика сверху фиксировали изнутри к апоневрозу наружной косой мышцы живота. В завершении накладывали швы на апоневроз до семенного канатика, располагая его в подкожной клетчатке, в которой устанавливали дренажную трубку диаметром 4–5 мм и подключали её к вакуумному аспиратору. Отличие операции при прямой паховой грыже состояло в том, что выделенный грыжевой мешок не вскрывали, а погружали в предбрюшинное пространство. При выполнении операций у пациентов с паховой грыжей использовали только рассасывающиеся нити на основе полигликолида диаметром 2.0 и 3.0. Таким образом, при комбинированном способе пластики, в отличие от операции по способу Лихтенштейна, семенной канатик контактирует с синтетическим имплантатом только на расстоянии, равном его толщине, что влияло на результаты отдалённого послеоперационного периода. Этапы операции у пациентки с неосложнённой левосторонней паховой грыжей представлены на рисунке 4.
г д
Рисунок 4. Пациентка К., 1983 года рождения. Диагноз: левосторонняя прямая паховая грыжа. Этапы операции: а – вид передней стенки пахового канала (1) и грыжевого мешка (2), выступающего из наружного отверстия пахового канала; б – вскрыта передняя стенка пахового канала, вид круглой связки матки (2) и грыжевого мешка (1) прямой паховой грыжи; в – вид сетчатого имплантата (1) с установкой в окне Кукса круглой связки матки (2); г – вид ушитой передней стенки пахового канала (1) и круглой связки матки (2), расположенной в подкожной клетчатке, окно Кукса (3); д – завершенный вид операции
Figure 4. Patient K., born in 1983. Diagnosis: left-sided direct inguinal hernia. Stages of the operation: a – view of the anterior wall of the inguinal canal (1) and the hernial sac (2) protruding from the external opening of the inguinal canal; б – the anterior wall of the inguinal canal is opened, view of the round ligament of the uterus (2) and the hernial sac (1) of a direct inguinal hernia; в – view of the mesh implant (1) with the installation of the round ligament of the uterus (2) in the Cooks window; г – view of the sutured anterior wall of the inguinal canal (1) and the round ligament of the uterus (2) located in the subcutaneous tissue, Cooks window (3); д – completed view of the operation
В послеоперационном периоде проводили наблюдение за заживлением раны клинически, по характеру отделяемого по установленному дренажу и при проведении УЗИ. Такой контроль подтвердил необходимость установки дренажа в ране у пациентов с паховой грыжей. Даже при самом тщательном гемостазе в конце операции через 1 сутки в контейнере вакуумного аспиратора накапливалась кровь от 5 до 20 мл и более, которая у пациентов без дренирования раны превращалась в гематому и являлась источником инфицирования раны. Послеоперационные осложнения выявляли и подтверждали при УЗИ.
Частота ранних послеоперационных осложнений у пациентов в группах представлена в таблице 5, из которой следует, что у пациентов в группе 1, у которых проводили дренирование раны по завершению операции, количество сером, гематом и нагноений в послеоперационной ране статистически было меньше, чем в группе 2, у которых по окончании основного этапа операции раны не дренировали.
Рисунок 5. Пациентка Н., 54 года. Диагноз: правосторонняя паховая грыжа. УЗИ паховой области после грыжесечения по способу Лихтенштейна, осложнённого инфильтратом послеоперационной раны: 1 – апоневроз передней стенки пахового канала; 2 – серома; 3 – вид деформированного сетчатого имплантата Figure 5. Patient H., 54 years old. Diagnosis: right-sided inguinal hernia. Ultrasound of the inguinal region after herniotomy using the Lichtenstein method, complicated by postoperative wound infiltrate: 1 – aponeurosis of the anterior wall of the inguinal canal; 2 – seroma; 3 – view of the deformed mesh implant
Рисунок 6. Пациент А., 65 лет. Диагноз: левосторонняя косая паховая грыжа. УЗИ паховой области после грыжесечения по способу Лихтенштейна, осложнённого послеоперационной гематомой: 1 – гематома; 2 – сетчатый имплантат
Figure 6. Patient A., 65 years old. Diagnosis: left-sided oblique inguinal hernia. Ultrasound of the inguinal region after herniotomy using the Lichtenstein method, complicated by postoperative hematoma: 1 – hematoma; 2 – mesh implant
Рисунок 7. Пациентка Н, 44 года. Диагноз: правосторонняя паховая грыжа. УЗИ паховой области после грыжесечения по способу Лихтенштейна, осложнённого послеоперационным инфильтратом: 1 – сетчатый имплантат; 2 – серома с признаками инфицирования; 3, 4 – увеличенные лимфатические узлы; 5 – инфильтрат под апоневрозом; 6 – свищевой ход
Figure 7. Patient H., 44 years old. Diagnosis: right-sided inguinal hernia. Ultrasound of the inguinal region after herniotomy using the Lichtenstein technique, complicated by postoperative infiltrate: 1 – mesh implant; 2 – seroma with signs of infection; 3, 4 – enlarged lymph nodes; 5 – infiltrate under the aponeurosis; 6 – fistula tract
Таблица 5. Частота послеоперационных осложнений в группах исследования
Table 5. Frequency of postoperative complications in the study groups
|
Осложнение |
Группа 1 (N,%) |
Группа 2 (N,%) |
P-значение |
|
Серома |
9% |
35% |
<0,001 |
|
Гематома |
6% |
26% |
0,001 |
|
Нагноение |
3% |
13% |
0,005 |
Примечание: статистическая значимость оценивалась с использованием χ²-теста/критерия Фишера.
Дополнительно было проанализировано влияние анатомических параметров на риск развития осложнений у пациентов в зависимости от стороны локализации паховой грыжи, телосложения и возраста. Логистическая регрессия предикторов осложнений представлена в таблице 6, на основании которой частота осложнений статистически значимо была выше у пациентов с односторонними правосторонними грыжами (ОШ=3,63 [95% ДИ: 1,6-8,25], p=0,002) по сравнению с левосторонними паховыми грыжами (ОШ=3,54 [95% ДИ: 1,38-9,07], p=0,007).
Таблица 6. Логистическая регрессия предикторов осложнений
Table 6. Logistic regression of predictors of complications
|
Переменная |
OR (95% ДИ) |
P-значение |
|
ПК>40 мм |
2,5 (1,6-3,8) |
<0,001 |
|
СМ<4,2 мм |
3,1 (1,9-5,0) |
<0,001 |
|
АП<1,1 мм |
2,2 (1,4-3,5) |
0,002 |
|
Гиперстеническое телосложение |
3,15 (1,8-4,5) |
0,008 |
|
Возраст>65 лет |
1,8 (1,1-2,8) |
0,01 |
Обсуждение
Выбор техники выполнения операции у пациентов с паховыми грыжами открытым или лапароскопическим способами продолжает обсуждаться и в России, и за рубежом. На XYIII Конгрессе Европейской ассоциации эндоскопических хирургов (Швейцария, 2010 г.) было показано, что 82% хирургов придерживаются индивидуального подхода при выборе способа операции при паховой грыже. Причём даже явные сторонники лапароскопических способов операций указали, что их нельзя применять у молодых и пожилых пациентов, после лапаротомии в анамнезе, при множестве сопутствующих заболеваний, при нарушениях гемостаза, при ущемлённых и больших пахово-мошоночных грыжах [11]. В издании «Абдоминальная хирургия. Национальное руководство: краткое издание / под ред. И.И. Затевахина, А.И. Кириенко, В.А. Кубышки-на» (2016) [12] указано, что у пациентов с паховыми и бедренными грыжами операцией выбора является TAPP. На пленуме Всероссийской общественной организации «Общество герниологов», Москва 20 ноября 2020 г. «Пути повышения качества гер-ниологической помощи в современных условиях» L.N. Jorgensen были представлены результаты анализа лечения паховых грыж на основе Датской базы данных за период с 1998 по 2005 г. Было показано снижение частоты повторных операций >50%, более частое использование операции по Лихтенштейну и почти полное исключение регионарной анестезии. На основании национального регистра Германии R. Bittner показано, что паховые грыжи являются независимыми факторами риска развития хронической послеоперационной боли. В ин- формационно-аналитическом сборнике «Хирургическая помощь в Российской Федерации» А.Ш. Ре-вишвили с соавт. (2022) [4] привели данные, что в 2021 году количество операций по поводу паховой грыжи увеличилось на 17,1%. Число открытых операций с использованием сетчатых имплантатов составило 65,67%, из них доля эндоскопических вмешательств равна 17,19%, а летальность – 0,02%. Эти данные указывают на то, что вопрос о выборе способа герниопластики при паховых грыжах окончательно не решён, а поэтому дальнейший поиск методов, направленных на улучшение качества лечения больных, является актуальным.
Результаты лечения пациентов с паховой грыжей зависят от строго соблюдения техники выполнения операции [13]. Этому способствуют УЗИ паховых областей, которые позволяют оценить состояние тканей, определить содержимое в грыжевом мешке и, таким образом, предвидеть условия, в которых будет выполняться операция.
Установлено, что у пациентов без грыж по сравнению с пациентами с грыжами в одинаковых возрастных группах в паховых областях толщина подкожной клетчатки, совокупная толщины мышц и апоневроза различий не имели. У пациентов с грыжами результаты пластики задней стенки пахового канала комбинированным способом и по способу Лихтенштейна зависели от дренирования раны на завершающем этапе их выполнения. УЗИ после операции позволяло обнаружить развивающиеся в ране осложнения (инфильтрат, серому, гематому и нагноение). Полученные данные стали основанием для пересмотра техника выполнения операций у пациентов с паховой грыжей и обоснования обязательного дренирования раны на завершающем этапе их выполнения. Необходимость в дренировании ран обусловлена ещё и тем, что подавляющее большинство пациентов в старшей возрастной группе применяют с профилактической целью дезагреганты и антикоагулянты непрямого действия. Несмотря на их отмену перед операцией, они оказывают влияние на местный гемостаз и способствуют кровоточивости тканей в послеоперационном периоде. В результате изменённого подхода количество сером в ране было снижено в 3,9 раза, гематом – в 4,3 раза, нагноений – в 4,3 раза (р<0,001). Полученные результаты согласуются с рекомендациями Hernia Study Group (2021), которые показали, что чрезмерная толщина подкожной клетчатки (>40 мм) увеличивает вероятность формирования серомы в 2,7 раза. М. Bayrak и соавт. (2021) (16) показали, что через дренаж в течение 48 часов после операции выводится до 74% всего объёма сером, а поэтому при отсутствии дренажа примерно две трети жидкости остаются в ране [14].
Поэтому дренирование раны способствует лучшему оттоку жидкости и снижает риски скопления серозного экссудата с развитием вторичного воспаления, что и способствует лучшему заживлению раны [15, 16, 17].
Выводы
У пациентов с паховой грыжей УЗИ позволяет подтвердить диагноз, оценить состояние тканей в паховых областях, выявить раневые осложнения и устранить их в ранние сроки.
У пациентов с паховой грыжей при выполнении передних протезирующих способов пластики операцию необходимо завершать дренированием раны, что позволяет улучшить непосредственные и отдалённые результаты лечения.
Логистическая регрессия предикторов осложнений показала, что частота осложнений статистически значимо была выше у пациентов с односторонними правосторонними грыжами по сравнению с левосторонними паховыми грыжами.