Гигантская миксоидная липосаркома забрюшинного пространства

Автор: Медведев В.Л., Стреляев А.И., Ярошкевич А.А., Газимиев Э.С.-Х.

Журнал: Экспериментальная и клиническая урология @ecuro

Рубрика: Онкоурология

Статья в выпуске: 4 т.18, 2025 года.

Бесплатный доступ

Введение. Липосаркома является наиболее распространенной опухолью забрюшинного пространства. Особенностью липосаркомы является ее глубокая локализация, медленный экспансивный рост и большие размеры, что затрудняет раннюю диагностику и радикальное хирургическое лечение. Клинический случай. Больному 62 лет, выполнена срединная лапаротомия с удалением миксоидной липосаркомы забрюшинной клетчатки с инвазией в капсулу, ткань и парапельвикальную жировую клетчатку левой почки размером 76×45×38 см и весом – 20,2 кг, а также нефрадреналэктомия слева, забрюшинная лимфаденэктомия. Заключение. Миксоидная липосаркома забрюшинного пространства является редкой опухолью. Ведущим методом лечения остается радикальное хирургическое удаление опухоли, что позволяет достичь благоприятных непосредственных результатов, а также снижает риски рецидива, улучшает продолжительность и качество жизни больного. Представленный клинический случай демонстрирует возможность радикального удаления опухоли гигантских размеров.

Еще

Миксоидная липосаркома; гигантская липосаркома; забрюшинное новообразование; хирургическое удаление опухоли

Короткий адрес: https://sciup.org/142246974

IDR: 142246974   |   DOI: 10.29188/2222-8543-2025-18-4-37-41

Giant myxoid liposarcoma of the retroperitoneum

Introduction. Liposarcoma is the most common tumor of the retroperitoneal space. A characteristic feature of liposarcoma is its deep localization, slow expansile growth, and large size, which complicate early diagnosis and radical surgical treatment. Clinical сase. Рatient 62 year old, underwent a midline laparotomy with resection of a myxoid liposarcoma of the retroperitoneal fat tissue, with invasion into the capsule, adjacent tissues, and peripelvic fat of the left kidney, measuring 76×45×38 cm and weighing 20.2 kg, as well as left nephro-adrenalectomy, and lymphadenectomy. No metastases were detected in the regional lymph nodes. Conclusions. Myxoid liposarcoma of the retroperitoneum is a rare tumor. The leading treatment method remains radical surgical removal of the tumor, which allows for favorable immediate results, reduces the risk of recurrence, and improves the patient's life expectancy and quality of life. The presented clinical case demonstrates the possibility of radical removal of a giant tumor.

Еще

Текст научной статьи Гигантская миксоидная липосаркома забрюшинного пространства

онкоурология экспериментальная и клиническая урология № 4 2025

Липосаркомы являются наиболее распространенной гистопатологической разновидностью опухолей забрюшинного пространства. Эти новообразования мезодермального происхождения развиваются из жировой ткани и составляют 10–14% всех сарком мягких тканей. Несмотря на относительную редкость (0,07– 0,2% среди всех новообразований), забрюшинные ли-посаркомы представляют значительную клиническую проблему, так как около 8 5% из них имеют злокачественный характер [1].

Особенностью липосаркомы является ее глубокая локализация, медленный экспансивный рост и крупные размеры: средний диаметр опухоли составляет 20– 25 см, а масса достигает 15–20 кг. Такие характеристики затрудняют раннюю диагностику и радикальное хирургическое удаление, что обусловливает высокие показатели рецидивирования и необходимость комплексного подхода к лечению [2].

КЛИНИЧЕСКОЕ НАБЛЮДЕНИЕ

Пациент Х., мужчина, 62 лет, 24.08.2020 г., госпитализирован в ГБУЗ «НИИ – ККБ № 1 имени профессора С.В. Очаповского» Минздрава Краснодарского края с жалобами на чувство тяжести в поясничной области слева, боль в области левой половины мошонки, а также на быстрое увеличение массы тела (более 20 кг за последние 4 месяца). Индекс массы тела соответствовал ожирению III степени (рис. 1).

Рис. 1. Увеличение объема живота у пациента с забрюшинной липосаркомой

Fig. 1. Increased abdominal volume in a patient with retroperitoneal liposarcoma

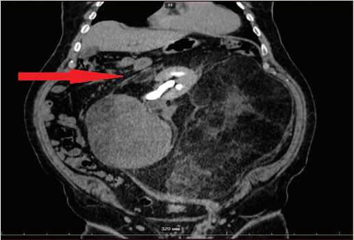
При мультиспиральной компьютерной томографии органов брюшной полости и малого таза с внутривенным контрастированием выявлено объемное новообразование неправильной формы жировой плотности с участками кальцинатов и тканевыми конгломератами, размерами 549×480×339 мм, с плотность в нативной фазе от –102 до +6 ед. HU, которое неравномерно накапливает контрастный препарат: в артериальную фазу – 16 ед. HU, в венозную – 21 ед. HU.

Опухоль компремировала, охватывала и смещала вправо левую почку и левый надпочечник, петли кишечника и поджелудочную железу (рис. 2, 3). В левой половине мошонки определялись множественные варикозно-расширенные вены.

Рис. 2. КТ забрюшинного пространства (ретроперитонеальная опухоль) – коронарная проекция

Fig. 2. CT scan of the retroperitoneal space (retroperitoneal tumor) – coronal projection

Рис. 3. КТ забрюшинного пространства (ретроперитонеальная опухоль) – аксиальная проекция

Fig. 3. CT scan of the retroperitoneal space (retroperitoneal tumor) – axial projection

После проведения дополнительного обследования и консультаций на консилиуме было принято решение о необходимости хирургического вмешательства.

Пациенту 27.08.2020 г. в плановом порядке выполнена тотальная срединная лапаротомия, удаление опухолевого образования из забрюшинного пространства, нефраредэктомия слева и лимфаденэктомия забрюшинных лимфатических узлов.

При ревизии брюшной полости выявлено тугоэластичное объемное образование желтого цвета, занимающее практически всю брюшную полость от диафрагмы до мочевого пузыря,размером примерно 50×40 см (рис. 4).

Нисходящая ободочная кишка, ее брыжейка распластаны на данном образовании. Брюшина была вскрыта по предполагаемой линии Тольди, тупым и острым путем отделена нисходящая ободочная кишка от опухоли. Брыжейка нисходящей ободочной кишки

Рис. 4. Осуществлен доступ в брюшную полость. Нисходящая ободочная кишка и ее брыжейка распластаны на данном новообразовании

Fig. 4. Access to the abdominal cavity has been achieved. The descending colon and its mesentery are flattened on this neoplasm местами плотно сращена с опухолью, при ее выделении удалось сохранить сосуды, питающие кишку (рис. 5).

Рис. 5. Поэтапное выделение опухоли из окружающих тканей

Fig. 5. Step-by-step isolation of the tumor from the surrounding tissues

Брыжейка кишки была частично резицирована, фрагменты ее остались на опухоли. Поэтапно тупым и острым путем опухоль отделена от окружающих тканей (рис. 6).

Рис. 6. Частичная резекция брыжейки кишки

Fig. 6. Partial resection of the mesentery of the intestine

Верхний край опухоли плотно прилежит к селезенке, без признаков прорастания в ее ножку. Задняя поверхность опухоли прилежит к поясничным мышцам, магистральным сосудам (аорте, нижней полой вене) без признаков прорастания. С большими техническими трудностями выполнено поэтапное отделение опухоли с попутным гемостазом.

Почка не визуализировалась и была полностью вовлечена в опухолевый процесс. С техническими сложностями выполнена мобилизация поченой артерии, вены, артерия и вена перевязаны, пересечены. Опухоль удалена единым блоком с вовлеченной в процесс почкой и надпочечником и частью брыжейки толстой кишки.

Выполнена парааортальная, паракавальная лим-фодиссекции с окружающей жировой клетчаткой (рис. 7). Удалены лимфоузлы из облаcти бифуркации аорты, подвздошных сосудов слева. Удаленные лимфатические узлы увеличены в размерах до 1,5 см, часть из них уплотнены при пальпации.

Рис. 7. Область бифуркации аорты, подвздошные сосуды (после удаления лимфоузлов)

Fig. 7. Aortic bifurcation area, iliac vessels (after removal of lymph nodes)

Макропрепараты (опухоль забрюшинного пространства с левой почкой, надпочечником, забрюшинной жировой клетчаткой и частью брыжейки толстой кишки) были отправлены на морфологическое исследование (рис. 8).

Описание макропрепарата: Опухолевая ткань размером 76×45×38 см, вес – 20,2 кг, желтого цвета с очагами размягчения. Среди опухолевой ткани почка размером – 14×4,5×2 см, капсула легко снимается, опухоль в почку не врастает, сосуды, мочеточник свободен, проходим. Чашечно-лоханочная система (ЧЛС) не расширена. Надпочечник не изменен.

По результатам морфологического исследования верифицирована миксоидная липосаркома забрюшинной клетчатки с инвазией в капсулу, паренхиму и пара-пельвикальную жировую клетчатку левой почки. В части исследованных срезов выявлены разрастания

Рис. 8. Опухоль забрюшинного пространства

Fig. 8. Tumor of the retroperitoneal space богатой сосудами опухолевой ткани, состоящей из миксоидной стромы и немногочисленных веретенообразных и звездчатых опухолевых клеток с умеренно полиморфными ядрами, небольшим числом митозов. Местами определялись крупные мультилокулярные клетки, расположенные среди гиалинизированной фиброзной ткани. В двух срезах отмечена инвазия опухоли в собственную капсулу почки, почечную ткань и врастание в клетчатку почечного синуса (рис. 9, 10).

Рис. 10. Почка, выделенная из опухолевых масс (макропрепарат на разрезе) Fig. 10. Kidney isolated from tumor masses (macroscopic sectional view)

Длительность операции составила 3 часа 50 минут. Кровопотеря – 500 мл. Гемотрансфузия во время вмешательства не проводилась. Продолжительность госпитализации составила 9 койко-дней. Интраоперационных и послеоперационных осложнений не зафиксировано.

ОБСУЖДЕНИЕ

Рис. 9. Почка в опухолевом конгломмерате.

Fig. 9. Kidney in a tumor conglomerate

В препаратах жировой клетчатки и 47 лимфатических узлах опухолевого роста не обнаружено.

Таким образом, у больного выявлена опухоль pT4 N0 – первичная опухоль (pT4) очень большая, проростающая в соседние органы, ткани и крупные сосуды, а регионарные лимфатические узлы (N0) не поражены метастазами (0/47).

Миксоидная липосаркома забрюшинного пространства встречается относительно редко, причем ранняя диагностика опухоли затруднена из-за отсутствия клинических проявлений. Бессимптомное течение подчеркивает необходимость внимательного обследования при подозрениях и при риске развития такого рода новообразований [3, 4]. Основным методом лечения является хирургическое удаление опухоли вместе с широкой резекцией окружающих тканей,при которой удаляют все макроскопические следы опухоли, так как радикальность резекции имеет решающее значение для прогноза [5, 6].

Миксоидная липосаркома забрюшинного пространства характеризуется высокой степенью локального рецидивирования и обладает особенностями метастазирования. Эти особенности требуют тщательного наблюдения и выбора оптимальной тактики лечения для минимизации риска рецидива заболевания. [7].

Представленный случай иллюстрирует возможность успешного удаления гигантской опухоли. Особое значение при лечении имеет радикальное хирургическое удаление с широкими краями резекциями, что позволяет достичь благоприятных непосредственных результатов, а также снижает риски рецидивов, улучшает продолжительность и качество жизни больных [8, 9].

При контрольном обследовании 25 августа 2025 года, по данным ультразвукового исследования и компьютерной томографии признаков прогрессирования заболевания у пациента не выявлено.

ЗАКЛЮЧЕНИЕ

Миксоидная липосаркома забрюшинного пространства является редкой опухолью с высокой склонностью к местным рецидивам и особенностями метастазирования. Ведущим методом лечения остается радикальное хирургическое удаление опухоли, что позволяет достичь благоприятных непосредственных результатов, а также снижает риски рецидива, улучшает продолжительность и качество жизни больного.

ИШАТШШРЕ1Ш(Ш

Одобрено Научно-практическим Советом Минздрава России. Год утверждения – 2024. 74 с. [Stilidi I.S., Nered S.N., Nikulin M.P., MD, Abgaryan M.G., Arkhiri P.P., KalininA.E. et al. Clinical guidelines. Retroperitoneal non-organ sarcomas. Developer of the clinical guideline: Association of Oncologists of Russia, All-Russian Public Organization «Russian Society of Clinical Oncology». Approved by the Scientific and Practical Council of the Ministry of Health of the Russian Federation. Year of approval – 2024. 74 p. (In Russian)]. Available at: (In Russian)].

Сведения об авторах:

Медведев В.Л. – д.м.н., профессор, заведующий кафедрой урологии Кубанского государственного медицинского университета; заместитель главного врача по урологии, руководитель Краевого уронефрологического центра, НИИ – ККБ № 1 им. профессора С.В. Очаповского, Краснодар, Россия; РИНЦ Author ID 687275;

Стреляев А.И. – заведующий онкоурологическим отделением, НИИ – ККБ № 1 им. профессора С.В. Очаповского; Краснодар, Россия;

Ярошкевич А.А. – врач-онколог онкоурологического отделения, НИИ – ККБ № 1 им. профессора С.В. Очаповского; Краснодар, Россия;

Газимиев Э.С.-Х. – аспирант кафедры урологии, Кубанский государственный медицин-ский университет; врач-уролог урологического отделения № 1,

НИИ – ККБ № 1 им. профессора С.В. Очаповского; Краснодар, Россия;

Вклад авторов:

Медведев В.Л. – выполнение практической части, утверждение окончательного варианта статьи, принятие ответственности за все аспекты работы, 30%

Стреляев А.И. – выполнение практической части, разработка концепции, формирование идеи, 30%

Ярошевич А.А. – выполнение практической части, ведение пациента, подготовка и редактирование текста, 20%

Газимиев Э.С.-Х. – подготовка и редактирование текста; участие в научном дизайне, 20%

Конфликт интересов. Авторы заявляют об отсутствии конфликта интересов.

Соблюдение прав пациентов. Пациент подписал информированное согласие на публикацию.

Финансирование. Статья подготовлена без финансовой поддержки.

Статья поступила: 02.10.25

Результаты рецензирования: 17.11.25

Исправления получены: 22.11.25