Гистоморфометрическая оценка синовиальной оболочки при остеосинтезе внутрисуставного метаэпифизарного перелома титановыми винтами у ягнят (экспериментально-морфологическое исследование)

Автор: Ступина Т.А., Дюрягина О.В., Коробейников А.А., Степанов М.A., Антонов Н.И.

Журнал: Гений ортопедии @geniy-ortopedii

Рубрика: Теоретические и экспериментальные исследования

Статья в выпуске: 1 т.32, 2026 года.

Бесплатный доступ

Введение. Сложность лечения внутрисуставных переломов у детей обусловлена анатомическими особенностями сустава, его биомеханикой, склонностью к развитию посттравматического артрита, что обусловливает важность детального изучения структурной организации всех элементов синовиальной среды сустава. Цель работы — на экспериментальной модели оценить выраженность структурных изменений синовиальной оболочки лучезапястного сустава при остеосинтезе внутрисуставного метаэпифизарного перелома титановыми винтами. Материалы и методы. Исследование выполнено на шести беспородных ягнятах — самцах (возраст — (46,1 ± 3,0) сут, масса — (15,7 ± 2,0) кг), которым на правой конечности моделировали косой внутрисуставной метаэпифизарный перелом лучевой кости. Фиксацию перелома осуществляли двумя костными спонгиозными канюлированными винтами из титана Ti6AL4V. Срок эксперимента — 120 (n = 3) и 365 (n = 3) суток после операции. Гистоморфометрическое исследование синовиальной оболочки выполнено с помощью микроскопа AxioScope.A1 и ПО Zenblue (CarlZeissMicroImagingGmbH, Германия). В качестве контроля морфометрировали синовиальную оболочку контралатерального сустава. Результаты. В контроле в покровном слое синовиальной оболочки преобладали фибробластоподобные синовиоциты, признаки синовита не выявлены. К 13,5 месяцам отмечено снижение значений толщины покровного слоя (р = 0,0326) и численной плотности синовиоцитов (р = 0,0009). В опыте через 120 суток выявлен слабо выраженный синовит, гиперплазия покровного слоя, увеличение численной плотности синовиоцитов и представительства макрофагоподобных синовиоцитов (более 50 % в поле зрения), формирование синовиальных ворсин, наличие лимфо-гистиоцитарного инфильтрата очагового и диффузного типа. Через 365 суток признаки синовита отсутствовали, в покровном слое преобладали фибробластоподобные синовиоциты, сохранялись повышенные значения численной плотности синовиоцитов (р = 0,0141), значения толщины покровного слоя сопоставимы с контролем (р = 0,1301). Обсуждение. Небиорезорбируемые фиксаторы, используемые при остеосинтезе внутрисуставных переломов, могут вызывать ряд осложнений, — инфекция, боль, артрит. Установлено, что макрофагальные и фибробластические синовиоциты выполняют различные про- и противовоспалительные функции и могут как предотвращать воспаление, формируя противовоспалительный барьер, так и способствовать возникновению синовита. Заключение. При остеосинтезе титановыми винтами внутрисуставного метаэпифизарного перелома дистального суставного конца лучевой кости у ягнят через 120 суток эксперимента выявлен слабо выраженный синовит, который выражался утолщением покровного слоя, увеличением численной плотности синовиоцитов и представительства макрофагальных синовиоцитов, наличием лимфо-гистиоцитарного инфильтрата. К концу эксперимента процесс воспаления синовиальной оболочки имел обратимый характер, гистологические признаки синовита отсутствовали.

Еще

Внутрисуставной перелом, титановые винты, ягнята, синовиальная оболочка, гистоморфометрия

Короткий адрес: https://sciup.org/142247054

IDR: 142247054   |   УДК: 616.717.56-001.513-089.227.84-092.9:616.72-018.36:612.086   |   DOI: 10.18019/1028-4427-2026-32-1-97-106

Histomorphometric evaluation of the synovial membrane during osteosynthesis of intra-articular metaepiphyseal fractures with titanium screws in lambs (an experimental morphological study)

Introduction The complexity of treating intra-articular fractures in children is due to the anatomical features of the joint, its biomechanics, and the tendency to develop post-traumatic arthritis. This necessitates a detailed study of the structural organization of all elements of the joint synovial environment. The aim of this study was to evaluate, using an experimental model, the severity of structural changes in the synovial membrane of the carpal joint during osteosynthesis of intra-articular metaphyseal fractures with titanium screws. Materials and Methods The study was performed on six outbred male lambs (46.1 ± 3.0 days old, weighing 15.7 ± 2.0 kg). An oblique intra-articular metaphyseal fracture of the radius on the right limb was modeled. Fracture fixation was performed with two cannulated cancellous bone screws made of Ti6AL4V titanium. The experimental periods were 120 (n = 3) and 365 (n = 3) days after surgery. Histomorphometric analysis of the synovial membrane was performed using an AxioScope.A1 microscope and Zenblue software (CarlZeissMicroImagingGmbH, Germany). The synovium of the contralateral joint served as a control. Results In the control joint, fibroblast-like synoviocytes predominated in the synovial membrane lining layer; no signs of synovitis were detected. After 13.5 months, a decrease in lining layer thickness (p = 0.0326) and synoviocyte density (p = 0.0009) was noted. In the experimental joint, mild synovitis, hyperplasia of the lining layer, increased synoviocyte density and macrophage-like synoviocyte representation (more than 50 % per field of view), formation of synovial villi, and the presence of focal and diffuse lymphohistiocytic infiltrates were detected after 120 days. After 365 days, signs of synovitis were absent, fibroblast-like synoviocytes predominated in the lining layer; elevated synoviocyte density values persisted (p = 0.0141), and lining layer thickness values were comparable to the control (p = 0.1301). Discussion Non-bioresorbable fixators used for osteosynthesis of intra-articular fractures can cause a number of complications, including infection, pain, and arthritis. It was established that macrophage and fibroblastic synoviocytes perform various pro- and anti-inflammatory functions and can both prevent inflammation by forming an anti-inflammatory barrier and contribute to the development of synovitis. Conclusion Osteosynthesis of intra-articular metaepiphyseal fractures of the distal articular end of the radius in lambs using titanium screws provoke mild synovitis after 120 days of the experiment. This synovitis was characterized by thickening of the lining layer, an increase in the numerical density of synoviocytes and in macrophage synoviocytes, and the presence of a lymphohistiocytic infiltrate. By the end of the experiment, the synovial membrane inflammation revered, and histological signs of synovitis were absent.

Еще

Текст научной статьи Гистоморфометрическая оценка синовиальной оболочки при остеосинтезе внутрисуставного метаэпифизарного перелома титановыми винтами у ягнят (экспериментально-морфологическое исследование)

Переломы верхних конечностей составляют значительную долю от всех травм у детей, по данным разных источников, на них приходится до 84 % от всех переломов костей конечностей. Самыми распространенными переломами костей верхней конечности являются переломы дистального отдела лучевой кости, которые составляют от 10 до 35 % от всех повреждений костной системы [1, 2, 3, 4].

Основные принципы хирургического лечения внутрисуставных переломов у детей включают: точное восстановление нормальной анатомии сустава и сопоставление костных отломков [2, 5]; обеспечение стабильной фиксации перелома с помощью ортопедических конструкций (аппараты внешней фиксации, штифты, винты, пластины, спицы, биорезорбируемые фиксаторы) [6, 7, 8, 9]; использование минимально инвазивных техник для уменьшения повреждения мягких тканей, сосудов и зон роста, для полного восстановления функции сустава и минимизации осложнений [10].

Выбор тактики лечения внутрисуставных метаэпифизарных переломов костей предплечья у детей не теряет своей актуальности и остается до конца нерешенной проблемой современной травматологии и ортопедии [3, 11].

На сегодняшний день нет единого мнения в вопросе выбора метода хирургического лечения переломов дистального отдела лучевой кости у детей, результаты лечения по представленным в литературе методикам противоречивы, отмечена высокая доля развития осложнений и неудовлетворительных результатов лечения, среди которых наиболее часто встречаются неправильное или медленное сращение перелома, посттравматический артрит, отставание конечности в росте, инфекции, повреждения сосудов и нервов, формирование ложных суставов, атрофия мышц [12, 13, 14, 15].

Сложность лечения детей с такими переломами связана с анатомическими особенностями сустава, его биомеханикой, склонностью к разрастанию костной ткани вокруг сустава (параартикулярная ос-сификация) и развитию контрактур [2], что обусловливает важность детального изучения структурной организации всех элементов синовиальной среды сустава.

Большое значение для успешного сращения внутрисуставного перелома, поддержания здоровой среды сустава и предотвращения осложнений имеет состояние синовиальной оболочки. Установлено, что при внутрисуставных переломах происходит повышение концентрации провоспалительных цитокинов и деградирующих ферментов, продуцируемых синовиальными клетками [16]. Несмотря на растущее понимание роли синовиальной оболочки в патологии суставов, количественные данные о структуре этой ткани остаются неполными.

На основе клинических исследований невозможно получить информацию о структурной реорганизации синовиальной оболочки на этапах остеосинтеза, необходимы экспериментальные исследования на животных.

Цель работы — на экспериментальной модели оценить выраженность структурных изменений синовиальной оболочки лучезапястного сустава при остеосинтезе внутрисуставного метаэпифизарного перелома титановыми винтами.

МАТЕРИАЛЫ И МЕТОДЫ

Дизайн исследования

Исследование проведено на шести беспородных ягнятах-самцах в возрасте (46,1 ± 3,0) дня, массой тела (15,7 ± 2,0) кг. Сроки наблюдения составили 120 и 365 суток (по три животных на срок).

Критерии включения : клинически здоровые ягнята в период активного роста, не имеющие заболеваний опорно-двигательной системы.

Критерии невключения : болезни опорно-двигательной системы (рахит, деформации конечностей).

Всем опытным животным моделировали полный косой внутрисуставной метаэпифизарный перелом дистального конца лучевой кости, соответствующий 4 типу по классификации Salter – Harris [17]. Линия остеотомии располагалась на передней поверхности лучевой кости и проходила через метафиз, пластинку роста и эпифиз к центру суставной поверхности кости. Во всех случаях выполняли рассечение капсулы лучезапястного сустава до обнажения суставной поверхности лучевой кости. Остеотомию выполняли осцилляторной пилой. Признаком получения внутрисуставного перелома считали появление полной нестабильности свободного отломка.

Фиксацию перелома осуществляли двумя костными спонгиозными канюлированными винтами из титана Ti6AL4V с частичной резьбой d = 3,5 мм (Регистрационное удостоверение № ФСР 2012/14220 от 08.04.2021 г.). Первоначально выполняли репозицию костного отломка и его временную фиксацию двумя спицами для остеосинтеза d = 1,0 мм. Проведение винтов осуществляли вне пластинки роста лучевой кости. Сначала в точке введения проводили направляющую спицу в медиально-латеральном направлении. Далее по спице канюлированным сверлом d = 2,5 мм выполняли рассверливание канала для винта. Затем сверло удаляли и по спице вводили канюлированный винт. Винт затягивали до достижения полной стабильности костного отломка. В первую очередь выполняли остеосинтез на уровне метафиза, затем на уровне эпифиза лучевой кости. Фиксацию отломков на уровне эпифиза лучевой кости проводили аналогичным способом. После остеосинтеза перелома временные спицы удаляли. Операционную рану послойно ушивали узловыми швами Викрилом 3/0.

Оперативные вмешательства осуществляли под общим наркозом. Для премедикации использовали растворы димедрола 1 % (0,02 мг/кг), атропина сульфата 0,1 % (0,02 мг/кг) и рометара 2 % (0,1 мг/кг), для наркоза — эмульсию пропофола 1 % в дозе 4 мг/кг/мин.

Для предотвращения смещения отломка в послеоперационном периоде конечность временно иммобилизовали лонгетой из термопластика в положении сгибания 25–30º в лучезапястном суставе. Иммобилизацию прекращали на 10–14 сутки. Также для профилактики развития воспалительных процессов животным назначали обезболивающие (в/м кетопрофен 50 мг, 0,5 мл) и антимикробные средства (в/м цефтриаксон 1,0, 7–10 мг/кг). Обработку операционной раны проводили раствором перекиси водорода 3 % и фурациллина 1:5000. Швы снимали на 10–14 день. Костные винты не извлекали в течение всего периода наблюдения.

Объект исследования — синовиальная оболочка лучезапястного сустава.

Прижизненные наблюдения . В послеоперационном периоде оценивали общее состояние животных, интенсивность и характер двигательной активности, при локальном осмотре — течение заживления операционной раны, наличие гематом, отеков, возникновение деформации сегмента, амплитуду движения конечности в лучезапястном суставе.

Рентгенологическое исследование . Рентгенографию выполняли в прямой и боковой проекциях на плоскопанельном детекторе для ветеринарии CANON CXDI-401C COMPACT (Canon Inc. Medical Equipment Group, Япония); рентгеновская трубка TOSHIBA Rotanode Model E7239, N 10G749 (Япония). Сила тока составляла 2,5–3,2 mA, напряжение — 43–44 kV, фокусное расстояние — 90 см, выдержка выставлялась автоматически.

Этические принципы . Исследование проведено согласно принципам Европейской конвенции ETS № 123 о защите позвоночных животных, используемых для экспериментов или в иных научных целях (с приложением от 15.06.2006, Страсбург) и правилам надлежащей лабораторной практики (ГОСТ 33044-2014, ГОСТ 33215-2014, Гост 34088-2017, ПС СанПиН 3.3686-21). Протокол локального этического комитета — от 29.11.2024 № 1(76).

Эвтаназия . Вывод животных из эксперимента выполняли после премедикации раствором димедрола 1 % (0,02 мг/кг) и рометара 2 % (0,1 мг/кг) с последующим введением летальной дозы барбитуратов.

Гистоморфометрическое исследование

С помощью скальпеля вычленяли синовиальную оболочку лучезапястного сустава и помещали в фиксатор (10 % нейтральный формалин), дальнейшие этапы стандартной гистологической проводки осуществляли в аппарате для вакуумной проводки тканей HISTOSAFETM INFILTRATM (ООО «ЭргоПродакшн», Россия).

На микротоме НМ 450 Thermo Scientific (США) с парафиновых блоков изготавливали срезы (3–5 мкм), которые затем окрашивали гематоксилином и эозином либо трёхцветным методом Массона.

Для получения цифровых изображений микропрепаратов использовали микроскоп AxioScope.A1 в комплекте с камерой AxioCam ICc 5. С помощью программного обеспечения Zenblue (CarlZeissMicroImagingGmbH, Германия) определяли параметры: толщина покровного слоя (мкм), численная плотность синовиоцитов на 1 мм длины покровного слоя. Измерения и подсчет проводили в среднем в 10 полях зрения при увеличении 1000× от каждого животного.

Выраженность синовита оценивали по полуколичественной шкале V. Krenn et al. [18] (0–1 балл — нет синовита, 1 ≤ 4 балла — слабо выраженный синовит, 5–9 баллов — синовит высокой степени выраженности) в 10–15 полях зрения при увеличении 400× от каждого животного. В качестве условного контроля исследовали синовиальную оболочку лучезапястного сустава контралатеральной конечности.

Статистические методы. Обработка количественных данных проведена с помощью электронных таблиц Microsoft Exсel. Для оценки выборок на характер распределения применяли критерий Колмогорова. Мера центральной тенденции морфометрируемых параметров представлена в виде медианы и вартилей, минимальных и максимальных значений (Me (р25;р75) [min–max]). Для анализа различий сравниваемых групп применяли непараметрический критерий Манна – Уитни, значимыми считали различия при р < 0,05.

РЕЗУЛЬТАТЫ

Послеоперационный период протекал благоприятно. Заживление операционной раны происходило по первичному натяжению без септических осложнений. У всех ягнят в период фиксации лонге-той отмечали ограничение двигательной и опорной функции конечности с развитием контрактуры лучезапястного сустава. После прекращения иммобилизации функция конечности постепенно восстанавливались. На 14-ые сутки после операции угол сгибания в лучезапястном суставе, на момент снятия лангеты составлял 45–50º, к 30-ым суткам после операции — 170º, к 45-ым суткам наблюдений функция сгибания лучезапястного сустава восстанавливалась полностью (180º) и сохранялась таковой до конца исследования.

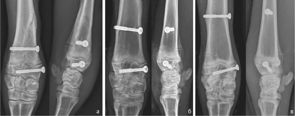
Рентгенологически признаки сращения перелома регистрировали к 30-ым суткам после операции. Отмечали участки полного восстановления корковой пластинки. Линия остеотомии эпифиза и суставной поверхности была заполнена новообразованной костной тканью. Линия суставной поверхности была анатомически правильная, участков наслоений и разрастаний не отмечали. Высота суставной щели — равномерная на всем протяжении. Пластинка роста непрерывна, в проекции линии остеотомии не имела участков оссификации (рис. 1, а). К 120-ым суткам линия остеотомии не визуализировалась. Суставная поверхность не имела патологических образований. Суставная щель хорошо просматривалась. Пластинка роста была открыта. Деформации суставной поверхности не отмечали (рис. 1, б). На завершающем этапе (365 суток после операции) на рентгенограммах регистрировали полную перестройку кости в зоне остеотомии. Суставные поверхности лучезапястного сустава имели анатомически правильные контуры. Патологических изменений костных структур не выявлено (рис. 1, в).

Рис. 1. Рентгенограммы ягненка в прямой и боковой проекции: а — на 30-ые сутки фиксации; б — на 120-ые сутки фиксации; в — на 365-ые сутки фиксации

Морфологическая характеристика синовиальной оболочки лучезапястного сустава контралатеральной конечности

Синовиальная оболочка лучезапястного сустава контралатеральной конечности имела обычное строение (рис. 2, а, б). В срок эксперимента 120 суток (возраст животного — 5,5 мес.) синовиальная оболочка имела преимущественно ровную поверхность, складки слабо выражены, синовиоциты покровного слоя располагались в два–три слоя (рис. 2, а). В срок 365 суток (возраст животного — 13,5 мес.) синовиальная оболочка на большем протяжении имела складчатую поверхность, синовиоциты располагались в один–два слоя (рис. 2, б). С увеличением возраста животного значения толщины покровного слоя и численной плотности синовиоцитов статистически значимо (р < 0,05) снижались (табл. 1), в покровном слое увеличивалась доля волокнистого компонента. Клетки покровного слоя полиморфны, большинство из них по своим морфологическим характеристикам относились к фибробластоподобным синовиоцитам, такие клетки имели уплощённую или полигональную форму (рис. 2, в). Плотность клеток в верхнем субсиновиальном слое в большей части наблюдений — нормальная, в ряде случаев характеризовалась как слегка повышенная, преобладали фибробласты и фиброциты (рис. 2, г). Глубокий субсиновиальный (коллагеново-эластический) слой более насыщен коллагеновыми волокнами с участками жировой ткани, с увеличением срока эксперимента увеличивалась доля волокнистого компонента и толщина пучков коллагеновых волокон. Воспалительный инфильтрат не выявлен.

Оценка по шкале V. Krenn et al. [18] свидетельствовала об отсутствии синовита (табл. 1).

Рис. 2. Синовиальная оболочка контралатерального лучезапястного сустава ягненка:

а — 120 сут. эксперимента (возраст животного — 5,5 мес.), общий вид;

б — 365 сут. эксперимента (возраст животного — 13,5 мес.), общий вид, складчатая поверхность; в, г — 365 суток эксперимента (возраст животного — 13,5 мес.), фибробластоподобные синовиоциты покровного слоя (в), фибробласты, фиброциты в субсиновиальном слое (г).

Парафиновые срезы, окраска трехцветным методом Массона (а, б), гематоксилином и эозином (в, г). Увеличение ×400 (а, б), ×1000 (в, г)

Таблица 1

Полуколичественные и количественные характеристики синовиальной оболочки лучезапястного сустава

Параметр

Толщина покровного слоя (мкм)

Численная плотность синовиоцитов

Оценка синовита в баллах

Me ( р 25; р 75) [min–max]

Me ( р 25; р 75)

Контроль

120 сут.

36,73 (28,54;37,42) [23,18–41,16]

179,11 (130,26;203,53) [113,97–219,81]

0 (0;1)

365 сут.

23,63 (20,19;28,04) [13,71–32,78] р 120–365 = 0,0326

97,69 (89,55;146,54) [73,27–179,11] р 120–365 = 0,0009

1 (0;1)

Опыт

120 сут.

42,65 (30,72;48,51) [25,86–52,42] р к–о = 0,0002

219,81 (203,53;269,66) [187,25–284,94] р к–о = 0,0009

3 (3;4)

365 сут.

25,74 (22,43;28,57) [20,32–34,07] р к–о = 0,1301 р 120–365 = 0,0001

138,41 (113,97;162,82) [97,69–187,25]

р к–о = 0,0141 р 120–365 = 0,0011

1 (0;1)

Примечание : применяли критерий Манна – Уитни, различия статистически значимы при р < 0,05, р к–о — сравнение контроля и опыта, р 120–365 — сравнение сроков эксперимента.

Морфологическая характеристика синовиальной оболочки лучезапястного сустава опытной конечности

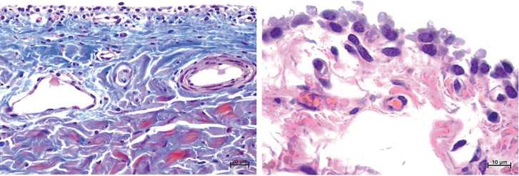
Через 120 суток эксперимента в синовиальной оболочке опытного сустава регистрировали статистически значимое ( р < 0,05) относительно контроля увеличение толщины покровного слоя и численной плотности синовиальных клеток (табл. 1), которые располагались в два–три слоя (рис. 3, а). Обращало на себя внимание увеличение доли синовиоцитов макрофагального типа (более 50 % в поле зрения). Такие клетки имели эксцентрично расположенное ядро, цитоплазматические выросты, пенистую цитоплазму с зернистыми включениями (рис. 3, б). В верхнем коллагеново-эластическом слое клеточ-ность повышена, выявлен воспалительный инфильтрат очагового и диффузного типов распределения (рис. 3, в), состоящий преимущественно из лимфоцитов, плазматических клеток и гистиоцитов. В части наблюдений отмечено формирование синовиальных ворсин (рис. 3, г).

Рис. 3. Синовиальная оболочка лучезапястного сустава ягненка, срок эксперимента — 120 сут.: а — покровный и коллагеново-эластический слои; б — синовиоциты макрофагального типа;

в — диффузный и периваскулярный воспалительный инфильтрат;

г — формирование синовиальных ворсин.

Парафиновые срезы, окраска трехцветным методом Массона (а, б), гематоксилином и эозином (в, г). Увеличение ×400 (а, в, г), ×1000 (б)

Полуколичественная оценка синовиальной оболочки по шкале V. Krenn et al. [18] указывала на слабо выраженный синовит (табл. 1).

Через 365 суток эксперимента в большей части наблюдений в покровном слое синовиоциты располагались в один–три слоя (рис. 4, а), синовиальные клетки имели характеристики макрофагального и фибробластического типов (рис. 4, б), отмечена тенденция к снижению доли клеток макрофагального типа (около 30 % в поле зрения) относительно предыдущего срока эксперимента и снижение значений толщины покровного слоя и численной плотности синовиоцитов. По сравнению с контролем различия параметра «толщина покровного слоя» статистически незначимы ( р > 0,05), значения численной плотности статистически значимо ( р > 0,05) больше (табл. 1). На большем протяжении синовиальная оболочка имела складчатую поверхность (рис. 4, в). В верхнем коллагеново-эластическом слое клеточ-ность в большей части наблюдений — нормальная, воспалительный инфильтрат не выявлен.

Полуколичественная оценка синовиальной оболочки свидетельствовала об отсутствии синовита (табл. 1).

б

Рис. 4. Синовиальная оболочка лучезапястного сустава ягненка, срок эксперимента — 365 суток: а — покровный и коллагеново-эластический слои; б — синовиоциты фибробластического и макрофагального типа; в — синовиальные складки. Парафиновые срезы, окраска трехцветным методом Массона (а), гематоксилином и эозином (б, в). Увеличение ×400 (а, в), ×1000 (б)

ОБСУЖДЕНИЕ

Синовиальная оболочка играет ключевую регуляторную роль в определении состава синовиальной жидкости, отличается от других барьерных мембран уникальной архитектурой. Покровный слой (интима) синовиальной оболочки человека в норме содержит примерно 90 % фибробластоподобных и 10 % макрофагоподобных синовиоцитов. Коллагеново-эластический слой (субинтима) состоит из эластических и коллагеновых волокон (I, III, IV, V и VI типов коллагена), ламинина, фибронектина, протеогликанов и содержит фибробласты и макрофаги, симпатические и чувствительные нервы, кровеносные и лимфатические сосуды [19, 20].

Для экстраполяции экспериментальных данных в клинику наиболее подходящим животным в качестве модели исследования костно-суставной системы являются овцы, они более приближены по морфологии суставов, весу и размерам костей к человеку [21, 22, 23]. В литературе имеются единичные публикации о структуре синовиальной оболочки коленного сустава овец в разные возрастные периоды [24, 25]. Несмотря на растущее понимание роли синовиальной оболочки в патологии суставов количественные данные о структуре и функции этой ткани остаются неполными.

В данном исследовании впервые получены данные о структурной реорганизации синовиальной оболочки лучезапястного сустава овец в разные возрастные периоды. В возрасте 5,5 и 13,5 месяцев в покровном слое преобладали синовиоциты фибробластического типа, гистологические признаки синовита не выявлены. Установлено, что по мере роста животного рельеф интимального слоя изменялся от ровной поверхности в возрасте 5,5 месяцев до складчатой в возрасте 13,5 месяцев. Гистоморфометрически выявлено снижение значений параметров толщины покровного слоя и численной плотности синовиоцитов, на светооптическом уровне отмечено увеличение доли волокнистого компонента в покровном слое.

В ряде экспериментальных и клинических исследований признаки синовита были выявлены при остеосинтезе смежного с суставом сегмента конечности [ 26] и после эндопротезирования суставов [27, 28]. В эксперименте на взрослых собаках при замещении дефекта костей голени с помощью комбинации несвободной костной пластики по Илизарову и метода Masquelet через месяц после снятия аппарата в 70 % случаев были выявлены признаки синовита в коленном суставе [26]. N. Sugimura et al. сообщают, что выраженность синовита достигает пика через шесть месяцев после тотального эндопротезирования коленного сустава и через один–два года снижается [28].

В данном исследовании через 120 суток эксперимента оценка по шкале V. Krenn et al. [18] указывала на наличие слабо выраженного синовита у всех животных. Структурные изменения синовиальной оболочки выражались гиперплазией (за счет утолщения покровного слоя), увеличением численной плотности синовиоцитов и увеличением представительства макрофагоподобных синовиоцитов (более 50 % в поле зрения), формированием синовиальных ворсин, наличием лимфо-гистиоцитарного инфильтрата очагового и диффузного типов распределения.

Известно, что оба типа синовиальных клеток макрофагального и фибробластического выполняют различные про- и противовоспалительные функции и могут, как предотвращать воспаление, формируя противовоспалительный барьер, который способствует постоянному очищению от сигналов опасности, поступающих из синовиальной жидкости и накапливающихся вследствие механического воздействия, так и способствовать синовиальному воспалению [29, 30]. Синовиоциты макрофагального типа участвуют в фагоцитозе, продуцируют протеолитические ферменты, повреждающие хрящ, провоспа-лительные медиаторы, усиливая иммунный ответ и активируя фибробластоподобные синовиальные клетки. После активации фибробластоподобные синовиоциты секретируют провоспалительные цитокины (ФНО- α , ИЛ-1 β и ИЛ-6) и посредством экспрессии кадгерина-11, CD44 и матриксных металлопро-теаз приобретают миграционные и инвазивные свойства формируя синовиальный паннус [20, 31, 32].

Небиорезорбируемые фиксаторы, используемые при остеосинтезе внутрисуставных переломов, могут вызывать ряд осложнений, таких как инфекция, постоянная боль (чаще всего обусловленная синовитом), артрит. Титановые фиксаторы (винты и пластины) широко используют для остеосинтеза переломов и в челюстно-лицевой онкологии благодаря их биосовместимости и благоприятным механическим свойствам, которые максимально соответствуют эластичности кости [33, 34].

В изучаемых условиях эксперимента при остеосинтезе внутрисуставного метаэпифизарного перелома дистального суставного конца лучевой кости титановыми винтами структурные изменения синовиальной оболочки имели обратимый характер. К концу эксперимента, через 365 суток, гистологические признаки синовита не выявлены, в покровном слое преобладали фибробластоподобные синовиоциты, сохранялись повышенные значения численной плотности синовиоцитов, значения толщины покровного слоя сопоставимы с контролем.

ЗАКЛЮЧЕНИЕ

При остеосинтезе титановыми винтами внутрисуставного метаэпифизарного перелома дистального суставного конца лучевой кости у ягнят через 120 суток после операции выявлен слабо выраженный синовит, который выражался утолщением покровного слоя, увеличением численной плотности синовиоцитов и представительства синовиоцитов макрофагального типа, наличием лимфо-гистио-цитарного инфильтрата. К концу эксперимента процесс воспаления синовиальной оболочки имел обратимый характер, гистологические признаки синовита отсутствовали.