Клинический случай диагностики металлического инородного тела брюшной полости

Автор: Кузнецова А.А., Катрич А.Н., Триандафилов К.В., Егоров А.С.

Журнал: Вестник медицинского института "РЕАВИЗ": реабилитация, врач и здоровье @vestnik-reaviz

Рубрика: Клинический случай

Статья в выпуске: 5 т.15, 2025 года.

Бесплатный доступ

Представлен редкий клинический случай длительного бессимптомного нахождения металлического инородного тела (хирургического зажима), оставленного в брюшной полости после холецистэктомии, демонстрирующий сложности диагностики и потенциальные осложнения, а также подчеркивающий важность тщательной ревизии операционного поля и настороженности в отношении инородных тел в анамнезе. Клинический случай. Пациентка Ж, 68 лет, была госпитализирована в ГБУЗ «НИИ-ККБ№1 им. проф. С.В. Очаповского» с диагнозом: инородное тело брюшной полости (хирургический зажим) с абсцедированием. Из анамнеза: инородное тело в брюшной полости было обнаружено случайно в 2019 г. при рентгенологическом исследовании позвоночника, проведённого по несвязанному с заболеванием поводу. Не извлечено в связи с нежеланием пациентки. С техническими трудностями пациентка прооперирована в экстренном порядке после развития осложнений.

Еще

Инородные тела [D005547], брюшная полость [D000005], холецистэктомия [D002763], послеоперационные осложнения [D011183], хирургические инструменты [D013525], диагностическая визуализация [D003952], лапаротомия [D007813], ятрогенные заболевания [D007049], клинический случай [D016428], безопасность пациентов [D061214]

Еще

Короткий адрес: https://sciup.org/143185341

IDR: 143185341   |   УДК: 617.55-007.253-073   |   DOI: 10.20340/vmi-rvz.2025.5.CASE.1

Clinical case of diagnosing a metallic foreign body in the abdominal cavity

A rare clinical case of a long-term asymptomatic presence of a metallic foreign body (surgical clamp) left in the abdominal cavity after cholecystectomy is presented, demonstrating the diagnostic difficulties and potential complications, and emphasizing the importance of a thorough revision of the surgical field and alertness to foreign bodies in the anamnesis. Clinical case. Patient G, 68-years-old female, was hospitalized in the Scientific Research Institute – Ochapovsky Regional Clinical Hospital №1 with the diagnosis: Abscessed foreign body (surgical clamp) in the abdominal cavity. From the anamnesis: a foreign body in the abdominal cavity was incidentally discovered during an X-ray examination of the spine in 2019, performed for unrelated reasons. Not extracted due to the patient’s unwillingness. The patient underwent emergency surgery, with technical difficulties, after complications developed.

Еще

Текст научной статьи Клинический случай диагностики металлического инородного тела брюшной полости

ОПИСАНИЕ СЛУЧАЯ CASE DESCRIPTION

Conflict of interest. The authors declare no conflict of interest.

Sources of financing. The authors received no financial support for the research, authorship, and/or publication of this article.

Compliance with ethical principles. The authors confirm that they respect the rights of the people participated in the study, including obtaining informed consent when it is necessary.

Cite as: Kuznetsova A.A., Katrich A.N., Triandafilov K.V., Egorov A.S. Clinical case of diagnosing a metallic foreign body in the abdominal cavity. Bulletin of the Medical Institute “REAVIZ”: Rehabilitation, Doctor and Health. 2025;15(5):191-197.

Проблема «забытых» в ходе оперативных вмешательств хирургических принадлежностей в брюшной полости не теряет актуальности с каждым годом, несмотря на развитие медицинских технологий и внедрение протоколов безопасности.

Инородное тело (corpus alienum) – посторонний для организма предмет, непреднамеренно оставленный в теле пациента. Существует три основных пути проникновения corpus в брюшную полость: в ходе инвазивных медицинских манипуляций, через повреждение передней брюшной стенки (например, пули, дробь и прочее) [1, 2] , либо попадание в желудочно-кишечный тракт через естественные пути, а затем миграцию сквозь перфорации, свищи полых органов [3, 4]. В данной статье мы рассмотрим первый вариант.

Чаще всего к инородным телам брюшной полости относятся марлевые тампоны, салфетки, простыни («текстиломы» или «госсипибомы»), реже встречаются хирургические инструменты, иглы, шовный материал, а так же «затерявшиеся» дренажи, резиновые выпускники, катетеры. Наиболее распространёнными факторами риска такого происшествия являются массивные кровотечения, затрудняющие визуализацию, экстренность операции либо внезапные эксцессы во время планового вмешательства, недостаточное освещение операционного поля, ограниченный оперативный доступ, избыточная масса тела пациента, когда инструмент может «спрятаться» в петлях кишечника, складках сальника, а также человеческий фактор, включающий усталость, снижение концентрации внимания и нарушение коммуникации в операционной бригаде.

Помимо случайно забытых предметов в организме встречаются инородные тела специального назначения, например искусственные клапаны, протезы, ортопедические пластины и спицы, проволока и леска, которые, к слову, несмотря на свой особый материал и функцию, та же могут вызвать местную воспалительную реакцию при определённых условиях (периимплантные, перипротезные инфекции), но это тема другой статьи.

Характер, скорость и риск возникновения осложнений зависит от локализации инородного тела, размеров, состава, длительности нахождения в брюшной полости, а также степени инфициро-ванности. В некоторых описанных в медицинской литературе случаях corpus мог находиться в теле человека более 20 лет, ничем себя не выдавая [5], в других случаях, напротив, становился причиной летального исхода [6], а иногда инородное тело обнаруживалось случайно, во время аутопсии [7]. Грозными осложнениями данной патологии следует считать миграцию инородного тела в просвет желудочно-кишечного тракта с высоким риском кровотечений, перфорацию полых органов, некроз стенок прилежащих органов, абсцедирование [8] и образование гнойных свищей [9]. Опасность длительного нахождения в брюшной полости инородных тел ещё и в том, что патогномоничных симптомов нет, физикальное обследование и лабораторные исследования неинформативны, поэтому диагностика вызывает определенные трудности для врачей, и часто диагноз становится ясным интраоперационно, после развития осложнений. Наиболее предпочтительным методом диагностики является лучевая визуализация, включающая ультразвуковое исследование (УЗИ), рентгенографию, компьютерную томографию (КТ), магнитнорезонансную томографию (МРТ) [10, 11]. Лучевые методы диагностики демонстрируют более высокую разрешающую способность при определении металлических инородных тел, тогда как идентификация текстилом, особенно длительно находящихся в организме и инкапсулированных может быть затруднена, поскольку они нередко принимают вид объёмных образований воспалительного или неопластического генеза [12, 13].

По данным клинических обзоров, частота оставления инородных тел во время операций варьируется от 1 до 10 на 10000 операций в год [14] – это примерно 1 случай на 1000–1500 вмешательств [15], однако единой официальной статистики «забытых» предметов нет, что можно связать как с недостаточным диагностированием данной патологии, так и с сокрытием таких случаев ятрогении по очевидным причинам. Из-за отсутствия точных данных сложно оценить реальный масштаб проблемы.

Клинический случай

Пациентка Ж, 68 лет обратилась в консультативно-диагностическую поликлинику НИИ ККБ №1 20.08.2024 г. с жалобами на боль в животе, преимущественно в правом подреберье, повышение температуры тела до 38,5 ºC, присоединившийся в течение последних нескольких суток редкий кашель. Во время сбора анамнеза выяснено, что в 1990 г. пациентке была выполнена лапаротомии, холецистэктомии в плановом порядке. Со слов, послеоперационный период осложнился нагноением ла-паротомной раны. По этому поводу проводилось консервативное лечение: перевязки и антибиотико-терапия. Дренаж из брюшной полости был удалён при выписке. Пациентка выписана из стационара примерно через две недели после операции (медицинской документации не сохранилось).

В дальнейшем, в течение нескольких месяцев пациентку периодически беспокоила тянущая тупая боль в правом подреберье и внизу живота.

С указанными жалобами неоднократно обращалась к хирургу по месту жительства. Дискомфортные ощущения связывали с недавней операцией, а также с избыточной массой тела пациентки. При приступах болей самостоятельно принимала спазмолитики.

После перенесённого планового оперативного лечения женщина вела активную социальную жизнь, занималась лыжным спортом, в связи с чем неоднократно падала. Однако со стороны живота и органов брюшной полости жалоб не имела, врачей не посещала.

В 2019 г. обратилась к врачу по месту жительства с болями в поясничном отделе позвоночника, при рутинном R-исследовании был обнаружен металлический инородный предмет в правой половине брюшной полости – хирургический зажим. Несмотря на разъяснения хирургов о возможных рисках и осложнениях, пациентка отказалась от предложенного планового оперативного удаления инородного тела, сославшись на отсутствие беспокоящих симптомов.

С апреля 2024 г. женщина отмечала периодическую гипертермию до 38,5 ºС, слабость, самостоятельно и по назначению врачей принимала антибиотики с временным положительным эффектом, однако температура тела продолжала повышаться до 37,5 ºС каждый вечер в течение нескольких месяцев, при этом катаральные симптомы отсутствовали. В июле получала терапию преднизолоном по поводу ревматоидного артрита, выставленного терапевтом по месту жительства (в дальнейшем данный диагноз исключён краевым специалистом-ревматологом)

20.08.2024 г. пациентка обратилась на приём к гнойному хирургу консультативно-диагностической поликлиники (КДП) НИИ ККБ №1.

При осмотре кожные покровы и видимые слизистые обычной окраски, чистые, отёков нет, лимфоузлы не пальпируются. В правом подреберье визуализируется нормотрофный послеоперационный рубец без признаков воспаления. При пальпации живот умеренно напряжён в правом подреберье, незначительная болезненность. Температура тела – 37,4 ºС, при лабораторном исследовании – лейкоциты – 6,6, гемоглобин – 108 г/л, нейтрофилы – 82,2%, аспартатаминотрансфераза – 135 Ед/л, аланинаминотрансфераза – 79 Ед/л.

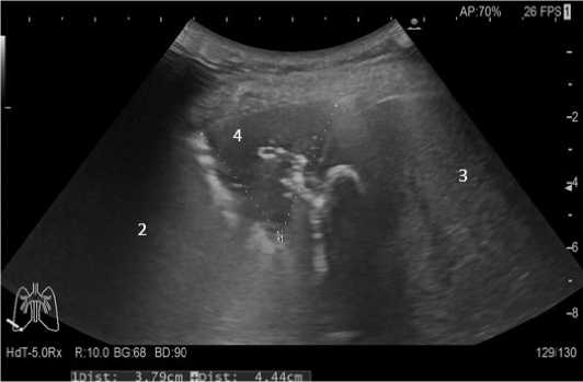
По результатам проведённого УЗИ органов брюшной полости (конвексным датчиком) в правом подпечёночном пространстве визуализировано гиперэхогенное образование с эффектом массивной акустической тени. Описанное образование линейной формы, с неровным контуром протяжённостью до 80 мм, в каудальной части образование с округлыми (кольцевидными) контурами. В краниальном отделе образование тесно прилежит к диафрагме (рис. 1, 2). Правый купол диафрагмы локально утолщён от 17 до 24 мм, контур диафрагмы на участке до 15 мм прослежен нечётко. В правой плевральной полости на фоне гиповентиляции лёгочной ткани и инфильтративных изменений купола диафрагмы определено отграниченное жидкостное скопление с неоднородным содержимым, размерами до 38×40×45 мм. Желчный пузырь удалён. Стенки холедоха не утолщены, конкрементов нет, просвет – 4 мм.

Рисунок 1. Ультразвуковое исследование в В-режиме. Линейная гиперэхогенная структура в правом подпеченочном пространстве с эффектом массивной акустической тени (отмечено белыми стрелками)

Figure 1. B-mode ultrasound. Linear hyperechoic structure in the right subhepatic space with the effect of a massive acoustic shadow (marked with white arrows)

Рисунок 2. Ультразвуковое исследование в В-режиме: 1, 2 – утолщенная диафрагма в области реберно-диафрагмального синуса; 3 – правая плевральная полость. Дефект диафрагмы (отмечено желтой стрелкой). Линейная гиперэхогенная структура в правом подпеченочном пространстве с эффектом массивной акустической тени (отмечено белыми стрелками)

Figure 2. B-mode ultrasound: 1, 2 – thickened diaphragm in the area of the costophrenic sinus; 3 – right pleural cavity. Diaphragm defect 1(marked with a yellow arrow). Linear hyperechoic structure in the right subhepatic space with the effect of a massive acoustic shadow (marced with white arrows)

Заключение: УЗ-признаки очагового образования подпечёночного пространства, инфильтративные изменения правого купола диафрагмы (с подозрением на свищ) (рис. 3), отграниченного жидкостного скопления в правой плевральной полости, состояние после холецистэктомии.

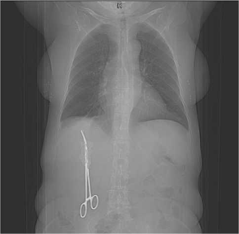
На последующем КТ-исследовании брюшной полости чётко визуализировано инородное тело подпечёночного пространства со сформированным абсцессом брюшной полости (рис. 4, 5).

Рисунок 3. Ультразвуковое исследование в В-режиме: 1 – ре берно-диафрагмальный синус (отмечено курсором); 2 – ткань нижней доли правого легкого с признаками гиповентиляции; 3 – паренхима печени; 4 – отграниченное жидкостное скопление с неоднородным содержимым в правой плевральной полости Figure 3. B-mode ultrasound: 1 – costophrenic sinus (marked with a cursor); 2 – tissue of the lower lobe of the right lung with signs of hypoventilation; 3 – liver parenchyma; 4 – limited fluid accumulation with hetergeneous contents in the right pleural cavity

Рисунок 4. КТ-визуализация инородного тела (хирургического зажима) брюшной полости

Figure 4. CT imaging of a foreign bode (surgical clamp) in the abdominal cavity

Рисунок 5. КТ-визуализация инородного тела (хирургического зажима) брюшной полости

Figure 5. CT imaging of a foreign bode (surgical clamp) in the abdominal cavity

Основное инородное тело и разрушенные металлические частицы в полости с бурым жидкостным содержимым. Фрагменты инородного тела удалены в полном объёме (рис. 6), брюшная полость санирована физиологическим раствором, в поддиафрагмальное и подпечёночное пространство установлены двухпросветные дренажи. Учитывая интраоперационную картину и плотную фик- сацию зажима к стенкам внутренних органов, оперирующим хирургом риск возможных пролежневых дефектов стенок внутренних органов был расценен как высокий. Время оперативного вмешательства составило 2 часа 20 минут.

Рисунок 6. Извлечённое инородное тело

Figure 6. Extracted foreign body

Послеоперационный период протекал без особенностей. На 8 сутки, при отсутствии гипертермии и нормальных показателях анализов крови, в удовлетворительном состоянии пациентка по собственному настоянию выписана для долечивания по месту жительства с подробными рекомендациями по уходу за дренажами и наблюдением за состоянием. Однако спустя сутки после перевода в стационар по месту жительства, в отделяемом по дренажам была замечена примесь съеденной пищи. Пациентка вновь госпитализировалась в ОГнХ НИИ ККБ №1 с подозрением на тонкокишечный свищ. При поступлении: живот мягкий, безболезненный, не вздут, симптомы раздражения брюшины отрицательные, имеется ушитая послеоперационная рана передней брюшной стенки без признаков воспаления, в правом подреберье два дренажа со скудным кишечным отделяемым. 30.08.2024 г. для уточнения диагноза произведена КТ органов брюшной полости, малого таза (ОБП, ОМТ) с пероральным контрастированием, в результате которой определены два дефекта стенки луковицы двенадцатиперстной кишки (ДПК) 9 мм и 2 мм.

С 29.08.2024 по 17.09.2024 г. пациентка находилась на стационарном лечении в ОГнХ, где был назначен строгий постельный режим, «сухая» диета, промывание дренажей брюшной полости водным раствором антисептика (хлоргексидин) 2 раза в сутки. На фоне проводимого консервативного лечения количество кишечного отделяемого по дренажам постепенно уменьшилось и к моменту выписки составляло до 5 грамм в сутки. Ежедневно проводился контроль общих и биохимических показателей крови. 12.09.2024 г. произведено контрольное КТ-исследование с пероральным контрастированием, в результате которого ранее имеющиеся дефекты стенки ДПК не визуализированы. Пациентка в удовлетворительном состоянии выписана под наблюдение врачей по месту жительства, дренажи удалены на 5 сутки после выписки.

Таким образом, инородное тело (хирургический зажим) практически бессимптомно находилось в брюшной полости пациентки в течение 29 лет, было неожиданно обнаружено при исключении сопутствующей патологии и удалено только лишь после абсцедирования.

Чаще всего подозрение на наличие инородного тела возникает после развития различных осложнений, однако в нашем конкретном случае заподозрить corpus позволила случайная находка при рентгенологическом исследовании, а определить локализацию и подтвердить диагноз не составило труда благодаря применению современных методов лучевой диагностики.

Вывод

Несмотря на значительный прогресс в области хирургических технологий, вопрос ятрогенных инородных тел в брюшной полости остаётся актуальным, что подтверждается данными многочисленных клинических наблюдений. Это обусловлено влиянием человеческого фактора, неизбежной спешкой в условиях экстренных операций и индивидуальными чертами пациентов, такими как ожирение или анатомические особенности.

Отсутствие единой, стандартизированной системы учёта и регистрации подобных клинических ситуаций затрудняет объективную оценку истинной распространённости проблемы и приводит к расхождениям в статистических данных, представленных в различных публикациях. Нельзя не принять во внимание тот факт, что многие случаи остаются недиагностированными или не публикуются.

1966                                                                                                                                  2025

Рисунок 7. Публикационная активность по теме «surgical foreign body in the abdominal cavity» (1966–2025 гг.)

Figure 7. Publication activity on the topic of «surgical foreign body in the abdominal cavity» (1966-2025)

Источник: адаптировано с PubMed

Весьма важным моментом как экстренной, так и плановой операции является строгое соблюдение протокола безопасности, включающее добросовестную ревизию операционного поля перед ушиванием раны, контрольный подсчёт инструментов и расходных материалов (салфеток, губок и т.д.) до, во время и по окончанию вмешательства.

В сложных диагностических случаях, особенно при наличии неспецифических абдоминальных симптомов у пациентов с хирургических анамнезом, необходимо учитывать вероятность наличия инородного тела и проводить дифференциальную диагностику с другими заболеваниями, такими как спаечная болезнь, новообразования или воспалительные инфильтраты.

Современные лучевые методы, в частности компьютерная томография, позволяют с высокой точностью определить локализацию, размер и характер инородного тела, а также оценить наличие осложнений.

Для дальнейшего снижения частоты ятрогенных инородных тел необходим мультидисциплинарный подход, включающий повышение квалификации и улучшение коммуникации между хирургами, операционными медсёстрами и другим медицинским персоналом оперблока, внедрение современных технологий, таких как рентгенконтрастные материалы для маркировки салфеток, штрихкодирование хирургических инструментов, а также создание общего регистра для систематического анализа данных, выявления факторов риска и разработки эффективных стратегий профилактики.