О роли и месте Компьютерной томографии коронарных артерий в скрининге и раннем выявлении сердечно-сосудистых заболеваний

Автор: Бенян А.С., Геворгян А.А., Хальметова А.А., Таумова Г.Х., Адамян М.Ю., Михайлов К.М., Ёкубов М.М.

Журнал: Вестник медицинского института "РЕАВИЗ": реабилитация, врач и здоровье @vestnik-reaviz

Рубрика: Клинический случай

Статья в выпуске: 6 т.15, 2025 года.

Бесплатный доступ

Актуальность. В рамках реализации Национального проекта «Здравоохранение» и Федерального проекта «Борьба с сердечнососудистыми заболеваниями» одним из ключевых направлений является увеличение объёма рентген-эндоваскулярных вмешательств. Мультиспиральная компьютерно-томографическая коронарография (МСКТ-КГ) является неинвазивной альтернативой традиционной коронарографии, обладающей высокой информативностью при диагностике ишемической болезни сердца (ИБС) и атеросклероза различных локализаций. Развитие МСКТ-КГ сдерживалось организационными и методологическими барьерами, отсутствием чётко определённой роли метода в диагностическом алгоритме кардиологической службы. Цель: на примере клинического наблюдения продемонстрировать роль и место МСКТ-КГ в скрининге и раннем выявлении сердечно-сосудистых заболеваний у бессимптомного пациента с мультифокальной патологией сердца и сосудов. Материалы и методы. Представлен клинический случай пациента М., 68 лет, обратившегося в Самарский областной клинический кардиологический диспансер им. В.П. Полякова в ноябре 2020 года для КТ-контроля после перенесённой COVID-19 пневмонии (поражение лёгких 38%). При МСКТ органов грудной клетки выявлен выраженный кальциноз коронарных артерий. Из анамнеза: артериальная гипертензия в течение 5 лет (максимальное АД 200/110 мм рт. ст.), гипертонические кризы с головокружением, приём гипотензивной терапии ситуационно. Ранее кардиологически не обследовался, жалоб на боли в сердце не предъявлял. Выполнена МСКТ-КГ с контрастированием коронарных артерий и артерий брахиоцефального ствола (БЦС). Результаты. По данным МСКТ-КГ выявлены гемодинамически значимые стенозы: передней межжелудочковой ветви (ПМЖВ) до 75%, задней межжелудочковой ветви и диагональной артерии до 90%, а также стеноз правой внутренней сонной артерии (ВСА) до 78%. При верификационной инвазивной коронарографии (КАГ) подтверждён критический стеноз бифуркации ПМЖВдиагональная артерия (ДА) типа Medina (1-1-1) 99-75-99% с аневризмой, выраженный кальциноз стенок артерий. Выполнено стентирование ПМЖВ-ДА с имплантацией двух коронарных стентов. Послеоперационный период без осложнений. Назначена двойная антиагрегантная терапия (ацетилсалициловая кислота 100 мг + клопидогрель 75 мг), статины 40 мг, гипотензивные препараты, β-блокаторы. В плановом порядке выполнена эверсионная каротидная эндартерэктомия справа под эндотрахеальным наркозом. Интраоперационно выявлена атеросклеротическая бляшка с тромбозом. Время пережатия ВСА 25 минут. Послеоперационный период без особенностей, выписан на 5-е сутки. В региональную программу «Развитие здравоохранения Самарской области 2021–2030 гг.» включено мероприятие по проведению МСКТ-КГ сверх базовой программы ОМС с ежегодным финансированием 20 млн руб. (≈3100 дополнительных исследований). Выводы. МСКТ-КГ является эффективным неинвазивным скрининговым методом для раннего выявления атеросклероза коронарных и брахиоцефальных артерий у бессимптомных пациентов с факторами риска (возраст >60 лет, артериальная гипертензия, перенесённый COVID-19). Метод позволяет своевременно отобрать пациентов для инвазивной КАГ и реваскуляризации, провести коррекцию медикаментозной терапии, начать диспансерное наблюдение. Включение МСКТ-КГ в программу обследования ускоряет принятие клинических решений и способствует снижению смертности от инфаркта миокарда и болезней системы кровообращения. Организационная стратегия должна включать развитие референс-центров МСКТ-КГ, формирование амбулаторно-поликлинического реестра пациентов с показаниями к исследованию и дополнительное финансовое обеспечение.

Еще

Компьютерная томография коронарных артерий, ишемическая болезнь сердца, мультифокальный, Коронарография, Скрининг, сердечно-сосудистые заболевания, стеноз коронарных артерий, МСКТ

Короткий адрес: https://sciup.org/143185462

IDR: 143185462   |   УДК: 616.132.2-073.756.8:616.13-004.6-07   |   DOI: 10.20340/vmi-rvz.2025.6.CASE.5

On the role and place of computed tomography of coronary arteries in screening and early detection of cardiovascular disease

Background. Within the framework of the National Healthcare Project and the Federal project "Combating Cardiovascular Diseases," increasing the volume of endovascular interventions is a key priority. Multispiral computed tomographic coronary angiography (MSCT-CA) is a noninvasive alternative to traditional coronary angiography with high diagnostic accuracy for coronary artery disease (CAD) and atherosclerosis of various localizations. MSCT-CA implementation has been hindered by organizational and methodological barriers and lack of clearly defined role in cardiology diagnostic algorithms. Objective. To demonstrate the role and place of MSCT-CA in screening and early detection of cardiovascular diseases using a clinical case of an asymptomatic patient with multifocal cardiac and vascular pathology. Materials and methods. A clinical case of patient M., 68 years old, who presented to V.P. Polyakov Samara Regional Clinical Cardiology Dispensary in November 2020 for CT follow-up after COVID-19 pneumonia (38% lung involvement). Chest CT revealed significant coronary artery calcification. Medical history: arterial hypertension for 5 years (maximum BP 200/110 mmHg), hypertensive crises with dizziness, situational antihypertensive therapy. No prior cardiac evaluation, no angina symptoms. MSCT-CA with contrast enhancement of coronary arteries and brachiocephalic trunk (BCT) arteries was performed. Results. MSCT-CA revealed hemodynamically significant stenoses: left anterior descending (LAD) artery up to 75%, posterior descending and diagonal arteries up to 90%, and right internal carotid artery (ICA) stenosis up to 78%. Verification invasive coronary angiography confirmed critical LAD-diagonal artery bifurcation stenosis Medina (1-1-1) 99-75-99% with aneurysm and severe arterial wall calcification. LADdiagonal artery stenting was performed with two coronary stent implantation. Uncomplicated postoperative course. Dual antiplatelet therapy (aspirin 100 mg + clopidogrel 75 mg), statins 40 mg, antihypertensives, and β-blockers were prescribed. Elective right eversion carotid endarterectomy under general anesthesia was performed. Intraoperatively, atherosclerotic plaque with thrombosis was identified. ICA clamping time 25 minutes. Uneventful postoperative course, discharged on day 5. The regional program "Healthcare Development of Samara Region 2021-2030" includes MSCT-CA provision beyond basic mandatory health insurance with annual funding of 20 million rubles (≈3,100 additional studies). Conclusions. MSCT-CA is an effective noninvasive screening method for early detection of coronary and brachiocephalic artery atherosclerosis in asymptomatic patients with risk factors (age >60 years, arterial hypertension, post-COVID-19). The method enables timely patient selection for invasive CAG and revascularization, medication therapy adjustment, and initiation of follow-up care. MSCT-CA inclusion in examination programs accelerates clinical decision-making and contributes to reducing mortality from myocardial infarction and circulatory diseases. Organizational strategy should include MSCT-CA reference center development, outpatient registry formation for patients with examination indications, and additional financial support.

Еще

Текст научной статьи О роли и месте Компьютерной томографии коронарных артерий в скрининге и раннем выявлении сердечно-сосудистых заболеваний

Не так давно единственным методом точной диагностики ишемической болезни сердца (ИБС) была инвазивная коронарная ангиография (КАГ). Данная методика является «золотым стандартом» благодаря её высокой информативности [1]. Однако традиционная коронарография связана с необходимостью госпитализации пациента в стационар, а также с возможными осложнениями, присущими любой инвазивной процедуре. Наряду с магнитнорезонансной ангиографией (МРА) и компьютернотомографической ангиографией (КТА) сосудов других локализаций мультиспиральная компьютернотомографическая коронарография (МСКТ-КГ) является достойной альтернативой инвазивной коронарографии в диагностике патологий как коронарных артерий, так и артерий других локализаций. МСКТ-КГ имеет такие важные преимущества, как отсутствие необходимости в госпитализации пациента, то есть возможность амбулаторного проведения, не- инвазивность, возможность анатомической и функциональной оценки миокарда, высокая точность оценки состояния коронарных артерий, локализации и степени их стеноза, что позволяет выбрать рациональный вариант лечения [2]. Помимо диагностической ценности МСКТ-КГ при диагностике заболевания коронарных артерий, возможно выявление поражения и стенозов артерий других локализаций при выполнении МСКТ-КГ.

В рамках реализации Национального проекта «Здравоохранение» (Нацпроект) и Федерального проекта «Борьба с сердечно-сосудистыми заболеваниями» одним из верхнеуровневых показателей является «Количество рентген-эндоваскулярных вмешательств (РЭВ) в лечебных целях, тыс. ед.». Выделение этого показателя и контроль его достижения, безусловно, были обоснованы ведущей ролью болезней системы кровообращения среди причин смертности населения, в том числе в трудоспособном возрасте [3]. Однако существенного увеличения охвата населения РЭВ в первые годы реализации Нацпроекта не происходило, замедление было обусловлено влиянием пандемии, приостановкой профилактических мероприятий на уровне первичного звена, недостаточным отбором пациентов на проведение диагностической коронарографии. Путями усиления возможностей амбулаторной кардиологической службы являются обновление и расширение спектра ультразвуковых исследований сердца и сосудов, нагрузочных проб, а также увеличение объёмов выполнения КТ-коронарографии (МСКТ-КГ). Несмотря на то, что диагностический метод МСКТ-КГ в нашей стране входит в Программу государственных гарантий бесплатного оказания гражданам медицинской помощи, развитие этого направления также происходило недостаточными темпами. Сдерживающими факторами были трудо- и ресурсоём-кость самого исследования, отсутствие чётко обозначенных роли и места КТ-КГ в диагностике острых и хронических сердечных ишемических заболеваний, лимитирование количества проводимых услуг в рамках системы обязательного медицинского страхования (ОМС). Организационным решениям по преодолению методологических и инфраструктурных барьеров внедрения КТ-КГ в рутинную практику амбулаторно-поликлинической и госпитальной кардиологических служб посвящено данное клиническое наблюдение.

ЦЕЛЬ ИССЛЕДОВАНИЯ: на примере клинического наблюдения по выявлению у бессимптомного пациента сочетанной мультифокальной патологии сердца и сосудов с помощью МСКТ-КГ продемонстрировать роль и место МСКТ-КГ в скрининге и раннем выявлении сердечно-сосудистых заболеваний.

КЛИНИЧЕСКИЙ СЛУЧАЙ

В ноябре 2020 года у пациента М., 68 лет с симптомами недомогания, выраженной общей слабости, повышения температуры тела до фебрильных значений и болью в горле в поликлинике по месту жительства при проведении ПЦР было подтверждено наличие новой коронавирусной инфекции COVID-19. Выполнена компьютерная томография (КТ) органов грудной полости, по результатам которой определены зоны уплотнения лёгочной ткани по типу «матового стекла» с объёмом поражения до 38%. Согласно рекомендациям участкового терапевта, произведён МСКТ-контроль органов грудной клетки в Самарском областном клиническом кардиологическом диспансере (СОККД) им В.П. Полякова спустя месяц от начала заболевания: отмечается положительная динамика в виде остаточных явлений перенесённой двусторонней вирусной пневмонии, также обращает на себя внимание выраженный кальциноз коронарных артерий.

Из анамнеза заболевания: последние пять лет отмечает повышение артериального давления (АД) максимально до 200 и 110 мм рт. ст., принимал гипотензивную терапию ситуационно (каптоприл). На фоне гипертонического криза отмечал эпизоды головокружения, шума в ушах, мелькание «мушек» в глазах. Ранее не обследовался.

Учитывая полученные данные, принято решение о проведении МСКТ-КГ и артерий брахиоцефального ствола (БЦС) с контрастированием для верификации диагноза и определения дальнейшей тактики лечения. При контрастировании коронарных артерий и артерий БЦС выявлен гемодинамически значимый стеноз передней межжелудочковой ветви (ПМЖВ) до 75%, задней межжелудочковой ветви (ЗМЖВ) и диагональной артерии (ДА) до 90% (рис. 1), а также КТ-признаки сужения правой внутренней сонной артерии (ВСА) до 78% (рис. 2, 3).

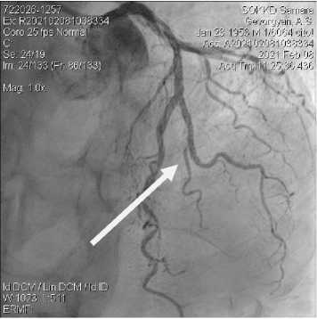
Учитывая полученные данные МСКТ коронарных артерий при отсутствии клинических проявлений ишемической болезни сердца, в плановом порядке выполнена коронарография (КАГ) в условиях СОККД им В.П. Полякова (рис. 4). По результатам проведенной КГ: тип кровоснабжения сердца - правый, определяется выраженный кальциноз стенок артерий, ствол левой коронарной артерии: с неровными контурами, передняя межжелудочковая ветвь (ПМЖВ) - с неровными контурами, стеноз 50% в средней трети 1-го сегмента, осложнённый аневризмой стеноз Medina (1 -1-1) 99-75-99% в проекции крупной 2 диагональной артерии (ДА), этажные стенозы 50% в средней и дистальной трети 3-го сегмента; огибающая артерия (ОА) - с неровными контурами, слабо развита, стеноз 50% в средней трети 2-го сегмента. Стеноз 75% в проксимальной трети мелкой 1 ВТК; правая коронарная артерия (ПКА) - с неровными контурами, без гемодинамически значимых стенозов.

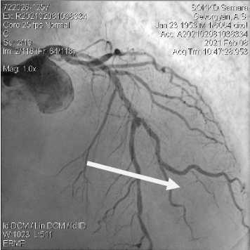
Учитывая критический стеноз ПМЖВ принято решение о выполнении стентирования. По стандартной методике выполнено стентирование ПМЖВ - ДА с имплантацией двух коронарных стентов. На контрольной КАГ - антеградный кровоток TIMI III по ПМЖВ и ДА, без признаков диссекции и дистальной эмболизации (рис. 5).

Послеоперационный период протекал без осложнений. Место пункции без особенностей. Конечность теплая, чувствительность сохранена. В послеоперационном периоде назначена ацетилсалициловая кислота 100 мг по 1 таблетке в сутки, кло-пидогрель 75 мг по 1 таблетке в сутки, статины 40 мг в сутки, гипотензивные препараты и препараты группы В-блокаторов.

Рисунок 1. 3D-реконструкция МСКТ-КГ. Стрелкой указаны стенозы коронарных артерий

Figure 1. 3D reconstruction of the MSCT coronary arteries. The arrow indicates coronary artery stenosis

Рисунок 2. 3D-реконструкция МСКТ-артерий БЦС. Стрелкой указан стеноз правой внутренней сонной артерии

Figure 2. 3D reconstruction of the MSCT arteries of the BCC. The arrow indicates stenosis of the right internal carotid artery

Рисунок 3. МСКТ артерий БЦС. Стрелкой указан стеноз правой внутренней сонной артерии Figure 3. 3D reconstruction of the MSCT arteries of the BCC. The arrow indicates stenosis of the right internal carotid artery

Рисунок 4. Коронарография. Стеноз бифуркации ПМЖВ-ДА. Стрелкой указан критический стеноз ПМЖВ

Figure 4. Coronarography. Permanent residence bifurcation stenosis IN-YES. The arrow indicates the critical stenosis of the pancreas

Рисунок 5. Коронарография. Состояние после стентирования бифуркации ПМЖВ – ДА. Стрелкой указан установленный стент Figure 5. Coronarography. The condition after stenting of permanent residence bifurcations is YES. The arrow indicates the installed stent

Рисунок 6. Интраоперационный вид бляшки, извлечённой из правой внутренней сонной артерии

Figure 6. Intraoperative view of the plaque extracted from the right internal carotid artery

В послеоперационном периоде пациент консультирован ангиохирургом. Рекомендовано выполнение эверсионной каротидной эндартерэктомии справа.

В плановом порядке выполнено оперативное лечение под эндотрахеальным наркозом. Интраоперационно выявлена бляшка с тромбозом (рис. 6). Выполнена эндартерэктомия. Время пережатия внутренней сонной артерии 25 минут. Пациент проснулся на операционном столе, переведён в хирургическое отделение. Послеоперационный пери- од протекал без особенностей. Выписан на 5 сутки после операции.

Оценивая потенциал рассматриваемого исследования в снижении смертности от сердечнососудистых заболеваний в системе здравоохранения Самарской области была определена стратегия, включающая развитие референс-центров МСКТ-КГ, формирование амбулаторно-поликлинического реестра пациентов с показаниями к исследованию, дополнительное финансовое обеспечение деятельности учреждений, предоставляющих данную услугу. В региональную программу «Развитие здраво- охранения Самарской области 2021–2030 гг.» в 2021 году было включено новое мероприятие «Проведение МСКТ-КГ сверх базовой территориальной программы ОМС» с ежегодным объёмом финансирования 20 млн. руб., что сообразно тарифам в системе ОМС эквивалентно 3100 дополнительным исследованиям.

ОБСУЖДЕНИЕ

Метод МСКТ-КГ имеет доказанную эффективность в отношении диагностики поражения коронарных артерий. Его наряду с проведением стресс-эхокардиографии и нагрузочными пробами нужно рассматривать как скрининговый метод для отбора пациентов на инвазивную КГ [4–6]. Чёткая дифференцировка критериев отбора и направления пациентов на МСКТ-КГ позволит не только получить полное представление о состоянии коронарного русла, тем самым провести мероприятия по коррекции терапии или реваскуляризации, но и, в конечном итоге, повысить специфичность и диагностическую точность метода [7–10].

Очевидно, что требуется определённая дифференциация при отборе пациентов на проведение инвазивной КАГ после выполнения МСКТ-КГ. Равно как необходимо ещё на уровне амбулаторнополиклинического звена определить перечень и последовательность диагностических методов, предваряющих направление на зондирование коронарных артерий. В целом, программа отбора на проведение КАГ в настоящее время должна включать в себя равнозначные по диагностической ценности методы, позволяющие не во всех случаях прибегать ко всему спектру исследований.

Проведение МСКТ-КГ возможно рассматривать как метод выбора у пациентов с сочетанной сердечно-лёгочной патологией. Кроме этого, отсутствие клинической картины ИБС, но наличие таких предрасполагающих факторов, как возраст старше 60 лет, сахарный диабет, ожирение, нарушения гемостаза, перенесённый COVID-19, сопутствующая артериальная гипертензия также может быть достаточным обоснованием для выполнения МСКТ-КГ.

ЗАКЛЮЧЕНИЕ

Современная стратегия борьбы с сердечнососудистыми заболеваниями имеет чётко очерченный вектор, ориентированный в направлении усиления ресурсов профилактической медицины. Активное выявление атеросклероза коронарных артерий и ишемической болезни сердца на ранних стадиях позволяет статистически достоверно снизить летальность от инфаркта миокарда и смертность от болезней системы кровообращения. Включение МСКТ-КГ в программу обследования пациентов с подозрением на ИБС позволяет ускорить сроки принятия решений в пользу выполнения КАГ, а в остальных случаях провести назначение или коррекцию терапии, начать диспансерное наблюдение.