Применение радиомического анализа бесконтрастных изображений магнитнорезонансной томографии сердца в кино режиме для прогнозирования неблагоприятного ремоделирования левого желудочка у пациентов с ишемической кардиомиопатией: пилотное исследование
Автор: Максимова А.С., Саматов Д.С., Листратов А.И., Мерзликин Б.С., Шелковникова Т.А., Андреев С.Л., Завадовский К.В.
Журнал: Сибирский журнал клинической и экспериментальной медицины @cardiotomsk
Рубрика: Клинические исследования
Статья в выпуске: 1 т.41, 2026 года.
Бесплатный доступ
Раннее выявление неблагоприятного ремоделирования левого желудочка (ЛЖ) и его предикторов способно повысить точность послеоперационного мониторинга и оптимизировать тактику персонифицированного лечения пациентов высокого риска. Перспективным направлением в решении этой задачи является радиомический анализ – метод высокоуровневой обработки медицинских изображений, позволяющий преобразовывать данные визуализирующих методов в количественные показатели для точной характеристики патологических изменений тканей. Цель: оценить прогностическую значимость радиомических признаков, основанных на бесконтрастных изображениях магнитно-резонансной томографии (МРТ) сердца в кино-режиме, для оценки риска развития неблагоприятного ремоделирования ЛЖ у пациентов с ишемической кардиомиопатией (ИКМП). Материал и методы. В наблюдательное когортное ретроспективное одноцентровое исследование были включены пациенты (n = 44; 59,2 ± 8,1 года) с установленным диагнозом ИКМП и показаниями для хирургического лечения. Критерием продолженного ремоделирования ЛЖ служило увеличение конечно-диастолического объема (КДО) ≥ 10% через год после операции, согласно данным эхокардиографии (ЭхоКГ). Были сформированы две группы исследования: группа 1 (n = 23) – пациенты с ИКМП без аневризмы ЛЖ, которым выполнялось изолированное коронарное шунтирование (КШ); группа 2 (n = 21) – пациенты с ИКМП и аневризмой ЛЖ, которым выполнялась КШ в сочетании с аневризмэктомией и пластикой ЛЖ. В контрольную группу вошли 28 пациентов без морфофункциональных и структурных изменений миокарда ЛЖ, по данным МРТ сердца с контрастированием. Радиомический анализ осуществлялся на основе бесконтрастных изображений МРТ сердца в кино-режиме в конце диастолы. Результаты. Текстурному анализу было подвергнуто 72 зоны интереса на изображениях в кино-режиме, соответствующие участкам визуально интактного миокарда на постконтрастных изображениях у пациентов с ИКМП (n = 44) и участкам миокарда пациентов контрольной группы (n = 28). Через год после операции продолженное ремоделирование ЛЖ было выявлено у 12 пациентов: по 6 пациентов в группах 1 и 2 соответственно. Наибольшее количество статистически значимых признаков с высокой и умеренной предсказательной способностью было установлено в группе пациентов с ИКМП и аневризмой ЛЖ, перенесших комбинированное вмешательство – КШ в сочетании с аневризмэктомией и пластикой ЛЖ. Напротив, в группе пациентов, перенесших только КШ, радиомические признаки продемонстрировали низкую дифференцирующую способность. Наиболее значимые радиомические признаки относятся к категории признаков второго порядка: GLRLM (Run Percentage), GLSZM (Zone Percentage) и GLDM (Dependence Non Uniformity Normalized). Заключение. Радиомический анализ бесконтрастных изображений МРТ сердца в кино-режиме является перспективным инструментом для стратификации риска неблагоприятного ремоделирования ЛЖ у пациентов с ИКМП, особенно после комбинированных хирургических вмешательств.
Радиомический анализ, магнитно-резонансная томография сердца, хроническая сердечная недостаточность, ишемическая кардиомиопатия
Короткий адрес: https://sciup.org/149150636
IDR: 149150636 | УДК: 616.124.2-009.51-005.4:616.12-073.756.8-047.44 | DOI: 10.29001/2073-8552-2025-2889
Non-contrast cine cardiac magnetic resonance radiomics for the prediction of left ventricular adverse remodeling in patients with ischemic cardiomyopathy: a pilot study
Background. Early detection of left ventricular adverse remodeling and its predictors can improve the accuracy of postoperative monitoring and optimize personalized treatment strategies for high-risk patients. A promising approach is radiomics – a high-level medical image processing method that converts imaging data into quantitative indicators for precise characterization of pathological tissue changes. Aim: To investigate radiomic features prognostic value based on noncontrast cine cardiac magnetic resonance imaging (MRI) for assessing the risk of adverse left ventricular remodeling in patients with ischemic cardiomyopathy. Material and Methods. This observational, cohort, retrospective, single-center study included patients (n = 44, 59.2 ± 8.1 years old) with an established diagnosis of ischemic cardiomyopathy (ICM) and indications for surgery. Preoperatively, all patients underwent cardiac MRI with according to clinical indications (to assess myocardial viability). In the early postoperative period and one year after surgery, all patients underwent echocardiography. The criterion for continued LV remodeling was an increase in end diastolic volume ≥10% one year after surgery according to echocardiography. Two study groups were formed: group 1 (n = 23) – patients with ICM without LV aneurysm, who underwent isolated coronary artery bypass grafting; group 2 (n = 21) – patients with ICM and LV aneurysm, who underwent coronary artery bypass grafting in combination with aneurysmectomy and LV plastic surgery. The control group included 28 patients without morphofunctional and structural changes in the LV myocardium according to contrast-enhanced cardiac MRI. Radiomics analysis was performed on noncontrast cine cardiac MRI images at end-diastole. Results. Texture analysis was performed on 72 regions of interest in cine images, corresponding to areas of visually intact myocardium on post-contrast images in patients with ICM (n = 44) and to areas of myocardium in patients in the control group (n = 28). In a year after surgery, continued LV remodeling was detected in 12 patients: 6 patients in groups 1 and 2, respectively. The highest number of statistically significant features with high and moderate predictive ability were identified in the group of patients with ICM and LV aneurysm who underwent a combined procedure – coronary artery bypass graft combined with aneurysmectomy and LV reconstruction. In contrast, in the group of patients who underwent coronary artery bypass graft alone, radiomic features demonstrated low differentiating ability. The most significant radiomic features belong to the category of second-order features: GLRLM (Run Percentage), GLSZM (Zone Percentage) and GLDM (Dependence Non Uniformity Normalized). Conclusion. Non-contrast cine cardiac MRI Radiomics is a promising tool for stratifying the risk of adverse LV remodeling in patients with ICM, particularly after combined surgical procedures. Further development and validation of these approaches may facilitate personalized patient management and improve long-term clinical outcomes.
Текст научной статьи Применение радиомического анализа бесконтрастных изображений магнитнорезонансной томографии сердца в кино режиме для прогнозирования неблагоприятного ремоделирования левого желудочка у пациентов с ишемической кардиомиопатией: пилотное исследование
Неблагоприятное ремоделирование левого желудочка (ЛЖ) у пациентов с ишемической кардиомиопатией (ИКМП) представляет собой патофизиологический процесс, инициированный повреждением миокарда и сопровождающийся комплексными структурными и морфофункциональными изменениями [1]. Данные изменения, затрагивающие экспрессию генов, молекулярные, клеточные и интерстициальные функции, приводят к дилатации ЛЖ, нарушению его функции и, как следствие, неблагоприятным клиническим исходам [2]. В современной научной литературе представлен широкий спектр параметров и пороговых значений для определения ремоделирования ЛЖ [3]. Наиболее распространенными критериями являются относительные изменения конечно-диастолического (КДО) и конечно-систолического объемов (КСО) ЛЖ [4]. Благодаря широкой доступности, эхокардиография (ЭхоКГ) является основным методом оценки ремоделирования ЛЖ как в научных исследованиях, так и в клинической практике. Наиболее часто для определения ремоделирования ЛЖ используются пороговые значения увеличения КДО ЛЖ на 20% и КСО ЛЖ на 15% [5]. Вместе с тем существуют данные, что изменение КДО ЛЖ ≥ 10%, по данным магнитно-резонансной томографии (МРТ) сердца, обладает наибольшей прогностической значимостью в отношении определения ремоделирования ЛЖ [6]. Раннее выявление неблагоприятного ремоделирования ЛЖ и его предикторов способно повысить точность послеоперационного мониторинга и оптимизировать тактику персонифицированного лечения пациентов высокого риска [7].
Перспективным направлением в решении этой задачи является радиомический анализ – метод высокоуровневой обработки медицинских изображений, позволяющий преобразовывать данные визуализирующих методов в количественные показатели для точной характеристики патологических изменений тканей [8, 9]. Применительно к МРТ сердца радиомика все чаще используется для оценки миокарда при различной патологии, знаменуя переход от качественной визуальной оценки к высокопараметрическому анализу, основанному на данных. Ключевым направлением ее развития является создание диагностических алгоритмов на основе нативных изображений, позволяющих в отдельных случаях избежать необходимости контрастного усиления [10]. В ряде исследований подтвержден потенциал радиомики и машинного обучения в оценке локализации и распространенности рубцовой ткани [11, 12], дифференциальной диагностике дилатационной кардиомиопатии и ИКМП [13], а также характеристике различных типов кардиомиопатий [14, 15]. Однако исследования, посвященные радиомическо-му анализу бесконтрастных МРТ-изображений сердца в кино-режиме для прогнозирования неблагоприятного ремоделирования ЛЖ у пациентов с ИКМП, остаются единичными и в России не представлены или представлены единичными работами.
Цель исследования: оценить прогностическую значимость радиомических признаков, основанных на бескон-трастных изображениях МРТ сердца в кино-режиме, для оценки риска развития неблагоприятного ремоделирования ЛЖ у пациентов с ИКМП.
Материал и методы
Пациенты и дизайн исследования
Исследование выполнено в соответствии со стандартами надлежащей клинической практики (Good Clinical Practice) и принципами Хельсинкской декларации. Все пациенты, включенные в исследование, подписывали информированное согласие на участие в исследовании. Работа одобрена локальным комитетом по биомедицинской этике № 277 от 26 февраля 2025 г. МРТ исследования были выполнены на базе Центра коллективного пользования научно-исследовательского оборудования «Медицинская геномика» Томского НИМЦ.
В данное наблюдательное когортное ретроспективное одноцентровое исследование были включены пациенты обоего пола в возрасте от 52 до 65 лет с установленным диагнозом ИКМП (имеющие многососудистое поражение коронарных артерий; перенесенный инфаркт миокарда; фракцию выброса ЛЖ < 40%; конечно-систолический индекс > 60 мл/м2; сердечную недостаточность II IV функционального класса по NYHA). Набор пациентов осуществлялся в 2012–2023 гг. У всех пациентов были показания для хирургического лечения ИКМП. Критерии невключения: пороки сердца различного генеза, повторные острые инфаркты миокарда. Критерий исключения: низкое качество изображений кино-МРТ. На предоперационном этапе всем пациентам выполнялась МРТ сердца с контрастированием по клиническим показаниям (для оценки жизнеспособности миокарда).
В ранний послеоперационный период и через год после операции всем пациентам проводилась ЭхоКГ. Критерием продолженного ремоделирования ЛЖ служило увеличение КДО ≥ 10% через год после операции, по данным ЭхоКГ [6]. Были сформированы две группы исследования: группа 1 – пациенты с ИКМП без аневризмы ЛЖ, которым выполнялось изолированное коронарное шунтирование (КШ); группа 2 – пациенты с ИКМП и аневризмой ЛЖ, которым проводилось КШ в сочетании с аневризмэктомией и пластикой ЛЖ. Дальнейший анализ был выполнен в целом по всей выборке и по каждой из групп в отдельности. Первичной конечной точкой в данном исследовании стало наличие ремоделирования ЛЖ.
В контрольную группу вошли 28 пациентов без морфофункциональных и структурных изменений миокарда ЛЖ, по данным МРТ сердца с контрастированием. Дизайн исследования представлен на рисунке 1. Радиоми-ческий анализ применялся к бесконтрастным изображениям МРТ в кино-режиме.
МРТ сердца с контрастированием
Всем участникам исследования было выполнено МРТ-сердца с контрастированием по стандартному протоколу с использованием 1,5 Тл томографа Vantage Titan (Toshiba). Исследование осуществлялось с ЭКГ-синхронизацией, синхронизацией по дыханию, получением изображений по короткой и длинной осям сердца до и после контрастирования (гадобутрол (Гадовист / Гадобускан)). Технические параметры: толщина срезов: 7–8 мм, ма- трица изображений: 256 × 256, время инверсии (TI), в среднем 300 ± 10 мс. Постпроцессорная обработка проводилась на рабочей станции AdvantageWorkstations (GE Healthcare, США) c применением специализированного программного обеспечения CVI42 (Circle Cardiovascular Imaging Inc., Канада).
Радиомический анализ выполнялся на основе бес-контрастных изображений МРТ сердца в кино-режиме в конце диастолы. Все изображения были сегментированы с использованием программного обеспечения 3D Slicer (version 5.2.2), радиомические признаки извлекались автоматически с помощью расширения SlicerRadiomics (version aa418a5). Последовательно осуществлялось ручное очерчивание области интереса на МРТ срезах по короткой оси (в режиме SSFP), соответствующих визуально интактному миокарду на постконтрастных МРТ изображениях с последующим извлечением текстурных характеристик (рис. 2). Критериями визуально интактного миокарда считалось сочетание следующих характеристик: отсутствие повышения интенсивности МР-сигнала на Т2 взвешенных изображениях; отсутствие истончения стенки; отсутствие накопления контрастного вещества в отсроченную фазу. Для каждой зоны интереса было получено по 107 радиомических признаков: признаки первого порядка, описывающие распределение интенсивности вокселей (например, среднее значение, эксцесс, энтропия) без учета пространственных взаимосвязей, и признаки второго порядка, отражающие пространственные взаимосвязи между соседними вокселями и характеризующие текстуру и неоднородность ткани.
Эхокардиографическое исследование проводилось с применением одной из ультразвуковых систем: Vivid-7 Dimension, Vivid-7 Expert; Vivid E9. В процессе исследования использовались следующие режимы: импульсно-волновой, непрерывно-волновой, цветовой; режимы
Рис. 1. Дизайн исследования
Fig. 1. Study design
А
Б
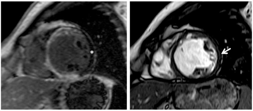
Рис. 2. Магнитно-резонансная томография сердца, Пациент Л., возраст 61 год, с ишемической кардиомиопатией. А – отсроченное контрастирование, короткая ось; Б – кино-режим, SSFP последовательность: короткая ось, диастола. Отмечается трансмуральное накопление контрастного вещества по нижней, передней стенкам левого желудочка и межжелудочковой перегородке; в проекции боковой стенки левого желудочка данных за ишемическое повреждение миокарда нет. На изображениях магнитно-резонансной томографии сердца в кино-режиме формируется зона интереса в области боковой стенки (стрелка), что соответствует визуально интактному миокарду на изображении с отсроченным контрастированием (звездочка)
Fig. 2. Cardiac MRI in Patient L., 61, with ischemic cardiomyopathy. A – late gadolinium enhancement (LGE) short-axis view; B – cine mode, SSFP sequence: short-axis view (diastolic phase). Transmural LGE is observed in the inferior and anterior left ventricular (LV) walls and the interventricular septum. No evidence of ischemic injury is seen in the lateral LV wall. On the cine image the region of interest in the lateral wall (white arrow) corresponds to visually preserved myocardium on the LGE image (white asterisk)
допплеровской визуализации тканей: импульсно-волновое тканевое допплеровское исследование; режимы постпроцессинговой количественной обработки двухмерных цветовых допплеровских данных. Эхокардиографические параметры оценивались в обе фазы сердечного цикла как в абсолютных цифрах, так и индексированных к площади поверхности тела.
Статистическая обработка
Проверка нормальности распределения параметров выполнялась с использованием критерия Шапиро – Уилка. Сравнение количественных показателей в двух независимых группах проводилось с использованием U-критерия Манна – Уитни. Категориальные данные представлены в виде абсолютных и относительных частот, n (%). Для определения диагностической ценности радиомических признаков применялся ROC-анализ однофакторных моделей классификации пациентов в группы риска. Для наиболее значимых предикторов (AUC > 0,8) были рассчитаны чувствительность (Se) и специфичность (Sp). Критический уровень значимости при проверке статистических гипотез составлял 0,05.
Результаты
Всего в исследование было отобрано 44 пациента с ИКМП (59,2 ± 8,1 года), которым выполнялось хирургическое лечение: изолированное КШ ( n = 23) либо КШ в сочетании с аневризмэктомией и пластикой ЛЖ ( n = 21). Клиническая характеристика пациентов представлена в таблице 1. Через год после операции по результатам ЭхоКГ продолженное ремоделирование ЛЖ было выявлено у 12 пациентов: по 6 пациентов в группах 1 и 2 соответственно.
Таблица 1 . Клиническая характеристика пациентов
Table 1 . Clinical characteristics of patients
|
Показатель |
Значение |
|
Возраст, лет |
59,2 ± 8,1 |
|
Пол, мужчины, n (%) |
41 (93) |
|
Индекс массы тела, кг/м2 |
27,9 ± 3,7 |
|
Ожирение, n (%) |
11 (23) |
|
Дислипидемия, n (%) |
25 (57) |
|
Сахарный диабет, n (%) |
7 (16) |
|
Артериальная гипертензия, n (%) |
28 (64) |
|
Функциональный класс сердечной недостаточности, n (%) I |
17 (39) |
|
II |
24 (55) |
|
III |
3 (7) |
|
IV |
|
|
Функциональный класс стенокардии напряжения, n (%) I |
2 (5) |
|
II |
12 (27) |
|
III |
29 (66) |
|
IV |
1 (2) |
|
Хроническая почечная недостаточность, n (%) |
12 (27) |
|
Хроническая обструктивная болезнь легких, n (%) |
13 (30) |
|
Хроническая ишемия головного мозга, n (%) |
12 (27) |
Результаты радиомического анализа данных МРТ сердца
Радиомическому анализу было подвергнуто 72 зоны интереса на изображениях в кино-режиме, соответствующие участкам визуально интактного миокарда на постконтрастных изображениях у пациентов с ИКМП ( n = 44) и участкам миокарда пациентов контрольной группы ( n = 28).
В результате сравнения радиомических признаков визуально интактного миокарда в целом по выборке пациентов после операции КШ или КШ в сочетании с анев-ризмэктомией и радиомических признаков миокарда контрольной группы были выявлены 30 статистически значимо различающихся признаков (p < 0,05). При этом умеренная предсказательная способность (0,7 < AUC < 0,8) была установлена у 11 признаков (GLCM – 2, GLDM – 2, GLRLM – 3, GLSZM – 3, NGTDM – 1). При сравнении участков визуально интактного миокарда у пациентов с ИКМП с ремоделированием ЛЖ и без него определены 36 статистически значимо различающихся радиомиче-ских признаков (p < 0,05). Из них высокая предсказательная способность (AUC > 0,8) была выявлена у двух признаков (Median-First Order Features, Contrast – NGTDM), умеренная (0,7 < AUC < 0,8) – у 16 признаков (First Order Features – 4, GLCM – 4, GLDM – 2, GLRLM – 3, GLSZM – 3), таблица 2.
Для двух наиболее значимых признаков – Median (First
Order Features) и Contrast (NGTDM), демонстрирующих высокую способность прогнозирования ремоделирования ЛЖ в целом по выборке (AUC > 0,8), были получены следующие показатели чувствительности и специфичности: Se = 75%, Sp = 81,2% и Se = 91,7%, Sp = 68,7% соответственно (рис. 3).
В результате сравнения радиомических признаков визуально интактного миокарда в подгруппе пациентов после изолированной операции КШ и радиомических признаков миокарда контрольной группы были выявлены только три статистически значимо различающихся признака, относящихся к группе GLCM ( p < 0,05) с низкой предсказательной способностью (AUC < 0,5). При сравнении участков визуально интактного миокарда у пациентов с ИКМП с ремоделированием и без него определены четыре статистически значимо различающихся радиоми-ческиех признака ( p < 0,05), из них высокая предсказательная способность (AUC > 0,8) была выявлена у одно-
Таблица 2 . Радиомические признаки с умеренной и высокой способностью прогноза ремоделирования левого желудочка в целом по выборке (группы 1, 2)
Table 2 . Radiomic features with moderate and high ability to forecast of LV remodeling in the entire sample (groups 1, 2)
|
Радиомические признаки |
Контроль vs Ремодел ирование «+» |
Ремоделирование «+ » vs Ремоделирование «–» |
||
|
AUC |
p |
AUC |
p |
|
|
Run Percentage (GLRLM) |
0,76 |
0,01 |
0,77 |
0,01 |
|
Dependence Non Uniformity Normalized (GLDM) |
0,75 |
0,01 |
0,75 |
0,01 |
|
Zone Percentage (GLSZM) |
0,75 |
0,01 |
0,75 |
0,01 |
|
Small Dependence Emphasis (GLDM) |
0,74 |
0,02 |
0,75 |
0,01 |
|
Short Run Emphasis (GLRLM) |
0,74 |
0,02 |
0,76 |
0,01 |
|
Run Length Non Uniformity Normalized (GLRLM) |
0,73 |
0,02 |
0,76 |
0,01 |
|
Difference Average (GLCM) |
0,73 |
0,02 |
0,78 |
0,00 |
|
Small Area Emphasis (GLSZM) |
0,72 |
0,03 |
0,76 |
0,01 |
|
Size Zone Non Uniformity Normalized (GLSZM) |
0,72 |
0,03 |
0,76 |
0,01 |
|
Contrast (NGTDM) |
0,72 |
0,03 |
0,81 |
0,00 |
|
Contrast (GLCM) |
0,71 |
0,03 |
0,76 |
0,01 |
|
Median (First Order Features) |
0,69 |
0,07 |
0,82 |
0,001 |
Примечание: GLRLM (gray level run length matrix features) – матрица длин серий уровней серого, GLDM (gray level dependence matrix features) – матрица зависимости уровней серого, GLSZM – (gray level size zone matrix features) – матрица размера зон уровня серого, GLCM – (gray level cooccurrence matrix features) – матрица совпадения уровней серого, NGTDM – (neighbouring gray tone difference matrix features) – матрица различий соседних оттенков серого, Run Percentage – доля серий, Dependence Non Uniformity Normalized – нормированная зависимость неравномерности, Zone Percentage – процент зон, Small Dependence Emphasis – выраженность малых зависимостей, Short Run Emphasis – выраженность коротких серий, Run Length Non Uniformity Normalized – нормированная неравномерность длины ряда, Difference Average – разница средних, Small Area Emphasis – выраженность небольших зон, Size Zone Non Uniformity Normalized – нормированная неравномерность размера зон, Contrast – контрастность, Contrast – контраст, Median (First Order Features) – медиана (признаки первого порядка).
Contrast
Sensitivity 91 7
Specificity 68 7 Criterion >0 3378
10О-Specificity
Рис. 3. ROC-кривые радиомических признаков: Медиана (признаки первого порядка) и Контрастность (матрица различий соседних оттенков серого) для прогнозирования неблагоприятного ремоделирования левого желудочка в целом по выборке
Fig. 3. ROC curves of radiomic features: Median (First Order Features) and Contrast (NGTDM) for predicting left ventricular adverse remodeling in the entire sample
Sensitivity 75 0
Specificity 81 2
Cntenon >1087
AUC = 0,815 P < 0.001
AUC = 0.807
P < 0,001
го признака (10Percentile – First Order Features), низкая (AUC < 0,5) – у 3 признаков (GLCM), таблица 3.
В подгруппе пациентов после операции КШ в сочетании с аневризмэктомией в результате сравнения ради-омических признаков визуально интактного миокарда и радиомических признаков миокарда контрольной группы из 107 признаков были выявлены 27 статистически значимо различающихся (p < 0,05). При этом высокая предсказательная способность (AUC > 0,8) была установлена у 5 признаков (GLDM – 2, GLRLM – 1, GLSZM – 2), умеренная предсказательная способность (0,7 < AUC < 0,8) – у 6 признаков (GLСM – 3, GLRLM – 2, GLSZM – 1). При сравнении участков визуально интактного миокарда у пациентов с ИКМП с ремоделированием и без него в данной группе определены 32 статистически значимо различающихся радиомическиех признака (p < 0,05). Из них высокая предсказательная способность (AUC > 0,8) была установлена у 16 признаков (First Order Features – 3, GLCM – 4, GLDM – 2, GLRLM – 3, GLSZM – 3, NGTDM – 1), таблица 4.
Таблица 3 . Радиомические признаки с умеренной и высокой способностью прогнозирования ремоделирования левого желудочка в группе пациентов с ишемической кардиомиопатией без аневризмы левого желудочка (группа 1)
Table 3 . Radiomic features with moderate and high ability for predicting left ventricular adverse remodeling in patients with ICM without LV aneurysm (group 1)
|
Радиомические признаки |
Контроль vs Ремоделирование «+» |
Ремоделирование «+» vs Ремоделирование «–» |
||
|
AUC |
p |
AUC |
p |
|
|
Inverse Difference Moment Normalized – Idmn (GLCM) |
0,20 |
0,02 |
0,18 |
0,02 |
|
Inverse Difference Normalized – Idn (GLCM) |
0,20 |
0,02 |
0,20 |
0,03 |
|
Correlation (GLCM) |
0,17 |
0,01 |
0,15 |
0,01 |
|
10Percentile (First Order Features) |
0,61 |
0,41 |
0,82 |
0,02 |
Примечание: GLCM (gray level co-occurrence matrix features) – матрица совпадения уровней серого, Inverse Difference Moment Normalized (Idmn) – нормированный момент обратной разности, Inverse Difference Normalized (Idn) – нормированная обратная разность, Correlation – корреляция, 10Percentile (First Order Features) – 10% процентиль.
Таблица 4 . Радиомические признаки с умеренной и высокой способностью прогнозирования ремоделирования левого желудочка в группе пациентов с ишемической кардиомиопатией и аневризмой левого желудочка (группа 2)
Table 4 . Radiomic features with moderate and high ability for predicting left ventricular adverse remodeling in patients with ICM with LV aneurysm (group 2)
|
Радиомические признаки |
Контроль vs Ремоделирование «+» |
Ремоделирование «+» vs Ремоделирование «–» |
||
|
AUC |
p |
AUC |
p |
|
|
Run Percentage (GLRLM) |
0,83 |
0,01 |
0,88 |
0,01 |
|
Zone Percentage (GLSZM) |
0,83 |
0,01 |
0,88 |
0,01 |
|
Dependence Non Uniformity Normalized (GLDM) |
0,82 |
0,01 |
0,86 |
0,01 |
|
Small Area Emphasis (GLSZM) |
0,80 |
0,02 |
0,88 |
0,01 |
|
Small Dependence Emphasis (GLDM) |
0,80 |
0,02 |
0,88 |
0,01 |
|
Size Zone Non Uniformity Normalized (GLSZM) |
0,80 |
0,02 |
0,88 |
0,01 |
|
Short Run Emphasis (GLRLM) |
0,79 |
0,03 |
0,86 |
0,01 |
|
Difference Average (GLCM) |
0,79 |
0,03 |
0,92 |
0,00 |
|
Run Length Non Uniformity Normalized (GLRLM) |
0,78 |
0,03 |
0,87 |
0,01 |
|
Contrast (NGTDM) |
0,76 |
0,05 |
0,88 |
0,01 |
Примечание: GLRLM (gray level run length matrix features) – матрица длин серий уровней серого, GLDM (gray level dependence matrix features) – матрица зависимости уровней серого, GLSZM (gray level size zone matrix features) – матрица размера зон уровня серого, GLCM – (gray level cooccurrence matrix features) – матрица совпадения уровней серого, NGTDM – (neighbouring gray tone difference matrix features) – матрица различий соседних оттенков серого, Run Percentage – доля серий, Zone Percentage – процент зон, Dependence Non Uniformity Normalized – нормированная зависимость неравномерности, Small Area Emphasis – выраженность небольших зон, Small Dependence Emphasis – выраженность малых зависимостей, Size Zone Non Uniformity Normalized – нормированная неравномерность размера зон, Short Run Emphasis – выраженность коротких серий, Difference Average – разница средних, Run Length Non Uniformity Normalized – нормированная неравномерность длины ряда, Contrast – контрастность.
Обсуждение
Данное пилотное исследование демонстрирует потенциальную значимость радиомического анализа нативных изображений МРТ сердца в кино-режиме для прогнозирования неблагоприятного ремоделирования ЛЖ у пациентов с ИКМП после хирургического лечения. Полученные результаты указывают на то, что текстурные особенности визуально интактного миокарда, оцененные с помощью радиомических признаков, содержат информацию, которая может служить ранним маркером процессов ремоделирования еще до появления явных морфофункциональных изменений. Ключевым выводом данной работы является существенная разница в прогностической способности радиомической модели в зависимости от наличия аневризмы ЛЖ у пациентов с ИКМП.
Наибольшее количество статистически значимых признаков с высокой и умеренной предсказательной способностью было выявлено в группе пациентов с ИКМП и аневризмой ЛЖ, перенесших комбинированное вмешательство – КШ в сочетании с аневризмэктомией и пластикой ЛЖ. Это позволяет предположить, что патофизиологические процессы ремоделирования в этой группе имеют более выраженный и, возможно, более однородный характер, что делает их доступными для выявления с помощью радиомичского анализа. Напротив, в группе пациентов, перенесших только КШ, радиомические признаки продемонстрировали низкую дифференцирующую способность. Это может объясняться менее выраженным характером ремоделирования или большей гетерогенностью патофизиологических процессов в данной подгруппе, что требует дальнейшего изучения на более крупных выборках.
Важным аспектом данного исследования является то, что наиболее значимые радиомические признаки относятся к категории признаков второго порядка: GLRLM (Run Percentage), GLSZM (Zone Percentage) и GLDM
(Dependence Non Uniformity Normalized). Эти признаки количественно описывают неоднородность текстуры миокарда, отражая пространственное распределение интенсивности вокселей и особенности их взаимного расположения [16]. Очевидно, что эти изменения визуально не определяются при качественном анализе изображений, но отражают начальные, субклинические стадии фиброза, воспаления или других интерстициальных изменений, которые предшествуют манифестному ремоделированию и нарушению функции ЛЖ [17, 18]. Это согласуется с данными других исследований, в которых радиомика демонстрирует способность выявлять скрытые паттерны, невидимые человеческому глазу [3].
Клиническая значимость данного исследования заключается в подтверждении возможности использования бесконтрастного протокола МРТ для решения сложной прогностической задачи, что особенно актуально для пациентов с противопоказаниями к введению гадолинийсодержащих контрастных препаратов (например, при тяжелой хронической болезни почек). Применение данного протокола МРТ позволяет снизить затраты и время исследования, что может способствовать более широкому внедрению метода в рутинную клиническую практику для динамического наблюдения.
Перспективы дальнейших исследований видятся в таких направлениях, как увеличение размера выборки и проведение проспективных исследований; интеграция радиомических признаков с клиническими и лабораторными данными для построения комплексных предиктивных моделей с использованием методов машинного обучения.
Ограничения
Основными ограничениями настоящего исследования являются его ретроспективный дизайн и одноцен-тровый характер, что может быть причиной смещения выборки. Кроме того, исследование было проведено на относительно небольшой выборке пациентов. Ручная сегментация миокарда может быть основой существенной меж- и внутриоператорской вариабельности, которую мы не оценивали в данной работе. Для подтверждения клинической значимости предложенной радиомической модели необходимы проспективные исследования. Тем не менее, в работе продемонстрированы статистически значимые различия радиомических признаков интактного миокарда у пациентов с ИКМП с ремоделированием ЛЖ и без него.
Заключение
Радиомический анализ бесконтрастных изображений МРТ сердца в кино-режиме является перспективным инструментом для стратификации риска неблагоприятного ремоделирования ЛЖ у пациентов с ИКМП, особенно после комбинированных хирургических вмешательств. Дальнейшая разработка и валидация этих подходов может способствовать персонализации тактики ведения пациентов и улучшению отдаленных клинических исходов.