Редкое новообразование молочной железы: клинический случай аденомиоэпителиомы

Автор: Бересток Т.С., Ермощенкова М.В., Галкин В.Н., Семенова А.Б., Диденко В.В., Шаталов В.Г., Исаева О.И., Богатырёва М.А., Старцева О.И., Эминова К.Р.

Журнал: Сибирский онкологический журнал @siboncoj

Рубрика: Случай из клинической практики

Статья в выпуске: 6 т.24, 2025 года.

Бесплатный доступ

Актуальность. Аденомиоэпителиома молочной железы – редкая доброкачественная опухоль, характеризующаяся двухфазной пролиферацией эпителиальных и миоэпителиальных клеток долькового и протокового компонентов молочной железы. Несмотря на доброкачественную природу, аденомиоэпителиома может подвергаться злокачественной трансформации, что делает раннюю диагностику и вовремя начатое лечение особенно актуальными. В настоящее время нет установленных клинических, рентгенологических и морфологических критериев для раннего выявления этого типа опухоли, что затрудняет диагностику и требует гистологического исследования опухоли. Описание клинического случая. Пациентка С., 39 лет, обратилась в Онкологический центр № 1 ГБУЗ «ГКБ им. С.С. Юдина ДЗМ» по поводу новообразования молочной железы, выявленного при плановом обследовании. По данным ультразвукового исследования было предположено наличие фиброаденомы. При гистологическом исследовании трепан-биоптата опухоли была диагностирована аденомиоэпителиома. Пациентке выполнена секторальная резекция правой молочной железы, гистологические и иммуногистохимические исследования операционного материала подтвердили диагноз аденомиоэпителиомы. Заключение. Аденомиоэпителиома молочной железы – редкая опухоль с уникальными гистологическими характеристиками. Диагноз устанавливают на основании гистологического и иммуногистохимического исследования. Основным методом лечения является хирургический. Необходимы дальнейшие исследования для изучения патогенеза.

Еще

Аденомиоэпителиома молочной железы, секторальная резекция, рак молочной железы, иммуногистохимическое исследование

Короткий адрес: https://sciup.org/140313336

IDR: 140313336   |   УДК: 618.19-006   |   DOI: 10.21294/1814-4861-2025-24-6-173-182

Adenomyoepithelioma of the breast: a case report

Background. Adenomyoepithelioma of the breast is a rare benign tumor characterized by biphasic proliferation of epithelial and myoepithelial cells of the lobular and ductal components of the breast. Although benign, adenomyoepithelioma has a potential for malignant transformation; therefore its early detection is crucial. Currently, there are no established clinical, radiological and morphological criteria for early detection of this type of tumor, which can complicate diagnosis and requires histological examination of the tumor. description of the clinical case. A 39-year-old female patient presented to the Oncology Center No. 1 of the S.S. Yudin Clinical Hospital with the breast neoplasm detected during a routine examination. Ultrasound examination showed fibroadenoma. Histological examination of the trepan biopsy specimen revealed adenomyoepithelioma. The patient underwent a sectoral resection of the right breast. Histology and immunohistochemistry confirmed the diagnosis of adenomyoepithelioma. Conclusion. Breast adenomyoepithelioma is a rare tumor diagnosed by histology/immunohistochemistry, with surgery as a main treatment. Further research is needed to study the pathogenesis.

Еще

Текст научной статьи Редкое новообразование молочной железы: клинический случай аденомиоэпителиомы

Согласно современной классификации, опухоли молочной железы подразделяют на эпителиальные, мезенхимальные, фиброэпителиальные, опухоли соска, злокачественные лимфомы, метастатические опухоли и опухоли молочной железы у мужчин [1]. Аденомиоэпителиома молочной железы – редкий вид доброкачественной опухоли, которая развивается преимущественно у женщин, при этом в настоящее время, по данным B. Gafton et al., зарегистрировано только 2 случая у мужчин [1, 2]. Обычно аденомиоэпителиомы встречаются у лиц старше 60 лет, однако известны случаи выявления опухоли у более молодых пациенток, в мировой литературе зарегистрированы случаи аденомиоэпителиом в широком возрастном диапазоне (16–86 лет) [3]. Так, в отечественной литературе описан редкий случай доброкачественной аденомиоэпителиомы у 16-летней пациентки [4]. Гистологически аденомиоэпителиома характеризуется пролиферацией эпителиальных и миоэпителиальных клеток долькового и протокового компонентов молочной железы, поэтому данный вид опухоли относится к подтипу эпителиально-миоэпителиальных опухолей молочной железы [1]. В 2021 г. E. Rakha et al. уточнили классификацию этого типа опухоли, разделив ее на подтипы: доброкачественную, атипичную и злокачественную аденомиоэпителиому [5]. В настоящее время клинические, рентгенологические и гистологические данные для диагностики заболевания ограничены и не являются специфич- ными. В большинстве случаев аденомиоэпителиома проявляется как безболезненное, плотное, хорошо отграниченное образование в виде узла, с нечеткими краями, в среднем до 2 см в диаметре. Боль и дискомфорт встречаются редко и обычно связаны с большими размерами опухоли или воспалительными изменениями. На маммограмме аденомиоэпителиома часто представлена как хорошо отграниченное, овальное, плотное образование, иногда с микрокальцинатами, а ультразвуковое исследование молочных желез показывает неоднородное гипоэхогенное или смешанное эхогенное образование с четкими или нечеткими границами, как правило, без признаков васкуляризации. Патологоанатомическая диагностика аденомиоэпителиомы молочной железы является сложной задачей из-за гетерогенности опухоли, ряда гистологических паттернов и недостаточного объема материала при заборе трепан-биоптата, поэтому довольно часто одной биопсии недостаточно для установки точного диагноза аденомиоэпителиомы [6–8]. Основной тактикой лечения доброкачественных и злокачественных аденомиоэпителиом является хирургическая в объеме удаления опухоли с широкими краями резекции (wide excision) в пределах здоровых тканей [9–13].

Для определения злокачественной трансформации используют морфологические признаки, такие как ядерная атипия, высокая митотическая активность, некрозы и инфильтративный тип роста. Однако нет четких клинических критериев, позволяющих отличить доброкачественные и злокачественные аденомиоэпителиомы, что затрудняет первичную диагностику заболевания [14]. Аденомиоэпителиому трудно отличить от других доброкачественных опухолей молочной железы, таких как внутрипротоковая папиллома, канальцевая аденома и склерозирующий аденоз, и злокачественных новообразований; окончательный диагноз устанавливают патоморфологически [15–17]. Из-за редкости заболевания точные частота и распространенность остаются неясными, и большая часть информации в данной статье получена из обзоров об отдельных небольших сериях клинических случаев.

В данной статье представлены обзор литературы о диагностических методах, вариантах лечения и прогностических факторах аденомиоэпителиомы молочной железы, а также клинический случай.

Обзор литературы

Морфологический метод является стандартом диагностики аденомиоэпителиомы, однако в некоторых работах сообщается о половине неподтвержденных случаев аденомиоэпителиом по результатам планового гистологического исследования операционного материала [6, 13]. Согласно классификации опухолей молочной железы ВОЗ, аденомиоэпителиома (AME) – новообразование с эпителиально-миоэпителиальной пролиферацией (обычно доброкачественное), характеризующееся небольшими, выстланными эпителием пространствами с клетками внутреннего просвета протоков и пролиферацией непостоянно увеличенных и отчетливо заметных люминальных миоэпителиальных клеток [1].

Y. Fukudome et al. представили опыт диагностики доброкачественной аденомиоэпителиомы у двух пациенток [6]. Авторы не могли полностью исключить диагноз карциномы молочной железы у пациенток, в связи с чем была выполнена диагностическая секторальная резекция молочной железы. По результатам планового гистологического исследования операционного материала не было выявлено признаков злокачественности ни в протоковых эпителиальных, ни в миоэпителиальных клетках. На основании данных морфологического и иммуногистохимического исследований установлен диагноз доброкачественной аденомиоэпителиомы. E. El-Helou et al. сообщили о клиническом случае аденомиоэпителиомы у пациентки 66 лет [3]. По данным инструментального исследования обнаружено образование мягких тканей, размерами 18×7×15 мм, по результатам трепан-биопсии – фиброаденома молочной железы. Пациентке выполнена мастэктомия. При плановом гистологическом исследовании диагностирована аденомиоэпителиома. S. Jayakar et al. описали случай пациентки 35 лет [18]. По данным УЗИ в правой молочной железе выявлено четко очерченное гете- рогенное гиперэхогенное образование, размерами 28×37 мм, с признаками кровотока, клинически и цитологически соответствующее фиброаденоме. Выполнена секторальная резекция молочной железы, при плановом гистологическом исследовании выявлена доброкачественная опухоль, состоящая из пролиферации эпителиальных и миоэпителиальных клеток (аденомиэпителиома), признаков атипии или злокачественности не обнаружено. Для дифференциации доброкачественных и злокачественных форм необходимо использование иммуногистохимического исследования (ИГХ). Такие маркеры, как р63, гладкомышечный актин (SMA) и цитокератины, обычно используют для идентификации миоэпителиальных и эпителиальных компонентов [15–17].

Злокачественная аденомиоэпителиома (AME-M) – аденомиоэпителиома с карциномой, при которой злокачественное образование может возникать из просветных эпителиальных, или из миоэпителиальных компонентов, или из обоих типов клеток. Когда злокачественными являются как эпителиальные, так и миоэпителиальные компоненты, используют термин «эпителиальномиоэпителиальная карцинома». AME-M может демонстрировать широкий спектр морфологических признаков. При AME со злокачественным изменением просвета и/или миоэпителиального компонента распознают гистологический вид AME, при этом переход в карциному наблюдается в виде цитологической атипии, увеличения митозов и некроза в злокачественном компоненте. Когда злокачественная трансформация затрагивает в основном эпителиальный компонент, она может включать признаки инвазивной карциномы молочной железы неспецифического типа, инвазивной дольковой карциномы и карцином особых типов. Когда злокачественная трансформация включает миоэпителиальный компонент, преобладают признаки миоэпителиоклеточного рака; такие случаи характеризуются чрезмерным ростом веретенообразных или эпителиоидных миоэпителиальных клеток с прозрачной или эозинофильной цитоплазмой, ядерной атипией и частыми митотическими фигурами. Нередко инвазивный компонент карциномы относится к метапластическому типу. Некоторые авторы сообщали о плоскоклеточном раке, аденосквамозной карциноме низкой степени злокачественности, веретеноклеточном раке, карциносаркоме и матрикс-продуцирующей карциноме [1].

E.H. Belhaddad et al. представили клинический пример пациентки 34 лет, у которой при УЗИ молочных желез выявлено гипоэхогенное образование с дольчатыми краями без кальцинатов, размерами 20×20×15 мм [9]. По результатам гистологического исследования обнаружена опухоль с двухкомпонентной пролиферацией эпителиальных и миоэпителиальных клеток. Результаты ИГХ- исследования показали положительную реакцию на SMA, p63, цитокератин 14+, цитокератин 5+ (миоэпителиальный компонент) и AE 1/3 (эпителиальный компонент). Гормональные рецепторы (RE, RP) и Her2/neu не обнаружены. Авторы предварительно диагностировали аденомиоэпителиому, выполнена секторальная резекция молочной железы, по данным гистологического исследования операционного материала диагноз подтвержден. После 2 лет наблюдения признаков рецидива и прогрессирования заболевания не обнаружено.

В большинстве случаев аденомиоэпителиомы представляют собой доброкачественные новообразования, но имеется риск появления новой опухоли после хирургического лечения или, реже, злокачественной трансформации через 6 мес – 5 лет [10, 19]. Установлено, что оба компонента опухоли, как миоэпителиальный, так и эпителиальный, могут подвергаться злокачественной трансформации как отдельно, так и одновременно [13, 20]. G. Oda et al. [21] приводят клинический случай 53-летней пациентки через 2 года после хирургического лечения по поводу доброкачественной аденомиоэпителиомы правой молочной железы в объеме секторальной резекции. По результатам планового гистологического исследования диагностировано повторное развитие аденомиоэпителиомы с пролиферацией. Злокачественная трансформация была определена вследствие выявления ядерной атипии, высокого количества митозов (приблизительно 10/10 полей высокой мощности) и инвазивного роста образования, R0. Через 8 мес пациентка повторно обратилась с жалобами на образование в зоне резекции. Выполнена повторная операция, по результатам планового гистологического исследования операционного материала обнаружен рецидив аденомиоэпителиомы со злокачественной трансформацией и плоскоклеточной дифференцировкой.

Среди отечественных публикаций также имеются данные о злокачественной трансформации новообразований молочной железы, наблюдаемых в течение длительного периода. Л.Х. Мухмаматгале-ева и соавт. [22] описали случай рецидивирующего течения опухоли молочной железы, гистологический фенотип которой трансформировался из доброкачественной фиброаденомы в злокачественную аденомиоэпителиому. В связи с агрессивным и рецидивирующим течением пациентке выполнена мастэктомия справа. По результатам планового гистологического и ИГХ-исследования выявлен рост злокачественной веретеноклеточной неоплазии с участками некроза и патологическими митозами; отмечалась положительная экспрессия маркера SMA, индекс пролиферации Ki67 составил 15 %.

При обнаружении опухолевого роста в краях резекции рекомендована реоперация (мастэктомия или ререзекция краев). Для злокачественной аденомиоэпителиомы в зависимости от размеров опухоли и факторов прогноза по данным гистоло- гического и ИГХ-исследований может быть показано адъювантное лечение: лекарственная или лучевая терапия, однако каждый случай рекомендовано рассматривать индивидуально [15]. Исследование W. Haque et al. [11], которое включало 110 больных, продемонстрировало, что 5-летняя общая выживаемость у всех пациенток со злокачественной аденомиоэпителиомой составила 74,4 %. Из 110 случаев адъювантная лекарственная терапия применена в 26 %, гормональная – в 8 % и лучевая – в 36 % без улучшения общей выживаемости, поэтому вопрос о целесообразности адъювантной терапии остается дискутабельным.

Злокачественная аденомиоэпителиома характеризуется высоким риском отдаленного метастазирования в легкие, щитовидную железу, кости и головной мозг [10, 16, 19]. Регионарное метастазирование встречается редко и описано только в одном исследовании [15]. В связи с этим некоторые авторы пришли к выводу, что при выявлении злокачественной аденомиоэпителиомы предпочтительнее будет выполнение биопсии сторожевого лимфатического узла [3, 16, 23]. В исследовании K. Moro et al. [10] пациентке 64 лет с доброкачественной аденомиоэпителиомой левой молочной железы выполнена секторальная резекция, при морфологическом исследовании получены данные о злокачественной опухоли. Пациентке выполнена мастэктомия, и при ИГХ-исследовании (Ki67 – 44 %, экспрессия р53) диагностирована злокачественная аденомиоэпителиома. Через 8 мес обнаружены метастазы в легких. Проведено 9 курсов полихимиотерапии по схеме FEC с последующей лобэктомией, и через 9 мес выявлены множественные метастазы в легкие, правую почку, правый надпочечник, яичники и брюшную полость. Следующая линия лекарственной терапии эрибулином показала неэффективность, с последующим летальным исходом. При вскрытии выявлены метастазы в миокарде, почках и головном мозге.

Z. Zhang et al. [24] описали клинический случай пациентки 64 лет, обратившейся с жалобами на безболезненное образование в левой молочной железе, существующее в течение года с быстрыми темпами роста в последние 6 мес и диаметром по данным маммографии – 4 см. Выполнена резекция левой молочной железы, и по результатам планового гистологического исследования обнаружена протоковая карцинома in situ, в связи с чем выполнена мастэктомия с определением сторожевого лимфатического узла. При гистологическом исследовании молочной железы диагностирована низкодифференцированная злокачественная аденомиоэпителиома с локальной микроинвазией (0,1 см), злокачественной дегенерацией миоэпителия в опухоли и хорошо видимыми митотическими фигурами. В течение 1 года наблюдения рецидива и прогрессирования заболевания не было. P. Parikh et al. [25] представлено клиническое на- блюдение 7 пациенток от 33 до 82 лет, из которых только у одной больной, 62 лет, при плановом обследовании обнаружена аденомиоэпителиома с карциномой. При гистологическом исследовании трепан-биоптата обнаружена картина атипичного эпителиально-миоэпителиального новообразования. Выполнена секторальная резекция молочной железы, при гистологическом исследовании операционного материала диагностирована злокачественная аденомиоэпителиома R0, по данным ИГХ – тройного негативного типа. Было рекомендовано комплексное лечение с включением лекарственной и лучевой терапии. Пациентка отказалась от лечения, и за период наблюдения прогрессирования заболевания выявлено не было.

В ретроспективном исследовании H.M.A. Alqu-daihi et al. [16] отобрано 15 пациенток, среди которых у 40 % выявлены доброкачественные новообразования по результатам гистологического исследования трепан-биоптатов. Однако по результатам планового гистологического исследования операционного материала у всех 15 пациенток диагностирована аденомиоэпителиома с карциномой. Пять (45,5 %) из 11 случаев были тройными негативными опухолями. Авторы считают, что такие нетипичные признаки, как выраженный ядерный плеоморфизм, митотическая активность, некроз, инвазивный рост 1 из 2 компонентов поражения, могут не проявляться при гистологическом исследовании трепан-биоптата, поэтому рекомендовано исследование опухоли полностью.

Клинический случай

Представлен клинический случай пациентки, 39 лет, находящейся на обследовании в Онкологическом центре № 1 ГБУЗ «ГКБ им. С.С. Юдина ДЗМ» по поводу опухолевидного образования в правой молочной железе, диагностированного как доброкачественная аденомиоэпителиома.

Из анамнеза известно, что впервые опухоль была обнаружена при плановом диспансерном обследовании. В марте 2024 г. по месту жительства выполнено УЗИ молочных желез, при котором обнаружены признаки фиброзно-кистозной мастопатии и предположительно фиброаденомы правой молочной железы на 12 часах условного циферблата, размерами 6×3 мм. Рекомендовано наблюдение. Однако для дальнейшего обследования и лечения пациентка самостоятельно обратилась в Онкологический центр № 1 ГБУЗ «ГКБ им. С.С. Юдина ДЗМ».

Объективно молочные железы симметричные, № 2, птоз I степени. Кожные покровы, сосковоареолярные комплексы с обеих сторон не изменены, выделений из сосков нет. В правой молочной железе на границе верхних квадрантов при глубокой пальпации нечетко определялась зона уплотнения, диаметром 1 см (расценено как непальпируемое образование), смещаемая по отношению к окружающим тканям, безболезненная при пальпации.

Регионарные лимфатические узлы пальпаторно не увеличены.

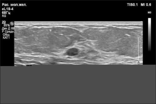
При УЗИ молочных желез через 4 мес после первичного обследования: BI-RADS-4а справа, BI-RADS-2 слева. Эхо-картина фиброзно-кистозных изменений молочных желез с преобладанием железистой ткани. В правой молочной железе на 12 часах условного циферблата определяется гипоэхогенное образование овальной формы с четким ровным контуром, размерами 1,0×0,4 см, периферическим кровотоком, предположительно фиброаденома, отмечен некоторый рост в динамике от марта 2024 г., выполнена трепан-биопсия. Аксиллярные лимфатические узлы с сохраненной дифференцировкой (рис. 1, 2).

Обзорная маммография молочных желез в 2 проекциях через 4 мес после первичного обследования: в правой молочной железе визуализируются единичные мелкие тени кистозного характера, рассеянные кальцинаты. Отдельные узловые образования, зоны асимметрии строения и перестрой-

Рис. 1. УЗ-картина гипоэхогенного образования на границе верхних квадрантов правой молочной железы.

Примечание: рисунок выполнен авторами

Fig. 1. Ultrasound image of hypoechoic lesion at the border of the upper quadrants of the right breast. Note: created by the authors

Рис. 2. Допплеровское картирование: демонстрация периферического кровотока.

Примечание: рисунок выполнен авторами

Fig. 2. Doppler mapping: demonstration of peripheral blood flow. Note: created by the authors

Рис. 3. Маммограммы в прямой и косой проекциях. Примечание: рисунок выполнен авторами

Fig. 3. Mammograms in straight and oblique projections. Note: created by the authors

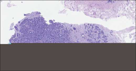
Рис. 4. Микрофото. Аденомиоэпителиома молочной железы, ×20. Примечание: рисунок выполнен авторами Fig. 4. Microphoto. Breast adenomyoepithelioma, ×20.

Note: created by the authors

Рис. 5. УЗ-картина локализационной иглы в проекции опухоли. Примечание: рисунок выполнен авторами

Fig. 5. Ultrasound image of the needle’s location in the projection of the tumor. Note: created by the authors

Рис. 6. Маммограммы после внутритканевой УЗ-разметки образования, в проекции установленной локализационной иглы образование четко не визуализируется.

Примечание: рисунок выполнен авторами

Fig. 6. Mammograms after interstitial ultrasound marking of the lesion; the lesion is not clearly visualized in the projection of the needle’s location. Note: created by the authors

ки структуры не определяются. Аксиллярные лимфатические узлы визуализируются с жировыми воротами, в видимой части аксиллярная область без особенностей. Rg-картина остаточных фиброзно-кистозных изменений обеих молочных желез. BI-RADS-2 слева и справа (рис. 3).

По данным патологоанатомического исследования трепан-биоптата опухоли определялись фрагменты молочной железы с нарушенной архитектоникой за счёт разрастания опухоли, состоящей из плотно расположенных клеток с округлыми и овальными гиперхромными ядрами и скудной цитоплазмой, окруженными гиперпластическими миоэпителиальными клетками. Митотическая активность не определяется. Опухолевые клетки формируют трабекулярные и тубулярные структуры. Строма опухоли умеренно выражена, с очаговым гиалинозом. Заключение: морфологи- ческая картина соответствует аденомиоэпителиоме молочной железы (рис. 4).

Пациентке выполнена предоперационная разметка непальпируемого образования правой молочной железы с установкой локализационный иглы-проводника под УЗИ молочных желез и Rg-контролем (рис. 5, 6). В I онкологическом отделении Онкологического центра № 1 ГБУЗ «ГКБ им. С.С. Юдина ДЗМ» 13.08.24 выполнена секторальная резекция правой молочной железы. Интраоперационный вид удаленного сектора правой молочной железы с опухолью и локализационной иглой-проводником представлен на рис. 7.

По данным прижизненного патологоанатомического исследования операционного материала: макроскопически – фрагмент жировой клетчатки, размерами 3×1×3,5 см, на разрезе – участок тяжистой фиброзной ткани, размера-

Рис. 7. Сектор правой молочной железы с опухолью и локализационной иглой. Примечание: рисунок выполнен авторами Fig. 7. The sector of the right breast with tumor and localization needle. Note: created by the authors

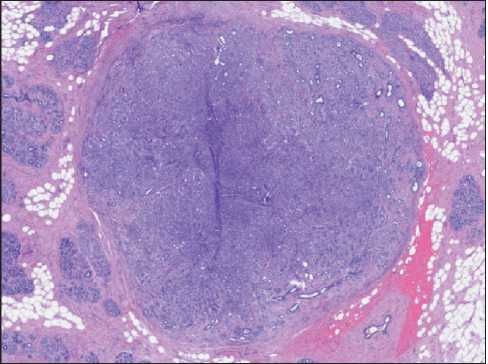
Рис. 8. Микрофото. Доброкачественная аденомиоэпителиома молочной железы, ×20. Примечание: рисунок выполнен авторами Fig. 8. Microphoto. Benign adenomyoepithelioma of the breast , ×20. Note: created by the authors

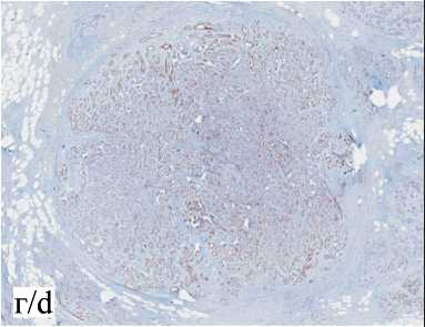
Рис. 9. Микрофото. Иммуногистохимическое исследование доброкачественной аденомиоэпителиомы с использованием моноклональных антител Estrogen Receptor, Progesteron Receptor, p63, Calponin-1, CK7, ×20.

Примечание: рисунок выполнен авторами Fig. 9. Microphoto. Immunohistochemical examination of benign adenomyoepithe-lioma using monoclonal antibodies Estrogen Receptor, Progesteron Receptor, p63, Calponin-1, CK7, ×20. Note: created by the authors

ми 3×0,9×1,5 см. Микроскопическое описание: фрагменты молочной железы с наличием множественных дольково-протоковых структур, часть из которых с пролиферацией люминальных и миоэпителиальных клеток. Отмечается фокус хорошо отграниченного от окружающих тканей новообразования, состоящего из плотно расположенных клеток, с округлыми и овальными гиперхромными ядрами и скудной цитоплазмой, окруженными гиперпластическими миоэпителиальными клетками, формирующими тубулярные структуры. Митотическая активность достоверно не определяется . Края резекции без опухолевого роста. Заключение: морфологическая картина соответствует аденомиоэпителиоме правой молочной железы; простая протоковая гиперплазия (UDH) эпителия протоков правой молочной железы (рис. 8).

Результаты ИГХ-исследования: на периферии железистых структур, а также в окружающей клеточной строме отмечается выраженная ядер-ная экспрессия p63 (polyclonalCell Marque) (рис. 9а) и цитоплазматическая экспрессия Calponin-1(clone EP798Y Cell Marque) (рис. 9б), что демонстрирует наличие миоэпителиальных клеток. В железистых структурах отмечается выраженная диффузная