Сравнение методов транспорта кости и острого укорочения при лечении пациентов с огнестрельными дефектами диафиза большеберцовой кости

Автор: Давыдов Д.В., Нелин М.Н., Артемьев А.А., Керимов А.А., Максимов А.А., Нелин Н.И., Радаев П.А.

Журнал: Гений ортопедии @geniy-ortopedii

Рубрика: Оригинальные статьи

Статья в выпуске: 6 т.31, 2025 года.

Бесплатный доступ

Введение. Применение высокоточных боеприпасов большой мощности в современных военных конфликтах привело к увеличению количества раненых с обширными дефектами диафиза большеберцовой кости. Эффективными способами замещения таких дефектов являются методы Г.А. Илизарова, — би- или полилокальный остеосинтез с последующим перемещением отломков и (или) фрагментов кости по отношению друг к другу («транспорт кости» в зарубежной литературе), а также острое, постепенное или комбинированное укорочение с последующим удлинением. Цель работы — сравнить эффективность и безопасность методов транспорта кости и острого укорочения с последующим удлинением при замещении (ликвидации) огнестрельных дефектов диафиза большеберцовой кости. Материалы и методы. В исследование включены 60 пациентов мужского пола в возрасте от 18 до 59 лет с огнестрельными дефектами диафиза большеберцовой кости от 2 до 16 см, которые в зависимости от метода лечения распределены на две группы, сопоставимые по основным характеристикам. В группе 1 (n = 30) дефект большеберцовой кости замещали методом транспорта кости (ТК), в группе 2 (n = 30) — методом острого укорочения с последующим удлинением (ОУУ). Результаты. У всех пациентов обеих групп достигнуто замещение дефекта, восстановлены длина поврежденной голени и опорная функция конечности. По критериям «время консолидации в месте стыковки» и «время созревания регенерата» отмечено статистически значимое преимущество метода ОУУ. Общее время лечения и индекс внешней фиксации при ТК были больше по сравнению с ОУУ, но различия были статистически не значимы. Результаты по анатомической и функциональной шкале ASAMI были статистически значимо лучше в группе ОУУ. Существенные статистически значимые различия между группами выявлены по количеству и видам развившихся в процессе лечения незначительных и серьезных осложнений. Несращение и инвагинацию наблюдали только в группе ТК. Различия в отношении нарушения оси сегмента и контрактуры смежных суставов были статистически незначимыми. Обсуждение. Выявленные преимущества ОУУ обусловлены отсутствием недостатков, которые характерны для ТК: длительное отсутствие контакта между отломками кости, технические сложности и большой срок перемещения фрагмента кости от одного отломка к другому, необходимость обеспечения сращения одновременно двух очагов повреждения кости (зона дефекта и зона регенерата). Заключение. При лечении пациентов с огнестрельными дефектами диафиза большеберцовой кости применение методов ТК и ОУУ обеспечило эффективность с возможностью получения положительного результата до 100 %. Преимущество по показателям безопасности (вид и количество осложнений) ОУУ по сравнению с ТТ оказалось статистически значимым.

Еще

Огнестрельный перелом, дефект диафиза большеберцовой кости, остеосинтез, несвободная костная пластика по Илизарову, транспорт кости, острое укорочение

Короткий адрес: https://sciup.org/142246501

IDR: 142246501   |   УДК: 616.718.55-001.515-06:616.71-004.8   |   DOI: 10.18019/1028-4427-2025-31-6-695-706

Comparison of bone transport and acute shortening methods in the treatment of gunshot defects of the tibial diaphysis

Introduction The use of high-precision, high-yield munitions in modern warfare has led to an increase in the number of wounded personnel with extensive defects of the tibial shaft. Effective methods for filling such defects are the methods of G.A. Ilizarov: bifocal or trifocal osteosynthesis with subsequent transport of fragments and (or) bone segments relative to each other (referred to as "bone transport method" in foreign literature), as well as acute, gradual, or combined shortening and subsequent lengthening. Aim of the study: To compare the efficacy and safety of the bone transport (BT) method and the acute shortening with subsequent lengthening (ASL) method for filling (elimination) of gunshot defects of the tibial shaft. Materials and methods The study included 60 male patients aged 18 to 59 years with gunshot defects of the tibial shaft ranging from 2 to 16 cm. They were divided into two groups comparable in main characteristics, depending on the treatment method applied. In the first group (30 subjects), the tibial defect was managed using the BT method, in the second group (n = 30) the ASL was applied. Results In all patients of both groups, defects were eliminated, the length of the injured lower leg was restored, and the weight-bearing function of the limb was regained. According to the criteria of consolidation time at the docking site and maturation time of the regenerate, a statistically significant advantage of the ASL method was noted. The total treatment time and the external fixation index were greater in the BT group compared to ASL, but the differences were not statistically significant. The results on the ASAMI anatomical and functional scale were statistically significantly better in the ASL group. Substantial statistically significant differences between the groups were revealed in the number and types of minor and serious complications that developed during treatment. Non-union and invagination were observed only in the BT group. Differences regarding axis deviation of the segment and contracture of adjacent joints were not statistically significant. Discussion The identified advantages of ASL are due to the absence of drawbacks that are characteristic of BT: prolonged absence of contact between bone fragments, technical difficulties and the long duration of moving a bone segment from one fragment to another and the necessity to achieve union simultaneously in two foci of bone damage (the defect zone and the regenerate zone). Conclusion In the treatment of patients with gunshot defects of the tibial shaft, the use of BT and ASL methods ensured effectiveness with the possibility of achieving a positive result in up to 100 % of cases. The advantage of the ASL method in terms of safety indicators (type and number of complications) compared to BT was statistically significant.

Еще

Текст научной статьи Сравнение методов транспорта кости и острого укорочения при лечении пациентов с огнестрельными дефектами диафиза большеберцовой кости

Широкое применение в современных военных конфликтах боеприпасов повышенной точности и большой мощности привело к значительному утяжелению повреждений конечностей, усложнению лечения и ухудшению его результатов [1, 2]. Анатомические особенности голени обусловливают дополнительные трудности при лечении огнестрельных переломов большеберцовой кости. Эта проблема усугубляется при наличии дефекта диафиза, который формируется в результате воздействия на сегмент поражающих факторов, особенно в случае взрывных повреждений [3]. Характер изменений тканей после огнестрельного ранения и динамика течения репаративных процессов в ране, а также проводимое лечение, направленное на удаление некроза и профилактику прогрессирования инфекции, предопределяют формирование дефекта кости [4]. Тяжелые повреждения мягких тканей затрудняют лечение, способствуют развитию осложнений и отрицательно влияют на анатомический и функциональный результаты [5].

Определяющим фактором в выборе метода лечения огнестрельного перелома является величина дефекта кости и покровной ткани. K.D. Tetsworth et al. разработали классификацию и определили величину критического дефекта (≥ 20 мм) [6]. Большинство исследователей критическим считают такой дефект, при котором кость не восстанавливает свою целостность без специального хирургического воздействия.

Для замещения дефектов диафиза большеберцовой кости применяют свободную костную пластику губчатыми трансплантатами [7], несвободную костную пластику по Илизарову [8], методику индуцированной мембраны Masquelet [9], свободную пластику васкуляризированными комплексами тканей на основе малоберцовой или других костей [10], но конечный результат лечения каждой из предложенных методик полностью зависит от состояния мягких тканей. Микрохирургические технологии позволяют снизить эту зависимость путем замещения мягкотканного дефекта. Однако обширное рубцовое перерождение паравульнарных тканей, свойственное огнестрельным ранам, не всегда позволяет создать необходимые условия для наложения микрососудистого анастомоза, что приводит к некрозу лоскута с последующим увеличением дефекта и постановке вопроса об ампутации [11, 12].

Таким образом, для успешного лечения пациентов с огнестрельными дефектами большеберцовой кости необходим метод, позволяющий создать условия для одномоментного замещения (ликвидации) дефектов кости и покровных тканей. Широкими возможностями для лечения пациентов с открытыми и огнестрельными переломами, а также с их осложнениями и последствиями обладает метод Илизарова, обеспечивающий динамическое управление процессом регенерации костной ткани [13, 14]. Наиболее распространенной методикой при огнестрельных переломах большеберцовой кости с костными дефектами является несвободная костная пластика по Илизарову [15], известная в зарубежной литературе как транспорт кости (ТК). К ее отрицательным особенностям относятся недостаточная эффективность воздействия на мягкие ткани с целью закрытия раны и развитие рубцовых изменений в зоне дефекта, затрудняющие достижение контакта между перемещаемыми фрагментами и замедляющие сращение [16].

Значительно реже применяют методики острого, постепенного или комбинированного укорочения с последующим удлинением по Илизарову [17, 18], которые в отличие от ТК характеризуются укорочением сегмента конечности в зоне костного дефекта с целью максимально быстрого достижения контакта между отломками [19]. Восстановление длины укороченного сегмента осуществляют путем дистракции после появления признаков сращения в зоне контакта отломков или после остеотомии одного или двух отломков с последующей дистракцией с использованием би- или полилокального остеосинтеза. Большим преимуществом острого укорочения по сравнению с ТК является ранний контакт между концами отломков с возможностью одновременного закрытия раны, что способствует быстрому сращению [20].

В доступной литературе имеются единичные публикации, посвященные применению методики острого укорочения с последующим удлинением (ОУУ) при огнестрельных переломах и огнестрельных дефектах [17]. В подавляющем большинстве источников представлены материалы по замещению костных дефектов после тяжелых хронических инфекционных осложнений. В связи с чем отмечается, что степень возможной коррекции ограничена состоянием мягких тканей и сосудистого русла. Большинство авторов считают показанием к применению ОУУ наличие дефекта до 5 см, а к применению ТК — свыше 5 см.

Огнестрельный дефект формируется в относительно короткие сроки до развития выраженных рубцовых изменений мягких тканей сегмента и склерозирования сосудистого русла. С учетом этого перспективной является возможность безопасного замещения (ликвидации) дефектов более 5 см путем ОУУ.

Гипотеза исследования . Методика ОУУ может быть более эффективной и безопасной по сравнению с методикой ТК при замещении (ликвидации) огнестрельных дефектов диафиза большеберцовой кости длиной более 4 см (по классификации K.D. Tetsworth et al. [6] — серьезные и массивные дефекты) в ранние сроки после ранения до развития рубцовых изменений мягких тканей голени и фиброзирования сосудистого русла.

Цель работы — сравнить эффективность и безопасность методов транспорта кости и острого укорочения с последующим удлинением при замещении (ликвидации) огнестрельных дефектов диафиза большеберцовой кости.

МАТЕРИАЛЫ И МЕТОДЫ

Дизайн исследования: одноцентровое открытое проспективное сравнительное исследование, получившее одобрение локального этического комитета ГВКГ им. Н.Н. Бурденко (Протокол от 24 мая 2023 г. № 266).

В исследование включены 60 раненых с огнестрельными дефектами большеберцовой кости, которые распределены на две группы по 30 человек (табл. 1):

  • —    группа 1 — пациенты, которым замещение дефекта осуществляли с помощью методики ТК;

  • —    группа 2 — пациенты, которым ликвидацию дефекта проводили с помощью методики ОУУ.

Остеосинтез в обеих группах выполняли кольцевым аппаратом внешней фиксации (АВФ) Илизарова спице-стержневого типа.

Таблица 1

Базовые характеристики исследуемых групп

Показатели

Группа 1 (ТК), n = 30

Группа 2 (ОУУ), n = 30

p

Возраст, лет

33,0 ± 8,0

32,6 ± 9,2

0,8351

Дефект кости, мм

83,9 ± 30,3

82,7 ± 29,5

0,8771

Соотношение размера дефекта с длиной большеберцовой кости, %

21,3 ± 7,6

21,1 ± 8,0

0,9221

Дефект кожи, см2 (межквартильный размах)

56,5 (80)

42,0 (103)

0,9902

Время до реконструктивной операции, сут. (межквартильный размах)

80,5 (46)

23,5 (26)

< 0,0012

Время закрытия дефекта покровных тканей, сут.

73,2 ± 29,4

31,9 ± 20,1

< 0,0011

Размер дефекта кости в соответствии с классификацией K.D. Tetsworth et al. [6], мм

21–40

3 (10,0 %)

3 (10,0 %)

0,8763

41–80

13 (43,3 %)

12 (40,0 %)

> 80

14 (46,7 %)

15 (50,0 %)

Примечание : 1 — T-критерий Стьюдента; 2 — U-критерий Манна – Уитни; 3 — критерий χ 2-Пирсона.

Критерии включения : мужской пол; возраст от 18 до 59 лет; наличие огнестрельного критического дефекта диафиза большеберцовой кости длиной более 2 см; согласие пациента на участие в исследовании; возможность наблюдения в динамике не менее 3 лет.

Критерии невключения : женский пол; возраст менее 18 лет и более 59 лет; наличие внутрисуставного перелома большеберцовой кости, переломов костей смежных сегментов поврежденной конечности, тяжелых сопутствующих повреждений других областей (голова, позвоночник, таз), затрудняющих или исключающих возможность активизации пациента, хронических заболеваний, оказывающих влияния на регенерацию костной ткани; отказ пациента от участия в исследовании; отсутствие возможности наблюдения в динамике.

Статистический анализ выполняли в программе SPSS. Для проверки нормальности количественных переменных использовали критерий Шапиро – Уилка. Количественные переменные, но р мально распределенные, описывали с помощью среднего значения и стандартного отклонения х ° (±), ненормально распределенные — с помощью медианы и межквартильного размаха Me (IQR). Сравнение количественных переменных с нормальным распределением выполнено посредством t-критерия Стьюдента для независимых выборок, с ненормальным распределением — посредством U-критерия Манна – Уитни. Качественные переменные представлены в абсолютных значениях и процентах. Сравнение групп по качественным переменным проводили с помощью критерия х 2-Пирсона. Различия считались статистически значимыми при p < 0,05.

В подавляющем большинстве случаев в обеих группах были серьезные ( n = 13 при ТК, n = 12 при ОУУ) и массивные дефекты ( n = 14 и n = 15, соответственно). При этом статистически значимых различий по данному показателю между группами не выявлено ( p = 0,876).

Размеры дефекта костной ткани были сопоставимы в обеих группах, как по абсолютной величине, так и в процентном отношении к длине большеберцовой кости (p = 0,877 и p = 0,922, соответственно). Дефекты кости в обеих группах, как правило, имели двойственный характер: первичный дефект в результате ранения и вторичный в результате серии хирургических обработок, направленных на уда- ление некроза и профилактику (купирование) инфекции. Окончательно размер дефекта определяли после дополнительной резекции при проведении реконструктивной операции для обеспечения контакта между фрагментами в процессе ТК или ОУУ. По показателю площади дефектов покровных тканей статистически значимых различий между группами также не наблюдали.

Пациентам группы 1 с учетом особенностей используемой техники до начала ТК проводили хирургическое лечение, направленное на закрытие раны: пластика местными тканями — девяти пациентам; расщепленным кожным трансплантатом — шести; свободным полнослойным кожным лоскутом — одному; васкуляризированным лоскутом — шести; комбинация методов — восьми пациентам.

У 19 пациентов из группы 2 закрытие раны осуществляли местными тканями одновременно с острым укорочением (ОУ), у восьми человек дополнительно применяли методы местной пластики и у трех — расщепленный кожный трансплантат. Необходимость предварительного проведения дополнительной операции в группе ТК обусловила существенные различия в сроках выполнения реконструктивной операции. При проведении ТК реконструктивная операция (остеотомия) выполнена в среднем на 80,5 (46) сутки, а при ОУУ (сближение отломков) — на 23,5 (26) сутки ( p < 0,001).

Исходя из результатов сравнения базовых характеристик, можно заключить, что группы были однородны по всем клинически значимым аспектам. Срок наблюдения за пациентами исследования составлял не менее одного года после демонтажа АВФ.

Решение о выборе лечения принимал хирург, основываясь на клинической картине, с учетом особенностей каждого конкретного случая. Общая потеря костной массы была рассчитана как сумма длины костного дефекта и величины любого несоответствия длины конечности, если таковое имелось.

Эффективность применяемых методов оценивали по клиническим и рентгенологическим признакам. Общее время лечения — время от ранения до демонтажа АВФ после получения убедительных рентгенологических признаков сращения отломков или фрагментов в месте контакта и созревания дистракционного регенерата, а также восстановления опорной функции конечности. Рентгенологическое время созревания дистракционного регенерата определяли в соответствии с критериями J. Fischgrund et al. [21]. Кроме того, отдельно рассчитывали время внешней фиксации и индекс внешней фиксации (ИВФ), который вычисляли путем деления времени внешней фиксации на длину регенерата (мес./см).

Клинические результаты оценивали по анатомическим и функциональным показателям в соответствии с системой оценки D. Paley et al. [22].

Безопасность метода определяли по развившимся в процессе лечения осложнениям, разделенным на незначительные (купировали консервативными мероприятиями), серьезные (применяли оперативное лечение) или последствия (не устранены в процессе лечения) [23].

Методика ТК состоит из трех этапов.

Первый этап начинается после ранения и заключается в подготовке голени к перемещению костного(-ых) фрагмента(-ов) в зону дефекта. Голень фиксируют стержневым АВФ, проводят хирургические обработки для удаления некротических тканей, инородных тел, мелких костных осколков, консервативное лечение, направленное на купирование инфекции и минимизацию дефекта. Сформировавшуюся рану и открытые части костных отломков закрывают одним из методов кожной пластики.

Второй этап начинается после заживления раны и продолжается в течение периода перемещения фрагмента. Для этого устанавливают спице-стержневой аппарат Илизарова, выполняют остеотомию одного или обоих отломков. Через 7–10 дней приступают к перемещению фрагмента(-ов).

Третий этап лечения начинается по достижении контакта между фрагментом(-ами) и/или отломками. За время перемещения костного фрагмента(-ов) на торцах формируются костно-хрящевые образования, а в некоторых случаях и инвагинация. С целью создания условий для сращения выполняют резекцию ложного сустава, сближают и компрессируют торцы фрагмента(-ов) и отломка. При гипотро-фическом ложном суставе производят костную пластику свободным аутотрансплантатом. Заканчивается третий этап сращением в зоне контакта фрагмента(-ов) и отломка и созреванием регенерата(-ов).

Методика ОУУ также состоит из трех этапов.

Первый этап начинается от момента ранения и заключается в подготовке раны к реконструктивной операции. Голень фиксируют стержневым АВФ. Выполняют хирургическую обработку и проводят консервативное лечение, направленное на купирование инфекции и минимизацию дефекта.

Второй этап начинается с выполнения реконструктивной операции (укорочение) и завершается при появлении убедительных признаков сращения.

Третий этап начинается с остеотомии одного или двух отломков и заключается в формировании регенерата(-ов) до восстановления длины сегмента, заканчивается сращением в области дефекта и ос-сификацией регенерата(-ов).

Операция ОУ

Иссекаются остатки некротических тканей и резецируются торцы отломков большеберцовой кости до появления «кровяной росы» перпендикулярно ее оси для увеличения стабильности остеосинтеза. При необходимости осуществляют резекцию малоберцовой кости на длину дефекта большеберцовой кости. Накладывают спице-стержневой аппарат Илизарова, с помощью которого сближают костные отломки. По достижении контакта отломков оценивают пульсацию артерий стопы и выполняют пуль-соксиметрию для определения состояния кровообращения. При выявлении признаков ишемии производят частичное разведение отломков до ликвидации явлений ишемии с последующим дозированным (2–3 см в сутки) их сближением до полного контакта. Укорочение голени приводит к сближению краев раны и закрытию дефекта путем пластики местными тканями.

РЕЗУЛЬТАТЫ

Анализ временных характеристик лечения выявил существенные различия между методами ТК и ОУУ. Время консолидации в месте стыковки было статистически значимо больше в группе ТК по сравнению с группой ОУУ, — (459,2 ± 99,6) суток против (217,7 ± 67,7) суток, p < 0,001. Это различие объясняется особенностями методики ТК, при которой требуется дополнительное время для формирования контакта между перемещаемым фрагментом и принимающим ложем, а также необходимостью преодоления образующихся костно-хрящевых образований и инвагинации (табл. 2).

Таблица 2

Результаты лечения

Показатели

Группа 1 (ТК), n = 30

Группа 2 (ОУУ), n = 30

p

Время консолидации в месте стыковки, сут.

459,2 ± 99,6

217,7 ± 67,7

< 0,0011

Время формирования и созревания регенерата, сут.

326,8 ± 95,7

228,6 ± 93,5

< 0,0011

Общее время лечения, сут.

474,3 ± 95,0

429,0 ± 108,2

0,091

Время фиксации, сут.

398,1 ± 108,9

388,5 ± 78,2

0,6951

Индекс внешней фиксации, сут/см (межквартильный размах)

50,0 (13,6)

45,8 (29,8)

0,5062

Анатомические результаты по шкале ASAMI, баллы (межквартильный размах)

4,5 (1,0)

5,0 (0,0)

0,0112

Функциональные результаты по шкале ASAMI, баллы (межквартильный размах)

3,0 (1,0)

4,0 (2,0)

0,0032

Примечание : 1 — T-критерий Стьюдента; 2 — U-критерий Манна – Уитни.

Время формирования и созревания регенерата также было достоверно продолжительнее при ТК, — (326,8 ± 95,7) сут. против (228,6 ± 93,5) сут. при ОУУ, p < 0,001. Данное различие, на наш взгляд, может быть обусловлено тем, что при ТК формируется как минимум три очага регенерации, — торец отломка, встречный торец перемещаемого фрагмента и собственно регенерат. Остеогенез в этих зонах на фоне сниженного регенераторного потенциала может не соответствовать потребностям организма.

Общее время лечения и время фиксации не показали статистически значимых различий между группами ( p = 0,09 и p = 0,695, соответственно). Однако в среднем продолжительность лечения была на 45 дней меньше у пациентов с ОУУ. Одним из важных факторов такого соотношения может быть задержка с закрытием раны, связанная с необходимостью проведения дополнительной операции на начальном этапе лечения. Соответственно и ИВФ меньше при ОУУ (45,8 (29,8)) по сравнению с ТК (50,0 (13,6)), при этом критерий Манна – Уитни — 0,506.

По шкале ASAMI группа ОУУ показала статистически значимо лучшие результаты. Так, медианные значения анатомических результатов в группе ОУУ составили 5,0 (0,0) баллов против 4,5 (1,0) баллов в группе ТК ( p = 0,011), а функциональные результаты — 4,0 (2,0) и 3,0 (1,0) балла соответственно ( p = 0,003).

Частота осложнений между группами существенно различалась. Незначительные осложнения чаще встречались в группе ТК, — (7,6 ± 2,7) случаев на одного пациента за время лечения против (3,7 ± 2,4) в группе ОУУ (p < 0,001). Серьезные осложнения также преобладали в группе ТК, — 5,0 (3,0) случаев против 0 (1,0) в группе ОУУ (p < 0,001). Несращение наблюдали исключительно в группе ТК, — 23 (76,7 %) случая против полного их отсутствия в группе ОУУ (p < 0,001). Это критически важное различие указывает на принципиальную проблему методики ТК, — высокий риск формирования ложных суставов в месте контакта. Инвагинация также была характерна только для группы ТК, — 19 (63,3 %) случаев (p < 0,001), что является специфическим осложнением данной методики. Такое распределение осложнений объясняется длитель- ным периодом перемещения фрагмента(-ов) после остеотомии до момента контакта при ТК и необходимостью дополнительных хирургических вмешательств для устранения препятствий к сращению. Различия по частоте других осложнений (нарушение оси и контрактуры суставов) были статистически незначимы. Однако эти осложнения отразились на анатомических и функциональных результатах (табл. 3).

Таблица 3 Осложнения

Вид осложнений

Количество

p

Группа 1 (ТК), n = 30

Группа 2 (ОУУ), n = 30

Незначительные осложнения, кол-во на пациента

7,6 ± 2,7

3,7 ± 2,4

< 0,0011

Серьезные осложнения, кол-во на пациента (межквартильный размах)

5,0 (3,0)

0 (1,0)

< 0,0012

Несращение, абс. (%)

23 (76,7)

0 (0)

< 0,0013

Инвагинация, абс. (%)

19 (63,3)

0 (0)

< 0,0013

Нарушение оси, абс. (%)

13 (43,3)

9 (30,0)

0,4223

Контрактура коленного и (или) голеностопного сустава, абс. (%)

24 (80)

17 (56,7)

0,2093

Примечание : 1 — T-критерий Стьюдента; 2 — U-критерий Манна – Уитни; 3 — критерий χ 2-Пирсона.

В качестве демонстрации особенностей применения методов Илизарова для замещения обширных огнестрельных дефектов представляем клинические наблюдения.

Клинические примеры

Пациент 32 лет (группа 1) получил ранение при ведении боевых действий. Диагноз: Комбинированное взрывное поражение головы, конечностей. Ожоги пламенем головы, лица, обеих кистей, обеих нижних конечностей 2–3А–3Б степени S = 14 (6 %). Ушиб головного мозга. Контузия левого глазного яблока, проникающая рана роговой оболочки, разрыв склеры, инородное тело передней камеры левого глаза. Сквозная рана мягких тканей левого предплечья. Рваная рана левой кисти, оскольчатый перелом средней фаланги V пальца. Обширная рваная рана левой голени, оскольчатый перелом обеих костей в верхней и средней трети с первичным дефектом костной и мягких тканей . Травматический шок 3 степени.

На этапах эвакуации проводили лечение, направленное на компенсацию имеющихся нарушений и заживление ран.

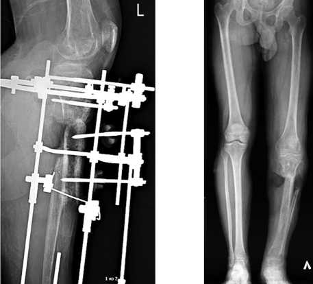
После стабилизации состояния и заживления ран на левой голени (рис. 1) через 72 дня после ранения провели операцию: внеочаговый чрескостный компрессионно-дистракционный остеосинтез (ВЧКДО) по Илизарову левой голени, остеотомия дистального отломка левой большеберцовой кости. Дефект большеберцовой кости — 15 см. На 79-е сутки после ранения начали перемещение фрагмента с целью формирования регенерата и замещения дефекта. На 164-е сутки после ранения (85 суток после остеотомии) для коррекции положения и направления перемещения фрагмента выполнили перемонтаж аппарата Илизарова на левой голени. Продолжили перемещение фрагмента дистального отломка большеберцовой кости (рис. 2).

Рис. 1. Фото и рентгенограмма левой голени перед реконструктивной операцией

Рис. 2. Фото и рентгенограмма левой голени в процессе транспорта кости

На 261-е сутки после ранения (182-е сутки после остеотомии) отметили контакт фрагмента и проксимального отломка через зону инвагинации (рис. 3). В целях обеспечения контакта проксимального отломка и перемещаемого фрагмента дистального отломка на 262-е сутки после ранения (183-и сутки после остеотомии) выполнили резекции зоны инвагинации и костно-хрящевого комплекса на торце проксимального отломка и перемещаемого фрагмента, открытую репозицию отломков, перемонтаж аппарата Илизарова. Достигнут контакт торцевых частей проксимального отломка и перемещаемого фрагмента (рис. 4). В последующем проводили компрессию между проксимальным отломком и фрагментом, «воспитание регенерата» методом «аккордеона».

Сращение между проксимальным отломком и фрагментом, а также созревание регенерата отмечены на 493-и сутки, выполнили демонтаж аппарата Илизарова (рис. 5). Продолжили реабилитацию в течение 60 суток (рис. 6).

Рис. 3. Фото и рентгенограмма левой голени при сближении проксимального отломка и перемещаемого фрагмента (инвагинация)

Рис. 5. Телерентгенограмма нижних конечностей пациента после окончания лечения

Рис. 6. Внешний вид пациента в положении опоры на левой ноге и в положении сгибания в левом коленном суставе

Рис. 4. Рентгенограмма левой голени после операции устранения инвагинации, резекции зоны ложного сустава, репозиции отломков, перемонтажа аппарата Илизарова

Общий срок лечения составил 553 суток, ИВФ — 43,7 сут./см, анатомический результат по шкале ASAMI — удовлетворительный, функциональный результат по шкале ASAMI — хороший.

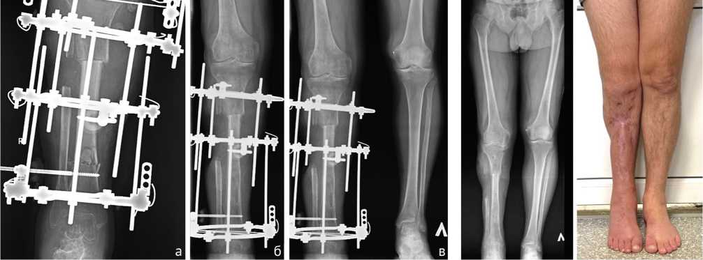
Пациент 44 лет (группа 2) получил ранение при участии в боевых действиях. Диагноз: Сочетанное взрывное поражение таза, обеих нижних конечностей. Множественные осколочные раны промежности, нижних конечностей. Обширная рваная рана правой голени, оскольчатый перелом обеих костей в верхней и средней трети с первичным дефектом костной и мягких тканей (рис. 7). Обширная рваная рана левой стопы с переломом 1 и 2 плюсневых костей. Острая массивная кровопотеря. Травматический шок 2 степени. Острое повреждение почек.

На этапах эвакуации проводили лечение, направленное на компенсацию имеющихся нарушений и заживление ран.

После стабилизации состояния и восстановления функции почек через 34 дня после ранения выполнили повторную хирургическую обработку раны, некрэктомию большеберцовой и малоберцовой костей, ОУ правой голени, ВЧКДО по Илизарову. Дефект большеберцовой кости составил 11 см (рис. 8).

Через 126 дней после ранения (на 92-е сутки после ОУ) выявили признаки сращения отломков и выполнили остеотомию в нижней трети большеберцовой кости (рис. 9 и 10, а).

Удлинение проводили в течение 137 дней после укорочения (рис. 10, б) до 263-го дня после ранения (рис. 10, в). Сращение в зоне контакта отломков отметили на 192-й день после ОУ. В последующем проводили «воспитание регенерата» методом «аккордеона». Созревание регенерата отметили через 108 дней после прекращения удлинения. На 371-й день после ранения выполнили демонтаж АВФ. Продолжили реабилитацию в течение 60 суток (рис. 11).

Рис. 7. Фото и рентгенограмма правой голени при поступлении

Рис. 8. Рентгенограмма правой голени после острого укорочения

Рис. 9. Фото правой голени перед остеотомией

Рис. 11. Телерентгенограмма и фото нижних конечностей пациента после окончания лечения

Рис. 10. Рентгенограммы: а — правой голени после остеотомии; б — правой голени в процессе удлинения большеберцовой кости; в — обеих голеней после окончания удлинения правой большеберцовой кости

Общий срок лечения составил 431 день, ИВФ — 29,7 сут./см. Остаточное укорочение 2 см. Анатомический результат по шкале ASAMI — хороший, функциональный — хороший.

ОБСУЖДЕНИЕ

При любой патологии при наличии нескольких методов лечения главным вопросом является выбор оптимального метода в каждом конкретном случае. Величина огнестрельного дефекта большеберцовой кости служит основным критерием определения показаний к выбору лечебной тактики. В доступной литературе мы обнаружили рекомендации, согласно которым дефекты кости >10 см следует устранять путем ТК [24], а дефекты кости < 8 см — путем ОУ [19]. Они основаны на изучении опыта лечения пациентов с последствиями и осложнениями открытых инфицированных переломов, когда реконструктивные операции выполняли через большой промежуток времени после травмы на фоне остеомиелита, в результате чего в зоне дефекта кости формировались обширные рубцовые конгломераты. Указанные изменения обусловливают технические сложности при проведении операции, повышают опасность интраоперационных ятрогенных осложнений, ишемических расстройств дистального отдела конечности, ограничивают или делают невозможным одномоментное сближение отломков. В случае применения ОУ до развития фиброза окружающих кость тканей возможность безопасного сближения отломков увеличивается, что подтверждается нашими наблюдениями и расчетами. Максимальная величина дефекта кости в группе ТК составила 160 мм, в группе ОУ — 140 мм, что соответствует 40 % и 36,3 % от длины большеберцовой кости. Достичь сближения отломков удалось без ишемии дистального отдела. В то же время ликвидация дефекта ТК на протяжении времени перемещения фрагмента происходит параллельно с формированием межотломкового рубца, который обусловливает развитие ложного сустава в месте контакта, инвагинации, приводит к необходимости проведения перемонтажа АВФ и других операций, направленных на борьбу с запрограммированными осложнениями.

Наличие дефекта кожи также оказывает значительное влияние на определение тактики лечения. Его размеры в обеих группах были сопоставимы. Для проведения ТК требуется предварительная подготовка в виде специальных процедур по закрытию раны, что увеличивает нагрузку на персонал, количество операций и удлиняет общий срок лечения. В результате нашего исследования выявлено, что оптимальной является методика ОУУ, позволяющая одномоментно ликвидировать дефект кости, укрыть обнаженную кость и закрыть рану.

При сохранности малоберцовой кости и прочих равных условиях мы отдавали предпочтение ТК, так как при этом методе сохраняются истинная длина сегмента, взаимоотношения в проксимальном и дистальном большеберцово-малоберцовом суставах, а также между костными и сухожильно-мышечными образованиями, что должно положительно отражаться на окончательном функциональном результате. К тому же резекция малоберцовой кости является дополнительной травмой и может привести к ятрогенным осложнениям в виде повреждения артерий, вен и нервных стволов. Наличие перелома, и тем более дефекта малоберцовой кости, предопределяет большую свободу выбора и может служить дополнительным обоснованием к применению ОУУ, а попытка управлять отломками малоберцовой кости в условиях проведения ТК значительно затрудняет манипуляции. Однако в некоторых случаях на определенных этапах ТК мы также выполняли остеотомию или резекцию малоберцовой кости для обеспечения возможности стимуляции регенерации в зоне контакта отломков или регенерата.

Тактика лечения определяет и временные показатели. В нашем исследовании общий срок лечения в группе ТК был больше, чем в группе ОУУ. Это вызвано рядом факторов:

  • —    перед началом ТК необходимо проведение дополнительного предварительного консервативного и оперативного лечения для закрытия раны, при ОУУ закрытие раны происходит одномоментно;

  • —    срок сращения в зоне контакта отломков при ОУУ незначительно превышает срок сращения при обычном переломе, (217,7 ± 67,7) суток. При ТК сращение начиналось при достижении контакта, а далее было замедлено из-за развития на концах отломков (фрагментов) морфологических изменений, свойственных ложному суставу, и составило (459,2 ± 99,6) суток. Это, в свою очередь, потребовало выполнения 19 дополнительных операций по поводу инвагинаций, из которых 16 были дополнены костной пластикой;

  • —    перемещение фрагмента при ТК является более сложной и длительной процедурой, менее комфортной для пациента по сравнению с удлинением при ОУУ. Применение метода ТК требует большего внимания персонала и дополнительных операций как при проведении собственно транспорта для коррекции положения фрагмента и направления его перемещения (перемонтаж АВФ выполняли у 24 пациентов), так и при стыковке перемещаемого фрагмента и отломка (костная пластика, ликвидация инвагинации). В связи с этим в стандартный протокол ТК К. Tetsworth et al. ввели плановую операцию костной пластики при достижении расстояния до контакта 1 см [25].

Особенности методики ТК предопределяют развитие специфических осложнений, которые свойственны всем методикам по Илизарову.

Статистически достоверные отличия в лучшую сторону ОУУ в нашем исследовании можно объяснить следующими обстоятельствами:

  • —    раннее закрытие первично инфицированной огнестрельной раны обеспечивает профилактику развития инфекции в послеоперационном периоде и в среднесрочной перспективе;

  • —    ранняя стабильная фиксация системы АВФ – кость с контактом отломков обеспечивает лучшие условия для заживления кости и мягких тканей;

  • —    перемещение фрагмента кости при ТК дополнительно травмирует окружающие ткани, что также приводит к развитию осложнений, в том числе специфических для ТК (инвагинация, несращение).

Купирование осложнений затрудняет процесс лечения и замедляет замещение дефекта (удаление и замена чрескостных элементов, перемонтаж АВФ, хирургическая обработка очагов нагноения и др.).

В отличие от других исследователей, мы получили убедительные статистически достоверные различия по анатомическим и функциональным результатам между группами. В первую очередь это объясняется разницей между группами наблюдения в нашем исследовании и в работах других авторов (группы свежих огнестрельных переломов с острой инфекцией против групп последствий и осложнений открытых переломов с наличием хронической инфекции с соответствующим перерождением тканей сегмента). В то же время восстановление функции в большей степени зависело от сопутствующих повреждений функциональных тканей, — мышц, сухожилий и нервов.

Полученные показатели демонстрируют принципиальные преимущества методики ОУУ перед ТК при лечении огнестрельных дефектов большеберцовой кости:

  • —    более быстрое достижение консолидации за счет формирования непосредственного контакта между жизнеспособными концами отломков;

  • —    значительно меньшая частота осложнений;

  • —    лучшие функциональные исходы при сопоставимом общем времени лечения.

ЗАКЛЮЧЕНИЕ

Результаты исследования позволяют утверждать, что оба метода замещения дефектов диафиза большеберцовой кости, базирующиеся на открытии Илизарова (транспорт кости и острое укорочение с последующим удлинением), обеспечивают возможность достижения положительного результата, в том числе при наличии критического дефекта, когда стоит вопрос о сохранении конечности после огнестрельного перелома с обширным дефектом костной основы и покровных тканей.

Однако при лечении свежих огнестрельных переломов костей голени с первичным и вторичным дефектом покровных тканей и большеберцовой кости до 40 % от ее длины предпочтительнее применение методики острого укорочения с последующим удлинением по сравнению с методикой транспорта кости. Преимущества острого укорочения заключаются в сокращении сроков лечения, снижении количества незначительных и серьезных осложнений, уменьшении количества плановых и экстренных операций и манипуляций в процессе лечения, упрощении хирургической техники и технологии лечения.