Сравнительная оценка результатов остеосинтеза переломов шейки бедренной кости методом двухопорной двухплоскостной фиксации и стандартной техникой трех параллельных винтов

Автор: Назаров Д.С., Загородний Н.В., Айрапетов Г.А., Миронов А.Н., Лукин М.П., Карпович Н.И., Бурков Д.В.

Журнал: Вестник медицинского института "РЕАВИЗ": реабилитация, врач и здоровье @vestnik-reaviz

Рубрика: Клиническая медицина

Статья в выпуске: 6 т.15, 2025 года.

Бесплатный доступ

Введение. Переломы шейки бедренной кости представляют собой сложную проблему в травматологии, особенно в условиях старения населения. Несмотря на широкое применение остеосинтеза тремя параллельными канюлированными винтами, уровень осложнений остаётся высоким. Метод двухопорной двухплоскостной фиксации (BDSF), предложенный O. Filippov, показал перспективные результаты в зарубежных исследованиях, однако в РФ не применялся и не изучался. Цель исследования: оценить эффективность метода BDSF в сравнении со стандартным остеосинтезом при лечении переломов шейки бедренной кости. Материалы и методы.Проведено сравнительное исследование 78 пациентов с переломами шейки бедренной кости (типы Garden I-IV). Пациенты были разделены на две группы: 1-я (n=38) – остеосинтез методом BDSF; 2-я (n=40) – остеосинтез тремя параллельными винтами. Для упрощения оперативной техники BDSF разработано оригинальное направляющее устройство. Оценка включала клинико-функциональные показатели (шкала HHS, ВАШ) и рентгенологические критерии в сроки до 12 месяцев. Результаты. Частота консолидации в группе BDSF составила 89,4% против 75% в группе сравнения (p<0,001). Средний срок сращения был достоверно короче в 1-й группе (4,1±2,4 мес. против 6,3±2,9 мес.; p<0,001). Укорочение шейки -5 мм отмечено у 26,3% пациентов после BDSF и у 55% – после стандартного остеосинтеза (p=0,002). Частота асептического некроза головки бедренной кости в группе BDSF была ниже (5,2% против 17,5%; p=0,001). Функциональные результаты через 12 месяцев по шкале HHS были сопоставимы, однако в группе BDSF отмечалась тенденция к лучшим показателям (89,6±4,7 балла против 82,7±7,4 балла). Заключение. Остеосинтез переломов шейки бедренной кости методом двухопорной двухплоскостной фиксации является эффективной и безопасной альтернативой стандартной технике. Метод BDSF позволяет достичь более высокой частоты и более быстрых сроков консолидации, а также значимо снижает риск ключевых осложнений – варусного коллапса, укорочения шейки и асептического некроза. Разработанное направляющее устройство оптимизирует выполнение методики. Полученные результаты обосновывают целесообразность внедрения метода BDSF в широкую клиническую практику в РФ.

Еще

Перелом шейки бедренной кости, остеосинтез, двухопорная двухплоскостная фиксация, канюлированные винты, несращение перелома, асептический некроз головки бедренной кости, внутренняя фиксация, хирургическое лечение, Биомеханика, консолидация перелома

Еще

Короткий адрес: https://sciup.org/143185448

IDR: 143185448   |   УДК: 616.718.4-001.5-089.84   |   DOI: 10.20340/vmi-rvz.2025.6.CLIN.8

Comparative evaluation of the results of osteosynthesis of femoral neck fractures using the biplane double support screw fixation and the standard technique of three parallel screws

Introduction. Femoral neck fractures (FNF) are a complex problem in traumatology, especially in an ageing population. Despite the widespread use of osteosynthesis with three parallel cannulated screws, the complication rate remains high. The biplane double support screw fixation (BDSF) method proposed by O. Filippov has shown promising results in foreign studies, but has not been used or studied in the Russian Federation. The aim of the study was to evaluate the effectiveness of the BDSF method in comparison with standard osteosynthesis in the treatment of FHF fractures. Materials and methods. A comparative study of 78 patients with femoral neck fractures (Garden types I-IV) was conducted. The patients were divided into two groups: 1st (n=38) – osteosynthesis using the BDSF method; 2nd (n=40) – osteosynthesis with three parallel screws. To simplify the BDSF surgical technique, an original guide device was developed. The assessment included clinical and functional indicators (HHS scale, VAS) and radiological criteria up to 12 months. Results. The frequency of consolidation in the BDSF group was 89.4% versus 75% in the comparison group (p<0.001). The average fusion time was significantly shorter in the 1st group (4.1±2.4 months versus 6.3±2.9 months; p<0.001). Cervical shortening 5 mm was observed in 26.3% of patients after BDSF and in 55% after standard osteosynthesis (p=0.002). The incidence of aseptic necrosis of the femoral head was lower in the BDSF group (5.2% vs. 17.5%; p=0.001). Functional results at 12 months on the HHS scale were comparable, but the BDSF group showed a tendency towards better scores (89.6±4.7 points vs. 82.7±7.4 points). Conclusion. Osteosynthesis of femoral neck fractures using biplane double support screw fixation is an effective and safe alternative to the standard technique. The BDSF method allows for a higher frequency and faster consolidation times, as well as significantly reducing the risk of key complications such as varus collapse, neck shortening, and aseptic necrosis. The developed guide device optimises the implementation of the technique. The results obtained justify the feasibility of introducing the BDSF method into widespread clinical practice in the Russian Federation.

Еще

Текст научной статьи Сравнительная оценка результатов остеосинтеза переломов шейки бедренной кости методом двухопорной двухплоскостной фиксации и стандартной техникой трех параллельных винтов

ОРИГИНАЛЬНАЯ СТАТЬЯ ORIGINAL ARTICLE

Переломы проксимального отдела бедренной кости, в частности переломы шейки бедра (ШБК), остаются одной из наиболее значимых медикосоциальных проблем современной травматологии и ортопедии [1, 2]. Демографическое старение населения закономерно ведёт к увеличению абсолютного числа таких травм, что создаёт существенную нагрузку на систему здравоохранения [3, 4]. Лечение пациентов с переломами ШБК сопряжено с высокими прямыми и косвенными экономическими затратами, включающими не только стационарное лечение и операцию, но и длительную реабилитацию, а часто – повторные госпитализации в связи с осложнениями [5]. Хирургическая тактика при переломах ШБК зависит от возраста пациента, типа перелома, сопутствующей патологии и включает как артропластику, так и остеосинтез [6]. У пациентов молодого и среднего возраста, а также у пожилых с противопоказаниями к эндопротезированию, методом выбора остаётся оперативная фиксация отломков [7]. На протяжении десятилетий «золотым стандартом» остеосинтеза ШБК является использование трёх параллельно установленных конюлированных винтов [8]. Популярность этой техники обусловлена её относительной технической простотой, мини- мальной инвазивностью и низкой стоимостью имплантов [9].

Однако, как показывают многочисленные исследования, остеосинтез тремя параллельными винтами сопряжён с высоким риском послеоперационных осложнений, частота которых, по данным разных авторов, достигает 20–40% [10, 11]. Наиболее грозными из них являются несращение перелома, формирование ложного сустава и асептический некроз головки бедренной кости (АНГБК), часто требующие выполнения ревизионных операций, в том числе эндопротезирования [12]. Одной из ключевых причин подобных осложнений считается недостаточная механическая стабильность фиксации, особенно при нестабильных, вертикальных переломах (тип Pauwels III), а также в условиях остеопороза, когда винты, опирающиеся на тонкий кортикальный слой большого вертела, не могут обеспечить надежную опору [13].

В связи с этим продолжается поиск более эффективных методов фиксации. В 2010 году O. Filippov предложил оригинальную технику – двухопорную двухплоскостную фиксацию (biplane doublesupported screw fixation, BDSF), также известную как F-техника [14]. Её принципиальное отличие заключается в непараллельном расположении трёх вин- тов в двух плоскостях. Два проксимальных винта вводятся для компрессии, а третий, дистальный винт, устанавливается под большим углом (около 150°) к оси диафиза с опорой на прочный кортикальный слой диафиза и калькар шейки. Согласно биомеханической концепции автора, такая конструкция создаёт две точки опоры для дистального винта (медиальную на калькаре и латеральную на диафизе), работая как опорная балка, что существенно повышает устойчивость фиксации к варус-ным и ротационным нагрузкам [15]. Предварительные биомеханические и клинические исследования за рубежом продемонстрировали преимущества метода BDSF по сравнению со стандартной техникой [16, 17].

Несмотря на обнадёживающие данные, в Российской Федерации до настоящего времени не проводилось исследований, посвящённых изучению и применению метода BDSF. Отсутствует опыт его использования, не определены показания и противопоказания в условиях отечественного здравоохранения.

ЦЕЛЬ ИССЛЕДОВАНИЯ: улучшить результаты хирургического лечения пациентов с переломами шейки бедренной кости за счёт внедрения и оценки эффективности метода двухопорной двухплоскостной фиксации (BDSF) в сравнении со стандартным методом остеосинтеза тремя параллельными винтами.

МАТЕРИАЛЫ И МЕТОДЫ

Работа представляет собой одноцентровое сравнительное клиническое исследование, выполненное на базе травматологического отделения ГБУЗ ГКБ №31 г. Москвы в период с 2021 по 2024 год. Исследование одобрено локальным этическим комитетом. Все пациенты подписали информированное согласие на участие.

В соответствии с критериями в исследование были включены 78 пациентов. Метод хирургического лечения чередовался помесячно: в один месяц всем пациентам выполняли остеосинтез методом BDSF, в следующий – стандартным методом трёх винтов. Таким образом, пациенты были разделены на две группы:

  •    Группа 1 (BDSF): 38 пациентов (25 женщин, 13 мужчин), средний возраст – 76,8±11,7 года.

  •    Группа 2 (стандартный остеосинтез): 40 пациентов (28 женщин, 12 мужчин), средний возраст – 74,1±13,4 года.

Группы были сопоставимы по полу, возрасту, индексу массы тела, типу перелома по Garden и Pauwels, а также по спектру сопутствующей патоло- гии (p>0,05). Преобладали низкоэнергетические механизмы травмы (падение с высоты собственного роста).

Хирургическая техника. Все операции выполнялись под спинальной анестезией на ортопедическом столе после закрытой репозиции перелома под контролем ЭОП.

Метод двухопорной двухплоскостной фиксации (BDSF). Использовались конюлированные винты диаметром 7,3 мм. Доступ – линейный разрез по латеральной поверхности бедра. Техника, модифицированная с применением разработанного направляющего устройства:

  •    Верхний и средний винты: проводились параллельно друг другу в антерокраниальном направлении под углом 130–135° к оси диафиза. Точки входа располагались в заднелатеральной поверхности проксимального отдела диафиза.

  •    Дистальный винт: устанавливался с применением оригинального направителя (патент на изобретение № 2025126487, от 26.09.2025) (рис. 1) [19]. Направитель фиксировался на диафизе на 3–5 см дистальнее основания большого вертела. Через направляющую втулку под углом 150° проводилась спица в задне-верхний сегмент головки бедренной кости с обязательной опорой на калькар. После контроля положения всех трёх спиц в двух проекциях, поэтапно рассверливались каналы и устанавливались винты. В первую очередь затягивались верхний и средний винты для создания межфрагментарной компрессии.

Методы оценки: наблюдение за пациентами осуществлялось в сроки 3, 6 и 12 месяцев после операции.

Клинико-функциональная оценка: шкала Harris Hip Score (HHS) для тазобедренного сустава, визуально-аналоговая шкала боли (ВАШ).

Рентгенологическая оценка: рентгенография тазобедренных суставов в стандартных проекциях. Оценивались: факт и сроки консолидации, величина укорочения шейки бедра (метод Zlowodzki [18]), наличие и степень варусной деформации (изменение шеечно-диафизарного угла), миграция винтов (>5 мм), признаки АНГБК, формирование ложного сустава.

Статистический анализ проводился с использованием программы IBM SPSS Statistics 26.0. Для сравнения количественных показателей применялись t-критерий Стьюдента (нормальное распределение) и U-критерий Манна – Уитни. Для анализа качественных признаков использовался критерий χ ². Уровень статистической значимости установлен при p<0,05.

Рисунок 1. Напраляющее устройство для проведения спицы при остеосинтезе переломов шейки бедренной кости Figure 1. Guide device for inserting a pin during osteosynthesis of femoral neck fractures

РЕЗУЛЬТАТЫ

Средняя продолжительность операции в группе BDSF при выполнении первых вмешательств без направителя составила 57,5±16,4 мин, что было достоверно больше, чем в группе стандартного остеосинтеза (46,3±16,2 мин; p<0,001). После внедрения направляющего устройства длительность операции BDSF сократилась до 37,3±8,6 мин и стала достоверно меньше, чем в группе сравнения (p=0,02). Ин-тра- и послеоперационных осложнений, связанных с кровопотерей или повреждением сосудистонервных структур, не было ни в одном случае.

Рентгенологические результаты

Ключевые различия между группами были выявлены именно в рентгенологических исходах (табл. 1).

Как видно из таблицы, метод BDSF обеспечил достоверно более высокую частоту сращения переломов, более короткие сроки консолидации, а также значимо реже приводил к вторичным деформациям – укорочению шейки и варусному коллапсу (рис. 2).

Таблица 1. Сравнение основных операционных и рентгенологических показателей пациентов обеих групп Table 1. Comparison of the main surgical and radiological parameters of patients in both groups

Параметр

Первая группа (38 пациентов)

Вторая группа (40 пациентов)

Статистика критерия

р

Продолжительность оперативного вмешательства, мин

57,5±16,4 (45–78) (без использования направителя)

46,3±16,2 (35–93)

t= –3,475

<0,001*

Продолжительность оперативного вмешательства, мин

37,3±8,6 (32–58) (с использованием направителя)

46,3±16,2 (35–93)

t= –1,275

0,02*

Количество пациентов с подтвержденной консолидацией перелома ШБК

34 (89,4%)

30 (75%)

χ 2=48,130

<0,001*

Средний срок консолидации, мес

4,1±2,4 (3–8)

6,3±2,9 (5–9)

χ 2=9,403

<0,001*

Количество пациентов, с варусным смещением более 5° после консолидации

3/34 (8,8%)

9/30 (30%)

χ 2=14,762

0,001*

Количество пациентов с укорочением шейки более 5 мм

10 (26,3%)

22 (55%)

χ 2=8,331

0,002*

Средняя величина укорочения шейки, мм

4,8±3,1 (2–10)

7,6±3,9 (5–15)

t= –2,083

0,041*

Количество пациентов с миграцией винтов более 5 мм

4 (11,7%)

13 (32,5%)

χ 2=5,102

0,006*

Примечание: *р<0,05 – выявлены достоверные различия между группами.

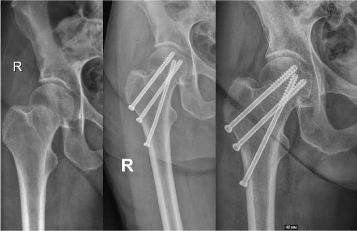
Рисунок 2. Сросшийся перелом шейки бедренной кости на фоне остеосинтеза

Figure 2. Healed fracture of the femoral neck with osteosynthesis

В группе BDSF отсутствие консолидации было отмечено у 4 (10,6%) пациентов: в 2-х (5,2%) случаях сформировался ложный сустав, ещё в 2-х (5,2%) причиной несращения стал АНГБК. Во 2-й группе несращение произошло у 10 (25%) пациентов (p=0,003 по сравнению с гр. 1): ложный сустав – 3 (7,5%) случая, АНГБК – 7 (17,5%) случаев. Таким образом, частота развития АНГБК была достоверно ниже при использовании метода BDSF (p=0,001). (табл. 2). Случаев подвертельных переломов не было зафиксировано ни в одной группе. Всем пациентам с несращением и АНГБК было выполнено тотальное эндопротезирование тазобедренного сустава.

Функциональные результаты

Динамика функционального восстановления по шкале HHS была положительной в обеих группах, однако в группе BDSF восстановление происходило быстрее (рис. 4). Уже через 6 месяцев средний балл HHS в группе BDSF составил 88,2±5,1, тогда как в группе сравнения – 74,9±9,5 (статистическая тенденция, p>0,05). Через 12 месяцев после операции значения выровнялись, но в группе BDSF сохранялся более высокий средний балл (89,6±4,7 против 82,7±7,4 баллов; p>0,05). Интенсивность болевого синдрома по ВАШ к 12 месяцам снизилась до минимальных значений в обеих группах (2,9±1,4 см и 3,3±1,3 см соответственно; p>0,05) (рис. 5).

Таблица 2. Сравнение количества осложнений, полученных в двух группах исследования Table 2. Comparison of the number of complications observed in the two study groups

Параметр

Первая группа (38 пациентов)

Вторая группа (40 пациентов)

Статистика критерия

р

Общее количество пациентов с отсутствием консолидации перелома ШБК

4 (10,6%)

10 (25%)

χ ²=8,427

0,003*

Ложный сустав

2 (5,2%)

3 (7,5%)

χ ²=1,082

0,710

Асептический некроз

2 (5,2%)

7 (17,5%)

χ ²=11,352

0,001

Количество пациентов с отсутствием консолидации и миграцией винтов более 5 мм

4 (100%)

8/10 (80%)

χ ²=1,927

0,633

Примечание: *р <0,05 – выявлены достоверные различия между группами.

Рисунок 3. Сращение перелома с латерализацией винтов, АВН, укорочение

Figure 3. Fracture union with screw lateralization, AVN, shortening

Рисунок 4. Сравнительный анализ показателей по шкале HSS двух групп исследования

Figure 4. Comparative analysis of the HSS scale scores of the two study groups

Рисунок 5. Сравнительный анализ показателей по ВАШ боли двух групп исследования

Figure 5. Comparative analysis of VAS pain scores in two study groups

ОБСУЖДЕНИЕ

Результаты проведённого исследования демонстрируют явные преимущества метода двухопорной двухплоскостной фиксации (BDSF) перед стандартным остеосинтезом тремя винтами в лечении переломов ШБК. Полученные нами данные согласуются с результатами основателя методики O. Filippov, который в своём исследовании на 207 пациентах также сообщил о высокой частоте сращения (96,6%) и относительно низком проценте АНГБК (12,1%) [15]. Важно отметить, что в нашем исследовании частота АНГБК оказалась ещё ниже – 5,2%, что может быть связано с более строгим отбором пациентов или особенностями хирургической техники с использованием направителя.

Ключевым рентгенологическим преимуществом метода BDSF стало значимое снижение частоты и степени укорочения шейки бедра, а также варусной деформации. Этот факт имеет принципиальное значение, так как укорочение шейки и варусный коллапс являются не просто рентгенологическими находками, а прямыми предикторами неудовлетворительного функционального результата, приводя к хромоте, слабости абдукторов и болевому синдрому [18]. Объяснением этому служит предложенная Filippov биомеханическая концепция: дистальный опорный винт, установленный под большим углом с двойной опорой (калькар + диафиз), работает как балка, эффективно передавая нагрузку с головки на диафиз и разгружая губчатую кость шейки. Это предотвращает микроподвижность и вторичное смещение костных отломков в зоне перелома, что и является причиной укорочения при стандартной фиксации.

Другим важным практическим аспектом нашей работы стала разработка и успешное применение направляющего устройства для установки дистального винта. Начальный опыт подтвердил, что корректное проведение дистальной спицы под углом 150° является технически сложной задачей, часто требующей многократных попыток и ведущей к избыточной травматизации кортикала. Направитель не только сократил время операции в среднем на 20 минут, но и повысил точность и безопасность вмешательства, что особенно важно на этапе освоения методики. Снижение риска многократного пе-ресверливания кортикала также потенциально минимизирует вероятность такого редкого, но грозного осложнения, как подвертельный перелом бедренной кости.

Необходимо отметить, что несмотря на лучшие рентгенологические исходы, функциональные результаты через год по шкале HHS статистически значимо не различались. Это может быть объяснено тем, что шкала HHS является интегральным показателем, на который влияют многие факторы, особенно у пациентов пожилого возраста с политравмой. Кроме того, хороший и отличный функциональный результат (более 80 баллов) был достигнут в обеих группах, что могло нивелировать статистическую разницу.

Ограничения исследования включают его одно-центровый характер и отсутствие строгой рандомизации, хотя применяемый метод поочередного распределения минимизирует систематическую ошиб- ку. Для окончательных выводов об эффективности метода BDSF, особенно в подгруппах пациентов с разными типами переломов (Pauwels II и III), требуются многоцентровые рандомизированные исследования с большей выборкой.

ЗАКЛЮЧЕНИЕ

Остеосинтез переломов шейки бедренной кости методом двухопорной двухплоскостной фиксации (BDSF) является технически выполнимой и безопасной методикой, применимой в условиях отечественного здравоохранения.

Метод BDSF превосходит стандартный остеосинтез тремя параллельными винтами по ключевым критериям эффективности: обеспечивает достоверно более высокую частоту (89,4% vs 75%) и более ранние сроки консолидации (4,1 vs 6,3 мес.), а также значимо снижает риск вторичных деформаций (укорочение шейки, варусный коллапс) и такого грозного осложнения, как асептический некроз головки бедренной кости (5,2% vs 17,5%).

Разработанное направляющее устройство оптимизирует технику выполнения BDSF, сокращает время операции, снижает лучевую нагрузку и облегчает освоение метода, что способствует его воспроизводимости.

Полученные результаты позволяют рекомендовать метод двухопорной двухплоскостной фиксации к широкому внедрению в клиническую практику травматологов-ортопедов в качестве эффективной и экономически оправданной (при использовании стандартных канюлированных винтов) альтернативы традиционным способам остеосинтеза переломов шейки бедренной кости.