Влияние обуви с перекатной подошвой на распределение подошвенного давления у пациентов с остеоартритом первого плюснефалангового сустава

Автор: Скребцов А.В., Процко В.Г., Скребцов В.В., Загородний Н.В., Тамоев С.К., Никитина В.К.

Журнал: Гений ортопедии @geniy-ortopedii

Рубрика: Оригинальные статьи

Статья в выпуске: 1 т.32, 2026 года.

Бесплатный доступ

Введение. Хирургическая тактика лечения больных остеоартритом первого плюснефалангового сустава 3–4 стадий является общепринятой. Однако при наличии противопоказаний или отсутствии желания пациента к проведению оперативного вмешательства применяют различные варианты консервативной терапии: НПВС, ортопедические стельки, физиотерапию, медикаментозные блокады. При этом роли ортопедической обуви часто не уделяют должного внимания. Цель работы — оценить результаты динамической внутриобувной педобарографии при использовании стандартной обуви и обуви с перекатной подошвой у пациентов с остеоартритом первого плюснефалангового сустава 3–4 стадий. Материалы и методы. Анализ подошвенного давления при использовании стандартной обуви пациента и обуви с перекатной подошвой методом проведен 12 пациентам. Оценивали основные биомеханические параметры, позволяющие оценить силу, скорость передвижения и распределения подошвенного давления. Результаты. В результате анализа полученных результатов внутриобувной динамической педобарографии при использовании в обуви с перекатной подошвой выявлено значимое снижение значений показателей пикового (p = 0,011) и среднего (p = 0,019) давления для всей стопы и для переднего отдела стопы (p = 0,029). Отмечено уменьшение длительности фазы опоры (p = 0.027). Не выявлено изменений скорости ходьбы (p = 0,604), длительности фазы переноса (p = 0,495) и длительности цикла шага (p = 0,721). Обсуждение. Снижение показателей пикового подошвенного давления и силы в переднем отделе стопы при использовании обуви с перекатной подошвой у пациентов с остеоартритом первого плюснефалангового сустава обусловлено ограничением экстензии плюснефаланговых суставов, перераспределением нагрузки на задний и средний отделы стопы. Заключение. У пациентов с остеоартритом первого плюснефалангового сустава выявлено значимое снижение показателей подошвенного давления и силы в переднем отделе стопы при использовании обуви с перекатной подошвой в сравнении с ходьбой в обуви со стандартной подошвой при отсутствии отличий временных показателей и скорости ходьбы.

Еще

Hallux rigidus, остеоартрит, обувь с перекатной подошвой, rocker bottom shoes, педобарография

Короткий адрес: https://sciup.org/142247052

IDR: 142247052   |   УДК: [616.728.8-002-08-039.73:615.479.48]: 617.586-073.178   |   DOI: 10.18019/1028-4427-2026-32-1-74-81

Effect of rocker bottom shoes on plantar pressure distribution in patients with osteoarthritis of first metatarsophalangeal joint

Introduction Surgical streategy for patients with grades 3–4 osteoarthritis (OA) of the first metatarsophalangeal (MPT) joint is generally accepted. There is a variety of conservative treatments including NSAIDs, orthopedic insoles, physical therapy and pharmacological blockade to be offered for patients having contraindications or unwilling to undergo surgery. However, the role of orthopedic footwear can be underestimated. The aim of the study was to evaluate results of dynamic in-shoe pedobarography with standard shoes and rocker bottom shoes used by patients with grades 3–4 OA of first MPT joint. Material and methods Plantar pressure was evaluated in 12 patients wearing standard shoes and rocker bottom shoes. Major biomechanical parameters were analyzed to evaluate the force, walking speed and distribution of plantar pressure. Results The in-shoe dynamic pedobarography revealed a significant decrease in the values of peak (p = 0.011) and average (p = 0.019) pressure for the whole foot and the forefoot (p = 0.029) with use of rocker bottom shoes. A decreased length of the stance phase was noted (p = 0.027). No changes were found in walking speed (p = 0.604), duration of the swing phase (p = 0.495) and duration of the step cycle (p = 0.721). Conclusion A significant decrease in plantar pressure and the force in the forefoot was observed in patients with first MPT joint OA using rocker bottom shoes compared to those using shoes with a standard sole, with no differences in time indicators and walking speed.

Еще

Текст научной статьи Влияние обуви с перекатной подошвой на распределение подошвенного давления у пациентов с остеоартритом первого плюснефалангового сустава

Остеоартрит (АО) первого плюснефалангового сустава (1 ПФС) является одной из наиболее часто встречаемых патологий стопы. В 79 % случаев диагностируют двухстороннюю локализацию, при этом чаще данное заболевание наблюдают у лиц женского пола [1]. Так как наиболее часто заболевания поражает пациентов средней возрастной категории, основные клинические проявления, такие как боль, ограничение движений в суставе в далеко зашедших стадиях заболевания, могут приводить к нарушению трудоспособности пациента [2, 3].

В более тяжелых стадиях заболевания общепринятой является хирургическая тактика лечения, которая может включать артродезирование, эндопротезирование 1 ПФС, а также хейлэктомию и укорачивающие остеотомии первой плюсневой кости [4, 5].

При наличии противопоказаний к хирургическому вмешательству или отсутствии желания пациента к его проведению может возникнуть необходимость консервативного лечения как основного. Консервативное лечение при остеоартрите первого плюснефалангового сустава является комбинированным и заключается в приёме НПВС, физиотерапии, ношении специализированных ортопедический стелек [6, 7]. Несмотря на широкое распространение разнообразных ортопедических изделий, часто недостаточное внимание уделяют подбору ортопедической обуви, которая позволяет значительно помочь в устранении болевого синдрома при повседневной физической активности [8, 9].

В настоящее время для оценки изменений кинематики нижних конечностей широко используют динамическую педобарографию [10, 11], повторяемость и воспроизводимость ее использования подтверждены научными публикациями [12, 13].

Цель работы — оценить результаты динамической внутриобувной педобарографии при использовании стандартной обуви и обуви с перекатной подошвой у пациентов с остеоартритом первого плюсне-фалангового сустава 3–4 стадий.

МАТЕРИАЛЫ И МЕТОДЫ

Дизайн исследования

Тип исследования: проспективное одноцентровое нерандомизированное когортное исследование.

В исследование включены пациенты, которым было запланировано лечение в ГКБ им. С.С. Юдина по поводу остеоартрита первого плюснефалангового сустава 3–4 ст.

Критерии включения :

  • —    согласие пациента на участие в исследовании;

  • —    клинически и рентгенологически подтвержденный диагноз «остеоартрит первого плюснефаланго-вого сустава 3–4 ст.»;

  • —    запланированное оперативное вмешательство по поводу ОА 1 ПФС;

  • —    возраст пациента 18 лет и старше;

  • —    возможность пройти без необходимости отдыха 100 м и более;

  • —    наличие закрытой обуви пациента, позволяющей провести исследование;

  • —    отсутствие в обуви пациента ортопедических стелек.

Критерии невключения :

  • —    ранее проведенные оперативные вмешательства по поводу ОА 1 ПФС;

  • —    сопутствующая патология нижних конечностей;

  • —    сопутствующие системные заболевания;

  • —    приём НПВС в предыдущие 2 нед.;

  • —    внутрисуставные инъекции в предыдущие 3 мес.

Отбор пациентов для исследования производили по время консультативного приёма заранее или во время госпитализации накануне оперативного вмешательства.

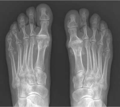
Диагноз «остеоартрит первого плюснефалангового сустава 3–4 ст.» выставлен консультирующим врачом на основании сбора анамнеза, клинического осмотра, результатов рентгенологических исследований (рис. 1).

Рис. 1. Рентгенография дорсально-плантарной проекции одного из пациентов, включенных в исследование: рентгенологические признаки ОА 1 ПФС обеих стоп

В исследуемую группу включены 12 пациентов: девять (75 %) женщин и три (25 %) мужчины. Средний возраст пациентов — 63,3 года (45–71).

Среднее значение болевого синдрома в исследуемой группе согласно визуальной аналоговой шкале (ВАШ) равнялось (7,0 ± 2,3) баллам (от 3 до 10), по результатам анкетирования по AOFAS HS ( англ .: American Orthopedic Foot and Ankle Society Hallux Scale) — (47,6 ± 14,1) баллам (27–69). Амплитуда движений 1 ПФС составила (11,6 ± 6,5) ° (5-25).

Обследование пациентов состояло из определения объёма движений в первом плюснефаланговом суставе с помощью гониометра, оценки выраженности болевого синдрома по ВАШ, шкале AOFAS, динамической педобарографии в обуви пациента (рис. 2) и ортопедической обуви с закругленной в переднезаднем направлении подошвой (рис. 3).

Рис. 2. Примеры стандартной обуви пациентов

Рис. 3. Ортопедическая обувь с перекатной подошвой

Анализ шага

Исследования проводил по единому протоколу один исследователь. Первое исследование проведено в стандартной обуви, второе — в обуви с перекатной подошвой. После периода адаптации (15 мин. ходьбы), пациентам выполняли тестовые четыре проходки в стандартной обуви по 10 м каждая в помещении с твёрдым покрытием. Из анализа исключали первый и последний шаги. После повторяли данное исследование для обуви с перекатной подошвой. Нами не было установлено количество шагов для каждого исследования ввиду разной длины шага пациентов. Скорость шага пациент выбирал произвольно.

Внутриобувную динамическую педобарографию производили с помощью комплекса Tekscan F-Scan64 (Tekscan Inc), которая представляет собой стельку толщиной 0,229 мм, снабженную 64 датчиками 100 Hz (один датчик на 1 см 2 ), область измерения давления — 852 кПа. Внутриобувные датчики были присоединены к передатчику, который с помощью соединения Bluetooth транслировал данные на персональный компьютер. Для оценки и анализа полученных данных использовали специализированное программное обеспечение.

Размер стельки подбирали для каждого пациента индивидуально в зависимости от размера его обуви. Определяли: пиковое давление (кПа), среднее давление (кПа), силу (кг), скорость ходьбы (шагов/мин), временные характеристики фаз шага (сек). Распределение по областям стопы происходило в автоматизированном режиме с помощью программного обеспечения.

Статистический анализ

Результаты, полученные в процессе исследования, анализировали с помощью статистической программы Jamovi 2.6.13. Проверку на нормальность распределения проводили с помощью критерия Шапиро – Уилка. При нормальном распределении данные представлены в виде средних значений с указанием минимального и максимального значений. В ненормальных выборках распределения количественные данные описывали с помощью медианы (Me) и нижнего и верхнего квартилей. Анализ подошвенного давления производили с помощью параметра U Манна – Уитни для двух независимых групп. Статистическую достоверность определяли с помощью p-критерия 5 % ( p ≤ 0,05).

РЕЗУЛЬТАТЫ

При сравнении биомеханических показателей пациентов ходьбы в стандартной обуви и в обуви с перекатной подошвой не отмечено статистически значимой разницы в скорости ходьбы, времени фаз переноса, времени цикла шага и времени контакта обеих стоп с опорой (табл. 1).

Выявлено статистически значимое снижение значений показателей пикового и среднего давления, времени фазы опоры при ходьбе в обуви с перекатной подошвой в сравнении с обычной обувью. При анализе показателей силы отмечена разница общей силы и силы в переднем отделе стопы. При этом изменения показателей силы заднего отдела стопы не выявлены (табл. 2, 3).

Таблица 1

Значения временных показателей цикла шага

Показатель шага

Значения показателей

p

Обычная подошва

Перекатная подошва

Скорость ходьбы, шагов/мин

46,80 ± 3,70 (41,20–51,00)

48,01 ± 4,60 (41,20–50,90)

0,604

Время цикла шага, сек

1,28 ± 0,90 (1,17–1,46)

1,21 ± 0,15 (1,18–1,44)

0,721

Фаза опоры, сек

0,73 ± 0,09 (0,71–0,87)

0,63 ± 0,09 (0,47–0,83)

0,027

Фаза переноса, сек

0,55 ± 0,10 (0,44–0,66)

0,56 ± 0,10 (0,47–0,66)

0,495

Таблица 2

Показатели силы и времени исследуемых групп

Область стопы

Сила, кг

Время контакта, сек

Обычная подошва

Перекатная подошва

p

Обычная подошва

Перекатная подошва

p

Задний отдел стопы

53,9 ± 27,8 (33,7–85,5)

57,1 ± 27,3 (43,4–117,7)

0,088

0,53 ± 0,12 (0,4–0,64)

0,56 ± 0,09 (0,5—0,67)

0,706

Передний отдел

83,7 ± 30,2 (60,9–139,7)

51,6 ± 20,6 (28,6–68,4)

0,020

0,52 ± 0,12 (0,45–0,62)

0,53 ± 0,12 (0,45–0,67)

0,847

Вся стопа

134,3 ± 43,9 (99,7–183,7)

84,6 ± 30,7 (55,0–138,2)

0,026

0,71 ± 0,90 (0,64–0,82)

0,70 ± 0,20 (0,67–0,72)

0,216

Таблица 3

Показатели давления

Вид давления

Обычная подошва

Перекатная подошва

p

Пиковое давление, кПа

759,3 ± 196,7 (568–961)

412,7,4 ± 222,3 (255–667)

0,011

Среднее давление, кПа

386,0 ± 103,2 (313–566)

217,0 ± 94,5 (208–420)

0,019

Анализ пикового и среднего давления при ходьбе в собственной обуви пациентов позволяет сделать вывод, что у 10 (83,3 %) пациентов пиковое давление определялось в переднем отделе стопы (рис. 4).

При использовании обуви с перекатной подошвой в семи (70 %) из 10 случаев пиковое давление стопы определялось в заднем отделе стопы. При этом нами не отмечено статистически значимой разницы значений пикового давления ( p = 0,101) и силы ( p = 0,088) в заднем отделе стопы при ходьбе в стандартной обуви и в обуви с перекатной подошвой. Это позволяет сделать вывод о том, что изменения переката происходят за счёт уменьшения показателей переднего отдела стопы.

^ 300 ф

SOO

«Г

Pressure versus Percent of Stance

О 10   20   30   40   50   60   70   80   90   100

Percent of Stance

Рис. 4. Результаты динамической педобарографии пациента: а — распределения давления при ходьбе в обычной обуви; б — изображение распределения давления при ходьбе в обуви с перекатной подошвой; в — графическое отображение изменения распределения давления при ходьбе в стандартной обуви (маркировка графика оранжевым цветом) и обуви с перекатной подошвой (маркировка графика фиолетовым цветом). Уменьшение индикации красного цвета отображает выраженное снижение подошвенного давления при ходьбе в ортопедической обуви. В обуви с перекатной подошвой зона пикового давления смещена область заднего отдела стопы. Квадратный индикатор красного цвета подтверждает изменение локализации зоны максимального давления

ОБСУЖДЕНИЕ

Движения 1 ПФС являются крайне важной составляющей частью биомеханики стопы. Экстензия 1 ПФС в процессе переката через передний отдел стопы обуславливает работу «механизма лебедки», обеспечивающего поднятие внутреннего продольного свода, супинацию заднего отдела стопы и, как следствие, энергетически эффективный пальцевой толчок в пропульсивной фазе шага [2].

Нарушение движений 1 ПФС приводит к изменениям биомеханики походки, при этом отмечают уменьшение пикового давления под головкой первой плюсневой кости [14]. Происходит внутренняя ротация стопы, и центр давления в процессе шага смещается латерально, при этом увеличивается нагрузка в латеральном отделе стопы, и наблюдают перегрузку малых лучей [15]. Данные изменения соответствуют low-gear перекату, который осуществляется через косую ось, соединяющую вторую и пятую плюсневую кости [16]. Также у пациентов с ограниченной амплитудой движений 1 ПФС можно наблюдать пронацию заднего отдела стопы [17].

Мы встретили ограниченное количество публикаций, оценивающих долгосрочные результаты консервативного лечения пациентов с ОА 1 ПФС [18]. Наиболее крупным исследованием, оценивающим результаты консервативного лечения ОА 1 ПФС, является работа J. Grady et al. [19]. Эффективность лечения, которую оценивали авторы на основании снижения уровня болевого синдрома, составила 55 %, при этом 84 % пациентов использовали ортопедические стельки.

Применение ортопедических стелек при консервативном лечении больных ОА 1 ПФС основано на нескольких подходах. Первый заключается в ограничении экстензии 1 ПФС и снижении времени нагрузки на первый луч, при этом подходе используют стельки Мортона, имеющие продленный каркас в проекции 1 ПФС (рис. 5). Однако данный метод имеет недостаток, — еще большая латерализация вектора нагрузки при перекате через передний отдел стопы [20]. Как отмечено выше, ограничение движений 1 ПФС также может быть вызвано пронацией заднего отдела стопы.

Второй подход консервативного лечения при ОА 1 ПФС основан на формировании внутреннего продольного свода и коррекции пронации заднего отдела стопы, для чего применяют стельки с коском-супинатором [21]. Однако ортопедические стельки занимают дополнительное место в обуви, их применение может быть затруднительным из-за наличия костно-хрящевых экзостозов в проекции 1 ПФС и, как следствие, ограниченного пространства в переднем отделе стопы. В этом случае принципиальным становится вопрос подбора обуви для данной группы пациентов.

Рис. 5. Стелька Мортона с продленным каркасом в проекции 1 ПФС

Обувь с перекатной подошвой является одной из наиболее часто используемых модификаций терапевтической обуви, которую широко используют пациенты с различной патологией стопы и голеностопного сустава [22, 23]. Несмотря на то, что значение обуви в лечении пациентов с ОА 1 ПФС отмечали еще в начале XX века, на сегодняшний день имеется ограниченное количество публикаций, посвященных этой теме [24, 25].

Закругленная форма подошвы стимулирует перекат стопы за счёт формы в момент, когда вес тела проходит через точку опоры [26]. Распределение давления в данном случае происходит преимущественно на средний отдел стопы [27]. За счёт конструктивной особенности подошвы, которая обеспечивается смягчающими и жёсткими вставками, происходят дополнительная амортизация во время пяточного удара и ограничение экстензии в переднем отделе стопы, что дополнительно усиливает эффект формы подошвы. Ограничения движений суставов стопы в сагиттальной плоскости влияют на кинематику нижних конечностей [28, 29]. Ограничение движений 1 ПФС приводит к искусственному уменьшению эффективности работы «механизма лебедки», которая у пациентов с ОА 1 ПФС 3–4 ст. нарушена за счёт выраженного ограничения движений 1 ПФС. Также отмечают снижение силы пальцевого толчка в процессе переката через передний отдел стопы, более длительную фазу двойной опоры, меньшие колебание центра массы тела и длины шага [9, 30, 31]. Однако обувь с перекатной подошвой не оказывает влияния на скорость передвижения, что совпадает с результатами нашего исследования [32].

Ограничения экстензии 1 ПФС у пациентов с ОА за счёт полужесткой и закругленной подошвы подошвой в области носка обуви с перекатной подошвой приводят к снижению интенсивности болевого синдрома. Также данная форма подошвы позволяет снизить нагрузку и давление в проекции переднего отдела стопы [33], что подтверждено результатами нашего исследования, и увеличить значение показателей пикового давления и силы в заднем отделе стопы [34].

ЗАКЛЮЧЕНИЕ

Результаты внутриобувной динамической педобарографии подтверждают снижение значений подошвенного давления и силы у пациентов с ОА 1 ПФС при использовании обуви с перекатной подошвой в сравнении с показателями, зарегистрированными при ходьбе в стандартной обуви. Отмечается отсутствие влияния перекатной подошвы на скорость ходьбы и временные показатели шага. Снижение пикового подошвенного давления и силы происходит преимущественно за счет переднего отдела стопы.