Автоматический круглосуточный контроль дистракционных усилий — новая технология удлинения конечностей

Автор: Попков А.В., Городцов Н.А., Буравцов П.П.

Журнал: Гений ортопедии @geniy-ortopedii

Рубрика: Новые технологии

Статья в выпуске: 6 т.31, 2025 года.

Бесплатный доступ

Введение. Классическая технология чрескостного дистракционного остеосинтеза по Илизарову благодаря жёсткости фиксации и возможности строгого контроля положения отломков относительно фронтальной и сагиттальной плоскостей позволяет не только устранять все виды деформаций, но и восстанавливать необходимую длину конечности. Однако длительные сроки фиксации в аппарате Илизарова часто приводят к осложнениям. Оставалась нерешенной проблема отслеживания дистракционных усилий. Новая технология удлинения конечностей с использованием автодистракторов с круглосуточным контролем усилий позволяет установить оптимальную скорость исправления деформаций, что в комбинации с интрамедуллярными титановыми спицами с биоактивным покрытием приводит к снижению сроков фиксации в аппарате Илизарова. Цель работы — продемонстрировать возможности технологии непрерывного контроля дистракционных усилий с использованием автоматического дистрактора при исправлении варусной деформации большеберцовой кости с анатомическим удлинением. Материалы и методы. Удлинение голени с одновременным исправлением деформации большеберцовых костей осуществляли новым автоматическим дистрактором (патент RU №2763644) позволяющим измерять усилия, преодолеваемые аппаратом внешней фиксации при каждом включении редуктора. Результаты и обсуждение. Результат клинического наблюдения иллюстрирует эффективное использование нового автоматического дистрактора с возможностью постоянного измерения дистракционных усилий, преодолеваемых аппаратом Илизарова при комбинированном дистракционном остеосинтезе. При применении устройства консолидация кости наступает в относительно короткие сроки (ИО=15 дн/см) после последовательного дистракционного остеосинтеза, ликвидируется варусная деформация большеберцовых костей и увеличивается анатомическая длина голеней. Заключение. Динамический контроль дистракционных усилий при использовании нового автоматического дистрактора позволяет контролировать процесс удлинения и вовремя диагностировать возможные осложнения, менять темп дистракции до оптимального и сокращать сроки остеосинтеза в два–четыре раза.

Еще

Удлинение конечностей, деформация большеберцовой кости, аппарат Илизарова, чрескостный автоматизированный дистракционный аппарат

Короткий адрес: https://sciup.org/142246512

IDR: 142246512   |   УДК: 004.9 :[616.718.5-007.24]-001.5-089.227.84-08-07   |   DOI: 10.18019/1028-4427-2025-31-6-805-812

Automated 24-hour control of distraction forces: a new technology for limb lengthening

Introduction The classic Ilizarov technology of transosseous distraction osteosynthesis provides rigid fixation, accurate bone control in frontal and sagittal planes addressing all types of deformities and the limb length. Long-term Ilizarov fixation can be associated with adverse events and distraction forces are to be monitored. A new technology for limb lengthening using automated 24-hour control of distraction force facilitates optimal rate of deformity correction and can reduce Ilizarov fixation when combined with intramedullary titanium pins with a bioactive coating. The objective was to demonstrate continuous distraction force control technology in the correction of varus deformity of the tibia and anatomical lengthening. Material and methods Simultaneous tibial lengthening and correction of tibial deformity was produced with a new automated distractor (patent RU No. 2763644) measuring forces of the external fixation device every time with the gearbox switching on. Results and discussion Continuous distraction force control was well illustrated in an Ilizarov patient treated with combined distraction osteosynthesis. The use of the device was associated with a shorter bone consolidation time (IO = 15 days/cm) after sequential distraction osteosynthesis with genu varum eliminated and the bone lengthened. Conclusion Dynamic distraction force control with a new automated device allowed for monitoring the lengthening process, identifying potential complications, adjusting the distraction rate, reducing osteosynthesis time by two to four times.

Еще

Текст научной статьи Автоматический круглосуточный контроль дистракционных усилий — новая технология удлинения конечностей

Общепризнанным фактом считается, что надежное решение проблемы исправления деформации и удлинения сегмента конечности связано с появлением в середине ХХ столетия аппарата Илизарова, который и в настоящее время остается основным инструментом в руках опытного ортопеда-травматолога. С момента первой публикации произошли колоссальные изменения, как в самом аппарате, так и в технологии оперативного вмешательства. Постоянно совершенствовались узел фиксации (форма и материал опор с элементами связи, их защитное покрытие с элементами противовоспалительного и биоактивного воздействия), узлы перемещения и угловой коррекции (стержни, шарниры, балки), снизилась травматичность оперативного вмешательства [1–13]. Улучшая процесс удлинения конечности, ортопеды разных стран подошли к необходимости автоматизировать этот процесс, что привело к созданию автоматических узлов перемещения для аппаратов внешней фиксации с фиксированной [14–16], а затем и регулируемой скоростью удлинения [17]. Это привело к возможности коррекции деформаций одновременно с удлинением сегмента [13, 18]. Стремление подобрать объективную оптимальную скорость работы узлов перемещения привело к созданию автодистракторов, способных измерять дистракционные усилий для контроля процесса репаративного остеогенеза [19].

Цель работы — продемонстрировать возможности технологии непрерывного контроля дистракционных усилий с использованием автоматического дистрактора при исправлении варусной деформации большеберцовой кости с анатомическим удлинением.

МАТЕРИАЛЫ И МЕТОДЫ

Для дистракционного остеосинтеза использовали аппарат Илизарова с тремя автоматическими дис-тракторами, — чрескостный автоматизированный дистракционный аппарат (патент RU № 2763644 C1 «Чрескостный автоматизированный дистракционный аппарат и автоматический узел перемещения», выпускается заводом «Курганприбор», рис. 1) [20]. Этот аппарат обеспечивает дозированную круглосуточную работу узлов перемещения. Программное обеспечение контролирует процесс практически неограниченного удлинения конечности от 0,15 мм/сутки при шаге 0,025 мм при каждом включении двигателя, получает данные о сроках дистракции, темпе удлинения, дистракционных усилиях на каждом стержне аппарата внешней фиксации и показатели динамики суммарных дистракционных усилий аппарата на протяжении необходимого отрезка времени (измерение усилий происходит при каждом включении двигателя).

Рис. 1. Схемы и фото чрескостного автоматизированного дистракционного аппарата и автоматического узла перемещения [20]

Чрескостный автоматизированный дистракционный аппарат содержит опоры, соединенные между собой автоматическими узлами перемещения, каждый из которых включает в себя корпус, мотор-редуктор, электрически связанный с контроллером, и ходовой винт с гайкой. Автоматический узел перемещения выполнен с размещенной в нем зубчатой передачей, соединяющей ходовой винт и мотор-редуктор. Гайка ходового винта выполнена из хладотекучего антифрикционного фторсодержащего полимера и установлена с возможностью торцевого поджатия. В корпусе смонтирован секторный диск, закрепленный на одной из шестерен зубчатой передачи, и его датчик вращения, электрически связанный с контроллером. Контроллер расположен внутри корпуса автоматического узла перемещения, в месте крепления ходового винта установлен датчик продольного усилия ходового винта, электрически связанный с контроллером. Дозированное перемещение опор аппарата внешней фиксации достигается при снижении массы и габаритов аппарата с обеспечением обратной связи в виде контроля возникающих усилий в месте крепления ходового винта [20].

Методы клинического наблюдения представлены рентгенографическим контролем за процессом репаративной регенерации костной ткани с помощью аппарата фирмы Shimadru Sonialvision 4 (Япония).

Для стимуляции костеобразования интрамедуллярно в большеберцовую кость вводили титановый имплантат в виде двух спиц с гидроксиапатитовым покрытием длиной 15 см, диаметром 1,8 мм. Покрытие имплантата осуществлено в Томском политехническом университете по технологии МДО (микродугового оксидирования) [21]. В качестве компонентов для изготовления композиционных материалов использовали гидроксиапатит (Fluidinova, Португалия).

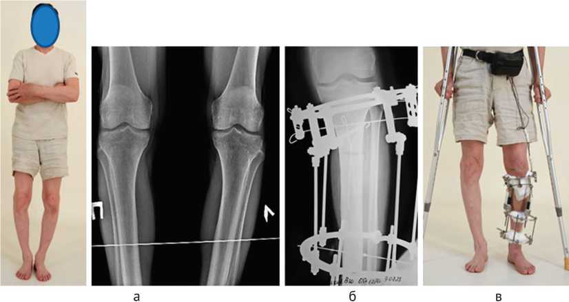
Клиническим примером служит случай исправления варусной деформации большеберцовых костей пациента 65 лет с диагнозом «Врожденная варусная деформация большеберцовых костей 20 ° , гонартроз 2 ст.» методом чрескостного дистракционного остеосинтеза аппаратом Илизарова в автоматическом режиме. Пациент считал, что деформации (рис. 2, а) существуют у него с рождения, и всю сознательную жизнь мечтал их исправить. В последние 2–3 года пациент начал отмечать умеренные боли в коленных суставах. Физически активный образ жизни (военнослужащий) не ограничивал его в регулярных беговых нагрузках, плавании и пешеходном туризме.

Операция (09.07.24) — подмыщелковая частичная кортикотомия левой большеберцовой кости, комбинированный остеосинтез голени аппаратом Илизарова.

Рис. 2. Фотография и рентгенограммы пациента до лечения (а); рентгенограмма костей левой голени после операции (б); фото пациента в процессе автоматического удлинения голени с одновременным исправлением деформации (в)

Операцию начинали с интрамедуллярного введения биоактивного имплантата с гидроксиапатитовым (ГА) покрытием. В кортикальном слое проксимального метафиза удлиняемой кости с помощью фрезы диаметром 5 мм через предварительно выполненные проколы мягких тканей сформировали сообщающиеся с костномозговым каналом наклонные отверстия (по одному с наружной и внутренней поверхности кости). Через эти отверстия провели две спицы с биоактивным ГА-покрытием. После того как спица вошла в канал на заданную величину, избыток ее длины скусили, а конец загнули и погрузили под фасцию сегмента конечности [22].

После введения имплантата мягкие ткани ушили наглухо и осуществили чрескостный остеосинтез костей голени аппаратом Илизарова по стандартной методике в комплектации, которая позволяет удлинять голень с одновременным исправлением деформации большеберцовой кости. На завершающем этапе операции узким, шириной 6 мм, долотом произвели частичную кортикотомию на уровне вершины деформации большеберцовой кости, стараясь максимально сохранить связи между фрагментами кости по ее наружной поверхности. Раны зашили наглухо с наложением асептических повязок, выполнили контрольную рентгенографию и стабилизировали системы аппарата (рис. 2, б). Остеотомию малоберцовой кости осуществили в ее нижней трети.

РЕЗУЛЬТАТ

Послеоперационный период протекал при постепенном дозированном исправлении деформации под постоянным контролем дистракционных усилий аппарата Илизарова.

После операции установили три автоматических дистрактора (ведущий дистрактор — по внутренней поверхности голени, два ведомых дистрактора — по передне-наружной и задне-наружной поверхностям голени) таким образом, чтобы их шарнирные соединения проецировались на уровне продолже- ния биссектрисы угла варусной деформации большеберцовой кости [23]. Дистракцию начали через семь дней после операции темпом 1 мм/сут по ведущему стержню (по 0,025 мм за 40 приемов в сутки). Больной постоянно ходил с костылями, наступая на оперированную ногу (рис. 2, в).

Активный, быстрый рост уровня дистракционных усилий до 200Н позволил врачу уже через два дня увеличить темп дистракции до 3 мм/сут (рис. 3), уровень дистракционных усилий продолжал постепенно подниматься в течение недели.

Продолжающийся активный рост уровня дистракционных усилий свидетельствовал о сохранении непосредственной связи между костными фрагментами (по наружной поверхности — за счет надкостницы).

На седьмые сутки дистракции (22.07.24) во время работы дис-трактора пациент отметил щелчок, сопровождавшийся умеренной болью. Объективный осмотр врачом не обнаружил каких-либо нарушений в аппарате Илизарова,

Рис. 3. Динамика дистракционных усилий в первые шесть дней удлинения: график зеленого цвета отражает динамику усилий ведущего автодистрактора, красный и желтый цвет отражает динамику усилий на ведомых стержнях аппарата, график белого цвета отражает динамику суммарного усилия аппарата Илизарова

а измерение дистракционных усилий показало, что после достижения уровня в 290Н произошло их резкое падение до 20Н, что свидетельствует о нарушение непосредственной связи между костными фрагментами (рис. 4).

Рис. 4. Динамика дистракционных усилий с резким падением уровня сопротивления (а); контрольная рентгенограмма левой голени в день падения уровня дистракционных усилий (б)

Опираясь на объективные клинические, рентгенологические и биомеханические данные, дистракция была прекращена на два дня, после чего вновь начата темпом 1 мм/сут с ежедневным контролем дистракционных усилий.

Последующий динамический контроль показал постепенный рост дистракционных усилий до 190Н. Параллельный клинический контроль свидетельствовал о постепенном завершении исправления ва-русной деформации голени, и 31.07.24 дистракция была прекращена ввиду выполнения поставленной задачи (рис. 5).

Через две недели аппарат Илизарова был демонтирован после проведения клинической пробы на консолидацию. Общий индекс остеосинтеза (ИО) составил 15 дн/см (рис. 5, в). Функциональная длина левой конечности после исправления деформации превысила правую на 4 см, отеков нет, чувствительность кожных покровов сохранена. Амплитуда движений в голеностопном суставе не ограничена, в коленном суставе — в пределах 120 ° . Клиническая проба на консолидацию не выявила какой-либо подвижности в зоне дистракционного регенерата, что позволило рекомендовать пациенту начинать постепенно возрастающую нагрузку при ходьбе и принять решение об операции по исправлению ва-русной деформации на правой голени.

Рис. 5. Динамика дистракционных усилий на 31.07.24: стрелка указывает повторное начало удлинения по ведущему стержню (а); контрольная рентгенограмма левой голени в день завершения периода дистракции (б) и в день демонтажа аппарата внешней фиксации (в)

Технология оперативного вмешательства на правой голени не отличалась от операции на левой голени (рис. 6, а). Дистракцию по ведущему дистракционному стержню начали через семь дней после операции. Динамика дистракционных усилий отражала постепенное нарастание сопротивления удлиняемых тканей от 10 до 200Н, что свидетельствует о непрерывности связей между костными фрагментами (рис. 6, а). Рентгенограмма костей голени после завершения исправления деформации отражает достаточно быструю консолидацию костных фрагментов (рис. 6, б). Период фиксации правой голени в аппарате Илизарова продолжался 21 день, что в целом соответствовало индексу остеосинтеза 22 дн/см.

Рис. 6. Рентгенограммы костей правой голени в день операции (а), динамика дистракционных усилий при исправлении деформации правой голени (б), рентгенограммы костей обеих голеней после завершения лечения (в)

Через месяц после демонтажа аппарата внешней фиксации пациент ходил с полной нагрузкой, без дополнительных средств опоры, длина ног — одинаковая. Амплитуда движений в коленных суставах — 120 ° . Ось конечностей пациента удовлетворяет.

Таким образом, применение автодистрактора с контролем усилий в комбинации с интрамедуллярными имплантатами, покрытыми гидроксиапатитом, обеспечивает оптимальные условия для формирования дистракционного регенерата, а повышенная активность костеобразования проявляется в формировании дистракционного регенерата, сопровождающегося выраженной периостальной реакцией и увеличением площади поперечного сечения кости.

ОБСУЖДЕНИЕ

Новый чрескостный автоматизированный дистракционный аппарат [20] в отличие от других автоди-стракторов способен контролировать дистракционные усилия. Сбор данных осуществляется на блоке управления. Все данные передаются на компьютер в специальное приложение [19], через которое происходит анализ полученных данных о дистракционных усилиях и выбор скорости дистракции. Новая технология позволяет исправить деформацию сегмента и восстановить необходимую длину конечно- сти с максимальным сохранением потенциала репаративного остеогенеза. Благодаря отслеживанию динамики дистракционных усилий на новом аппарате появилась возможность выявлять случаи неполной остеотомии кости, преждевременной консолидации отломков и оссификации регенерата, а также случаи разрыва регенерата. Появившиеся возможности ранней диагностики подобных ситуаций качественно отличают новый дистракционный аппарат от автодистрактора В.И. Шевцова, Э.В. Бурлакова, В.А. Немкова [17, 24], который мы длительное время использовали в клинической практике.

Ранее мы показали, что автоматическая высокодробная дистракция создает оптимальные условия для репаративного остеогенеза, а внутрикостные имплантаты с гидроксиапатитовым покрытием дополнительно стимулируют этот процесс и позволяют увеличить темп дистракции до 3 мм/сутки [25]. При этом общий срок остеосинтеза заметно сокращается: при удлинении голени у крупных экспериментальных животных ИО = 2–3 дн/см, в клинических условиях ИО = 15 дн/см.

ЗАКЛЮЧЕНИЕ

Динамический контроль дистракционных усилий при использовании нового автоматического дис-трактора позволяет контролировать процесс удлинения и вовремя диагностировать возможные осложнения, менять темп дистракции до оптимального и сокращать сроки остеосинтеза в два–четыре раза в сравнении с данными мировой литературы. Использование нового автодистрактора способствует снижению количества осложнений, связанных с длительной фиксацией конечности в аппарате Илизарова.