Протекторное действие пробиотика на морфофункциональные показатели печени цыплят-бройлеров при индуцированной энтрофлоксацином гепатопатии

Автор: Круть У.А., Ефимова В.А., Выросткова А.С., Болгов А.А., Ахапкина С.С.

Журнал: Ученые записки Казанской государственной академии ветеринарной медицины им. Н.Э. Баумана @uchenye-zapiski-ksavm

Рубрика: Ветеринария

Статья в выпуске: 1 т.265, 2026 года.

Бесплатный доступ

Цель работы – оценка протекторного влияния пробиотика на основе штамма Bacillus subtilis ВКМ В3701D на морфофункциональные показатели печени цыплят-бройлеров при гепатопатии, индуцированной энрофлоксацином. Эксперимент проведён на 100 цыплятахбройлерах кросса «Росс-308» с 1‑х по 21‑е сутки жизни. Птицы были разделены на 4 группы: контроль (стандартный рацион), пробиотик (ежедневно с 1‑х по 20‑е сутки, 1 г/кг массы тела), энрофлоксацин (200 мг/л воды первые 5 суток), энрофлоксацин + пробиотик (энрофлоксацин первые 5 суток, затем пробиотик с 6‑х по 20‑е сутки. На 1, 7, 14 и 21‑е сутки жизни проводили убой, определяли массу тела и печени, выполняли гистологическое исследование печени с окраской гематоксилином и эозином. Установлено, что применение энрофлоксацина вызывает у 14‑суточных цыплят центролобулярное полнокровие печени (выявлено в 50% гистологических препаратов). В группе с комбинированным применением антибиотика и последующим пробиотиком частота полнокровия снижалась до 28,6%, а его выраженность была умеренной. К 21‑м суткам морфологические изменения во всех группах нивелировались. Живая масса в группе энрофлоксацина на 14‑е сутки была ниже контроля (479,02±18,10 г против 507,72±7,71 г, p<0,05), но к 21‑м суткам различия исчезали. В группе энрофлоксацин + пробиотик на 21‑е сутки отмечено снижение живой массы (882,21±24,28 г против 968,74±21,49 г в контроле, p<0,001), что может быть связано с перераспределением ресурсов на репаративные процессы в печени. Полученные данные свидетельствуют о гепатопротекторном потенциале пробиотика Bacillus subtilis ВКМ В3701D, способного уменьшать микроциркуляторные нарушения, вызванные энрофлоксацином, и обосновывают его включение в схемы выращивания бройлеров для снижения медикаментозной нагрузки на печень.

Еще

Пробиотик, энрофлоксацин, гепатопротекторное действие, цыплятабройлеры, морфофункциональное показатели печени, гистология, альтернативы антибиотикам, птицеводство

Короткий адрес: https://sciup.org/142247537

IDR: 142247537   |   УДК: 633.313; 631.461.52   |   DOI: 10.31588/2413_4201_1883_1_265_32

Protective effect of a probiotic on morphofunctional indicators of the liver of broiler chickens with enrofloxacin-induced hepatopathy

The aim of the study was to evaluate the protective effect of a probiotic based on Bacillus subtilis BKM B3701D on morphofunctional indicators of the liver of broiler chickens with enrofloxacin-induced hepatopathy. The experiment was carried out on 100 broiler chickens of Ross-308 line from day 1 to day 21 of life. Birds were divided into 4 groups: control (standard diet), probiotic (probiotic administered daily from day 1 to day 20 at a dose of 1 g/kg of body weight), enrofloxacin (200 mg/l of water for the first 5 days), enrofloxacin + probiotic (enrofloxacin for the first 5 days, followed by probiotic from day 6 to day 20). On 1, 7, 14 and 21 days of life birds were slaughtered, body and liver weights were determined and liver histology was performed using hematoxylin and eosin staining. It was found that enrofloxacin causes centrilobular hepatic hyperemia of liver of 14-day-old chickens (detected in 50% of histological preparations). The frequency of hyperemia decreased to 28.6% and its severity was moderate in the group with the combined use of an antibiotic and subsequent probiotic. Morphological changes in all groups leveled out by the 21st day of life. Live weight in the enrofloxacin group on the 14th day was lower, than the control (479.02 ± 18.10 g versus 507.72 ± 7.71 g, p < 0.05), but differences disappeared by the 21st day. Live weight was reduced on the 21st day in the enrofloxacin + probiotic group (882.21 ± 24.28 g versus 968.74 ± 21.49 g in the control, p < 0.001), which may be associated with the redistribution of resources to reparative processes in the liver. The obtained results indicate the hepatoprotective potential of Bacillus subtilis BKM B3701D probiotic, which is capable of reducing microcirculatory disorders caused by enrofloxacin and justify its inclusion in broiler growing regimens to reduce the drug load on the liver.

Еще

Текст научной статьи Протекторное действие пробиотика на морфофункциональные показатели печени цыплят-бройлеров при индуцированной энтрофлоксацином гепатопатии

Введение. Применение антибактериальных препаратов в промышленном птицеводстве, традиционно используемых для контроля инфекционных заболеваний и стимуляции роста, сопряжено с развитием резистентности у патогенов, риском накопления остатков в продукции и потенциальным гепатотоксическим действием, поскольку печень является основным органом метаболизма ксенобиотиков [1, 2]. Ужесточение законодательства в области ветеринарного применения антибиотиков (Федеральный закон № 636-ФЗ от 21.11.2022 «О внесении изменений в Федеральный закон «Об обращении лекарственных средств» и отдельные законодательные акты Российской Федерации») актуализирует поиск эффективных альтернативных и комплементарных средств, направленных на поддержание здоровья и продуктивности сельскохозяйственных животных без рисков, ассоциированных с антимикробными препаратами. Мировой опыт показывает, что пробиотики на основе Bacillus subtilis являются одной из наиболее перспективных альтернатив, что подтверждается многочисленными обзорами [3]. Ранее проведённые нами пилотные исследования на птице яичного кросса [4] выявили позитивное влияние исследуемого пробиотического штамма на отдельные биохимические и морфологические параметры печени. Однако физиология и интенсивность метаболических процессов у бройлеров принципиально иные, что определяет необходимость отдельного целенаправленного изучения.

Цель исследования - провести сравнительный анализ влияния антибиотика энрофлокса-цина и пробиотика на основе штамма Bacillus subtilis на морфофункциональные показатели печени цыплят-бройлеров.

Условия, материалы и методы. Эксперимент проведён на базе Лаборатории птицеводства Белгородского государственного аграрного университета имени В.Я. Горина. В качестве объекта исследования использованы цыплята-бройлеры кросса «Росс-308» в общем количестве 100 голов. Эксперимент проводили с цыплятами с 1-х по 21-е сутки жизни.

Все цыплята были разделены на 4 группы (n=25), для каждой была подобрана схема кормления:

Контрольная группа: стандартный рацион (зерно, комбикорм, вода);

Группа с пробиотиком: стандартный рацион + выпаивание пробиотиком (штамм Bacillus subtilis ВКМ В3701D) в дозе 1 г/кг массы тела (1 г содержит 109 КОЕ) ежедневно с 1‑х по 20-е сутки жизни;

Группа с антибиотиком: стандартный раци- он + выпаивание энрофлоксацином в дозе 200 мг/л воды в первые 5 суток жизни;

Группа с антибиотиком и пробиотиком: стандартный рацион + выпаивание энрофлок-сацином (200 мг/л) в первые 5 суток жизни, затем с 6‑х по 20‑е сутки жизни – пробиотик (штамм Bacillus subtilis ВКМ В3701D) в дозе 1 г/кг массы тела.

Убой цыплят производили на 1‑е, 7‑е, 14‑е и 21‑е сутки жизни для изучения гистологических и морфометрических показателей печени по 6 особей из каждой группы на каждом сроке. В эти же сроки измеряли массу тела птиц и массу печени.

Извлечённые органы после макроскопического исследования и взвешивания фиксировали в 10%‑м растворе забуференного нейтрального формалина для последующего гистологического анализа.

Для гистологического исследования проводка образцов выполнялась с использованием батареи из этилового спирта и хлороформа с последующей парафинизацией при помощи аппарата для гистологической обработки биологических тканей TLP-144 (MT Point Technology, Россия). Заливку блоков со стандартной ориентацией кусочков проводили на станции для заливки биологического материала ESD-2800-M (MT Point Technology, Россия). Срезы толщиной 5 мкм изготавливали на полуавтоматическом ротационном микротоме с системой транспортировки и расправления срезов RMD-3000 (MT Point Technology, Россия). Окраску осуществляли гематоксилином и эозином (Labiko, Россия).

Основная часть морфологического исследования выполнена после создания электронной галереи изображений с помощью полуавтоматического сканера микропрепарата Mirax Desk (Carl Zeiss Microimaging GMbH, Германия), что позволило максимально стандартизовать режимы морфометрического исследования. Увеличение сканирующего объектива составило ×20. Цифровое увеличение на микрофотографиях и изображениях при анализе варьировало от ×20 (при отсутствии про- граммного увеличения) до ×800 (при 40-кратном программном увеличении).

Статистическую обработку данных осуществляли с использованием программы SPSS Statistics 17.0. Нормальность распределения количественных признаков в группах проверяли с помощью критерия Шапиро-Уилка. Для сравнения показателей между группами применяли однофакторный дисперсионный анализ (ANOVA) с последующим пост-хок тестом Тьюки для данных, имеющих нормальное распределение и равные дисперсии. В случае отклонения от нормальности распределения использовали непараметрический критерий Краскела_Уоллиса с последующим попарным сравнением по критерию Манна-Уитни с поправкой Бонферрони. Данные представлены в виде среднего арифметического и стандартной ошибки среднего (M±m). Различия считали статистически значимыми при p<0,05.

Исследование проводили в соответствии с Директивой 2010/63/EU Европейского парламента и Совета Европейского союза от 22 сентября 2010 года по охране животных, используемых в научных целях.

Результаты и обсуждение. Применение энрофлоксацина (группа 3) оказывало угнетающее влияние на динамику живой массы цыплят-бройлеров в период интенсивного роста. К 14‑м суткам жизни живая масса птиц в этой группе (479,02 ± 18,10 г) была статистически значимо ниже (p<0,05), чем в контрольной группе (507,72 ± 7,71 г). Однако к 21‑м суткам эта разница нивелировалась, и масса тела птиц в группе 3 (982,68 ± 25,83 г) не отличалась от контрольных значений (968,74 ± 21,49 г). В группе с комбинированным применением антибиотика и последующим пробиотиком (группа 4) к 21‑м суткам зафиксировано достоверное снижение (p<0,001) живой массы (882,21 ± 24,28 г) относительно всех других групп, что может быть связано с фазой восстановительных процессов и перераспределением метаболических ресурсов на репарацию в печени (таблица).

Таблица – Динамика относительного прироста живой массы и массы печени цыплят (n=6)

Сутки жизни

1-я группа: Контроль

2-я группа: Пробиотик

3-я группа: Антибиотики

4-я группа: Пробиотик и антибиотики

Абсолютная масса печени, г

1

1,62 ± 0,14

7

6,48 ± 1,18

6,18 ± 0,87

6,05 ± 0,71

6,01 ± 0,59

14

15,91 ± 3,08

17,73 ± 1,76

16,27 ± 1,84

15,82 ± 1,62

21

25,90 ± 3,54

25,83 ± 2,66

28,92 ± 4,38*

27,72 ± 1,60

Масса птицы, г

1

42,47 ± 2,29

7

157,75 ± 3,74

155,36 ± 3,27

151,75 ± 4,53

150,22 ± 5,64

14

507,72 ± 7,71

508,24 ± 11,28

479,02 ± 18,10*

475,05 ± 6,13**

21

968,74 ± 21,49

980,16 ± 17,81

982,68 ± 25,83

882,21 ± 24,28***

Примечание: * - p<0,05; ** - p<0,01; *** - p<0,001 (между контрольной и опытными группами)

Что касается абсолютной массы печени, статистически значимое увеличение (p<0,05) этого показателя к 21‑м суткам наблюдали только в группе птиц, получавших антибиотик (28,92 ± 4,38 г против 25,90 ± 3,54 г в контроле). Это может косвенно указывать на развитие компенсаторно-приспособительных реакций органа в ответ на гепатотоксическую нагрузку [5]. Помимо микроциркуляторных нарушений, энрофлокса-цин способен модулировать активность микросомальных ферментов печени, что также может вносить вклад в развитие гепатопатии [6].

Достоверное снижение живой массы у цыплят-бройлеров в группе 4 на 21-е сутки (p<0,001), вероятно, обусловлено перераспределением метаболических ресурсов с процессов линейного соматического роста на энергоёмкие репаративные реакции в гепатобилиарной системе, индуцированные пробиотиком на фоне постантибиотической нагрузки [7, 8]. Морфологическим подтверждением этой гипотезы служит значимо меньшая выраженность центролобулярного полнокровия у птиц этой группы на 14‑е сутки (28,6% против 50,0% в группе изолированного применения энрофлоксацина), что свидетельствует об активной фазе восстановления микро- циркуляторного русла и паренхимы печени. Кроме того, отсутствие компенсаторной гепатомегалии (27,72±1,60 г против 28,92±4,38 г в группе 3) указывает на противовоспалительное действие Bacillus subtilis, нивелирующее гипертрофические реакции. Зафиксированное снижение массы тела носит транзиторный адаптационновосстановительный характер и отражает физиологическую «цену» гепатопротекции. Современные транскриптомные исследования показывают, что пробиотики Bacillus subtilis способны модулировать экспрессию генов в печени, подавляя провоспалительные сигнальные пути и активируя метаболические процессы репарации [9].

При гистологическом исследовании структура паренхимы печени цыплят-бройлеров всех групп в возрасте 1-х суток имела гомогенный незрелый вид, печеночные балки были неразличимы, синусоиды различались с трудом. Цитопл-зама гепатоцитов была тотально заполнена оптически прозрачными везикулами, ядра были округлыми, везикулярными с мелкодисперсным хроматином. Центральные вены и портальные тракты определялись отчетливо, вокруг последних отмечался умеренный периваскулярный отек (рис. 1).

Рисунок 1 — Паренхима печени 1-суточного цыпленка-бройлера перед разделением на группы: 1 - центральная вена; 2 - ветвь портальной вены в составе портального такта Гематоксилин+эозин, х100.

При микроскопии препаратов печени 7-суточных цыплят-бройлеров гистоархитектоника имела более зрелый вид, визуализировались печеночные балки и синусоиды. Цитоплазма гепатоцитов была неоднородная, ацидофильная с неравномерно расположенными оптически про- зрачными вакуолями. Ядра сохраняли везикулярный вид и округлую форму. Центральные вены и портальные тракты определялись отчетливо. В интерстициальном пространстве обнаруживали одиночные островки миелоидной ткани – очаги экстамедуллярного гемопоэза (рис. 2).

Рисунок 2 — Паренхима печени 7-суточного цыпленка-бройлера 1 группы: 1 - очаги экстрамедуллярного кроветворения. Гематоксилин+эозин, х100.

К 14-м суткам строение паренхимы печени цыплят-бройлеров приобретало типичное для печени трабекулярное строение с радиально направленными трабекулами вокруг центральных вен (рис. 3). Цитоплазма гепатоцитов была слабо зернистой, менее ацидофильной, без крупных везикул. Ядра гепатоцитов были округлыми, везикулярными или пикнотиче-скими. Сохранялись интерстициальные очаги экстрамедуллярного кроветворения.

Рисунок 3 — Паренхима печени 14-суточного цыпленка-бройлера из 3 группы (энрофлоксацин):

1 – центральная вена; 2 – периваскулярный очаг экстрамедуллярного кроветворения.

Гематоксилин+эозин, ^100.

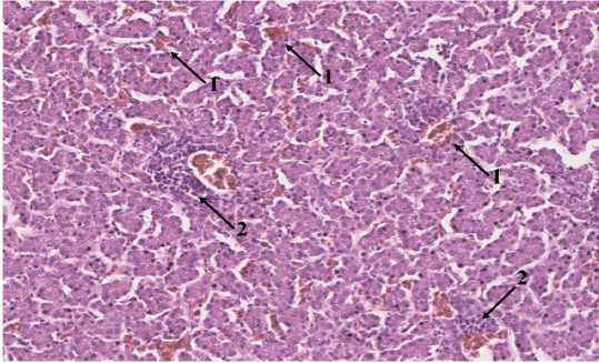
При этом в 50% гистологических препаратов птиц 3 группы отмечалась тенденция к центролобулярному полнокровию. Синусоиды в центральных отделах печёночных долек были расширены и заполнены ядерными эритроцитами (рис. 4).

Рисунок 4 — Паренхима печени 14-суточного цыпленка-бройлера из группы 3 (энрофлоксацин); полнокровие синусоид в центральных отделах дольки (справа): 1 – портальный тракт;

2 - скопления эритроцитов в синусоидах; 3 - центральная вена. Гематоксилин+эозин, х100.

У цыплят группы 4 также было выявлено полнокровие паренхимы, однако его выраженность была значительно ниже, а доля гистологических препаратов с полнокровной печенью составила 28,6%

(рис. 5).

Рисунок 5 — Паренхима печени 14-суточного цыплёнка-бройлера из группы 4 (энрофлоксацин + пробиотик); умеренное полнокровие синусоид: 1 – небольшие скопления эритроцитов в синусоидах; 2 - очаги экстрамедуллярного кроветворения. Гематоксилин+эозин, ^100

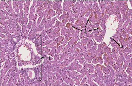
Строение паренхимы печени цыплят-бройлеров 21-суточного возраста не имело значительных отличий от строения печени 14-суточных животных. Трабекулы оставались отчетливыми, разделяющие их синусоиды формировали сосудистую сеть, пронизывающую все дольки. Цитоплазма гепатоцитов была умеренно ацидофильной, гомогенной или слабо зернистой. Ядра гепатоцитов были округлыми и везикулярными с зернистым хроматином или пикнотическими. Отмечали незначительную перипортальную лимфоидную инфильтрацию (рис. 6). Значимых различий при микроскопии между группами выявлено не было.

Рисунок 6 — Паренхима печени 21-суточного цыплёнка-бройлера 3 группы; незначительная перипортальная лимфоидная инфильтрация: 1 – вены портального тракта; 2 – периваскулярные лимфоидные скопления. Гематоксилин+эозин, *100

Таким образом, результаты морфогистологического исследования подтверждают, что энрофлоксацин индуцирует преходящие нарушения микроциркуляции в печени бройлеров по типу центролобулярного полнокровия, пик которых приходится на 14-е сутки. Последующее применение пробиотика на основе Bacillus subtilis ВКМ В3701D демонстрирует выраженный протекторный потенциал, значимо снижая частоту и выраженность этих патологических изменений, что обосновывает целесообразность его включения в схемы выращивания птицы для коррекции медикаментозных гепатопатий. Полученные результаты согласуются с исследованиями других авторов, показавших, что штаммы Bacillus subtilis снижают окислительный стресс и повреждение печени у бройлеров при воздействии токсинов [10].

Выводы. Применение энрофлоксацина у цыплят-бройлеров вызывает транзиторные микроциркуляторные нарушения в печени в виде центролобулярного полнокровия, достигающие максимума к 14‑м суткам жизни, что выявлено в 50% гистологических препаратов.

Включение пробиотика на основе Bacillus subtilis ВКМ В3701D в схему после курса эн-рофлоксацина достоверно снижает частоту (до 28,6%) и выраженность центролобулярного полнокровия на 14‑е сутки, что свидетельствует о его гепатопротекторном действии.

К 21‑м суткам жизни морфологические изменения печени во всех группах нивелируются, что указывает на высокие репаративные способности гепатобилиарной системы цыплят-бройлеров.

Комбинированное применение энрофлокса-цина и пробиотика сопровождается временным снижением живой массы к 21-м суткам -до 882,21±24,28 г против 968,74±21,49 г в контроле (p<0,001), что, вероятно, связано с перераспределением ресурсов на восстановительные процессы в печени.