Анатомические особенности строения среднего уха байкальской нерпы в постнатальном онтогенезе
Автор: Вохидов Х.Х.у., Рядинская Н.И., Аникиенко И.В.
Журнал: Вестник Красноярского государственного аграрного университета @vestnik-kgau
Рубрика: Зоотехния и ветеринария
Статья в выпуске: 11, 2025 года.
Бесплатный доступ
Цель исследования – изучение анатомических особенностей всех структур среднего уха у байкальской нерпы в постнатальном онтогенезе. Исследование было проведено на кафедре морфологии животных и ветеринарной санитарии Иркутского ГАУ. Материал для исследования – головы байкальской нерпы различного возраста. Применялись анатомические, гистологические, морфометрические и статистические методы. Выявили анатомические особенности в строении костной основы среднего уха, микроструктуры его слизистой оболочки, слуховых косточек, топографии лицевого нерва. Во всех возрастных группах отмечалось увеличение морфометрических показателей костной основы органа слуха байкальской нерпы в сравнении с новорожденными. В подслизистой основе слизистой оболочки обнаружено большое количество разветвленных альвеолярных желез, причем в области, прилегающей к барабанной перепонке, в большой части подслизистой основы железы исчезают. В барабанной полости у байкальской нерпы, как и всех млекопитающих, имеются четыре слуховых косточки: молоточек, наковальня, чечевицеобразная косточка и стремечко. У новорожденных и сеголеток чечевицеобразная косточка состоит из хрящевой ткани, с возрастом она окостеневает. По отношению к новорожденным абсолютная масса косточек во всех возрастных группах имеет тенденцию к увеличению, тогда как некоторые линейные показатели увеличиваются, а некоторые достоверно не изменяются (головка и рукоятка молоточка). Лицевой нерв в барабанной полости проходит небольшое расстояние, по своему ходу отдает большой каменистый нерв, стременной нерв и барабанную струну. Выявленные анатомические особенности среднего уха байкальской нерпы адаптированы к восприятию звуков как на суше, так и в пресной воде.
Байкальская нерпа, среднее ухо нерпы, слуховые косточки нерпы, барабанная перепонка нерпы
Короткий адрес: https://sciup.org/140313045
IDR: 140313045 | УДК: 591.485 + 619 | DOI: 10.36718/1819-4036-2025-11-92-108
Anatomical features of the Baikal seal’s middle ear structure in postnatal ontogenesis
The aim of the study is to investigate the anatomical features of all middle ear structures in Baikal seals during postnatal ontogenesis. The study was conducted at the Department of Animal Morphology and Veterinary Sanitation of the Irkutsk State Agrarian University. The heads of Baikal seals of various ages were used for the study. Anatomical, histological, morphometric, and statistical methods were used. Anatomical features were identified in the structure of the osseous base of the middle ear, the microstructure of its mucous membrane, the auditory ossicles, and the topography of the facial nerve. Increased morphometric parameters of the osseous base of the Baikal seal's auditory organ were observed in all age groups compared to newborns. A large number of branched alveolar glands were found in the submucosa of the mucous membrane, with the glands disappearing in a large part of the submucosa adjacent to the tympanic membrane. In the tympanic cavity of the Baikal seal, like all mammals, there are four auditory ossicles: the malleus, the incus, the lenticular ossicle, and the stapes. In newborns and yearlings, the lenticular ossicle is composed of cartilaginous tissue and ossifies with age. Compared to newborns, the absolute mass of the ossicles in all age groups tends to increase, while some linear parameters increase, and others remain unchanged (the head and handle of the malleus). The facial nerve traverses a short distance within the tympanic cavity, giving off the greater petrosal nerve, the stapedius nerve, and the chorda tympani. The identified anatomical features of the Baikal seal's middle ear are adapted to the perception of sounds both on land and in fresh water.
Текст научной статьи Анатомические особенности строения среднего уха байкальской нерпы в постнатальном онтогенезе
Введение. Орган слуха морских млекопитающих изучается давно, но не во всех исследованиях определялось влияние водной среды на развитие морфологических адаптаций в строении данного органа.
Байкальская нерпа – является эндемиком озера Байкал, в отличие от близко родственных видов, она живет в пресной воде и в связи с этим ее организм приобрел ряд анатомических особенностей в строении органов, в том числе и слухового анализатора. Эти удивительные животные являются пациентами ветеринарных клиник города Иркутска, без знаний строения организма нерпы невозможно грамотно ставить диагноз и проводить лечение, в том числе и при заболеваниях слухового аппарата.
Ухо, заключенное в височную кость и включающее в себя мельчайшие элементы скелета позвоночных, является ключом к нескольким чувствам: равновесию, контролю осанки, стабилизации взгляда и слуху.
У ластоногих, освоивших воздушную и водную среду обитания, имеются видовые особенности в строении слухового анализатора, которые указывают на то, что слуховой аппарат у них развит лучше, чем у наземных животных [1]. У тюленей, как и у всех млекопитающих, орган слуха состоит из наружного, среднего и внутреннего уха, костной основой которых являются теменная и височная кости и в большей степени – каменистая кость.
У байкальской нерпы слух в воздушной среде считается «удовлетворительным», несмотря на отсутствие наружных ушных раковин. В тихую погоду нерпы слышат шорох, издаваемый шагами охотника и санками, на расстоянии 200–400 м, а необычные шумы (звуки, не связанные с волнением или возникающие при движении или разрушении льда) – с расстояния в десятки метров. В частности, лежащие на льду нерпы реагируют на шум от металлической лодки. Кроме этого, наши эндемики с помощью орга- на слуха общаются между собой, охотятся и т. п. [2]. Изучение анатомических особенностей слухового анализатора начато нами с 2020 г. [3-5].
Много работ посвящено изучению сенсорных систем, в частности органа слуха, учеными зарубежных стран, они изучали «эволюцию» уха млекопитающих [6], эволюционные трансформации молоточка у ластоногих с акцентом на таксоны Южного полушария [7], акустические функции среднего уха и развитие модели среднего уха на их основе у млекопитающих [8], адаптацию морфологии улитки у тюленей и выдр к водному образу жизни [9], морфологические различия каменистой кости черепа у ластоногих на основе линейного морфометрического анализа главных ее компонентов [10], адаптационные особенности органа слуха настоящих тюленей на примере северного морского слона [11], ультраструктуру кортиева органа у обыкновенного тюленя [12], нейроанатомию сенсорных систем китообразных [13]. Возникла необходимость уточнения и расширения знаний о строении среднего уха у байкальской нерпы.
Цель исследования - изучить анатомические особенности всех структур среднего уха у байкальской нерпы в постнатальном онтогенезе.
Объекты и методы. Объектом исследования является байкальская нерпа в возрасте одного дня (n = 3), от трех недель до года (n = 10), от года до четырех лет (n = 5), от четырех лет и старше (n = 5).
Материал отбирался в рамках Программы научно-исследовательской работы, утвержденной в Росрыболовстве Российской Федерации (от 17.07.2014 г.), по теме НИОКТР «Морфогенез органов байкальской нерпы в различные периоды онтогенеза в норме и при патологии» (от 11.05.2017 г. и от 08.09.2020 г.).
Для описания рельефа барабанной полости, внешнего строения пузыря, а также слуховых косточек применялись следующие методы: обвалка, мацерация, механическое удаление стенки барабанного пузыря, отоскопия при помощи отоскопа Visual ear spoon (CE FC RoHS, Китай).
Морфометрия проводилась с помощью цифрового штангенциркуля Shahe 5422-200 (Китай).
Для выявления особенностей строения микроструктуры слизистой оболочки барабанной полости ее фрагменты заключали в парафиновые блоки, готовили тонкие срезы и окрашивали гематоксилин с эозином по Эрлиху.
Полученные цифровые данные обрабатывали при помощи программы Statistiсa 6.0. Данные исследуемых групп сравнивали при помощи t-теста. Для исследования связей между параметрами использовали коэффициент ранговой корреляции Спирмена. Различия считали достоверными при p < 0,05.
Результаты и их обсуждение. Слуховой анализатор байкальской нерпы располагается в области височной и теменной костей. Чешуя височной кости граничит синостозом с теменной, с чешуей затылочной (в этой области располагается наружный слуховой проход), а каменистая кость соединяется синостозно с чешуей височной и базисфеноидом клиновидной костей, синдесмозом - с боковой частью затылочной кости и рваным отверстием, а также с нижней челюстью с помощью сустава и со скуловой костью синдесмозом. Костной основой среднего уха является барабанная часть каменистой кости. Барабанный пузырь имеет форму треугольника, основание треугольника обращено або-рально, а верхушка - рострально. Он образует вентральную, латеральную, медиальную и дорсальную стенки (рис. 1). По данным литературы, более крупный и выпуклый барабанный пузырь у тюленей связан с эволюционной адаптацией органа слуха к погружению в воду. При этом ученые отмечают, что наследовали ластоногие барабанный пузырь от наземных хищников, но в процессе приспособления к водной среде он стал более объемным [14].
На медиальной поверхности барабанного пузыря байкальской нерпы, на границе с оральной частью рваного отверстия, располагается круглое отверстие для внутренней сонной артерии, от которого начинается сонный канал, заканчивающийся в мозговой полости между медиальной поверхностью барабанного пузыря и оральным краем скалистой части каменистой кости. Диаметр входного и выходного отверстий сонного канала почти одинаков и составляет у новорожденных (2,6 ± 0,17) мм. Данное отверстие незначительно увеличивается в 1,1 раза у сеголеток, а у неполовозрелых и половозрелых нерп в 1,6 и в 1,8 раза соответственно. Расстояние между входом и выходом сонного канала у новорожденных составило (5,47 ± 0,08) мм, при этом размер расстояния у сеголеток имеет лишь незначительную разницу. А у неполовоз- релых и половозрелых нерп увеличивается в 1,2 и 1,3 раза по отношению к новорожденным.
Аборально в области верхушки треугольника барабанного пузыря, там, где прикрепляется шиловидный отросток подъязычной кости, открывается отверстие щелевидной формы кост- ной слуховой трубы длиной (2,3 ± 0,04), шириной (1,6 ± 0,04) мм у новорожденных, с возрастом увеличивается, достигая максимального размера у половозрелых нерп (длина (6,9 ± 0,02), ширина (2,9 ± 0,07) мм).
Рис. 1. Основание черепа байкальской нерпы в возрасте 1,5 лет: 1 – барабанный пузырь; 2 – большое овальное отверстие; 3 – мыщелки затылочной кости; 4 – подъязычное отверстие;
5 – рваное отверстие; 6 – костный гребень отверстия наружного слухового прохода;
7 – суставной бугорок чешуи височной кости; 8 – базисфеноид; 9 – пресфеноид; 10 – отверстие крылового канала; 11 – крыловидная кость
Base of the skull of the Baikal seal at the age of 1.5 years: 1 – tympanic bulla; 2 – large oval opening; 3 – condyles of the occipital bone; 4 – hyoid opening; 5 – lacerated opening; 6 – bony crest of the opening of the external auditory canal; 7 – articular tubercle of the squama of the temporal bone; 8 – basisphenoid;
9 – presphenoid; 10 – opening of the pterygoid canal; 11 – pterygoid bone
Следующее отверстие, также щелевидной формы для выхода лицевого нерва, располагается между сосцевидной частью и основанием треугольника барабанного пузыря. Длина данного отверстия у новорожденных составляет (4,4 ± 0,02) мм, а ширина (0,67 ± 0,03) мм, эти показатели также увеличиваются с возрастом (ширина в 1,3, 2,1 и 2,6 раза; длина в 1,3, 1,6 и 1,8 раза в соответствующих возрастных группах в сравнении с новорожденными).
На границе с чешуей височной кости на латеральной поверхности барабанного пузыря расположено костное отверстие наружного слухово- го прохода овальной формы. Его длина у новорожденной нерпы составляет (4,3 ± 0,02) мм, ширина (3,2 ± 0,06) мм, с возрастом оно увеличивается, достигая максимального значения у половозрелых (длина (10,6 ± 0,20) мм, ширина (6,5 ± 0,17) мм).
Анализ морфометрических показателей костной основы органа слуха байкальской нерпы показал, что во всех возрастных группах отмечалось увеличение показателей в сравнении с новорожденными нерпами (табл. 1). При этом у сеголеток и у неполовозрелых нерп длины латеральной и аборальной стенок барабанного пузыря достоверно не отличались, в то время как у половозрелых нерп все морфометрические параметры больше, чем у сеголеток. У половозрелых нерп прекращают свой рост длины аборальной стенки барабанного пузыря и кост- ного наружного слухового прохода с костным гребнем и кольцом, что подтверждается отсутствием достоверных отличий между указанными показателями в сравнении с неполовозрелыми нерпами.
Таблица 1
Морфометрические показатели костной основы органа слуха у байкальской нерпы Morphometric indices of the bone base of the hearing organ in the Baikal seal
|
Показатель |
Новорожденные |
Сеголетки |
Неполовозрелые |
Половозрелые |
|
P1 |
11,1±0,3 |
17,7±0,3* |
19,9±0,5* |
23,1±0,2* |
|
P2 |
24,1±0,3 |
31,2±0,8* |
36,1±0,1* |
45,3±0,3* |
|
P3 |
20,4±0,7 |
27,3±0,2* |
30,6±0,5* |
36,0±0,3* |
|
P4 |
47,4±0,5 |
52,7±0,2* |
58,2±0,4* |
60,6±0,6* |
|
P5 |
108,7±3,6 |
148,1±1,4* |
175,5±0,6* |
189,7±0,8* |
|
P6 |
60,8±0,9 |
71,8±0,5* |
85,3±0,3* |
102,3±0,4* |
|
P7 |
7,8±0,3 |
9,5±0,2* |
11,4±0,4* |
12,0±0,2* |
|
P8 |
51,8±0,5 |
66,0±0,9* |
75,5±0,5* |
82,2±0,6* |
|
P9 |
18,1±0,6 |
24,5±0,3* |
26,1±0,3* |
32,4±0,5* |
|
P10 |
21,6±0,5 |
27,8±0,2* |
28,4±0,3* |
31,4±0,3* |
|
P11 |
19,6±0,9 |
21,9±0,4* |
23,1±0,3* |
24,1±0,3* |
|
P12 |
18,8±0,2 |
23,4±0,3* |
26,1±0,3* |
32,0±0,2* |
|
P13 |
12,0±0,2 |
17,4±0,3* |
32,1±0,3* |
26,0±0,4* |
Здесь и далее: P1 – высота барабанного пузыря; P2 – максимальное расстояние между медиальными стенками барабанного пузыря; P3 – минимальное расстояние между медиальными стенками барабанного пузыря; P4 – максимальная высота черепа; P5 – мыщелково-базальная длина черепа; P6 – общая ширина черепа; P7 – длина костного наружного слухового прохода с костным гребнем и кольцом; P8 – ширина между латеральными стенками барабанного пузыря; P9 – длина медиальной стенки барабанного пузыря; P10 – длина латеральной стенки барабанного пузыря; P11 – длина аборальной стенки барабанного пузыря; P12 – длина вентральной стенки барабанного пузыря; P13 – ширина вентральной стенки барабанного пузыря; * – p < 0,05 – достоверность различий с соответствующими показателями у новорожденных.
Корреляционный анализ морфометрических показателей костной основы у нерп разных возрастов показал, что у новорожденных отсутствовала связь между изучаемыми показателями. Мы полагаем, что это связано с интенсивным и неравномерным ростом костной основы органа слуха у новорожденных животных.
У сеголеток появляются средние и сильные положительные связи между двенадцатью изучаемыми параметрами (табл. 2). Так, увеличение высоты барабанного пузыря было связано с увеличением ширины вентральной стенки барабанного пузыря, а максимальное расстояние между медиальными стенками барабанного пузыря – с длиной костного наружного слухового прохода с костным гребнем и кольцом, в обоих случаях были отмечены сильные коэффициенты корреляции (0,77).
Интересно, что у половозрелых и неполовозрелых нерп отмечалось большее количество связей между изучаемыми параметрами, при этом коэффициенты корреляции были сильными и очень высокими. У неполовозрелых нерп высота барабанного пузыря положительно коррелировала с минимальным расстоянием между медиальными стенками барабанного пузыря, максимальной высотой черепа, мыщелковобазальной длиной черепа и шириной между латеральными стенками барабанного пузыря. Интересно, что длина костного наружного слухового прохода с костным гребнем и кольцом также была связана положительной корреляцией с теми же параметрами, что и высота барабанно- го пузыря. Общая ширина черепа была положительно связана с длиной медиальной стенки барабанного пузыря, в то время как максимальное расстояние между медиальными стенками барабанного пузыря отрицательно коррелиро- вало с длиной вентральной стенки барабанного пузыря. Мы полагаем, что такие сильные корреляции между указанными показателями у неполовозрелых нерп связаны с линейным ростом как черепа, так и костной основы органа слуха.
Таблица 2
Корреляционный анализ морфометрических показателей костной основы органа слуха байкальской нерпы
Correlation analysis of the morphometric indicators of the bony structure of the auditory organ in the Baikal seal
|
Сеголетки |
Неполовозрелые нерпы |
Половозрелые нерпы |
|||
|
Коррелирующие переменные |
Коэффициент корреляции по Спирмену |
Коррелирующие переменные |
Коэффициент корреляции по Спирмену |
Коррелирующие переменные |
Коэффициент корреляции по Спирмену |
|
Р1 & Р7 |
0,67 |
Р1 & Р3 |
0,90 |
Р1 & Р10 |
0,90 |
|
Р1 & P13 |
0,77 |
Р1 & Р4 |
0,90 |
Р1 & P12 |
0,90 |
|
Р2 & Р7 |
0,77 |
Р1 & Р5 |
0,90 |
Р2 & Р6 |
0,90 |
|
Р3 & Р8 |
0,65 |
Р1 & Р8 |
0,90 |
Р3 & Р5 |
0,97 |
|
Р6 & P12 |
0,71 |
Р2 & P12 |
-0,90 |
Р6 & Р10 |
0,90 |
|
Р1 & Р7 |
0,67 |
Р3 & Р7 |
0,90 |
Р7 & Р10 |
0,90 |
|
– |
– |
Р4 & Р7 |
0,90 |
Р7 & P12 |
0,90 |
|
– |
– |
Р5 & Р7 |
0,90 |
Р8 & Р11 |
0,90 |
|
– |
– |
Р6 & Р9 |
0,90 |
– |
– |
|
– |
– |
Р7 & Р8 |
0,90 |
– |
– |
У половозрелых животных высота барабанного пузыря положительно коррелировала с иными параметрами в отличие от неполовозрелых животных: с длинами вентральной и латеральной стенок барабанного пузыря. Также с последними коррелировала длина костного наружного слухового прохода с костным гребнем и кольцом. Общая ширина черепа у половозрелых нерп была связана положительной корреляцией с максимальным расстоянием между медиальными стенками барабанного пузыря и длиной латеральной стенки барабанного пузыря. Отмечались также положительные связи минимального расстояния между медиальными стенками барабанного пузыря с мыщелковобазальной длиной черепа (0,97 – очень высокий коэффициент корреляции), а также ширины между латеральными стенками барабанного пузыря с длиной его аборальной стенки. Таким образом, у половозрелых нерп продолжается линейный рост костей черепа и, соответственно, костной основы органа слуха.
Внутри барабанной полости выражен костный рельеф следующих анатомических структур (рис. 2):
-
> мыс в виде костной выпуклости, в котором залегает основание улитки – находится в основании треугольника;
-
> окно преддверия, которое открывается у основания мыса с каудо-латеральной стороны;
-
> окно улитки, которое закрывается основанием стремечка – расположено кранио-латерально от мыса;
-
> отверстие для лицевого нерва над окном улитки;
-
> костный валик для канала внутренней сонной артерии, причем он напрямую не сообщается с барабанной полостью, по латеральным краям валика отмечены мелкие отверстия для сосудов;
-
> желоб костной слуховой трубы - начинается от отверстия костной слуховой трубы и доходит до костного отверстия наружного слухового прохода;
-
> костное отверстие наружного слухового прохода, по краю которого находится внутреннее костное кольцо;
-
> на внутренней поверхности костного кольца в барабанной борозде закрепляется барабанная перепонка. Она состоит из обвислой
(выражена по периферии) и натянутой (центр) частей. При этом ее центр в виде невысокого конуса обращен в сторону барабанной полости, к нему крепится рукоятка молоточка, образуя на поверхности перепонки полоску молоточка (рис. 3).
Рис. 2. Барабанная полость (вскрыта) байкальской нерпы в возрасте 5 месяцев: 1 – отверстие с внутренней сонной артерией; 2 – рваное отверстие; 3 – внутренняя сонная артерия (монтажная пена); 4 – костный канал для внутренней сонной артерии; 5 – гребень костного отверстия наружного слухового прохода; 6 – костное отверстие наружного слухового прохода; 7 – отверстие для выхода лицевого нерва; 8 – окно улитки; 9 – мыс улитки; 10 – окно преддверия Tympanic cavity (opened) of the Baikal seal at the age of 5 months: 1 – opening with the internal carotid artery; 2 – ragged hole; 3 – internal carotid artery (assembly foam); 4 – bony canal for the internal carotid artery; 5 – crest of the bony foramen of the external auditory canal; 6 – bony foramen of the external auditory canal; 7 – opening for the exit of the facial nerve; 8 – cochlear window; 9 – snail cape;
10 – vestibule window
Рис. 3. Барабанная перепонка органа слуха байкальской нерпы в возрасте 2 лет: 1 – натянутая часть барабанной перепонки; 2 – рукоятка молоточка; 3 – костное кольцо костного отверстия наружного слухового прохода; 4 – обвислая часть барабанной перпонки; 5 – молоточковая полоска Eardrum of the Baikal seal hearing organ at the age of 2 years: 1 – stretched part of the eardrum;
-
2 – hammer handle; 3 – bony ring of the bony opening of the external auditory canal; 4 – sagging part of the tympanic perponium; 5 – hammer strip
Рельеф костной основы барабанной полости выстлан слизистой оболочкой (рис. 4), состоящей из однослойного многорядного мерцательного эпителия, ядра клеток в котором располагаются на разных уровнях, в то время как все клетки лежат на базальной мембране (рис. 5).
Рис. 4. Слизистая оболочка среднего уха байкальской нерпы в возрасте 1 года: 1 – внутренняя сонная артерия; 2 – слизистая оболочка под вентральной стенкой барабанного пузыря;
3 – рукоятка молоточка; 4 – барабанная перепонка; 5 – пещеристые синусы
Mucous membrane of the middle ear of a 1-year-old Baikal seal: 1 – internal carotid artery; 2 – mucous membrane under the ventral wall of the tympanic bladder; 3 – hammer handle; 4 – tympanic membrane;
5 – cavernous sinuses
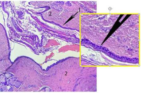
Рис. 5. Внутренняя оболочка барабанной полости байкальской нерпы на границе с барабанной перепонкой (неполовозрелая нерпа). Окраска гематоксилин с эозином по Эрлиху, об. 4, ок. 10: 1 – однослойный многорядный мерцательный эпителий (показан также во вкладке стрелкой);
2 – собственная пластинка слизистой оболочки
Inner membrane of the tympanic cavity of the Baikal seal on the border with the eardrum (immature seal). Staining of hematoxylin with eosin according to Ehrlich, vol. 4, approx. 10: 1 – single-layer multi-row ciliated epithelium (also shown in the tab with an arrow); 2 – lamina propria mucosa
Среди клеток многорядного эпителия встречаются и бокаловидные клетки, увлажняющие поверхность слизистой оболочки.
Под базальной мембраной располагается тонкая собственная пластинка слизистой оболочки, представленная волокнами и фибробластами. Подслизистая основа представлена плотной неоформленной соединительной тканью.
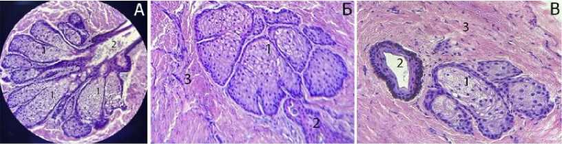
В подслизистой основе в области, прилегающей к барабанной перепонке, было обнаружено большое количество разветвленных альвеолярных желез, имеющих голокриновый тип секреции (рис. 6). Данные железы в литературе имеют также название аурикулярных или церуминозных желез и отвечают за выработку серы, которая, как мы полагаем, защищает среднее ухо от воды и патогенных микроорганизмов. Вокруг секреторных отделов лежат миоэпителиальные клетки, имеющие вытянутое, палочковидное ядро. Основной функцией данных клеток является помощь в выделении секрета при их сокращении. Цилиндрический эпителий выводных протоков желез у байкальской нерпы пигментирован.
Основная часть слизистой оболочки, покрывающей барабанную полость, представлена однослойным кубическим эпителием (рис. 7). Аналогичное строение имеет слизистая оболочка, покрывающая слуховые косточки. При этом в подслизистой основе исчезают железы.
Рис. 6. Аурикулярные железы среднего уха байкальской нерпы (неполовозрелая нерпа). Окраска гематоксилин с эозином по Эрлиху: А – об. 10, ок. 10; Б, В – об. 40, ок. 10; 1 – секреторные отделы желез; 2 – выводной проток
Auricular glands of the middle ear of the Baikal seal (immature seal). Staining of hematoxylin with eosin according to Ehrlich, A – ob. 10, approx. 10; Б, В – ob. 40, approx. 10: 1 – secretory sections of the glands» 2 – excretory duct
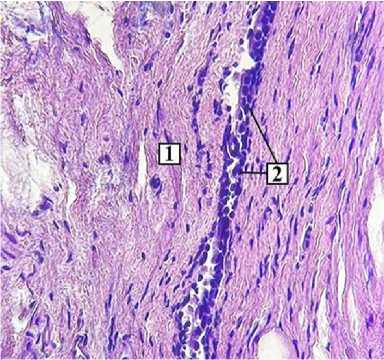
Рис. 7. Внутренняя оболочка барабанной полости. Окраска гематоксилин с эозином по Эрлиху, об.10, ок. 10: 1 – плотная неоформленная соединительная ткань; 2 – однослойный эпителий The inner lining of the tympanic cavity. Staining of hematoxylin with eosin according to Ehrlich, vol.10, approx. 10: 1 – dense unformed connective tissue; 2 – single-layer epithelium
В более глубоких слоях подслизистого слоя (tunica submucosa) лежат многочисленные венозные сосуды, формирующие венозные синусы, разделенные перегородками из плотной неоформленной соединительной ткани (рис. 8).
Стенка вен подслизистой основы чрезвычайно тонкая и представлена эндотелием. В связи с разным наполнением сосудов оболочка, покрывающая барабанную полость, имеет неравно- мерную толщину. По данным литературы, данные сосуды, наполняясь кровью, могут изменять просвет барабанной полости и защищают слуховой аппарат от избыточного давления при погружении на глубину [15]. В подслизистой основе среднего уха у северного морского слона также были обнаружены венозные синусы (называемые также пещеристыми), наполненные кровью. Пещеристые синусы находились в том числе и в подслизистой основе оболочки, охватывающей стремечко и большую часть наковальни. H. Smodlaka et al. показали, что у тюленей пещеристые синусы усиливают звуковой сигнал и позволяют достигнуть согласования импеданса при кровенаполнении во время погружения, в то время как у наземных животных данный процесс обеспечивается костной проводимостью, а у дельфинов жировыми телами [11]. По всей видимости, и у байкальской нерпы пещеристые синусы участвуют в усилении звука при его проведении. Подслизистая пластинка прилегает к надкостнице барабанной кости.
Рис. 8. Подслизистая основа барабанной полости. Окраска гематоксилин с эозином по Эрлиху, об.10, ок. 10: 1 – венозный синус, 2 – плотная неоформленная соединительная ткань Submucosa of the tympanic cavity. Staining of hematoxylin with eosin according to Ehrlich, vol. 10, approx. 10: 1 – venous sinus, 2 – dense unformed connective tissue
В барабанной полости у байкальской нерпы, как и всех млекопитающих, имеются четыре слуховых косточки: молоточек, наковальня, чечевицеобразная косточка и стремечко.
Молоточек состоит из головки, шейки и рукоятки. На границе между головкой и шейкой отходит ростральный отросток, у байкальской нер- пы он чрезвычайно тонкий, длиной до 1,5 мм, у новорожденных и бельков на месте данного отростка было отмечено лишь небольшое точечное возвышение, а на рукоятке – латеральный отросток, он образует угол в месте крепления рукоятки к барабанной перепонке (рис. 9).
А Б
Рис. 9. Молоточек байкальская нерпы в возрасте 1,5 лет: А – латеральная поверхность;
Б – медиальная поверхность; 1 – рукоятка; 2 – шейка рукоятки; 3 – головка; 4 – ростральный отросток; 5 – латеральный отросток
Baikal seal hammer at the age of 1.5 years: A – lateral surface; Б – medial surface; 1 – handle; 2 – handle neck; 3 – head; 4 – rostral process; 5 – lateral process
Абсолютная масса косточки у новорожденных составляет 21,7 ± 1,67 мг, у сеголеток масса косточки увеличивается в 1,2 раза, а у неполовозрелых и половозрелых нерп – в 1,4 раза (табл. 3). Головка молоточка округлой формы, ее диаметр у новорожденных составляет 3,4 ± 0,14 мм, следует отметить, что ее диаметр в остальных возрастных группах достоверно не изменяется. Латеральная поверхность головки слегка выпуклая, а на медиальной имеется вогнутая суставная поверхность округлой формы для соединения с наковальней.
Шейка молоточка образуется из основания головки, она относительно короткая, переходит
в длинную рукоятку. Длина шейки у новорожденных составляет 2,6 ± 0,11 мм, у сеголеток она увеличивается в 1,1 раза, а у неполовозрелых и половозрелых нерп – в 1,2 и 1,4 раза (p < 0,05) соответственно.
Шейка переходит в рукоятку, которая имеет выраженный угол благодаря латеральному отростку – в этом месте рукоятка имеет вытянутую треугольную форму и прикрепляется к барабанной полоске на барабанной перепонке (рис. 10). Длина и толщина рукоятки во всех возрастных группах достоверно не изменяются.
Таблица 3
Абсолютная масса, мг, и линейные показатели, мм, слуховых косточек байкальской нерпы Absolute mass, mg, and linear measurements, mm, of the auditory ossicles of the Baikal seal
|
Показатель |
Возраст |
|||
|
Новорожденные |
Сеголетки |
Неполовозрелые |
Половозрелые |
|
|
Молоточек |
||||
|
Абсолютная масса |
21,7±1,67 |
26,0±1,67 |
29,6±1,77 |
31,0±1,73* |
|
Общая длина |
9,4±0,06 |
9,5±0,12 |
10,7±0,17* |
10,7±0,11* |
|
Длина шейки |
2,6±0,11 |
3,2±0,05* |
2,8±0,07 |
3,5±0,06* |
|
Длина рукоятки |
4,7±0,12 |
4,8±0,31 |
4,8±0,22 |
4,9±0,06 |
|
Толщина рукоятки |
0,7±0,04 |
0,8±0,01* |
0,8±0,02* |
0,9±0,04* |
|
Диаметр головки |
3,4±0,14 |
3,6±0,06 |
3,6±0,04 |
3,6±0,11 |
|
Толщина головки |
1,8±0,08 |
2,1±0,05 |
2,1±0,06 |
2,2±0,09* |
|
Наковальня |
||||
|
Абсолютная масса |
40,0±0,3 |
52,3±0,2* |
57,1±0,1* |
72,4±0,1* |
|
Длина тела |
4,2±0,06 |
4,5±0,01* |
4,7±0,03* |
4,7±0,01* |
|
Ширина тела |
3,2±0,03 |
3,2±0,01 |
3,3±0,02* |
3,3±0,05 |
|
Толщина тела |
2,5±0,06 |
2,5±0,02 |
2,8±0,08* |
2,9±0,04* |
|
Длина длинной ножки |
1,7±0,05 |
2,4±0,01* |
2,6±0,02* |
2,6±0,02* |
|
Ширина короткой ножки |
1,2±0,02 |
1,2±0,004 |
1,3±0,01 |
1,3±0,01* |
|
Длина короткой ножки |
1,5±0,02 |
2,1±0,003* |
2,3±0,02* |
2,4±0,01* |
|
Ширина длинной ножки |
1,3±0,04 |
1,3±0,05 |
1,4±0,02* |
1,6±0,01* |
|
Стремя |
||||
|
Абсолютная масса |
6,1±0,2 |
7,3±0,1* |
8,2±0,2 |
8,3±0,3* |
|
Высота |
2,4±0,05 |
2,6±0,02* |
3,1±0,04* |
3,3±0,02* |
|
Толщина |
1,4±0,02 |
1,3±0,01 |
1,5±0,02* |
1,6±0,02 |
|
Длина головки |
1,1±0,06 |
1,2±0,03* |
1,2±0,04 |
1,3±0,02* |
|
Ширина головки |
1,0±0,04 |
1,0±0,02 |
1,2±0,04 |
1,0±0,03 |
|
Длина основания |
2,5±0,04 |
2,6±0,02 |
2,7±0,03* |
2,8±0,02* |
|
Длина ростр. ножки |
2,8±0,03 |
3,2±0,01* |
3,4±0,04* |
3,8±0,01* |
|
Длина кауд. ножки |
2,3±0,04 |
2,7±0,02 |
2,9±0,01 |
3,4±0,02* |
|
Диаметр отверстия между ножками |
0,6±0,01 |
0,7±0,02 |
0,8±0,03* |
0,9±0,05* |
– p < 0,05 – достоверность различий с соответствующими показателями у новорожденных.
Рис. 10. Рукоятка молоточка байкальской нерпы в возрасте 4 лет: 1 – барабанная перепонка; 2 – рукоятка; 3 – барабанная полоска; 4 – латеральный отросток; 5 – слизистая оболочка;
6 – шейка; 7 – наковальня
Baikal seal hammer handle at the age of 4 years: 1 – eardrum; 2 – handle; 3 – drum strip; 4 – lateral process; 5 – mucous membrane; 6 – cervix; 7 – anvil
Наковальня в сравнении с другими слуховыми косточками достаточно крупная и связками прикрепляется к аборальной стенке барабанного пузыря. Косточка имеет тело и две ножки, короткую и длинную (рис. 11). Ее абсолютная масса у новорожденных составляет (40,0 ± 0,3) мг, у сеголеток она увеличивается в 1,3 раза, у неполовозрелых в 1,4, а у половозрелых в 1,8 раза по отношению к новорожденным (табл. 3). Линейные показатели (длина, ширина и толщина) тела наковальни во всех возрастных группах по отношению к новорожденным (4,2 ± 0,06) достоверно увеличиваются в 1,1 раза. Длина длинной ножки у всех возрастных групп по отношению к ново- рожденным имеет достоверную тенденцию к увеличению в 1,4 раза у сеголеток и в 1,5 раза у неполовозрелых и половозрелых нерп. А ширина длинной ножки достоверно увеличивается у неполовозрелых и половозрелых особей в 1,1 и в 1,2 раза соответственно в сравнении с новорожденными. Длина короткой ножки у новорожденных составляет (1,5 ± 0,02) мм, у сеголеток она увеличивается в 1,4 раза, у неполовозрелых – в 1,5, а у половозрелых – в 1,6 раза по отношению к новорожденным. Ширина короткой ножки имеет тенденцию к увеличению в 1,1 раза у неполовозрелых и половозрелых нерп в сравнении с новорожденными.
А Б
Рис. 11. Наковальня байкальской нерпы в возрасте 7 лет: 1 – короткий отросток;
2 – длинный отросток; 3 – чечевицеобразная косточка; 4 – тело наковальни;
5 – суставная поверхность для соединения с молоточком
Anvil of the Baikal seal at the age of 7 years: 1 – short process; 2 – long process; 3 – lenticular stone;
4 – anvil body; 5 – articular surface for connection with the hammer
Стремечко соединяется с длинной ножкой наковальни хорошо выраженной чечевицеобразной косточкой (рис. 12, 13). Указанная кос- точка – самая маленькая в организме животных, у байкальской нерпы она овальной формы, ее длина и ширина составляют во всех возрастных группах 1,2 и 1,04 мм, а толщина всего 0,47 мм. Нами отмечено, что у новорожденных и сеголеток чечевицеобразная косточка состоит из хрящевой ткани, с возрастом она окостеневает.
Стремечко имеет треугольную форму, его верхушкой является головка, боковыми поверхностями – ростральная и каудальная ножки, соединенные основанием. Абсолютная масса у новорожденных нерп составляет (6,1 ± 0,2) мг, у сеголеток она увеличивается в 1,2 раза, у неполовозрелых – в 1,3, а у половозрелых – в 1,4 раза. Высота косточки у всех возрастных групп по отношению к новорожденным имеет достоверную тенденцию к увеличению: у сеголеток в 1,1 раза, в 1,3 и в 1,4 раза у неполовозрелых и половозрелых нерп соответственно. Толщина стремечка, длина и ширина головки стремечка имеют тенденцию к незначительному увеличению. Ростральная ножка длиннее каудальной на 0,5 мм. Длины ножек стремени у новорожденных составляют (2,8 ± 0,03) и (2,3 ± 0,04) мм, с возрастом их морфометрические показатели увеличиваются, у сеголеток в 1,1 и 1,2 раза, у неполовозрелых – в 1,2 и 1,3, а у половозрелых – в 1,4 и 1,5 раза соответственно.
Длина основания косточки достоверно увеличивается у неполовозрелых и половозрелых нерп в сравнении с новорожденными. Ширина основания стремени имеет как узкую, так и широкую части – 1,2 и 1,4 мм у новорожденных, и с возрастом данные показатели также увеличиваются в 1,1 раза.
При исследовании соотношения массы слуховых косточек к массе молоточка было обнаружено, что соотношения массы стремени и массы молоточка были одинаковыми во всех возрастных группах и составляли 0,3. В то время как соотношения массы наковальни к массе молоточка отличались у животных разного возраста. Максимальное соотношение было у половозрелых нерп – 2,3 и минимальное у новорожденных – 1,8. При этом у сеголеток данное соотношение было немного больше (2,0), чем у неполовозрелых нерп (1,9), что связано с неравномерным ростом молоточка и наковальни в этой возрастной группе.
А Б
Рис. 12. Стремечко (А) с чечевицеобразной косточкой (Б) байкальской нерпы в возрасте 7 лет: 1 – основание; 2 – головка; 3 – ростральная ножка; 4 – каудальная ножка; 5 – отверстие между ножками; 6 – чечевицеобразнаая косточка
Stapes (A) with lenticular bone (Б) of a 7-year-old Baikal seal: 1 – base; 2 – head; 3 – rostral leg;
4 – caudal leg; 5 – opening between legs; 6 – lenticular bone
В литературе описаны слуховые косточки разных представителей семейства Настоящие тюлени, при этом отмечаются значительные межвидовые отличия в строении наковальни, стремечка и молоточка [1, 7, 11, 14]. Форма и масса слуховых косточек байкальской нерпы также отличаются от описанных у других видов. Масса косточек у нерпы значительно меньше, чем у других видов настоящих тюленей. Мы полагаем, что это связано не только с отличием по размеру тела и головы от других тюленей, но и с обитанием байкальской нерпы в пресной и холодной воде. Известно, что скорость звука в пресной воде несколько ниже и зависит от ее температуры.
Рис. 13. Слуховые косточки байкальской нерпы в возрасте 7 лет (фото с отоскопа): 1 – наковальня; 2 – длинный отросток; 3 – чечевицеобразнаая косточка; 4 – стремечко Auditory ossicles of the Baikal seal at the age of 7 years (photo from the otoscope): 1 – anvil;
2 – long process; 3 – lentil-shaped stone; 4 – stapes
При изучении иннервации среднего уха было обнаружено, что лицевой нерв из продолговатого мозга входит во внутренний слуховой проход, на дне которого имеется для него отверстие. Далее лицевой нерв проходит в канале и открывается в барабанную полость между овальным окном и мысом улитки. Перед выходом в отверстие нерв образует изгиб почти под прямым углом, и в этом месте от него отходит большой каменистый нерв, который идет в соответствующем канале снова в черепную полость, далее он из нее выходит через рваное отверстие, а затем через крыловидный канал двигается в клинонебную ямку, достигая клинонебного ганглия (содержит парасимпатические волокна слезоотделительного нерва). В барабанной по- лости нерв проходит около стремени, отдает стременной нерв, ныряет в слизистую оболочку и проходит между слизистой оболочкой и костной основой барабанного пузыря (слизистая оболочка не прикрепляется к костной основе) до шилососцевидного отверстия, отдав еще одну ветвь - барабанную струну. Барабанная струна выходит из барабанной полости вместе со слуховой трубой и идет до язычного нерва 5-й пары черепного нерва. При выходе из шилососцевидного отверстия лицевой нерв разветвляется на поверхностный ушной (он идет с краниального края наружного слухового прохода), нерв двубрюшного мускула (он идет в соответствующий мускул), щечный (иннервирует большую жевательную мышцу) (рис. 14).
А
Рис. 14. Топография лицевого нерва байкальской нерпы в возрасте 3 недель: А – в лицевом канале и барабанной полости: 1 – лицевой нерв в канале; 2 – изгиб; 3 – слизистая оболочка;
4 – барабанная струна; Б – при выходе из шилососцевидного отверстия:1 – нерв жевательного мускула; 2 – нерв двубрюшного мускула; 3 – лицевой нерв; 4 – наружный слуховой проход;
5 – поверхностный ушной нерв; 6 – щечный нерв
Topography of the facial nerve of the Baikal seal at the age of 3 weeks: A – in the facial canal and tympanic cavity: 1 – facial nerve in the canal; 2 – bend; 3 – mucous membrane; 4 – drum string; Б – at exit from the stylosceoid foramen: 1 – nerve of the masticatory muscle; 2 – nerve of the digastric muscle; 3 – facial nerve; 4 – external auditory canal; 5 – superficial auricular nerve; 6 – buccal nerve
Б
Заключение. Костной основой среднего уха у байкальской нерпы, как и у всех млекопитающих, является каменистая кость, а вернее – ее барабанная часть с наружной поверхностью, образующей стенки барабанной полости, с отверстиями для наружного слухового прохода, костной слуховой трубы, выхода лицевого нерва, а также для сонного канала. Внутри барабанного пузыря находится полость, в которой рельефно располагается мыс, окно преддверия, окно улитки, отверстие лицевого канала, костный валик, желоб костной слуховой трубы, костное отверстие наружного слухового прохода с барабанной перепонкой. Во всех возрастных группах отмечалось увеличение морфометрических показателей костной основы органа слуха байкальской нерпы в сравнении с новорожденными нерпами.
У новорожденных животных отмечался интенсивный и неравномерный рост костной основы органа слуха, что подтверждалось отсутствием корреляции между изучаемыми показателями.
С увеличением возраста появилось большее количество связей между изучаемыми параметрами, при этом коэффициенты корреляции были сильными и очень высокими, что мы связываем с линейным ростом черепа и костной основы органа слуха.
Слизистая оболочка, выстилающая костный рельеф, состоит из однослойного многорядного мерцательного эпителия, собственной пластинки, представленной волокнами и фибробластами, подслизистой основы из плотной неоформленной соединительной ткани. Отмечено, что в подслизистой основе в области, прилегающей к барабанной перепонке, было обнаружено большое количество разветвленных альвеолярных желез с пигментированными выводными протоками, имеющих голокриновый тип секреции. Эти железы, по нашему мнению, защищают среднее ухо от воды и патогенных микроорганизмов. Большая часть слизистой оболочки представлена однослойным кубическим эпителием, она же и покрывает слуховые косточки, при этом в подслизистой основе исчезают железы.
В барабанной полости у байкальской нерпы, как и всех млекопитающих, имеются четыре слуховых косточки: молоточек, наковальня, чечевицеобразная косточка и стремечко. Нами отмечено, что у новорожденных и сеголеток чечевицеобразная косточка состоит из хрящевой ткани, с возрастом окостеневает. По отношению к новорожденным абсолютная масса косточек во всех возрастных группах имеет тенденцию к увеличению, тогда, как некоторые линейные показатели увеличиваются, а некоторые достоверно не изменяются (головка и рукоятка молоточка). Анализ соотношения массы слуховых косточек к массе молоточка показал, что рост молоточка и стремечка происходил равномерно во всех возрастных группах, поэтому и коэффициент соотношения был одинаковым – 0,3. В то же время рост наковальни по массе был нелинейным – соотношение массы наковальня/молоточек увеличивалось у сеголеток, уменьшалось у неполовозрелых нерп и вновь увеличивалось у половозрелых нерп.
В барабанной полости лицевой нерв проходит небольшое расстояние: из лицевого канала он выходит между овальным окном и мысом улитки, где образует изгиб почти под прямым углом, и в этом месте от него отходит большой каменистый нерв, около стремени отходит стременной нерв. После этого нерв ныряет в слизистую оболочку и проходит между слизистой оболочкой и костной основой барабанного пузыря до шилососцевидного отверстия, отдав еще одну ветвь – барабанную струну.