Фармакогностическая характеристика Иссопа лекарственного
Автор: Чимитцыренова Л.И., Рандалова Т.Э., Чаленко Ю.В., Лещёва Ю.Н., Басхаева Т.Г., Раднаева И.З.
Журнал: Вестник Бурятского государственного университета. Медицина и фармация @vestnik-bsu-medicine-pharmacy
Рубрика: Фармация
Статья в выпуске: 2, 2025 года.
Бесплатный доступ
Сегодня Иссоп лекарственный включен в фармакопеи ряда зарубежных стран, что свидетельствует о его фармакологической ценности. Однако для успешного внедрения в медицинскую практику требуется стандартизация сырья в соответствии с действующими нормативными документами. Это позволит обеспечить безопасность и эффективность препаратов, изготовленных из Иссопа лекарственного. В литературе встречаются данные о содержании разнообразных биологически активных веществ, а также эфирного масла в надземной части растения. В соответствии с требованиями действующей нормативной документации для травы Иссопа лекарственного, собранного на территории Республики Бурятия, определены анатомо-диагностические признаки сырья, установлены показатели чистоты и доброкачественности сырья, а также проведен фито-химический анализ на основные группы биологически активных веществ.
Иссоп лекарственный, лекарственные растения, доброкачественность, анатомо-диагностические признаки сырья
Короткий адрес: https://sciup.org/148332681
IDR: 148332681 | УДК: 615.322 | DOI: 10.18101/2306-1995-2025-2-66-74
Pharmacognostic Characteristics of Hyssopus Officinalis
Hyssopus officinalis is currently included in the pharmacopoeias of several foreign countries, underscoring its pharmacological value. However, for its successful integration into medical practice, the standardization of raw plant material in accordance with current regulatory documentation is essential. This standardization ensures the safety and efficacy of preparations derived from. Hyssopus officinalis Literature sources report the presence of various biologically active compounds and essential oils in the aerial parts of the plant. In compliance with the requirements of current regulatory documents, the anatomical and diagnostic characteristics, purity, and quality indicators of Hyssopus officinalis herb collected in the Republic of Buryatiah have been determined. Additionally, a phytochemical analysis was conducted to identify the main groups of dietary supplements.
Текст научной статьи Фармакогностическая характеристика Иссопа лекарственного
Лекарственные растения не теряют своей значимости на протяжении всей истории человечества и сегодня их терапевтический потенциал получает подтверждение благодаря научным исследованиям. Одним из таких растений является иссоп лекарственный.
Растения рода Иссоп ( Hyssopus ) относятся к семейству Яснотковые ( Lamiaceae ) и включают около 10 видов. Естественный ареал произрастания охватывает горные районы Южной Европы, Прибалтики, Крыма и Восточной Сибири. Во флоре Восточной Сибири распространен Иссоп лекарственный ( Hyssopus officinalis L.) [8].
Иссоп лекарственный ( Hyssopus officinalis L.) — это многолетник, травянистое растение или небольшой полукустарник высотой до 50 см. Стебли ветвистые, прямостоячие, восходящие, четырехгранные, коротко опушенные. Листья супротивные, линейно-ланцетовидные, к основанию клиновидно суженные, длиной до 3 см, шириной до 1 см, сверху темно-зеленые, снизу серо-зеленые, с отчетливой серой жилкой. Окраска цветков может быть синей, розовой, бледно-фиолетовой и редко белой. Цветки обоеполые, неправильные, двугубые, усажены в пазухах верхних листьев по 6-9, собраны мутовками и образуют однобокую кисть. Венчики в длину от 7-10 мм. Чашечка пятизубчатая. Плод темно-коричневого цвета, состоит из четырех орешков, заключенных в чашечку. Корень стержневой, деревянистый. Период цветения иссопа длится с июля по сентябрь, а в некоторых регионах до ноября. Семена созревают с августа по октябрь [6-8; 13].
Иссоп лекарственный представляет собой ценное лекарственное, эфиромасличное и пряно-ароматическое растение. Сегодня эфирное масло этого растения применяется в парфюмерной промышленности в качестве отдушки в косметических средствах, а также в ароматерапии. Первые упоминания как о лекарственном растении встречаются в трудах Авиценны. Он описывал его как важный компонент в составе лекарств, применяемых при лечении заболеваний легких, для улучшения пищеварения, укрепления иммунитета, а также для очищения организма от токсинов и заживления ран.
Фитопрепараты на основе сухого экстракта иссопа лекарственного применяют для лечения бронхита и бронхиальной астмы, неврозов, заболеваний суставов, хронических колитов. Настои и отвары используют наружно при стоматитах, а также в виде компрессов при кровоизлияниях, ушибах как ранозаживляющее средство. Чай из зеленых листьев растения способствует перевариванию жирной пищи, обладает глистогонным эффектом [1; 13; 15]. В традиционной медицине Ирана и Индии используется в качестве ветрогонного и спазмолитического средства при желудочных заболеваниях [17]. Клинические исследования показали, что сироп из иссопа лекарственного улучшает функцию легких у пациентов с астмой, особенно при продуктивном кашле [4; 9]. Эфирное масло растения обладает доказанной бактерицидной и фунгицидной активностью, поэтому его можно применять при гнойных заболеваниях кожи, вызванных стафилококками [2].
Эфирное масло иссопа лекарственного получают во многих странах [16]. В фазу цветения из надземной части растения может извлекаться до 1,5% эфирного масла в пересчете на сухую массу [2; 19]. При этом компонентный состав эфирного масла может варьироваться в зависимости от места произрастания, климатических условий и времени сбора. Имеются сведения, что для Сибирского региона характерны некоторые особенности накопления определенных терпенов и фенольных соединений из-за климатических условий, которые могут влиять на состав эфирного масла. Среди его основных соединений выделяют такие, как пинокамфон, изопинокамфон, β-пинен, сабинен, мирцен, β-фелландрен, линалоол, миртенол, элемол и гермакрен-D [5; 18; 19]. Кроме того, в Иране обнаружены хемотипы этого растения, характеризующиеся преобладанием тимола и метилацетата [10; 12].
В листьях и цветках иссопа содержатся дубильные вещества, флавоноиды (апигенин, лютеолин, кверцетин), их гликозиды и фенольные кислоты (хлороге-новая, протокатеховая, феруловая сиреневая, п-гидроксибензойная кофейная, ванилиновая, п-кумаровая, розмариновая и гентизиновая) [11], витамин С и каротин [14], микроэлементы наряду со многими другими веществами.
Материалы и методы исследования
Объектом исследования послужила иссопа лекарственного трава, культивируемая в Ботаническом саду Бурятского государственного университета (БГУ), пос. Орешково, г. Улан-Удэ. Надземная часть растения (сырье) заготовлена в начале сентябре 2024 г. в фазу цветения. Собранное сырье сушили методом воздушно-теневой сушки, хранили в цельном виде в мешках в защищенном от света месте, измельчая перед проведением исследований. Подлинность сырья подтверждали техниками макро- и микроскопического анализа, качественные реакции на основные группы биологически активных веществ (БАВ) проводили по общепринятым методикам [3]. Согласно стандартным методикам определяли показатели чистоты и доброкачественности1.
При макроскопическом анализе воздушно-сухого сырья растения размеры листовой пластинки определяли с помощью линейки. Органолептические показатели определяли по запаху, растирая сырье между пальцами, по цвету при дневном освещении с верхней и нижней стороны листа, по вкусу дегустацией водного извлечения.
Микроскопический анализ проводили согласно ОФС «Микроскопический и микрохимический анализ лекарственного растительного сырья и лекарственных средств растительного происхождения» ГФXV.
Обсуждение результатов
Для определения морфологических признаков цельного сырья использовали визуальный метод. Объект исследования погрузили в горячую воду на несколько минут, подготовленный материал рассмотрели с помощью лупы, метрические показатели зафиксировали с помощью линейки и миллиметровой бумаги.
Воздушно-сухое сырье представляет собой цельные травянистые побеги, заготовленные во время цветения. Стебли ветвистые, четырехгранные, темнозеленого цвета. Листья ланцетные или линейно-ланцетные, в длину от 2 до 4 см, темно-зеленые, нижняя сторона покрыта опушением. Соцветие — кисть. Цветки двугубые, сине-фиолетовые, длина чашечки и венчика 4–7 мм. Аромат сырья насыщенный, характерный. Вкус водного извлечения пряно-горьковатый. При изучении микропрепарата листа с его поверхности видно, что клетки верхнего эпидермиса имеют слегка изогнутые стенки (рис. 1)
Рис. 1. Лист — верхний эпидермис диацитного типа с эфирномасличной железкой Клетки нижнего эпидермиса сильноизвилистые (рис. 2).
Рис. 2. Лист — нижний эпидермис диацитного типа с извилистыми стенками
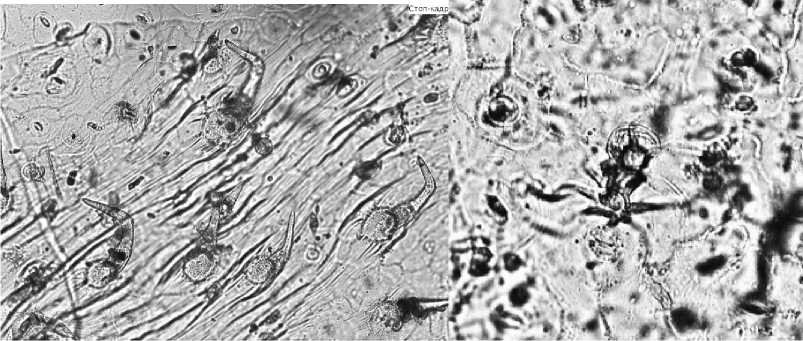
Устьица овальной формы диацитного типа. На обеих поверхностях листа встречаются простые одно- и трехклеточные волоски с бородавчатой поверхностью (рис. 3а). Между ними головчатые волоски с одноклеточной ножкой и шаровидной одно- и двухклеточной головкой (рис. 3б).
а
б
Рис. 3. Лист — верхний эпидермис (а — многочисленные простые волоски с бородавчатой поверхностью; б — головчатый волосок)
На поверхности чашелистиков наблюдаются многочисленные простые двухклеточные волоски с бородавчатой поверхностью, между ними встречаются головчатые волоски с двухклеточной ножкой (рис. 4а).
По всей поверхности лепестков в большом количестве идентифицируются многочисленные крупные округлые эфирномасличные железки с коричневым содержимым. Эфирномасличные железки округлые, расположены по радиусу и состоят из восьми выделительных клеток. Также на поверхности лепестков в большом количестве присутствуют одно-, двухклетчатые бородавчатые волоски и редко встречаемые голововчатые (рис. 4б).
б
а
Рис. 4. Венчик (а — извилистые клетки; б — эфирномасличные железки и головча- тые волоски с двухклеточной ножкой)
При проведении фитохимического анализа были приготовлены извлечения с соотношением сырье: экстрагент (вода очищенная, водно-спиртовая смесь) 1:10, в некоторых случаях — 1:20. В ходе проведенных реакций были идентифицированы следующие группы БАВ: антоцианы, кумарины, полисахариды, сапонины, флавоноиды и эфирные масла.
Для оценки качества сырья были определены следующие показатели: влажность сырья, зола общая, зола, нерастворимая в хлористоводородной кислоте, примеси органическая и минеральная, части сырья, утратившие окраску (табл. 1).
Таблица 1 Показатели доброкачественности Hyssopus officinalis травы
|
№ |
Показатели |
Содержание, % |
|
1 |
влажность |
6,9 |
|
2 |
общая зола |
5,7 |
|
3 |
зола, нерастворимая в хлористоводородной кислоте |
0,3 |
|
4 |
минеральная примесь |
0,1 |
|
5 |
органическая примесь |
0,43 |
|
6 |
части сырья, утратившие окраску |
0,5 |
Для определения показателя экстрактивные вещества, сырье однократно экстрагировали этиловым спиртом (30, 40, 50, 70, 90%) и водой очищенной. Наибольший выход экстрактивных веществ достигается при использовании спирта этилового 50% (табл. 2).
Таблица 2
Экстрактивные вещества в Hyssopus officinalis траве
|
№ |
Экстрагент |
Выход экстрактивных веществ |
|
1 |
спирт этиловый 30% |
15,0 |
|
2 |
спирт этиловый 40% |
21,2 |
|
3 |
спирт этиловый 50% |
23,3 |
|
4 |
спирт этиловый 70% |
19,0 |
|
5 |
спирт этиловый 90% |
17,3 |
|
6 |
вода очищенная |
19,7 |
Выводы
Впервые проведен микроскопический анализ Иссопа лекарственного, произрастающего на территории Республики Бурятия. Анатомо-диагностические признаки соответствуют признакам Иссопа лекарственного, описанного в литературе. Проведенный фитохимический анализ с помощью цветных реакций на группы биологически активных веществ показал наличие полисахаридов, флавоноидов, эфирного масла, кумаринов, антоцианов, сапонинов. Получены числовые 71
показатели сырья: влажность — 6,9%, зола общая — 5,7%, зола, нерастворимая в хлористоводородной кислоте, — 0,3%, органическая примесь — 0,43%, минеральная примесь — 0,1%, части сырья, изменившие окраску, — 0,5%. После однократной экстракции наибольший выход экстрактивных веществ достигается при использовании спирта этилового 50% — 23,3%.