Сочетанный рентгенологический и эндобронхиальный ультрасонографический контроль в диагностике периферических очаговых образований легких размерами менее 3 см

Автор: Лагкуева И.Д., Нуднов Н.В. Черниченко Н.В., Сусарев И.О., Цаллагова З.С., Солодкий В.А.

Журнал: Вестник Российского научного центра рентгенорадиологии Минздрава России @vestnik-rncrr

Рубрика: Оригинальная статья. Лучевая диагностика

Статья в выпуске: 4 т.25, 2025 года.

Бесплатный доступ

Несмотря на значительный прогресс в области рентгенографии и эндоскопии, проблема дифференциальной диагностики периферических очагов в легких остаётся актуальной. К сожалению, использование КТ высокого разрешения, возможностей постпроцессинговой обработки и различных методов бронхоскопии, включая бронхобиопсии, в сочетании с ультрасонографической навигацией не позволяет полностью решить эту задачу. Данная статья посвящена оценке возможностей бронхоскопии с различными вариантами бронхобиопсий периферических очагов в легких под сочетанным эндобронхиальным ультрасонографическим и рентгенконтролем с предварительной КТ-навигацией. Цель исследования: оценить эффективность бронхоскопии с различными видами бронхобиопсией под эндобронхиальным ультразвуком с использованием радиального зонда (рЭБУС) и рентгенконтролем с предварительной КТ-навигацией в диагностике периферических очаговых образований легких малых размеров. Материалы и методы. В исследовании участвовали пациенты с очаговыми образованиями в лёгких периферической локализации. Максимальный размер образований не превышал 3 см. В основную группу было включено 77 пациентов, в контрольную — 77. Группы были сопоставимы по возрасту, размеру и структуре образований, их отношению к бронхам и локализации. Перед проведением бронхоскопии в каждом случае использовалась КТ-навигация для определения оптимального пути к очагу. Бронхоскопия с различными видами бронхобиопсии проводилась под контролем эндосонографии и рентгена. Результаты. Комбинация трех методов привела к высокой общей эффективности забора диагностического материала для морфологических исследований — 70,1% (54 из 77 пациентов). Этот результат оказался статистически значимым (p < 0,001). Эффективность методов значительно превысила показатели контрольной группы (+29,8%; 40,3%). Заключение. Эффективная комбинация КТ-навигации, рЭБУС и рентгенконтроля представляет собой действенный диагностический инструмент, который демонстрирует высокую результативность в выявлении периферических образований легких небольших размеров. Эта методика сочетает в себе преимущества как предоперационного планирования, так и интраоперационной навигации, что делает её предпочтительным методом для диагностики периферических образований в легких, особенно солидных, размером более 1 см.

Еще

Бронхоскопия с бронхобиопсией, периферические очаги в легких, КТ-навигация, эндобронхиальная ультрасонография, рентгенконтроль

Короткий адрес: https://sciup.org/149149995

IDR: 149149995   |   DOI: 10.24412/1999-7264-2025-4-12-23

Combined radiological and endobronchial ultrasonographic control in the diagnosis of peripheral foci of lung formations less than 3 cm in size

Despite significant advances in radiography and endoscopy, the problem of differential diagnosis of peripheral lesions in the lungs remains relevant. Unfortunately, the use of high-resolution CT, post-processing capabilities, and various bronchoscopy methods, including bronchial biopsies, in combination with ultrasonic navigation does not fully solve this problem. This article is devoted to evaluating the capabilities of bronchoscopy with various options for bronchial biopsies of peripheral lesions in the lungs under combined endobronchial ultrasonography and X-ray control with preliminary CT navigation. The aim of the study is to evaluate the effectiveness of bronchoscopy with various types of bronchial biopsy under endobronchial ultrasound using a radial probe (rEBUS) and X-ray control with preliminary CT navigation in the diagnosis of small peripheral focal lesions in the lungs. Materials and methods. The study included patients with focal lesions in the peripheral lungs. The maximum size of the lesions did not exceed 3 cm. The main group included 77 patients, and the control group included 77 patients. The groups were comparable in terms of age, size, structure of the lesions, their relationship to the bronchi, and localization. Before bronchoscopy, CT navigation was used in each case to determine the optimal path to the lesion. Bronchoscopy with various types of bronchial biopsy was performed under endosonography and X-ray guidance. Results. The combination of the three methods resulted in a high overall effectiveness of diagnostic material collection for morphological studies — 70.1% (54 out of 77 patients). This result was statistically significant (p < 0.001). The effectiveness of the methods significantly exceeded that of the control group (+29.8%; 40.3%). Conclusion. The effective combination of CT navigation, rEBUS, and X-ray control is a powerful diagnostic tool that demonstrates high effectiveness in detecting small peripheral lung lesions. This technique combines the advantages of both preoperative planning and intraoperative navigation, making it the preferred method for diagnosing peripheral lesions in the lungs, especially solid lesions larger than 1 cm.

Еще

Текст научной статьи Сочетанный рентгенологический и эндобронхиальный ультрасонографический контроль в диагностике периферических очаговых образований легких размерами менее 3 см

Широкое использование компьютерной томографии в повседневной практике значительно повысило выявляемость очагов в легких [1,2]. Когда у пациента обнаруживается очаг в легком, главной задачей специалистов становится определение, является ли он злокачественной опухолью [3,4]. Скрининговые исследования с применением низкодозной компьютерной томографии показали, что эта технология позволяет обнаружить рак легких на ранних стадиях и улучшить выживаемость пациентов, прошедших скрининг [5]. Однако, несмотря на это, рак легкого остается ведущей причиной онкологической смертности во всем мире [6]. На его долю приходится 18% всех летальных исходов [7]. Это больше, чем смертность от рака молочной железы, шейки матки, ободочной и прямой кишки вместе взятых [8]. Только 15% пациентов живут более 5 лет после установления диагноза рака легкого. Такие неутешительные результаты объясняются тем, что на момент обнаружения опухоли у 70% пациентов уже имеется распространённый процесс на месте или отдалённые метастазы [9].

В настоящее время уровень выявления раннего рака лёгких остаётся одним из самых низких среди онкологических заболеваний. В 2023 году диагноз злокачественного новообразования лёгких был подтверждён лишь в 90% случаев, что не может считаться удовлетворительным результатом. Это побуждает искать новые пути для улучшения диагностики периферических очагов в лёгких [10–13]. Особенно остро стоит задача повышения чувствительности и специфичности методов неинвазивной лучевой и малоинвазивной диагностики [14].

Цель исследования: оценить эффективность бронхоскопии с различными видами бронхобиопсии, выполняемой под контролем эндобронхиальной ультрасонографии с радиальными зондами (рЭБУС) и рентгеноскопии, а также с использованием предварительной компьютерной навигации, в диагностике периферических очаговых образований в лёгких.

Материалы и методы

В исследование были включены 154 пациента с очаговыми образованиями в лёгких, расположенными на периферии и имеющими максимальный размер до 3 см. В основную группу вошли 77 пациентов, которые проходили обследование в ФГБУ РНЦРР МЗ РФ в период с 2019 по 2025 год. В контрольную группу вошли 77 пациентов, которые проходили обследование в том же учреждении в период с 2015 по 2019 год. Им проводилась бронхоскопия без использования КТ-навигации и других навигационных методов в режиме реального времени. Группы были сопоставимы по возрасту пациентов, размеру, структуре, отношению к бронху и локализации очагов. В каждом случае пациентам из основной группы перед бронхоскопией проводилась КТ-навигация. Это позволяло определить оптимальную трассу от долевого бронха до бронха, ведущего к очагу, по ранее описанной методике. Бронхоскопия с бронхобиопсией проводилась под контролем эндосонографии и рентгена.

В РНЦРР было проведено исследование органов грудной клетки с использованием компьютерного томографа Canon (Toshiba) модели Aquilion Lightning (ТSХ-036А) с 160 срезами. Эндоскопическое исследование выполнялось с применением видеоэндоскопической системы EVIS EXERA iii от Olympus Medical Systems Corporation. Для проведения бронхоскопии использовались бронхоскопы BF-Q190 и BF-P190. Навигационная радиальная эндобронхиальная ультрасонография (рЭБУС) осуществлялась с помощью эндобронхиальных высокочастотных минизондов Olympus UM-S20-17R (Olympus Сorp, Tokyo, Japan) диаметром 1,8 мм, подключенных к эндоскопическому ультразвуковому центру Olympus EVIS EUS EU—ME2 PRIEMIER PLUS (Olympus Сorp, Tokyo, Japan) через передающий привод. Рентгенконтроль процедуры проводился с использованием рентгенодиагностического цифрового комплекса «РЕНЕКС-Т» (стационарной цифровой флюороскопической системы общего назначения).

Проводился анализ параметров с использованием качественных и количественных методов. Статистически значимыми считались результаты при p < 0,05.

Результаты

Проведён сравнительный анализ результатов бронхоскопии в зависимости от визуализации «приводящего» бронха, размеров очагов, их долевой и зональной локализации, а также рентгеноморфологических признаков, таких как контуры и структура очагов и перифокальные изменения. Исследование показало высокую диагностическую эффективность комбинации бронхоскопии с компьютерной томографией (КТ) и рентгенконтролем. Результативность увеличилась на 29,8% (70,1% в исследуемой группе против 40,3% в контрольной группе, p < 0,001) (Табл. 1).

Табл. 1. Сравнительная таблица результативности биопсии

Группа

Успешные биопсии

Результати вность

Прирост

p-value

Исследуемая (n=77)

54

70,1%

+29,8%

<0,001

Контрольная

31

40,3%

-

-

(n=77)

Проведён анализ результативности бронхоскопии в зависимости от визуализации подходящего к очагу бронха. Наблюдается статистически значимое улучшение результативности в обеих подгруппах (p = 0,02). При визуализации бронха прирост составил +20,6%, при отсутствии визуализации бронха — +26,1%.

Рис. 1. Сравнительный анализ результативности бронхоскопии в зависимости от визуализации подходящего к очагу бронха.

Проведен анализ результативности в зависимости от размеров очага (Рис. 2).

Рис. 2. Сравнительный анализ результативности бронхоскопии в зависимости от размеров очага.

Наблюдается статистически значимое улучшение в отношении очагов размером от 1 до 3 см (p < 0,001). В отношении очагов размером ≤1 см прирост составил +22,7%, однако это не достигло статистической значимости (p = 0,12). Очаги размером ≤1 см составляют 43,8% против 21,1%. Очаги размером от 1 до 3 см составляют 77,0% против 46,6%.

Проведен анализ результативности в зависимости от структуры очага (Рис. 3).

Рис. 3. Сравнительный анализ результативности бронхоскопии в зависимости от структуры очага.

Наблюдается статистически значимое улучшение для солидных очагов (p < 0,001). Для субсолидных очагов и «матового стекла» прирост не достиг статистической значимости из-за малого объёма выборки.

Солидные очаги: 72,4% против 40,0%.

Субсолидные очаги: 69,2% против 45,5%.

«Матовое стекло»: 50,0% против 33,3%.

Прирост результативности увеличивается с увеличением плотности очагов (16,7% → 23,7% → 32,4%).

Проведен анализ результативности в зависимости от расположения очага по зонам

(Рис. 4, 5).

Рис. 4. Сравнительный анализ результативности бронхоскопии в зависимости от расположения очага по зонам.

Наблюдается статистически значимое улучшение показателей для центральной (p = 0,003) и периферической (p = 0,03) зон. Для средней зоны прирост +24,0% не достиг статистической значимости (p = 0,08).

Показатели для центральной зоны: 90,9% против 52,6%.

Показатели для средней зоны: 68,0% против 44,0%.

Показатели для периферической зоны: 56,7% против 30,3%.

Рис. 5. Сравнительный анализ результативности бронхоскопии в зависимости от удаленности очага от центра.

Наблюдается нелинейная зависимость с максимальным приростом в центральной зоне (+38,3%), снижением в средней зоне (+24,0%) и частичным восстановлением на периферии (+26,4%).

Проведён анализ результативности в зависимости от долевой локализации очага (Рис. 6).

Результативность биопсии по долям легкого

Рис. 6. Сравнительный анализ результативности бронхоскопии в зависимости от расположения очага по долям легкого.

В ходе исследования было выявлено статистически значимое улучшение для правой верхней (p=0,003) и правой нижней (p=0,04) долей. Для остальных долей статистическая значимость не была достигнута из-за недостаточного объёма выборки.

Нижние доли: 90,9% против 53,8–75%.

Верхние доли: 57,1–62,5% против 25,8–31,6%.

Средняя доля: 100%.

Ввиду малого объёма выборки (n=2) невозможно сделать статистические выводы.

Клинический пример

Пациент А., 57 лет. По месту жительства пациенту была проведена компьютерная томография (КТ) органов грудной клетки, которая выявила очаг в сегменте 2 левого легкого. В целях дальнейшего обследования пациент обратился в Российский научный центр рентгенорадиологии (РНЦРР).

При пересмотре данных КТ в периферической зоне сегмента 2 правого легкого был обнаружен солидный очаг с четкими и ровными контурами, который располагался рядом с ветвью Б2. Был сделан вывод о возможном злокачественном характере этого образования.

Для подтверждения изменений в легком была проведена бронхоскопия с бронхобипсией очага под рЭБУС и рентгенконтролем с предварительной КТ навигацией. На основе данных КТ-навигации была определена траектория до зоны интереса. На сканограмме, полученной с помощью радиоэлектронной навигации, на 10-13 часах условного циферблата относительно зоны интереса была видна тень очага. По данным рентгеноскопии биопсийные инструменты находились в зоне интереса, что позволило выполнить биопсию.

Цитологическое исследование биопсийного материала подтвердило наличие клеток аденокарциномы (Рис. 7).

б.

а.

в.

г.

д.                                          е.                                         ё.

ж.                                                      з.

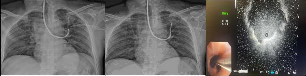
Рис. 7. (а, б) КТ. Легочный режим. (а) Криволинейная реконструкция; (б) Фронтальная плоскость. В периферических отделах С2 левого легкого солидный очаг, с четкими и неровными контурами, с «подходящей» ветвью Б2. (в) Рентген легких. Прямая проекция. В верхней доле левого легкого округлой формы затенение. (г) Бронхоскопия под контролем рЭБУС. рУЗ-датчик в толще затенения в верхней доле левого легкого. (д) Бронхоскопия с щеточной бронхобиопсией под рентген контролем. (е) Бронхоскопия с щипцовой бронхобиопсией под рентген контролем. (ё) УЗ сканограмма. УЗ-минизонд в подходящем к очагу бронхе. (ж) Аденокарцинома легкого. Цитологическое исследование. Окраска азуром и эозином. Объектив 20х. В крови присутствуют различные клетки: бронхиального эпителия, макрофаги и комплексы клеток аденокарциномы. (з) Макропрепарат в разрезе. Фрагмент ткани легкого размерами 10,5 х 3,5 х 4 см. В ткани легкого субплеврально определяется опухолевый узел №1 размерами 2,9 х 3,0 х 2,7 см. Ткань опухоли плотная серая. Опухоль врастает в висцеральную плевру легкого. В этом месте - ее втяжение на участке 1 х 0,5 см.

Обсуждение

Использование бронхоскопии с рЭБУС и рентгенконтролем в сочетании с предварительной КТ-навигацией позволило значительно повысить результативность бронхобиопсии. В исследуемой группе этот показатель составил 70,1%, что на 29,8% выше, чем в контрольной группе (40,3%, p < 0,001). Шансы успешной биопсии возросли в 3,5 раза

(1,8–6,8). Особенно высокая эффективность была отмечена для очагов размером от 1 до 3 см: результативность составила 77,0% (прирост +30,4%, p < 0,001). В случае центральной локализации очагов результативность достигла 90,9% (прирост +38,3%, p = 0,003). При солидной структуре очагов результативность составила 72,4% (прирост 32,4%, p < 0,001). При визуализации бронха результативность составила 84,9% (прирост +20,6%, p = 0,02). В случаях, когда бронх не был визуализирован, прирост составил +26,1% (37,5% против 11,4%); при периферическом расположении очагов прирост составил +26,4% (56,7% против 30,3%); при очагах размером ≤1 см прирост составил +22,7% (43,8% против 21,1%).

Наилучшие показатели были отмечены для нижних долей (90,9%) и центральной зоны (90,9%). Эффективность применения метода была наименьшей в верхних долях лёгких (57,162,5%). В целом, показатели для правого лёгкого оказались лучше, чем для левого.

Заключение

Комбинированный метод бронхоскопии с предварительной КТ-навигацией, рЭБУС и рентгенконтролем является высокоэффективным инструментом диагностики периферических образований легких, с помощью которого можно значимо улучшить результативность получения материала бронхобиопсии и сократить сроки установления диагноза рака легких на ранних стадиях заболевания по сравнению со стандартными подходами.

Вклад авторов. Черниченко Н.В., Лагкуева И.Д., Нуднов Н.В.: сбор и обработка информации, написание текста; Цаллагова З.С., Сусарев И.О.: правка и редактирование статьи. Солодкий В.А.: концепция и дизайн исследования. Все авторы подтверждают соответствие своего авторства международным критериям ICMJE (все авторы внесли существенный вклад в разработку концепции, проведение поисково-аналитической работы и подготовку статьи, прочли и одобрили финальную версию перед публикацией).

Финансирование. Собственные средства ФГБУ «РНЦРР» Минздрава России.

Декларация по этике. Исследование проводилось в соответствии с принципами Хельсинкской декларации. Разрешение этического комитета не требовалось. При проведении исследования были соблюдены права пациентов и все требования биоэтики.

Заявление об информированном согласии. От всех субъектов, принимающих участие в исследовании, было получено информированное согласие.