Лечение ВИЧ-инфицированных пациентов с инфекционным неспецифическим кокситом с использованием антимикробного спейсера тазобедренного сустава

Автор: Перецманас Е.О., Зубиков В.С., Герасимов И.А., Рукин Я.А.

Журнал: Гений ортопедии @geniy-ortopedii

Рубрика: Клинический случай

Статья в выпуске: 6 т.31, 2025 года.

Бесплатный доступ

Введение. Борьба с неспецифической инфекцией на фоне иммунодефицита у ВИЧ-инфицированных больных представляет собой сложную задачу. Стандартизированные протоколы лечения в настоящее время отсутствуют. Самым эффективным методом лечения гнойных кокситов остается двухэтапная технология с выполнением на первом этапе резекции тазобедренного сустава с установкой спейсера с антимикробными препаратами, на втором этапе — тотальное эндопротезирование тазобедренного сустава. Одним из путей уменьшения неудовлетворительных результатов и сокращения ревизионных вмешательств является разработка новых видов спейсеров для лечения такой патологии у пациентов с ВИЧ-инфекцией. Цель работы — на двух клинических примерах продемонстрировать возможность применения оригинальной конструкции антимикробного двухслойного артикулирующего спейсера, ранее разработанной для лечения пациентов с деструктивными формами туберкулезного коксита, в оперативном лечении больных неспецифическим инфекционным кокситом с ВИЧ-инфекцией. Материалы и методы. Ретроспективно оценены результаты лечения двух больных инфекционным кокситом, ассоциированным с ВИЧ-инфекцией, которым на первом этапе лечения применена оригинальная двухслойная конструкция цементного спейсера, насыщенного антимикробными препаратами в зависимости от индивидуальной чувствительности микробного агента. Для исследования эффективности примененного метода использовали результаты динамической оценки выраженности болевого синдрома по шкале ВАШ, функционального состояния поражённого сустава с помощью шкал HSS (англ.: Harris Hip Score), WOMAC (англ.: Western Ontario and McMaster Universities osteoarthritis Index) и лучевые данные пациентов в раннем послеоперационном периоде и через 12 мес. наблюдения. Результаты. Клинические наблюдения демонстрируют положительные результаты лечения пациентов с инфекционным кокситом, ассоциированным с ВИЧ-инфекцией. Применение разработанной конструкции спейсера позволило достичь эрадикации инфекции в зоне воспаления. В результате применения новой модели спейсера с выраженным антимикробным эффектом в первом клиническом случае удалось восстановить функцию сустава с 35 до 89 баллов по шкале HHS, с 79 до 14 баллов по шкале WOMAC, уменьшить болевой синдром с 7 до 1 балла по шкале ВАШ. Во втором случае результаты изменились с 32 до 91 баллов по шкале HHS, с 84 до 11 баллов по шкале WOMAC, с 6 до 0 баллов по шкале ВАШ. Обсуждение. На основании данных научных публикаций и собственных клинических наблюдений мы предполагаем, что при гнойных кокситах, ассоциированных с ВИЧ-инфекцией, одной из основных причин неудовлетворительных результатов двухэтапного эндопротезирования является недостаточная локальная концентрация антимикробных препаратов, вызванная несовершенством конструкции традиционных цементных спейсеров. Оригинальная конструкция спейсера позволяет создать более высокую концентрацию и может стать эффективной альтернативой традиционным методикам лечения. Заключение. Применение оригинальной конструкции антимикробного двухслойного артикулирующего спейсера в оперативном лечении двух пациентов с инфекционным неспецифическим кокситом привело к эрадикации инфекции, уменьшению болевого синдрома, восстановлению функциональности тазобедренного сустава.

Еще

Инфекционный коксит, ВИЧ-инфекция, двухэтапное эндопротезирование, спейсер, антимикробные препараты

Короткий адрес: https://sciup.org/142246514

IDR: 142246514   |   УДК: 616.98:578.828HIV:616.728.2-007.248-089.843:615.33   |   DOI: 10.18019/1028-4427-2025-31-6-822-830

Treatment of infectious nonspecific coxitis in HIV-positive patients using an antibiotic-loaded spacer for the hip joint

Introduction The fight with nonspecific infection in immunodeficient HIV-infected patients is challenging. There are no standardized treatment protocols yet. The most effective treatment method of purulent coxitis remains two-stage total hip arthroplasty with the first stage of joint resection and implantation of an antibiotic‑loaded cement spacer, and the second stage of total hip replacement. One of the ways to reduce poor results and revision interventions is the development of new types of spacers for treatment of coxitis in patients with HIV infection. The aim of the work is to demonstrate the effectiveness of a new method of surgical treatment of infectious coxitis in HIV-infected patients using an original design of an antibiotic-loaded articulating spacer in two clinical cases. Materials and methods The treatment results of two HIV-positive patients with infectious coxitis, in whom an original two-layer design of an antibiotic-loaded cement spacer based on the individual bacterial sensitivity was applied at the first stage of treatment, were retrospectively evaluated. To study the effectiveness of this method we used the results of the dynamics of pain evaluation according to Visual Analogue Scale (VAS), the functional state of the affected joint using Harris Hip Score (HSS), Western Ontario and McMaster University osteoarthritis Index (WOMAC) scale and radiological data of patients in the early postoperative period and after 12-month follow-up. Results Clinical cases demonstrate positive results of treatment of infectious coxitis associated with HIV infection. Application of the developed spacer design allowed eradication of bacterial infection. As a result of using of the new spacer model with an antimicrobial effect in the first clinical case it was possible to restore the joint function from 35 to 89 HHS points, from 79 to 14 WOMAC points, to reduce the pain syndrome from 7 to 1 VAS point; in the second patient from 32 to 91 HHS points, from 84 to 11 WOMAC points, to reduce the pain syndrome from 6 to 0 VAS points. Discussion Based on scientific reports and our own clinical cases, we hypothesize that in HIV-associated purulent coxitis, one of the main reasons for poor results after two-stage arthroplasty is insufficient local concentration of antimicrobial agents, caused by the imperfect design of traditional cemented spacers. The original spacer design allows for a higher concentration and may become an effective alternative to traditional treatment methods. Conclusion Application of the developed technology of surgical treatment of infectious coxitis in HIV‑positive patients resulted in eradication of infection, reduction of pain syndrome, restoration of the hip joint functionality.

Еще

Текст научной статьи Лечение ВИЧ-инфицированных пациентов с инфекционным неспецифическим кокситом с использованием антимикробного спейсера тазобедренного сустава

Заболеваемость инфекционными кокситами в мире составляет от 4 до 10 на 100 000 человек [1]. Проблема оказания медицинской помощи пациентам с инфекционными кокситами сохраняет свою актуальность в связи с отсутствием эффективных протоколов лечения [2, 3, 4]. При несвоевременном лечении инфекционный процесс приводит к деструктивным изменениям костных структур суставных образований, значительному снижению качества жизни пациента, а иногда к развитию сепсиса и летальному исходу [5]. Особенно сложной задачей является лечение пациентов с инфекционным кокситом, ассоциированным с ВИЧ-инфекцией. Распространенность воспалительных заболеваний суставов среди пациентов с ВИЧ-инфекцией варьирует от 3 до 71 % [6, 7]. В то же время статистически значимых данных о результатах лечения этой когорты пациентов в доступной литературе практически нет. В публикациях со ссылкой на незначительное число наблюдений авторы отмечают высокий процент неудовлетворительных результатов [8].

Авторы исследований приводят данные об эффективности двухэтапного эндопротезирования тазобедренного сустава при инфекционных кокситах как технологии, позволяющей добиться эрадикации инфекционного процесса и восстановления утраченной функции сустава [9, 10, 11, 12]. Логично предположить, что данная методика может являться технологией выбора и при ВИЧ-ассоциированном коксите. Преимуществом применения на первом этапе насыщенного антимикробными препаратами цементного спейсера является возможность сохранить анатомические взаимоотношения между резецированными суставными концами, обеспечить функциональную активность и удовлетворительное качество жизни пациента до установки постоянного импланта, создать депо антимикробных препаратов, осуществляя локальное воздействие на патогенную микрофлору в области сустава [13, 14, 15, 16]. Создание локальной бактерицидной концентрации является одной из основных функций спейсера и позволяет сократить продолжительность и увеличить эффективность системной антибактериальной терапии [13, 14, 15, 16].

Вместе с тем, в ряде исследований доказано, что при создании высоких концентраций нагруженной препаратами цементной смеси при изготовлении спейсера отмечается значительное снижение прочностных характеристик конструкций [17, 18, 19]. Известно, что максимальный выход антибиотика происходит с поверхности спейсера, а антимикробные препараты из внутренних отделов спейсера за счет плотности структуры костного цемента практически не элюируют в окружающую среду [20, 21, 22]. Таким образом, депонирующую функцию несет не весь спейсер, а только его поверхностный слой. В связи с этим насыщение антимикробными препаратами всего объема цемента для изготовления спейсера является нецелесообразным. Насыщение антимикробными препаратами только поверхностных слоев спейсера не отражается на прочностных характеристиках и повышает его медикаментозную эффективность, что позволяет добиться высокой локальной антимикробной концентрации даже таких препаратов как рифампицин, известный своим ингибирующим действием на процесс полимеризации костного цемента [23].

Цель работы — на двух клинических примерах продемонстрировать возможность применения оригинальной конструкции антимикробного двухслойного артикулирующего спейсера, ранее разработанной для лечения пациентов с деструктивными формами туберкулезного коксита, в оперативном лечении больных неспецифическим инфекционным кокситом с ВИЧ-инфекцией.

МАТЕРИАЛЫ И МЕТОДЫ

Ретроспективно оценены результаты лечения двух больных инфекционным кокситом, страдающих ВИЧ-инфекцией, у которых на первом этапе лечения использована оригинальная двухслойная конструкция цементного спейсера, насыщенного антимикробными препаратами в зависимости от индивидуальной чувствительности микробного агента.

Для достижения поставленной цели конструктивным решением стало создание спейсера тазобедренного сустава с двухкомпонентной головкой, внутренний компонент которой изготавливается из обычного цемента с известными прочностными характеристиками, а наружный компонент выполняется из цементной мантии, содержащей антимикробные препараты в необходимых, в т.ч. и высоких, концентрациях в зависимости от индивидуальной чувствительности микробного агента. На устройство получен патент РФ «Антимикробный спейсер тазобедренного сустава» RU 212287 U1 [24].

Техника оперативного вмешательства

После стандартного доступа к тазобедренному суставу вывихивают головку бедренной кости, резецируют ее, удаляют капсулу сустава, гнойное содержимое, некротические ткани. Штангенциркулем измеряют диаметр головки бедренной кости. Производят механическую и антисептическую обработку полости резецированного сустава. В бедренной кости рашпилем минимального размера формируют ложе для установки спейсера. Далее на отдельном столике изготавливают спейсер. Первым этапом, методом литья из костного цемента, изготавливают ножку спейсера в стерильной пластиковой пресс-форме, а по оси ножки располагают металлическую арматуру, обеспечивающую его прочность на сгибание. В верхней части ножки проксимальный конец металлической арматуры длиной 40 мм на первом этапе остается временно непокрытым цементной мантией до изгиба. Размер пластиковой пресс-формы и соответственно ножки соответствует нулевому размеру рашпиля системы «ЭСИ» по аналогии с методикой установки эндопротеза. Вторым этапом изготавливают головку спейсера. Первый (внутренний) компонент головки полушаровидной формы изготавливают целиком из костного цемента путем погружения проксимального конца металлической арматуры ножки в специальную пластиковую форму нескольких типоразмеров (диаметром 44 мм, 46 мм, 48 мм, 50 мм, 52 мм, 54 мм, 56 мм и 58 мм), заполненную жидким цементом на стадии полимеризации. Размер внутреннего компонента головки подбирают на 2 мм меньше размеров удаленной головки бедренной кости и вертлужной впадины. После частичного затвердевания первого компонента через 4–6 минут после начала полимеризации его извлекают из пластиковой формы. Затем изготавливают второй (наружный) компонент головки. Изначально в порошкообразный полимер костного цемента добавляют порошковые формы антимикробных препаратов в необходимой концентрации и перемешивают механическим путем. Далее в порошковидную смесь полимера с антимикробным препаратом добавляют жидкий мономер, смесь помещают в пластиковую форму размером на 2 мм больше внутреннего компонента. Внутренний компонент головки погружают в заполненную цементно-антимикробным составом форму до затвердевания на 8–10 минутах после смешивания, затем образец извлекают из пластиковой формы.

Таким образом, головка спейсера, изготовленного по данной технологии, состоит из двух компонентов: первый (внутренний) выполнен из цемента, соответственно обладает необходимыми прочностными характеристиками и может нести функциональную нагрузку; второй (наружный) толщиной 2 мм выполнен из смеси цемента с антимикробным препаратом и обладает антимикробным эффектом. Соответственно, кроме опорно-двигательной функции изготовленный спейсер выполняет роль депо с постепенным высвобождением антимикробного препарата. Изготовленный спейсер вводят в канал бедренной кости. Головку спейсера вправляют в вертлужную впадину. Рану ушивают послойно. Дозированную ходьбу разрешают через 2–4 дня после операции.

Для исследования эффективности метода использовали результаты динамической оценки выраженности болевого синдрома по шкале ВАШ, функционального состояния поражённого сустава с помощью шкал HSS ( англ .: Harris Hip Score), WOMAC ( англ .: Western Ontario and McMaster Universities osteoarthritis Index) и лучевые данные пациентов в раннем послеоперационном периоде и через 12 мес. наблюдения.

Первый клинический случай

У пациента Ш. 42 лет с левосторонним кокситом инфекционистами установлен сопутствующий диагноз: ВИЧ-инфекция 3 ст., субклиническая на фоне приема антиретровирусных препаратов (АРТ), выявленная в 2021 г., путь заражения со слов пациента — половой. В анамнезе: операция по поводу варикоцеле слева в 1994 г.

Боли в тазобедренном суставе — с ноября 2021 г. В июле 2022 г. получил курс внутрисуставных инъекций препаратов гиалуроной кислоты с непродолжительным положительным эффектом. С декабря 2022 г.

боль резко усилилась, стал передвигаться при помощи костылей. Антибактериальную терапию на амбулаторном этапе не получал.

Поступил в НМИЦ ФПИ с жалобами на боль в левом тазобедренном суставе, передвигался при помощи костылей. Функциональные показатели сустава по шкале HHS — 35, по шкале WOMAC — 79, выраженность болевого синдрома по шкале ВАШ — 7 баллов. На КТ левого тазобедренного сустава определена деструкция верхнего фрагмента головки левой бедренной кости без признаков контактной деструкции вертлужной впадины, сужение суставной щели (рис. 1). Иммунологические исследования: CD-4 = 551 кл/мкл, ВН в крови < 20 копий/мл. Лабораторные исследования: отклонение от референсных значений: СОЭ — 36 мм в час, лейкоциты — 2,41×109, С-реактивный белок — 4,5 мг/л.

07.03.2023 под лучевым контролем выполнена трепанобиопсия области очага костной деструкции в головке бедренной кости. Микробиологическое исследование биоматериала: получена культура Acinetobacter baumanii (чувствительность к гентамицину), Staphylococcus capitis (чувствительный ко всему спектру антибиотиков). Патогистологическое заключение: признаки хронического неспецифического коксита. Пациенту установлен диагноз: неспецифический коксит слева, ассоциированный с ВИЧ-инфекцией.

Рис. 1. Компьютерная томография левого тазобедренного сустава пациента Ш. при поступлении

Перед оперативным лечением по назначению клинического фармаколога проведен курс комбинированной антибактериальной терапии: меропенем 2000 мг 3 раза в сут. в/в, амикацин 1000 мг 1 раз в сут. в/в в течение 15 дней. 27.03.2023 проведена резекция головки левой бедренной кости, установка артикулирующего двухслойного спейсера с гентамицином (4 г) (рис. 2). ПЦР операционного материала от 28.03.2023: ДНК микробактерии туберкулеза (МБТ) не обнаружена. Послеоперационный период протекал без осложнений.

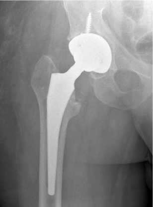
При повторной госпитализации через семь месяцев в НМИЦ ФПИ выполнена трехкратная пункция пери-имплантного пространства левого тазобедренного сустава. Роста микроорганизмов не выявлено. Перед вторым этапом эндопротезирования функциональные показатели сустава по шкале HHS — 64, по шкале WOMAC — 32, выраженность болевого синдрома по шкале ВАШ — 2 балла. 17.11.2023 произведен второй этап эндопротезирования в объеме удаления артикулирующего спейсера, тотального бесцементного эндопротезирования левого тазобедренного сустава Beijing Montagne Medical device / Zimmer (рис. 3).

Рис. 3. Рентгенограмма левого тазобедренного сустава пациента Ш. в первые сутки после операции тотального бесцементного эндопротезирования левого тазобедренного сустава Beijing Montagne Medical device / Zimmer

Рис. 2. Рентгенограмма левого тазобедренного сустава пациента Ш. в первые сутки после операции по установке артикулирующего цементного спейсера с двухслойной головкой. Наружная цементная мантия содержит 4 г гентамицина

Второй клинический случай

Пациент К. 47 лет с правосторонним кокситом в анамнезе на догоспитальном этапе перенес двухсторонний эксудативный плеврит, туберкулёзный спондилит Th8–Th10. Заключение инфекциониста: ВИЧ 4В, фаза ремиссии на фоне АРТ. Хронический гепатит С вне биохимической активности. ВИЧ выявлен в 2020 г. Путь заражения — половой. АРТ с 2020 г. по схеме: тенфовир, ламивудин, долутегра-вир. При поступлении заключение фтизиатра: клиническое излечение двухстороннего экссудативного плеврита, туберкулёзного спондилита Th8–Th10. В 2021 г. проведено лечение по режиму 3 противотуберкулезной химиотерапии, получено 324 дозы.

Со слов пациента, считает себя больным с июня 2022 г., когда возникла боль и припухлость в области правого тазобедренного сустава. В стационаре по месту жительства в течение трех недель получал антибактериальную терапию линкомицином с временным положительным эффектом. В августе 2022 г. начал ходить с дополнительной опорой на костыли с дозированной нагрузкой на правую нижнюю конечность. На фоне нагрузки боль снова усилилась, повторно в течение двух недель проводили курс антибактериальной терапии (линкомицин) с положительным эффектом.

Пациент поступил в клинику НМИЦ ФПИ с жалобами на боль и резкое ограничение движений в правом тазобедренном суставе. Функциональные показатели сустава по шкале HHS — 25, по шкале WOMAC — 84, выраженность болевого синдрома по шкале ВАШ — 6 баллов.

На рентгенограмме правого тазобедренного сустава визуализировали контактную деструкцию суставных концов, сужение суставной щели (рис. 4).

Под лучевым контролем выполнена трепанационная биопсия головки правой бедренной кости.

Исследование биологического материала: ДНК МБТ не обнаружена. При определении РНК вируса иммунодефицита человека методом ПЦР-РВ (HIV) в биоптате обнаружено 6,7×104 коп/мл. Микроскопия операционного материала: отрицательно. Микробиологическое исследование операционного материала: роста микроорганизмов не выявлено. Гистологическое исследование: признаки неспецифического коксита. Иммунологическое исследование крови: СД4 — 19 % — 654 кл/мкл, РНК ВИЧ — 120 коп/мл. Учитывая данные анамнеза и гистологического исследования, установлен диагноз: правосторонний неспецифический коксит.

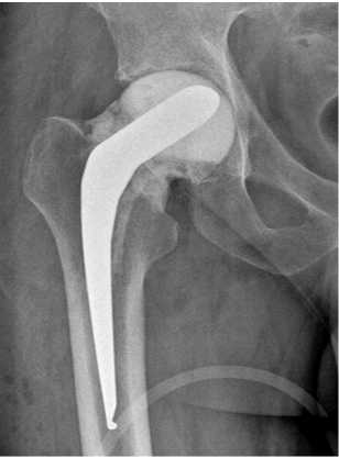
07.03.23 произведена операция в объеме резекции головки бедренной кости, установки артикулирующего спейсера из костного цемента с клиндамицином (4,5 г) (рис. 5). Выбор клиндомицина обусловлен близким к линкомицину механизмом действия и антимикробным спектром (в анамнестических данных пациента есть указания на положительный эффект применения линкомицина), а также высокой элюционной способностью препарата [25]. Микробиологическое исследование тканей, взятых интраоперационно, возбудителя не выявило.

Рис. 4. Рентгенография правого тазобедренного сустава пациента К. при поступлении

Рис. 5. Рентгенограмма правого тазобедренного сустава пациента К. в первые сутки после операции установки артикулирующего цементного спейсера с двухслойной головкой. Наружная цементная мантия содержит 4 г клиндамицина

Послеоперационных осложнений не отмечено, больной приступил к ходьбе с дополнительной опорой на вторые сутки после операции. Выписан под наблюдение травматолога-ортопеда и инфекциониста.

Повторно госпитализирован через шесть месяцев. Местный статус: укорочения правой нижней конечности нет. Послеоперационный рубец — без признаков воспаления. Функциональные показатели сустава по шкале HHS — 77, по шкале WOMAC — 24, выраженность болевого синдрома по шкале ВАШ — 2 балла. При пальпации обнаружена незначительная локальная болезненность в проекции правого тазобедренного сустава (2 балла по шкале ВАШ). Рентгенограмма представлена на рис. 6.

Выполнена пункция периимплантного пространства из трех точек. При микробиологическом исследовании операционного материала роста микрофлоры не выявлено.

10.10.2023 произведена операция в объеме: удаление артикулирующего спейсера, тотальное бесце-ментное эндопротезирование правого тазобедренного сустава эндопротезом «ЭСИ» (рис. 7).

Рис. 6. Рентгенограмма правого тазобедренного сустава пациента К. через 6 мес. после операции установки артикулирующего цементного спейсера с двухслойной головкой

Рис. 7. Рентгенограмма правого тазобедренного сустава пациента К. в первые сутки после операции тотального бесцементного эндопротезирования правого тазобедренного сустава эндопротезом «ЭСИ»

Послеоперационный период — без осложнений, приступил к ходьбе с дополнительной опорой через сутки после операции.

ПОСЛЕДУЮЩЕЕ НАБЛЮДЕНИЕ И РЕЗУЛЬТАТЫ

Первый клинический случай

Через 12 мес. после второго этапа эндопротезирования в объеме удаления артикулирующего спейсера, тотального бесцементного эндопротезирования левого тазобедренного сустава Beijing Montagne Medical device / Zimmer функциональные показатели сустава пациента по шкале HHS — 89, по шкале WOMAC — 14, выраженность болевого синдрома по шкале ВАШ — 1 балл. Рентгенограмма представлена на рис. 8.

Второй клинический случай

Через 12 мес. после операции тотального бесцементного эндопротезирования правого тазобедренного сустава эндопротезом "ЭСИ" функциональные показатели сустава по шкале HHS — 91, по шкале WOMAC — 11, выраженность болевого синдрома по шкале ВАШ — 0 баллов. Рентгенограмма представлена на рис. 9.

Рис. 8. Рентгенограмма левого тазобедренного сустава пациента Ш. через 12 мес. после операции тотального эндопротезирования левого тазобедренного сустава

Рис. 9. Рентгенограмма правого тазобедренного сустава пациента К. через 12 мес. после операции тотального эндопротезирования левого тазобедренного сустава

ОБСУЖДЕНИЕ

В литературе не приводятся результаты лечения больных инфекционным кокситом, ассоциированным с ВИЧ-инфекцией. Отдельные авторы публикуют данные о примерно одинаковой частоте неудовлетворительных результатов у пациентов с нормальным и сниженным иммунодефицитом при эндопротезировании дегенеративных заболеваний суставов [25]. Другие авторы отмечают значительное снижение эффективности двухэтапного лечения, даже с применением антибактериального спейсера, при наличии имплантат-ас-социированной инфекции [26]. Первичные гнойные артриты на фоне ВИЧ-инфекции представляют крайне сложную клиническую группу. Наш опыт клинических наблюдений этой когорты пациентов показывает высокую частоту неудовлетворительных результатов, выражающихся в реактивации инфекции.

Техническим результатом применения разработанной технологии является возможность создания длительной высокой локальной концентрации используемых антимикробных препаратов, добавляемых к костному цементу, что повышает эффективность лечения [27, 28, 29, 30] и позволяет сохранить прочностные характеристики спейсера. Известные модели спейсеров обладают удовлетворительными механическими характеристиками, однако не позволяют создать необходимую ингибирующую антимикробную концентрацию при использовании препаратов, влияющих на прочностные функции костного цемента, таких как рифампицин.

Предложенная нами конструкция спейсера изначально создана для применения в хирургии туберкулезного коксита, являющегося частым сопутствующим заболеванием у больных ВИЧ-инфекцией. Данная конструкция показала свою эффективность и у пациентов с неспецифическими процессами. Значительное повышение функционального состояния оперированного сустава отмечено уже после выполнения первого этапа оперативного лечения. При контрольных обследованиях через 12 мес. пациенты выражают удовлетворение результатами лечения. На наш взгляд, разработанная оригинальная конструкция может стать эффективной альтернативой традиционным методам лечения.

ЗАКЛЮЧЕНИЕ

Применение оригинальной конструкции антимикробного двухслойного артикулирующего спейсера в оперативном лечении двух пациентов с инфекционным неспецифическим кокситом привело к эра-дикации инфекции, уменьшению болевого синдрома, восстановлению функциональности тазобедренного сустава.