Морфологические изменения в зоне стриктуры лоханочно-мочеточникового сегмента в различные сроки стентирования мочеточника

Автор: Панферов А.С., Бекреев Е.А., Малхасян В.А., Буданов В.Г.

Журнал: Экспериментальная и клиническая урология @ecuro

Рубрика: Общая урология

Статья в выпуске: 4 т.18, 2025 года.

Бесплатный доступ

Введение. Для облегчения этапа формирования уретеропиелоанастомоза рядом авторов рекомендовано предстентирование верхних мочевых путей. Цель. Оценить морфологические изменения мочеточника, возникающие в ответ на установку мочеточникового стента у пациентов со стриктурой лоханочно-мочеточникового сегмента при различных сроках предстентирования. Материалы и методы. Проведено гистологическое исследование резецированных фрагментов 73 мочеточников у пациентов с врожденным стенозом лоханочно-мочеточникового сегмента, после расчленяющей лапароскопической пиелопластики. Сформированы 3 группы в зависимости от наличия предоперационного стента и срока предстентирования мочеточника. Результаты. В группе пациентов без стентирования при гистологическом исследовании зоны стриктуры выявлена гипотрофия мышечной оболочки с дезорганизацией мышечных слоев, фиброз. Вне зоны стеноза мочеточника – нормальная морфологическая картина. В группах предстентирования отмечено утолщение стенки мочеточника, преимущественно за счет гипертрофии мышечного слоя, выявлены признаки воспаления в виде полиморфноклеточной инфильтрации и отека всех слоев мочеточника. При стентировании более 7 дней выявлены признаки продуктивного воспаления и развитие вторичного фиброза. Заключение. Результаты исследования демонстрируют возможность рассматривать предстентирование, как вспомогательный инструмент для подготовки мочевых путей перед лапароскопической пиелопластикой, который за счет морфологических изменений приводящих к изменениям его растяжимости и угнетения перистальтики может иметь потенциально благоприятный эффект на результаты пиелопластики в виду более оптимальных условий для сращения концов анастомоза.

Еще

Стриктура лоханочно-мочеточникового сегмента, лапароскопическая пиелопластика, предстентирование

Короткий адрес: https://sciup.org/142246980

IDR: 142246980   |   DOI: 10.29188/2222-8543-2025-18-4-82-89

Morphological changes in the stricture zone of the pelvic-ureteral segment at different times of ureteral stenting

Introduction. To facilitate the stage of formation of ureteropyeloanastomosis, a number of authors have recommended preliminary ureteral stent placement. Objective. To evaluate morphological changes of the ureter that occur in response to the installation of a ureteral stent in patients with stricture of the pelvic-ureteral segment in various duration of preliminary ureteral stent placement. Materials and methods. Histological examination of resected fragments of 73 ureters was performed in patients with congenital stenosis of the pelvic-ureteral segment after dissecting laparoscopic pyeloplasty. 3 groups were formed depending on the presence of a preoperative stent and the duration of prestenting of the ureter. Results. In the group of patients without stenting, histological examination of the stricture zone revealed hypotrophy of the muscular membrane, with disorganization of the muscle layers, fibrosis. There is a normal morphological pattern outside the ureteral stenosis zone. In the pre-stenting groups, thickening of the ureteral wall was noted, mainly due to hypertrophy of the muscular layer, signs of inflammation in the form of polymorphocellular infiltration and edema of all layers of the ureter were revealed. Stenting for more than 7 days revealed signs of productive inflammation – the development of secondary fibrosis. Conclusion. The results of the study demonstrate the possibility of considering pre-stenting as an auxiliary tool for preparing the urinary tract before laparoscopic pyeloplasty, which, due to morphological changes leading to changes in its extensibility and inhibition of peristalsis, may have a potentially beneficial effect on the results of pyeloplasty due to more optimal conditions for the fusion of the anastomosis.

Еще

Текст научной статьи Морфологические изменения в зоне стриктуры лоханочно-мочеточникового сегмента в различные сроки стентирования мочеточника

экспериментальная и клиническая урология № 4 2025

Аномалии развития почек и мочевыводящих путей являются частой врожденной патологией, при этом антенатальный гидронефроз диагностируется с частотой 1–5% всех беременностей [1]. Так как данные аномалии при отсутствии должного внимания могут приводить к снижению функции почек, что в конечном итоге обуславливает важные медицинские, социальные и экономические аспекты, они выделены в отдельную группу – CAKUT (Congenital Anomalies of the Kidney and Urinary Tract). При этом они могут быть как изолированными, так и иметь проявления в синдромах c по-лиорганными поражениями [2].

Стеноз лоханочно-мочеточникового сегмента является причиной антенатального гидронефроза в 5– 64% и диагностируется у 0,3–0,5% всех новорожденных [3, 4].

Частота стенозов лоханочно-мочеточникового сегмента во взрослой популяции достоверно неизвестна, большая часть таких пациентов подвергаются хирургическому лечению в детском возрасте,тем не менее лица с данной патологией часто попадают в поле зрение врачей взрослой практики [5].

Проявлениями стриктуры лоханочно-мочеточникового сегмента у взрослых могут быть: острая боль в поясничной области (усиливающаяся при повышенной водной нагрузке или приеме диуретиков), гематурия, рецидивирующая инфекция верхних мочевых путей, редко – ренальная гипертензия. Часть пациентов имеют бессимптомное течение,гидронефроз в таком случае является случайной находкой при обследовании по поводу сопутствующих заболеваний [6].

Внутренними причинами сужения в области лоханочно-мочеточникового перехода являются стеноз или высокое отхождение мочеточника от лоханки вследствие нарушения слияния лоханки и мочеточника в период эмбриогенеза, уротелиальный клапан, фибро- эпителиальный полип. Внешние причины: пиелова-зальный конфликт, фиксированный перегиб, спайки в области лоханочно-мочеточникового сегмента [7-9].

Нарушения уродинамики развивающееся на фоне стеноза области лоахночно-мочеточникового соединения к настоящему времени недостаточно изучены, несмотря на значительные достижения в понимании этиологии, патанатомии, патофизиологии данного состояния [10].

В норме стенка мочеточника представлена четырьмя оболочками: слизистая, подслизистая, мышечная и наружная (адвентиция). Мышечная оболочка в области лоханочно-мочеточникового сегмента представлена двумя разнонаправленными слоями [11, 12].

Микроскопические изменения при стенозе лоханочно-мочеточникового сегмента могут быть представлены перифасцикулярным фиброзом различной степени выраженности, гипотрофией и пространственной реорганизацией мышечной оболочки с нарушением соотношения гладкомышечных и нервных клеток, все это проявляется не только анатомическими, но и функциональными нарушениями [13, 14].

Лапароскопическая пиелопластика на сегодняшний день является «золотым» стандартом лечения данной патологии. В случае «клинически узкого» мочеточника, с целью облегчения формирования уретеро-пиелоанастомоза, улучшения результатов и снижения частоты осложнений. Ряд авторов, рекомендуют пред-стентирование верхних мочевых путей [15, 16].

При этом в литературе встречаются единичные работы описывающие морфологические изменения мочеточника в ответ на установку стента.Это экспериментальные работы на животных моделях,демон-стрирующие следующие изменения: дилатация мочеточника, гипертрофия мышечной оболочки, воспалительный отек и инфильтрация стенки мочеточника. Указанные изменения тем более выражены, чем больше срок стентирования. В случае длительного стентирования воспаление становится продуктивным с развитием вторичного фиброза в стенке органа [1719]. При этом описаний изменений в зоне стриктуры лоханочно-мочеточникового сегмента на фоне стентирования мочеточника в литературе нет.

Понимание этих изменений должно позволить более обосновано определить роль мочеточникового стента при выполнении лапароскопической пиелопластики.

Цель: оценить морфологические изменения мочеточника, возникающие в ответ на установку мочеточникового стента у пациентов со стриктурой лоханочно-мочеточникового сегмента, в различные сроки.

МАТЕРИАЛЫ И МЕТОДЫ

Проведено гистологическое исследование резецированных фрагментов 73 мочеточников у пациентов с врожденным стенозом лоханочно-мочеточникового сегмента, которым выполнена расчленяющая лапароскопическая пиелопластика по Hainz-Anderson. Возраст пациентов колебался от 18 до 73 лет.

Все полученные фрагменты были разделены на 3 группы в зависимости от наличия мочеточникового стента и срока предстентирования: группа 1 – 56 пациентов – без предстентирования; группа 2 – 6 пациентов, которым перед оперативным лечением установлен мочеточниковый стент сроком на 7 дней; группа 3 – 11 пациентов, которым перед оперативным лечением установлен мочеточниковый стент сроком на 14 дней.

Операционный материал (лоханочно-мочеточниковый сегмент), полученный во время операции, фиксировали в 10% водном растворе формалина, после чего заготавливались парафиновые блоки, с последующей нарезкой срезов и окраской по стандартной методике – гематоксилином и эозином. В дальнейшем осуществлялась световая микроскопия с использова- нием микроскопа Nikon Eclipse E200 с увеличением х200. Проводилась морфологическая оценка зоны стеноза и прилежащих к данной зоне тканей мочеточника и лоханки, оценка ответа мочеточника на установку стента и выраженность этих изменений в зависимости от длительности предстентирования, морфометрия стенки мочеточника и мышечного слоя.

Статистическую обработку полученных данных проводили с использованием табличного редактора Microsoft Excel 2019. В качестве средних величин при описании переменных указывали медиану с 0,25 и 0,75 процентилями.

Проводилось сравнение:

  • •    Толщины мочеточника (мм) и толщины мышечного слоя (мкм) по группирующей переменной – не-стентированный мочеточник: зона стеноза – зона вне стеноза. Для анализа применен непараметрический статистический Mann-Whitney U test.

  • •    Толщины мочеточника (мм) и толщины мышечного слоя (мкм) по группирующей переменной – «зона стеноза»: без стента – предстентирование 7 дней – пред-стентирование 14 дней.Для анализа применен непараметрический статистический Kruskal–W allis H test.

  • •    Толщины мочеточника (мм) и толщины мышечного слоя (мкм) по группирующей переменной – «вне зоны стеноза»: без стента – предстентирование 7 дней – предстентирование 14 дней. Для анализа применен непараметрический статистический Kruskal– Wallis H test.

Различия считали статистически значимыми при показателе р <0,05.

РЕЗУЛЬТАТЫ

Полученные морфологические изменения отражены в таблице 1.

Таблица 1. Морфологические изменения мочеточников при разных сроках предстентирования Table 1. Morphological changes of the ureters at different periods of pre-stenting

Группа 1 / Group 1

Группа 2 / Group 2

Группа 3 / Group 3

Область стеноза Stenosis zone

Гипо- (а-)трофия мышечного слоя, дезорганизация мышечных слоев; фиброз, внутренний просвет в виде «правильной окружности».

Hypo- (a-)trophy of the muscular layer, disorganization of the muscular layers;

fibrosis, internal lumen in the form of a «perfect circle».

Утолщение стенки мочеточника; гипертрофия мышечной оболочки начальные признаки воспаления; отек межуточной ткани;

артериальная гиперемия; «клеточные пустоты» мышечной оболочки. Thickening of the ureteral wall;

hypertrophy of the muscular layer; initial signs of inflammation; edema of the interstitial

tissue; arterial hyperemia; «cellular voids» of the muscular layer.

Более выраженное утолщение стенки мочеточника;

выраженные признаки воспаления; полиморфноклеточная инфильтрация; развитие вторичного фиброза; атрофия, изъязвления слизистой;

более выражена гипертрофия мышечного слоя; тромбозы в сосудах всех оболочек;

(различия в толщине стенки и мышечной оболочки, в зоне стеноза и вне зоны стеноза, менее выражены).

More pronounced thickening of the ureter wall; pronounced signs of inflammation; polymorphocellular infiltration; development of secondary fibrosis; atrophy, ulceration of the mucous membrane.

hypertrophy of the muscular layer is more pronounced; thrombosis in the vessels of all membranes;

(differences in the thickness of the wall and muscle membrane, in the stenosis zone and outside the stenosis zone, are less pronounced).

Вне зоны стеноза Outside the stenosis zone

Нормальная морфологическая картина, «неправильный» звездчатый просвет. Normal morphological picture, «irregular» stellate lumen.

Утолщение стенки мочеточника; гипертрофия мышечной оболочки начальные признаки воспаления; отек межуточной ткани; артериальная гиперемия; Thickening of the ureteral wall; hypertrophy of the muscular membrane; initial signs of inflammation; swelling of the interstitial tissue; arterial hyperemia.

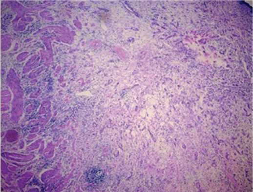
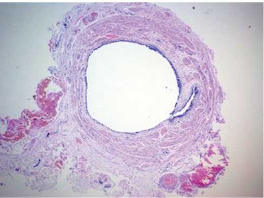
В группе пациентов без стентирования при гистологическом исследовании зоны стриктуры выявлены следующие изменения: гипотрофия (в части препаратов – атрофия) мышечного слоя, при этом отмечена дезорганизация мышечных слоев с нарушением ориентации миоцитов,также прослеживались элементы фиброза в подслизистой оболочке и между мышечными клетками,на срезе сегмент имеет зияющий внутренний просвет в виде «правильной окружности» (рис. 1). В прилежащих отделах мочеточника

Рис. 1. Лоханочно-мочеточниковый сегмент («зона стеноза»), окраска гематоксилином и эозином; х 200

Fig. 1. Pelvic-ureteral segment («stenosis zone»), H&E; x 200

69,48 (табл. 2). Полученные различия оказались статистически значимыми (табл. 3; рис. 3, рис. 4).

Outside the stenosis zone

Зона стеноза Stenosis zone

Рис. 3. Tолщинa стенки мочеточника в «зоне стеноза» и «вне зоны стеноза» Fig. 3. Thickness of the ureter wall in the «stenosis zone» and «outside the stenosis zone»

Outside the stenosis zone

Stenosis zone

Рис. 4. Tолщинa мышечного слоя в зоне стеноза и вне зоны стеноза

Fig. 4. Thickness of the muscle layer in the stenosis zone and outside the stenosis zone

В группе предстентирования сроком 7 дней тол- щина стенки мочеточника, как в зоне стеноза, значимо

(вне зоны стеноза) нормальная морфологическая картина с организованной мышечной оболочкой,с «неправильным звездчатым» просветом (рис. 2). При

Рис. 2. Срез мочеточника («вне зоны стеноза»), окраска гематоксилином и эозином; увеличение х 200

Fig. 2. Ureter section («outside the stenosis zone»), H&E; x 200

этом отмечены меньшие размеры всей стенки мочеточника (0,42 ± 0,03 мм) и мышечной оболочки (206,52 ± 26,72 мкм) в зоне стриктуры по сравнению с неизмененным отделом мочеточника, толщина стенки мм/мышечной оболочки, мкм – 0,6 ± 0,07 / 420,57 ± отличалась в сторону увеличения органа, со средними значениями – 1,33 ± 0,08 мм, так и в непораженных отделах мочеточника – 1,35 ± 0,08 мм. Указанные изменения отмечены преимущественно за счет мышечной оболочки, где определялась гипертрофия, слабовыра-женные явления воспаления с развитием отека межуточной ткани всех оболочек, также определялась артериальная гиперемия с увеличением количества и наполнения кровеносных сосудов (рис. 5).

Рис. 5. Срез мочеточника «вне зоны стеноза» (предстентирование 7 дней); окраска гематоксилином и эозином; увеличение х 200

Fig. 5. Section of the ureter «outside the stenosis zone» (prestenting for 7 days);

H&E; x 200

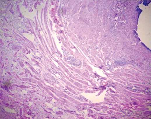
В зоне стеноза, предположительно, за счет исходно нарушенной организации мышечной оболочки,от-мечено появление выраженных «клеточных пустот» (рис. 6).

Рис. 6. Лоханочно-мочеточниковый сегмент («зона стеноза», предстентирова-ние 7 дней); окраска гематоксилином и эозином; увеличение х 200

Fig. 6. Pelvic-ureteral segment («stenosis zone», prestenting for 7 days); H&E; x 200

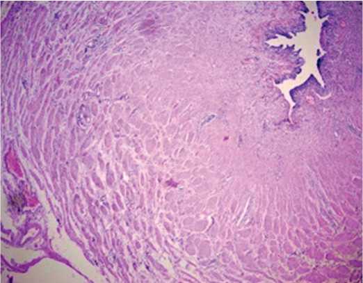
Рис. 7. Лоханочно-мочеточниковый сегмент «зона стеноза» (14 дней предстен-тирования); окраска гематоксилином и эозином; увеличение х 200

Fig. 7. Pelvic-ureteral segment «stenosis zone» (14 days of prestenting); hemaH&E; x 200

В группе предстентирования 14 суток более выражены явления воспаления с полиморфноклеточной инфильтрацией всех слоев мочеточника с начальными явлениями вторичного фиброза, атрофия, локальное изъязвление слизистой оболочки.Толщина стенки мочеточника составила – 1,68 ± 0,03 мм в зоне стеноза и 1,77 ± 0,07 мм вне зоны стеноза, в сравнении с данными, полученными в группе 2, более выражена гипертрофия мышечного слоя,отмечено нарушение трофики тканей за счет формирования тромбов в сосудах всех оболочек (рис. 7, рис. 8).

Рис. 8. Срез мочеточника «вне зоны стеноза» (14 дней предстентирования); окраска гематоксилином и эозином; увеличение х 200

Fig. 8. Section of the ureter «outside the stenosis zone» (14 days of prestenting); H&E; x 200

Таблица 2. Данные морфометрии стенки мочеточника в зависимости от сроков предстентирования Table 2. Data on ureteral wall morphometry depending of the timing of pre-stenting

Показатель / Characteristic

Группа 1

Group 1

Группа 2 Group 2

Группа 3 Group 3

Толщина стенки мочеточника, мм Thickness of the ureter wall, mm

Зона стриктуры Stenosis

0,42±0,03

1,33±0,08

1,68±0,03

Вне зоны стеноза

Оutside the stenosis zone

0,6±0,07

1,35±0,08

1,77±0,07

Толщина мышечного слоя, мкм Thickness of the muscle layer, microns

Зона стриктуры Stenosis

206,52±26,72

610,83±16,31

1089,64±89,43

Вне зоны стеноза

Оutside the stenosis zone

420,57±69,48

753,83±72,27

1121,18±94,91

Таблица 3. Сравнение толщины стенки мочеточника и мышечной оболочки в «зоне стеноза» и «вне зоны стеноза» Table 3. Comparison of the thickness of the ureter wall and the muscular membrane in the «stenosis zone» and «outside the stenosis zone»

Показатель / Characteristic

Зона стриктуры, Ме [LQ; UQ] (N=56) Stenosis

Вне зоны стеноза, Ме [LQ; UQ] (N=56) Оutside the stenosis zone

р

Толщина стенки мочеточника, мм Thickness of the ureter wall, mm

0,43 [0,41; 0,43]

0,61 [0,53; 0,65]

<0,0001

Толщина мышечного слоя, мкм Thickness of the muscle layer, microns

201,00 [195,75; 215,00]

408,50 [399,00; 463,50]

<0,0001

Примечание: Ме – медиана; LQ – 25% перцентиль; UQ – 75% перцентиль Notes: Me – median; LQ – 25% percentile; UQ – 75% percentile никового сегмен экспериментальная и клиническая урология № 4 2025

При сравнении результатов толщины стенки мочеточника и толщины мышечной оболочки «зоны стеноза» в трех группах, отмечены статистически значимые различия. (табл. 4, рис. 9, рис. 10).

Также отмечены статистически значимые различия при сравнении толщины стенки и толщины мышечной оболочки мочеточника вне зоны стеноза в исследуемых группах. (табл. 5, рис. 11, рис. 12).

Stenting 7 days

Stenting 14 days

Рис. 9. Tолщинa стенки мочеточника в зоне стеноза в различные сроки пред-стентирования

Fig. 9. Thickness of the ureter wall in the area of stenosis at different times of prestenting

Stenting 7 days

Stenting 14 days

Рис. 10. Tолщинa мышечной оболочки мочеточника в зоне стеноза в различные сроки предстентирования

Fig. 10. Thickness of the ureteral muscle membrane in the area of stenosis at different times of prestenting

Таблица 4. Сравнение толщины стенки мочеточника в «зонe стеноза» в различные сроки предстентирования Table 4. Comparison of the ureteral wall thickness in «stenosis zone» in different times of pre-stenting

Показатель / Characteristic

Без стента Native Ме [LQ; UQ] (N=56)

Стентирование 7 дней Stenting 7 days Ме [LQ; UQ] (N=6)

Стентирование 14 дней Stenting 14 days Ме [LQ; UQ] (N=11)

p value (df=2)

p value (без стента – 7 дней) p value (Native – Stenting 7 days)

p value (без стента – 14 дней) p value (Native – Stenting 14 days)

p value (7- 14 дней) p value (7-14 days)

Толщина стенки мочеточника, мм Thickness of the ureter wall, mm

0,43 [0,41; 0,43]

1,32 [1,29; 1,37]

1,65 [1,62; 1,75]

<0,0001

0,003

<0,0001

0,732

Толщина мышечного слоя, мкм Thickness of the muscle layer, microns

201,00 [195,75; 215,00]

610,50 [605,50;

619,25]

1 115,00 [1 012,50; 1 146,00]

<0,0001

0,003

<0,0001

0,732

Примечание: Ме – медиана; LQ – 25% перцентиль; UQ – 75% перцентиль

Notes: Me – median; LQ – 25% percentile; UQ – 75% percentile

Таблица 5. Сравнение зоны толщины стенки мочеточника «вне стеноза» в различные сроки предстентирования Table 5. Comparison of the ureteral wall thickness in of the «non-stenosis» zone in different times of pre-stenting

Показатель / Characteristic

Без стента Native Ме [LQ; UQ] (N=56)

Стентирование 7 дней Stenting 7 days Ме [LQ; UQ] (N=6)

Стентирование 14 дней Stenting 14 days Ме [LQ; UQ] (N=11)

p value (df=2)

p value (без стента – 7 дней) p value (Native – Stenting 7 days)

p value (без стента – 14 дней) p value (Native – Stenting 14 days)

p value (7- 14 дней) p value (7-14 days)

Толщина стенки мочеточника, мм Thickness of the ureter wall, mm

0,61 [0,53; 0,65]

1,36 [1,30; 1,41]

1,76 [1,73; 1,82]

<0,0001

0,003

<0,0001

0,732

Толщина мышечного слоя, мкм

Thickness of the muscle layer, microns

408,50 [399,00;

463,50]

770,00 [717,25; 810,00]

1 136,00 [1 041,00;

1 205,50]

<0,0001

0,003

<0,0001

0,732

Примечание: Ме – медиана; LQ – 25% перцентиль; UQ – 75% перцентиль Notes: Me – median; LQ – 25% percentile; UQ – 75% percentile

Стентирование 7 дней Стентирование 14 дней

Stenting 7 days

Stenting 14 days

g ф 1 100 -

Рис. 11. Сравнение толщины стенки мочеточника вне «зоны стеноза» в различные сроки предстентирования

Fig. 11. Comparison of the thickness of the ureter wall outside the «stenosis zone» at different times of prestenting

| ^ 850 -

ф

Без стента Стентирование 7 дней Стентирование 14 дней Native              Stenting 7 days Stenting 14 days

Рис. 12. Толщина мышечной оболочки мочеточника вне «зоны стеноза» в различные сроки предстентирования

Fig. 12. Тhickness of the ureteral muscle membrane outside the «stenosis zone» at different times of prestenting

ОБСУЖДЕНИЕ

Продвижение мочи по мочеточнику обеспечивается за счет перистальтики в следствии адекватного сокращения миоцитов мышечного слоя. Расстройства уродинамики верхних мочевых путей при стенозах лоханочно-мочеточникового сегмента возникают не только в следствии сужения просвета сегмента, но и в следствии,как структурных изменений в мышечной оболочке, в виде уменьшения количества или отсутствия гладкомышечных клеток, и организационных в виде нарушения соотношения клеток между продольным и поперечным мышечными слоями [10, 13, 18]. В нашем исследовании, при микроскопической оценке срезов мочеточника отмечена меньшая толщина стенки в «зоне стеноза» преимущественно за счет гипотрофии мышечной оболочки, при сравнении со здоровым отделом мочеточника, при этом разница полученных измерений являлась статистически значимой.

При морфологической оценке стентированных мочеточников отмечается гипертрофия мышечного слоя, а также отек и полиморфноклеточная инфильтрация всех слоев мочеточника, предположительно, в результате асептического воспаления в ответ на внутрипросветное инородное тело, что выражается в изменении толщины стенки мочеточника, зафиксированного в нашем исследовании. Согласно полученным нами результатам, выраженность воспалительного ответа зависит от срока стентирования, при сравнении препаратов полученных после 7 и 14 дней предстенти- рования, в последних отмечены более выраженная полиморфноклеточная инфильтрация, отек межуточной ткани, начальные признаки развития вторичного фиброза. Схожие результаты были получены A. Reicherz и соавт., которыми в исследовании на экспериментальных животных, была продемонстрирована реакция мочеточников в виде воспаления при 14-дневном стентировании с активацией фибробластов и избыточным отложением коллагена. Примечательно, что явления воспаления спустя 14 дней стентирования также отмечались и в контрлатеральном не стентированном мочеточнике [18, 19].

В стентированном мочеточнике происходят структурные изменения – увеличивается как внешний, так и внутренний диаметр органа, а также, в большинстве случаев, снижается его перистальтическая активность, вплоть до аперистальтики. При этом отмечается повышение эластичности мочеточника [20, 21].

Выявленные изменения мочеточника, возникающие в ответ на установку стента, вероятно, являются следствием асептического воспаления. Чем дольше стентирован мочеточник, тем более выраженные проявления воспалительной реакции наблюдаются в его стенке. Данные изменения могут обуславливать повышение эластичности и растяжимости мочеточника, что может играть благоприятную роль, для уменьшения натяжения в зоне анастомоза при лапароскопической пиелопластике. А угнетение перистальтики в свою очередь, наряду с вкладом в увеличение растяжимости мочеточника может оказывать защитное влияние на сформированный уретеропиелоанастомоз за счет отсутствия сокращений, заживление которого происходит в условиях относительной иммобилизации.

ЗАКЛЮЧЕНИЕ

Результаты нашего исследования демонстрируют возможность рассматривать предстентирование, как вспомогательный инструмент для подготовки мочевых путей перед лапароскопической пиелопластикой, который за счет морфологических изменений приводящих к повышению его растяжимости и угнетению перистальтики может иметь потенциально благоприятный эффект на результаты пиелопластики в виду создания оптимальных условий для сращения концов анастомоза в условиях отсутствия перистальтики и меньшего натяжения тканей в зоне заживления хирургической раны мочеточника.

Тем не менее следует принимать во внимание, временной фактор нахождения стента в мочеточнике. Пред-стентирование сроком более 7 дней, потенциально может оказывать негативное влияние на результаты лапароскопической пиелопластики, ввиду повышения количества клеток инициаторов пролиферации и продуктов вторичного фиброза в стенке мочеточника.

ПТШТУРАШШПШ

0001 8258 3454

Вклад авторов:

Панферов А.С. – концепция исследования, разработка дизайна исследования, 30% Бекреев Е.А. – разработка дизайна исследования, обзор литературы, сбор данных, анализ данных, статистическая обработка данных, написание текста рукописи, 30% Малхасян В.А. – критический обзор, научное редактирование, научное руководство, 30% Буданов В.Г. – работа с биологическим материалом, 10%

Конфликт интересов: Авторы заявляют об отсутствии конфликта интересов.

Финансирование: Статья подготовлена без финансовой поддержки.