Результаты ДНК-скрининга коллекции земляники садовой Свердловской селекционной станции садоводства на присутствие генов FaOMT, FaFAD1
Автор: Киселева О.А., Невоструева Е.Ю., Полежаева М.А., Савина А.О.
Журнал: Вестник Красноярского государственного аграрного университета @vestnik-kgau
Рубрика: Агрономия
Статья в выпуске: 11, 2025 года.
Бесплатный доступ
Цель исследования – провести молекулярногенетический скрининг образцов земляники садовой на предмет присутствия целевых функциональных аллелей генов, вовлеченных в формирование ароматического комплекса плодов земляники (гена FaOMT, который контролирует выработку мезифурана и отвечает за фруктовокарамельный аромат, и ген FaFAD1, который связан с синтезом γдекалактона). Исследование проводили на базе научной коллекции живых растений Свердловской селекционной станции садоводства в 2024–2025 гг. Объекты исследования – 40 сортов и 60 гибридов, созданных методом межсортовой гибридизации в пределах вида Fragaria × ananassa. Оценку разнообразия генотипов по исследуемым генам проводили с использованием ПЦР и электрофоретического разделения продуктов амплификации в агарозном геле. Для идентификации ценных генотипов – источников моногенного признака наличия мезифурана в плодах использовали кодоминантный молекулярный маркер FaOMTSI/NO, для идентификации доноров моногенного признака наличия γдекалактона в плодах – маркер FaFAD1. В качестве положительного контроля для гена FaOMT послужили сорта Polka, Фестивальная, в качестве отрицательного – сорта Apriсa, Pandora, для гена FaFAD1 положительным контролем служил сорт Salsa, отрицательным – сорта Karmen, Polka. Результатом выполненного исследования стало обнаружение функционального аллеля FaOMT в гомозиготном состоянии у сортов Акварель, Даренка, Десна, Дуэт, Гейзер, Италмас, Ярославна, Asia, Cardinal, Elsanta, Honeoye, Salsa, Sonsation, Totem, а также у 28 отборных гибридов. Гетерозиготное сочетание аллелей гена FaOMT обнаружилось у 45 сортообразцов. Также выявлены сорта, у которых нет функционального аллеля FaOMT: Ассоль, Альфа, Дарунок вчителю, Aprica, Dukat, Pandora. Функциональное состояние аллеля гена FaFAD1 выявлено у 14 сортообразцов, в т. ч. у сортов: Акварель, Боровицкая, Даренка, Дарунок вчителю, Ольвия, Cardinal, Elsanta, Florence, Florida 90, Isaura, Salsa, Pandora.
Fragaria × ananassa Duch., генотип, маркер-ориентированная селекция, запах плодов земляники
Короткий адрес: https://sciup.org/140313039
IDR: 140313039 | УДК: 634.75:577.2:575.22 | DOI: 10.36718/1819-4036-2025-11-23-34
Results of DNA screening of the strawberry collection from the Sverdlovsk breeding station of horticulture for the presence of FaOMT, FaFAD1 genes
The objective of the study is to conduct a molecular genetic screening of garden strawberry samples for the presence of target functional alleles of genes involved in the formation of the strawberry fruit aroma complex (the FaOMT gene, which controls mesifuran production and is responsible for the fruitycaramel aroma, and the FaFAD1 gene, which is associated with the synthesis of γdecalactone). The study was conducted using the scientific collection of living plants at the Sverdlovsk Horticultural Breeding Station in 2024–2025. The objects of the study were 40 varieties and 60 hybrids created by intervarietal hybridization within the Fragaria × ananassa species. Genotype diversity for the studied genes was assessed using PCR and electrophoretic separation of amplification products in agarose gel. To identify valuable genotypes – sources of the monogenic trait of the presence of mesifuran in fruits, the codominant molecular marker FaOMTSI/NO was used, and to identify donors of the monogenic trait of the presence of γdecalactone in fruits, the marker FaFAD1 was used. The Polka and Festivalnaya varieties served as positive controls for the FaOMT gene, while Aprica and Pandora served as negative controls. Salsa served as a positive control for the FaFAD1 gene, while Karmen and Polka served as negative controls. The study revealed the homozygous functional FaOMT allele in the following varieties: Akvarel, Darenka, Desna, Duet, Geyser, Italmas, Yaroslavna, Asia, Cardinal, Elsanta, Honeoye, Salsa, Sonsation, and Totem, as well as in 28 selected hybrids. Heterozygous combinations of FaOMT alleles were detected in 45 cultivars. Varieties lacking the functional FaOMT allele were also identified: Assol, Alfa, Darunok Vchitelyu, Aprica, Dukat, and Pandora. The functional state of the FaFAD1 gene allele was identified in 14 cultivar samples, including the following varieties: Aquarelle, Borovitskaya, Darenka, Darunok vchitelyu, Olvia, Cardinal, Elsanta, Florence, Florida 90, Isaura, Salsa, Pandora.
Текст научной статьи Результаты ДНК-скрининга коллекции земляники садовой Свердловской селекционной станции садоводства на присутствие генов FaOMT, FaFAD1
Введение. Одним из главных потребительских свойств плодов земляники ( Fragaria ) является ее аромат. В селекционных программах этот признак учитывается при отборе перспективных форм [1, 2]. В формировании ароматического комплекса плодов земляники участвуют множество генов, некоторые из которых стали известны и изучаются в последнее время [3]. Например, ген FaOMT контролирует выработку 4-метокси-2,5-диметил3-фуранона (мезифурана) и отвечает за фруктово-карамельный аромат
[4, 5], ген FaFAD1 связан с синтезом γ- декалак-тона и отвечает за персикоподобные сладкие ноты [4, 6], ген FaNAAMT обуславливает синтез метилового эфира антраниловой кислоты (ме-тилатранилата) и отвечает за характерный земляничный запах [7].
Для идентификации ценных генотипов – источников этих моногенных признаков необходим молекулярно-генетический скрининг, который был проведен для многих крупных коллекций в России [3, 5, 8–11] и за рубежом [4, 12]. Аллель-
Таблица 1
|
Сорт |
Происхождение |
Страна происхождения |
|
1 |
2 |
3 |
|
Aprica |
Неизвестно |
Италия |
|
Asia |
Maya × NF-101 |
Италия |
|
Belrubi |
Pocahontas x Redcoat |
Франция |
|
Cardinal |
Earlibelle × Ark. 5063 |
США |
|
Dukat |
Koralowa 100 × Gorella |
Польша |
|
Elsanta |
Gorella x Holiday |
Нидерланды |
|
Florence |
(Tioga x (Red Gauntlet × (Wiltguard x Gorella)) × (Providence x self) |
Великобритания |
|
Florida 90 |
Missionаry, свободное опыление |
США |
|
Honeoye |
Vibrant × Holiday |
США |
|
Isaura |
Неизвестно |
Бельгия |
|
Karmen |
Georg Soltwedel × Sparkle |
Чехия |
|
Marmolada |
Gorella × Nr 15 |
Италия |
|
Pandora |
(Von Humboldt × Redstar) × Merton Dawn |
Великобритания |
|
Polka |
Induka × Sivetta |
Нидерланды |
|
Salsa |
Chandler × Polka |
Нидерланды |
|
Sonsation |
Неизвестно |
Нидерланды |
|
Stoplight |
(Florida 90 × Ciclone) × Dunlap |
США |
Окончание табл. 1
|
1 |
2 |
3 |
|
Totem |
Puget Beauty × Northwest |
Канада |
|
Акварель |
Арника × Горноуктусская |
Россия |
|
Алтын |
Соловушка × Marmolada |
Россия |
|
Альфа |
Сюрприз Олимпиаде × Фестивальная ромашка |
Россия |
|
Амулет |
Georg Soltwedel × Sparkle |
Россия |
|
Ассоль |
Red Gauntlet, свободное опыление |
Россия |
|
Бова |
Арника × Торпеда |
Россия |
|
Боровицкая |
Надежда × Red Gauntlet |
Россия |
|
Гейзер |
Арника, свободное опыление |
Россия |
|
Даренка |
Русановка × Фестивальная |
Россия |
|
Дарунок вчителю |
Десна х Redglow |
Украина |
|
Десна |
Неслухнянка × Redcoat |
Украина |
|
Дивная |
Фестивальная × Holiday |
Россия |
|
Дуэт |
Талка, свободное опыление |
Россия |
|
Италмас |
Фестивальная × Stoplight |
Россия |
|
Ольвия |
Присвята × 277-3-16 |
Украина |
|
Орлец |
Stoplight × Торпеда |
Россия |
|
Осокорянка |
Киянка х Запашна |
Россия |
|
Соловушка |
Фестивальная ромашка × Сюрприз Олимпиаде |
Россия |
|
Фейерверк |
I 1 Senga sengana × I 2 Redcoat |
Россия |
|
Фестивальная |
Обильная × Premier |
Россия |
|
Форсаж |
Соловушка × Totem |
Россия |
|
Ярославна |
Дуэт × Десна |
Россия |
Таблица 2
|
Гибрид |
Происхождение |
Гибрид |
Происхождение |
|
1 |
2 |
3 |
4 |
|
1.1 |
Алтын × Isaura |
2-07-22 |
Соловушка × 2-54-11 |
|
1.2 |
Алтын × Isaura |
2-22 |
Гейзер × 2-45-10 |
|
1.3 |
Алтын × Isaura |
2-43-10 |
Соловушка × Мarmolada |
|
1.4 |
Алтын × Isaura |
2-45-10 |
Соловушка × Dukat |
|
1.6 |
Алтын × Isaura |
2-54-11 |
Амулет × Мarmolada |
|
1.7 |
Алтын × Isaura |
2-74-17 |
Гейзер × Stoplight |
|
1.8 |
Алтын × Isaura |
2-87-19 |
Алтын × Salsa |
|
1.9 |
Алтын × Isaura |
2-90-19 |
Соловушка × Salsa |
|
1.10 |
Алтын × Isaura |
2-95-20 |
Форсаж × Ольвия |
|
1.11 |
Алтын × Isaura |
2-98-21 |
Дуэт × Karmen |
|
1.12 |
Алтын × Isaura |
2-99-22 |
Дуэт × Ольвия |
|
1.13 |
Алтын × Isaura |
3.1 |
2-43-10 × Isaura |
|
1.14 |
Алтын × Isaura |
3.11 |
2-43-10 × Isaura |
|
1.15 |
Алтын × Isaura |
3.12 |
2-43-10 × Isaura |
|
1.16 |
Алтын × Isaura |
3.2 |
2-43-10 × Isaura |
|
1.17 |
Алтын × Isaura |
3.3 |
2-43-10 × Isaura |
|
1.18 |
Алтын × Isaura |
3.4 |
2-43-10 × Isaura |
|
1-01-22 |
2-43-10 × 2-54-11 |
3.5 |
2-43-10 × Isaura |
Окончание табл. 2
|
1 |
2 |
3 |
4 |
|
1-05-22 |
2-45-10 × Cardinal |
3.6 |
2-43-10 × Isaura |
|
1-06-22 |
Форсаж × 2-43-10 |
3.8 |
2-43-10 × Isaura |
|
1-07-22 |
Соловушка × 2-54-11 |
3.9 |
2-43-10 × Isaura |
|
1-86-19 |
Италмас × Salsa |
3-06-22 |
Форсаж × 2-43-10 |
|
1-95-20 |
Форсаж × Ольвия |
3-22 |
3-45-10 × 2-43-10 |
|
1-98-21 |
Дуэт × Karmen |
3-86-19 |
Италмас × Salsa |
|
2.1 |
1-66-15 × Salsa |
4-22 |
1-40-10 × 3-44-10 |
|
2.2 |
1-66-15 × Salsa |
4-95-20 |
Форсаж × Ольвия |
|
2.3 |
1-66-15 × Salsa |
85-18 |
1-40-10 × Marmolada |
|
2.4 |
1-66-15 × Salsa |
89-19 |
Salsa × Алтын |
|
2.5 |
1-66-15 × Salsa |
92-19 |
Италмас × Cardinal |
|
2-00-22 |
Соловушка × Belrubi |
93-20 |
Бова × 2-54-11 |
|
Сорт |
FaOMT |
FaFAD1 |
Сорт |
FaOMT |
FaFAD1 |
||
|
217 п.н. |
248 п.н. |
140 п.н. |
217 п.н. |
248 п.н. |
140 п.н. |
||
|
Aprica |
1 |
0 |
0 |
Альфа |
1 |
0 |
0 |
|
Asia |
0 |
1 |
0 |
Амулет |
1 |
1 |
0 |
|
Belrubi |
1 |
1 |
0 |
Ассоль |
1 |
0 |
0 |
|
Cardinal |
0 |
1 |
1 |
Бова |
1 |
1 |
0 |
|
Dukat |
1 |
0 |
0 |
Боровицкая |
1 |
1 |
1 |
|
Elsanta |
0 |
1 |
1 |
Гейзер |
0 |
1 |
0 |
|
Florence |
1 |
1 |
1 |
Даренка |
0 |
1 |
1 |
|
Florida 90 |
1 |
1 |
1 |
Дарунок вчителю |
1 |
0 |
1 |
|
Honeoye |
0 |
1 |
0 |
Десна |
0 |
1 |
0 |
|
Karmen |
1 |
1 |
0 |
Дивная |
1 |
1 |
0 |
|
Isaura |
1 |
1 |
1 |
Дуэт |
0 |
1 |
0 |
|
Marmolada |
1 |
1 |
0 |
Италмас |
0 |
1 |
0 |
|
Pandora |
1 |
0 |
1 |
Ольвия |
1 |
1 |
1 |
|
Polka |
0 |
1 |
0 |
Орлец |
1 |
1 |
0 |
|
Salsa |
0 |
1 |
1 |
Осокорянка |
1 |
1 |
0 |
|
Sonsation |
0 |
1 |
0 |
Соловушка |
1 |
1 |
0 |
|
Stoplight |
1 |
1 |
0 |
Фейерверк |
1 |
1 |
0 |
|
Totem |
0 |
1 |
0 |
Фестивальная |
0 |
1 |
0 |
|
Акварель |
0 |
1 |
1 |
Форсаж |
1 |
1 |
0 |
|
Алтын |
1 |
1 |
0 |
Ярославна |
0 |
1 |
0 |
Здесь и далее: (1 – аллель есть; 0 – аллеля нет).
ля того же гена (табл. 3). Сорта Акварель, Ал- Свердловской селекционной станции садовод- тын, Бова, Гейзер, Даренка, Дуэт, Италмас, Ор- ства были проанализированы впервые.
лец, Форсаж, Ярославна и гибриды селекции
Таблица 4
Результаты скрининга гибридов на присутствие функциональных аллелей генов, отвечающих за запах плодов у гибридов
Results of screening hybrids for the presence of fruit flavor volatile genes in strawberry hybrids
Пример идентификации фрагментов в ходе ДНК-скрининга аллелей гена FaOMT приведен на рисунке 1. По результатам проведенных исследований 44 % образцов имели функциональный аллель гена FaOMT в гомозиготном состоянии, 45 % являлись гетерозиготными носителями. У сортов Ассоль, Альфа, Дарунок вчителю, Aprica, Dukat, Pandora нет функционального аллеля FaOMT. При скрещивании ге-
терозиготных по признаку сортов Алтын х Isaura в потомстве (гибриды 1.1–1.18) получили расщепление: 4/17 рецессивных гомозигот, 4/17 доминантных гомозигот, 9/17 гетерозигот. При скрещивании гетерозиготы Isaura и доминантной гомозиготы 2-43-10 в потомстве (гибриды 3.1-3.12) наблюдается расщепление 4/10 гетерозиготы, 6/10 доминантные гомозиготы.
|
Гибрид |
FaOMT |
FaFAD1 |
Гибрид |
FaOMT |
FaFAD1 |
||
|
217 п.н. |
248 п.н. |
500 п.н. |
217 п.н. |
248 п.н. |
500 п.н. |
||
|
1.1 |
1 |
0 |
0 |
2-07-22 |
1 |
1 |
0 |
|
1.2 |
1 |
0 |
0 |
2-22 |
0 |
1 |
0 |
|
1.3 |
0 |
1 |
0 |
2-43-10 |
0 |
1 |
0 |
|
1.4 |
0 |
1 |
0 |
2-45-10 |
1 |
1 |
0 |
|
1.6 |
1 |
0 |
0 |
2-54-11 |
1 |
0 |
0 |
|
1.7 |
0 |
1 |
1 |
2-74-17 |
1 |
1 |
0 |
|
1.8 |
1 |
1 |
0 |
2-87-19 |
0 |
1 |
0 |
|
1.9 |
1 |
1 |
0 |
2-90-19 |
0 |
1 |
0 |
|
1.10 |
1 |
1 |
0 |
2-95-20 |
0 |
1 |
0 |
|
1.11 |
1 |
1 |
0 |
2-98-21 |
0 |
1 |
0 |
|
1.12 |
1 |
1 |
0 |
2-99-22 |
1 |
1 |
0 |
|
1.13 |
1 |
1 |
0 |
3.1 |
1 |
1 |
0 |
|
1.14 |
1 |
1 |
0 |
3.2 |
0 |
1 |
0 |
|
1.15 |
0 |
1 |
0 |
3.3 |
1 |
1 |
0 |
|
1.16 |
1 |
1 |
0 |
3.4 |
0 |
1 |
0 |
|
1.17 |
1 |
1 |
0 |
3.5 |
0 |
1 |
0 |
|
1.18 |
1 |
0 |
0 |
3.6 |
0 |
1 |
0 |
|
1-01-22 |
1 |
1 |
0 |
3.8 |
1 |
1 |
0 |
|
1-05-22 |
1 |
1 |
0 |
3.9 |
0 |
1 |
0 |
|
1-06-22 |
0 |
1 |
0 |
3.11 |
0 |
1 |
0 |
|
1-07-22 |
1 |
1 |
0 |
3.12 |
1 |
1 |
0 |
|
1-86-19 |
1 |
1 |
0 |
3-06-22 |
0 |
1 |
0 |
|
1-95-20 |
1 |
1 |
0 |
3-22 |
1 |
1 |
1 |
|
1-98-21 |
0 |
1 |
0 |
3-86-19 |
0 |
1 |
0 |
|
2.1 |
1 |
1 |
0 |
4-22 |
1 |
1 |
0 |
|
2.2 |
0 |
1 |
0 |
4-95-20 |
0 |
1 |
1 |
|
2.3 |
0 |
1 |
0 |
85-18 |
1 |
1 |
0 |
|
2.4 |
0 |
1 |
0 |
89-19 |
0 |
1 |
0 |
|
2.5 |
0 |
1 |
0 |
92-19 |
0 |
1 |
0 |
|
2-00-22 |
1 |
1 |
0 |
93-20 |
0 |
1 |
0 |
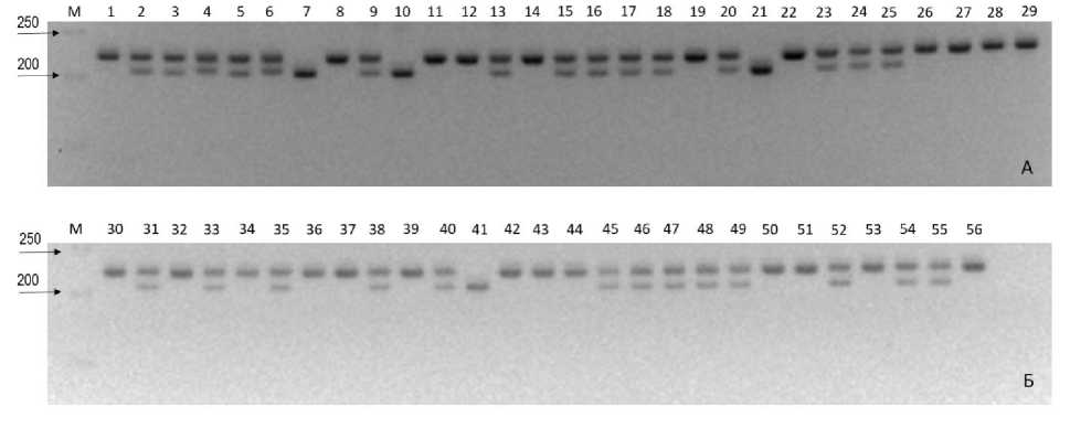
Рис. 1. Электрофоретический профиль сортов и гибридов F. × ananassa по маркеру FaOMT-SI/NO: М – маркер длин ДНК; A – электрофореграмма образцов 1–29; Б – электрофореграмма образцов 30–56; 1 – Акварель; 2 – Алтын; 3 – Амулет; 4 – Belrubi; 5 – Бова; 6 – Боровицкая;
-
7 – Дарунок вчителю; 8 – Десна; 9 – Дивная; 10 – Dukat; 11 – Дуэт; 12 – Гейзер; 13 – Isaura;
-
14 – Италмас; 15 – Marmolada; 16 – Ольвия; 17 – Орлец; 18 – Осокорянка; 19 – Salsa (положительный контроль); 20 – Stoplight; 21 – Pandora (отрицательный контроль); 22 – Totem; 23 – Florence; 24 – Florida 90; 25 – Форсаж; 26 – Honeoye; 27 – Elsanta; 28 – Фестивальная;
29 – Ярославна; 30 – 3-86-19; 31 – 2-99-22; 32 – 2-43-10; 33 – 2-45-10; 34 – 2-90-19; 35 – 2-07-22; 36 – 2-22; 37 – 2-87-19; 38 – 2-00-22, 39 – 2-95-20; 40 – 2-74-17; 41 – 2-54-11; 42 – 2-98-21; 43 – 89-19; 44 – 93-20; 45 – 85-18; 46 – 1-05-22; 47 – 1-95-20; 48 – 1-86-19; 49 – 1-07-22; 50 – 1-06-22; 51 – 1-98-21; 52 – 3-22; 53 – 3-06-22; 54 – 1-01-22; 55 – 4-22; 56 – 4-95-20 Electrophoretic profile of strawberry varieties and hybrids using the FaOMT-SI/NO marker:
M – DNA length marker; A – electropherogram of samples 1–29; Б – electropherogram of samples 30–56; 1 – Akvarel'; 2 – Altyn; 3 – Amulet; 4 – Belrubi; 5 – Bova; 6 – Borovickaya;
-
7 – Darunok vchitelyu; 8 – Desna; 9 – Divnaya; 10 – Dukat; 11 – Duet; 12 – Gejzer; 13 – Isaura;
-
14 – Italmas; 15 – Marmolada; 16 – Ol'viya; 17 – Orlec; 18 – Osokoryanka; 19 – Salsa (positive control); 20 – Stoplight; 21 – Pandora (negative control); 22 – Totem; 23 – Florence; 24 – Florida 90; 25 – Forsazh; 26 – Honeoye; 27 – Elsanta; 28 – Festivalnaya; 29 – YAroslavna; 30 – 3-86-19; 31 – 2-99-22; 32 – 2-43-10; 33 – 2-45-10; 34 – 2-90-19; 35 – 2-07-22; 36 – 2-22; 37 – 2-87-19; 38 – 2-00-22, 39 – 2-95-20; 40 – 2-74-17;
-
41 – 2-54-11; 42 – 2-98-21; 43 – 89-19; 44 – 93-20; 45 – 85-18; 46 – 1-05-22; 47 – 1-95-20; 48 – 1-86-19; 49 – 1-07-22; 50 – 1-06-22; 51 – 1-98-21; 52 – 3-22; 53 – 3-06-22; 54 – 1-01-22; 55 – 4-22; 56 – 4-95-20
ное разнообразие перечисленных генов изучается не только для сортов земляники садовой, но для некоторых видовых земляник, клубнично-земляничных гибридов [3, 5, 8–12].
Ген FaFAD1 картирован в дистальном районе длинного плеча хромосомы III-2 генома Fragaria × ananassa Duch. [13], функциональный аллель гена проявляет себя как доминантный, его экспрессия в высокой степени коррелирует с выработкой γ- декалактона в плодах [14]. Геном FaOMT картирован в дистальном районе длинного плеча хромосомы VII-F.1. [12]. Кодоминантный молекулярный маркер FaOMT-SI/NO фланкирует район, содержащий инсерции или делеции в гене FaOMT и позволяет идентифицировать доминантный функциональный аллель в гомозиготном и гетерозиготном состоянии у образцов, способных к выработке мези-фурана в плодах [4, 8, 14].
Цель исследования – провести молекулярно-генетический скрининг образцов земляники садовой на предмет присутствия целевых функциональных аллелей генов, вовлеченных в формирование ароматического комплекса плодов земляники.
Задачи : проведение ПЦР-тестов с использованием диагностического маркера, сцепленного с
доминантным аллелем гена синтеза γ-декалак-тона FaFAD1; ПЦР-теста с использованием диагностического маркера для определения у образцов сочетания аллелей гена синтеза мезифурана FaOMT; сравнительный анализ полученных данных с учетом известных из публикаций результатов ранее проведенных скринингов для сортов и родословных изученных гибридов.
Объекты и методы. Сбор образцов проводили дважды в течение вегетационных сезонов 2024 и 2025 гг. Все отобранные для ДНК-скрининга растения произрастают в коллекции земляники фонда живых растений открытого грунта Свердловской селекционной станции садоводства как часть уникальной научной установки «Генофонд плодовых, ягодных и декоративных культур на Среднем Урале» [15]. Данная коллекция земляники садовой – самая крупная в регионе [16], включающая 55 интродуцированных сортов земляники зарубежной и отечественной селекции и 65 сортообразцов селекции Свердловской селекционной станции садоводства. В исследовании использованы 40 сортов и 60 гибридов F. × ananassa , происхождение которых представлено в таблицах 1, 2.
Сорта земляники садовой, использованные в исследовании
Analyzed cultivars of strawberry
Гибриды земляники садовой, использованные в исследовании
Analyzed hybrids of strawberry
Молекулярно-генетический анализ проводили в лаборатории молекулярной генетики плодовых и ягодных культур Свердловской селекционной станции садоводства – структурного подразделения УрФАНИЦ УрО РАН. Экстракцию ДНК проводили из листьев с помощью набора D-Plants на колонках для выделения ДНК из растений (ООО «Биолабмикс», РФ). Проверка качества выделения ДНК проведена с помощью микросателлитного маркера EMFv020 [17]. Для изучения аллельного состояния гена FaOMT использовали кодоминантный маркер FaOMT-SI/NO, гена FaFAD1 – маркер FaFAD1 [4]. В качестве положительного контроля для гена FaOMT послужили сорта Polka, Фестивальная, в качестве отрицательного – сорта Apriсa, Pandora, для гена FaFAD1 положительным контролем служил сорт Salsa, отрицательным – сорта Karmen, Polka. Использованные для анализа праймеры были синтезированы в ООО «БиоМетка» (РФ).
Реакционные смеси для проведения ПЦР готовили на базе набора БиоМастер HS-Taq ПЦР-Color (2×), в состав которого входят: 100 мM Трис-НCl, рН 8,5 (при 25 °С), 100 мM KCl, 0,4 мМ каждого дезоксинуклеозидтрифосфата, 4 мМ MgCl2, 0,06 ед. акт./мкл Taq ДНКполимеразы, 0,2 % Tween 20, стабилизаторы HS-Taq ДНК-полимеразы и красители (ООО «Биолабмикс», РФ). При проведении ПЦР с микросателлитными праймерами EMFv020 в объеме 10 мкл к 5 мкл реакционной смеси добавляли по 0,25 мкл прямого и обратного праймера, 1 мкл ДНК с концентрацией 10–100 нг/мкл, 3,5 мкл воды. При проведении ПЦР с праймерами маркера FaOMT-SI/NO в объеме 10 мкл к 5 мкл реакционной смеси добавляли по 0,25 мкл прямого и
обратного праймера, 1,5 мкл ДНК с концентрацией 10–100 нг/мкл, 3 мкл воды. При проведении ПЦР с праймерами маркера FaFAD1 в объеме 10 мкл к 5 мкл реакционной смеси добавляли по 0,25 мкл прямого и обратного праймера, 1 мкл ДНК с концентрацией 10–100 нг/мкл, 3,5 мкл воды.
Термоциклирование (ПЦР) проводили на приборе CFX96 Touch (Bio-Rad, USA) согласно ранее опубликованным протоколам [13, 14, 17] с небольшими модификациями. Маркер EMFv020: денатурация 5 мин – 95 °С, 35 циклов: 20 с – 95 °С, 30 с – 64 °С, 30 с – 72 °С; финальная элонгация 5 мин – 72 °С; целевой фрагмент 170 п.н. После подтверждения качества выделения ДНК из образцов с помощью микросателлит-ного маркера проводили реакцию амплификации для изучения аллельного разнообразия генотипов по генам FaOMT и FaFAD1. Маркер FaOMT-SI/NO: денатурация 5 мин – 95 °С, 35 циклов: 20 с – 95 °С, 20 с – 50 °С, 30 с – 72 °С; финальная элонгация 7 мин – 60 °С; целевые фрагменты 217 п.н. и 248 п.н. Маркер FaFAD1: денатурация 5 мин – 95 °С, 35 циклов: 20 с – 95 °С, 30 с – 55 °С, 45 с – 72 °С; финальная элонгация 7 мин – 72 °С; целевой фрагмент 140 п.н. Разделение амплифицированных фрагментов проводили в 3 % агарозном геле в присутствии этидиум бромида. Для определения длины фрагментов использовали маркер длин ДНК 50 п.н. – DNA Ladder 50 + bp (Евроген, РФ).
Результаты и их обсуждение . Результаты ДНК-скрининга коллекции по генам FaOMT и FaFAD1 представлены в таблицах 3, 4. Из числа изученных нами образцов, согласно научным публикациям, ранее ДНК-скрининг по генам FaFAD1 и FaOMT был проведен для сортов Бо-
ровицкая, Дивная, Соловушка, Фестивальная, Фейерверк, Aprica, Asia, Dukat, Elsanta, Karmen, Marmolada, Pandora, Polka, Salsa [4, 8, 11, 12]. В отношении выбранных положительных и отрицательных контролей полученные нами данные полностью совпадают с литературными.
Маркер FaFAD1 не позволяет различать гомозиготные и гетерозиготные генотипы по признаку синтеза γ-декалактона в плодах, однако помогает найти продуцентов ценного соедине-
ния до плодоношения, поскольку наличие целевого фрагмента 140 п.н. говорит о наличии функционального доминантного аллеля [13]. Присутствие функционального аллеля гена FaFAD1 ранее было показано для сортов: Боровицкая [11], Pandora [4], Salsa [12], Elsanta [12], Фейерверк [11], отсутствие – для сортов Дивная [8], Соловушка [8], Фестивальная [8], Polka [12], Karmen [8, 12].
Таблица 3
Результаты скрининга гибридов на присутствие функциональных аллелей генов, отвечающих за запах плодов у сортов
Results of screening hybrids for the presence of fruit flavor volatile genes in strawberry hybrids
Маркер FaOMT-SI/NO позволяет различать гомозиготы и гетерозиготы по гену FaOMT на основании размера ампликонов 248 и 217 п.н., при этом функциональным является доминантный аллель с ампликоном 248 п.н. [3, 12]. Присутствие функционального аллеля гена FaOMT в гомозиготном состоянии ранее было показано для сортов: Elsanta [12], Дивная [8, 12], в гетерозиготном состоянии: Соловушка [8, 12], Фейерверк [12], Asia [12], Dukat [12], Marmolada [12], Polka [8,12], Salsa [12], отсутствие: Pandora [4]. Отсутствие одновременно функциональных ал-
лелей генов FaFAD1 и FaOMT достоверно показано у сорта Aprica [12]. Таким образом, полученные нами данные хорошо согласуются с результатами ранее проведенных ДНК-скринингов. В отношении сортов Фестивальная, Karmen в литературе присутствуют противоречивые сведения, в каком именно состоянии находится функциональный аллель FaOMT, в гомозиготном [8] или гетерозиготном [12]. Для сорта Karmen нами получены данные в пользу гетерозиготного состояния аллеля FaOMT, для сорта Фестивальная – гомозиготного состояния алле-
Пример идентификации фрагментов в ходе ДНК-скрининга аллелей гена FaFAD1 приведен на рисунке 2. По результатам проведенных исследований 13 % образцов имели функциональный аллель гена FaFAD1.
На основании выполненных исследований можно проследить передачу целевых аллей генов с учетом родословной. Например, в гибридной семье Соловушка х Marmolada получен сорт Алтын и перспективный гибрид 2-43-10. В потомстве отсутствует функциональный аллель гена FaFAD1, поскольку его не было у родителей. В то же время оба родителя гетерозиготны в отношении аллелей гена FaOMT, как и их потомок – сорт Алтын, а гибрид 2-43-10 получил 2 функциональных аллеля этого гена (по одному от каждого из родителей), то есть является гомозиготным в отношении исследуемого аллеля и может служить источником ценного признака. Сорт Форсаж, который используется в селекционном процессе на Свердловской селекционной станции садоводства, является результатом скрещивания Соловушка × Totem. Один из родительских сортов (Totem) гомозиготен по функциональному аллелю гена FaOMT, а второй (Соловушка) – гетерозиготен, как и сорт Форсаж. Функциональный аллель гена FaFAD1 отсутствует у сорта Форсаж, поскольку его нет у родителей. От комбинации скрещивания, где один родитель гетерозиготен, а второй – гомозиготен по функциональному аллелю гена FaOMT (Форсаж × 2-43-10), получены перспективные гибриды 1-06-22 и 3-06-22, несу- щие функциональный аллель гена FaOMT в гомозиготном состоянии. Таким образом, сортооб-разцы 1-06-22 и 3-06-22 могут служить источником ценного признака – фруктово-карамельного аромата плодов. Расщепление в потомстве можно пронаблюдать на примере гибридизации Форсаж × Ольвия, где источником доминантного функционального аллеля гена FaFAD1 является сорт Ольвия. В потомстве получены гибрид 1-9520, повторяющий генотип родительского сорта Форсаж по исследуемым аллелям, и перспективный 4-95-20, несущий оба изучаемых функциональных аллеля генов FaOMT и FaFAD1. Сорт земляники садовой Ярославна, выведенный на Свердловской селекционной станции садоводства, полученный от скрещивания сортов Дуэт и Десна, как и родительские формы, гомозиготен по двум изученным генам (имеет функциональный аллель гена FaOMT и не имеет функционального аллеля гена FaFAD1). Гибрид 1.7 получил по одному функциональному аллелю гена FaOMT от гетерозиготных родительских форм
Алтын × Isaura, а доминантный аллель FaFAD1 – от иностранного сорта Isaura. Итак, соотнесение фактических результатов ДНК-скрининга не противоречит приведенным родословным изученных сортообразцов.
Наиболее перспективны для селекции по приятному выраженному запаху плодов генотипы, для которых подтверждено присутствие функциональных аллелей одновременно двух генов FaOMT, FaFAD1, особенно когда по гену FaOMT наблюдается доминантная гомозигота, например, как у сорта Salsa [12]. В ходе проведенного скрининга среди сортов селекции Свердловской селекционной станции садоводства найдено 4 ценных культивара: оригинальные сорта Акварель и Даренка, гибрид 1.7, 4-9520. Перспективными для дальнейшего отбора и селекции также можно считать 28 из 60 гибридов, гомозиготных по доминантному аллелю гена FaOMT, способных к выработке мезифура-на в плодах (см. табл. 4).
Рис. 2. Электрофоретический профиль сортов и гибридов F. × ananassa по маркеру FaFAD1: М – маркер длин ДНК; 1 – Акварель, 2 – 2-54-11; 3 – 2-74-17; 4 – 85-18; 5 – Asia; 6 – Десна;
7 – Isaura; 8 – Karmen; 9 – Polka (отрицательный контроль); 10 – Salsa (положительный контроль); 11 – Sonsation; 12 – Алтын; 13 – Ассоль; 14 – Бова; 15 – Боровицкая; 16 – Даренка; 17 – Elsanta; 18 – Дуэт; 19 – Италмас; 20 – Альфа; 21 – Соловушка; 22 – Фейерверк Electrophoretic profile of strawberry varieties and hybrids using the FaFAD1 marker: M – DNA length marker; 1 – Akvarel', 2 – 2-54-11; 3 – 2-74-17; 4 – 85-18; 5 – Asia; 6 – Desna;
7 – Isaura; 8 – Karmen; 9 – Polka (negative control); 10 – Salsa (positive control); 11 – Sonsation;
12 – Altyn; 13 – Assol'; 14 – Bova; 15 – Borovickaya; 16 – Darenka; 17 – Elsanta; 18 – Duet;
19 – Italmas; 20 – Al'fa; 21 – Solovushka; 22 – Fejerverk
Заключение. Проведенное молекулярногенетическое исследование 100 коллекционных образцов впервые позволило оценить генофонд коллекции земляники садовой Свердловской селекционной станции садоводства на наличие источников двух ценных признаков у плодов – выработку ароматических соединений мезифу-рана и γ-декалактона, которые кодируются ге- нами FaOMT и FaFAD1 соответственно. Важным выводом стало обнаружение гомозиготного состояния функционального аллеля FaOMT у сортов уральской селекции Акварель, Даренка, Дуэт, Гейзер, Италмас, Ярославна, а также у 28 отборных гибридов. Гетерозиготное сочетание аллелей гена FaOMT обнаружилось у 45 сор-тообразцов, в том числе впервые для 3 ураль- ских сортов (Алтын, Бова, Форсаж) и 27 гибридов. Функциональное состояние аллеля гена FaFAD1 выявлено всего у 14 сортообразцов: Акварель, Боровицкая, Даренка, Дарунок вчите-лю, Ольвия, Cardinal, Elsanta, Florence, Florida 90, Isaura, Salsa, Pandora и гибрид 1.7, 4-95-20. На основании проведенного анализа можно сделать вывод о ценности коллекции, в которой наблюдается большое разнообразие по сочетанию аллелей двух целевых генов.
Практическая значимость работы заключается в том, что она позволила проследить наследование целевых аллей генов в отдельных гибридных семьях и отобрать наиболее перспективные для селекции на качество плодов гено-
Вестник КрасГАУ. 2025. № 11 (224) типы (Акварель, Даренка, гибрид 1.7, 4-95-20), которые совмещают гомозиготное состояние активной аллельной формы гена FaOMT с функциональным аллелем гена FaFAD1. Перечисленные сортообразцы могут служить источниками сразу двух ценных признаков аромата плодов (одновременное содержание мезифура-на и γ-декалактона). Вовлечение этих ценных форм в гибридизацию позволит ускорить создание большего количества уральских сортов земляники с улучшенным запахом плодов. Результаты проведенного ДНК-скрининга будут учитываться при проведении дальнейшей гибридизации и комплексной оценке культиваров в ходе селекционных программ.